【每日晨读】PET-CT示左侧胸膜区多发高摄取的结节及肿块影,会是罕见病吗?





甘于奉献 | 救死扶伤
01
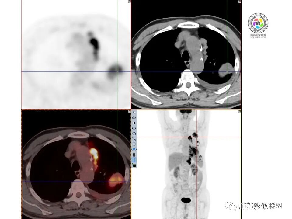
晨读资料








































02
精彩发言

放射小白: 老年男性,左侧上后胸廓胸膜下团块状占位,左侧膈肌脚可见软组织密度影,纵隔可见淋巴结影,左侧胸腔可见少量积液;左侧胸膜下病变、左侧膈肌病变、纵隔、肺门多发高FDG摄取,首先考虑胸膜间皮瘤,鉴别SFT、转移瘤。
飞鹰行动: 多发病灶,左肺上叶胸膜下,纵膈淋巴结影,部分淋巴结呈串珠状,腰大肌肿胀,SUV值增高,血沉明显增高,考虑炎性病变,结核可能。
秦化君: 左侧胸腔积液伴胸膜局限增厚及多发大小不等结节影,核素浓聚。考虑间皮瘤,鉴别转移瘤。
宇宙: 左上胸膜肿块、左侧胸膜多发结节及左侧膈肌增厚,高摄取,左侧胸腔少量积液,胃窦壁增厚,肝内低密度灶,贫血,考虑转移瘤,鉴别间皮瘤。
丽: 老年男性,左肺上叶胸膜下,纵隔胸膜及左侧脊柱旁见多发软组织密度影,边界光滑清晰,胸膜下脂肪间隙消失,临近骨质无破坏,高摄取,左侧胸腔积液,考虑间皮瘤,鉴别转移瘤
放射线 (王秀仙): 左侧胸膜、纵隔内见多发结节及团块状异常高摄取,左侧胸腔积液,肝内多发类圆形低密度,胸椎左侧异常软组织肿块,考虑转移可能,胸膜间皮瘤?
采莲: 老年男性,有腹疼黑便病史,中度贫血考虑有消化道出血。血象不高,血沉快,低蛋白血症,血肌酐轻度升高,左肺上叶尖后段胸膜肿块,摄取异常增高,纵隔胸膜不规则结节样,摄取也有增高,左侧胸腔积液,胸椎11-12旁长条状软组织肿块,摄取明显升高,胸膜间皮瘤,胸膜结核?鉴别多发转移瘤。不知道腹疼便血原因,有没有肠道肿瘤?
我只是邓较瘦: 左侧胸膜多发多发占位伴胸腔积液,有黑便、胃窦壁有增厚,肝内有多发占位,一元论考虑胃癌并胸膜转移、肝转移?弥漫胸膜间皮瘤?淋巴瘤?
小兜: 左中上腹痛,解黑便,铁蛋白,血沉增高。PET/CT示胸部病灶位于胸膜伴高代谢,不均匀,纵隔5,6区肿大淋巴结伴高代谢。左侧膈肌后方软组织占位,局部突入椎管伴高代谢胆囊颈软组织结节,未见异常高代谢。左侧胸腔积液,首先考虑恶性,PNET?转移瘤?
谢加平: 老年男性,慢性左中上腹痛,解黑便史,左侧胸膜下,肺外PET-CT见多发高摄取结节及包块影,左侧胸腔少量积液,肝S8低密度结节,无摄取。左侧胸膜下考虑多发转移瘤,全腹部CT平扫及增强明确肠道有无恶性肿瘤原发病此,另左上胸膜下包块穿刺活检。
尘缘: 老年男性,黑便伴腹胀两月,肿标除铁蛋白外,其他都不高,胸膜多发高摄取结节伴胸椎旁结节。诊断常规要考虑恶性,主要有三个可能,1、恶性间皮瘤,以胸膜多发结节改变为主伴胸椎旁转移结节,腹部未见明确高摄取,所以这个可能有。黑便可能只是普通胃或十二指肠溃疡引起,需要胃肠镜明确。2、腹部消化道肿瘤伴胸膜及胸椎转移,有黑便两月伴腹痛,要考虑,但腹部没有高摄取原发灶,肿标不高,所以这个可能小。3、淋巴瘤,胃肠道表现就诊,但胃肠道无相关高摄取,肝脾也无明显肿大,无发热,可能不大。除了恶性外,还必须考虑:髓外造血,理由:患者便血二月,贫血明显,椎旁与胸膜旁多发结节摄取一致。疑惑的是髓外造血是否可以这样高摄取?综上:考虑恶性间皮瘤>髓外造血>转移。
空格: 腹痛黑便2周,大概率结肠有问题,胸膜增厚、肺结节、胸水、椎体破坏,明显是个转移灶,原发是胸膜还是腹部, 或者腹部肺部都是一个系统性疾病,比如淋巴瘤。  思路是:1 肠镜必须做,查清黑便原因,有结肠肿瘤,拿一元论肺部转移。   2 肠道没有肿瘤,黑便只是溃疡,  鉴于所有的淋巴结都是膈脚以上,胸膜间皮瘤也是有可能的。
间皮瘤和胸膜转移好像光从形态上不能区分?
段建民: 患者老年男性,消化道出血来住院,胸部CT提示双侧胸膜多发结节,PET-CT提示高摄取状态,定位胸膜上,胸膜的纵隔侧和胸壁侧及食管旁的淋巴结均有高代谢,肺内未见明显肿块和占位的表现。考虑淋巴瘤?间皮瘤?
空格:
这个多中心浓聚,似乎不符合转移单细胞膨胀性生长?所以是间皮瘤的支持项?


