【每日晨读】肺结节病与结核之纠结



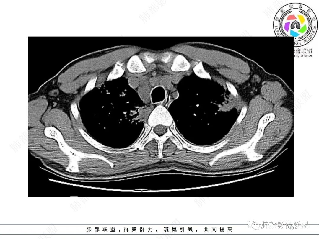
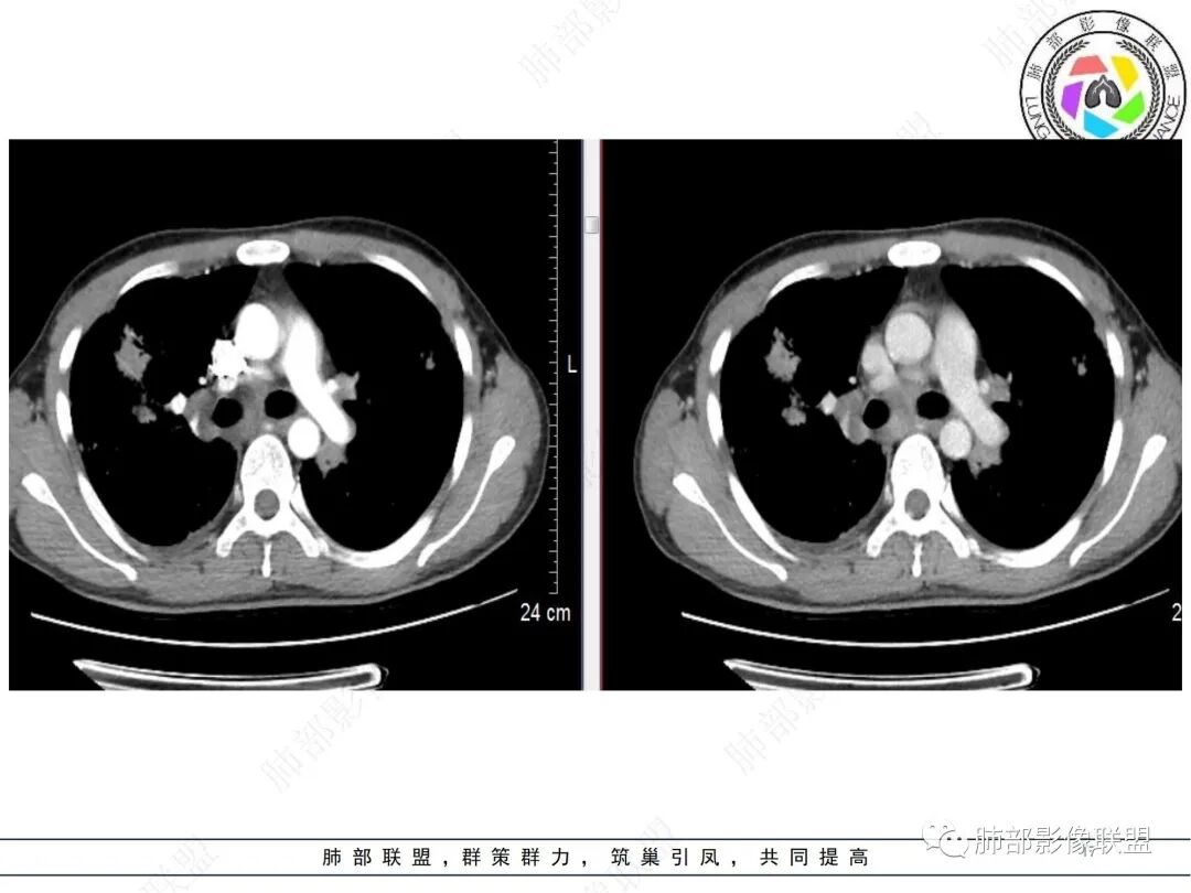
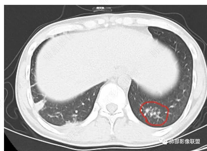
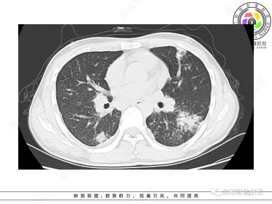
病例资料























精彩分析
赵国千丹阳市中医院放射科:
年轻男性,咳嗽咳痰一周;肺部表现:两肺可见团块影,大部分沿胸膜下分布,团块状病灶周围可见散在小结节,双侧肺门及纵隔淋巴结肿大,增强轻中度强化,首先会考虑结节病,其次把隐球菌及结核放前面考虑,结合相关实验室检查;最后淋巴瘤及肺腺癌肿瘤性病变也要考虑。

刘权威宁波北仑长征影像:
支气管血管束、胸膜下分布走形,实变似乎多结节融合,双肺门及纵隔淋巴结肿大,增强有血管造影征,影像重,临床症状轻,不太支持结核,考虑结节病,鉴别淋巴瘤。

