【每日晨读】两肺OP样改变,一元还是二元?





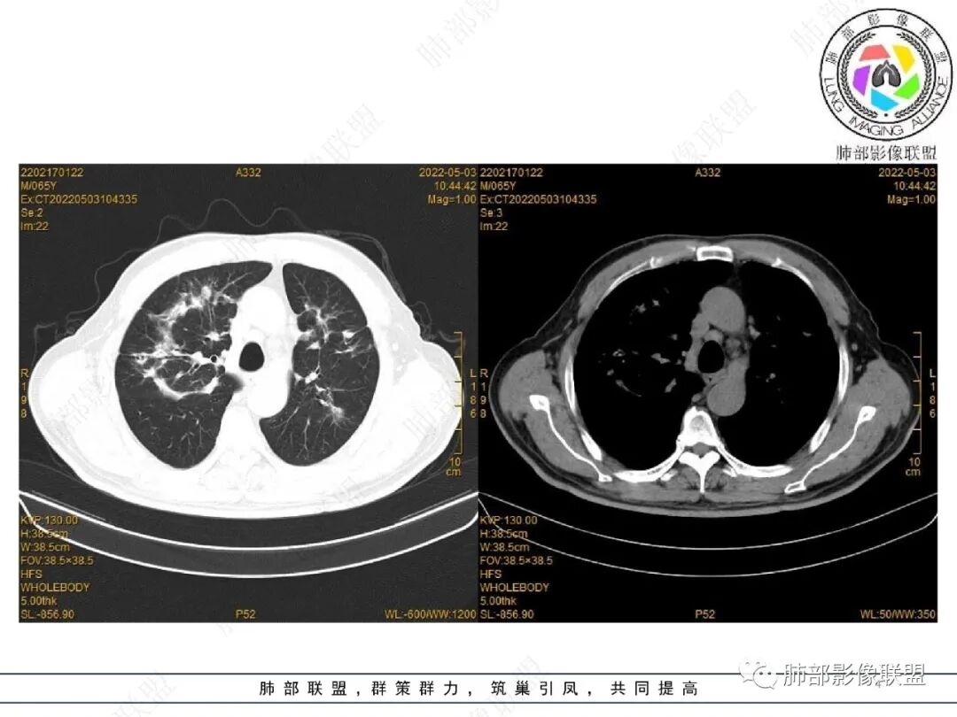
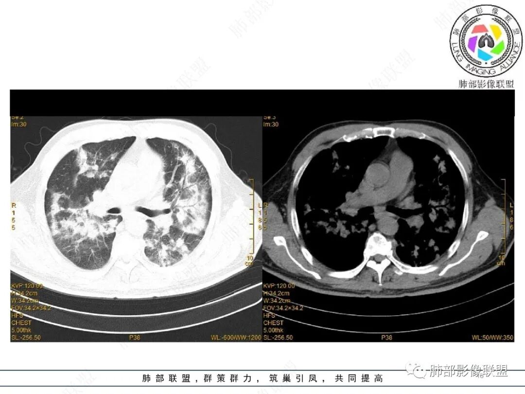
病例资料
























































微信群讨论
金豆: 两肺弥漫病灶,征象逍遥,支气管血管束走行,边缘模糊,反晕,整体有收缩感,良,非感染,OP。
摘星空竹子: 考虑OP。
宇宙: 两肺沿支气管血管束及胸膜下分布多发结节、斑片及实变,边缘模糊,右肺病灶可见反晕,复查吸收好转,边界清,考虑OP
王静 安阳地区医院CT: 双肺弥漫性实变,沿着支气管血管束分布,中内带为主。患者临床症状轻,影像重,实验室检查白细胞,中性粒高,支持合并感染。抗MPO抗体阳性。支持ANCA相关性血管炎合并肺部出血可能,支持MPA
强子lq: 鼻息肉+咳嗽+mpo阳性,嗜酸也不高,可临床诊断ANCA相关血管炎,支气管血管束周围分布的斑片和实变影肺部ct也符合anca血管炎肺损伤。考虑MPA或GPA
谢加平: 两肺叶多发斑片实变影,边缘模糊,沿支气管血管束对称分布,血管束不清,抗髓过氧化酶抗体阳性,支持血管炎表现,治疗后复查双肺病灶较前吸收好转,范围减少,病灶边缘收缩,支气管有牵拉打张,伴随0P肺炎改变。
放射线: 双肺弥漫分布斑片及大片状密度增高影,部分呈磨玻璃样,部分呈反晕征,支气管通畅,双侧胸膜增厚,两个月复查,病灶明显吸收好转,以纤维化机化为主,边缘清晰,考虑嗜酸性粒细胞肺炎,鉴别OP
段建民: 老年男性,肺部病变,症状逍遥。检验结果WBC,N偏高,结核相关阴性,肿瘤标记物大致正常。胸部CT可见双肺多发弥漫分别斑片影和结节影,结节致密,内部无明显气管充气,可见反晕征,分布符合间质性改变,纵膈内未见增大的淋巴结。未经特殊治疗后分布片影减小好转。考虑符合间质性肺炎,机化肺炎,COP首先考虑。影像学需鉴别诺卡肺炎,但患者无发热中毒,不考虑感染性疾病。P-ANCA阳性,无哮喘,无鼻窦炎及外周神经损害等其他表现,无血管炎证据。
良孑: 两肺多发实变及结块,沿支气管血管束分布,可见反晕征,考虑显微镜下多血管炎或0P
peek_knight: 双肺弥漫分别斑片影和结节影,沿支气管分布,见反晕征,考虑OP
人生海海: 双肺多发实变影,伴晕征,局部有反晕,抗髓过氧化酶抗体阳性,上呼吸道息肉,考虑血管炎,复查肺内病变有吸收,收缩改变,支持OP
龚小萌: 双肺弥漫分别斑片影和结节影,沿支气管分布,见反晕征,复查明显吸收,抗髓过氧化物酶抗体阳性,影像符合机化性肺炎样改变,血管炎所致?
晓锁: 主要鉴别血管炎和OP,临床无鼻窦、皮肤及肾功能异常,支持OP影像1、分布:OP中内带为主,血管炎外带为主,支持OP。2、侧向融合为主:支持OP。3、血管:广泛病变无血管增粗支持OP。4、肺动脉段:无明显肺动脉高压,支持OP。
南边:大方向没问题




