【每日晨读】典型的胸膜下病变,会是什么呢?




夏天总是那么令人期待
微风轻拂,湖边漫步,等待夕阳落下
余晖倒映,湖面泛着波光
用相机记录下这美好的画面
01
晨读资料


















































02
精彩发言
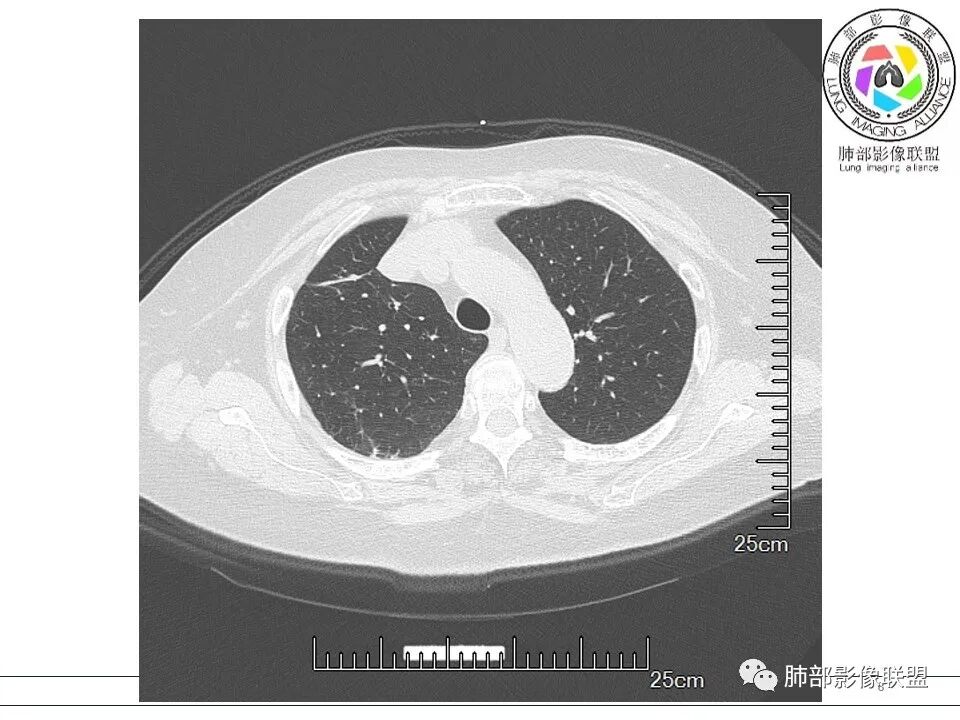
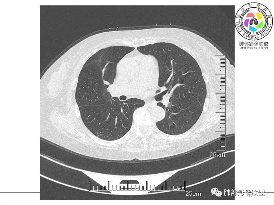
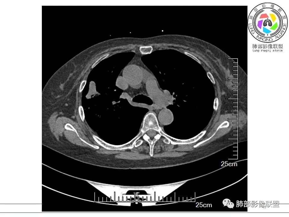
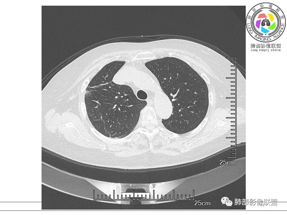
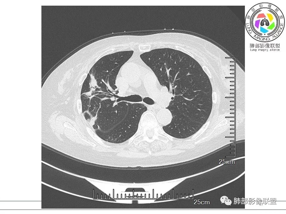
