【每日晨读】肺-纵隔交界区占位病例解析



每日
晨读
走过暖春
即将迎来
盛夏时光
只想轻轻对这个季节进行问候




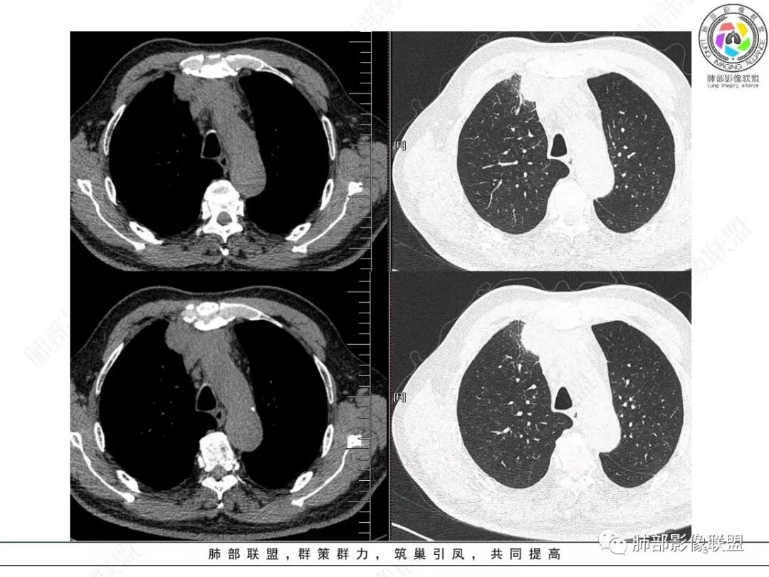
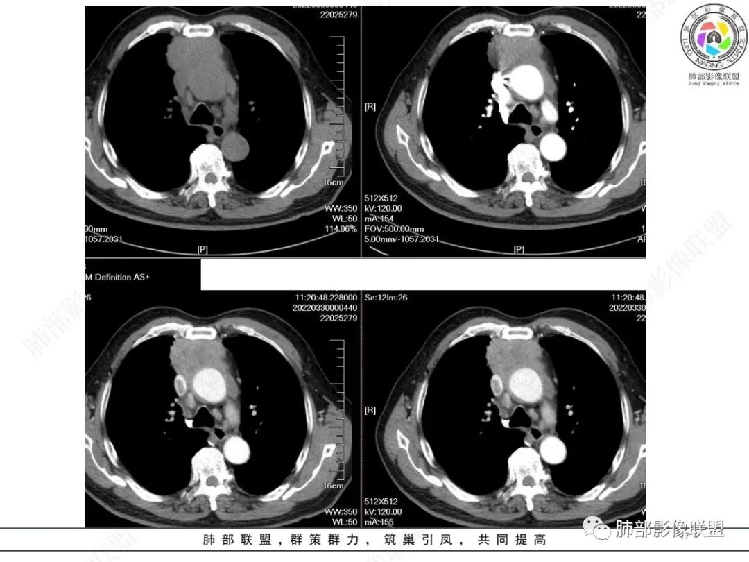
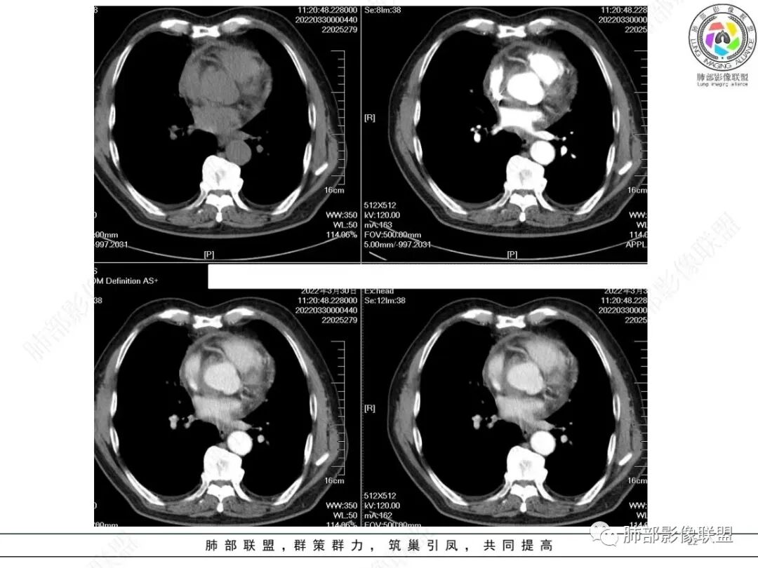
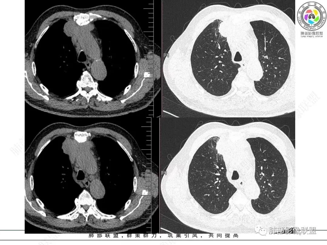
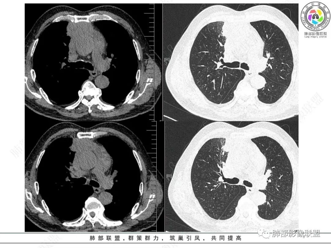
病例资料


