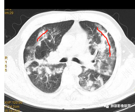
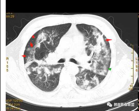
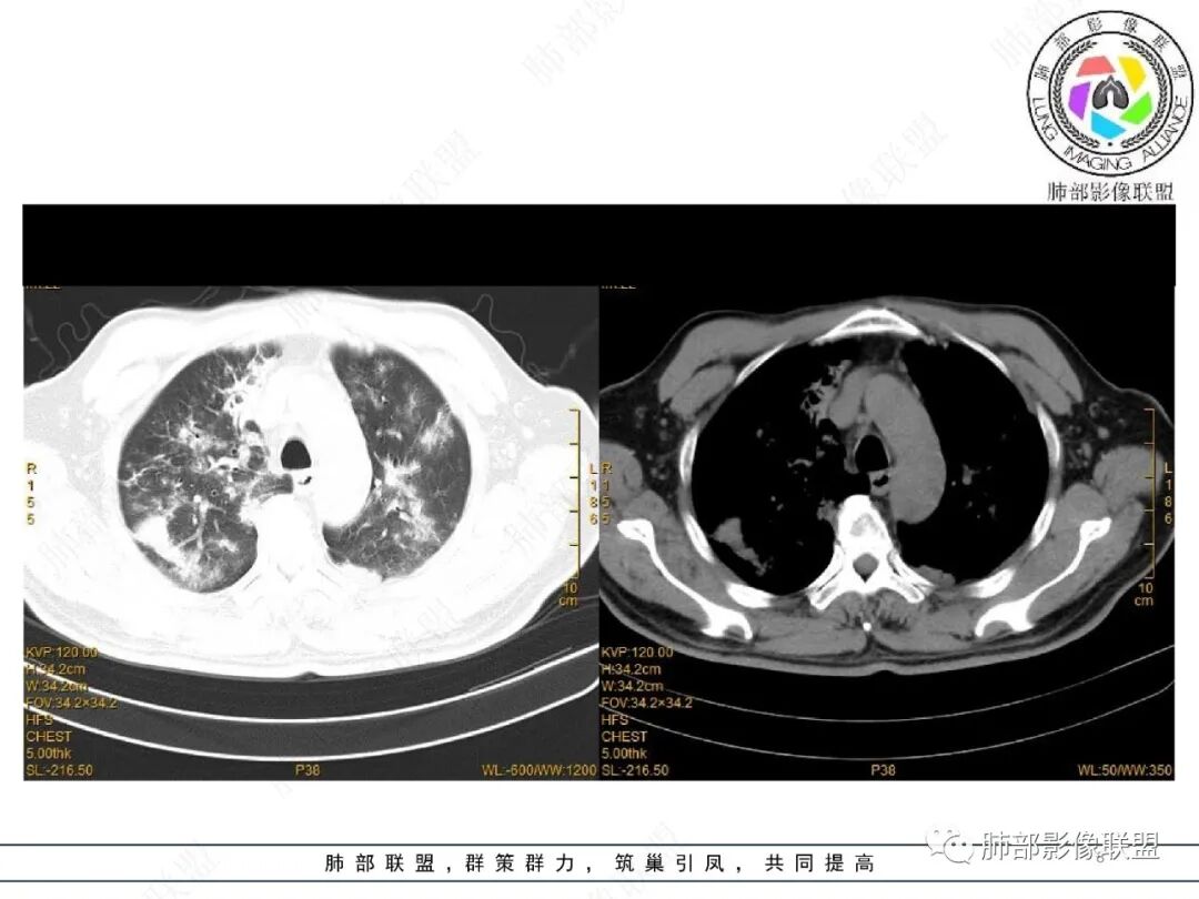
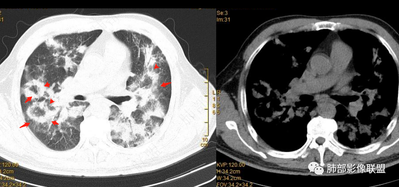
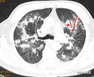
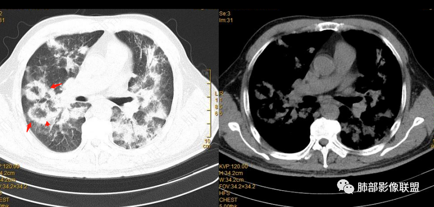
肺部弥漫病灶,斑片、条带为主。似有一些结节灶。
这些病灶的特点:

1、部分沿支气管血管束分布,内部支气管通畅,稍扩张。

2、部分外带(距离胸膜下有间隙),与胸膜平行

部分环形融合

我们该如何解析这些征象?
沿支气管血管束分布,支气管通畅——一般提示间质,如果气道的应该支气管有变化,如果肺泡性的不应该沿支气管血管束分布,而是叶段性

这又如何解释?
南边:
首先病灶是距离胸膜有间隙为主,其次是侧向融合,导致长轴与胸膜平行
距离胸膜的位置——提示小叶核心病灶
侧向融合
提示病灶位于小叶核心,逐步增大,到了一定大小之后相互连接,也就是侧向融合

还没有融合的
已经融合的
相对而言:已经融合的,边缘平直、光滑一些,周围纤维化明显一些,没融合的边缘模糊一些,周围GGO多一些;提示融合的病灶更早,已经开始有纤维化改变特点;而没融合的属于后发一些的病灶,纤维成分还不够


提示融合:除了有病灶增大的原因,与纤维化也很大关系

至于这种反晕征状:我认为是外周一层的小叶核心病灶与偏内侧的小叶核心病灶的融合,不是大片状病灶周围的修复所指。
南边:
整体符合:间质为主的肉芽肿性病变
有纤维化进展的趋势
支气管周围:血管、淋巴道、结缔组织
血管——血管炎。
结缔组织:免疫相关性病变。
淋巴道:纤维化明显,不太支持肿瘤。
支持血管炎性或免疫相关性病变。
就要看临床去鉴别。我认为思路是这个方向,这只是个人观点。下一步就是临床去进一步针对性检查。


病例结果


使用氟康唑治疗



























嘻嘻??:
今天的患者是用氟康唑抗感染治疗,5月3号后至今没有复查过!
wj:
我觉得是op或隐球菌继发op。第二次有一点胸膜下结节融合。
南边:
不可靠
嘻嘻??:
南边老师说啥不可靠?不是隐球菌感染继发的op吗?
不吝慷慨:
应该不是,肉芽肿性炎伴坏死
南边:
我认为就算是有隐球菌,也有其他病变。最起码要二元论。
那个人:
这个影像应该有支气管血管束分布病变吧
南边:
我也见过类似的一例报隐球菌
但是我还是认为,应该是有隐球菌,还有其他病变
二元论
那个人:
有个重建就好看了
段建民:
这个病例之前就有这么大片的改变,没有治疗,过几个月再复查,还自己吸收了?隐球菌的话,不治疗也能自己吸收吗?
南边:
按理可以。就是时间的问题。
wj:
隐球菌常规合并op的
南边:
隐球菌合并OP是病灶周围
wj:
关键哪里是隐球菌哪里是op
杨梅:
可以是二元论
病例回顾分析

