【每日晨读】大片实变中出现支气管扩张,不知有无意外!


                    

清代黄景仁《绮怀十六首·其十五》
几回花下坐吹箫,银汉红墙入望遥。
似此星辰非昨夜,为谁风露立中宵。
缠绵思尽抽残茧,宛转心伤剥后蕉。
三五年时三五月,可怜杯酒不曾消。

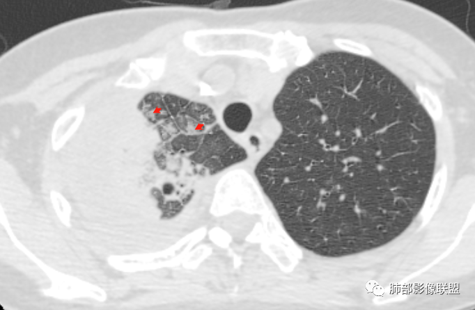
01 病例资料
















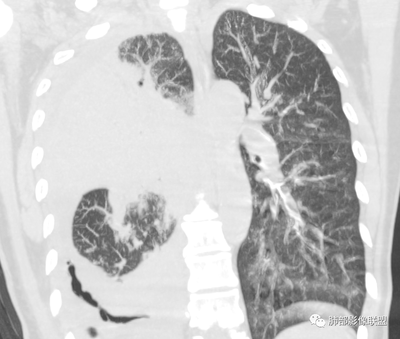
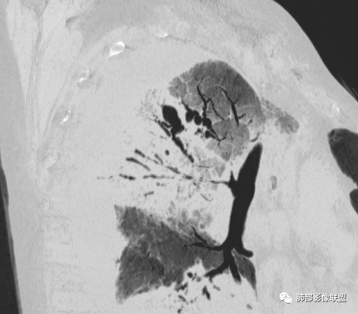
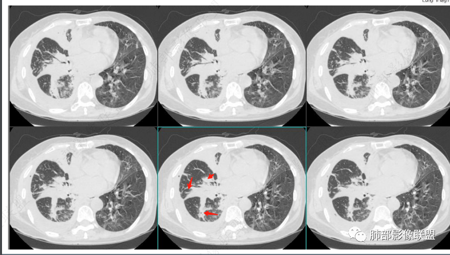
第一次CT:
第二次CT:

02 群内讨论







不吝慷慨:
首先考虑感染性病变,合并右侧胸腔积液,增强扫描强化明显,左侧也有少许感染,病变无坏死,可见支气管充气征,支气管镜上叶管腔狭窄,未见新生物。
藏客:
右肺大叶实变,支气管扩张,有强化,胸腔积液考虑淋巴瘤 ,鉴别奴z卡,结核感染。
秦化君:
急性起病与影像表现不符,右肺大片状实变,内见支气管通气象,部分支气管不规则扭曲。左肺磨玻璃病变增多。考虑腺癌可能。
王静 安阳地区医院CT:
右肺肿块,极度不规则,内部有空气支气管,增强扫描中度不均匀强化。左肺有多发片状实变,边界清,内部有支气管穿行。左侧大亮胸腔积液。胸闷,咳白痰。支持恶性肿瘤,腺癌可能
陳显静:
胸水引流后显示右肺体积缩小,说明有右肺支气管堵塞不张存在,强化的样子也不是很放心。如果是炎症,临床会更重
361度:
起病急,发热,腹部不适,血象,PCT明显升高,右肺实变,支气管走形可,强化均匀,胸腔积液,短期内左肺病变进展明显,考虑感染,军团菌?
看图说话:
右肺实变,密度支气管呈枯树枝样,增强扫描中度不均匀强化。左肺有多发片状实变,边界清晰,内部有支气管穿行。右侧胸腔积液。考虑恶性,腺癌,鉴别淋巴瘤。
放射线:
右肺大片实变,内支气管充气呈枯树枝样,上叶支气管狭窄,右侧大量胸腔积液,左肺可见多发斑片影,边缘模糊,铁蛋白明显升高,考虑腺癌?粘液腺癌?鉴别鹦鹉热
金豆:
右肺实变,胸腔积液,支气管充气征,血管造影征,左肺斑片状高密度,支气管血管束走行,边缘模糊,累及间质,一元,感染,鹦鹉,鉴别粘液腺癌。
日月@中心:
两肺斑片影,右侧中大量胸水,复查减少,右侧气管征,临床也没有大量泡沫痰,气管镜没有找到肿瘤证据,还是考虑感染性病变,似乎有结节感,结核?军团,鹦鹉?其它如努卡,绿脓杆菌需要基础病支持,暂不考虑,粘液腺癌鉴别
一米阳光:
老年女性。右肺实变,支气管枯树枝征,增强中度不均匀强化,胸腔积液。左肺有多发片状絮状影,边界不清,内部有支气管穿行。病史受凉后咳嗽咳痰,实验室炎性指标升高。考虑感染性病变,鹦鹉热,军团,鉴别粘液腺癌,淋巴瘤。
谢加平:
定肺部感染疾病:主体病灶位于右肺上叶大范围实边,结构密实,实边内支气管充气征,周围间质受累,余肺叶散在气道分布小片实边影,边缘模糊,右侧胸腔大量积液,起初发病WBC,PCt和血沉高,革兰氏阴性杆菌肺炎(肺克雷伯杆菌肺炎?)与急性纤维素性肺炎鉴别,必要时支气管镜肺泡灌洗液NGS检查!
烟雨红尘,谁湿了谁的思念?:
病史短,白细胞最高24,pct13,首先可以排除恶性,那么感染性的可能性就最大了,感染性中的非典型病原体,没发现哪一个的白细胞能到24这么高,所以我考虑细菌性,右肺病灶已经融合,无法判断分布,来源,左肺沿支气管血管束分布,pct又这么高,我考虑感染性血管炎:大肠或者是铜绿。链球菌的pct应该低一点
放开那盘小龙虾:
急性起病,发热伴肌痛,腹泻等肺外表现,影像右肺大片实变,伴胸腔积液,小叶间隔增厚,强化不均匀,可见血管影,左肺散在斑片影,结合血像和pct结果,考虑社区获得性肺炎中的非典型病原体,实变,间质受累,肺外表现伴有胸腔积液的考虑军团菌。
宇宙:
右肺大片实变伴胸腔积液,支气管枯枝状,不均匀强化,左肺病变进展,考虑粘液腺癌,鉴别感染性病变
了:
中年女性,急性起病,发热,气短,全身肌肉酸痛,头痛,实验室检查pct及血沉及白细胞总数均升高,胸部CT右肺大量胸腔积液,经治疗后复查胸部CT右肺上叶及中叶实变影,边缘清楚,内可见枯树枝征,增强后可见血管征,均匀强化,左肺上叶及下叶背段磨玻璃影,边界清楚,可见支气管充气征,总体考虑感染性病变。粘液性腺癌,起病时间不符,强化内粘液不明显,所以征象不多,放在后面。
流心明智:
女,65,胸闷、气短6天。胸部CT:左肺多发斑片实变影/GGO,边缘模糊,隐约有小叶内间隔增厚,沿支气管束分布。右上叶大叶性实变影,支气管充气征,部分管腔扩张;右中下叶大片实变影,沿支气管分布,边缘清晰、内收明显。右侧胸腔积液,纵隔可见肿大淋巴结。考虑:TB?PC?鉴别粘液腺癌。
谢加平:
定肺部感染疾病:主体病灶位于右肺上叶大范围实边,结构密实,实边内支气管充气征,周围间质受累,余肺叶散在气道分布小片实边影,边缘模糊,右侧胸腔大量积液,起初发病WBC,PCt和血沉高,革兰氏阴性杆菌肺炎(肺克雷伯杆菌肺炎?)与急性纤维素性肺炎鉴别,必要时支气管镜肺泡灌洗液NGS检查!
南边:
中老年女性,急性病史,全身症状,提示全身多部位受累。5,29:右肺大量胸水压迫,导致肺叶不张夹杂其中,无法观察病灶实质;左肺病灶沿支气管血管束走向,无叶段性分布,提示间质为主病变。


