【每日晨读】当类风湿关节炎“遇上”双肺磨玻璃



01
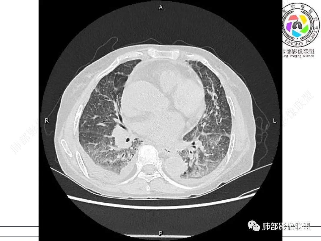
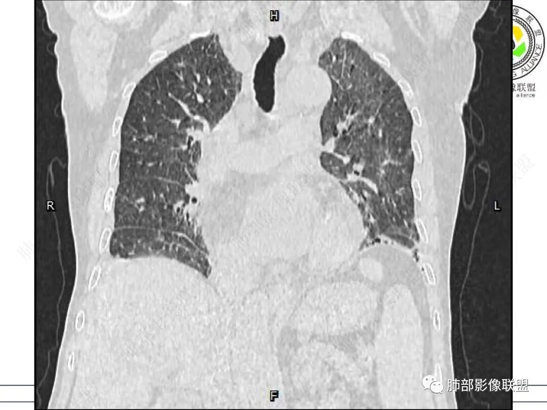
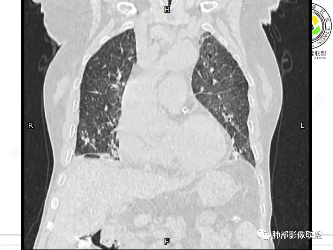
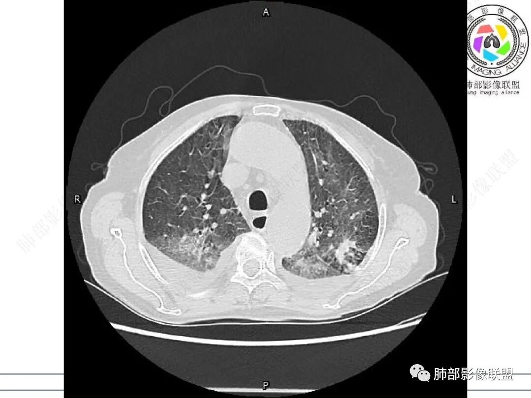
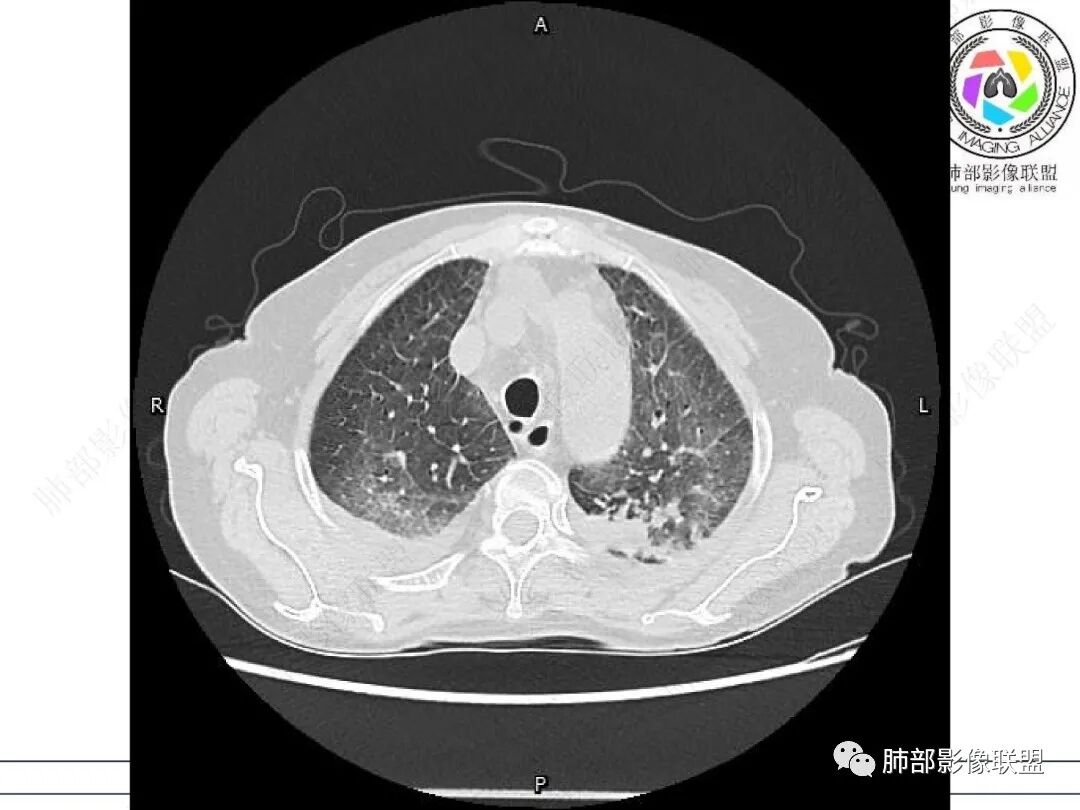
