【每日晨读】前纵隔偏侧生长的肿块,情理之中、意料之外!









































































微信群讨论
放射小白:男性47岁,前纵隔团块状占位,边界尚清,增强中度强化,内部疑似纤维分隔,常规考虑胸腺瘤可能(A/AB型),鉴别类癌、CD。
瑞欣:中年男性,检验未见明显异常,前纵隔软组织快影,边界清,可见明显强化,首先考虑胸腺瘤,鉴别淋巴瘤,畸胎瘤,生殖细胞瘤。
金豆:晨读:定位前纵隔,膨胀性生长,质地中等,边界清,有浅分叶,中等强化,似乎有裂隙低密度,常规胸腺瘤(B1)。
Yishion:晨读:纵隔占位,偏侧生长,边界清楚,有浅分叶,强化明显,其内似见纤维分隔,常规考虑胸腺瘤(AB型)。
蓝天白云:晨读:47岁男,前纵隔占位,边界清,有浅分叶,中等强化,胸腺瘤(B1)。
宇宙:前纵膈偏左类圆形肿块,边界清晰光整,与大血管脂肪间隙清,密度均匀,轻中度强化,考虑胸腺瘤,A型?鉴别胸腺癌。
玫:男,47岁,咳嗽,咳痰一年,前纵隔软组织密度肿块影,边界清晰,内密度均匀,增强扫描轻度强化,考虑胸腺瘤可能。
周太狼:中年男性,前上纵隔胸腺区软组织团块占位,边界清,增强中度强化,内密度较均匀,常规考虑胸腺瘤。
月亮圆了!:前纵隔包块,边界清,有分叶,密度不均,中等强化,考虑胸腺瘤。
衡妈🇨🇳:中年男性,前纵隔偏左侧实性占位,密度相对均匀,边缘分叶,周围脂肪结构略模糊,增强后动脉期不均匀强化,有低密度区,纤维分隔显示不清。考虑胸腺瘤B1 B2型。
朱伟超:中年男性,前纵膈偏离中线肿块,浅分叶,内有分隔,中等不均匀强化,常规胸腺瘤。
流心明智:男,47,咳嗽、咳痰1年余。胸部CT:前纵膈偏左类圆形肿块,瘤肺界面清晰光整,纵隔侧部分层面絮状影?平扫密度较均匀,增强后轻度强化,内可见宽带及线样低密度分隔。邻近左上肺受压凹陷。考虑胸腺肿瘤,AB型?胸腺Ca?鉴别淋巴瘤、N源性肿瘤、CD等。
꧁༺༽༾ཊ天涯ཏ༿༼༻꧂:胸腺瘤常规考虑,鉴别癌、CD,神经源性肿瘤。
