【每日晨读】当局部占位效应“遇上”薄环样强化的坏死腔!



同心抗疫
温暖随行


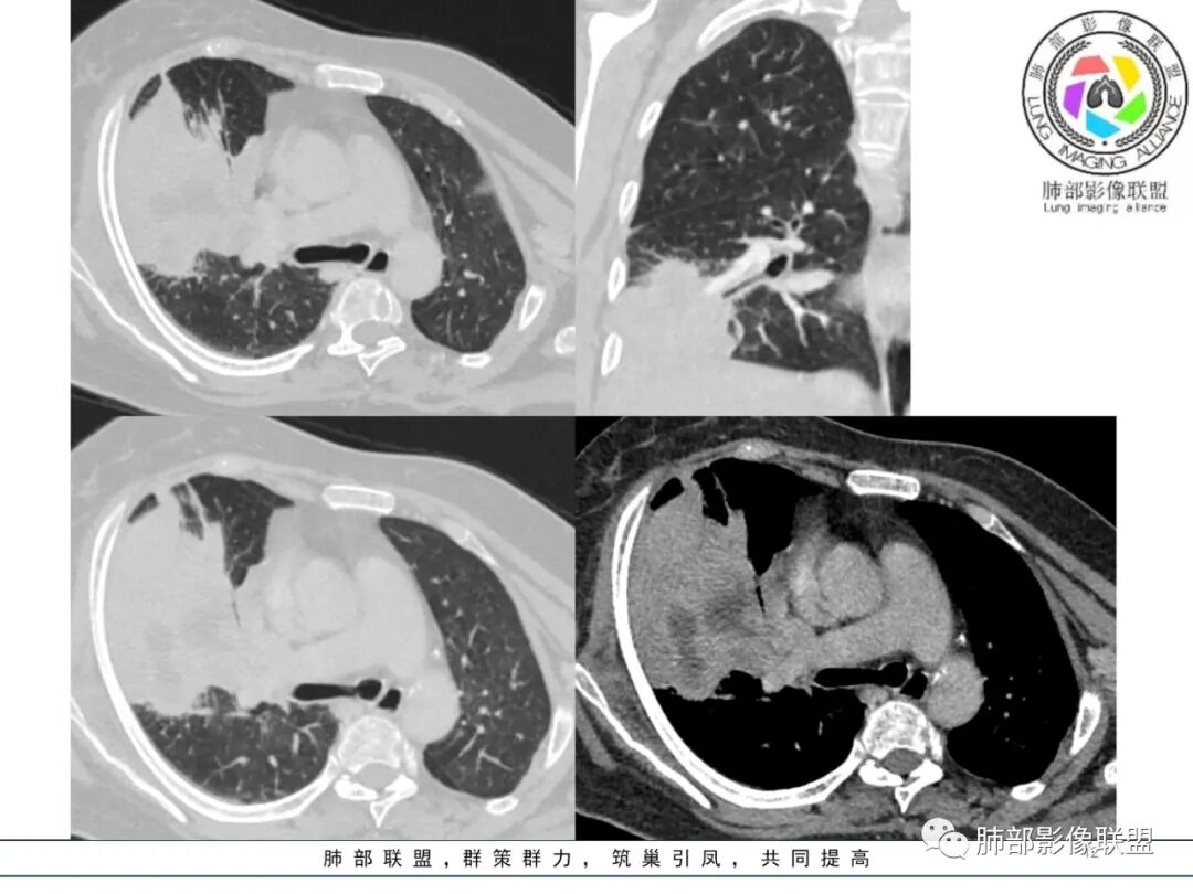
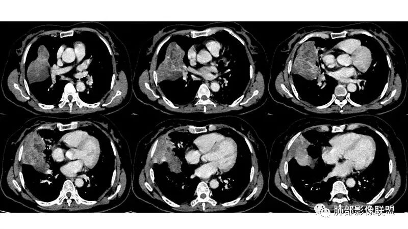
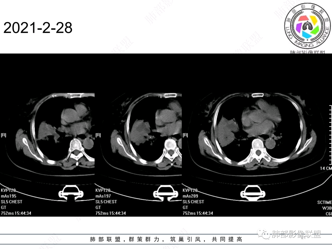
一、病例资料
CHUNFEN
