1、临床特点:
     65岁男性。2022.2.17因声音嘶哑入院检查发现肺部病变,未规范治疗出院。2022.4.10因胃出血急诊入院,病情稳定后有咳嗽转入呼吸科治疗,无咳痰、无发热、无呼吸困难。白细胞、中性粒细胞轻度升高,血沉升高,抗髓过氧化物酶抗体IgG阳性,余实验室检查(-)。
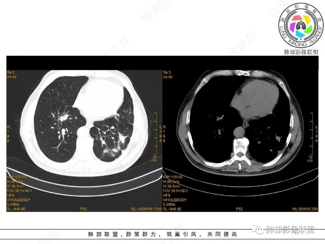
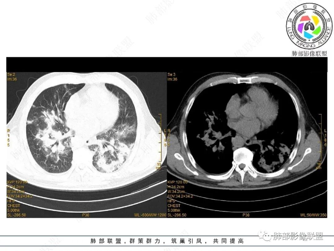
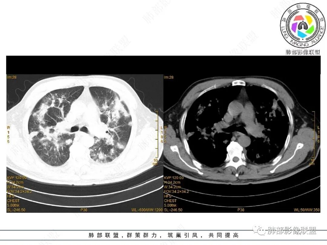
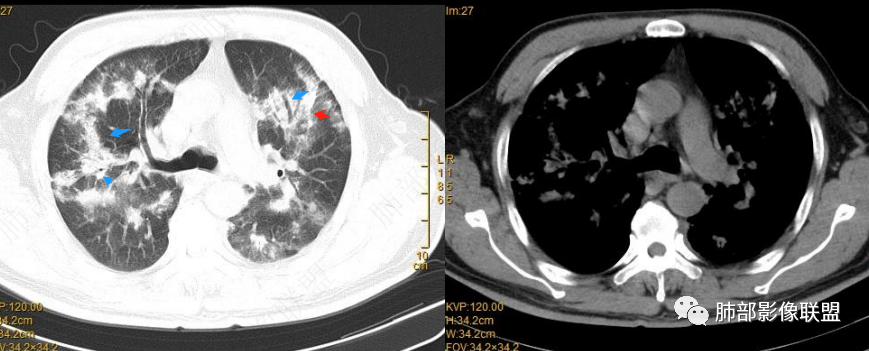
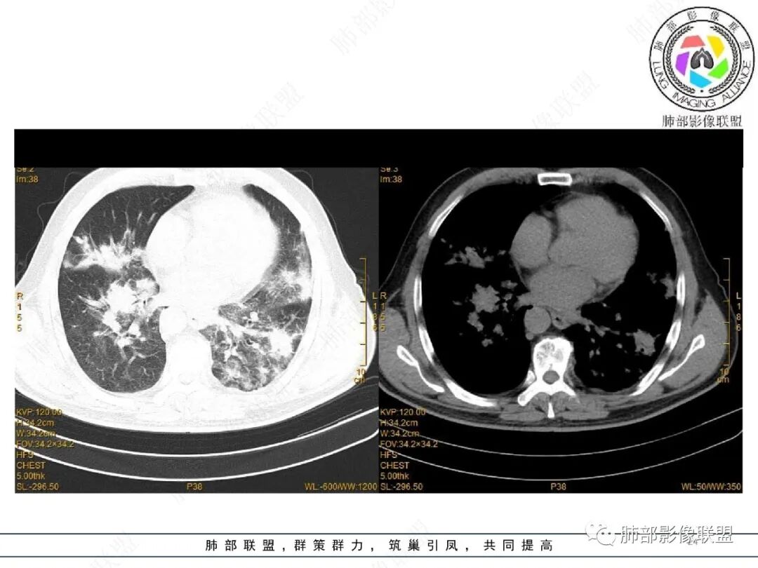
