【每日晨读】 蹊跷的单侧肺水肿



 
      肺部影像联盟是最全面的肺部影像与病理结合的学习平台,这里可以每天学习到大师们的经典分析思路,也是你工作、学习最好助手和基地,联盟将会从每周三轮值病例中精选病例提前供大家实战训练,每周三晚上八点肺部影像群里准时讨论及资深老师分析点评,希望关注的老师们都有所收获,也欢迎您提供病例一起学习分享,感谢大家一直以来的关注与支持,不对之处恳请批评指正!
 01
临床资料
病例资料

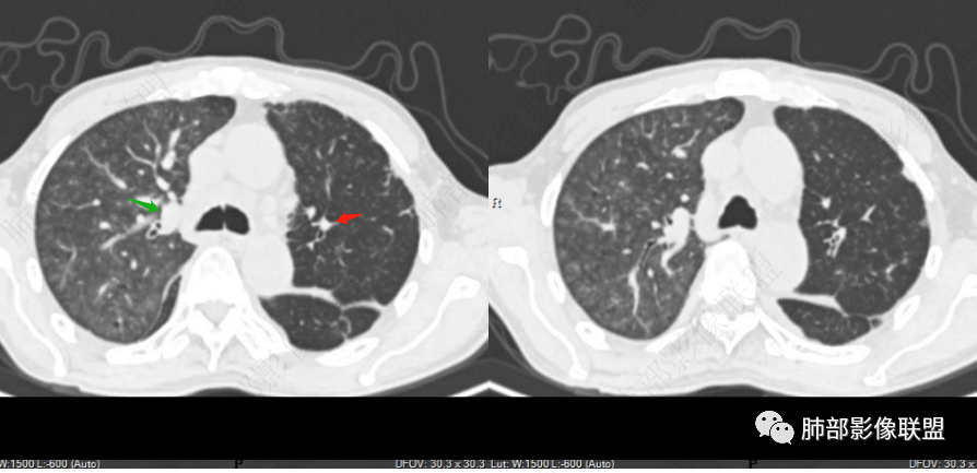
 02
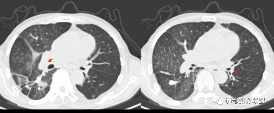
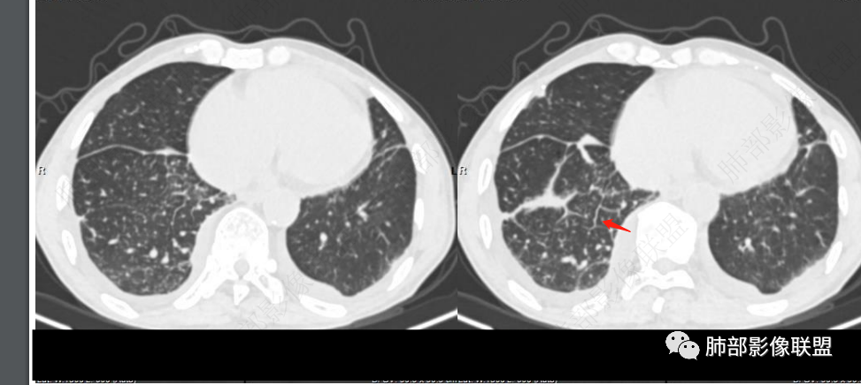
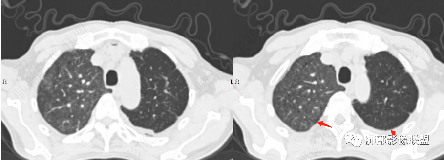
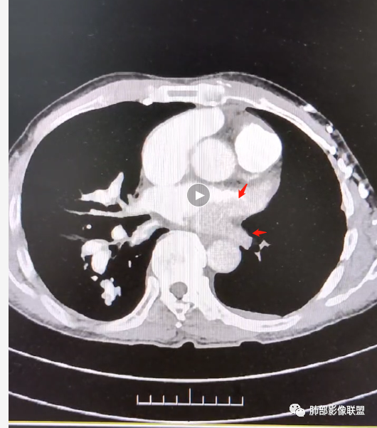
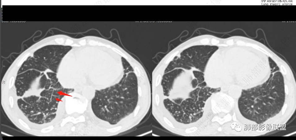
影像资料