10天后:胸水减少,右肺病变较前增大,内部未见坏死,含气支气管通畅。


下叶病变明显沿血管束分布

  大叶性肺炎、无坏死空洞、间质为主,沿支气管血管束分布,伴随胸水。
  常规鉴别:鹦鹉热、肺链、军团、腺病毒、结核。肺链、军团——肺泡性为主,应该外围胸膜下起源,不支持。
  结核:无树芽征,内部无坏死,支气管无扩张等,急性病史,不支持。
  倾向于鹦鹉热



复查还在

结核要待排。
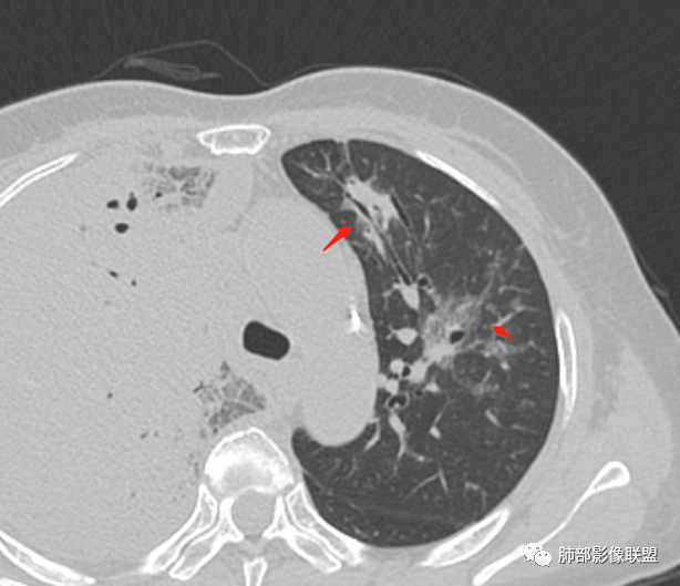
为啥给的视频支气管扩张明显啊!似乎有树芽征,如果确实是树芽征,结核要考虑。

那就结核放首位,鹦鹉热其次;支气管、树芽征符合;还是要警惕结核,肺链不支持。
King:
综合临床,考虑感染性,军团,肺链,我这么排序吧。鹦鹉的话,胸水有点多了,结核的话影像可以,但临床似乎不太符合。
洪桥爱:
白血球这么高,至少用结核一元解释不通,要么就不是结核
淋巴细胞很低,临床角度,不要考虑机会性感染?
赖老师,大肠埃希菌在CAP里面罕见,主要发生在HAP和VAP人群里,特别是VAP
南边:
是,血象太高了
单纯PPT的图像我考虑鹦鹉热。但是给的视频,明显支气管远端扩张。
胸水抽吸后会缩小,因为有炎性病变,肺组织膨胀不全
整体体积缩小

