【每日晨读】 支气管管壁增厚,不要忘记这种可能!


















群内讨论
金豆:
气道壁增厚,咳喘加重,左肺实变,感染,曲霉,鉴别结核。

秦化君:
老年男性,病史20天,三个月前肺CT左斜裂略增厚。现左肺容积缩小,左下背段实变影。先排除异物,吸入性病变后,考虑感染性病变。

飞鹰行动:
老年人,气管,支气管壁明显均匀增厚,复查左肺下叶可见实变,考虑炎性病变,结核,不排除合并淀粉样变性

衡妈:
左肺上叶沿支气管条形密度,左叶间胸膜局部增厚。三个月复查左肺体积变小,肺门旁团状实变,左侧胸腔积液。首诊倾向感染性病变,结核?鉴别肿瘤,鳞癌,小细胞癌。

小兜:
老年男性,咳嗽胸闷,三月前左肺叶间胸膜增厚,咳嗽胸闷加重,三月后左肺容积变小,左侧支气管管壁增厚,左肺实变,首先考虑为炎性病变

宇宙:
老年男性,肺气肿,3月前左主支气管管壁增厚,左侧斜裂增厚,3月后复查左主支气管阻塞,左肺实变不张,胸廓缩小,纵膈左移,小叶间隔结节样增厚,考虑恶性,鳞癌可能大,鉴别结核

张延军:
左侧支气管壁增厚,管腔狭窄,三月后复查,左侧支气管狭窄程度加重,但管腔形态存在,远端伴阻塞性改变,病变并累及到右侧支气管壁,慢性过程,考虑炎性可能性,结核首选

看图说话:
左主支气管壁增厚,管腔变窄,斜裂增厚,3个月后,左肺大片实变影,密度不均,气管堵塞,左侧胸腔变小,纵隔左移,首先考虑支气管炎性改变,结核,鉴别鳞癌。

流心明智:
男,81,咳嗽、胸闷20天,咯血2天。胸部CT:左主支气管狭窄、管壁环形增厚,部分层面左主支气管壁高密度,骨化?左叶裂广泛不均匀增厚,结节感。3个月后左侧胸廓塌陷,左主支气管狭窄明显,左肺大部不张。考虑支气管TB并肺不张?支气管骨化?鉴别Ca、淀粉样变、复发性多软骨炎、GPA等

丽:
老年男性,左肺主支气管管壁轻度环形增厚,三个月复查后明显增厚,管腔变窄,支气管闭塞,左侧胸廓塌陷,纵隔左侧移位,左肺见大片状实变密度影,考虑结核可能大,鉴别鳞癌

安吉木子何方李:
主要是左主支气管壁增厚,伴有不张,首先考虑良性病变  结核,真菌,合并淀粉样变,鉴别恶性鳞癌。下一步警慎评估能否气管镜

若晗:
老年男性,主气管内即可见有异物,左主支气管壁环形增厚,整体考虑良性病变,倾向TB可能,鉴别腺样囊腺癌

南边:


老年男性
咳嗽、喘息,20天
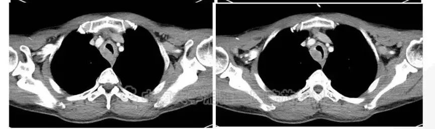
3/18:左主支气管壁弥漫增厚



马云凤:
补充视频:2021年3月17日
复查时间:2021年8月11日

马云凤:
病人当时住院抗感染治疗后症状有改善,没有进行其他化验检查,嘱咐3月后复查。病人直到喘的厉害才复查。

南边:
肿瘤不符合吧

宇宙星空:
不符合

谢加平:
不符合,前后三个月左主支气管壁进行对称增厚及塌陷狭窄(解释咳喘加重),左侧胸廓变窄,左肺叶体积缩小,有实质和间质混合病变,向外周间质引流特点。
支气管镜活检应该可明确诊断

马云凤:
是上级医院支气管镜活检明确后,又回我们医院治疗的

琦遇:
结核?
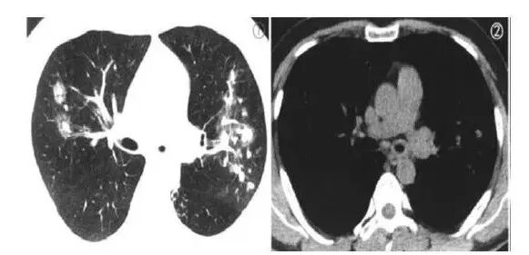
支气管弥漫性增厚、到闭塞、肺不张,肺部可见树芽征、小叶间隔增厚(类似癌淋)、叶间胸膜增厚、这些征象都指向支气管结核伴淀粉样变性。如果非要鉴别的话,考虑一下曲霉菌、鳞癌

马云凤:
嗯,入院开始考虑结核,因为病人年龄大,抗细菌、平喘治疗后症状改善挺明显,家属拒绝进行其他检查

谢加平:
前后5个月左主支气管壁进行对称增厚及塌陷狭窄(解释咳喘加重),左侧胸廊变窄,左肺叶体积缩小,有实质和间质混合病变,向外周间质引流特点。复查右肺上尖后段多发小树丫及融合特点,TB?支气管镜活检。

琦遇:
左肺下叶支气管闭塞了

马云凤:
病人当时一般情况差、症状重,患者家属走了几个上级医院会诊影像,都没有明确诊断。不得已转上级医院,病理结果也没有确诊,最后好像是家属北京会诊病理结果,MDT最后确诊。

南边:







这是食管,千万不能看成气管!!!






