【每日晨读】 支扩合并感染,影像虽常见,读完收获不少!



病例资料












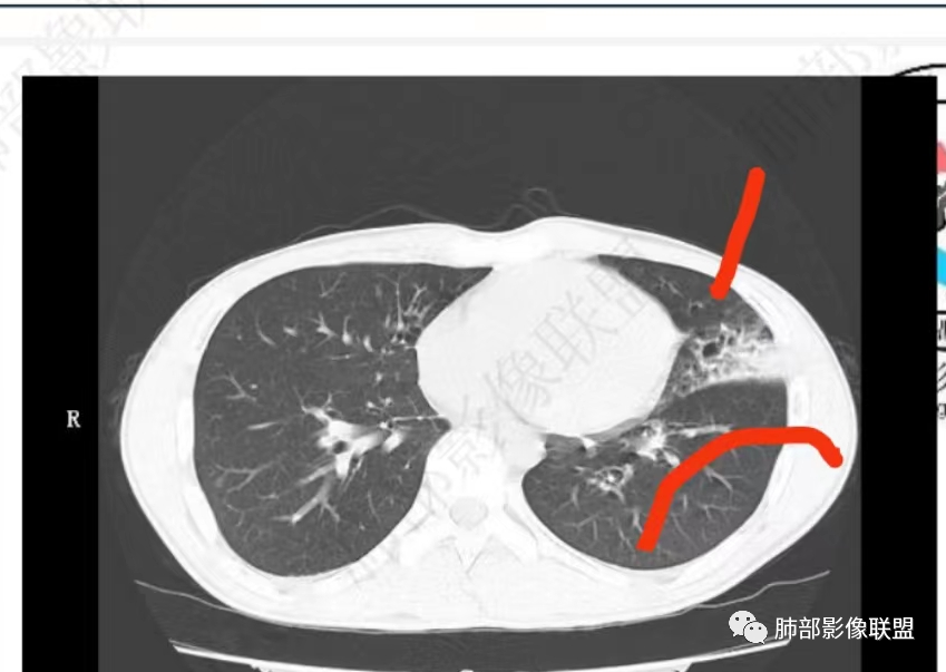
2021-7-14
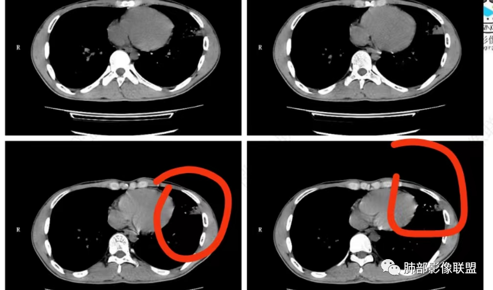
2021-8-28
2021-9-2增强