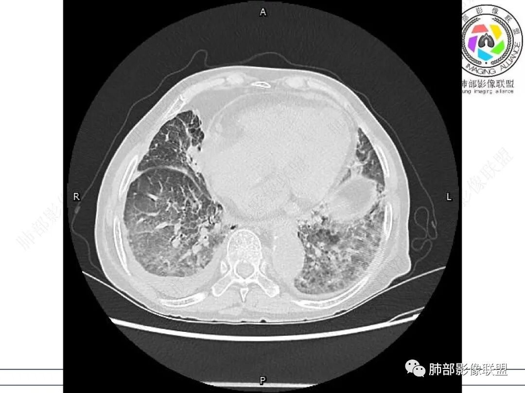
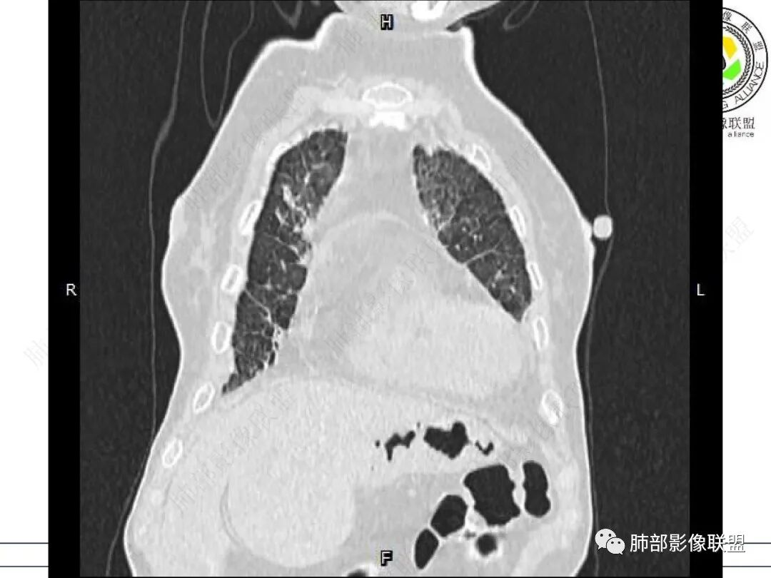
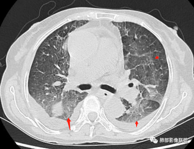
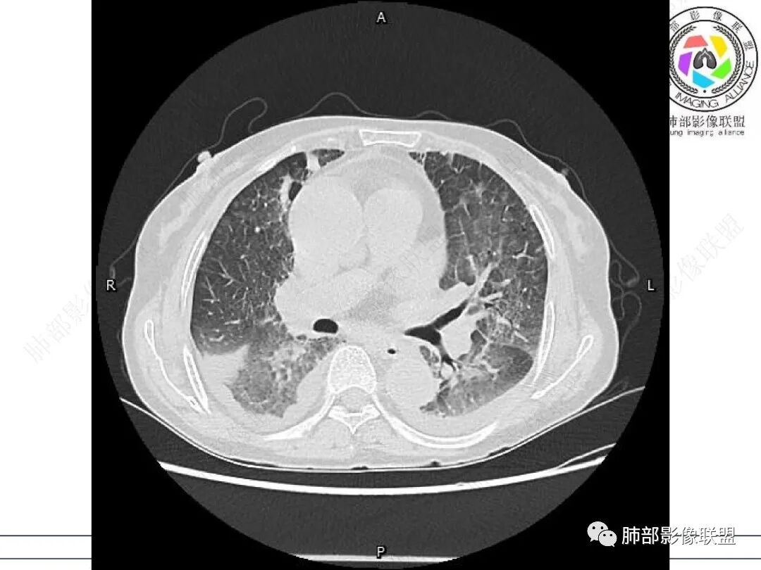
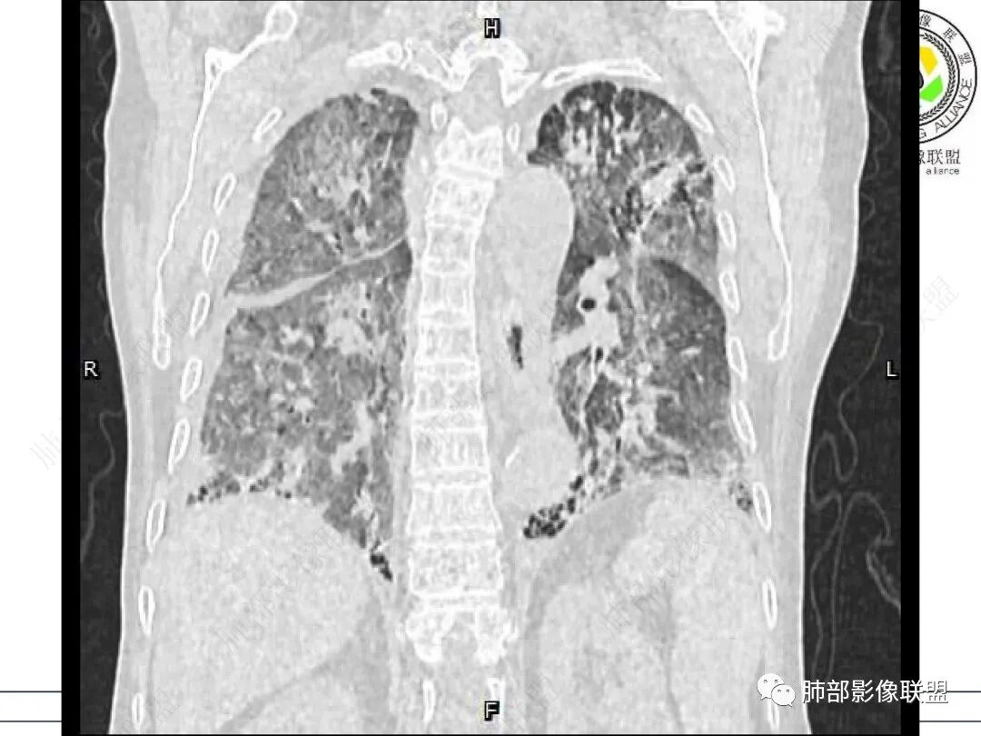
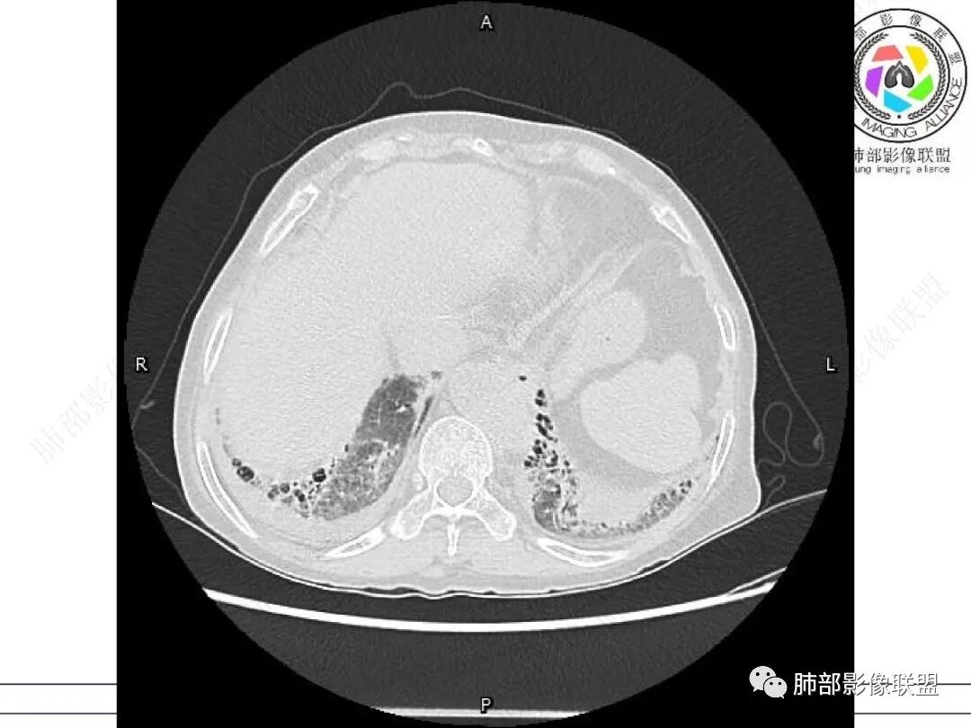
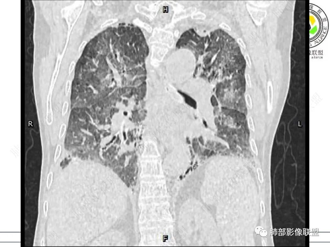