二、群内讨论
谢加平:
慢性咳嗽,抗炎复查无好转,原右肺中叶实边,外侧段支气管开口阻断,复查无好转,逐渐向下叶外前基底段融合形成大肿块,边缘膨隆,密度不均匀,坏死轮廓不清,内血管束破坏,累及中轴间质厚,外围分布,方向恶性,与炎性肉芽肿鉴别,隐球荚膜抗原先排查!
王艳梅:
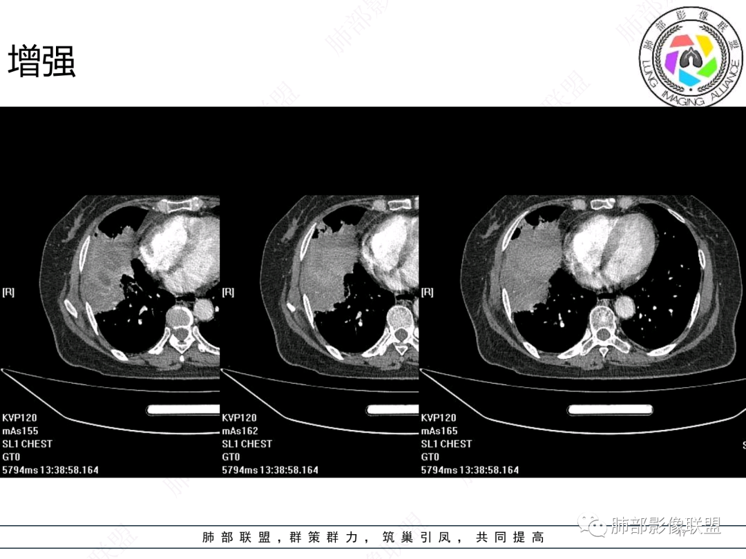
女,74岁,咳嗽咳痰加重一周入院,右肺中叶大片实变影,边界清晰,病灶内密度不均匀,右肺中叶支气管变窄,增强扫描病灶明显强化,考虑恶性病变能,鉴别肺脓肿。
杨敏:
右肺中叶实变,支气管开口阻断,边缘膨隆,密度不均匀,坏死边界清晰,胸膜累及,。一般抗感染治疗无效。考虑恶性。
许慧良:
老年女性患者,慢性病程,两次活检均提示炎性病变,胸部CT:右肺中叶大片实变密度影,边界尚清楚,部分收缩,部分膨隆,内部有低密度坏死,坏死边界清楚,无明显结节感,无分割,总体考虑炎性病变,机化性肺炎,NTM,慢性肺脓肿,鉴别:恶性,腺癌
王秀仙:
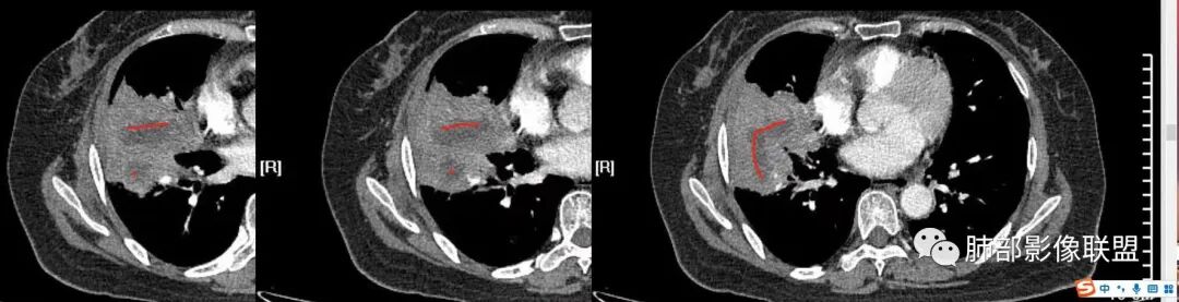
右肺中叶大片实变,内见大片的坏死,中叶外侧段支气管阻塞,相邻胸膜增厚,间隔约四个月后复查,发现低密度坏死内可见气泡影,老年人,反复迁延不愈的病变要考虑恶性,首先考虑腺癌伴感染。鉴别慢性脓肿。