精彩讨论
一切∮随缘:
前纵膈占位,淋巴瘤?胸腺癌?
飞鹰行动:
前纵膈占位,考虑恶性病变,淋巴瘤>胸腺癌
金豆:
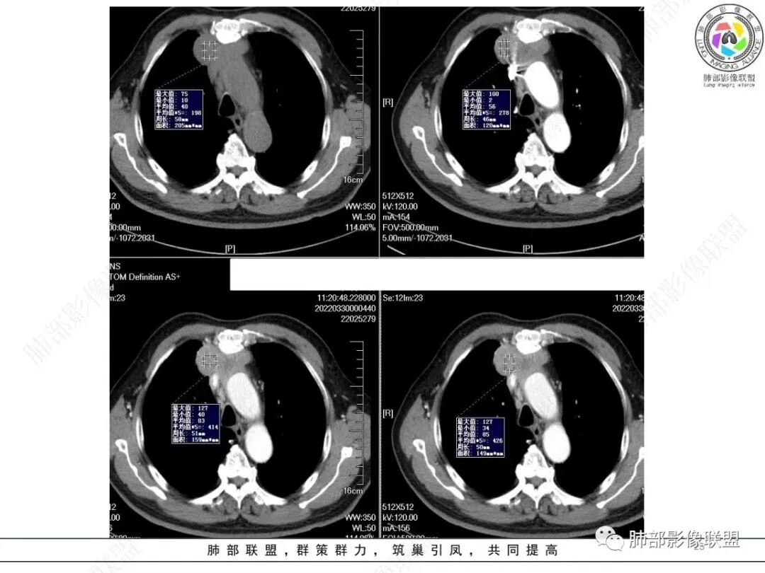
病灶主体位于前纵隔,分叶,部分与邻近分界不清,提示有侵袭性,内部坏死,恶,常规胸腺鳞癌,鉴别不典型类癌。
飞鹰行动:
更正一下,视频看起来,病灶侵犯心包,内部坏死,胸腺癌可能性大
Yishion:
纵隔占位,内部坏死,纵隔淋巴结肿大,心包受侵犯,左前胸壁皮下结节,常规考虑恶性,胸腺鳞癌或者高危性胸腺瘤可能性较大
滴水海:
恶性,淋巴瘤与胸腺癌鉴别
晨:
前纵膈病变,周围界限不清,胸腺癌?
青藤之凉:
支持胸腺癌
丽:
老年男性,纵隔占位,不规则生长,包绕血管,轻度不均匀强化,可见坏死,心包受侵,考虑恶性,淋巴瘤,鉴别胸腺癌
宇宙:
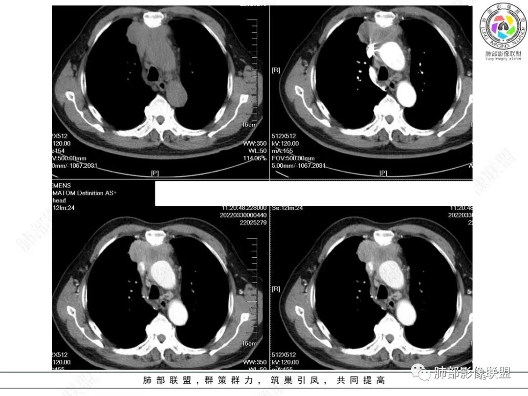
前纵膈肿块,分叶,中心性生长,与纵膈脂肪间隙分界不清,不均匀强化,可见坏死,心包侵犯,增厚积液,考虑胸腺癌,鉴别B3胸腺瘤
月亮圆了!:
前纵隔包块,,分叶,与邻近分界不清,膨胀性生长,强化不明显,内部坏死,先心包积液,胸腔积液异型细胞,肿瘤标志物高。考虑恶性。胸腺癌
周太狼:
前纵膈占位,心包受侵,考虑恶性,胸腺癌?
若晗:
定位于前纵隔肿块,不均匀强化,考虑胸腺癌
衡妈:
老年男性,前纵隔不规则软组织肿块,没有明显钙化,有分叶,结节融合感,增强后不均匀明显强化,局部有低密度坏死区,病灶与血管分界不清,累及心包,心包少量积液,病灶左侧有血管可见充盈缺损是癌栓?。肿瘤指标升高。考虑恶性,胸腺鳞癌,鉴别胸腺瘤B3型。

