【每日晨读】 发现钙化一定是良性肿瘤吗?


  

 
     当你的才华还撑不起你的野心的时候,你就应该静下心来学习;当你的能力还驾驭不了你的目标时,就应该沉下心来,历练;梦想,不是浮躁,而是沉淀和积累,只有拼出来的美丽,没有等出来的辉煌
 01
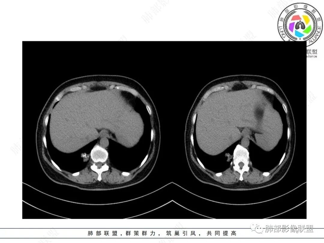
病例资料











 02
 精彩讨论
良孑:
首选错构瘤,某一层面上GGO边界清,鉴别一下腺癌
孔儿:
中年女性,右肺下叶后基底段胸膜下不规则稍低密度结节影,内见多发钙化,边缘部分平直,邻近胸膜下脂肪间隙清晰,增强扫描呈均匀轻中度强化,病灶边缘见少许小斑片状影,考虑良性病变,炎性肉芽肿可能,鉴别错构瘤
放射线:
右肺下叶后基底段结节,形态不规则,有分叶和毛刺,内可见爆米花样钙化,实性成分有强化,绿色无坑肯定考虑错构瘤,晨读估计不会这么简单,所以考虑腺癌?转移性腺癌?鉴别结核
衡妈:
中年女性 右肺下叶不规则实性病灶中心伴钙化,边缘有分叶、胸膜线样牵拉,增强后中等强化,常规思路考虑良性病灶,但是如果有老片 持续观察这个病灶 是否是在增大,腺癌还是可能的,有的肺癌可伴发钙化就是密度没有这么高,疤痕基础上发生也有可能。
CT强化值应该是大于20HU 轻中度强化 
宇宙:
右肺下叶胸膜下不规则结节,分叶,其内爆米花样钙化,轻度强化,考虑错构瘤,鉴别腺癌
了:
中年女性,无临床症状,胸部CT右肺下叶基底段实变影,边缘清楚,部分边缘刀切征,中间大部分钙化,局部胸膜无侵犯,似乎可见支气管充气征,考虑炎性肉芽肿,错构瘤待排
飞鹰行动:
从强化程度来看,强化不支持错构瘤,病灶有膨胀性有收缩及脐样改变,不能排除肺癌(腺癌)
deng:
这个形态还是像腺癌,有膨隆有分叶,边缘磨玻璃边界清,非钙化部分轻度强化。腺癌可以钙化的,估计是干扰项
lily:
右肺下叶分叶状实性结节伴钙化,胸膜牵拉似有侵犯,增强后轻度强化,倾向恶性,腺癌可能。
修*:
看到钙化灶→错构瘤,看山是山。看到钙化灶→腺癌,看山不是山
看图说话:
右肺结节,边界清楚,中心钙化,钙化边缘模糊,轻度强化,考虑腺癌,鉴别错构瘤。
谢加平:
右肺下叶内基底段胸膜下分叶状肿块,边界清,密度不均匀,有成簇状钙化(与错构瘤钙化不同),实性部分有强化,肿块边缘凹陷明显(有收缩力),周围集血管束特点,方向首选肺肿瘤,考虑肺腺Ca。
肿块出现L征,具有恶性特点:

 03
病例结果

 04
精彩分析
尘缘:
典型腺癌(原发>转移)
分叶,边界清楚,中心钙化,实性区中度强化(分叶太明显不支持错构瘤,错构瘤的分叶都是浅分叶,而且错构瘤位于边缘时出现广泛钙化的几率很小,而强化程度不明显,不是肉芽肿强化特点,所以考虑原有疤痕基础上的腺癌或带钙化的转移性腺癌)
错构瘤的本质是支气管的错构,钙化是因为软骨的钙化,支气管级别越高(越靠近中心),软骨成分越多,发生错构时钙化出现的可能越大,而太周围的错构瘤因为支气管已经不含有软骨成分,所以这些区域的错构瘤钙化是很少的。
因此,在这个地方,分叶又这么明显,还有这么明显钙化,我是不考虑错构瘤的
这个没有免疫组化,鉴别不了原发还是转移,这种伴有明显钙化的粘液腺癌要排除消化道来源的粘液腺癌转移
王兆宇
原发性结节期粘液腺癌,钙化应该和粘液有关