邢瑞欣日照莒县人民医院影像科:
青年人,感冒症状,双肺多发斑片状高密度,部分融合,边界较清,纵隔肿大淋巴结,部分融合结节可见强化,考虑淋巴瘤,鉴别结节病,结核

张丽宽城中医院放射科:
双肺多发结节及团块影,大部分位于胸膜下,纵隔及肺门多发肿大淋巴结,有融合,增强后结节轻度强化,考虑结节病,鉴别淋巴瘤

王开金重庆江津中心医院呼吸义工:
青年男性,咳嗽,咳痰一周,双肺多发结节,周围较多小叶中心结界,双肺门淋巴结肿大,纵隔淋巴结肿大,考虑结节病,肿标阴性,鉴别结核,淋巴瘤。

张红征潍坊市中医院,影像中心:
男,咳嗽咳痰一周,肿标阴性,双肺多发胸膜下为主斑片结节状影,小叶中心结节,轻度强化,双侧锁骨上纵隔双肺门多发肿大淋巴结,考虑结节病,鉴别淋巴瘤结核

白光宇山阴县医院放射科:
两肺多发结节及团块,沿支气管血管及胸膜下分布,部分融合,星系征,增强延迟强化,两肺门及纵膈淋巴结肿大,考虑结节病

王飞贵州思南医院放射科:
中年人,咳嗽咳痰一周,双肺多发结节及团片影,大部分位于胸膜下,部分团片状阴影似由小结节融合而成,纵隔及肺门多发肿大淋巴结,有融合,增强后淋巴结轻度强化,未见明显坏死,考虑结节病,鉴别淋巴瘤。

秦化君黑龙江省传染病防治院:
晨读双肺不均匀分布团片状,结节状,斑点状影,边缘部分清晰,密度不均,部分病灶内见支气管像,部分有融合,胸膜糊墙,增强延迟强化,纵隔及肺门淋巴结肿大。1.不典型结核(查 HIV血糖)2.结节病,3.淋巴瘤

刘海玲义工滨海县人民医院影像:
年轻男性,两肺多叶多发斑片状实变及周围多发小结节,有融合,实变内可见支气管充气征,胸膜处可见微小结节,增强实变延时强化。纵隔及双肺门多发肿大淋巴结,强化均匀,部分界限清晰。支气管血管束结节胸膜和胸膜下结节,肺泡间隔和小血管周围的聚集,考虑结节病。鉴别结核,淋巴瘤。

李利明 武安妇幼放射:;
双肺多发团块、结节灶,边缘不清,支气管穿行,增强未见环形强化,中度强化,纵隔肺门淋巴结肿大,年轻人,临床表现实验室检查未提供良性考虑结节病、不典型结核、隐球、血管炎?恶性考虑淋巴瘤鉴别。

王秀仙东宁市二院影像:
双肺多发结节及片状实变,部分病灶内支气管血管穿行,胸膜下分布为主,纵膈及肺门淋巴结肿大,隆突下淋巴结可见血管漂浮征,右侧少量胸腔积液,考虑淋巴瘤,鉴别结节病?结核?

张磊榆林星元医院呼吸科:
青年男性,双肺多发实变影,内可见支气管征,可见小叶中央型结节,部分融合,纵隔淋巴结肿大,病灶有强化,整体考虑淋巴相关性疾病,淋巴瘤?结节病?

田洪盛-山东中医放射:
星系征+纵隔肺门孤立性淋巴结肿大,支持结节病,鉴别结核

张卫东湖南省人医呼吸义工:
咳嗽咳痰1周,双肺多发团片影,其内可见支气管部分阻塞,并纵隔淋巴结肿大,考虑结核?

王林河北中石油中心医院:
青年男性,双肺多发实变影,可见支气管充气征,考虑淋巴瘤,鉴别结节病

王鑫科尔沁右翼前旗人民医院:
年轻男性,咳嗽咳痰一周,纵隔及双肺门多发肿大淋巴结,双肺多发病灶,结节样融合改变;综上,考虑结节病,鉴别淋巴瘤。

周卫平无锡人医影像:
中年人,咳嗽咳痰一周,双肺多发肺泡结节及团片影,大部分位于胸膜下,团片状阴影似由肺泡结节融合而成,结节有沿支气管血管束分布,纵隔及肺门多发肿大淋巴结,有融合,增强后轻度强化,考虑结节病,鉴别淋巴瘤。

周阳武成都市金堂县中医院放射科:
中年男性,双肺不均匀分布斑片状,结节状影,部分位于胸膜下,部分边界清晰,密度不均,部分病灶内见支气管像,部分有融合,轻中度强化,纵隔及肺门淋巴结肿大。考虑:1、不典型结核;2、结节病;3、淋巴瘤。

