【每日晨读】 最经典的肺炎型肺癌




精彩病例分享










































精彩讨论发言

甄德强:
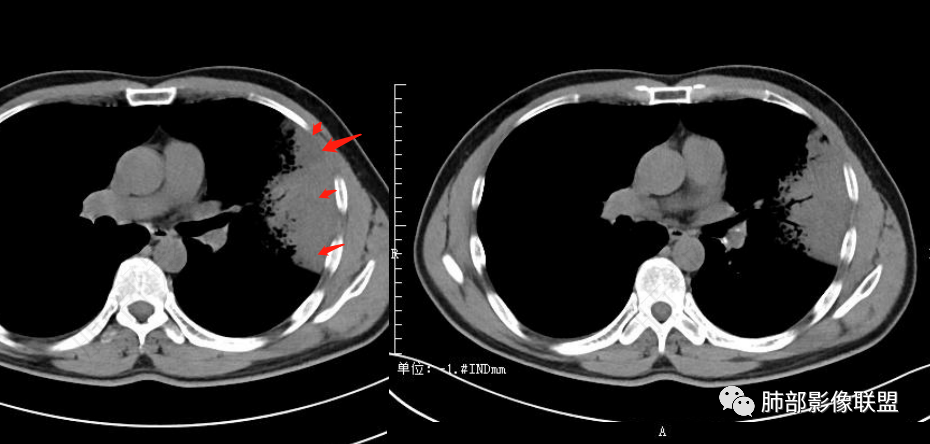
左肺上叶大片状实变影混合磨玻璃影,其内可见蜂窝征,增强扫描明显强化,进入病灶血管边缘有侵犯,结合病史,考虑肺炎型肺癌。鉴别诊断大叶性肺炎。
ZhaoXRay:
病史提供影像表现就不赘述,考虑肺粘液腺癌,两肺弥漫性结节,肺内播散?
飞鹰行动:
中年男性,咳嗽咳血,影像表现左肺上叶片状阴影,周围可见多发磨玻璃影,病灶内支气管僵硬,增强病灶内可见血管造影征,病灶与胸膜可见栽赃,考虑恶性病变,粘液性腺癌。
宇宙:
左肺上叶胸膜下实变伴周围边缘磨玻璃,其内可见枯枝征及蜂窝,不均匀强化,可见低密度影,血管显示尚可,考虑肺炎型肺腺癌
看图说话:
左肺大片实变,密度不均,边缘膨隆,周围磨玻璃,强化密度略低,双肺小结节,考虑粘液腺癌
张延军:
左肺上叶胸膜下大片状实变区,周围散在磨玻璃影,局部膨隆,界清,近端气管截断,叶间胸膜局部稍膨隆,增强扫描实变区轻度强化,内走形血管僵硬,轮廓毛糙,胸膜栽赃,半年病史考虑恶性,粘液性腺癌
丽:
左肺上叶大片状实变密度影,边缘见磨玻璃密度,呈外向内生长,内可见多发支气管影,走行僵直,增强后实变部分明显不均匀强化,血管纤细,考虑粘液腺癌可能大
?? 玫:
男,46岁,反复咳嗽半年,痰中带血,加重10天,左肺上叶大片状实变影,边缘模糊,病灶内见蜂窝影及僵硬支气管,双肺内见多发小结节,增强扫描,病灶明显强化,左侧胸壁增厚,考虑恶性病变,粘液性腺癌可能。