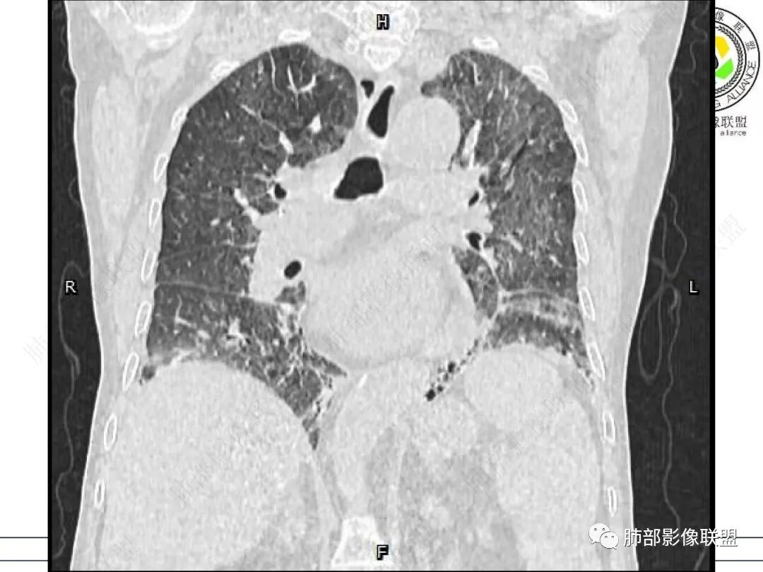
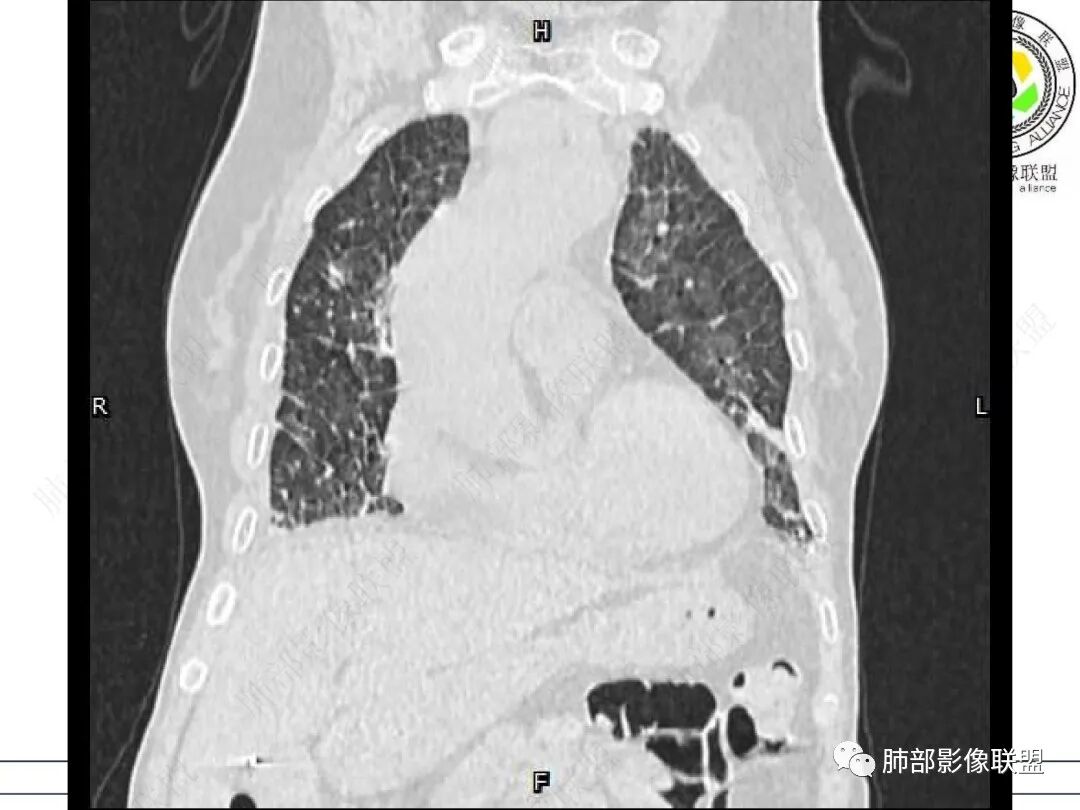
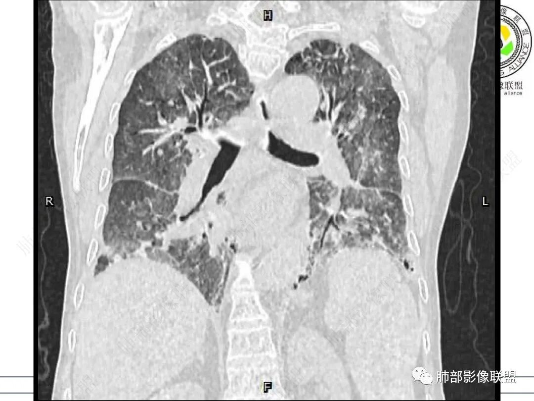
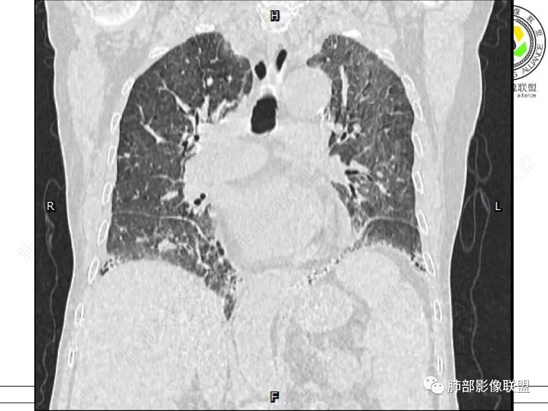
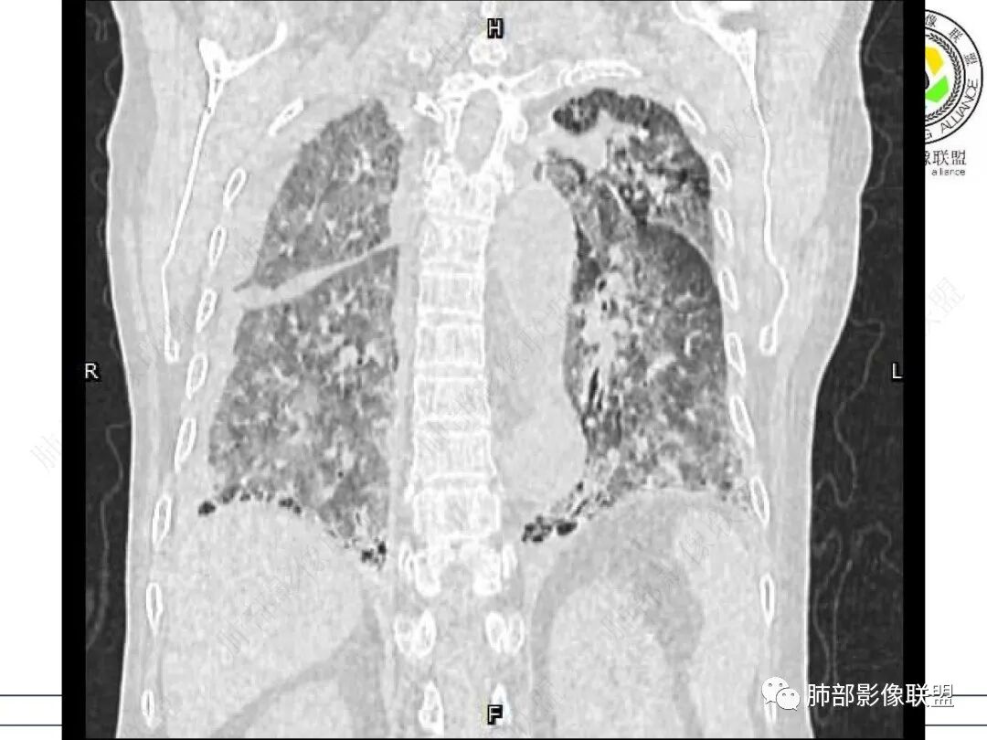
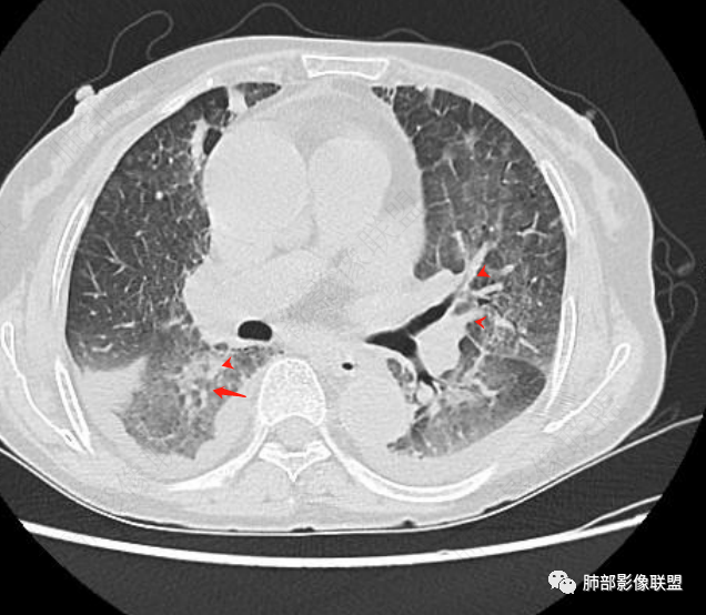
