【每日晨读】 警惕结核合并淋巴瘤,临床并不罕见!


每日晨读

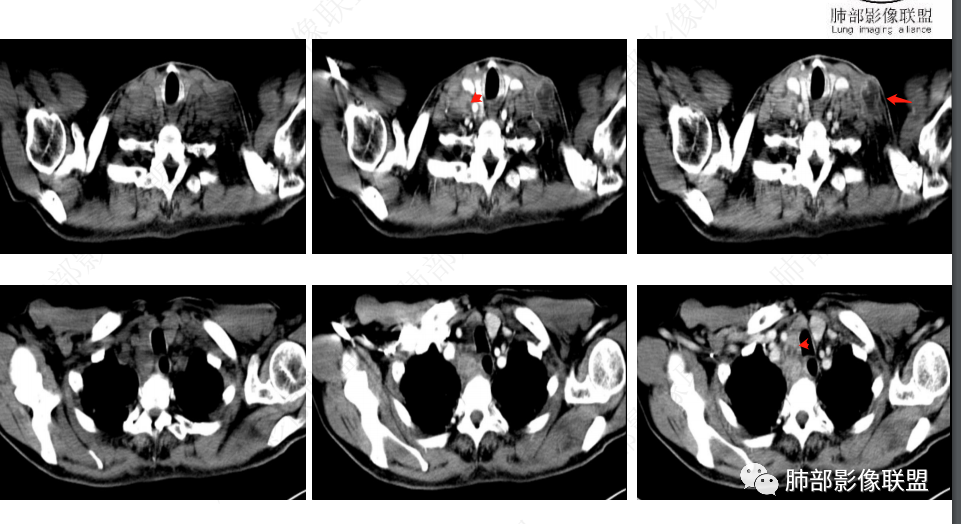