秦化君:
右肺中叶及左肺舌叶支气管扩张,双肺下叶斑片,小片状影伴磨玻璃影,边缘部分模糊。炎性指标不高,血糖略高,考虑支扩合并真菌感染。NTM。
了:
青年男性,咳嗽,无痰,胸痛为主要表现,白细胞总数不高,crp升高。胸部CT双肺多发实变影及磨玻璃影,可见支气管扩张,部分实变与胸膜粘连,整体纵隔向左偏移,左肺容积缩小,右侧肺静脉增粗,右心室明显扩大,左心室内膜增厚,还有椎体右前方类圆形阴性,均匀强化,看到这些,没有头绪,向各位老师学习。
王江涛:
感染,奴卡或NTM
金豆:
糖尿病,有支扩,实变边缘模糊,血象不高,大的方向感染,年龄,考虑支原体感染。
宇宙:
左肺舌叶及两肺下叶斑片磨玻璃及实变,左肺舌叶及右肺中叶支扩,考虑奴卡,鉴别曲霉,铜绿,NTM
周太狼:
感染性病变
二妹柠檬??????:
考虑诺卡可能
食客:
感染性病变,考虑铜绿?NTM?
放射线:
双肺下叶及左肺舌叶斑片及实变,边缘模糊,左肺舌叶病变内支气管扩张,年轻人,干咳,考虑支原体?铜绿?
看图说话:
左肺舌叶及两肺下叶斑片影,左肺舌叶及右肺中叶支扩,血糖高,考虑炎性病变,曲霉,铜绿,NTM
流心明智:
男,21,咳嗽伴左胸壁痛2天。胸部CT:右中叶、左舌叶支气管扩张,双肺下叶斑片影,左下多发,沿支气管束分布,小片状影伴磨玻璃影,边缘模糊,树雾?考虑支扩合并感染,支原体?NTM?鉴别ABPA、CPAM、隔离等。
穿越七海的风:
青年男性,左肺舌叶支气管扩张,双下肺斑片模糊影,血糖稍高,考虑感染性病变,铜绿,NTM
小兜:
血糖高,右肺中叶,左肺上叶舌段支气管扩张,双肺下叶多发斑片影,考虑感染性病变,青年男性,咳嗽伴左侧胸壁疼痛,考虑支原体感染
弹指之间:
青年男性,糖尿病,血象基本正常,影像:两肺多发渗出、实变+支气管扩张,考虑:感染,支原体?铜绿?
伟:
考虑感染性病变,支原体?
学君:
左肺舌段支气管扩张,双下肺斑片模糊影,血糖稍高,考虑感染性病变,铜绿,NTM?
良孑:
两肺多发实变,边界模糊,以左侧为著,右中叶及左舌叶支扩,年轻患者,不考虑NTM,慢性病程,考虑感染性病变,奴卡可能性大
尘缘:
考虑二元:左肺舌叶支扩基础上腺癌(胸痛结合影像提示胸膜受侵可能),其他地方感染,支原体或铜绿(没提供PCT,也不知道是否有免疫缺陷,所以奴卡也不完全排除)。
旁观者:
青年,多次反复左侧肺炎,需支气管镜检查除外低度恶性肿瘤及异物
G,G,study:
支气管壁弥漫增厚,左肺下叶尤甚,远端闭塞,左舌叶支扩,病史感染反复发作,考虑慢性感染,IPA,鉴别分支杆菌、努卡
期:
考虑感染性病变 铜绿  鉴别努卡
南边:
两肺多有,不太支持异物
感染性病变
反复发作
慢性,或吸入
支气管本身结构性病变为基础合并的感染首选
李:
支扩伴感染
果哣.:
左肺下叶不规则斑片影,考虑炎性可能
谢加平:
右肺中叶和舌叶支气管扩张基础病,周围斑点渗出模糊影,左肺下叶见多发小片状实变影边缘模,右肺下叶外基底斑片状模糊影,核实点以小支气壁增厚,周围小叶为单位充填实变(气腔结节),大方向肺小叶化脓性肺炎,至于病原菌体,结合支气管镜肺泡灌洗NGS检查!
知足&长乐:
有支扩,左下肺支气管肺炎改变,周围似见小树芽,奴卡?铜绿?NIM?
Coke with ice:
支气管肺炎,胞内菌?
唐绍宏 通化市中心医院 呼吸科:

唐绍宏 通化市中心医院 呼吸科:
21岁,没有免疫抑制治疗,考虑奴卡是否合适?考虑铜绿NTM几率大吗?
注意,这个病人无痰,铜绿、曲霉痰比较多吧.
21岁,结核可以考虑,但舌段少见.
今天问题关键是:支扩与渗出性病变是什么关系?
有就说有关系没有?


涂涂万金油`:

21岁为何多次左侧肺炎,是否相关?需要考虑异物?
唐绍宏 通化市中心医院 呼吸科:
如果说没关系,那铜绿、奴卡、结核、NTM就不考虑了
看看,应该考虑什么?




涂涂万金油`:
支原体,或者异物。个人考虑
唐绍宏 通化市中心医院 呼吸科:
支原体肺炎
这样所有的都讲得通
本例没有肉芽肿
冥冥之中:
NTM



go and see:

没有肉芽肿的支扩,还是提供层面过少
渗出太厉害了。
不支持NTM。
多发腺泡结节,部分融合小叶实变。
还是喹诺酮抗感染1周后复查吧!

多发腺泡结节,部分融合小叶实变。
还是喹诺酮抗感染1周后复查吧!
尘缘:
考虑二元:左肺舌叶支扩基础上腺癌(胸痛结合影像提示胸膜受侵可能),其他地方感染,支原体或铜绿(没提供PCT,也不知道是否有免疫缺陷,所以奴卡也不完全排除)。
冥冥之中:
这么年轻,考虑癌?影像也没支持啊?
尘缘:
@李双喜,阳朔县人民医院影像科?没有异物我就考虑癌
冥冥之中:
异物之前考虑了,因为长期感染,但是多发的感染灶,就不支持了
尘缘:
反正没有说有免疫缺陷,左肺反复感染,那就要么异物,要么癌(涎腺癌或腺癌)
go and see:
如果左下肺病灶反复吸收后再加重,确实需要考虑异物引起的阻塞性肺炎
需要提供一下既往的Ct
如果左下肺基底段病灶不是反复吸收后再加重,确实需要警惕奴卡,还是需要盥洗液NGS伺候!
冥冥之中:
不是异物,不是癌,就是感染@尹发友 达州红十字医院?
平扫有钙化,慢性炎,异物都可以,但是钙化稍多一点,也不在一个支气管,还是考虑感染
go and see:
一元论奴卡比较合适,但是还要排除流感嗜血杆菌。
今天的病例感觉还是奴卡与流感嗜血杆菌之间的PK,奴卡>流感嗜血杆菌