 03
微信群讨论实录
谢加平:
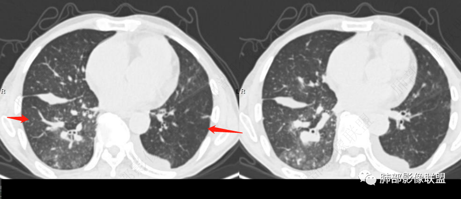
双肺叶透亮度呈磨砂状,并弥漫性以肺腺泡为单位GGO结节,边缘模糊,肺动脉高压表现,双肺下叶肺动脉分支明显增粗>邻近支气管径,小叶间隔增厚,叶间积液和少量胸腔积液,方向1.PVOD病并肺泡出血,2.心衰表现!
一切∮随缘:
考虑肺水肿?PVOD/ PCH?
doctor:
肺部影像联盟病例考虑PVOD/PCH。
放射小白:
老年男性,胸闷、浮肿10天,左肺尖可见肺大泡影,两肺散在纤维索条影,右肺见弥漫性腺泡结节,以右肺上叶为著,右肺下叶局部小叶间隔增厚,双侧胸腔、右侧叶间裂及心包积液,结合实验室及影像检查,符合心衰及肺水肿表现,右肺部病变符合PVOD表现。
光明:
高血压肾衰病史,先考虑肺水肿
361度:
肺水肿
日月@中心:
PVOD,肺水肿?
张小林:
PVOD,肺水肿?
必有路:
CTPA
70岁还活着,pvod慎重考虑,栓要先排除 
丁啸:
两边血管不对称,栓塞先考虑
王静 安阳地区医院CT:
左肺明显肺野透亮度增加,右肺明显肺水肿!右肺血管束稀疏,D二聚体明显高!首选左肺肺栓塞可能
高广飞:
尿毒症肺?
若小虞:
支持,PCH更要排除了
洪桥爱:
栓,肺动脉肉瘤并右肺转移?
doctor:
临床症状轻,影像重,左肺动脉巨大低密度影,不排除肺动脉肉瘤?
鉴别栓塞



藏客:
双肺透过度不均匀,右肺减低,可见腺泡结节影,中央间质、周围间质增厚,少量积液。肾衰病史首先考虑肾性肺水肿。
位移:
待排除肺栓塞,建议做肺动脉造影
刘和林:
考虑肺水肿,右下肺病变,需排除恶性或肺动脉栓塞,建议增强
姜文强:
老年女性,胸闷,水肿,气短,bnp高,临床有心功能不全,心彩无左衰依据,胸部ct右肺磨玻璃,小结节,小叶间隔增厚,血管不对称,考虑pe
南边:


这个临床也有一些特点。既往史:高血压、脑梗死、肾功能不全。
King:
肺水肿有的,可能心源性的,但导致的原因仍需进一步排查,虽有肾功能但不像肾源性,虽有肺动脉高压,但不考虑PVOD(年龄,性别,肺动脉高压可能由于瓣膜,心衰继发)。二聚体高,右肺胸膜下反晕病灶,肺梗要排除。另外就是右单肺腺泡结节以及带晕的实性结节。这个怎么解释。虽有误吸危险因素,但临床没有发热,血象不高。
洪桥爱:
脑钠肽升高,提示心衰;D-dimer升高提示栓的可能。CRP超百,提示炎症,但是不一定是感染相关。
南边:
血象不高,目前化验只要还是心衰、血栓的提示。不看影像。彩超提示:右房大、肺动脉高压,左心好像没啥。如果这个方面分析:右心的改变应该是肺动脉高压继发的,逆向的增大可能。根源应该还是肺动脉或肺内。
南边:
看一下影像,肺动脉粗大,大于升主动脉








高广飞:
请教一下:正常情况下肺动脉主干与升主动脉的比例是多少
南边:
一般认为升主动脉比肺动脉粗(同层)
南边:
从肺动脉的主体分析:左肺动脉好像起始部就开始狭窄。
现在给的图像:是鼠尾状狭窄,而不会局部膨隆,远端细小那种。
右侧的肺动脉增粗肯定与代偿有关。
现在的问题是自左肺动脉狭窄的原因:是急性栓塞?炎性病变?慢性血栓?
看肺部,灌注量有关:


开始我觉得密度有价值,但是层厚太厚,附近淋巴结钙化,没底气


我想看看细节,局部肺动脉到底如何变化
南边:
慢性栓塞,陈旧性结核,然后继发其他肺动脉高压病变、心衰确实可以导致现在的改变



这些区域肺动脉增粗明显,围绕肺动脉周围GGO,但是局部小叶间隔不增厚,按理应该考虑肺动脉高压所致肺部改变
King:
单肺的腺泡结节,一般吸入性,肺泡出血,追问临床有无咯血,血红蛋白血色素等指标,这么看来结合肺动脉高压,肺水肿,反晕病灶,二聚体,重点考虑肺栓塞。
南边:
这些小叶间隔增厚明显区域反而GGO少