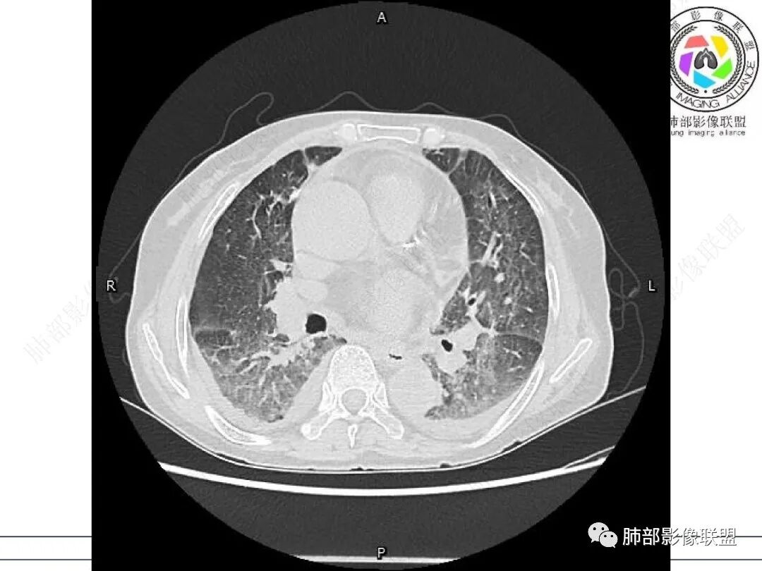
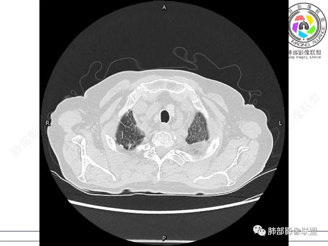
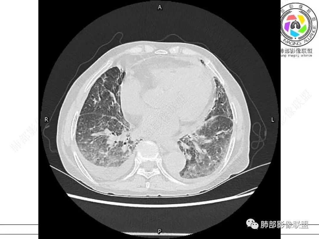
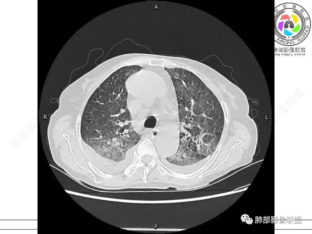
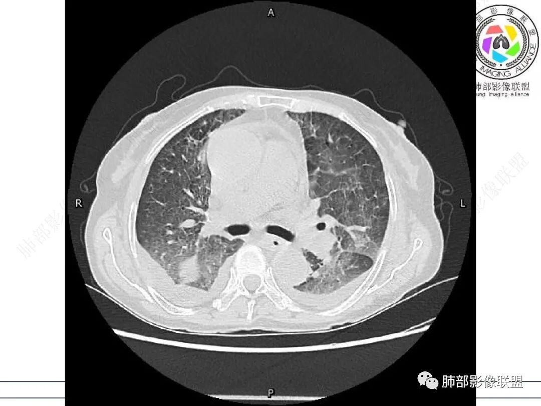
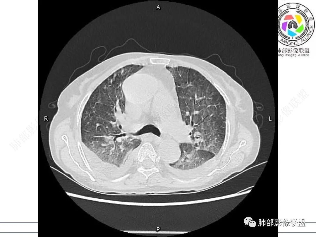