王艳梅,黑龙江铁力林业医院CT:
双肺内及胸膜下多发结节及实变影,部分病灶边界清晰,双肺门及纵隔淋巴结肿大,右侧胸腔少量积液,考虑结核可能,除外淋巴瘤。

甄德强庆安县中医院CT室:
血管漂浮? 淋巴瘤吧 

刁胜林~衡水四院:
中年人,咳嗽咳痰一周,肿标阴性,双肺散在分布发结节及团片影,大部分位于胸膜下,部分呈楔形,纵膈淋巴结增大,综合考虑结核、淋巴瘤、结节病

曹永军山东省利津县中心医院放射科:
双肺不均匀分布斑片,结节,密度不均,部分病灶内见支气管像,轻中度持续强化,纵隔及肺门淋巴结肿大,右侧胸腔积液。考虑:1、结核,2、结节病,3、淋巴瘤

马小锁_荆门市康复医院放射:
中年男性,急性呼吸道症状;肿标正常。肺部CT:两肺支气管血管束分布、胸膜下分布的星系状粟粒结节,双侧肺门对称性结节,纵膈多发结节,无明显融合,边界清楚,密度均匀,增强轻中度均匀强化,无坏死,考虑结节病,鉴别结核。

屈运良北京东苑中医院放射科:
双肺多发实变,边缘见平直及u型凹,实变周围多发弥漫粟粒结节呈星系征样改变,轻度强化,实变内可见血管影,双肺门及纵隔淋巴结肿大,肿大淋巴结无融合,年轻患者,无TB中毒征状,首选结节病

王飞呼和浩特市第一医院呼吸科:
男,35,咳嗽、咳痰1周。胸部CT:两肺多发团片影,大部分沿胸膜下分布,支气管穿行;周围可见簇状小结节影,沿中轴间质分布;双侧肺门及纵隔淋巴结肿大。增强轻度强化,部分层面可见血管飘浮。考虑淋巴道增殖性病变,淋巴瘤?LYG?鉴别TB、结节病等。

杨宏刚宝鸡市第二中医医院放射科:
青年男性,双肺多发胸膜下结节影,部分病灶融合,病灶内可见支气管穿行,增强中度强化,纵隔及双肺门多发肿大淋巴结。少量胸腔积液。考虑:结节病;间质性结核;隐球菌

达州红十字医院尹发友:
青年男性,咳嗽咳痰一周,影像表现为双肺多发的结节状、斑片状、斑点状改变,部分密度较高,多数位于胸膜下或支气管旁,气管壁钙化,纵隔淋巴结肿大,部分融合,胸腔积液,增强为明显的延迟强化。分析思路:
一、结核或结核继发淀粉样改变。
咳嗽咳痰,双肺多形、多态、多部位的分布,淋巴结肿大,融合,胸腔积液,增强呈明显延迟强化,气管壁钙化。这些支持,但没有明显的结核中毒症状,没有典型的树芽征,淋巴结增强未出现典型的环形强化。需要进一步找依据。
二、淋巴瘤
肺内病灶有沿淋巴间质分布的特点,后纵隔融合肿块见血管漂浮征,这些支持,但没有发热肝脾肿大,浅表淋巴结肿大等其他特点,可能性就减小了。
三、结节病
双肺表现及纵隔淋巴结表现需要考虑,但男性发病率相对较低,且淋巴结内出现明显血管漂浮(结节病为非干酪样坏死,中间应该不会有明显血管出现),这样可能性也小了。
四、转移
双肺改变及多发淋巴结肿大,需要想到这个可能,但所有肿标阴性,年龄不大,可能性小,需要结合其他部位影像检查及有无肿瘤史考虑。
五、IGG4相关性病变。后纵隔的表现比较符合,肺内这种表现相对少见,需要结合IGG4相关水平及临床病史确定。
综上:结核或结核继发淀粉样变>淋巴瘤>结节病>IGG4相关性病变>转移。下一步,穿刺活检,必要时肺泡灌洗NGS,并结合相关实验室检查可以明确最综诊断。

毛勤香柳州人医放射:
多发病灶,淋巴结肿大坏死不明显,咳嗽,年轻男性,结节病和结核鉴别,肺里感觉更支持结核一些,纵隔支持结节病多,淋巴结周界清晰,结核淋巴结不坏死的也有,就是周界太清晰了,先考虑结节病,鉴别结核


病理结果




激烈讨论
南边肺部影像联盟:
基本就是:结节病、结核、淋巴瘤之间鉴别。结节病首选,结核其次。淋巴瘤最后

达州红十字医院尹发友:
结节病可能大,但关键是有后续治疗后的复查没有,要是临床遇到这样的病例,只是一个穿刺结果,也不敢直接按结节病上激素治疗啊。也得肺泡灌洗NGS也阴性,才敢吧。

南边肺部影像联盟:
这个图少了一些,淋巴结是一方面,其次就是结节的分布,气道?淋巴道?