气泡
白光宇:
右肺胸膜下实变,跨叶,形态不规则,局部边缘膨隆,中叶支气管外侧段进入后阻塞伴不张,不均匀强化,其内坏死边界欠清晰,复查无吸收,考虑腺癌,鉴别慢性炎症伴脓肿
曹永军:
右肺大片状高密度灶,跨叶,密度不均,边缘膨隆,支气管阻塞,粘液栓,不均匀强化,其内坏死边界欠清晰,复查无吸收,考虑腺癌,鉴别慢性炎症,脓肿
徐新庭:
女,74,发现肺部占位,咳嗽咳痰1周。
胸部CT:右肺中下叶大片实变影,界清,边缘膨隆为主,中叶外侧段支气管截断。增强不均匀强化,边缘可见血管影迂曲模糊,内见条带状低密度影。治疗后病变进展。考虑恶性,鳞Ca?鉴别TB、OP。
曲运良:
老年女性,慢性病史,炎性指标稍高,肿标正常,右中下肺大片实变,跨叶生长,边界清,收缩力差,膨隆生长为主,支气管杵状截断,均匀强化,其内坏死边界清,可见悬浮气泡,整体观察,病灶膨隆生长为主,邻近肺野无播散灶,形态单一,尽管慢性病史,影像不支持OP和TB,支气管截断呈杵状,肿标正常,均匀强化,虽是高龄患者,诊断恶性肿瘤有点牵强,综和分析,首选炎性病变放线菌感染,其次考虑低度恶性占位炎机母。
张东明:
考虑OP并脓肿?鉴别腺癌



考虑放线菌病?
吕军浩:
炎瘤pk。老年女,病史很长,炎性指标高,血沉高,瘤标不高,咳粘痰,伴喘息,有胸痛。支气管镜、穿刺两面夹击未查出肿瘤,临床偏感染。影像支持肿瘤征像:1 支气管有截断 但属门口堵,炎性也可  2 坏死境界相对不清  3 斜裂有膨隆,有占位效应  4 胸膜有收缩 5 部分层面有胸膜外浸润?  支持炎性证据:  1 前三月病史说中叶有进展 , 后近四月中叶未进展,甚至有缩小 。2  病灶跨裂蔓延  累及下叶 ,与中叶此起彼伏?  3支气管镜、穿刺两面夹击未查出肿瘤,支气管镜做的太早?  综合 感染性病变可能大,病原菌难猜,但肯定与耐抗生素或抗生素无效病原体,抗酸杆菌类,真菌类 、耐药菌可能。
南边:
我问几个问题
1.病灶是中叶?下叶?中叶+下叶?