谢加平:
@Dr赖(鹤山人医pccm)?赖老师,大肠杆菌实变内会有破坏特点,本例不像
南边:
很多细节看不清
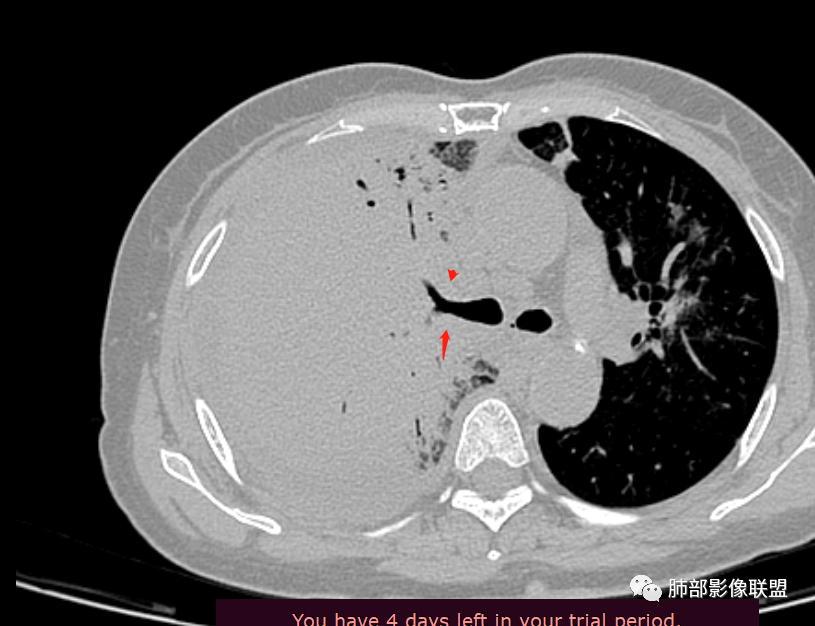
问个问题:这是啥?空洞?扩张支气管?



洪桥爱:
感觉像是扩张的支气管,不确定
King:
肺克确实需要加进去
军团,细菌性(肺克,链),鹦鹉,结核
到底是不是坏死空洞?
涂涂万金油`:
阴性杆菌带上就好
wj:
鹦鹉热白细胞很少这么高啊

03  病例结果





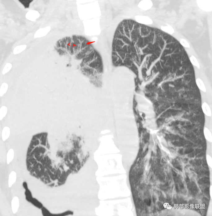
出院前复查CT:

04 南边老师复盘




南边:
该病例,需要二元解释,这么高的白细胞提示感染,这个病例确实很怪。一是感染,还有淋巴瘤,一直在犹豫远端的空腔还是扩张支气管,如何形成的。这个看支气管及远端的泡。
我说一下自己失误的地方,犹豫的点。



南边:
这是扩张大支气管?还是囊腔?
空洞?
犹豫的点在于位置,与支气管关系。
南边:
一般空洞——应该在病灶的中央或实变区,这个在边缘。
囊腔?按理是近端支气管狭窄,导致气体潴留,不太符合。
如果能定到底是空洞还是空腔就好办。
因为大片实变支气管扩张原因:周围牵拉,支气管壁破坏。
这个在边缘,周围没有牵拉等因素,所以应该是壁的破坏。
壁破坏,这样的就需要观察整个壁的形态。
如果支气管看通透了,估计会朝二元论考虑。这个病例好,值得好好总结。
南边:
第一次的


胸腔积液

整体病灶边缘膨隆,周围网格+GGO

肺门区支气管受压、狭窄

从现在的图像看:胸水压迫、推移。
病灶本身占位效应,边缘膨隆,边缘没有收缩的迹象,也就是说支气管周围没有牵拉的因素导致其扩张,我们只能考虑支气管本身导致的扩张。
1、结核类的慢性炎症——狭窄、扩张、扭曲;
2、神经、肌肉破坏,导致支气管收缩不理想——光滑、通畅、远端扩张;这一类——淋巴瘤.
为啥不说急性炎症?急性炎症:边缘模糊,膨隆,一般属于渗出为主阶段,修复被渗出掩盖——占位效应明显,内部的支气管是受压狭窄的.
从支气管的改变:要警惕淋巴瘤。左肺病变沿支气管血管束分布,支持间质为主病变。