说在后面的话:
      下肺胸膜下不规则结节影,边界较清楚,密度不均,中央见较大范围钙化区,未见明显胸膜牵拉,容易联想到钙化明显的病灶,多为良性,如软骨成分丰富的错构瘤,继发性肺结核的结核球等等……
1.本例病灶不够抱团,位于周边,钙化不具有爆米花“弧形”特征,也未见脂肪密度区,错构瘤的特征并不明显。
2.继发性肺结核的确值得怀疑,毕竟有结节堆砌感,钙化明显,不支持的地方在于病灶部分边缘存在较清楚的磨玻璃影,并且病灶的强化方式让人窦疑。
3.怀疑新生物有其合理性,磨玻璃密度区,强化方式等等。
病灶地处偏远,对病灶区支气管及血管出入的观察,常常难如人意。
病理“粘液腺癌”的报告可以“接受”,尽管本例影像学推断有一定难度。
4.关于病灶内钙化,尽管部分肺肿瘤可以出现钙化,但钙化如此密实,占比如此之大,究属少见,尚不能完全排除此前已经存在的可能。钙化灶的存在并不能豁免新生物的发生。
       前后影像对比意义重大,既能够观测结节影是否进行性增大,还几乎可以证实钙化的来龙去脉!
 05
相关知识拓展
Coke with ice:
肿瘤钙化形成的3种机制,肿瘤通过包含钙化瘢痕组织或合并肉芽肿性疾病,粘液性肿瘤分泌物产生的钙沉积以及坏死组织内的营养不良性钙化。钙化可以以无定形、点状或网状形式出现。骨化是新骨形成的过程,最常产生网状模式,在类癌肿瘤中最为明显,在高达30%的病例中显示钙化或骨化。
SS-MLIA和SS-NMLIA均可发生瘤内钙化,SS-MLIA瘤内钙化的病理基础为腺癌细胞分泌较多黏液,容易出现钙盐沉积[10,11];SS-NMLIA瘤内钙化与肿瘤生长迅速导致瘤内缺血缺氧,继而发生坏死及营养不良性钙化有关[12]。我们认为肺黏液腺癌钙化的发生率更高可能与本研究中大部分SS-NMLIA患者的临床分期为Ⅰ~Ⅱ期,肿瘤多数较小,因而坏死发生率较低有关。
极少数病灶内或周围可见钙化灶,本研究中仅5例可见钙化,钙化的形成可能与黏液随时间延长导致钙沉积有关。