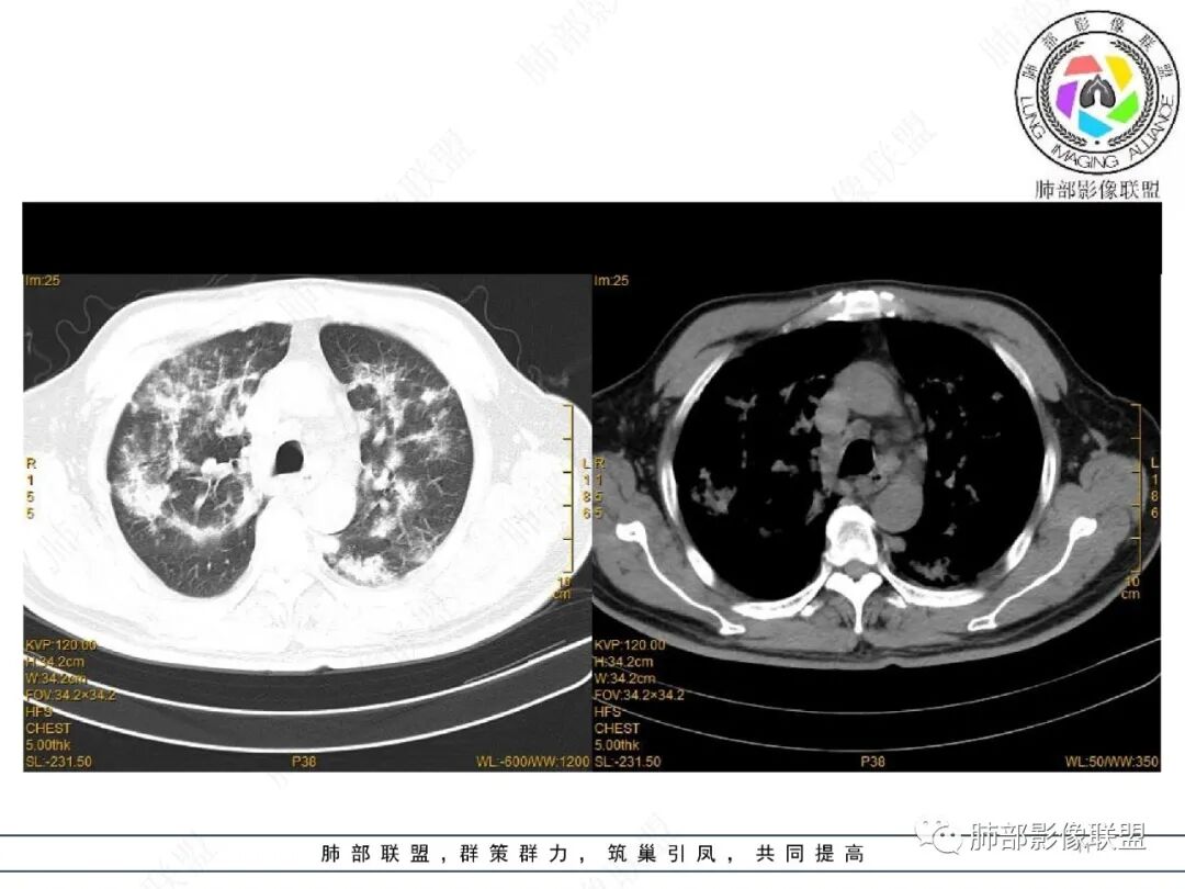
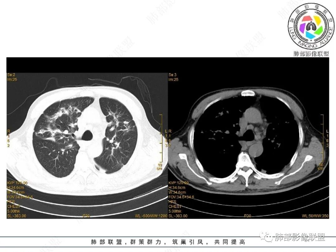
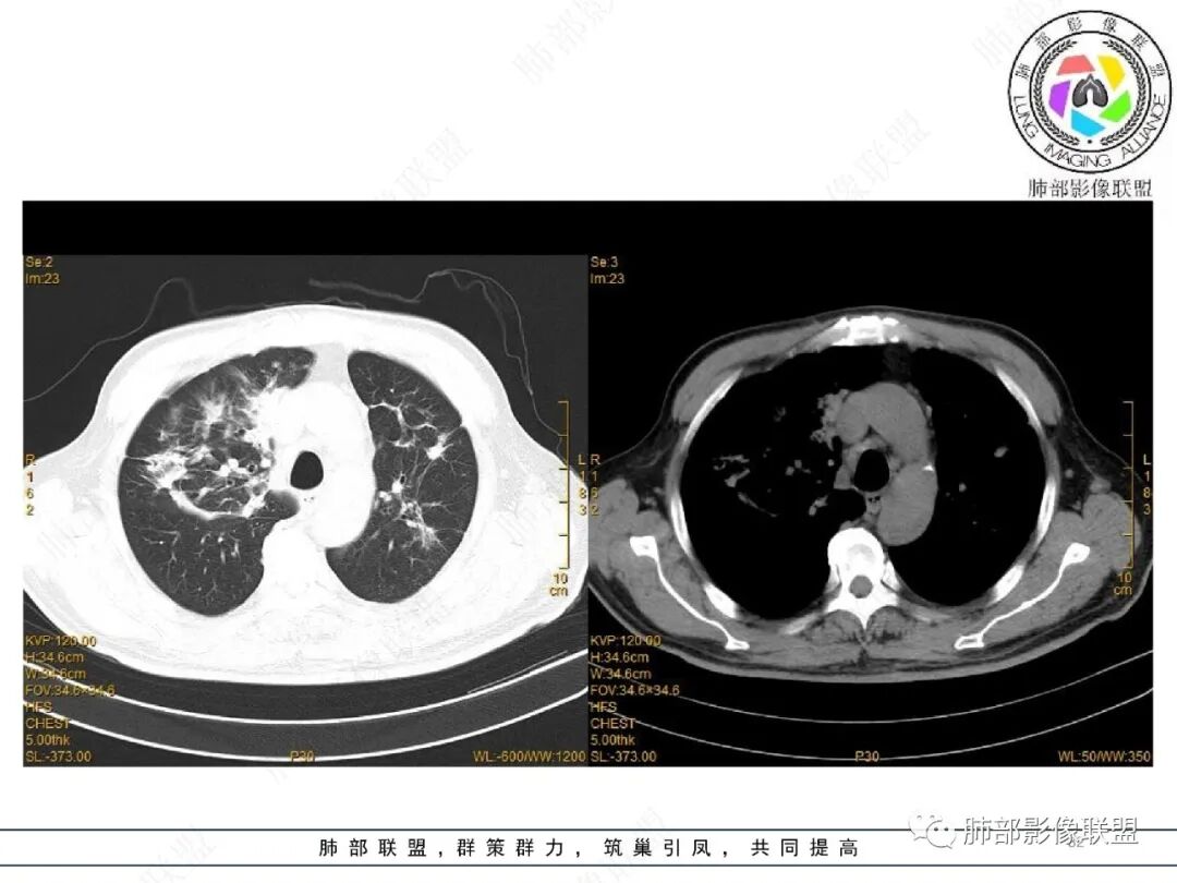
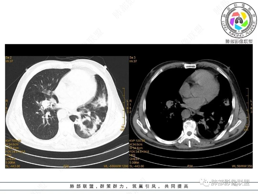
2、影像特点:
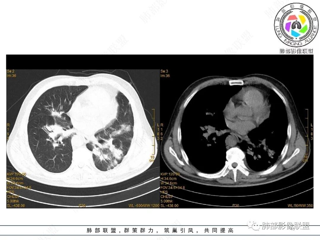
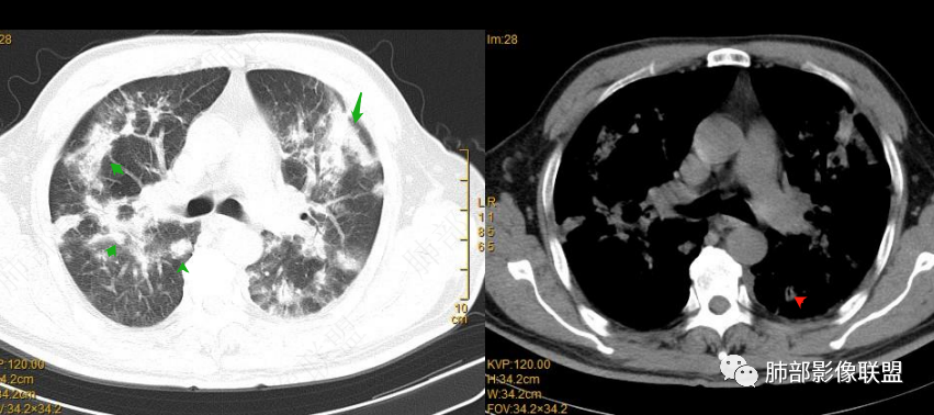
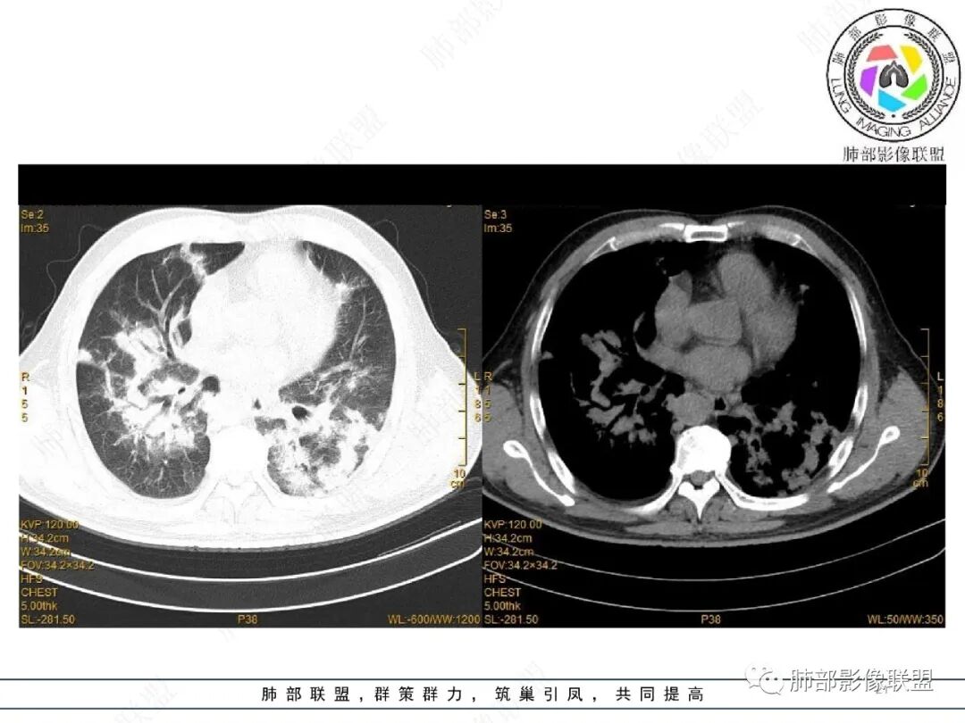
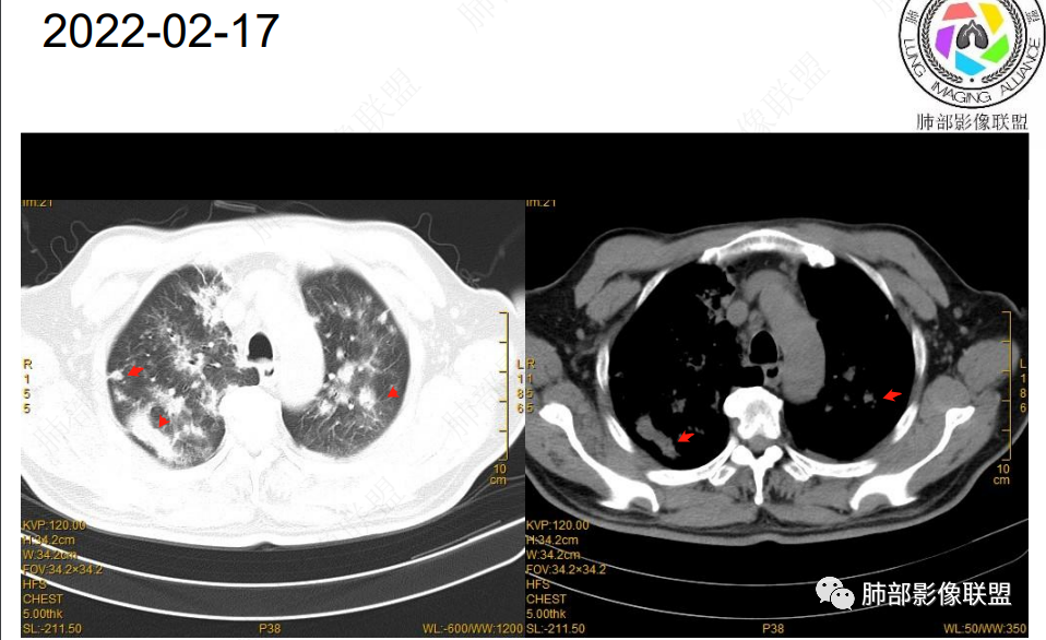