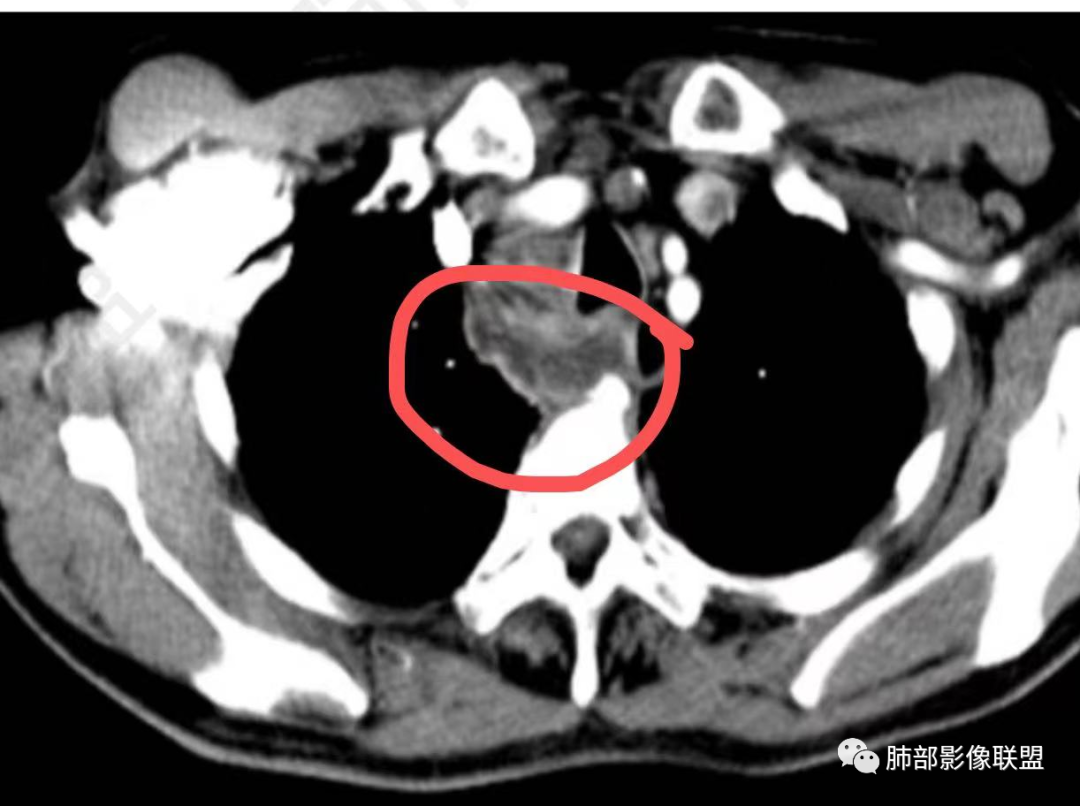
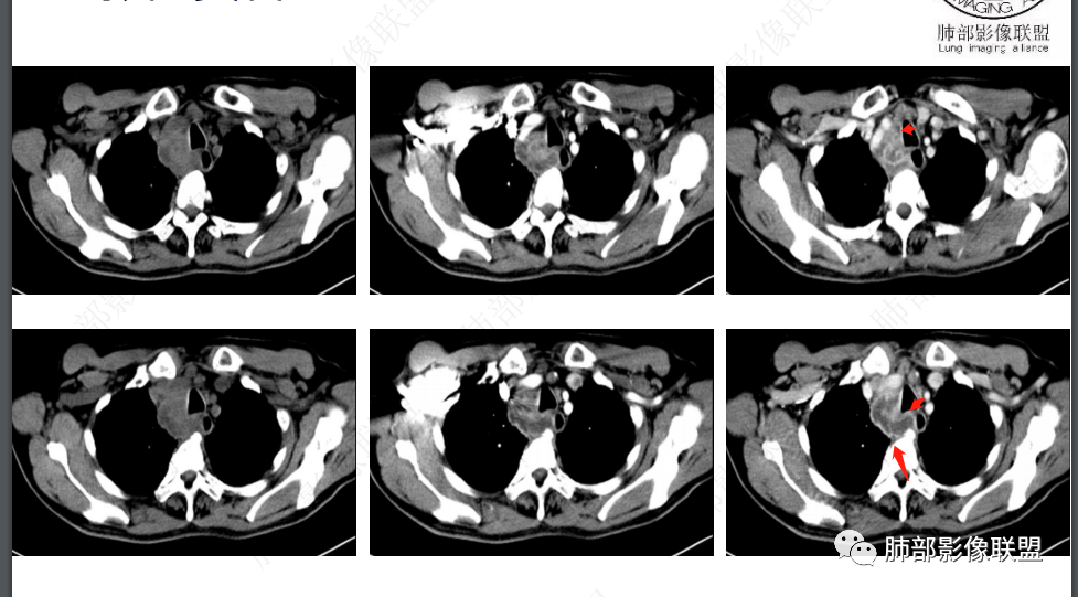
01
病例资料