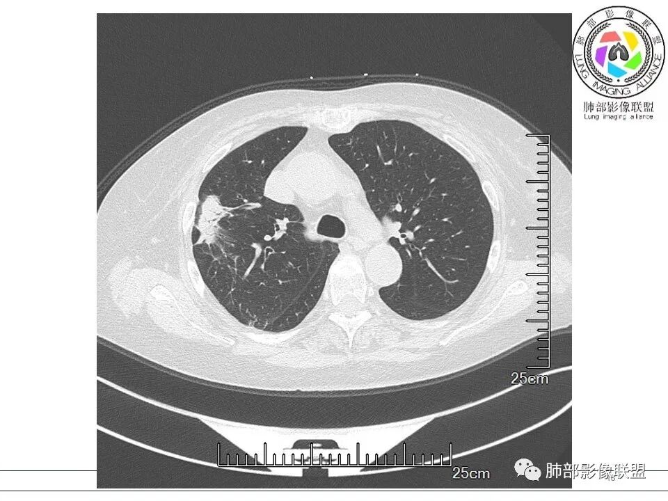
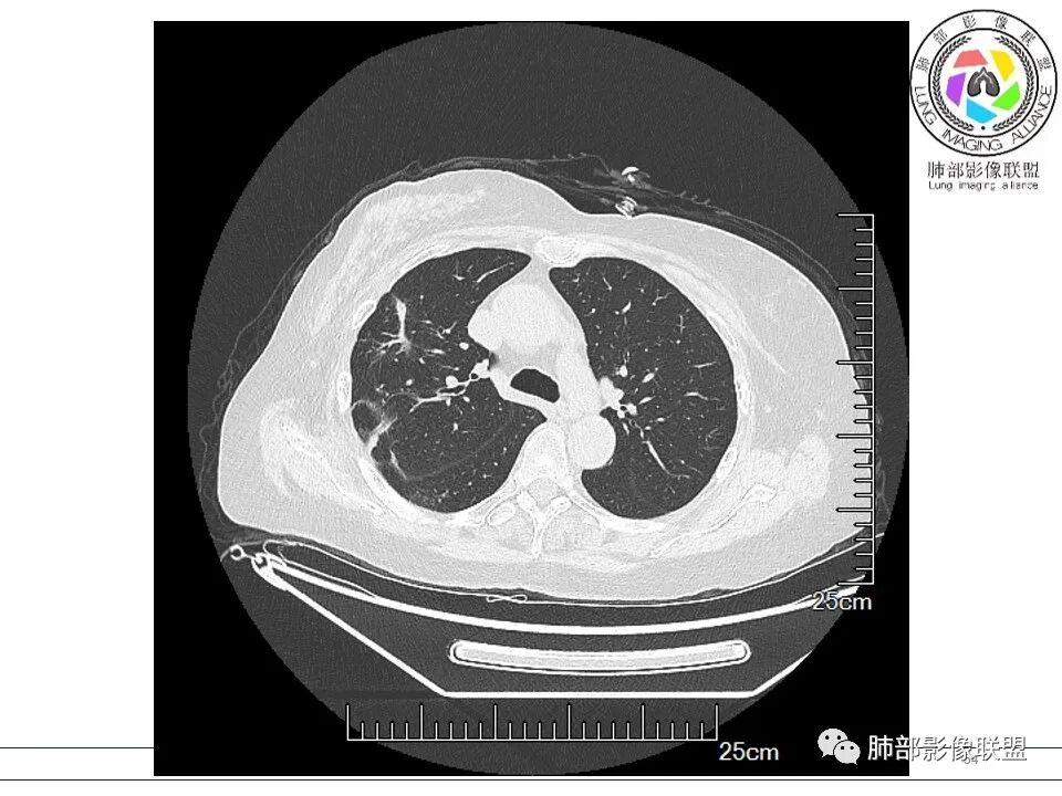
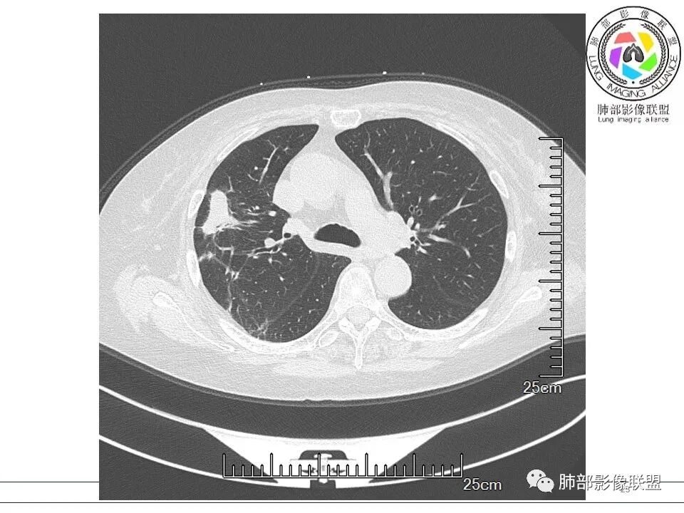
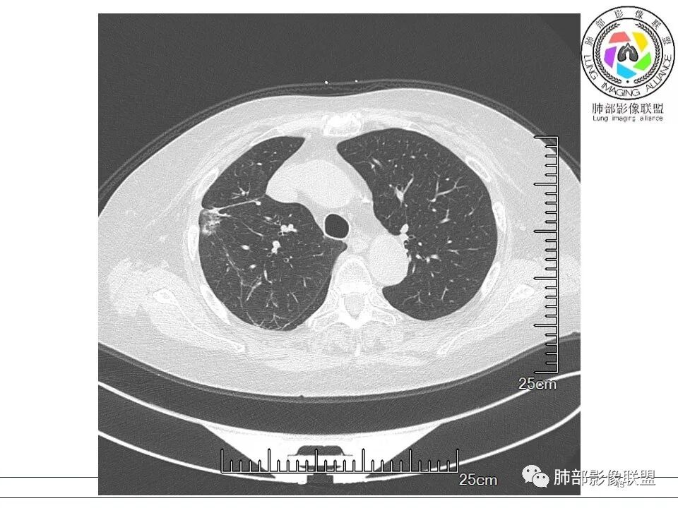
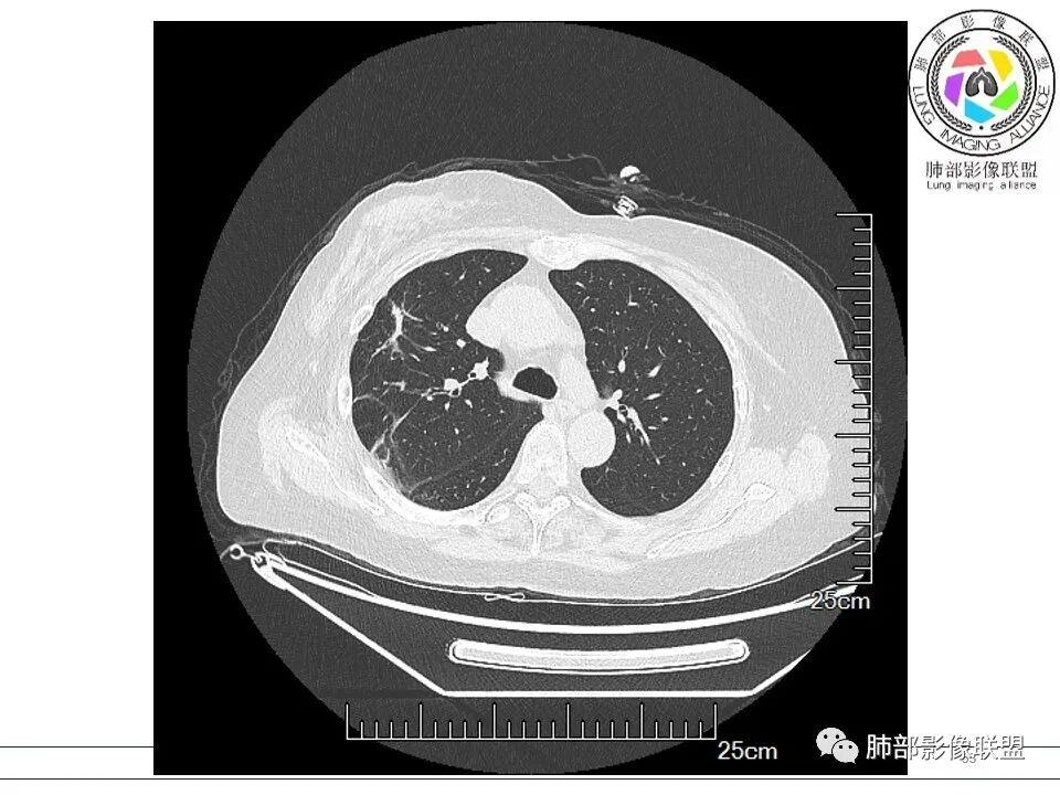
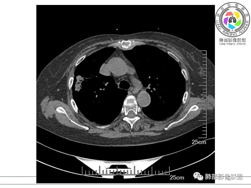
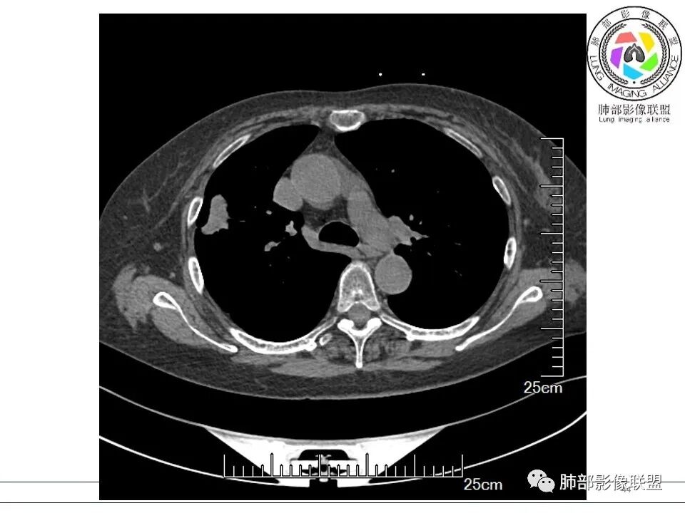
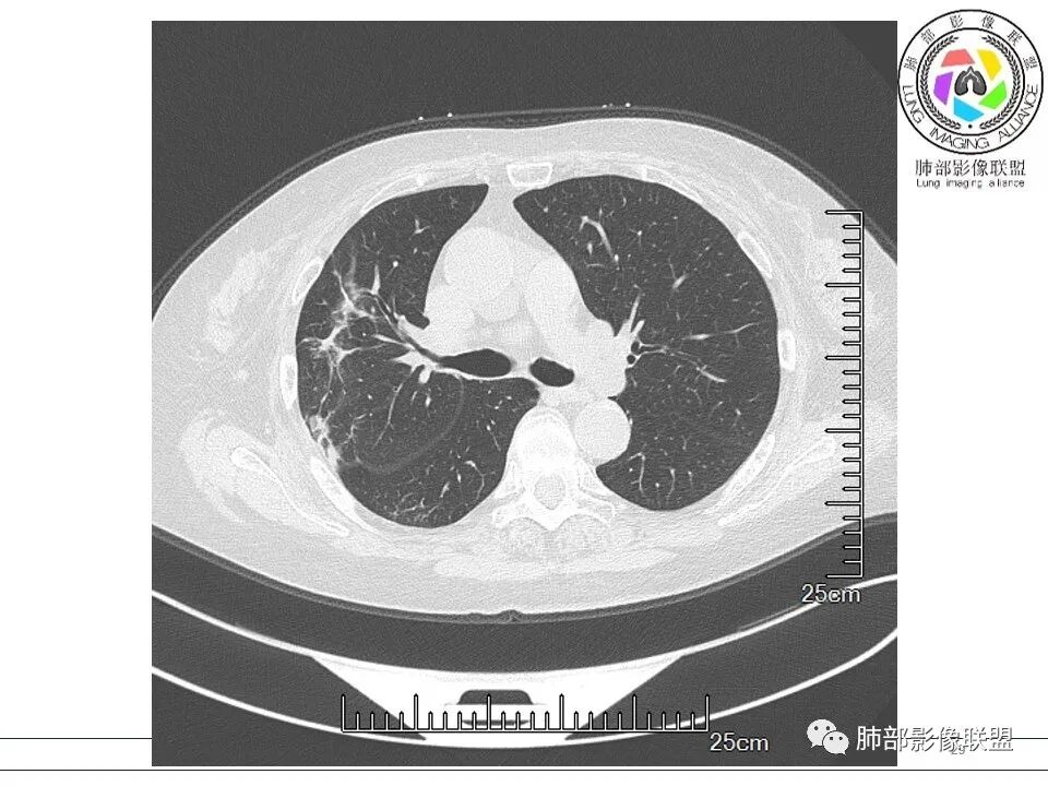