肺肿瘤生长特征的对应病理影像关系
(1) 错构瘤     其组织构成为软骨、平滑肌、支气管粘膜和少量纤维组织,各种组织排列缺乏规则性,常以几块相连的椭圆形软骨组织为核心,周围和夹缝中嵌以受挤压的支气管粘膜和平滑肌组织,残留的空隙常填以脂肪组织。瘤体通常较小,边缘呈较浅的分叶状,表面光滑,缺乏含气肺泡形成的磨玻璃成分,间隙脂肪成分的存在显示特征性的-100Hu左右的低密度区,病理片上脂肪组织出现的概率明显高于CT片上,微小的脂肪成分需要薄层或靶扫描来显示。错构瘤的钙化只发生在软骨成分,特别是软骨团的周围区月牙形的钙化,整个软骨团的钙化呈现类圆形或爆米花样较少见,更多的是肉眼难以辨认的轻微钙化,这在病理HE染色片上也比较隐约,CT片上较难判断,常依靠测CT值(大于100或160Hu)来估计。
(2) 硬化性肺细胞瘤      组织来源是发育不良的肺泡、细支气管和衍生组织,总体形成圆形或椭圆形肿块,表面光滑呈膨胀性极缓慢生长,内部基本没有软骨与平滑肌成分,从而肿瘤表面光滑边界清晰。钙化源于陈旧的纤维化组织,故钙化区形态不规则,肿瘤组织细胞常丰富,除纤维化区域外血管丰富并常含血管瘤样区,因此增强扫描显示显著的强化。血供丰富而内部没有正常肺血管和支气管穿过,使得血管贴着肿块走行,在VR(容积再现)重建时可见肺血管趴在肿块表面经过,而且离开肿块时血管直径明显小于进入肿块表面时。硬化性肺细胞瘤的周围常有云雾状晕区,是肿瘤内出血渗入周围肺组织所致。
(3)肺原发性腺癌     在统计资料中,肺腺癌占全部原发性肺癌的64%(有组织病理资料),占周围型肺癌的80%以上。肺腺癌的发生发展过程已经在多学科形成共识:基本上是从AAH-AIS-MIA-IAC(浸润性腺癌)这样一个连续发展的过程。随着浸润的发展,CT显示病灶内实性成分的密度、数量、边界、大小都会有相应的变化。肿瘤区支气管也会随着浸润的进展而被填塞或受到破坏,CT显示充气支气管征消失与淋巴结转移正相关。这样的认识对于理解各阶段病理影像特征很有意义,约有半数的浸润性腺癌都含有附壁生长成分,在CT上表现为残存的磨玻璃区域,这种区域常在肿瘤的周边,以前称为“晕征”,随着CT分辨率的提高,可以清楚地看到这些附壁生长区的内外边界,准确地测量磨玻璃区的CT值。内部实性区无或微小、缺乏毛刺及分叶状边界常代表原位腺癌 。根据CT上肿瘤区密度、形态、边缘、大小及邻近组织改变,区分AIS与MIA有一定准确性。在早期肺腺癌中,血供丰富也提示恶性度升高,CT显示肿瘤区血管影增多及形态改变与浸润的发展正相关。原来认为的周围型大细胞癌(LCLC)大多数是浸润性腺癌的实性生长型,十几年来大细胞癌占肺癌的比例从12%左右下降到了1-2%,许多学者认为大细胞癌不是一种独立的病理类型。大细胞癌内部纤维组织相对较少,点状及不规则的坏死常见,CT上呈现类圆形的外形,对外收缩力较小,毛刺、分叶和胸膜牵拉不很明显。对于绝大多数浸润性腺癌瘤肺边界的毛刺,根据我们的观察,病理组织学上并未发现肿瘤浸润形成尖细的突起,考虑这种毛刺与肿瘤的纤维化收缩有关。
(4) 类癌与其他神经内分泌肿瘤      典型类癌好发于中青年女性的肺中央区,生长在大支气管部位者常明显向气道突起并阻塞支气管,肿瘤内部组织分布均匀、血供丰富且通常均匀,整体呈边界清楚的类圆形。大细胞神经内分泌癌好发于中老年男性,肿瘤常呈类圆形,内部常含有散在的局灶坏死,坏死区一般比鳞癌的小。不典型类癌发生率较低,由于缺乏多中心统计资料,有待进一步研究。小细胞癌与鳞癌相比,细胞粘附性差,组织浸润力强并容易发生淋巴结转移,对支气管的阻塞相对较轻,这些差异在CT上常有显示。
(5) 鳞癌      鳞癌发生于支气管粘膜,大多数鳞癌为中央型,周围型鳞癌也常常接近段支气管。中央型鳞癌组织学上鳞癌的癌巢较大,癌巢内容易发生坏死并可融合成片,形成不规则的大片坏死区。在CT增强扫描时容易辨别。周围型鳞癌边界多清楚,深分叶少、毛刺少、缺乏周围磨玻璃影,以及支气管阻塞改变常见,有助于与腺癌的区别。在恶性肿瘤放射诊断中,纵隔淋巴结的判断有重要意义,淋巴结最大截面积与短径增大常提示淋巴结转移。

病例来源:孙定涛
编辑:杨宏刚
审核:雷凤   徐晓


到顶部