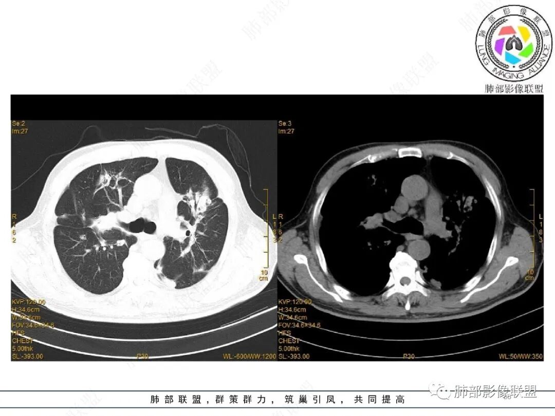
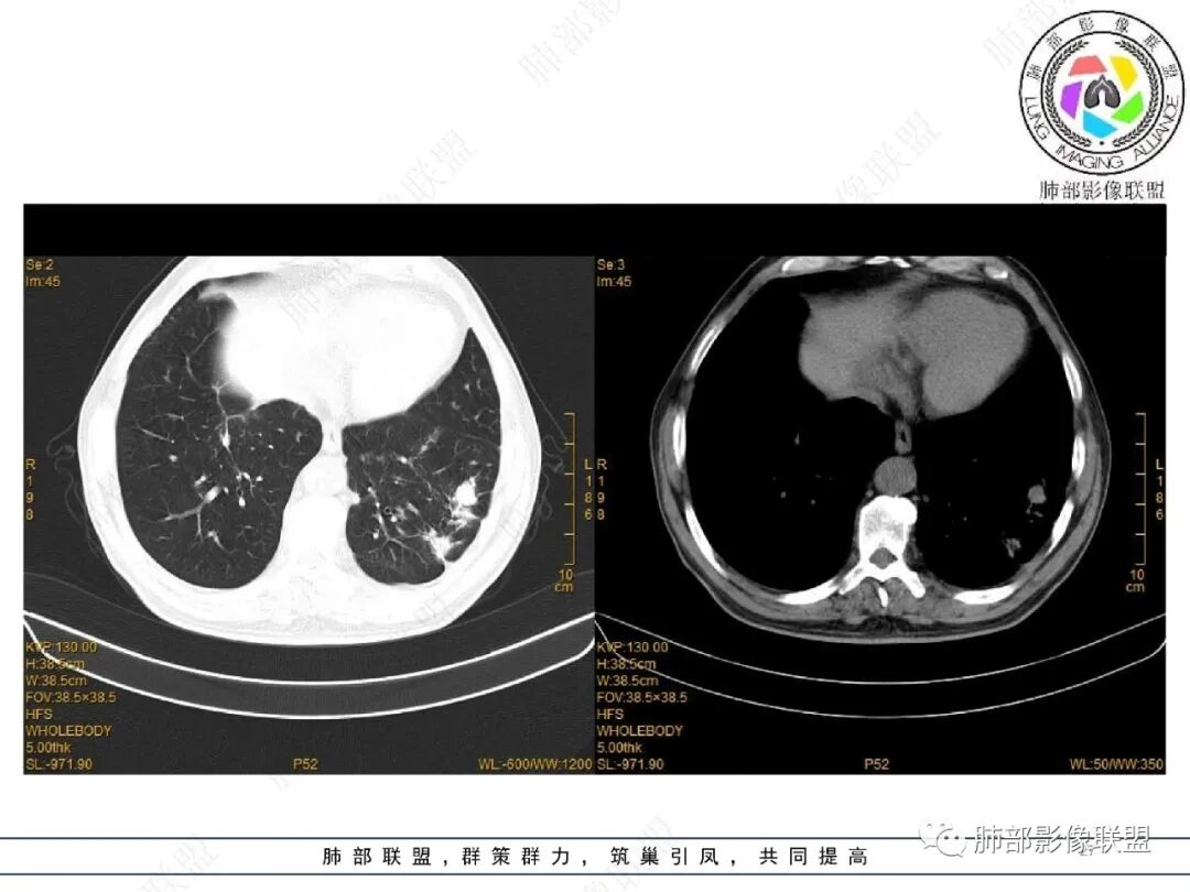
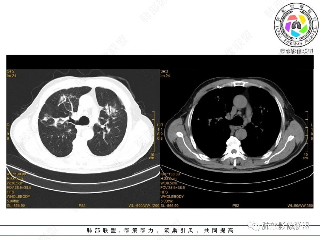
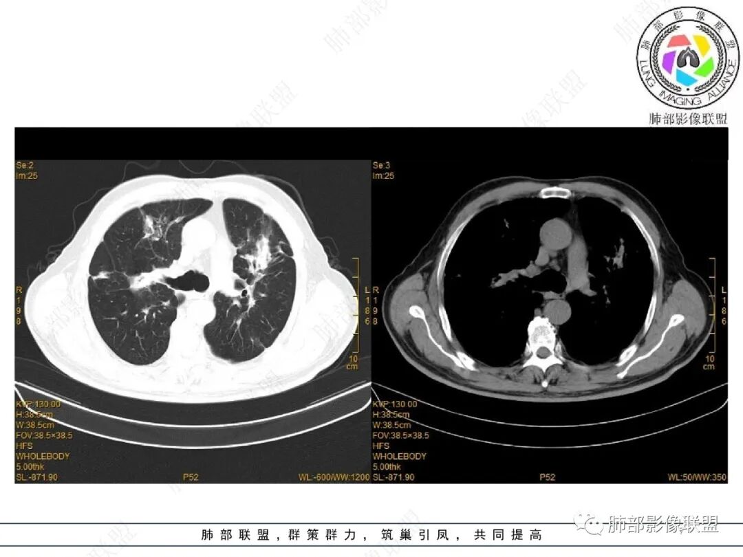
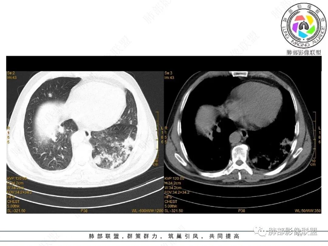
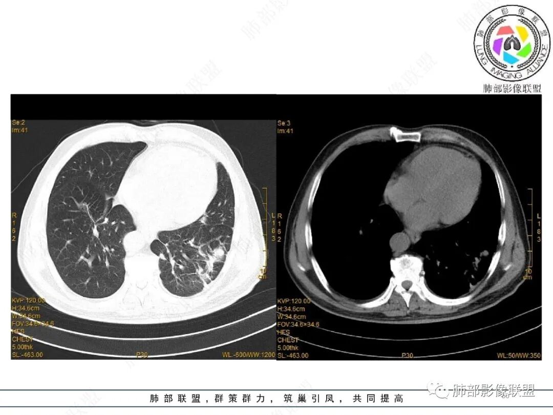
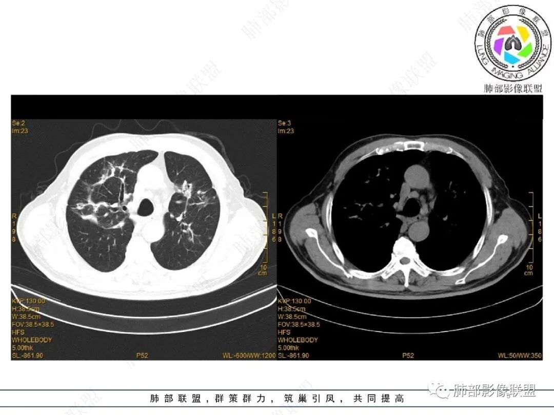
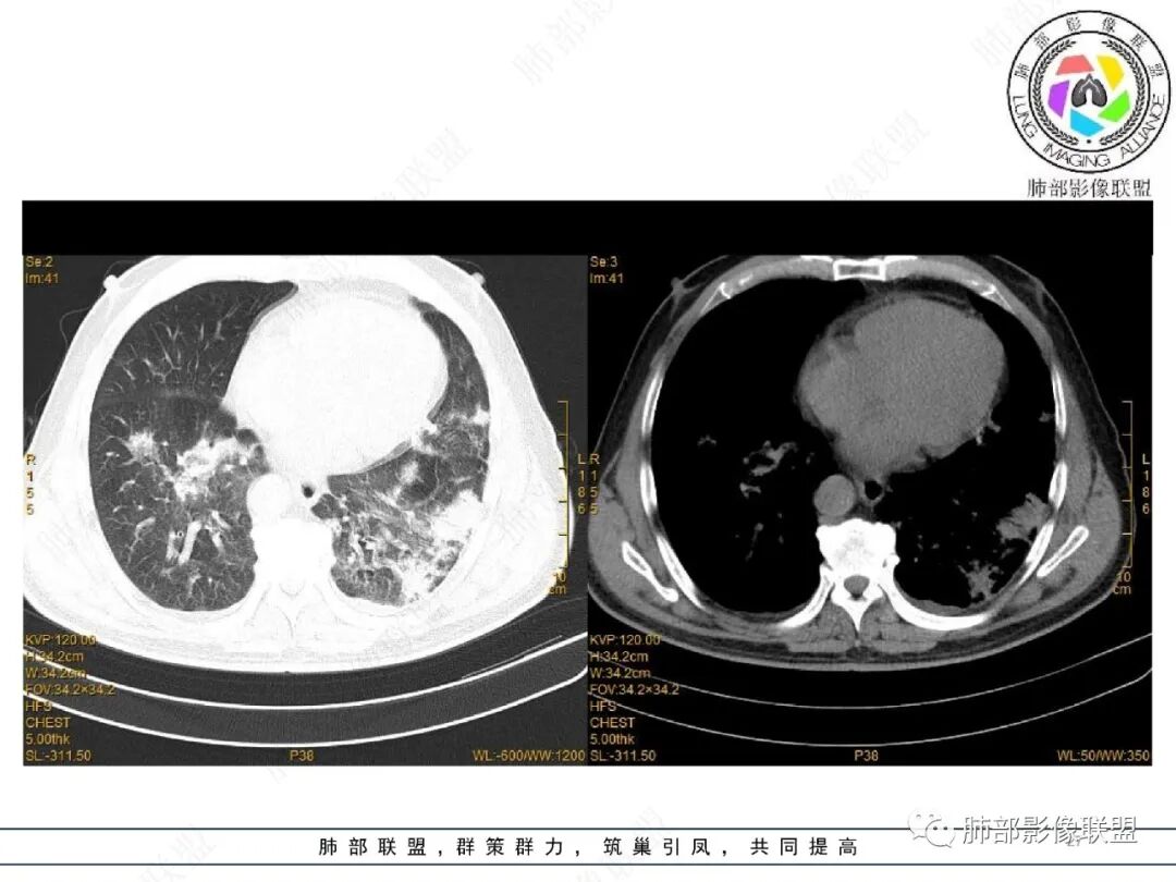
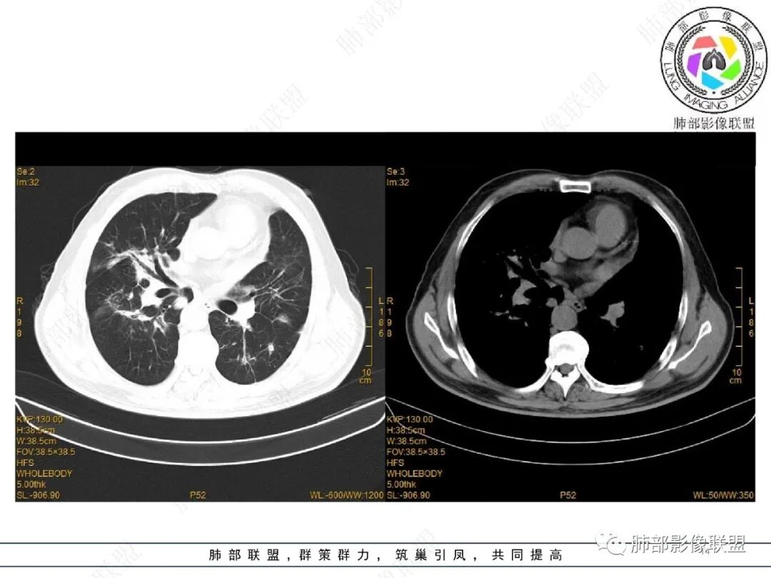
