【每日晨读】管腔内病变诊断思路及易忽视的问题




病例展示


























微信群讨论分析

秦化君:
晨读 右肺中间段支气管至下叶支气管部分狭窄及堵塞,管壁偏侧增厚腔内外侵犯,软组织肿块形成,远侧肺内阻塞性炎症。考虑恶性病变,鳞癌,类癌可能
采莲:
中年男性,咳嗽咳痰半年,有痰中带血,肿瘤标志物角蛋白稍高,右肺下叶支气管腔内肿块,支气管截断,有强化,考虑肺癌,鳞癌可能,鉴别类癌,粘液表皮癌等。
了:
中年男性,痰中带血,病史半年,一直没有发热,感染指标不高,胸部CT右侧肺门不规则肿块影,边缘清楚,棘状突起,浅分叶,血管集支束,空泡征,不均匀强化,右肺斜裂结节状增厚,右侧中间支气管外压改变,右肺下叶背段支气管截断,无明显淋巴结肿大,恶性是没有问题,至于类型病灶大无坏死空洞,鳞癌靠后,无明显淋巴结肿大,小细胞靠后,所以腺癌首选。
良孑:
晨读 右肺中间段支气管至下叶支气管狹窄,腔内见软组织肿块,腔内外侵犯,右下肺门软组织肿块形成,不均匀强化,冠状位病变纵径大于横径,远侧肺内阻塞性炎症。定性恶性,考虑腺样囊腺癌或鳞癌
?? 玫:
晨读:男,57岁,咳嗽咳痰半年,右肺下叶支气管腔内肿块影,管壁增厚,管腔狭窄,增强扫描呈不均匀性强化,考虑恶性病变,鳞癌可能。
飞鹰行动:
晨读病例,中年男性,咳嗽咳痰半年,有痰中带血,影像表现右肺下叶支气管腔内外占位,形态欠规则,有冰山征表现,支气管截断,有强化,考虑恶性病变,类癌或鳞癌可能,鉴别腺癌、粘液表皮癌等。
放射线:
右肺下叶肺门区肿块,向中间段支气管突出,下叶支气管阻塞狭窄,腔内外侵犯,不均匀强化,内可见低密度,冠状位病变沿支气管走行生长,远侧肺内阻塞性炎症,考虑鳞癌,鉴别类癌
金豆:
晨读:气道壁新生物,疾病谱,鳞 类癌 小 腺样囊腺癌。无肺气肿背景,鳞,小放后边,不均匀强化,壁破坏不明显,冰山,支持类癌。
王江涛:
晨读,中老年患者,右肺下叶肿瘤形态不规则,侵犯范围广,支气管受累,坏死不多,考虑腺癌可能性大
衡妈:
中老年男性,右肺下叶背段支气管内新生物,近端可见息肉样突起,远端沿分支支气管生长堵塞,肺门口病灶增强后明显强化,峰值达140hu,远端部分强化不明显考虑粘液栓,考虑典型类癌,鉴别鳞癌。
食客:
右肺下叶背段支气管腔内占位伴周围肿块支气管截断,有强化,考虑恶性病变,类癌可能,鉴别腺癌。
青藤之凉:
考虑鳞癌
谢加平:
右肺叶中间段支气管见软组织影不完全阻塞及管腔变窄,向管腔外突破,向下叶背段浸润性生长,见指套及息肉样特点,不均匀明显强化,右肺下叶背段少许阻塞性炎症,肯定恶性肿瘤,小细胞Ca首先,支气管疾病谱恶性肿瘤:类癌,鳞癌,囊腺癌,粘液表皮样癌,与鳞癌,囊腺癌鉴别,支气管镜取材活检可以明确诊断。
丽:
晨读,右肺中间段及下叶支气管管腔占位,向管腔内突入,浸润性生长,支气管近端截断,周围少许阻塞性炎症,增强后轻度强化,考虑类癌,腺样囊性癌
云帆沧海:
晨读:右肺下叶支气管肿物,病变沿管腔内、外均有侵犯,增强见不均匀强化,考虑鳞癌?类癌?
若晗:
右支气管腔沿管壁占位,病灶不彻底的坏死是不均一强化,胆碱脂酶异常升高,首选鳞癌!鉴别类癌
宇宙:
右肺中间段及下叶支气管腔内外生长肿块,远端未见明显阻塞改变,不均匀渐进强化,考虑腺样囊性癌或类癌
流心明智:
晨读:男,57,咳嗽半年,痰中带血3天。胸部CT:右中间段支气管到下叶支气管堵塞性狭窄,管腔内见软组织肿块,壁内外侵犯,长轴沿气道延展,下叶基底多段累及,病变纵径大于横径,远侧可见索条、阻塞性炎症。考虑恶性,腺样囊腺癌?鳞?鉴别N内分泌类、炎性肉芽肿等
看图说话:
右肺支气管部分狭窄及堵塞,周围肿块,远侧阻塞性炎症。恶性病变,类癌,鳞癌,腺样囊性癌。
南边:
软骨环的破坏与否很关键
放射小白:
联盟晨读病例:57岁,反复咳嗽半年,肺部表现如病史所述,定性恶性,常规会把鳞癌放首位,其次类癌、粘液表皮样癌、腺样囊腺癌,结合纤支镜检查。
毛勤香:
气管截断,血管破坏,跨壁内外生长,阻塞性炎症,定性恶性,明显强化,首先考虑类癌,鉴别鳞癌
崔少钢:
中年男性,病史半年,不发热,有咳血,右肺门不规则肿块,向支气管内突出,不均匀强化,局部强化明显,远端有小尾巴,考虑恶性肿瘤,类癌、小细胞、鳞癌。
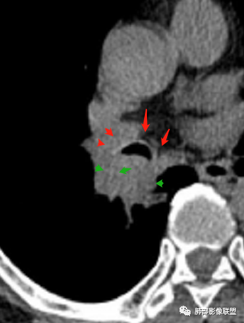
                        南边老师分析
南边:
观察点:
1、支气管壁