G,G,study:
CEA高,前纵隔肿块,多灶融合,包绕大血管,考虑纵隔型肺癌,鉴别淋巴瘤、胸腺瘤
修*:
考虑恶性,胸腺癌?淋巴瘤?
尘缘:
这个病例有意思
南边:
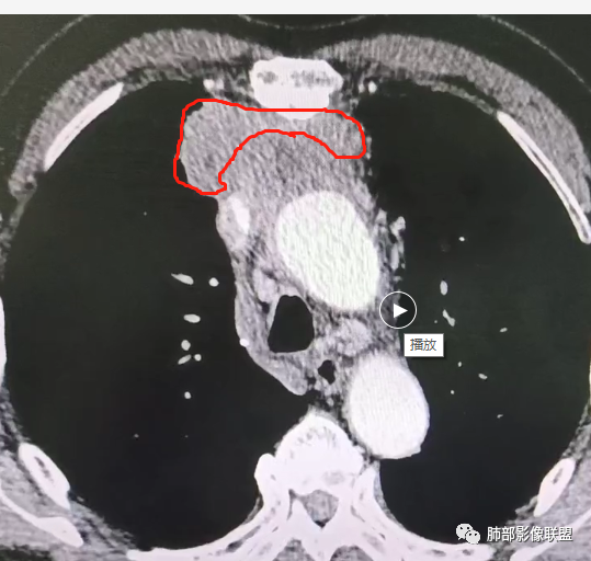
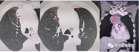
这个病例:1、病灶累及哪些区域?主病灶定位?
2、良恶性?
心包铸形,局部结节状、斑块状强化,恶性应该没问题
尘缘:
前纵隔,累及胸膜胸腔,右上肺,心包,上腔静脉
恶性没问题的
关键是病理类型
南边:
问题是:心包的病灶前面的分界在哪?
尘缘:
反正我是考虑碰撞瘤的
南边:



尘缘:
纵隔与右上肺的肿块平扫和增强密度都有差异的
南边:


放射小白:
老年男性,前纵隔不规则占位,增强不均匀性强化,内部可见坏死,心包积液,心包受累,定性恶性,考虑胸腺癌可能性大,鉴别胸腺瘤(B2以上)。
放射线:
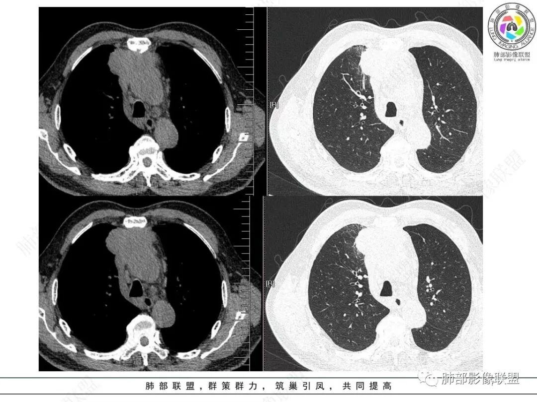
前纵膈肿块,密度不均,可见低密度坏死,与心脏大血管分界不清,延迟强化,右侧相邻肺组织内可见磨玻璃影及网格状小叶间隔增厚,心包积液双侧胸腔少量积液,考虑胸腺鳞癌?腺鳞癌?鉴别淋巴瘤
尘缘:
前纵隔加右上肺肿块累及胸膜、胸腔、心包,上腔,主A等,肺内肿块有支气管进入,且平扫和增强密度异于前纵隔肿块,加上CEA高,细胞角蛋白19片段升高,胸腔脱落细胞P40有阳性。所以恶性肿瘤是没什么问题的。病理类型,单纯的胸腺癌是不好解释的。所以我考虑碰撞瘤:肺腺癌+胸腺鳞癌>肺鳞癌+胸腺癌/瘤。
南边:






尘缘:
对,这个分界还是比较明显的。
流心明智:
男,73,咳嗽、咳痰、胸闷、气短2月。部分肿标高。胸部CT:前纵隔不规则肿物,基本居中,分叶,边缘絮状影,与周围组织分界不清,上腔、心包受累。增强不均匀强化,模糊灶性低密度。考虑胸腺肿瘤,鳞Ca?鉴别淋巴瘤、N源性肿瘤等。
尘缘:
所以,如果是单一的肿瘤,纵隔型肺癌可能大于胸腺癌/瘤
谢加平:
前纵隔大肿块,分叶状,偏右侧,实性密度及强化明显,与心包界限不清,心包增厚及积液(侵犯表现),右肺上叶尖段位于瘤肺旁见小叶间隔增厚,尖段进入肿块外侧见支气管阻断,结合临床肿瘤抗原指标高,肿块定恶性,纵隔旁型肺Ca,与胸腺Ca鉴别!
张燕萍:
前纵隔占位,强化不均匀,侵犯心包,考虑胸腺癌,鉴别鳞癌
南边:
大家看看内乳动脉
看看支气管与病灶关系
张世晓:
考虑胸腺癌可能
小兜:
考虑恶性,胸腺癌可能
良孑:
前纵隔肿物,分叶,居中生长,前纵隔血管脂肪间隙消失,中度强化,心包积液,心包内见结节影,综和考虑支持胸腺癌,其次B3型胸腺瘤

病理结果

安智轩:
转移瘤啊
嘻嘻??:
肺鳞癌
张延军:
穿刺的左胸壁结节,回报肺鳞癌,胸壁为转移灶
嘻嘻??:
他第一次穿刺了纵隔,报了纵隔的炎症
嘻嘻??:
第二次穿刺的这个胸壁结节
嘻嘻??:

白衣影帝:
哪个是原发灶?前纵隔旁的吗?
南边:

尘缘:
可以理解接收,这个肺鳞癌我是一开始就看到的,但是纵隔侵犯太广泛了,怀疑是不是二元,想多了
晓锁:
尹院厉害 
尘缘:
@马小锁_荆门市康复医院放射?今天不厉害,我想多了。
不过病理结果是穿刺的左胸壁的转移灶,所以肺内是单一鳞癌还是鳞腺癌不好说,而且纵隔内到底有没有碰撞也没有完全排除,只能说可能很小
King:
这个鳞癌病理能确定肺来源?
尘缘:
@靳明旭南京市第一医院影像科?病理是确定不了肺来源的
胸腺鳞癌和肺鳞癌的转移免疫组化区分不了@靳明旭南京市第一医院影像科?
所以最好是右肺结节有穿刺病理
King:
那为什么不考虑胸腺鳞癌呢
尘缘:
@靳明旭南京市第一医院影像科?强化的肿块主体在右肺,所以病理自然这样考虑了
衡妈:
学习了,好病例
尘缘:
对临床来说,广泛转移,纠结也没意义了,读片嘛可以发散思维讨论一下
良孑:
为什么不考虑胸腺鳞癌呢?前纵隔肿物十心包或淋巴结转移常规要想到胸腺鳞癌,肺鳞癌一般来讲转移较晚,这例肺门淋巴结转移不明显而心包转移显著,从转移途径上看,胸腺鳞癌>肺鳞癌,穿刺活检是胸壁,感觉有点争议
尘缘:
@屈运良北京东苑中医院放射科?是的,我也同意,但是肺内这个肿块是存在的,因为明显支气管进入截断。
所以我一直考虑是否碰撞
King:
认同,常规这么考虑。尹院思路开阔很有启发性。
南边:
这个病例还是蛮难的
诊断恶性依据比较明显
定位确实很难
边缘毛糙,支气管直达病灶、堵塞,而不是推移支持肺内;附近局限性小叶间隔增厚也支持