春秋:
中年男性,慢性病程,白色黏液痰,左肺上叶实变伴周围磨玻璃样改变,界限似情非情,有强化,考虑恶性可能,腺癌?
刘丹:
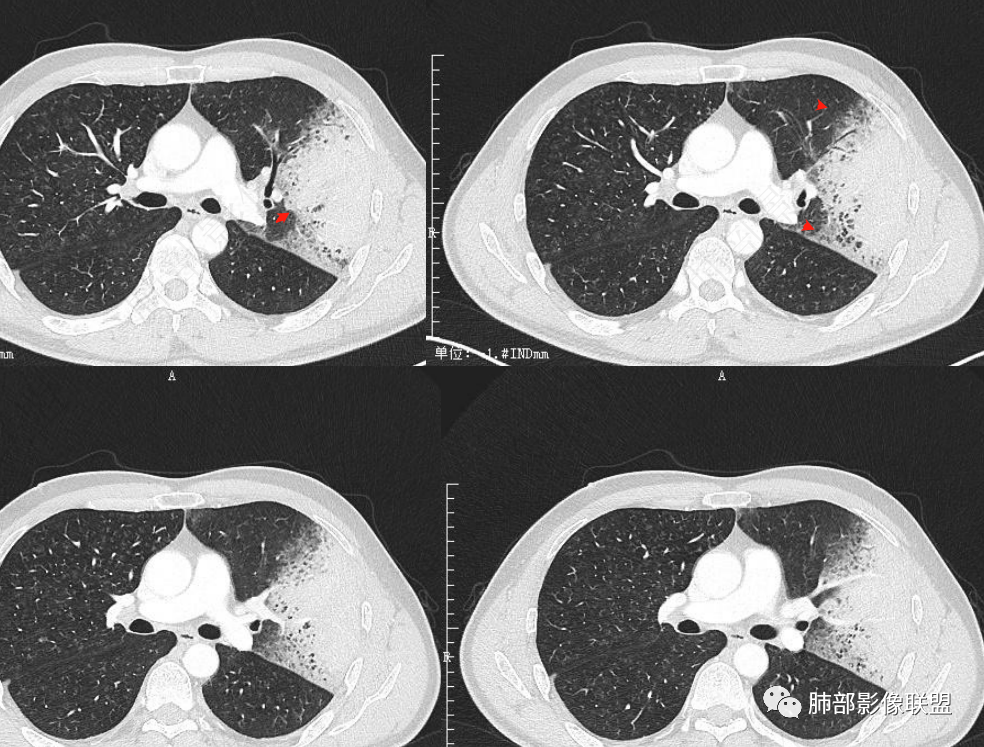
左肺上叶斑片实变影,内有周边磨玻璃影并小叶内间质增厚,增强实变影内有肺动脉走形,考虑肺炎型肺癌;双肺弥漫分布小结节,细支气管炎?过敏性肺炎?转移?
尘缘:
这个粘液腺癌太典型了,临床,影像,该有的都有,不该有的都没有。送分题
了:
中年男性,病史半年并咯血,左肺实变并磨玻璃影,枯树枝征,血管征,考虑恶性肿瘤?
放射线:
左肺上叶片状实变,内可见多发空泡及蜂窝影,斜裂上方可见相同病灶由于斜裂阻挡呈重力分布,强化可见血管造影征,双肺弥漫分布气腔结节,临床咳白色粘液痰,考虑粘液腺癌
良孑:
左上叶大片实变,实变以网格为中心,外向内生长,边界似清非清,实变内见枯树枝征及血管造影征,慢性病史,咳白色粘液痰,炎性标志物基本正常,定性恶性,考虑粘液腺癌
流心明智:
男,46,咳嗽半年,加重10天,白粘痰,偶有痰血。胸部CT:左肺上叶舌叶大片实变影,边缘GGO,长轴沿胸膜及叶裂展开,重力依赖,胸膜叶裂阻隔,内见蜂窝,钱币征,枯枝。强化不均匀,血管造影征。考虑粘液腺癌,鉴别大叶性肺炎、干酪性肺炎等。
谢加平:
中年男性,左肺上叶胸膜下实边及强化,整体大团块状,不按肺段分布,实边密度均匀,相应受景的支气管有阻断,周围清楚GGO,余肺叶见弥散气腔结节,边清,工作站血管MinP重建肺V小分支破坏消失(有学者提出这观点),结合慢性咳嗽半年,白色粘液痰,带血丝,抗炎治疗无效,首选粘液腺Ca,左肺上叶胸膜下病灶穿刺确诊!