2.支气管腔内见到实变病灶?远端支气管如何?
3.肺动脉如何?
4.坏死腔内壁如何?
5.复查病灶有变化吗?
6.胸膜关系?
这应该是支气管腔内粘液栓

本来还有长轴,边缘
需要重建
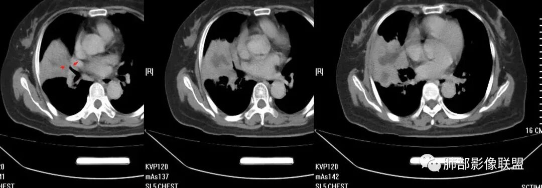
右中叶支气管

下叶前基底段支气管

这个病灶中叶、下叶都有
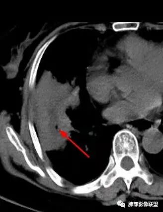
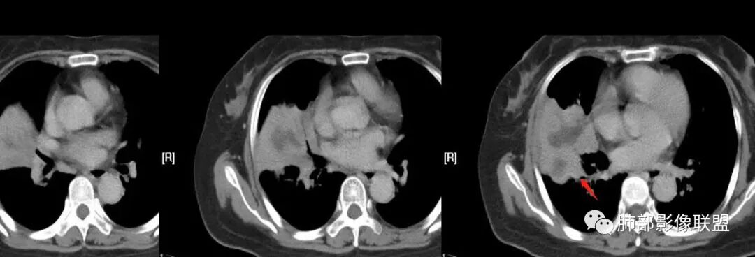
坏死腔是连通的

这个支气管局部堵了,但是远端支气管走形自然,腔内粘液栓

南边:

   我需要dicom图重建
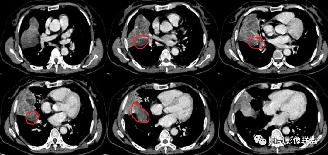
   这个病例,看长轴、形态,首先跨叶,里面的坏死腔,它是相通的,就是跨中叶及前基底段。
   看中叶外侧段的病变,我观察到支气管与坏死腔相通的,支气管这种堵塞就不踏实了,假如是腔内的病变,就不太支持。
    如果是腔内的病变,第一,应该是局限在某个叶的,不可能上下叶都有。所以不太支持腔内的病变。因此考虑腔外的病变。腔外局限的肿瘤肯定不符合,假如这个病灶是个局限大肿块的话,里面肺动脉走势还可以。
    然后中叶与下叶的坏死腔病灶是相通的,病灶是跨叶的,胸膜糊墙为主。
    我要看一下下叶。还想重建一下,就是按照我自己理解的长轴去重建出这个病灶的整体形态,我当时一看,好像侧向融合的病灶。侧向融合的病灶考虑慢性炎性病变的,有几种,这样大片的病灶,常规都考虑特殊感染多一些,比如隐球,放线菌,奴卡等,都可以这样的改变。
    现有的CT,里面存在坏死腔。炎症肯定有,是否同时合并肿瘤的问题?我需要详细的图将内部结构逐步剖析出来,看看能否有新的依据
     另外还要考虑外朝内发展的病变。
     下面图片,这是腔内占位病变特点:

这是腔外为主占位特点:


这是肿瘤兼顾炎症的特点


我需要详细了解支气管、血管
我等张涛老师的dicom格式图片
我晚点给大家解读这个病例
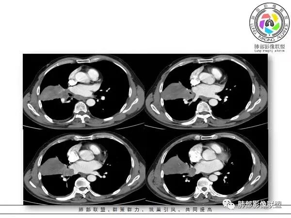
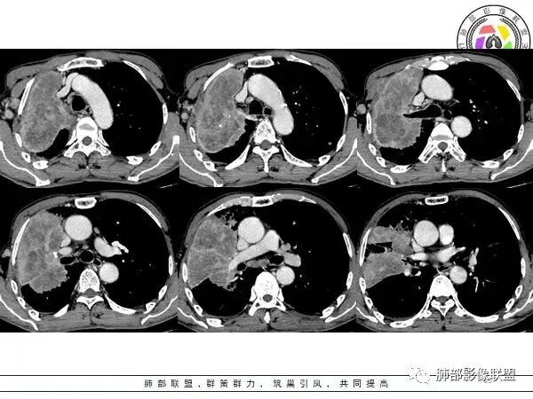
三、补充重建图像 













四、晨读结果







五、南边精彩复盘









南边:跨叶、楔形/边缘平直、支气管壁无破坏/连续/局部无膨大、实变区肺动脉走形自然、实性部分均匀、延迟强化、坏死腔内壁光滑/内壁强化环/近端与支气管相通,这些点均支持炎性。所以综合分析:符合炎性。


编辑:龚子龙
审核:雷  凤  徐  晓




-END-
到顶部