【每日晨读】当年轻女性遇到实性结节,良性or恶性?



肺 / 部 / 影 / 像 / 联 / 盟 
每日

HAPPY
DAY
晨读


小满是二十四节气之一,夏季的第二个节气。该节气是指夏熟作物的籽粒开始灌浆饱满,但还未成熟,只是小满,还未大满。北方夏熟作物子粒逐渐饱满,早稻开始结穗,在禾稻上始见小粒的谷实,南方进入夏收夏种季节。

PART.1
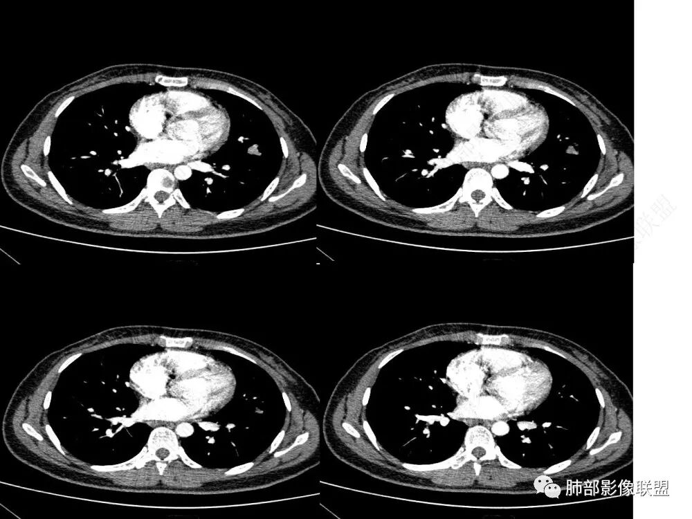
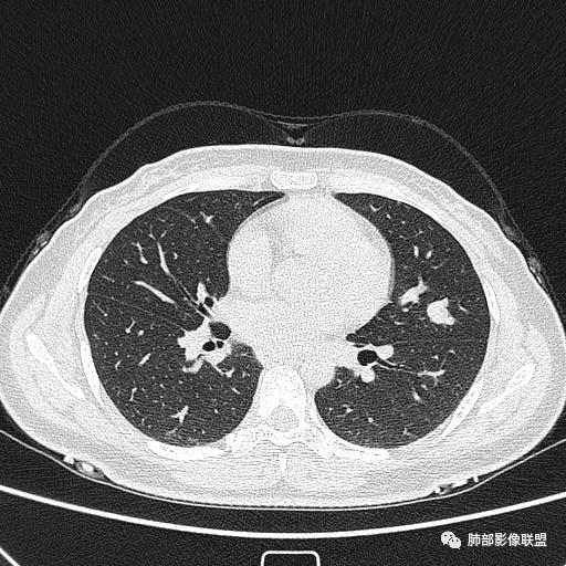