南大分析
南边:
比较一致不知道这个人干啥的?吸烟史如何?



南边:
有吸烟史
1、呼吸性细支气管
46岁男性,病史半年,近期咯血,无肺气肿背景

大片实变灶累及多个段


实变区位于胸膜下,长轴与胸膜平行

实变区内有低密度带,强化偏低,欠均匀


支气管近端通畅,实变区远端堵塞,腔内有粘液栓


血管走形尚自然,没重建血管,没有明显血管受侵
糊墙征   蜂窝征

GGO部分边界清,近实变区密度高


部分肺动脉局部狭窄,考虑局部推压

南边:
综合分析:
1、肺炎型肺癌
2、吸烟相关性肺病——呼吸性细支气管炎
琦遇:
粘液性腺癌,破坏力比较弱吧?
南边:
弱,一般侵犯比较少
M-Imaging :
弥漫均匀的小结节,应该和职业病或吸烟有关,粘液飘出去的,不会这么的均匀

病例结果



病理图









王兆宇老师分析:

粘液有的,核位于基底部,胞浆粘液丰富

这种容易漂出去

这里看着像粘液里飘着脱离的肿瘤细胞团

这些含黏液细胞团,像是拍集体照,中间高两边矮一点,很符合粘液腺癌特点
空格:
王老师  顶着粘液泡的就是粘液腺癌,没泡比较小的就是普通腺癌?@王兆宇 肺病理 管理员?
集体照中,高个戴了顶厨师帽,粘液腺癌, 矮的不带帽就是普通腺癌癌,但这张集体照应该被叫做粘液腺癌?
轩:
就是部分有,混合型的,所以干脆给浸润性腺癌?
空格:
有就应该标粘液腺癌,不然,不是要出一个标准,达多少比例才叫粘液腺癌,低于比例只能叫腺癌?不过也不合理,似乎应该有应该恰当比例才行
病理科医生的自由裁量权
王兆宇:
@吕军浩 宜兴市中医院 影像科?混合的
这例一半左右的比例。

病例小结

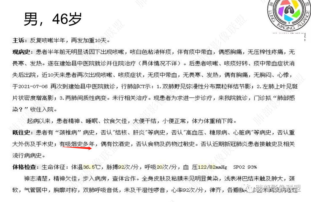
1.中年男性,长病程,反复咳嗽半年余,痰血。有吸烟史及短期粉尘接触史,咳嗽,咳血痰,白细胞正常,中性粒细胞百分数轻度升高,肿瘤标志物正常。  
2.左肺上叶大片状混合密度影,未见空洞,实变影主要位于胸膜下,长轴与胸膜平行,实变区内部密度不均、其内可见多发小斑片状低密度影,磨玻璃影多位居肺门一侧,可见网格,磨玻璃影边界多可分辨,重力分布趋势。病灶区支气管显示较为通畅,进入外围实变区渐至消隐。病灶轻度不均匀低强化,病灶区肺动脉显示较良好,未见破坏。
  双肺广泛分布微小磨玻璃密度结节影,腺泡结节样分布,密度大小较为均匀一致。
3. 综上,患者中年男性,长病程,影像上磨玻璃/实性混合密度,边界可分辨,重力分布趋势,支气管通畅,穿行血管较为完好,较为符合典型粘液腺癌或腺癌影像学表现。如影像上进行性进展且出现多肺段多肺叶飘散磨玻璃结节,则更具判断价值!      
关于肺炎型肺癌


 肺炎性肺癌,是一种影像学上表现为实变、斑片或大片状模糊阴影的肺癌。肺炎性肺癌影像表现不典型,是周围型肺癌的一种,病理类型多见于肺腺癌,少见于鳞癌、小细胞肺癌,而肺腺癌中以粘液腺癌多见。
    粘液腺癌是一种原发性肺腺癌的变异型,病理上起源细支气管壁以远的支气管与肺泡上皮,属于周围型;其细胞形态及排列方式与非粘液性腺癌有所不同,为成簇排列的粘液腺上皮,很早就有细胞内粘液及分泌细胞外粘液;早期粘液腺癌常为一单发结节,有沿气道距离播散的能力,中后期肿瘤细胞随粘液飘向更远的肺段及肺叶,会出现斑片状肌片状实变和/或磨玻璃密度样的肺炎样影像学改变;随着肺粘液腺癌体量的增大,粘液的播散,临床上会有咳白痰,查痰液脱落细胞会找到肿瘤细胞。
  1、典型的粘液型腺癌:通常TTF-1阴性,粘液产生早而且多
• 最初都是结节状,很早就有粘液分泌,粘液的分布面积常大于肿瘤本身。
• 后期随着粘液在气腔及气道漂散,肿瘤容易种植播散于肺泡腔,但不容易种植于支气管黏膜面
• 典型的粘液腺癌通常占所见粘液型腺癌的大多数
•  肿瘤细胞内大多充满白色的粘液(是细胞浆里的粘液),初期细胞核是在基底部,酷似“猕猴桃”切面所见。
• 收缩力很弱
  2、不典型的粘液型腺癌:TTF-1阳性,推测粘液产生晚而且少
• 初期也是结节,黏液分泌少,相对接近于普通型腺癌的形态
• 后期可以漂散,播散,也可以仍然是局部的肿块
• 浸润性常较强,长大一点有人把它称为“浸润型粘液腺癌”,浸润型粘液腺癌的概念应该更广一些
• 部分肿瘤细胞没有粘液分泌,这个不像典型的粘液腺癌那种所有细胞都在分泌粘液,而如同普通型腺癌,他的肿瘤细胞有部分泌粘液,收缩力较强,胸膜收缩,胸膜牵拉可以很强
   可以理解为粘液型与普通型的中间类型,部分列入普通型腺癌伴黏液分泌,因此相对较少
相关知识链接
【每日晨读】云里雾里寻踪迹(一)(粘液腺癌)
【每周一例】135期讨论实录 一例不“飘”粘液腺癌
肺的粘液型腺癌病理影像讲座——病理篇
END
编辑:杨新娟  雷  凤
审核:胡飞云  徐  晓



到顶部