02
微信群讨论

由零开始:
纵隔左颈部多发肿大淋巴结,部分合并坏死,右肺上叶癌性淋巴管炎?腹部下腔静脉旁局部肠管壁增厚,腹膜后多发淋巴结?综合:结肠癌淋巴结转移?肺内癌性淋巴管炎?
蓝天白云:
右肺上叶纵隔旁结节,小叶间隔增厚,纵隔、腹膜后淋巴结肿大,环形强化,恶,低分化鳞癌腺癌伴癌淋,转移
丽:
右上纵隔软组织肿块,不规则生长,包绕主支气管,增强后不均匀强化,多发坏死,纵隔,左侧锁骨上及腹膜后多发肿大淋巴结,环形强化,伴双肺上叶小叶间隔增厚,肺内小结节,考虑恶性,纵隔型鳞癌伴淋巴结转移,癌淋,鉴别结核
一切∮随缘:
腺癌伴癌性淋巴管炎,鉴别TB,马尼
张小林:
腺癌,鳞癌伴癌性淋巴管炎,鉴别TB。
周宇元-九江学院附属医院影像科:
结核?
doctor:
肺部影像联盟病例考虑淋巴瘤、鉴别腺癌、结核
高广飞:
EB病毒抗体阳性,淋巴瘤需首先考虑
藏客:
右肺上叶小叶间隔增厚,纵隔,腹腔,颈部,腹股沟淋巴结肿大,考虑淋巴系统疾病,淋巴瘤可能大,鉴别结核,马尼。
宇宙:
右肺多个结节,颈部、纵膈、腹膜后及腹股沟多发肿大淋巴结,纵膈淋巴结可见坏死,两肺上叶小叶间隔增厚,欠光滑,右侧胸水,考虑腺癌伴癌性淋巴管炎及转移,鉴别淋巴瘤
361度:
老年人,慢性病程,低热,全身多处淋巴结肿大,部分环形强化,右肺尖支气管管壁增厚,小叶间隔增厚,TSP0T阳性,抗结核有效,考虑结核。
白衣影帝:
综合考虑,支持结核。
若晗:
淋巴结肿大,环形强化,支持TB
wj:
嗯,慢性发热,午后,多发淋巴结肿大伴坏死,几个考虑排序,结核,ntm,马尔尼非等,但是hiv阴性。
淋巴瘤有太多坏死不太支持
位移:
两肺结节状 网格状 索条状影,颈 纵隔 腹多发淋巴结肿大 纵隔淋巴结坏死,考虑结核 鉴别转移瘤 淋巴瘤
不吝慷慨:
结核首先考虑,NTM就算了吧,马尼见得少
日月@中心:
老年男性,慢性病程,低热,TSPOT阳性,贫血,结核治疗后自行停药症状再发,影像两上肺条索影,纵隔淋巴结环形强化,腹腔淋巴结,临床摸到腹股沟淋巴结,考虑淋巴结结核
放射线:
双肺多发结节及条索影,边缘清晰,右肺上叶小叶间隔增厚呈网格状,双侧胸腔少量积液,颈部纵膈及腹部多发淋巴结肿大,强化不均,考虑马尼,鉴别腺癌并转移
春秋.:
eb病毒,多发淋巴结肿大肺内多发结节伴间质改变,考虑淋巴瘤可能
丁啸:
发热坏死我猜结核吧
刘斌:
考虑结核
龚小萌:
老年男性,有结核病史,发热,颈部、纵隔、腹部多发肿大淋巴结伴坏死,不均匀环形强化,双肺结节影,双肺上叶小叶间隔增厚,考虑结核、马尼;鉴别转移瘤
良孑:
老年男性,慢性病程,右肺尖可见不规则结节,可见胸膜凹陷,邻近肺野见串珠样小叶间隔及空泡,纵隔,颈部,腹膜后见肿大淋巴结,纵隔肿大淋巴结融合并见环状及结节样显著强化,综和病史定性恶性,考虑右侧腺癌并转移,其次考虑多中心型巨淋
枷黎:
这个病例这种强化方式好像见哪位老师发过
王静 安阳地区医院CT:
支持结核
尘缘:
马尼
采莲:
老年男性,病程6月,咳嗽咳痰,胸闷发热,中度贫血,消瘦体质,左侧锁骨上,右侧颈前腹股沟多发肿大淋巴结,白细胞不高,但淋巴细胞很高,CRP明显升高,T spot阳性,双肺上叶小叶间隔增厚,伴条索影,右侧胸包裹性胸腔积液,气管旁多发肿大淋巴结,内有多灶性坏死,有融合,感染性疾病考虑肉芽肿性炎,马尼放在前面吧。肿瘤考虑淋巴瘤?
姜文强:
右肺上叶结节,左肺胸膜下结节,小叶间隔增厚,双侧胸腔积液,淋巴结坏死,环形强化,tspot阳性,白细胞不高,hiv阴性,考虑tb,鉴别马尼。