软骨环、腔及远端



软骨环的破坏与否很关键
病例结果




知识拓展

      曹捍波老师关于肺鳞癌的11个易忽视的问题
1、中央型与周围型早期鳞癌,两者除了位置区别,病理本质上并无任何区别!
2、与早期肺腺癌相比,早期鳞癌的诊断更难、风险更大,临床工作中要引起足够的重视!
3、早期周围型鳞癌的影像学上常会以“硬结灶”“纤维灶”等出其不意的形式出现。对此类病灶不能再思想上放松警惕,临床工作中要多考虑个肿瘤的可能性!
4、对于反复发生的局限性“炎症”,多注意局部支气管改变。影像学上多做薄层+三维重建,是早期发现病灶的基本保证。
5、椭圆型病灶并非良性专利。周围型鳞癌在发生发展过程中,其某个阶段可以表现为“椭圆型”,此时显示支气管与病灶的关系是诊断的关键。
6、与其他低分化肺癌一样,鳞癌的坏死比较明显,主要特点是早、多发、范围大、易融合、易形成空洞。纵隔窗增强扫描是显示坏死的关键。
7、空洞内壁呈结节状改变和偏心性改变是周围型鳞癌的特征。肿瘤不均匀坏死排出致使空洞内壁呈结节状改变,而远侧血供不足,常导致空洞位于远离肺门侧。
8、鳞癌的血管征与其分化程度和位置有关,分化程度较高的病灶或者边缘位置的鳞癌,可以表现为血管受压,而出现“血管增强征”。
9、鳞癌病灶内部的纤维成分并不比腺癌少,由于病灶破坏力和占位效应,使“收缩力”表现不明显,所导致的胸膜凹陷征明显比腺癌轻。
10、鳞癌的倍增时间一般为3个月,早早期在影像学上没有特点,随访上要做到“良性结节,恶性对待”!准确把握随访时间。
11、肺背景尤其重要,对于慢性支气管炎、肺气肿背景下出现的新发结节,尤其要警惕鳞癌的可能性!
选自:【曹捍波专题讲座】早期肺鳞癌----容易忽视的影像学表现

编辑:许慧良
审核:清    茶 



到顶部