南边:
支持间质性肺水肿改变,PVOD我不太支持。
南边:
按理是肺静脉的增粗、小叶间隔增厚,导致局部血液回流受阻,逆向肺动脉高压,就是GGO应该在小叶间隔增厚区为主,而且肺动脉主干的双侧不受影响。这个肺部改变符合肺动脉高压所致。也就是毛细血管前的更符合
南边:
现在的影像改变提示:
1、陈旧结核
2、双侧胸水,小叶间隔光滑增厚——支持间质性肺水肿,提示心功能不全
3、右肺改变符合肺动脉高压导致
4、肺动脉改变:左肺动脉起始部突然狭窄(右肺动脉代偿增大——继发肺内改变)
南边:
就是根源还是与左肺动脉起始部狭窄相关性大。
无非:急性栓塞、慢性栓塞、炎症、肿瘤。
目前的依据,我觉得急性栓塞的特点不太明显啊。
我觉得增强或MR是必要的,现在的影像判断肺动脉改变不够直观
THINKER:
pvod属于少见病,往后放
肾功不全丶高血压,左心功能正常丶未见节段性运动减弱,说明无左心衰,但肺部有小叶间隔厚等静脉或淋巴回流障碍表现,有水肿,故考虑可能存在肾性水肿。
BNp丶二聚体上升丶右室大丶是否有肾性高凝待排,故可能存在肺栓塞。
左丶右肺明显透过不均,左肺透过增强,血管明显纤细,部分马塞克征,无小气道闭塞史,故存在血管因素。→pE。
左右不对称累及,造成双肺改变的疾病可能小。
王琰:补充晨读视频
南边:
有腹水,皮下水肿,右肾萎缩。没增强


狭窄的很突兀,我觉得根源在这里,加上一些其他因素叠加上去导致的
Coke with ice:

这一坨是什么
南边:
肺动脉
Coke with ice:

Coke with ice:
周围区域连续些看,感觉有树芽征。
Coke with ice:
如果这个树芽征明确的话,这个就不是肺水肿。可以做个最大密度投影或多方位观察再次确定是否有树芽征。弥漫性中轴间质和周围间质增厚常规就两个疾病谱,癌淋或肺水肿。而且这个人有明确的右肺明显。结合可疑树芽征,很多可以看到沿着肺动脉走形的磨玻璃影,需要可疑血源播散性转移或血管源性恶性肿瘤病变,再就是嗜血管的淋巴源性的恶性肿瘤。血管肉瘤,血管内淋巴瘤病可以这个表现,之前还碰见过一个,好像是NK/T淋巴瘤也这个表现,这个有点记不清了。
如果是肿瘤的话,右下肺这一坨怎么解释呢,看着确实是增粗的肺动脉。
 04
病例结果
嘻嘻:2022.1.11号肺窗及增强

南边:
左房这么厉害,这个结果不对啊
肺动脉是栓塞吗?
不吝慷慨:
还是肺动脉慢性栓塞
南边:
王琰老师能否拷出dicom图像?

Coke with ice:

这里有没有瘘
南边:

尘缘:
有栓塞,但是需要排除肿瘤引起的栓塞和瘘形成
南边:
栓塞也是左房
弹指之间:
左房是因为回流血量少而引起的密度不均匀吧
南边:
有道理。对,应该朝这方面考虑。
我觉得左肺动脉可能还是有炎性病变
Coke with ice:
PVOD能排除了吗?
南边:
不支持
Coke with ice:
理由是什么
弹指之间:
还是慢性肺栓
Coke with ice:
这个吗?