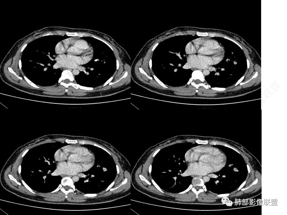
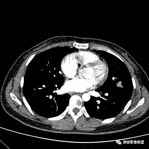
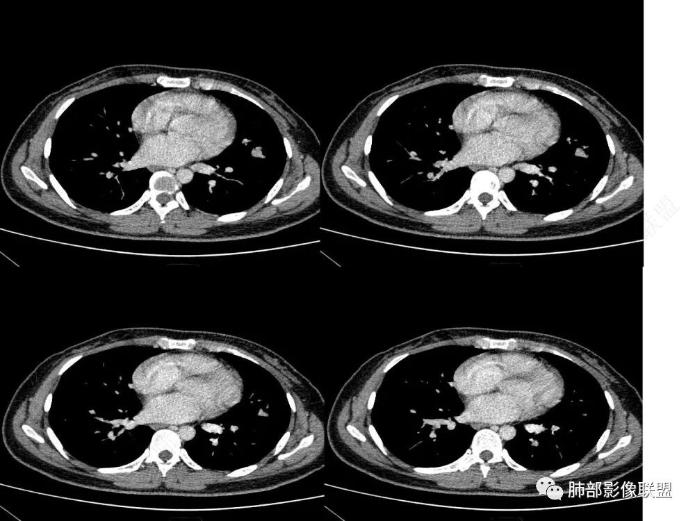
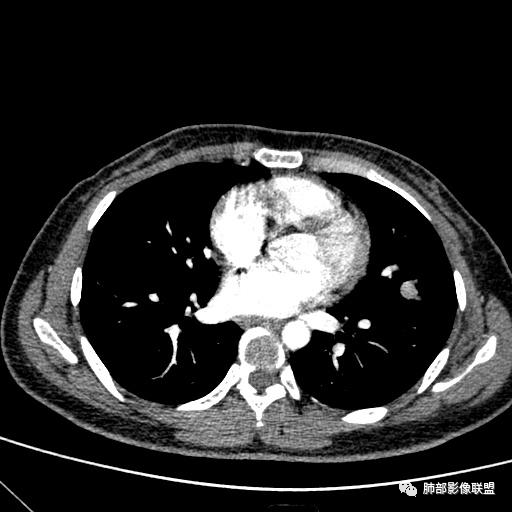
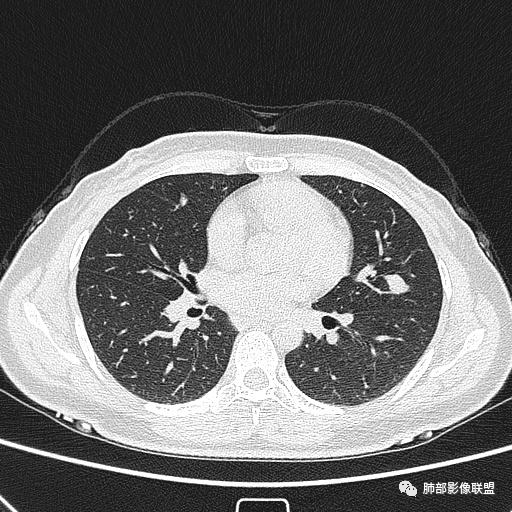
病例资料














