【每日晨读】胸膜弥漫性连续性增厚,千万别忘了恶性间皮瘤!



病例资料





































精彩讨论
丽:
老年男性,后纵隔占位,包绕右肺支气管呈针尖样狭窄,远处无阻塞性炎症,轻度不均匀强化,左侧锁骨上,前纵隔,纵隔胸膜多发软组织肿块,不均匀强化,考虑恶性,小细胞肺癌,鉴别淋巴瘤
蓝天白云:
纵隔多发淋巴结肿大融合,食管周围管壁增厚,大量胸腔积液,考虑淋巴瘤,食管小细胞癌伴转移
飞鹰行动:
多发淋巴结增大,纵膈淋巴结融合,考虑恶性病变,小细胞癌?食管淋巴瘤?鉴别转移瘤。
宇宙:
左前纵膈及后纵膈肿块,前纵膈融合肿大淋巴结,不均匀强化,血管漂浮,食管包绕变窄移位,左前胸壁增厚,双侧清澈胸水,考虑小细胞癌,鉴别淋巴瘤,肉瘤样癌
胸一丁翔:
食管周围软组织影,食管狭窄,食管压迫往右侧推移,大量胸腔积液。考虑:后纵隔肿瘤?食管肿瘤?
张延军:
①纵隔旁型肺癌伴胸膜及纵隔淋巴结转移。②甲状腺右侧叶占位伴纵隔淋巴结,胸膜转移?
傅昌瑜:
肺门、纵隔淋巴结肿大(冰冻),支持恶性肿瘤,胸水清澈,小细胞肺癌可能性大。
若晗:
中纵隔淋巴结肿大,并融合,两侧胸腔积液伴肝及腹部转移,首先考虑小细胞
流心明智:
男,52,胸闷、气短、咳嗽1月。长期吸烟,NSE、细胞角蛋白19片段增高。胸部CT:甲状腺右叶结节,增强可见多发低密度区。纵隔、肺门多发淋巴结肿大融合,周围脂肪间隙消失,冰冻纵隔;针孔状食管;两侧胸腔积液伴肺不张,左侧重,胸水清澈。考虑恶性,SCLC?鉴别淋巴瘤、转移瘤等。
知足&长乐:
老年男性,多发淋巴结增大,纵膈淋巴结融合,血管漂浮,食管包绕变窄移位,考虑小细胞癌,鉴别淋巴瘤,肉瘤样癌。
放射线:
左侧锁骨上下及纵膈多发淋巴结肿大,左侧胸膜呈环周型增厚,左侧胸腔大量积液半肺不张,右侧胸腔少量积液,甲状腺右叶结节,中年男性,胸闷气短咳嗽,长期吸烟,NSE、细胞角蛋白19片段增高。考虑恶性,小细胞肺癌,鉴别淋巴瘤
琦遇:
@达州红十字医院 尹发友 起源哪里?
琦遇:
肺部、胸腺、甲状腺、后纵隔?
尘缘:
@万琦 辽宁沈阳结核医院   肺部来源小细胞>胸腺来源小细胞>消化道来源腺癌转移
甲状腺的考虑为转移,不考虑原发,甲状腺癌很少这么恶的@高贯金濮阳市第二人民医院影像科 
wj:
甲状腺感觉是双原发
尘缘:
淋巴瘤不好解释甲状腺改变,纵隔表现也不是典型淋巴瘤表现,所以我不考虑淋巴瘤
@吴婧南京市第一医院 如果甲状腺的是原发,那只能用二元解释
wj:
我觉得是二元哈哈
南边:
恶性没问题
是,临床直接病检
吸烟,中年男性
肿瘤标志物偏高
甲状腺占位




南边:
目前的图:主要是胸部的病灶。胸膜弥漫斑块状增厚。强化明显,内部血管漂浮。前纵隔部分病灶强化偏低。
就胸部病灶的特性,好像与甲状腺的不一致。强化、内部的坏死囊变不相符。我认为甲状腺来源的几率不高。
累及多个腔隙、特别是后纵隔、胸膜为主
常规淋巴瘤、胸膜间皮瘤要警惕
小细胞累及胸膜的不多
胸腺癌?符合吗?


说实话,我个人认为前纵隔的更符合增生的胸腺,或者胸腺边缘受侵犯而已。因为其内很多脂肪间隔,提示病灶是多发中心。单一的按理不应该有脂肪间隙。其次其 强化明显低于其他病灶。所以我认为胸腺主要是增生为主。
主体病灶与其他病灶强化不一致
内部间隔也不符合
了:
考虑胸膜来源恶性肿瘤
南边:
小细胞是不符合的
wj:
有一个疑问,就是后纵隔那个是纵隔的吗,还是胸膜的
Coke with ice:

我把这个征象给忽略了,感觉很奇怪的病例。事后诸葛亮一下。这里的弥漫性,连续性增厚,有点特异性,还是要考虑到恶性间皮瘤的可能性的。胸膜转移瘤,不会这么连续性的不规则增厚。食管管腔是存在的,而且是推移明显,食管来源的话这种表现的最常见就是平滑肌瘤,不太符合。另外用小细胞解释腹腔病变感觉有点牵强,而且食管推移这么的明显,用淋巴瘤不好解释左心膈脚的这个软组织。没公布答案的时候,我一直在拿不准它到底是个啥。
病例结果