南边:是
Coke with ice:
引起肺动脉高压了,可以造成肺动脉改变吧
南边:
可以
南边:
肺栓塞完全堵塞的,罕见啊
难得。否继发炎性病变了?难得的好病例。
wj:
@南边?有一个疑问,你说:按理是肺静脉的增粗、小叶间隔增厚,导致局部血液回流受阻,逆向肺动脉高压,就是GGO应该在小叶间隔增厚区为主
毛玻璃发生在小叶间隔增厚的地方是代表什么
Coke with ice:
说的是小叶中心磨玻璃。周围有小叶间隔增厚的地方才存在。
南边:





这是静脉回流受阻,管腔内血液淤积,压力逆向传递给毛细血管
当然超过阈值会出血
小叶间隔增粗,提示局部的肺静脉增粗,肺泡壁上的肺静脉、毛细血管才会增粗

增粗的血管、出血、慢性出血导致含铁血黄素沉积——GGO,也可以细网格
就是出血这些GGO原因在于肺静脉淤积(小叶间隔增粗)
常规来说:GGO应该主要出现在小叶间隔增粗的区域
GGO与小叶间隔增粗,不一致





今天的病例,
大家看这些GGO。
大片的我们不好判断。但是很多小一些的。

明显反网格征。中心的GGO,所以这是以肺动脉为主的病变。不是静脉的
这个病例给我带来了很多东西。
wj:
一般肺水肿,小叶间隔增厚会在上还是下肺多,及ggo会有什么特点
南边:
间质性的下先出现
肺水肿其实非常复杂。复杂在大的趋势没问题。问题在于肺内自己的差异
wj:
我也觉得肺水肿其实很复杂
Coke with ice:
总感觉肺栓塞解释不了。右肺还有很多其他表现,但是右肺动脉是挺好的。
我的意思是说右肺动脉没有栓塞,不能用肺栓塞一元论解释。右肺动脉很宽也解释不了右肺这么多的病灶表现
King:
@曹冠杰,济医附院?一侧肺栓塞,右心血流到另一侧无栓塞的肺动脉,故而高灌注,可以肺水肿。少见模式,肺栓塞对侧肺水肿。
 05
病例小结
                              