2022/05/13 GRAIN BUDS


PART.1
微信群讨论

赵国千:
常规会把PSP/错构瘤放前面,其次平滑肌瘤肺内转移,再者肺支气管囊肿,最后肺小细胞癌,一般吸烟男性多见。
王开金:
年轻女性,肺部结节,实性,边界清楚,考虑良性。
刘权威老师:
类圆形,收缩力弱,血管贴边,强化,无症状,良,PSP,鉴别神经内分泌。
刘海玲:
实性结节,有分支感,目测有明显强化,青年女性,良性考虑PSP 、错构瘤 恶性考虑典型类癌?
了:
左肺上叶舌段结节性,边缘清楚,平直,部分膨隆,支气管未进入,血管贴边,不均匀强化,考虑良性病变,硬化性肺细胞瘤目前征象有血管贴边征,似乎有鼠尾征,但强化不均匀,所以不太像。
飞鹰行动:
青年女性,体检发现,左肺上叶结节,膨胀性生长,边界清晰,可见尾征,病灶与支气管关系不密切,增强病灶强化较明显,考虑良性病变,PSP?血管畸形?
宇宙:
年轻女性,左肺上叶舌段不规则结节,边界清晰光整,边缘平直膨隆,血管贴边,明显持续强化,考虑PSP,鉴别类癌
肺部联盟张延军:
左肺上叶及右肺中叶结节,局部膨隆,界清,不均匀强化,炎性结节?
流心明智:
女,30,无症状。胸部CT:左肺上叶孤立实性结节,浅分叶,边界清晰,边缘圆钝、平直都有,支气管未入,血管贴边,挂果?不均匀强化,考虑良性,PSP?错构瘤?鉴别SCLC,类Ca。
丁云:
不均匀强化,膨胀生长,边缘清晰,考虑炎性肉芽肿(TB)鉴别腺癌
一切∮随缘:
考虑类癌
看图说话:
左肺上叶结节,边界清晰光整,平直膨隆,血管贴边,明显持续强化,考虑PSP,鉴别类癌
听禅观竹(赵承勇):
鸭蹼状形态,强化较为明显,考虑神经内分泌肿瘤可能,小细胞肺癌?类癌?
王秀仙:
左肺上叶尖后段结节,边缘光滑清晰,外侧缘见芋艿子样小结节,右肺上叶水平裂下亦可见结节状影,边缘平直,增强有强化,考虑炎性肉芽肿,结核?鉴别ABPA。
꧁༺༽༾ཊ天涯ཏ༿༼༻꧂:
临床症状无,影像表现良恶性都可,良性,psp、错构瘤、炎性肉芽肿、ABPA;恶性腺癌、类癌、小细胞?
G,G,study:
年轻,无症状,形态不规则,部分边缘圆钝,边界清晰,强化不均匀,边缘明显,考虑良性PSP、PEcoma、肉芽肿炎或恶性神经内分泌瘤
邢瑞欣:
年轻女性,无症状,左肺上叶近圆形高密度影,边缘不规则,边界清,强化不均匀,考虑良性,结核?肉芽肿?错构瘤?
慎独:
考虑恶性--小C?
月亮圆了!:
左肺上叶孤立结节,浅分叶,边界清晰,边缘圆钝,强化,血管贴边。肉芽肿
国科大华美 高巧灵:
年轻女性,边界清楚的结节,无收缩力,倾向良性,血管贴边,强化较明显,考虑PSP可能,但需鉴别类癌,神经内分泌肿瘤还有其他肉芽肿性炎
屈运良,北京清河医院放射科:
青年女性,左肺实性结节,边缘有平直及轻度膨胀,无分叶毛刺,显著强化,良性征象居多,参考黄老师3∴3原则首先排除恶性占位,考虑炎性结节,鉴别PSP?
弹指之间:
青年女性,无相关症状,左上肺结节,部分边界清,部分见突起,外缘见磨玻璃,考虑神内或粘表,psp可能性小。
刁胜林~衡水四院放射:
青年女性,左肺上叶舌段实性结节,形态不规则,边缘清楚,有圆钝,有平直,有血管贴边,强化明显,考虑PSP  鉴别炎性肉芽肿。
荆门市康复医院 马小锁:
青年女性,无症状。
实性结节,形态膨隆,边界清楚,尾征,无分叶毛刺,增强均匀中度强化,考虑神经内分泌肿瘤,小?
x-ray:
左肺上叶良性实性小结节,血管贴边征像,PSP可能大

2022/05/13 GRAIN BUDS


PART.1
南边分析


小满天逐热,
温风沐麦圆。
南边:
图少了一点。需要了解的地方:1、尾巴明确






2、支气管情况
这两点清楚了,这个病灶基本明确。
宇宙星空:
跟支气管没有明确关系,不知道薄层能看到不
尘缘:
PSP,鉴别类癌
宇宙星空:
病灶类三角形,局部稍膨隆,大部边缘平直光滑清楚,血管贴边,轻度强化,与支气管与明确关系,支持PSP
毛勤香:
支气管关系不明确,分叶,血管贴边,明显强化,年轻女性,首先倾向良性,psp,糖瘤,pecom
谢加平:
左肺上叶上舌段实性结节,边界清,光滑,膨胀生长,邻近血管受推压,渐进性强化特点,年轻女性,无症状,良性结节,PSP!补充与错构瘤鉴别
2022/05/13 GRAIN BUDS