在路上:考虑胸腺瘤,密度均匀,无钙化,轻度强化,边缘请放射线:前纵膈偏左侧肿块,边缘光滑清晰,周围脂肪间隙清晰,渐进性强化,密度不均,考虑胸腺瘤,鉴别淋巴瘤。
看图说话:前纵隔肿块,边界清,有分叶,密度不均,中等强化,考虑胸腺瘤,淋巴瘤。
良孑:前纵隔肿物,偏心性生长,轻分叶,均勺强化,内可见分格,支持AB型胸腺瘤。
lmg:前纵膈肿块,整体边界整齐,可见AB区,强化不均匀,可见延时强化,病灶内未见明显钙化,无分叶,考虑AB型胸腺瘤。
毛勤香:前纵隔,偏心,可疑低密度区,明显强化,常规考虑胸腺瘤,鉴别胸腺类癌。
南边:支持前纵隔、胸腺瘤首选,晨读其实定位上还是有点难度,定性常规还是考虑胸腺瘤,其他的几率比较低一些,需要鉴别的是胸膜SFT,神经源性,可惜的是没重建,一直在犹豫胸膜来源的可能性。
谢加平:前纵隔左侧肿块,边界清,强化较均匀,内侧有侵犯脂肪间隙,恶性特点,选胸腺瘤。

结果

病例总结
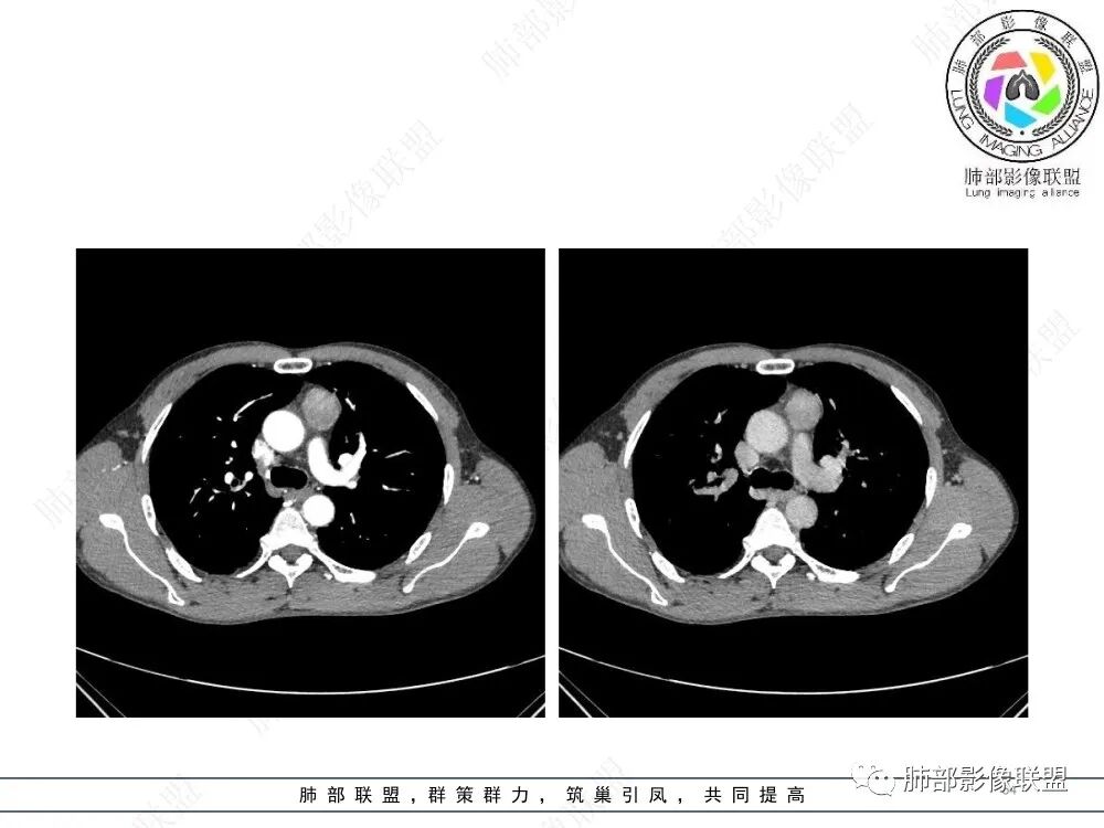