影像与临床:
1.老年男性患者,胸闷、双下肢浮肿10余天入院。夜间需高枕入睡。
实验室BNP,D-二聚体升高。肾功能不全。
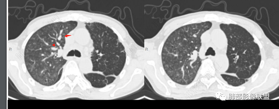
2.右肺广泛密度增高、腺泡结节样磨玻璃影,血管影明显扩张,小叶间隔增厚。
3.右肺下叶纤维钙化灶。
4.左肺相对广泛低密度、血管纤细(显著)。
5.双侧胸腔少量积液,右侧较为明显。
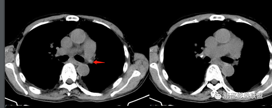
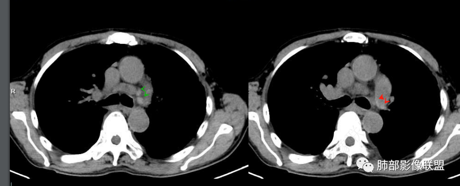
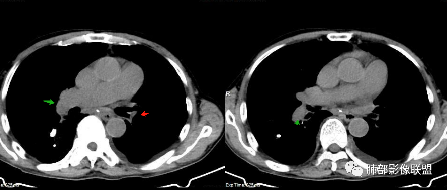
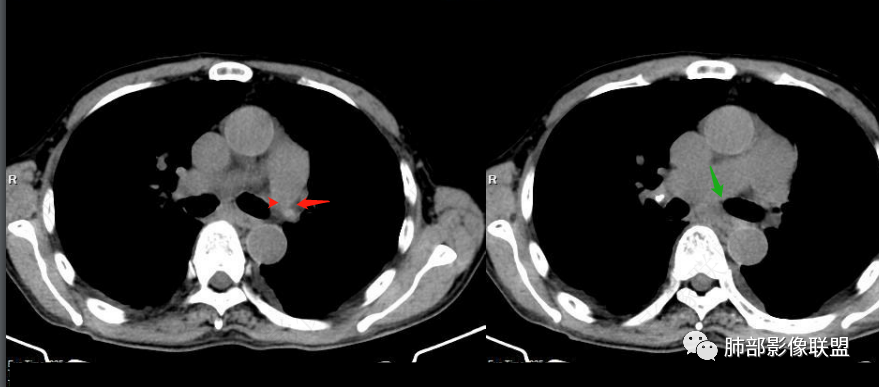
6.心脏影增大,右房室增大为主。(增强:左心房及肺静脉入口见充盈缺损)
7.肺动脉主干扩张,左侧肺动脉主干见混杂密度影,上下肺动脉似不能连续追踪。
(增强:左肺动脉充盈缺损、闭塞)
8.胸壁见迂曲扩张静脉血管。
综合分析:
1.临床胸闷、夜间不能平卧,双下肢浮肿——提示心功能不全、肺水肿可能。
BNP升高亦提示心肌负荷增高。
2.影像右侧肺水肿提示左心回流障碍。左心房及肺静脉入口见充盈缺损提示血栓存在。
3.影像胸壁迂曲扩张静脉血管提示右心回流障碍(可呼应双下肢浮肿)。
4.心脏影增大;肺动脉高压。
5.影像左肺动脉栓塞、闭塞——上下肺动脉以远相对纤细——左肺动脉“断供”,且存在支气管动脉扩张可能。
 06
知识拓展
1.肺栓塞的CT表现
 (1)肺缺血:当肺叶或肺段动脉栓塞时,相应区域内的肺血管影纤细或减少,肺野密度减低。部分患者肺体积缩小。
(2)“马赛克”征:肺内灌注不均匀,表现为正常的肺组织代偿性高灌注与栓塞所致相应肺组织灌注下降相间存在。 
(3)肺动脉主干异常:双侧多于单侧,右肺多于左肺,下肺多于上肺,较大肺动脉栓塞可显示为肺动脉主干及分支内异常密度灶,新鲜血栓多表现为高密度,陈旧性血栓多表现为低密度或钙化等。病变的肺动脉因较大血栓嵌顿而增粗,其远端血管因血流减少而变细。
(4)心影增大,以右心室增大为主,伴有肺动脉高压。
(5)可合并肺梗死,表现为肺外周胸膜下密度均匀的楔形病灶,尖端指向肺门。可出现反晕征及空洞等。 
(6)胸腔积液。
急性肺栓塞的肺实变通常是由于肺实质出血和水肿。有时,可能是由于肺梗死,在肺内形成一个均匀的圆形凸影尖端朝向肺门的楔形实变的表现提示肺梗死(指的是汉氏驼峰),可出现空洞但很少。肺梗死后演变模式被描述为“融冰”征,这一点有助于区别肺梗死和急性肺炎。可见到胸腔积液,或是独立异常,更常见于梗死和出血患者。
2.对比肺动脉肉瘤和的肺栓塞CT或MRI,可以看出肺动脉肉瘤不同于肺栓塞的细微差别: 肺动脉肉瘤多由主肺动脉向远端肺动脉延伸,累及双侧肺动脉,病变程度重,可见主肺动脉及近端肺动脉完全性或大部分充盈缺损,肿块边界不规则,不均匀强化,可见分叶或分隔现象,病变段肺动脉明显扩张,失去正常比例,病灶侵及血管壁内外(管壁外脂肪间隙模糊),多有胸腔积液和心包积液等。
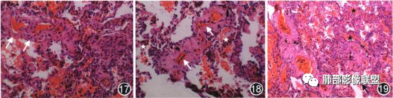
3.肺静脉闭塞病(PVOD)是一类罕见的动脉性肺动脉高压(PAH),其起病隐匿,病程进展迅速,靶向药物治疗效果差,预后不良。患者从起病到死亡或接受肺移植的平均病程仅22.4个月,患者无特异性临床症状,多数患者仅仅以乏力、运动 耐量下降、胸闷气短为主诉;随着疾病进展,逐渐出现如纳差、消瘦、浮肿等右心功能衰竭表现。病理学的肺组织标本病理显示不同直径的肺小静脉和肺静脉发生广泛性、弥漫性闭塞样病变;肺小静脉血管内膜增厚;肺泡腔内可见大量巨噬细胞沉积以及广泛出血。影像学方面,多数 PVOD 患者在肺部高分辨 CT可见到以下两项或以上影像学表现 (1)纵隔淋巴结肿大;(2)马赛克征;(3)小叶间隔增厚;(4)肺动脉高压;PVOD患者胸部高分辨CT常可见上述特征性表现,其中以马赛克征改变最为常见。
 
知识来源:
中华结核和呼吸杂志2018年1月第41卷第1期 肺静脉闭塞病及肺毛细血管瘤病的临床和影像学特点赵勤华 吴文汇宫素岗 姜蓉何晶 罗祠君 邱宏玲黎金玲 刘锦铭 王岚
贺文 张国桢《胸部CT诊断》
没有对比就没有伤害——肺动脉肉瘤?血栓?李宇 肺部影像联盟 2020-06-11
胸部CT入门系列-肺动脉栓塞  山鹰勇涌 肺部影像联盟  2019-07-18 06:56

病例来源:王  琰
编辑:张  强
审核:雷 凤   徐  晓
到顶部