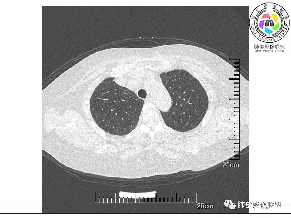
放射小白: 晨读病例:女性,70岁,风湿性多肌痛病史,右肺见不规则结节,边缘及周围见纤维索条影,考虑OP,药物性肺损伤。
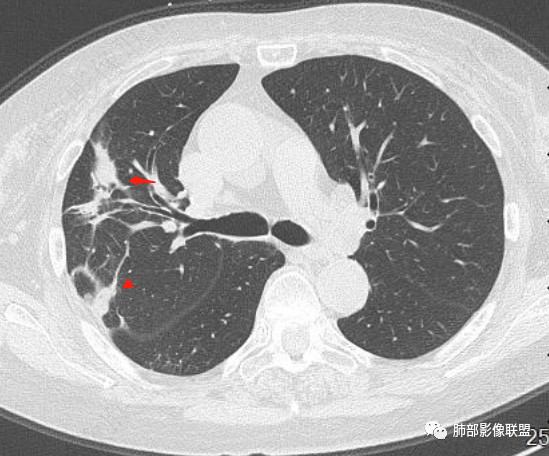
谢加平: 右肺上叶外周,近胸膜下结节病灶,侧向融合,边缘清,见平直边,与胸膜平行分布,支气管进入略扩张,周围见多发长索条影,方向肉芽肿性炎症,建议隐球菌荚膜抗原检查,肿瘤不支持,经皮肺穿刺病理检查!
红日初升: 胸膜下结块,平行胸膜,收缩力较强,肉芽肿样边缘,考虑炎性,小卫星灶、似有凝固性坏死,隐球>op