PART.1
病例结果



2022/05/13 GRAIN BUDS


PART.1
病例总结

1、临床特点:30岁女性,体检发现肺部结节。
2、影像特点:左肺上叶舌段实性密度结节,边界清楚,略呈不规则三角形,边缘多平直,未见分叶、毛刺及明显收缩。密度均匀,未见钙化、脂肪密度或低密度液化空洞,持续渐进强化。未显示相关支气管及血管出入、血管贴边等。未见明确卫星病灶。双肺门及纵隔未见增大淋巴结。
3、病例小结:年轻女性,体检发现,左肺上叶舌段实性结节,边缘清楚光滑,未见分叶毛刺及收缩,亦未见边界清晰的磨玻璃晕,与支气管血管了无瓜葛等,较为符合的是肺良性结节。
1)边缘平直略呈三角形,甚至外围局部凸起,强化方式等都应当排除肉芽肿性炎。
2)形状不规则,强化明显,支气管囊肿性不在考虑之列。
3)边界清楚,未显示相关支气管及血管出入,强化明显,应当想到硬化性肺细胞瘤。
4)未见明显脂肪密度及爆米花样钙化影,强化明显,缺乏常见的错构瘤征象。
5)形状不规则,强化明显,类癌应当警惕。肺门纵隔未见肿大淋巴结,其他神经内分肿瘤可能性较小。
2022/05/13 GRAIN BUDS


PART.1
资料拓展

硬化性血管瘤    
硬化性肺细胞瘤是肺内少见的良性肿瘤,其发病率约占肺良性肿瘤的11%由 Liebow等于1956年首次报道,冠以“肺硬化性血管瘤”,以往该病曾被称为“黄色瘤、纤维黄色瘤、肺组织细胞瘤、炎性假瘤、浆细胞瘤、肺腺瘤”至1999年WHO将其正式命名为“肺硬化性血管瘤”; 以往关于该病的组织来源存在争议,究竟起源于内皮、间皮、上皮还是神经内分泌细胞,说法不一,近年来通过免疫组化和免疫电镜研究, 大多数学者认为其来源可能是原始肺上皮细胞,特别是肺泡型上皮细胞,因此命名为“硬化性肺细胞瘤”。
临床表现:40-50 岁,中年女性;亚洲人发病率最高,欧美罕见;多无明显症状,偶然发现;最常见的临床症状是咳嗽、 痰中带血、胸痛;单发,右肺多于左肺,偶见多发报道;尽管被认为是一种良性肿瘤,但少数病例可出现转移,表现为淋巴结单发或多发转移,淋巴结转移并不影响预后,远处转移者鲜见报道。
X 线胸片:孤立性结节,病灶边缘光滑锐利,密度均匀,周围无卫星灶。
CT:形态:圆形或椭圆形结节,边界清楚,无分叶及毛刺、无胸膜凹陷征及血管集中等恶性征象,无卫星病灶,周围无纹理增多及粘连等;大小:平均直径3cm,从<1cm到>10cm均有报道;密度:均匀、软组织密度,偶有出血、囊变、钙化;强化方式:多为均匀明显强化,少数不均匀强化;其它特殊征象:血管贴边征 、空气半月征 、晕征,偶见纵隔淋巴结肿大。
小结:硬化性肺细胞瘤(PSP),是肺泡至终末细支气管的错构。男女比约1:5,有两个重要特征:血液灌流和硬化,组织学上还有乳头状区,瘤体里面没有正常形态的肺动静脉及支气管通过,影像主要依据是整体圆球形,没有收缩力,血管支气管贴边,空气半月征。
鉴别诊断之错构瘤:肺良性肿瘤中错构瘤排第一,理解为支气管的错构,应该有支气管粘膜、软骨、平滑肌、脂肪组织。男性多发,境界清楚,表面光滑,有浅分叶(软骨团),其内平滑肌与支气管粘膜夹杂,有脂肪;平滑肌型血供丰富,增强明显而含软骨和脂肪多的,血管少,所以增强值很低;肿瘤缓慢膨胀,对胸膜没有收缩力;错构瘤周围似乎有通气过度,常出现周边透亮区,即所谓的空气半月征。
2022/05/13 GRAIN BUDS
往期相关链接
病理影像学系列讲座第六讲-肺错构瘤和硬化性肺细胞瘤病理3期 第6讲-肺错构瘤和硬化性肺细胞瘤
回顾经典--硬化性肺血管瘤

图文编辑:雷  凤
图文审核:徐  晓




-END-

到顶部