支气管壁弥漫增厚
腔狭窄,部分堵塞(考虑吸气应该还有间隙)
左侧支气管壁弥漫增厚,腔狭窄,但是未见明显肿块
弥漫支气管壁增厚鉴别:
1、结核
2、曲霉菌
3、淀粉
4、血管炎
5、软骨类
肿瘤弥漫的少

尘缘:
常规要先考虑感染性疾病:结核>曲霉>奴卡。鉴别血管炎,IGG4相关性炎症,但是读片嘛。赌一下,血管炎>IGG4相关性炎症

丁云:
考虑支气管结核伴淀粉样变性,鉴别血管炎。

南边:
只是这类病例临床的视角不一样
因为支气管镜病检比较直接
CT的优势是看腔外的支气管壁厚度、内部变化,外侵情况,远端肺组织情况
临床肯定是病检来的直接

病理结果

尘缘:
果然是血管炎。又一次读心成功。马老师提示出的答案。结核或肿瘤的病理,一般三甲医院就可以确诊了,哪需要去北京会诊,而且在北京都还需要MDT,那就只有非血管炎三项相关的肉芽肿性血管炎了。
@马云凤  黄骅市人民医院 呼吸?其实早上很纠结,三不像,结核,淀粉,鳞癌都有解释不通的地方,血管炎呢,影像又不典型。不过一看你发的视频和你说的诊疗过程,心里就有底了。
如果气管,胸膜多发的改变伴肺内多发肉芽肿改变的,在镜检找不到明确的肿瘤细胞或结核依据的时候,就要高度怀疑肉芽肿性血管炎。

病例拓展
气管支气管管壁弥漫增厚鉴别诊断
 复发性多软骨炎
 气管支气管骨化症
 肉芽肿性多血管炎(韦格肉芽肿)
 气管支气管结核
 气管支气管淀粉样变性
 曲霉性气管支气管炎
 肿瘤,鳞癌、腺样囊性癌占>80%
一、复发性多软骨炎:
  是一种伴有软骨破坏的多系统受累的自身免疫性疾病,多累及耳廓、鼻的其他部位的软骨,任何年龄均可发生。
 CT表现为仅累及气管的软骨部,局部或弥漫性均匀增厚,可弥漫钙化,后壁常不受累,呼气相横断面面积减少>70%

二、气管支气管骨化症:
 是一种原因不明的良性疾病,目前认为是多种原因下黏膜下的弹力纤维层的未分化结缔组织化生并发展为软化细胞、钙盐沉着,然后骨化。
CT表现气管、支气管壁多发结节样骨、软骨病灶,一般后壁不受累

三、气管支气管结核
是指发生在气管、支气管的粘膜、粘膜下层、平滑肌、软骨及外膜的结核病,
CT表现气管支气管内膜增厚,多个支气管受累,常有肺不张、肺内播散

四、气管支气管淀粉样变性
淀粉样变性是指一组以细胞外沉积异常蛋白和蛋白衍生物为特征的疾病,
CT表现气管、支气管管壁不同程度的增厚,气管、支气管内壁单发、多发结节、肿块形成,可发生钙化、骨化,可累及后壁,气管狭窄

五、曲霉性气管支气管炎
仅局限于气管支气管的曲霉感染,常见于免疫功能受损的患者
CT早期表现缺乏特征,主要为气管、支气管管壁增厚,伴邻近脂肪浸润


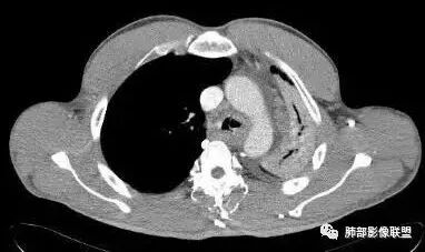
六、肿瘤
常见表现为息肉样腔内肿块,鳞癌常较大,腺样囊性癌最常发生于气管隆突附近,弥漫性气管壁浸润少见。(下图-腺样囊性癌)

七、肉芽肿性多血管炎:
三联征包括上呼吸道、肺、肾脏血管炎,
CT表现最常累及声门下气管,呈环形增厚,后壁可受累,累及范围较长2-4cm,肺内常多发结节、肿块、实变,易形成空洞
   本病例,气管弥漫增厚、没有钙化(肿瘤性病变、支气管淀粉样变性可排除),累及后壁(复发性多软骨炎、气管支气管骨化症排除),周围脂肪间隙清晰(曲霉性气管支气管炎排除),诊断缩小到支气管结核、肉芽肿性多血管炎,左肺实变不张,没有明显结核常有的树芽、纤维灶,患者没有明显结核症状,可以想到肉芽肿性血管炎病伴肺感染、不张可能。

部分图片来源网络,主要用于分享学习,致谢!如有侵权请联系我们删除
编辑:李志强
审核:雷  凤   徐  晓



到顶部