小兜: 晨读,女,70岁,风湿性多肌痛病史一年,半月前体检发现肺部阴影,无症状,口服药物治疗。现片示:右肺胸膜下条形实变影,局部层面似见多结节融合,周边伴条索影。下方近叶间胸膜处斑片状实变影伴条索影,宽基底与胸膜相连。综合考虑为炎性病变,隐球菌或OP可能
宇宙: 右肺上叶胸膜下结节,多结节融合,长轴平行胸膜,边缘模糊,周围长索条,胸膜牵拉,近端支气管充气扩张,考虑隐球菌,鉴别OP
看图说话: 右肺上叶外胸膜下结节,边缘清,密度均匀,边缘长索条,支气管壁增厚,进入略扩张,胸膜牵拉,考虑机化性肺炎,隐球。
玫: 晨读:右肺上叶胸膜下软组织密度影,边缘模糊,周围见条索影及少许磨玻璃影,轻度胸膜牵拉,考虑炎性病变。
金豆 (刘权威): 右肺上叶胸膜下团块,支气管充气征,边缘纤维索条,磨玻璃,OP。
黄棘: 右肺上叶近胸膜下病灶,多个融合,边缘清,与胸膜平行分布,支气管进入后堵塞,周围见多发长索条影,考虑隐球菌
果哣.: 右肺上叶靠近胸膜结节影,平直为主,边缘清晰,支气管进入后截断,有扩张,考虑炎性隐球菌可能
丽: 晨读,老年女性,右肺上叶不规则病灶,边缘多发长索条,支气管穿行达病灶远端,常规抗炎无明显吸收,考虑炎性病变,隐球菌可能大
衡妈: 老年女性,右肺上叶沿胸膜下不规则实性病灶,长轴平行于胸膜,有结节融合感,边缘部分彭隆部分平直,周围可见数条纤维灶影,病灶内可见充气支气管征未达远端,首诊考虑慢性炎性肉芽肿,隐球菌?机化性肺炎?建议增强扫描及ct下穿刺活检。
放射线 (王秀仙): 右肺上叶胸膜下结节样影,边缘平直收缩,胸膜牵拉,支气管进入病灶并扩张,部分支气管进入后阻塞,长轴平行于胸膜,周围可见片状及条索状影,隐球?机化性肺炎?