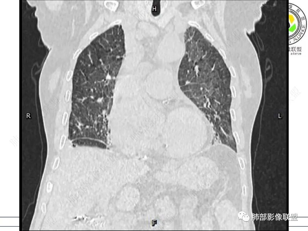
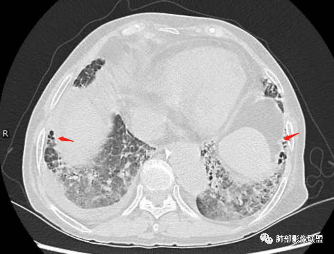
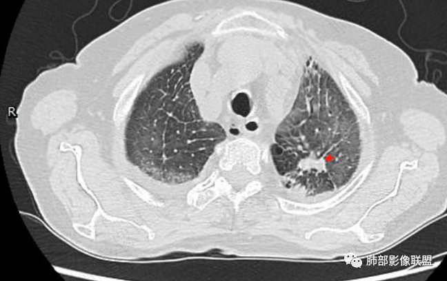
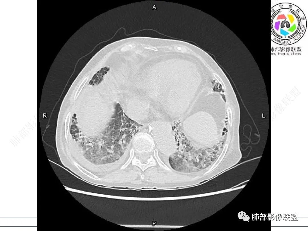
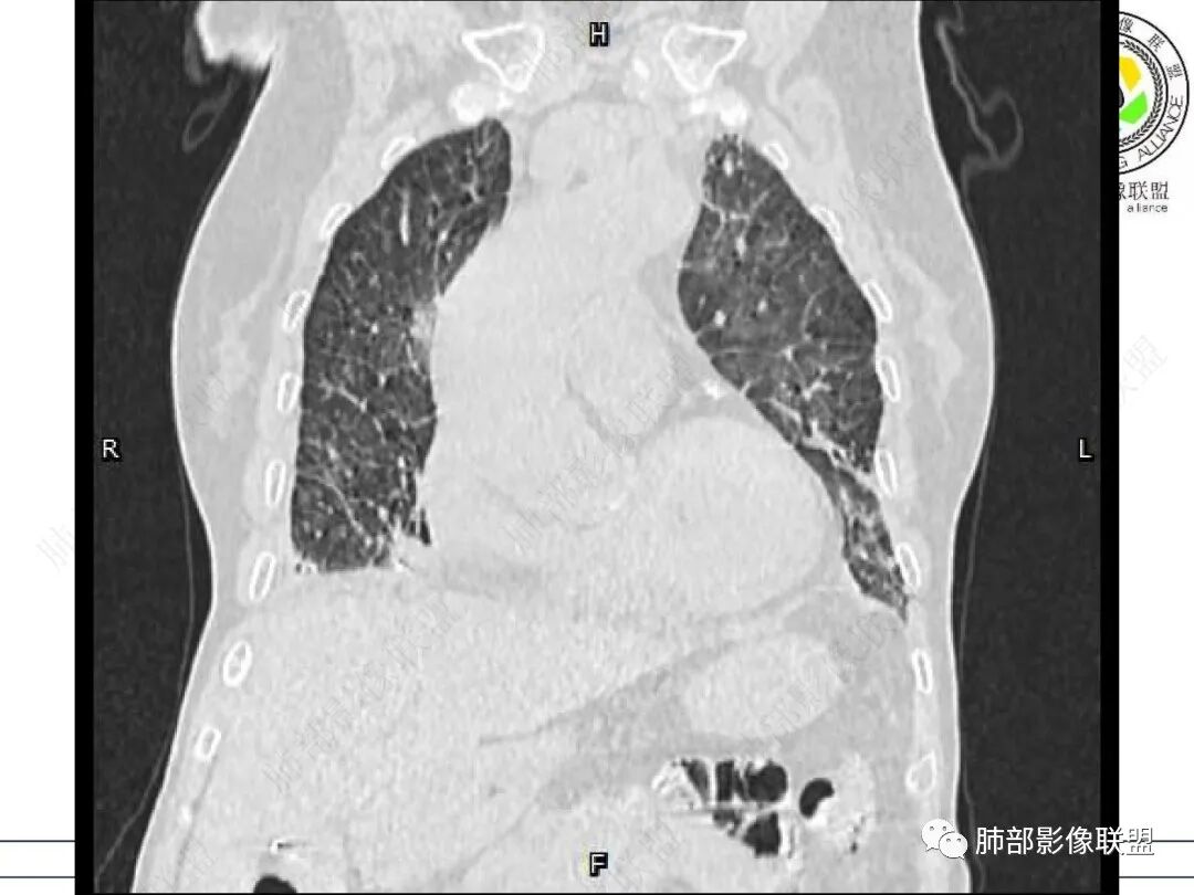
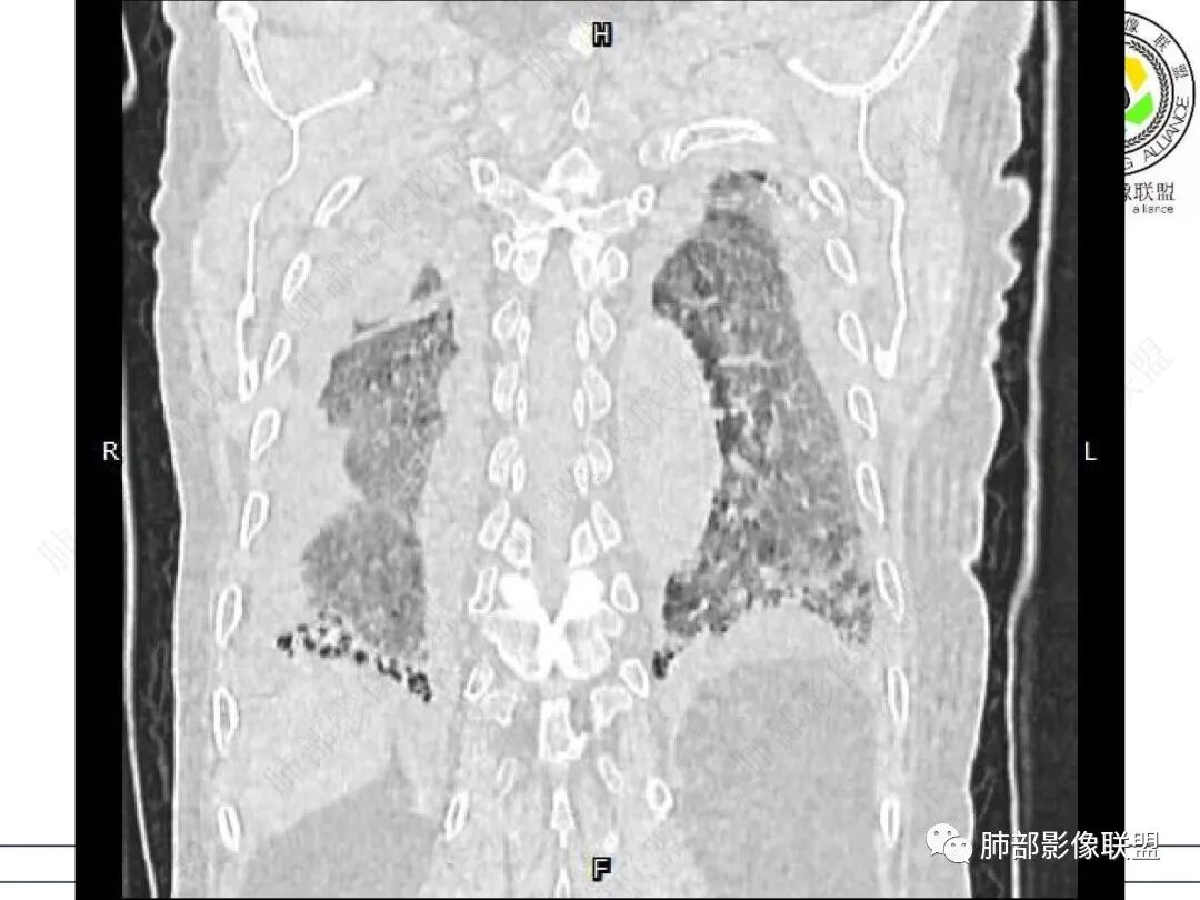
·病例详情