若小虞:
这个好难。
从病史看,去年10月住院,治疗好转10.16出院,一般出院带药1周,顶多1月。就算从12月开始没吃药,到3月初出现再次发热。
如果是结核,或者感染疾病,淋巴细胞应该会下降。因为大部分感染的窗口是淋巴细胞,会消耗。但是这个淋巴细胞正常的,感觉感染应该不太像。初步定方向非感染。
有胸水的话最好提供一下基底部的纵隔窗,方便看EPS的情况,有助于判断良恶性。
右下肺的病灶,挺漂亮的,如果是原发灶,小?
王凤伟:
肺内间质病变癌淋?腹部也有很多增大淋巴结,淋巴瘤要考虑,淋巴瘤淋巴结中心坏死比较少
peek_knight:
倾向肿瘤性病变,考虑腺癌并淋巴转移吧。
金豆:
小叶间隔增厚,纵隔、腹膜后淋巴结肿大,环形强化,恶,转移,鉴别淋巴瘤,结核。
衡妈:
上纵隔气管食道右侧不均匀占位,增强后不均匀强化,且周围及腹膜后肿大淋巴结,右肺上叶为主小叶间隔及叶间胸膜结节状增厚。考虑恶性肿瘤,纵隔型腺癌,伴癌性淋巴管炎,叶间胸膜转移,纵隔及腹膜后淋巴结转移,鉴别淋巴瘤。
飞鹰行动:
气管旁软组织肿块,增强病灶不均匀强化,右肺上叶小叶间隔增厚,考虑腺癌或腺样囊性癌伴淋巴道转移。
刘丹:
右上纵隔食管旁软组织影,不均匀强化,右肺小结节,右肺上叶小叶间隔增厚,双侧胸膜结节,右侧胸水,颈部,纵隔腹膜后多发淋巴结坏死并环形强化,考虑肿瘤并转移。
小兜:
右肺多发结节,右肺上叶小叶间隔增厚,左侧锁骨上,纵隔,腹膜后多发肿大淋巴结,环形强化。考虑腺癌伴癌性淋巴管炎,淋巴结转移
薏米:
右肺上纵隔内可见一肿块影,不均匀强化,右肺上叶内可见结节及小叶间隔增厚,考虑恶性,腺癌伴癌性淋巴管炎,鉴别结核、淋巴瘤
谢加平:
纵隔右侧大肿块,强化及坏明显,两肺上叶不规则小叶间隔及中轴间质增厚,小叶间隔串珠状微小结节(恶性特点)。方向纵隔旁型肺Ca并纵隔淋巴结转移,两肺上叶Ca性淋巴管炎,超声支气管镜活检,明确诊断!
流心明智:
男,75,咳嗽、胸闷、胸痛6月。胸部CT:右肺多发结节,右肺小叶间隔及叶裂不均匀增厚,纵隔多发肿大淋巴结融合,肝左叶占位?腹膜后多发肿大淋巴结。病灶不均匀强化。考虑恶性:转移瘤伴癌淋?淋巴瘤?鉴别TB。
了:
老年男性,发热,结核t阳性,右肺上叶尖端多发结节影,小叶间隔增厚,气管旁淋巴结肿大,环形强化,考虑结核
穿越七海的风:
右上纵隔旁软组织占位,右肺多发结节影,小叶间隔增厚,考虑恶性并转移
毛勤香:
多发淋巴结肿大,部分环状强化,小叶间隔增厚,首先考虑恶性,低分化腺癌可能,不除外胃肠道转移来的
听禅观竹(赵承勇):
老年男性,发热,结核t阳性,两肺上叶小叶间隔增厚,肿大淋巴结内部均有坏死,气管旁淋巴结尤为明显,优先考虑结核
ZhaoX-Ray:
老年男性,左侧颈根部、纵隔、腹膜后多发肿大淋巴结,增强边缘环形强化,两肺散在纤维索条影,两肺尖小叶间隔增厚,首先考虑淋巴结结核,鉴别转移瘤。
看图说话:
颈部、纵隔、腹膜后淋巴结肿大,环形强化,小叶间隔增厚,考虑淋巴瘤,结核。
月亮圆了!:
右上纵隔软组织肿块,包绕主支气管,密度不均,强化不均,多发坏死,界线清楚,纵隔,腹膜后多发肿大淋巴结,右肺上叶小叶间隔增厚,考虑恶性。
云帆沧海:
左侧颈部、纵隔淋巴结肿大融合,增强边缘环形强化,内见坏死灶,两肺上叶结节及小叶间结节首先考虑二元化结核,恶性肿瘤腺癌?淋巴瘤?
G,G,study:
考虑恶性,癌性淋巴管炎
知足&长乐:
病灶有些怪,TB>马尼>腺癌
南边:
淋巴瘤这样坏死的少
淋巴结的表现符合结核
环形强化,周围有渗出