张延军: 病变与胸膜平行,近端见气管进入,口服激素治疗史 考虑隐球菌感染 伴OP样改变
流心明智:
晨读:女,70,未诉症状。风湿性多肌痛病史,口服强的松等药物治疗。胸部CT:右肺上叶多发不规则斑片影,沿支气管分布,部分病灶侧向融合、平行于胸膜,边缘平直内收为主、部分彭隆,周围模糊晕、可见数条纤维灶影,胸膜牵拉,病灶内可见充气支气管征、管腔不畅,考虑慢性炎症,PC?OP?鉴别腺Ca、SCLC等。
瑞欣 (刑瑞欣): 晨读,老年女性,右肺上叶不规则高密度影,可见胸膜牵拉,边缘光滑平直,与胸膜平行,周围条状影,可见支气管充气征,有风湿病史,考虑机化性炎症,鉴别隐球菌,腺癌
良孑: 右肺胸膜下多发结节,长轴与胸膜平行,部分病灶有多结节融合,可见近端支气管充气征,有晕征及晕中软毛刺,长期口服激素病史,抗炎效果欠佳。病灶形态单一,无播散性树芽,结节内无支气管穿行,单侧发病,收缩力差,可排除TB,OP及淋巴瘤,综和考虑支持隐球菌
尘缘: 典型的隐球机化期改变

03
南大分析
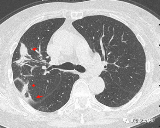
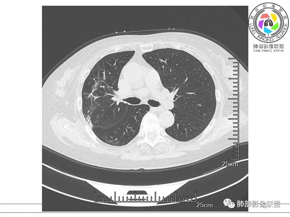
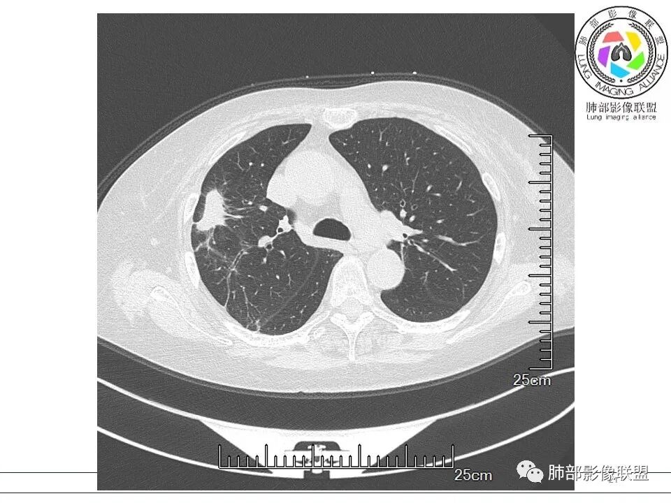
南边: 这个病例大方向没问题,炎性。目前大家都是考虑:隐球菌病、OP,其实这两个结论有重叠,而且这个病例很值得讨论,可惜,估计没有证实。影像特点:病灶长轴与胸膜平行,侧向融合特点明显,符合隐球菌病,问题是目前的状态,边缘收缩明显



内部支气管扩张,周围少量GGO,而且病灶离开了胸膜,附近长索条影,支持机化的改变

问题是:需要抗真菌?还是按OP治疗?我个人认为这阶段的改变目前不是病原菌引起的,而是炎性反应后期修复的改变,应该抗OP为主
尘缘: 先抗隐球,如果还有机化没改变,再激素
南边: 我见过几例,有些是开始误诊,一直单纯抗炎,每次穿刺都是OP,影像上就是隐球的表现,很典型,确实没抗真菌。我看结核也有类似的问题,有一些病号就是以OP为主阶段,我都怀疑,类郝氏反应其实就是机化导致的,不是病原菌直接导致的。我个人观点:SOP
尘缘: 这种要看隐球荚膜抗原和Ngs检查结果,如果明确有隐球存在,要么抗真菌,要么不治疗,也肯定不敢直接激素抗机化,否则,出了问题就自找麻烦