资料-图片





































02·讨论
再见理想:
心脏大,胸腔积液,小叶间隔增厚,双肺磨玻璃影,考虑存在肺水肿,另双肺间质性炎性,类风关病史,考虑CTD-ILD,左肺上叶结核可能。
摘星空竹子:
考虑CTD—ILD。
谢加平:
两肺叶后肋膈角区见多发蜂窝状结构破坏表现,双肺叶小叶间隔增厚,左肺上叶后段及舌段和右肺中叶胸膜炎性肉芽肿特点,双侧胸腔少量积液,有类风湿性关节炎治疗史,结缔组织相关性间质性肺病。
阿昌:
考虑CTD-ILD合并肺部感染(真菌、病毒)
如是:
晨读:考虑类风湿肺病,是否合并其他感染请结合相关检查
藏客:
双肺间质性肺炎改变,肺水肿、肺出血可能,考虑感染性病变(真菌、病毒)鉴别血管炎。
金豆:
多种基础病,肺部间质性改变,小叶间隔增厚,肉芽肿,二元,感染类,间质性肺炎奴卡。
飞鹰行动:
片状磨玻璃影,多发结节,类风湿肺炎?
王江涛:
考虑CTD—ILD
了:
发热,有类风湿性关节炎、糖尿病基础病,长期口服激素及免疫抑制剂,双肺多发磨玻璃影及小叶间隔增厚,蜂窝影,支气管扩张考虑非特异性间质性肺炎存在,左肺上叶不规则结节影,周围长毛刺局部肺气肿,考虑慢性炎症,结合pct及crp升高考虑细菌感染,另真菌g升高考虑结合宿主因素,真菌感染需要积极排除。
那个人:
老年,外阴溃疡加发热,感染指标明显有异常,血气分析,过度呼吸及低氧血症,宿主因素,糖尿病和激素,基础疾病RA。影像,双下肺体积有缩小,有蜂窝?双肺磨玻璃,多发结节,双侧胸水。树芽不明确。是否有旧片,这个患者有UIP背景,是否感染或者UIP急性加重,或者基础上合并肺栓塞及肺水肿?长期激素,没有提供CD4细胞亚群,存在2种情况,1,风湿病没有压制住,肺考虑CTD相关性间质改变,压制过猛,结合感染指标,奴卡是有可能的。激素加糖尿病,结核也带排,激素加磨玻璃加G实验阳性,PCP也带排,临床信息太少,进一步排查
红星:
老年女性,有高血压糖尿病及类风湿性关节炎病史,发病前发烧。影像学两肺弥漫性磨玻璃影及斑片影,有渗出性病变亦有间质性改变,支气管血管束增粗,有牵拉扭曲有小气管扩张及间质增厚,两肺下叶胸膜下少许蜂蜜状影。两侧胸腔积液。考虑类风湿性关节炎肺内浸润?合并真菌感染?
衡妈:
老年女性,类风湿关节炎病史多年。发热。以两肺下叶为主弥漫磨玻璃及网格状透亮影,透亮度减低,局部小蜂窝状改变;两肺胸膜下散在几枚实性病灶;双侧胸腔积液。考虑RA-ILDNSIP
月亮圆了:
双下肺后肋膈角区见多发蜂窝,小叶间隔增厚,磨玻璃改变,,双侧胸腔少量积液,Crp明显升高,有类风湿性关节炎,糖尿病。甲氨蝶呤,托法替布治疗。会阴溃疡。考虑:1.免疫妥协2.pcp?巨细胞病毒?3.甲氨蝶呤致肺损伤?4.Ctd-ild.
薏米:
类风湿病史,双肺小叶间隔增厚,散在磨玻璃密度增高影,双侧胸腔积液,患者免疫妥协,发热,PJP、病毒感染,类风湿相关性肺部改变
若晗:
UlP考虑与RA有关!鉴别合并白塞氏病
宇宙:
考虑CTD-ILD合并PJP或病毒感染
丽:
老年女性,双肺多发间质改变,有类风湿病史,考虑结缔组织相关性肺病
放射线:
两下肺多发蜂窝状表现,双肺小叶间隔增厚,双肺磨玻璃影及部分炎性肉芽肿表现,双侧胸腔积液,有类风湿性关节炎治疗史,结缔组织相关性间质性肺病。患者C反应蛋白和降钙素原都高,是否合并细菌感染
晓锁:
结缔组织相关间质性肺病,结核,梅毒可能
流心明智:
女,71,外阴疼痛2周,发热1周。类风关、高血压、高血糖、卵巢囊肿、肠粘连、胆囊结石等病史及相关药物治疗史。胸部CT:两肺弥漫磨玻璃,血管束增粗,两下肺后肋膈角多发蜂窝,对称分布,双侧胸腔少量积液,纵隔窗心脏大血管影明显增宽。考虑混合性病变,CTD-ILD,并肺水肿?并PJP?。
必有路:
PjP。可能是个HIV患者
用了激素免疫抑制剂,也不一定,常规查下
陳显静:
pjp并发胸水的少吧
doctor:
肺部影像联盟晨读病例有类风湿肺病史,影像蝶翼状磨玻璃影,伴散在结节、双侧胸水,考虑PJP。
有胸水的PJP
361度:
风湿肺合并感染,奴卡?
日月@中心:
晨读考虑CTD一ILD
火焱:
免疫抑制状态,G试验明显升高,两肺弥漫性病变,首先考虑PJp,建议肺泡灌洗液NGS
王静安阳地区医院CT:
双肺小叶间隔增厚+磨玻璃密度,双肺下叶胸膜下蜂窝,符合肺间质改变表现。双侧胸腔积液。患者类风湿,目前有外阴多发溃疡,血管炎-白塞氏病可能。实验室检查,C反高,和G实验阳性,考虑CTD-ILD合并感染,
rouzao:
CTD-ILD基础,合并感染,首先考虑奴卡,鉴别PJP
放射小白:
晨读病例支持PJP。
我是冰墩墩!:
一元论解释不了整个的病程:从临床的角度分析,第一,该患者是离异女性,这种的去收,我倒是建议入院之后就要把,艾滋这一套查了,第二,该患者有类风湿性关节炎的病史,长期服用免疫制剂,而且有糖尿病的病史,这两种疾病叠加在一起,肯定会导致他的免疫力低下的,第三个,他的血常规中的白细胞不高,c反应蛋白相对来说比较高,这个可以看成是类风湿性关节炎活动的指标,但是这个人的PCT高,类风湿性关节炎活动导致PCT高的不多,这个人的G特别高,而且这个人的肾小球滤过率已经降低了,正常的肾小球滤过率是80到120,这个人是68,而且这个人的血气分析是一个明显的一型呼衰的表现,二氧化碳分压特别低所以明显存在着过度通气的情况结合临床所说的发热一周,这个人应该不是一个单纯的疾病,可以解释的。那么,从影像的表现看,双下肺的那些蜂窝样的表现符合UIp的表现,这个可以看成是类风湿性关节炎导致的继发性的间质改变,这就是双肺弥漫的渗出性的影子,结合患者G阳性(这些影子看上去不像曲霉菌的感染,也不像白念的感染)所以说还是高度怀疑pcp的,你仔细看一下它的矢状位,叶间裂好像还有渗出,还有积液,加上患者双侧胸腔积液,那么我觉得肺水肿的因素还是有的,这就是PCT五点多,是否还合并着其他的细菌感染?综上所述,我觉得这个人可能存在以下问题,第一个类风湿性关节炎导致的UIP,第二个免疫力低下导致的pcp,第三个肾小球滤过率下降导致的肾源性肺水肿?或者是心源性肺水肿,这就是可能还合并了其他的细菌感染。患者离异,不知道什么时候离异的,目前,71岁了,如果离异的时候比较年轻的话,是否是存在多个性伴侣?所以说,艾滋病这一块也不能排除
位移:
考虑肺孢子菌肺炎,鉴别类风湿肺病
赵春杨:
考虑RA相关间质性肺病(RA—ILD),两肺磨玻璃影,长期使用激素,不除外合并PJP。
弹指之间:
老年女性,外阴溃疡伴发热,有类风、糖尿病病史,血象及炎症指标高,G试验升高;影像:磨玻璃密度(中央分布为主)胸膜下蜂窝状改变心影增大、两侧胸腔少量积液;小叶间隔增厚,结节;考虑:1.中央分布为主的GGO需考虑:肺水肿、出血、PJP、肺泡蛋白沉着症;2.胸膜下间质性改变蜂窝肺,需考虑UIP、CTD-ILD,综合:两元论:CTD-ILD奴卡,或肺水肿
二妹柠檬:
考虑PJP可能,合并CTD-ILD
良孑:
类风湿病史二十年,两肺弥漫性间质改变并肺内多发结节及双侧胸水,首先考虑结缔组织相关性疾病,CTD一lLD,双肺多发结节,外阴部多发溃疡,白塞氏病也要考虑
杨长德:
类风关肺,lLD
Kirin9000:
双肺下叶多发蜂窝影,双肺小叶间隔增厚,双肺磨玻璃影,双侧胸腔积液,有类风湿性关节炎,考虑结缔组织相关性间质性肺病,合并感染
段建民:
老年女性发热,外阴溃疡,既往类风湿服用免疫制剂和激素。常规抗感染效果欠理想。胸部CT提示双肺弥漫性,对称性的磨玻璃影,伴双侧的胸腔积液,心影增大。化验指标白细胞偏低,G明显增高,pct增高,GM试验阴性。结核感染T细胞阴性。
总体考虑卡氏肺孢子菌肺炎。合并心衰心功能不全。Pct增高应该还合并有细菌感染。
不太清楚这个外阴溃疡和本次发热.类风湿之间有没联系。
总体考虑Pjp比较明确。
若小虞:
PJP看不出来,等会结果出来了期待讲解。考虑风湿导致的间质改变和胸水为主吧
琦遇:
外阴溃疡是什么原因造成的?
Cokewith ice :
合并外阴溃疡的疾病很多。糖尿病,梅毒,疱疹,白斑,霉菌性阴道炎等,恶性肿瘤,白塞氏病。
王静安阳地区医院CT:
临床诊断是啥,白塞诊断没?
wj:
间质性肺病,符合ctd相关,现在讨论是本次磨玻璃是什么,是ae,是pcp还是其他
安智轩:
糖尿病基础+类风湿关节炎病史,两肺弥漫性渗出及简质性改变,真菌G实验阳性,诊断考虑类风湿结缔组织相关性肺炎+奴卡,鉴别结核
必有路:
HIV+PJP
用了激素,也不一定HIV 常规查下 PJP应该没问题
go and see:
类风湿性关节炎基础病,长期用激素+免疫抑制药物,淋巴细胞极低,CD4低于200肯定没问题,GGO+部分散在小叶间隔增厚+小叶内间质增厚,双侧胸腔积液,第一印象PJP+CMV,胸腔积液考虑低蛋白血症引起胸腔漏出液。
农老师,纤维化不明显,这样的PJP更支持HIV阴性的病人!做肺泡盥洗液NGS部分肺炎病人都能检出CMV病毒,
赵子坤:
会阴部疱疹有什么提示作用@方鹏 广西横州市人民医院?方老师
go and see:
病毒感染
嘻嘻??:
方老师,那这个检出的CMV可靠吗@方鹏 广西横州市人民医院?
go and see:
可靠的
安智轩:
考虑糖尿病导致外阴炎性病变
赵子坤:
这个人,CPR和PCT都很高啊。还是考虑细菌感染吧?病毒感染,不会引起PCT这么高吧。
go and see:
这样的病人免疫极低,混合感染肯定!
这样的病例如果没有NGS年代,很容易漏掉CMV,PJP了!

