【每日晨读】 如此扮相的隐球菌,你敢诊断吗?






















群内讨论

weiwei:
右下肺团片影,有胸膜牵拉,但是收缩力不强,有支气管充气征,有空洞,周围有晕。考虑炎性肉芽肿,鉴别腺癌。

甄德强:
右肺下叶团块影,边缘收缩为主,边界模糊,其内可见空气支气管征,边缘可见胸膜牵拉,明显强化,考虑炎性肉芽肿病变,鉴别腺癌。

采莲:
中年女性,体检发现,右肺下叶基底段不规则肿块影,有胸膜牵拉,有细小毛刺,周围有晕,似有分叶及空泡?支气管进入后截断,明显强化?考虑肉芽肿性炎,鉴别腺癌。

放射线:
右肺下叶结节,边缘有分叶毛刺,病灶内可见支气管扩张,胸膜牵拉,强化明显,所有征象都倾向腺癌,但是冠状位矢状位及纵膈窗显示病灶有点散散的感觉,周围还有长条索,考虑慢性炎症,鉴别腺癌

衡妈:
右肺下叶实性病灶,形态不规则,有分叶、毛刺,边缘见边界清晰磨玻璃影,病灶内可见扭曲扩张的细支气管,胸膜牵拉凹陷,考虑恶性病灶,腺癌可能,鉴别机化性肺炎,建议增强扫描及CT下穿刺活检。

gaoql:
病灶的收缩力不强,如果是肿瘤,那最可能是低分化腺癌,但是里面又有穿行支气管,又不符合低分化癌表现,所以腺癌的依据不是很符合,先考虑一个慢性机化性炎症可能大,但是不能完全排除腺癌的可能

宇宙:
右肺下叶不规则团片影,边缘模糊,收缩,长索条,其内支气管充气扩张,结构松散,延迟强化,考虑炎性肉芽肿,腺癌待排

烟雨红尘,谁湿了谁的思念?:
这个病例从病史方面看是体检发现的,而且她的炎症指标都不高,那么我们临床上这种体检发现的肺部的这种结节性病变,肯定会考虑是感染还是肿瘤,这种情况下,一般情况下,我喜欢收住院,然后一边抗感染,一边进行辅助检查,那么,感染性的考虑肉芽肿性炎。,结核,真菌,特别是隐球菌,可能要放在首位,因为这个病灶周边有晕,而且在胸膜下,结节看上去好像是多个结节聚集融合形成的。所以住院之后很可能就进行结核,隐球,真菌等方面检查,再就是肿瘤方面的检查肯定也进行了,短期抗炎治疗进行复查,复查之后那么这个病灶有没有变化?怎么样变化的,为下一步可能就提供方向了。大部分病号的心理素质并不是那么高,所以说很多病号加上医生就选择了手术这个方法了,因为手术除了诊断之外,它还可以直接进行治疗,到底是李鬼还是李逵?切完之后送病理,一切就真相大白了,那么,从这个胸部CT片的表现看的话,右下肺的这么偏实性的结节,周边有晕。而且病灶收缩为主,就像一种兵器月牙铲,周边应该是有血管集束症的。病灶的中间好多那种蜂窝状的支气管的那种扩张应该是。好像还有一点胸膜凹陷征。从这些征像上来看的话,恶性的可能性比较大,具体是腺癌啊,还是别的什么肿瘤?单纯从影像学上来说的话,很难去确定。所以我觉得给一个临床的大致方向,然后进一步去检查治疗,可能就可以了。

一米阳光:
中年女性,右肺下叶不规则团片影,边缘不清,感觉较散,内见支气管通过,增强明显强化。
考虑慢性炎症并机化性肺炎。鉴别腺癌
病理结果


                                病例总结
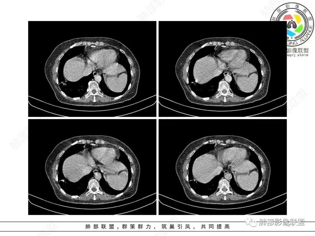
1、临床特点:58岁女性,体检发现右肺结节7天,无基础病,中性粒细胞百分比略高,无实验室检查无特殊。
2、影像特点:右肺下叶胸膜下不规则结节,矢状位整体病灶沿着支气管方向呈斑片状,不均匀强化。病灶边缘多平直、凹陷(从部分层面可见极其像月牙铲),缺乏膨隆感,周围可见多发长索条影,病灶内可见多发充气支气管影,大部分支气管完全贯通病灶并轻度扩张,极少支气管进入病灶内堵塞,观察横断位视频、部分层面病灶周围可见边界欠清的ggo。纵隔窗病灶内未见明显钙化影。未见卫星病灶及树芽征。
3、综合分析:中老年女性胸膜下不规则结节,无特殊临床表现,实验室检查亦无特殊,病灶在部分断面呈斑片状,边缘多平直甚至凹陷,缺乏分叶及膨隆感,未见粗短毛刺及胸膜凹陷,部分层面似见”月牙铲“样外形,但缺乏张力的“月牙铲”不太可靠。灶周磨玻璃晕也会让人警惕肺腺癌可能,磨玻璃影边界是否清晰常须薄层仔细分辨。
   实性密度为主结节影,支气管密切相关,边缘多平直,缺乏分叶膨隆感,缺乏张力,有磨玻璃晕但边界不清。更符合慢性炎性病变。
   病理提示隐球菌感染可能。肺部隐球菌感染孤立性病灶与肺腺癌的鉴别诊断是个永恒的话题。
知识扩展





编辑:李  剑
审核:雷  凤  徐  晓
到顶部