南边肺部影像联盟:
这里所谓气道--小气道壁所致病变--树芽征
张磊榆林星元医院呼吸科:
这些是气道啊
南边肺部影像联盟:
而非吸入性的。为啥是气道?依据是啥?
张磊榆林星元医院呼吸科:
小结节,边缘模糊,每个结节距离大致相等,没有累积胸膜
南边肺部影像联盟:
这是小叶核心结节的特点
小叶核心的:小气道一-树芽征,淋巴道、血道、气腔都可以
张磊榆林星元医院呼吸科:
小叶核心也有淋巴管
南边肺部影像联盟:
这个气腔不符合。血道不符合。气道、淋巴道鉴别
张磊榆林星元医院呼吸科:
不累及胸膜和叶间裂?

THINKER :
结节病是排他性诊断,这个应该做个BALF,淋巴细胞亚群,CD4/ CD8,大于35,BALFGM/G试验阴性,再弄个TSpot阴性,就可以用激素了,一个月复查见效就ok了
王兆宇 :
结节病和结核肉芽肿,病理怎么区别,除了典型的星状小体、舒曼小体,还有看淋巴管散在肉芽肿,淋巴结内肉芽肿团状形态,好办法实际上不多
二者的病理区分,可能还不如临床影像区分
不吝慷慨 :
支持。淋巴结核一般是小孩,原发性结核,烟花征一般是成人,继发结核
@王兆宇 肺部影像联盟 肺病理我说的对吗?
继发结节有细胞免疫,很少侵犯淋巴结,除非HIV阳性或者免疫力极低
王兆宇 :
同意
不吝慷慨 :
所以小孩有单纯淋巴结核的
分享病例—烟花征:男,45岁,咳嗽、咳痰
王兆宇:
结核烟花征观察时,常常忽略烟花内部的过度充气和不均匀肺组织
THINKER :
我们也挠头,TBDNA、xpert、抗酸阴性,TSpot阳性,更挠头
过度充气是细支气管炎性肉芽肿活瓣效应导致吧,王老师
王兆宇 :
不止这些,更多的是缺氧断裂。当成烟花放过之后,肺泡烧坏了一部分。增粗的纤维也可以持久存在。
对比烟花内外,应该会有感觉。结节病推测没有这种改变
个人理解,结节病改变主要在淋巴间质,结核主要在肺组织实质,指成人


病例总结
1.临床特点:男,35岁,咳嗽咳痰一周。辅助检查示:肿瘤指标(-)。
2.影像特点:双肺多发实变,结节状、斑片状、斑点状影,成簇分布趋势,密度不均(部分密度较高),多数位于胸膜下或支气管血管束周围,与支气管关系密切,部分气管壁钙化,部分实变影周围多发弥漫粟粒结节呈星系征样改变,呈轻度渐进性强化,未见空洞。双肺门及纵隔淋巴结肿大,并显示融合,其中后纵隔肿大淋巴结间可见血管影穿行。右侧胸膜增厚伴少量胸腔积液。
3.病例小结:男,35岁,咳嗽咳痰一周,胸部CT提示:双肺多形、多态、多部位的分布,淋巴结肿大,胸膜增厚、胸腔积液,气管壁关系密切,这些可符合结核。
  年轻患者,无免疫缺陷,继发性肺结核很少侵犯淋巴结,且无TB中毒症状,双肺门及纵隔淋巴结肿大,应想到结节病可能,不典型之处在于,小叶间隔、叶间裂、血管支气管束较少观察到串珠状小结节影,胸膜增厚伴积液也很少见于结节病。
  病理结果回报肉芽肿性炎,可以符合结节病,但囿于穿刺取材位置及取材量限制,虽未查见干酪样坏死及抗酸杆菌,但仍旧不能排除存在结核感染的可能性,需进一步完善相关检查进一步明确或排除;可行气管镜检查,查看镜下改变:结核支气管镜下可见支气管黏膜和黏膜下炎性改变,可有增生性的结节改变,也可有溃疡形成,而结节病镜下表现为支气管黏膜充血,水肿,支气管管腔可呈轻度狭窄,外压性改变,支气管黏粘膜下有结节,体积较小,可成沙粒状,粟粒状的结节改变。同时灌洗液送检淋巴细胞亚群,CD4/ CD8,大于35,阴性,TB-DNA、xpert、抗酸阴性,可以考虑结节病。
诊断性治疗后复查胸部CT也有助于鉴别诊断。

编辑:雷  凤
审核:徐  晓
到顶部