南边:
患者71岁,女性,类风湿20年,糖尿病3年

这次急性外阴感染

类风湿性肺损害没问题

结核没问题


这里有小叶间隔增厚,请问:啥原因?
谢加平:
淋巴回流受阻
南边
还有双侧胸腔积液
GGO重力趋势明显,PJP重力趋势没这么明显

双侧中轴间质增厚。可惜大支气管层面不多。
南边:
这个多元吧,类风湿也可以引起泌尿系感染。
我认为
1、部分小叶间隔增厚区没有GGO,最起码不支持局部GGO病变修复导致的间质增厚
GGO重力趋势明显,双侧胸腔积液,还是比较支持肺水肿类病变。
2、外阴感染,不知道是否类风湿有关。加上糖尿病。
3、PJP目前依据还不足
Cokewith ice:
结合临床资料就更稳妥了,也可以近期复查以资鉴别,肺水肿变化可以比较快。间质性肺病中,其中临床可疑间质性肺病的急性发作时,最重要的鉴别就是水肿和出血。另外,这个人感觉诊断uip有点牵强,倾向于可能UIP。
南边:
类风湿肺损害有,出血不太符合。PJP重力趋势没这么明显。而且上肺间质增厚区域没看到GGO。
Cokewith ice:
 诊断PJP的重点可能是考虑的影像G实验。 服用激素的病史,间质性肺病背景,G实验如此高,需要考虑到合并PJP的可能性。可以肺泡灌洗,可以复方磺胺甲噁唑诊断性治疗,一周左右复查观察病灶变化。另外可以补充心功能,BNP,血红蛋白,肾功能等排查肺水肿因素。胸膜下轻度蜂窝改变,单层表现为主,分布异质性特征不明显,因此不倾向于诊断UIP,诊断可能UIP更合适一些,不过确实有主观成分在里面。建议多方位观察有无牵拉细支气管扩张造成的蜂窝假象。
南边:
蜂窝应该有。



03·结果


04·再讨论

南边:
还是有PJP。结核不敢定是否陈旧性。说实话pjp的特点不好说,更符合水肿类。
Cokewith ice:
CMV临床符合吗?
wj:
pcp影像是不太典型,但是激素使用,发热及g实验一千多,不能排除
所以ctd有,肺部基础j是间质性肺病,然后南边老师标的结核应该也是解释那些结节。然后毛玻璃或许有水肿,但是结合临床,实验室检查,pcp还是需要考虑
雷凤南昌市第九医院:
问过,没有后续复查的片子。病人自动出院的。
goand see:
用激素及免疫抑制药物患的PJP与老A的PJP差异很大呢!
wj:
有没有短期随访的片子,这样肺水肿和pcp就好分开了
回头看还是符合的。但是有双侧胸腔积液和小叶间隔增厚,应该还是肺水肿。
血气也可以看到有肺泡毛细血管分压增大,有分流存在,右心增大加上心包积液可能会有左心舒展不全。


05· 病例点评
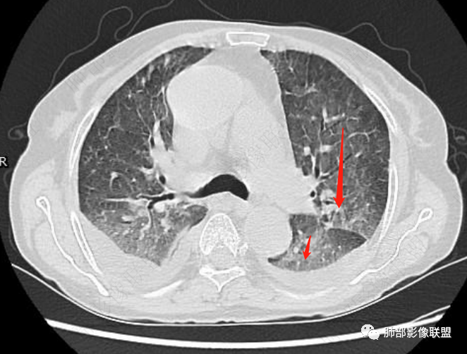
①影像表现复杂:较弥漫间质性改变,对称磨玻璃密度为主,小叶间隔增厚,有一定重力分布趋势,未见明显纤维化,气囊及蜂窝位于肺边缘,未见典型“月弓征”。心脏影增大,双侧胸腔积液。
  这即可见于间质性肺病,也可见于真菌感染(如PJP)、病毒感染,类风湿,以及肺水肿等等。
  一般而言,如存在磨玻璃密度影浑浊,有重力分布趋势,肺表面蜂窝影,胸腔积液等等,并不常见于单纯PJP,除非其他因素叠加。
  患者存在肺水肿应当是合理的解释。其他旁证还有,心脏影增大,肾小球滤过率降低,双侧胸腔积液等等……
  但这些改变却足以影响我们对PJP的影像学特征的观察。
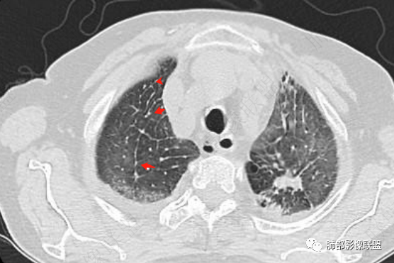
  上肺斑片影、结节影,夹杂纤维条索影,边界清楚,新旧不等,胸膜牵拉明显等等,符合较典型继发性肺结核表现,但它却未必是此次就医主要责任病原体!
②临床方面:老年女性患者,发热(38.5°)、外阴疼痛入院。查体外阴溃疡。
  基础疾病较多。长期类风湿性关节炎治疗史。糖尿病病史等。
  实验室白细胞不高,C反应蛋白、PCT增高,淋巴细胞显著低(CD4项阙如),G试验值相当高。肾小球滤过率降低,呼衰等等。
  应当说本并例实验室检查是有理由高度怀疑存在肺孢子菌肺炎的。
③存在巨细胞病毒感染也许并不意外,毕竟CMV也是声名狼藉的“机会主义者”。目前不能明确的是患者此次就医,CMV充当着什么样的角色,承担着什么样的份额,能够从肺部感染将其剥离出来吗?
  其他未解之处还有患者会阴部溃疡,未能取得病理或微生物学方面的证据,诚然CMV可以引发皮肤相关病损。

日积月累
NO.6
往期推荐
Historical articles
关于卡氏肺孢子菌肺炎
双肺弥漫性磨玻璃如何解?
张嵩老师讲堂——PCP
透过影像识病毒
编辑:刘青青
审核:雷  凤   徐  晓



到顶部