南边: 目前都认为各种病因所致后期的机化改变,我想结核、隐球菌等特殊感染都可以,后来都是抗机化,只是没查到病原菌而已,而不是针对性抗病原菌,这阶段我认为病原菌是被身体本身的免疫系统压制住,或者消灭了,只是后期的炎性反应所致的副作用导致的临床症状,影像表现其实很大一部分的隐球菌都误诊或者漏诊了,反正都好了。

04
病例结果








05
隐球菌肺炎诊断要点

1、宿主:生活及工作环境中有无鸽子及鸟禽接触史,有无免疫缺陷背景(艾滋、化疗、器官移植、激素及免疫抑制剂使用史)。
2、类型:常见有孤立肉芽肿型、肺炎实变型、混合型(多发结节/实变/空洞)、弥漫粟粒/间质型。免疫正常宿主多表现为孤立肉芽肿型,也可以表现为肺炎实变型或混合型。免疫缺陷宿主则容易肺内播散形成多发(结节、实变、空洞)或弥漫粟粒/间质型,可累及中枢系统并发隐球菌脑炎。
3、症状:免疫正常宿主发病率越来越高,临床表现各异,大部分患者感染隐球菌无明显呼吸道症状或症状轻微,少部分表现为急性下呼吸道感染症状,免疫缺陷患者则可能表现为重症肺炎伴呼吸衰竭。
4、实验室:血象一般正常,少数可出现白细胞升高;G及GM试验阴性;隐球菌荚膜多糖抗原试验阳性(特异性高,敏感性各异)常提示诊断。
5、分布:隐球菌肺炎是肺泡性炎症,病灶分布多位于胸膜下,可紧贴胸膜,也可与胸膜邻近,病灶长轴与胸膜平行。(划重点,分布特点非常重要,因为隐球菌如果没有荚膜,会被巨噬细胞吞噬,在人体内是无法生存。隐球菌孢子吸入后,要有高浓度的CO2的条件下,才能形成荚膜,所以肺泡内、胸膜下多见)
6、支气管和血管:支气管通畅或进入后堵塞,增强可见血管造影征或血管影消失。
7、强化:增强强化程度各异,从轻度到中度强化均可。明显/显著强化相对少见。
8、晕征:病变早期可出现磨玻璃晕征,为周围炎性渗出或肺间质受累。
9、坏死:可无坏死,也可凝固性坏死,出现空洞,空洞可规则光整呈类圆形,也可以为不规则厚壁,或出现“鬼脸征”。
10、“葫芦兄弟”:邻近胸膜多发结节,形态接近,排列呈长串状。
11、收缩力:可以较弱,也可以较明显伴有胸膜牵拉。
12、少见征象:少见胸水、树芽征、液化坏死、明显钙化、空气新月征、腺泡结节。
编辑:蔡笑燕
审核:雷凤   徐晓    清茶



到顶部