南边:
小叶间隔增厚,双侧都有
癌,确实没看到原发灶
淋巴瘤这样液化的不多
03
病理结果



补充一下这个患者外送的骨髓活检结果

衡妈:

这里是结核?
洪桥爱:
认为是结核
一切∮随缘:
这个人做派特CT了?@洪桥爱 湘西自治州人民医院感染科?
南边:
哪里是结核?那里是淋巴瘤?
洪桥爱:
病理切的是一个淋巴结,在同一个既发现了肉芽肿,也发现了干酪样坏死,还发现了淋巴瘤,同一个淋巴结里面。
wj:
腹腔那些是淋巴瘤吗?
啊,这么神奇,是淋巴瘤的坏死还是合并了
有坏死不一定是结核吧,有抗酸染色吗
洪桥爱:
抗酸阳性
wj:
那就是合并咯
南边:
罕见
洪桥爱:
腹腔淋巴结没有看到坏死
没有做PET,确诊淋巴瘤后放弃治疗出院了
良孑:
全身多处淋巴结肿大思路上确实应想到淋巴瘤
04
病例小结
1、 临床特点:老年男性,慢性病程,午后低热为主,既往抗结核治疗有效,停药后复发,MTB抗原ESAT-6和CFP-10阳性,T-SPOT实验(+);查体:右颈部及右腹股沟区多发肿大淋巴结。
2、影像特点:双肺多发结节及条索影,边缘清晰,右肺上叶可见网格影,右侧胸腔少量积液;颈部、纵膈及腹部多发淋巴结肿大,大部淋巴结强化不均,呈环形强化,内部见低密度坏死区,部分淋巴结坏死不明显,尤其是腹部淋巴结密度较均匀。
 3、综上:病人低热不具有特异性,结核及淋巴瘤都可以存在。胸部影像、治疗经过及实验室检查更支持结核,但是全身广泛淋巴结肿大,在继发性肺结核中并不常见,EB病毒核酸阳性,虽然不具有特异性,还是应该警惕淋巴瘤。
最终病理结果证实;淋巴结结核和T淋巴母细胞淋巴瘤(非霍奇金淋巴瘤)并存。
4、讨论:有文献报道,淋巴瘤患者中结核的发生率为0.9%~13.2%,恶性淋巴瘤患者中粟粒性结核的发生率是普通人群的35倍。肺外结核中以淋巴结结核最常见,尤以颈部淋巴结结核居多,约占肺外结核发病率的1/3。结核病可激活细胞介导的免疫缺陷,这可能是导致淋巴瘤患者中结核病发病率明显高于一般人群的原因。有学者研究发现,既往有结核病病史特别是严重感染的患者,患非霍奇金淋巴瘤的风险明显增加。尽管两者并存的情况并不多见,但淋巴瘤是免疫系统相关的恶性肿瘤,其发病与慢性感染及免疫缺陷相关,并严重影响患者预后。同时,如患有淋巴结结核时,长期应用抗结核药物可抑制体内中性粒细胞的杀伤功能,导致免疫功能下降,这可能是诱发淋巴瘤的危险因素之一。T淋巴母细胞淋巴瘤预后差,但对化疗敏感。
参考资料:
1、周美玲, 耿艳华, 周林, 等.  《淋巴结结核与特殊类型淋巴瘤并存一例》 [J] . 《中华结核和呼吸杂志》, 2021, 44(11) : 983-985.
2、黄勇老师经验分享之——T淋巴母细胞性淋巴瘤诊断要点
图文编辑: 王  鑫
图文审核:雷  凤  徐  晓


到顶部