这样如此渗出,还是放过NTM吧!
安智轩:
go and see:
唐老师的理论经得起考验的,农老师!
唐老师的经典名言:支扩背景的肺,判断病原体时一定要判断出支扩合并肉芽肿,或无肉芽肿性支扩。
实变边缘太模糊,渗出太明显了,不符合肉芽肿的特点
wj:
是不是这种大片实变不会是ntm
ntm会肉芽肿是吧
那么这种铜绿和奴卡如何鉴别
南边:
临床不符合铜绿
良孑:
支扩背景的肺,肺里有多发实变或结块,实变无肉芽肿就要考虑诺卡?
wj:
为何?支扩背景,ntm,奴卡,铜绿要点是啥?
go and see:
与唐老师聊天记录[聊天记录]


NTM支扩外一般无渗出性病变,而铜绿支扩外渗出常见
中叶内侧段的渗出病灶内支扩,支持铜绿,不支持NTM
与唐老师聊天记录








铜绿,与中性粒细胞对话,没有聚集,没有肉芽肿,纤维化不明显。

中叶支扩,周围有渗出,中叶重,也提示专性需氧
结果:

go and see:

go and see:
你们再看这两个层面!支扩背景下出现肉芽肿病变。
病例总结
1、临床特点:21岁男性,两天以前受凉后出现咳嗽,无明显咳痰,没有发热,有左胸痛,化验白细胞不高,降钙素原升高。C反应蛋白明显增高,结核抗体阴性。
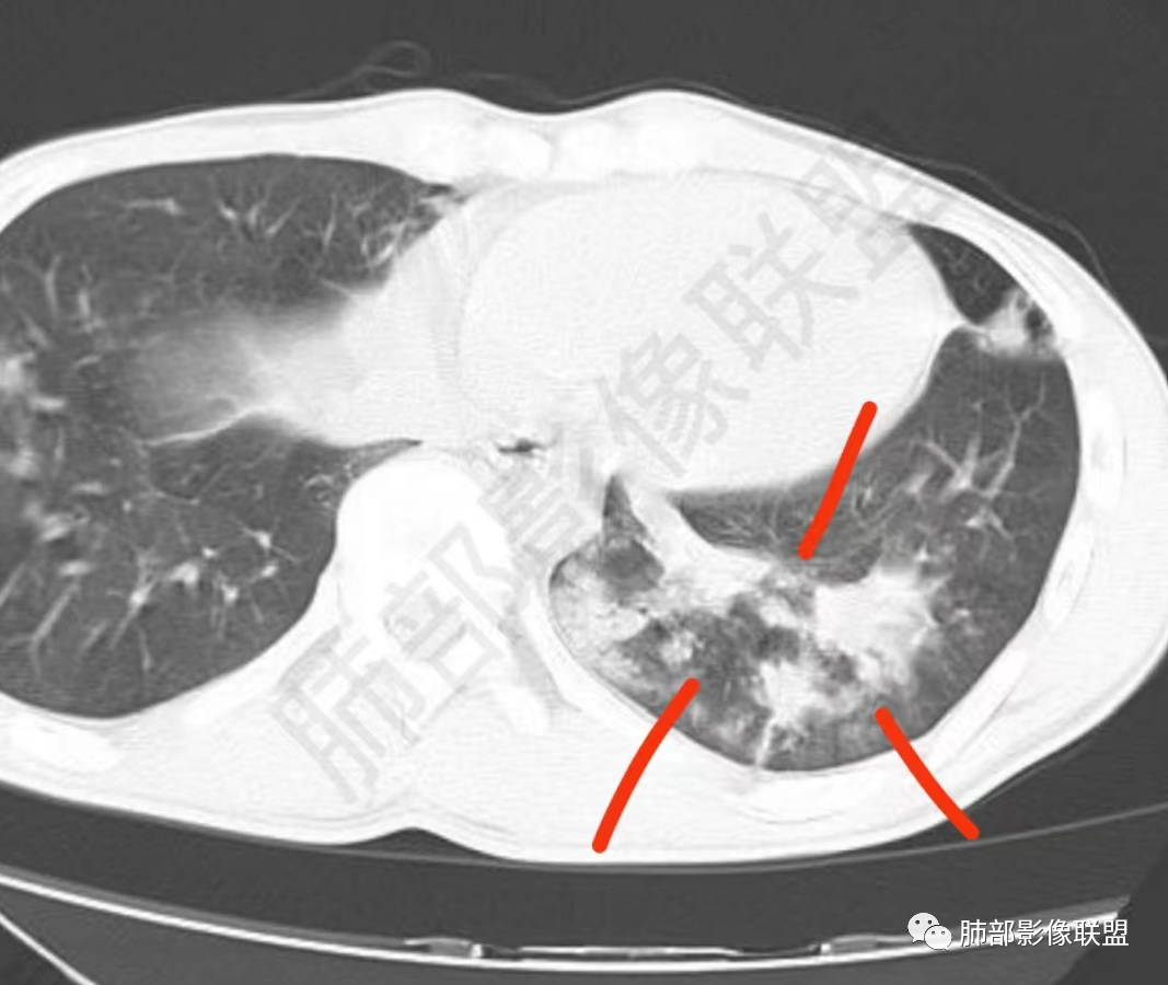
2、影像特点:右肺中叶、左肺下舌段可见支扩。左肺下舌段及两肺下叶可见片状实变影及发结节影,病灶边界多显示不清,纵隔窗显示病灶密度较均匀,未见液化、空洞或钙化。左肺下叶部分病灶沿支气管分布,并可见局部支气管管壁增厚。
         