复查左肺病灶没好转

也不符合急性炎症特点
还有一次CT:
这也是我判断失误的原因之一:树芽征
重建后就是血管束增粗

我以为树芽征,其实是中轴间质增厚

没看清楚,只看到表面,考虑小气道结节,那些是支气管扩张+空洞,所以考虑结核,其实两点都错了,谢谢赖老师。
应该要二元.看这样的支气管。
King:
肿瘤合并感染太有迷惑性,就这个临床症状及实验室检查,肯定考虑感染啊
针对性治疗后复查不吸收,才会想肿瘤合并
一句话的小结:
本病例之复杂,很难单单以一般临床表现或者影像学表现加以解释。
病程短,炎性指标高,缺乏先期影像学资料对比,不同病变在影像上的相互叠加等等都增添了复杂性!
责任病原菌也出乎预料,嗜麦芽窄食单胞菌及鲍曼不动杆菌感染,多见于易感人群,尤其是院内感染,譬如呼吸机相关患者。

05 知识拓展


  
  淋巴瘤病是源于全身淋巴组织的常见恶性肿瘤,分霍奇金与非霍奇金淋巴瘤。肺内淋巴瘤可为继发于全身淋巴瘤的一部分,或仅原发于肺组织。其中继发于全身淋巴瘤的较为多见,而仅有肺实质改变而无纵隔、肺门和其他部位淋巴病变的原发肺组织的淋巴瘤极为少见,仅占5%,其恶性程度也较低。
  原发性肺淋巴瘤(primarypulmonarylympho‐ ma,PPL)是起源于淋巴结和其它淋巴组织的恶性肿瘤,目前将淋巴瘤分为霍奇金淋巴瘤和非霍奇金淋巴瘤两大类。粘膜相关性肺淋巴瘤是原发性肺淋巴瘤最常见的类型,约占原发性肺淋巴瘤的74%。
PPL诊断标准:
1993年Cordier 等制定诊断标准:
①影像上显示肺、支气管受累,但未见纵隔淋巴结肿大;
②既往没有胸外淋巴瘤诊断的病史;
③无肺及支气管外其它部位的淋巴瘤或淋巴细胞性白血病的证据;
④发病后3个月仍未出现胸外淋巴瘤的征象;
同时满足上述4点者可诊断为PPL。 
影像学特点:
肺内淋巴瘤不管是原发性还是继发性一般在CT上可归纳为以下几种类型:
  (1)结节肿块型:可为单发或多发。原发性淋巴瘤多为单发性结节肿块,表现为肺内轮廓清楚、边缘光整的软组织肿块,病灶发展缓慢,内可见支气管充气征;如为继发性的单发结节则边缘毛糙,可见小毛刺及卫星状小结节。多发性结节肿块在原发性及继发性淋巴瘤中均可出现,结节大小不一,直径1~10mm,以双肺中下野多见,内密度不均匀可见空洞液平或充气支气管征,边界多不清晰,周围可见小片样磨玻璃影(图1~3)。
  (2)支气管、血管、淋巴管型:本型在非霍奇金淋巴瘤中多见,主要为继发性肺内淋巴瘤。CT表现为以肺门及中肺野为主的,沿支气管、血管纹理呈发散性分布的小斑状影或线状及网格状影。并可见有多发粟点样结节影沿支气管周围分布,是为继发性肺内淋巴瘤的特征性表现(图4,图5)。
  (3)肺炎肺泡型:肺炎肺泡型较为少见,仅占13%,表现为双侧肺野内呈节段性或非节段性的肺实变影,可跨叶存在,边界不清,密度不均,可见支气管充气征。类似于大叶性肺炎的表现(图6)。
  (4)粟粒型:最为少见的一个类型,仅占6%左右,表现为双肺弥漫性粟粒状结节影,以中肺野较为集中,小结节直径小于1mm,边缘多数清晰,很少有融合(图7)。
在肺内淋巴瘤中以上几型大多混合存在,独立表现少见。此外,继发性肺内淋巴瘤还常见纵隔、肺门淋巴结肿大及胸腔积液。

相关链接      【每日晨读】肺内淋巴瘤的影像表现
编辑:龚子龙
审核:雷 凤  徐 晓








大漠孤烟直,长河落日圆。
---王维《使至塞上》
大漠沙如雪,燕山月似钩。
---李贺《马诗二十三首》之五


到顶部