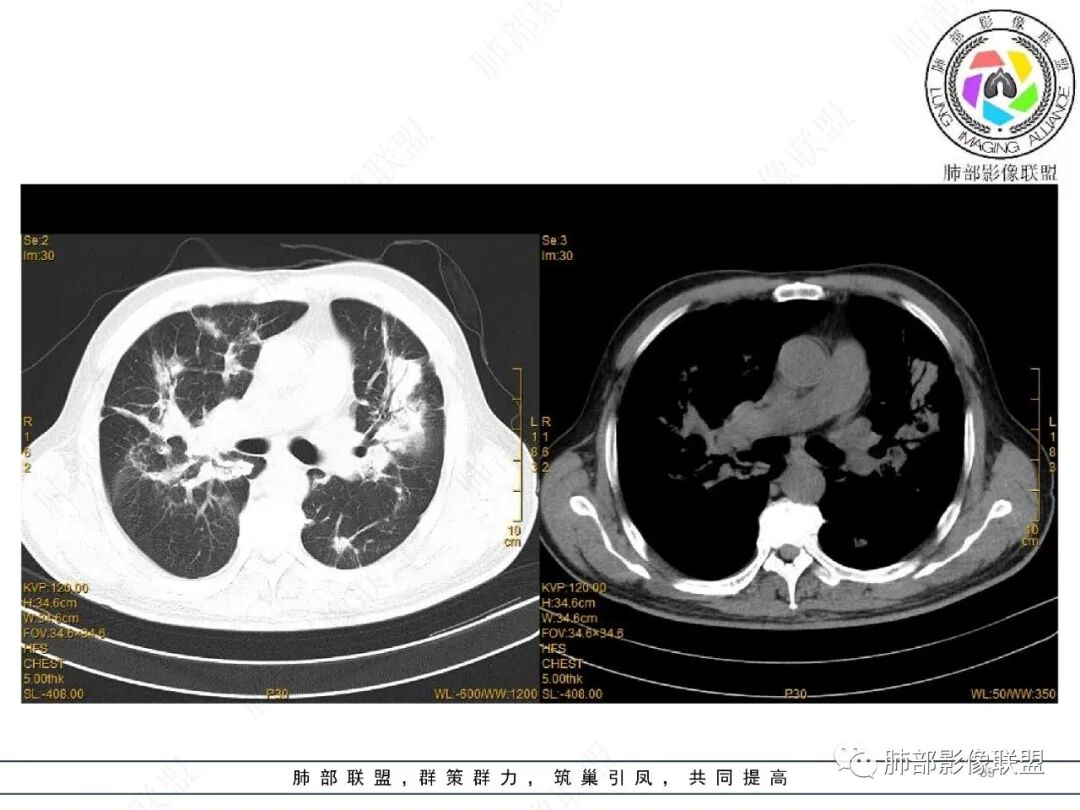
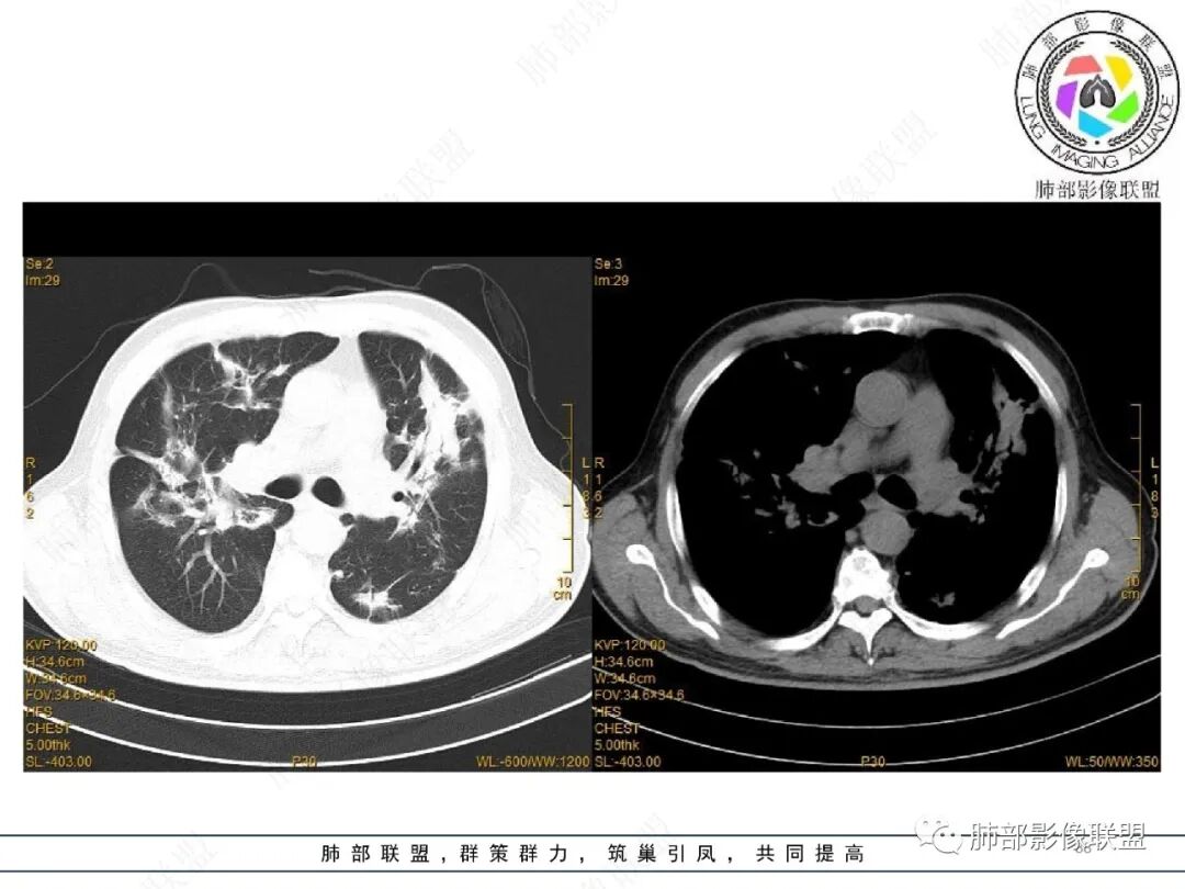
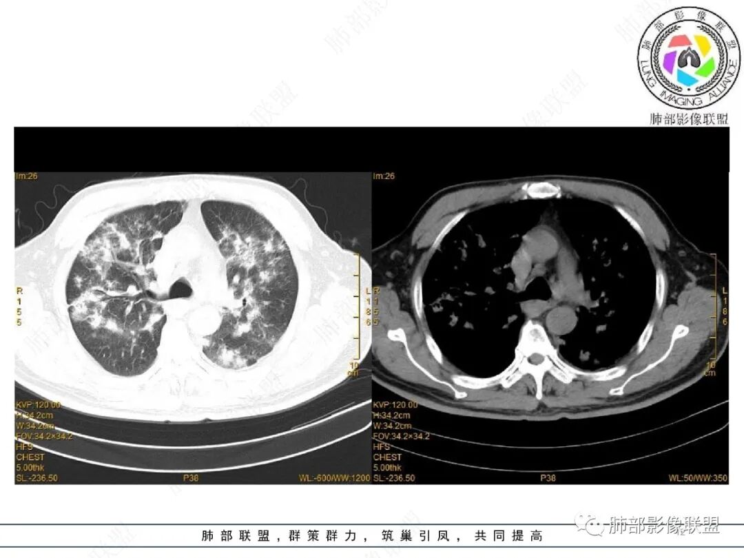
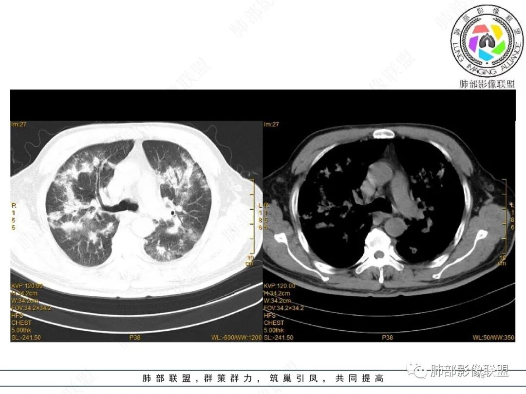
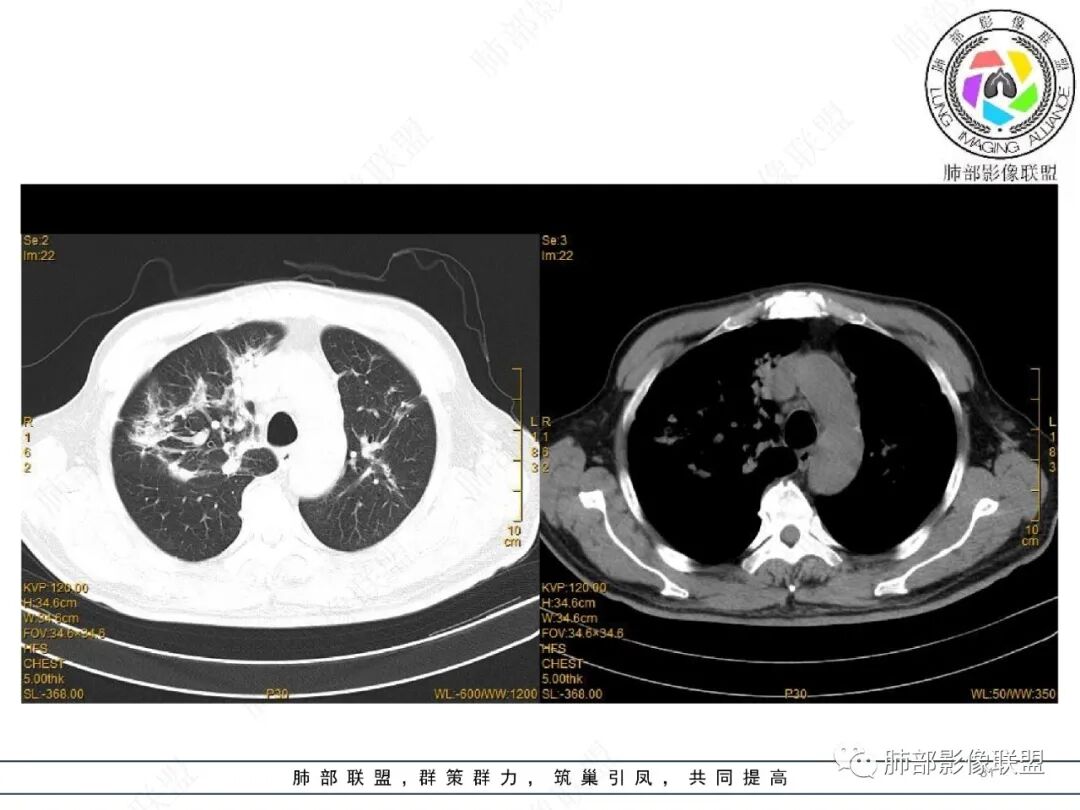
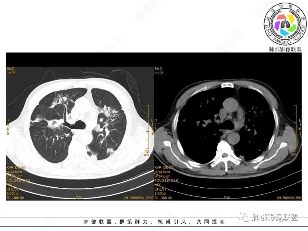
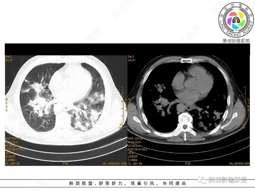