03
病理结果



04
黄氏秘籍:胸膜间皮瘤VS胸膜转移

1、胸膜间皮瘤的发生很低。
2、肺门和纵隔淋巴结的转移,是区分间皮瘤和胸膜转移瘤的一大利器。
3、叶间胸膜上的密集的小结节,在间皮瘤是少见,而在胸膜转移瘤中,尤其是肺腺癌的胸膜转移中,比例很大。
4、肺腺癌的转移,很少伴有叶间胸膜的单发大结节。条带状,甚至是大肿块样的叶间胸膜转移,在肺腺癌的转移中罕见的。
因为发生条带状的转移,其体积越大,提示间皮瘤的可能性越大。
5、胸膜的环周增厚在间皮瘤中更为常见。
6、具有较大鉴别价值的是心包的受累,高度提示间皮瘤。
7、如果同时有胸膜肿物和胸膜斑,还是高度提示为间皮瘤的。
8、 胸膜斑一般不会巨大,太大的,要考虑间皮瘤,提示为间皮瘤的,除了胸膜斑,还有冻结胸腔,也是鉴别点之一  
9、 胸膜间皮瘤常引起患侧肺容积的缩小,纵隔的移位,这一点较胸膜转移瘤更为常见。 
10、而对于肺等处的血行转移,在间皮瘤中是少见,或者说是罕见的   
11、间皮瘤的标志物很少有增高的; 腺癌的CEA常常是显著升高的,CEA !CEA!CEA!
12、胸膜间皮瘤可同时伴发腹膜间皮瘤,从而提示诊断, 可以同时,也可以异时。
初诊的肺癌腹膜及大网膜转移是罕见的      
13、没有绝对100%的征象对间皮瘤。
05
文献复习-胸膜间皮瘤
       胸膜间皮瘤为来源于脏层、壁层、纵隔或横膈的四部分胸膜的肿瘤。国外发病率高于国内 [1],我国发病率约 0.04%,且近年有明显上升趋势,以 50 岁以上多见,男女之比为 2:1,起病隐匿,是一种致命的进展性胸部恶性肿瘤,以发病率低、局部侵袭为主、早期诊断困难、预后差为主要特点 [2]。
      胸膜间皮瘤是胸膜原发性肿瘤。该病恶性程度高,生存期短,平均4-9个月,2年生存率不足 10%[3],主要危险因素为石棉,恶性胸膜间皮瘤患者中 70% ~ 80% 有石棉接触史,另外有研究发现猿病毒40(SV40)也可能是导致发病的因素之一,有学者认为接触射线、其他化学纤维也是该病的危险因素,目前结核感染也被认为可能促进该病的发生 [4]。恶性胸膜间皮瘤起病隐匿,临床症状无特异性,主要表现为呼吸困难及持续性非胸膜炎性胸痛,随着胸液量增加而胸痛逐渐加重,常放射到肩部、双上肢及上腹部,主要表现为钝性和弥漫性,偶有神经性或胸膜性疼痛。呼吸困难为胸膜间皮瘤的常见症状,早期与胸腔积液有关,到后期与胸壁活动受限有关 [5]。伴有咳嗽,干咳多见,到病变晚期可出现呼吸困难、胸壁肿块、胸廓塌陷、疼痛甚至腹水、腹部肿块等,伴有乏力、盗汗、体重减轻等症状,甚至恶液质。该病大部分患者伴有胸腔积液,少部分患者无明显临床表现。
       恶性胸膜间皮瘤影像学上无特异性表现,部分患者查胸片、心胸CT可发现胸膜出现不规则增厚,以叶间裂明显,有些病患胸膜可见多发的结节影。有胸腔积液的患者胸腔穿刺液多为血性,胸水常规可见较多间皮细胞,胸水脱落细胞检查阳性率低,胸膜活检很难准确诊断。为获得恶性胸膜间皮瘤早期、可靠的诊断,指南推荐,除有胸膜粘连及手术禁忌证的病人例外,所有可疑患者都应给予胸腔镜检查,内科胸腔镜能窥视整个视野,能充分了解肿瘤的大小、形态、分布及临近脏器受累情况,可在直视下取到足够的多个部位的标本,故能确诊大部分病人,因此可作为诊断该病的最佳手段。约 10% 的病例中标准染色方法不能取得满意的效果,所以在胸膜活检病理检查时可使用 CEA、WT-1、CD141、CK5/6 等特异性免疫组化标志物。
       胸膜间皮瘤预后极差,常死于局部病变导致的并发症如肺部感染、胸腔积液、心肺衰竭等[6]。尚无有效的治疗措施,目前治疗方法包括化疗、放疗、手术、对症支持疗法及上述方法的联合应用。近年来培美曲塞联合顺铂是治疗恶性胸膜间皮瘤的标准化疗方案,应用该方案使患者症状缓解,生存时间延长,生活质量改善,但不是所有的恶性胸膜间皮瘤患者都能受益。临床上也有应用免疫治疗、生物靶向治疗等,可疗效均有限。所以恶性胸膜间皮瘤治疗的关键是早期诊断,提高确诊率,另外应加强人们的防范意识,避免有害物质的接触史,对疑似患者尽早予胸腔镜或胸膜活检术并联合免疫组化来明确诊断,及早治疗。
(参考文献:[1]董慧.恶性胸膜间皮瘤2例报告伴文献复习[J].医药前沿,2014,(14):244-244,245.DOI:10.3969/j.issn.2095-1752.2014.14.240.)

END
编辑:蔡笑燕
审核:雷  凤   徐  晓



到顶部