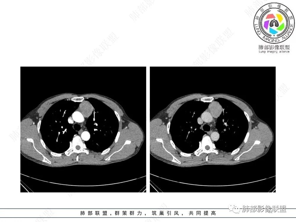
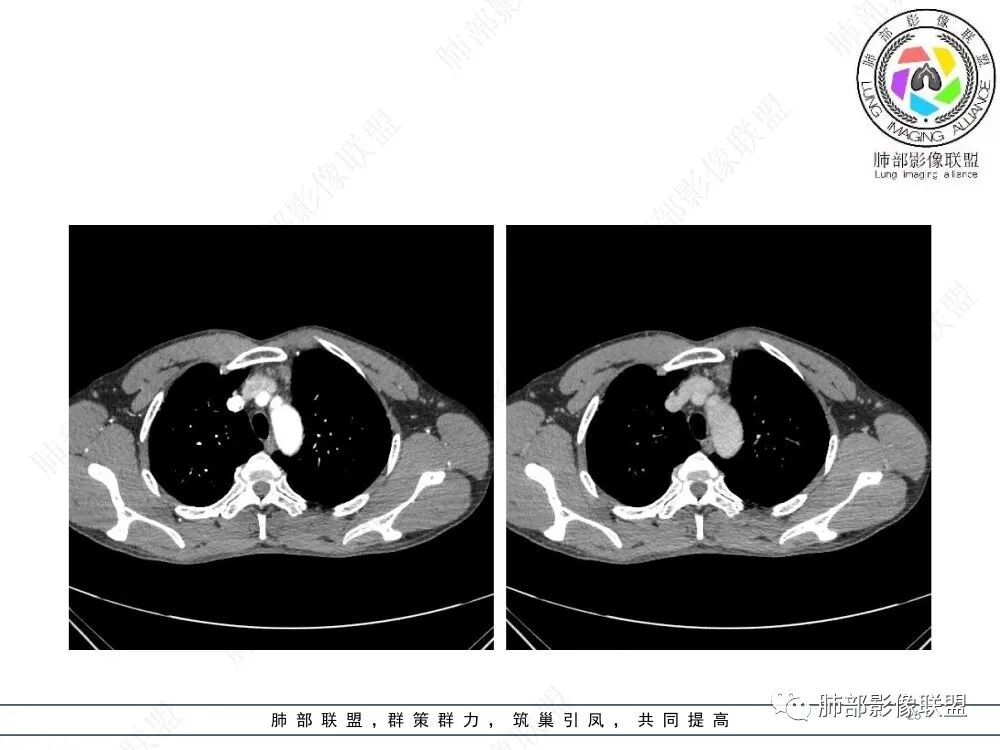
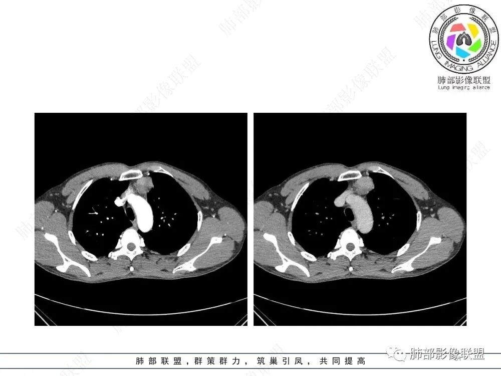
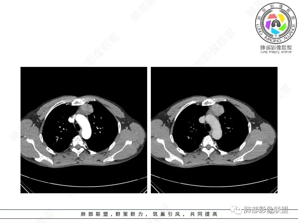
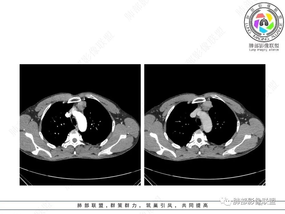
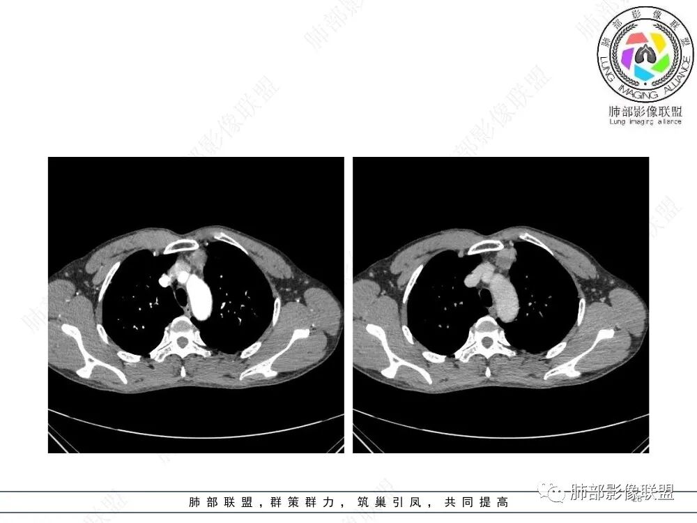
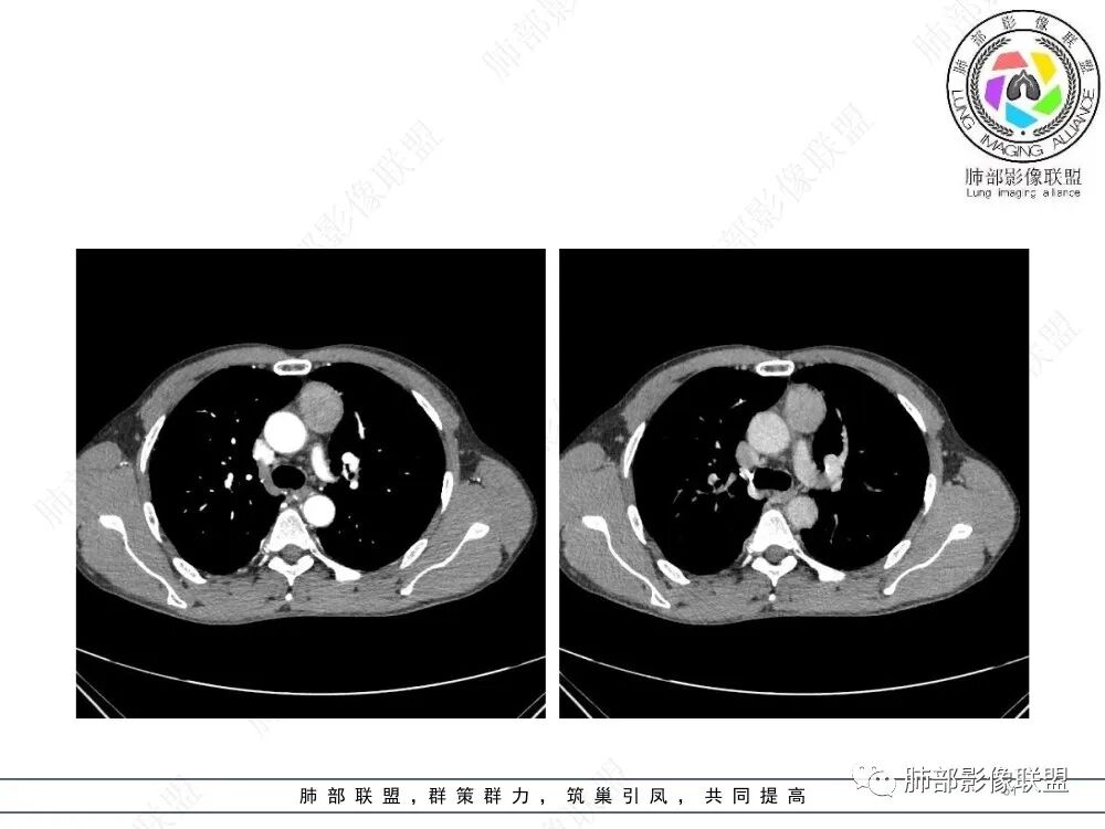
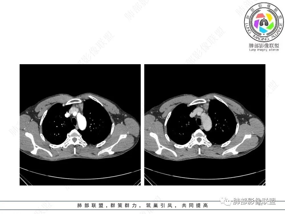
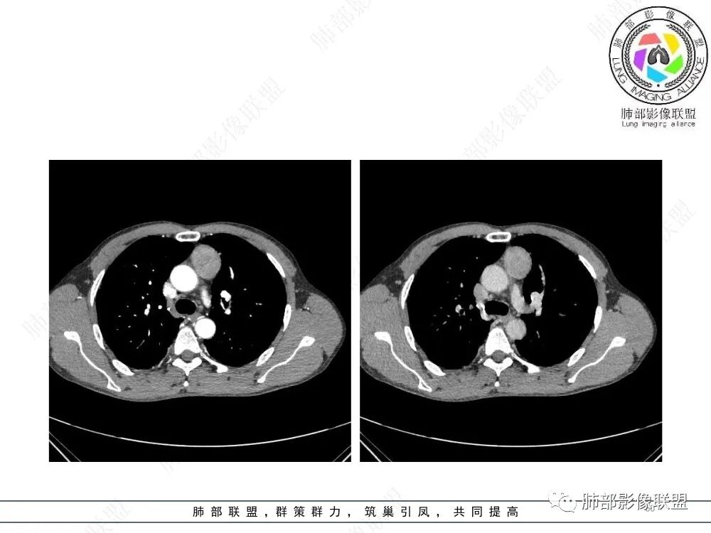
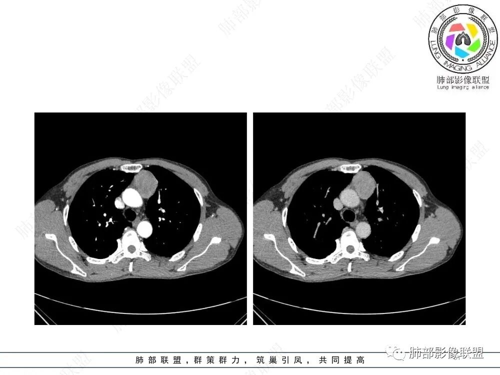
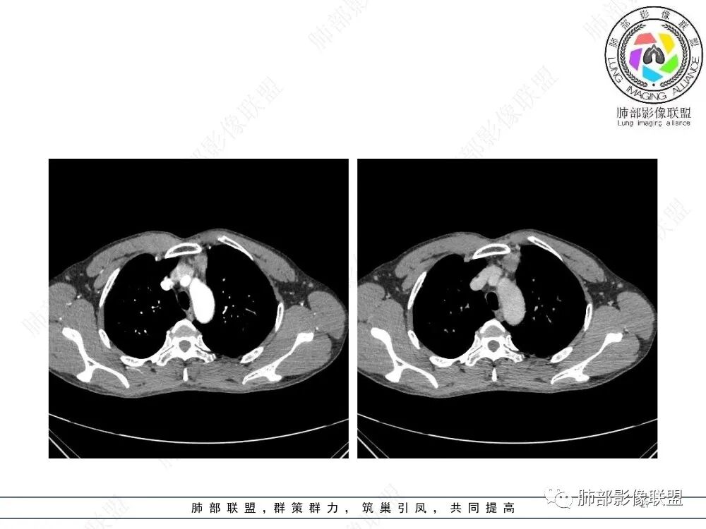