     2022.2.17CT显示两肺中内带多发结节影、斑片影、条索影,部分病灶侧向融合与胸膜平行。部分病灶沿着支气管血管束分布、其内支气管稍扩张。部分病灶呈反晕征。大部分病灶边界显示清晰,部分病灶周围可见边界不清的GGO。2022.4.12CT显示两肺中内带多发结节影、条索状、条带状高密度影,边界收缩平直凹陷,大部分病灶沿着支气管血管束分布,亦有位于胸膜下侧向融合与胸膜平行的病灶。总体与第一次CT对比两肺病灶明显吸收。
3、病例小结:
      老年男性,两肺多发病灶,整体呈OP样改变,至于是原发性还是继发性的OP,需要临床鉴别。此病例穿刺结果是隐球菌。该病例CT上缺乏隐球菌典型的“在那遥远的胸膜下,多个蘑菇兄弟,可以侧向融合呈长串状与胸膜平行”影像表现,更多是OP样改变,仅凭临床表现或影像资料诊断隐球菌难度比较大。当然也不除外二元论,导致隐球菌的影像表现被掩盖。
4、关于隐球菌:
     隐球菌属于酵母样真菌,具有机会致病性,与人类感染密切相关的是新生隐球菌、哥特隐球菌,隐球菌多分布在被鸽子或其他鸟类粪便污染的土壤中,人类经吸入隐球菌而患病。
    临床表现无特异性,受免疫状态的影响,无免疫抑制者可无任何呼吸道症状,仅在体检时发现肺部病灶。而免疫抑制者可表现为发热,气促,甚至急性呼吸窘迫综合征。
    根据宿主的不同免疫状态,影像学差异很大,无免疫抑制的隐球菌病,大概分为4型:孤立结节块型,大片实变型,多发结节或实变型,弥漫型。

注意:多发结节最后经常融合为大片实变




往期精彩链接
肺隐球菌CT诊断——南边课堂
【肺部影像系列】隐球菌肺炎诊断要点
张嵩老师讲堂-《隐球菌病的诊断及病例分析》
编辑:李  菲  雷  凤
审核:徐  晓


到顶部