3、患者以前多次发生左侧肺炎,但未提供既往的影像资料。推测患者肺部多次感染与支扩或者同侧其他支气管病变相关。病灶区域左肺支气管管壁增厚,并可见沿支气管分布的斑片影,提示病灶来源于气道,符合感染性病变影像学表现。临床及影像的难点在于当前责任病原菌的查找及推断:
1)患者年轻,非免疫妥协人群,没有免疫抑制剂使用,病灶边界模糊,吸收变化较快,不符合曲霉等真菌感染。
2)病灶密度较均匀柔和,边界不清,没有树芽征,没有新旧不等,病情反复,吸收变化较快,显然不符合结核或非结核分枝杆菌感染。
3)铜绿假单胞确实常常蹑足支扩之后,但该患者年轻,无论临床表现还是临床经过,都非常难以解释。耐药菌株多,治疗有时相当棘手。
4)支原体感染虽然也可见于青壮年,但反复出现于肺部某一区域,从感染学原理似乎难以理解。
5)感染反复出现于肺部某一区域,考虑支气管结构相关其实是合理的切入点,无论是狭窄、扩张或者阻塞。
6)本例患者年轻,咳嗽少痰,存在支气管扩张基础,中长病程,炎性渗出明显,确实可以符合奴卡菌感染,但并不代表我们能够从影像学表现上必然推导出来。我们有时仅能缩小范围。
   事实上,支气管扩张患者可以伴发多重感染,不同时期,责任病原菌也许并不相同。
               话说支气管扩张
1.支气管扩张临床是如此常见,影像科医师几乎无人不晓。
CT薄层扫描的出现,几乎完全替代早年的支气管造影,能显示细支气管扩张,且在病因诊断上更具优势。
2.支气管扩张与其说是一种疾病,毋宁说更是一种病理或形态学改变。大多数属继发性改变。
相关病损中,支气管扩张既可能是“因”,也可能是“果”,或者是“互为因果”。
3.支气管扩张大多继发于支气管的感染性病变,包括病毒、细菌、真菌等等。炎症可以导致支气管结构的破坏、阻塞或牵拉,进而形成支气管扩张。其他病因还包括纤维囊性病、间质纤维化、吸入有害物质有害气体、异物、肿瘤、免疫缺陷、胰蛋白酶缺乏等等。
4.结核病继发支扩与众不同,上肺柱状扩张为主,有时在冠状位上状如鸡爪。非结核分枝杆菌也常常是支扩形成的元凶。
5.变应性支气管曲霉病引发支扩尤具特色,肺野内中带扩张尤其显著,常伴分泌物嵌塞;可短期内出现,如一至两周内,更有甚者,可在短期内恢复如初。有人认为这与支气管壁结构破坏较轻有关。
6.支气管扩张常伴有感染,尤其是革兰氏阴性杆菌感染,经典者如铜绿假单胞菌、奴卡菌等,有时甚至是多种病原菌的混合感染。
7.先天性支气管扩张主要有:
Mounier-Kuhn 综合征(因气道弹性纤维与平滑肌组织的萎缩,甚至缺乏,引起管腔明显扩张)
Wiilliams—Campbll综合征(先天性软骨缺陷。4—6级囊性支气管扩张)
kartagener综合症(属原发性纤毛不活动,主要包括内脏反位、支扩、鼻窦炎等)
往期精彩:【每日晨读】 支扩基础上的感染,如何厘清头绪?
整理:任正纲
审核:雷  凤   徐  晓



到顶部