病例总结
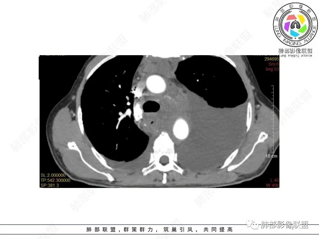
1.临床特点:患者,男,52岁,长期吸烟史,胸闷、气促伴刺激性咳嗽一月入院,查体发现前上腹包块。细胞角蛋白19片段、神经元特异性烯醇化酶升高。
2.影像学特点:病变范围相当广泛,多发块状影累及纵隔、胸膜、前胸壁(胸大肌下)、前上腹壁等。胸膜弥漫性斑状增厚为主,明显强化,纵隔旁椭圆形块影较密实,沿胸膜分布趋势,未见支气管等结构进入。后纵隔块影较大,占位效应明显,肺静脉受累狭窄。双侧胸腔积液。
甲状腺右叶相对低密度结节影,边界清楚,不均匀分隔样强化,经验上分析与胸部病灶缺乏关联性。
3.总结: 多发块影,边界不清,占位效应明显,通常符合恶性肿瘤。两肺未见明确支气管相关块影或结节影,支气管肺癌的判断似乎缺乏立足点,前纵隔、胸膜以及胸腹壁块影也不是支气管肺癌的常见转移途径。
  非上皮来源的恶性间叶组织肿瘤应当纳入视线,广泛性侵犯,区域性转移等等,梭形细胞瘤、原始神经外胚叶肿瘤(PNET)、恶性胸膜间皮瘤等等,如果病灶有区域分布优势,如本例的左侧胸膜改变,可以想到胸膜间皮瘤可能性。
  淋巴瘤需要鉴别,纵隔淋巴瘤好发中纵隔、密度较均匀、增强后轻中度强化,净增值<30HU,也少见胸膜及心包结节。
  肿瘤侵犯可以出现胸腔积液,静脉回流障碍也可以,如心功能不全,如本例肺静脉及左心房受压等等。
  恶性肿瘤广泛侵犯转移有时反而给病灶起源的判断带来困惑。本例亦应当结合病史及其他检查排除转移瘤。
  患者缺乏典型食道梗阻临床表现,影像未显示食管壁肿块,食道癌的诊断缺乏依据。
关于恶性胸膜间皮瘤
   胸膜间皮瘤为来源于脏层、壁层、纵膈或横膈的四部分胸膜的肿瘤。国外发病率高于国内 [1],我国发病率约 0.04%,且近年有明显上升趋势,以 50 岁以上多见,男女之比为 2:1,起病隐匿,是一种致命的进展性胸部恶性肿瘤,以发病率低、局部侵袭为主、早期诊断困难、预后差为主要特点 [2]。
   胸膜间皮瘤是胸膜原发性肿瘤。该病恶性程度高,生存期短,平均4-9个月,2年生存率不足 10%[3],主要危险因素为石棉,恶性胸膜间皮瘤患者中 70% ~ 80% 有石棉接触史,另外有研究发现猿病毒40(SV40)
也可能是导致发病的因素之一,有学者认为接触射线、其他化学纤维也是该病的危险因素,目前结核感染也被认为可能促进该病的发生 [4]。恶性胸膜间皮瘤起病隐匿,临床症状无特异性,主要表现为呼吸困难及持续性非胸膜炎性胸痛,随着胸液量增加而胸痛逐渐加重,常放射到肩部、双上肢及上腹部,主要表现为钝性和弥漫性,偶有神经性或胸膜性疼痛。呼吸困难为胸膜间皮瘤的常见症状,早期与胸腔积液有关,到后期与胸壁活动受限有关 [5]。伴有咳嗽,干咳多见,到病变晚期可出
现呼吸困难、胸壁肿块、胸廓塌陷、疼痛甚至腹水、腹部肿块等,伴有乏力、盗汗、体重减轻等症状,甚至恶液质。该病大部分患者伴有胸腔积液,少部分患者无明显临床表现。
   恶性胸膜间皮瘤影像学上无特异性表现,部分患者查胸片、心胸CT可发现胸膜出现不规则增厚,以叶间裂明显,有些病患胸膜可见多发的结节影。有胸腔积液的患者胸腔穿刺液多为血性,胸水常规可见较多间皮细胞,胸水脱落细胞检查阳性率低,胸膜活检很难准确诊断。为获得恶性胸膜间皮瘤早期、可靠的诊断,指南推荐,除有胸膜粘连及手术禁忌证的病人例外,所有可疑患者都应给予胸腔镜检查,内科胸腔镜能窥视整个视野,能充分了解肿瘤的大小、形态、分布及临近脏器受累情况,可在直视下取到足够的多个部位的标本,故能确诊大部分病人,因此可作为诊断该病的最佳手段。约 10% 的病例中标准染色方法不能取得满意的效果,所以在胸膜活检病理检查时可使用 CEA、WT-1、CD141、CK5/6 等特异性免疫组化标志物。
    胸膜间皮瘤预后极差,常死于局部病变导致的并发症如肺部感染、胸腔积液、心肺衰竭等[6]。尚无有效的治疗措施,目前治疗方法包括化疗、放疗、手术、对症支持疗法及上述方法的联合应用。近年来培美曲塞联合顺铂是治疗恶性胸膜间皮瘤的标准化疗方案,应用该方案使患者症状缓解,生存时间延长,生活质量改善,但不是所有的恶性胸膜间皮瘤患者都能受益。临床上也有应用免疫治疗、生物靶向治疗等,可疗效均有限。所以恶性胸膜间皮瘤治疗的关键是早期诊断,提高确诊率,另外应加强人们的防范意识,避免有害物质的接触史,对疑似患者尽早予胸腔镜或胸膜活检术并联合免疫组化来明确诊断,及早治疗。
参考文献:[1]董慧.恶性胸膜间皮瘤2例报告伴文献复习[J].医药前沿,2014,(14):244-244,245.DOI:10.3969/j.issn.2095-1752.2014.14.240.
图文编辑:朱伟超
图文审核:雷  凤   徐  晓





END
到顶部