King:
尹院能想到碰撞,太牛了
南边:
病灶位于内乳动脉外侧也支持

南边:
不踏实的是骑跨在主动脉前方
还有与心包病变分界不清
King:
就这个鳞癌的结果,不管是肺还是胸腺,CEA指标明显升高还有疑问
尘缘:
@靳明旭南京市第一医院影像科?如果肺内是低分化腺癌,纵隔是胸腺鳞癌伴周围及胸壁转移,就能解释一切了,这也是我考虑碰撞的原因。
King:
@达州红十字医院 尹发友?确实是值得回顾分析探究的病例,您的开阔思路值得我学习
南边分享病例分析过程























讨论精华及分析总结
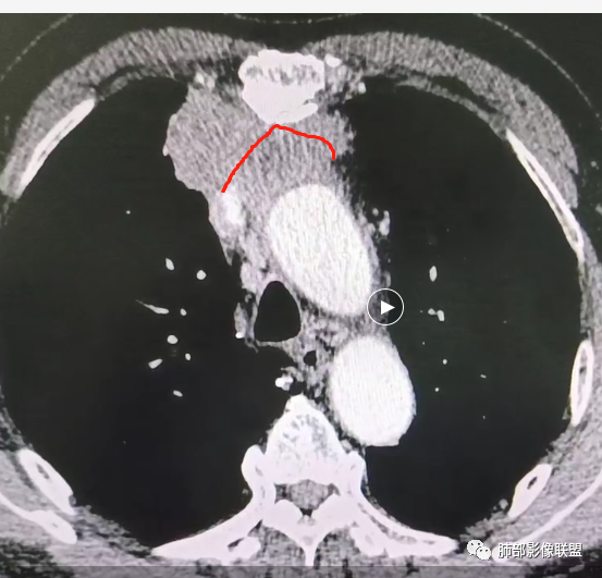
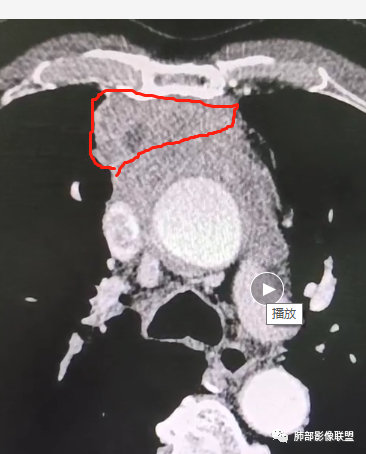
1. 定位
前纵隔及右肺近纵隔区均见见软组织密度肿块,主要依据:肺内支气管血管进入右肺病灶。内乳动脉外侧也有软组织肿块影,故考虑肺部肿块的存在。此外,显示右肺与纵隔内的病灶分界还是比较明显的(可参见南边老师勾画线条)。所以如果考虑单一肿瘤,逻辑上更倾向纵隔型肺癌伴胸膜腔、纵隔、胸腺等转移。但也不能除外同时存在不同性质肿瘤,如尹院考虑的碰撞瘤:肺鳞癌+胸腺癌/瘤。


2.定性
病例定性:前纵隔-右肺不规则团块,支气管截断,侵犯胸膜腔、纵隔、心包、密度不均,强化特征等等,符合恶性。
3.对病理结果的争议
左胸壁结节穿刺结果:肺鳞癌胸膜转移。但仅仅是左胸壁结节的穿刺,并不能完全解释并推定其来源及生物学行为,如确定是肺来源。免疫组化也难以区分胸腺鳞癌和肺鳞癌的转移。但是右肺病灶和前纵隔病灶同时存在,碰撞瘤的可能性是存在的。
碰撞瘤(collision tumor):是指由两个独立的原发肿瘤相互碰撞或相互浸润而形成的肿瘤,即两种不同的肿瘤同时发生在同一部位。
1、Schild(1973)认为所谓癌肉瘤实系两种不同组织,从不同区域发生的肿瘤,而且互相浸润,故属于碰撞瘤。
2、食管碰撞瘤临床上十分罕见而且多以癌肉瘤的形式出现,食管鳞状细胞癌与食管平滑肌瘤相互碰撞浸润形成的碰撞瘤更少见。
                                                                                         ------摘自百度词条
编辑:高巧灵
审核:雷  凤  徐  晓



END
到顶部