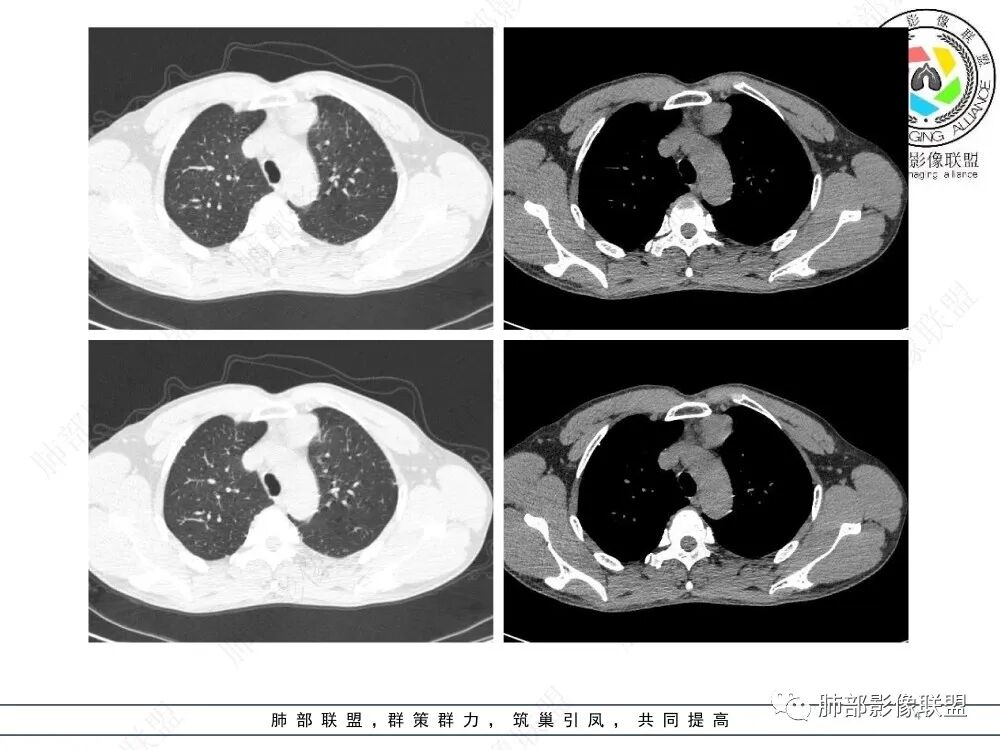
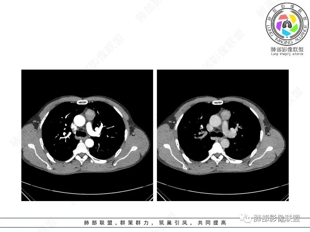
1、临床特点:47岁男性,咳嗽咳痰1年余。实验室检查无特殊。
2、影像特点:前纵隔偏左侧软组织影,密度相对均匀,未见明显包膜钙化及实质内钙化,局部边缘浅分叶,周围脂肪间隙密度增高、浑浊,未见侵犯大血管、未见纵隔内淋巴结转移、未见侵犯心包内结构、未见胸膜转移结节、未见肿块沿着纵隔胸膜蔓延,未见胸腔积液。增强后动脉期不均匀强化,未见明显纤维分隔。
3、 病 例 小 结:40岁以上,前纵隔偏侧性生长的肿块,常规考虑胸腺瘤。难点就在于胸腺瘤的分型。但是对于前纵隔占位影像诊断的关键在于区分胸腺囊肿、胸腺瘤、胸腺癌及其他恶性肿瘤。至于胸腺瘤,主要在于判断有无侵袭性。

资料拓展
胸腺瘤(thymoma)是最常见的前上纵隔原发性肿瘤,约占成人所有纵隔肿瘤的20%~40%,它起源于胸腺上皮,但不包括起源于生殖细胞、淋巴细胞、神经内分泌细胞及脂肪组织的肿瘤。绝大多数胸腺瘤位于前纵隔,附着于心包,与纵隔内大血管关系密切,少数发生在纵隔以外部位,如胸膜、心膈角、肺实质内、肺门或颈部。胸腺瘤生长缓慢,多为良性,包膜完整,但临床上有潜在的侵袭性,易浸润周围组织和器官。胸腺瘤与自身免疫紊乱密切相关,常伴有重症肌无力(mysasthenia gravis,MG)、各类粒细胞减少症、红细胞发育不良、低丙种球蛋白血症、胶原血管病等副瘤综合征(paraneoplastic syndromes)。国外文献显示胸腺瘤在人群中的年发病率是0.15/10万,男女比例为1:1,发病高峰年龄在40~50岁。胸腺瘤伴发重症肌无力的发生率约为10%~46%,多在30~40岁。儿童胸腺瘤罕见,但恶性程度更高。胸腺瘤的发病机制目前尚不清楚。有学者认为患者既往有放射治疗和EB病毒感染史可能与胸腺瘤有关。

                          病例分享






以上病例分享资料来自:黄勇老师倾心大作——胸腺肿瘤精准影像诊断(上)
编辑:李  菲
审核:雷  凤  徐  晓



到顶部