病例资料
![]()
![]()
![]()
![]()
![]()
![]()
![]()
![]()
![]()
![]()
![]()
![]()
![]()
![]()
![]()
![]()
![]()
![]()
![]()
![]()
![]()
![]()
![]()
![]()
![]()
![]()
![]()
![]()
![]()
![]()
![]()
![]()
![]()
![]()
![]()
![]()
![]()
![]()
![]()
![]()
![]()
![]()
![]()
![]()
![]()
![]()
![]()
![]()
![]()
![]()
![]()
![]()
![]()
![]()
![]()
微信群发言
那个人:
曲霉菌可能,多叶多段感染,支气管壁增厚,树芽,喘,痰多,血象高,短期复查病灶明显增加
飞鹰行动:
双肺支气管壁增厚,多发树芽及腺泡状阴影,实验室炎性指标增高,复查病灶变化明显,考虑感染性病变,曲霉?支原体?
宇宙:
两肺支气管管壁增厚伴树芽、腺泡结节及斑片磨玻璃,3天进展,考虑曲霉,鉴别铜绿
了:
糖尿病基础病,双肺多发磨玻璃影,树芽征,腺泡结节,结合白细胞总数及crp,第一考虑细菌感染,第二考虑结核。
衡妈:
中老年男性,糖尿病病史。咳嗽胸闷,白细胞CRP明显升高。两肺多叶沿支气管束小叶中心结节?树芽征,边缘模糊,并可见支气管壁增厚,三天进展明显,部分侧胸膜牵拉增厚。实验室检查T细胞阳性。考虑结核,鉴别气道侵袭性曲霉感染。
金豆:
两肺多发,气道壁增厚,树丫,腺泡结节,复查进展,纤维化少见,糖尿病,炎症,曲霉,鉴别结核,NTM。
刘丹:
双肺多发斑片影,支气管管壁增厚,三天后复查病灶增多,考虑感染,曲霉?
洪桥爱:
糖尿病基础,肺结核合并细菌性肺炎,肺克?鉴别铜绿、NTM
丽:
双肺多发结节影,支气管管壁增厚,部分见树芽征,考虑感染性病变,支原体?
月亮圆了!:
多发结节,斑片及树芽征,气管分布,支气管壁增厚,考虑感染性病变。考虑结核。支原体排除
若晗:
两肺多发斑状,点状,斑片样改变,气管分布,支气管壁增厚,支持感染性病变,NTM可能性大
王江涛:
多发小支气管壁增厚,支气管肺炎,快速进展,糖尿病基础,白细胞增高,金葡、支原体、气道侵袭曲霉
晓锁:
中老年男性,急性呼吸道病程,糖尿病病史。实验室:白细胞CRP明显升高,T细胞阳性。影像:两肺多发沿支气管分布小叶中心结节,密度较低,边缘模糊,支气管壁广泛增厚,快速进展,考虑结核,鉴别铜绿,气道侵袭性曲霉感染,支原体肺炎。
流心明智:
男,58,咳嗽、胸闷3天。糖尿病、哮喘病史。胸部CT:两肺多发树芽、结节影、GGO,小叶核心分布,密度低,边缘模糊,支气管壁多发增厚,病变快速进展,考虑:ABPA?支原体肺炎?鉴别TB/NTM、金葡、铜绿、DPB、HP等。
病 例 结 果
![]()
病例回顾分析
1.临床特点:
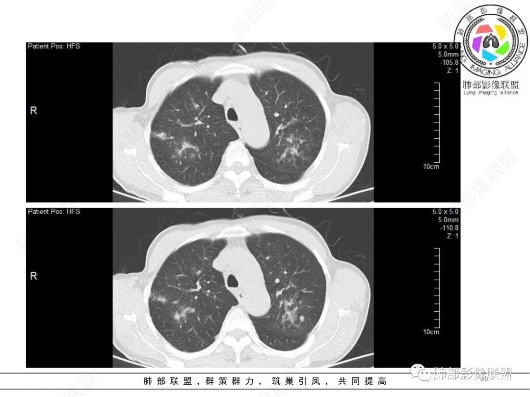
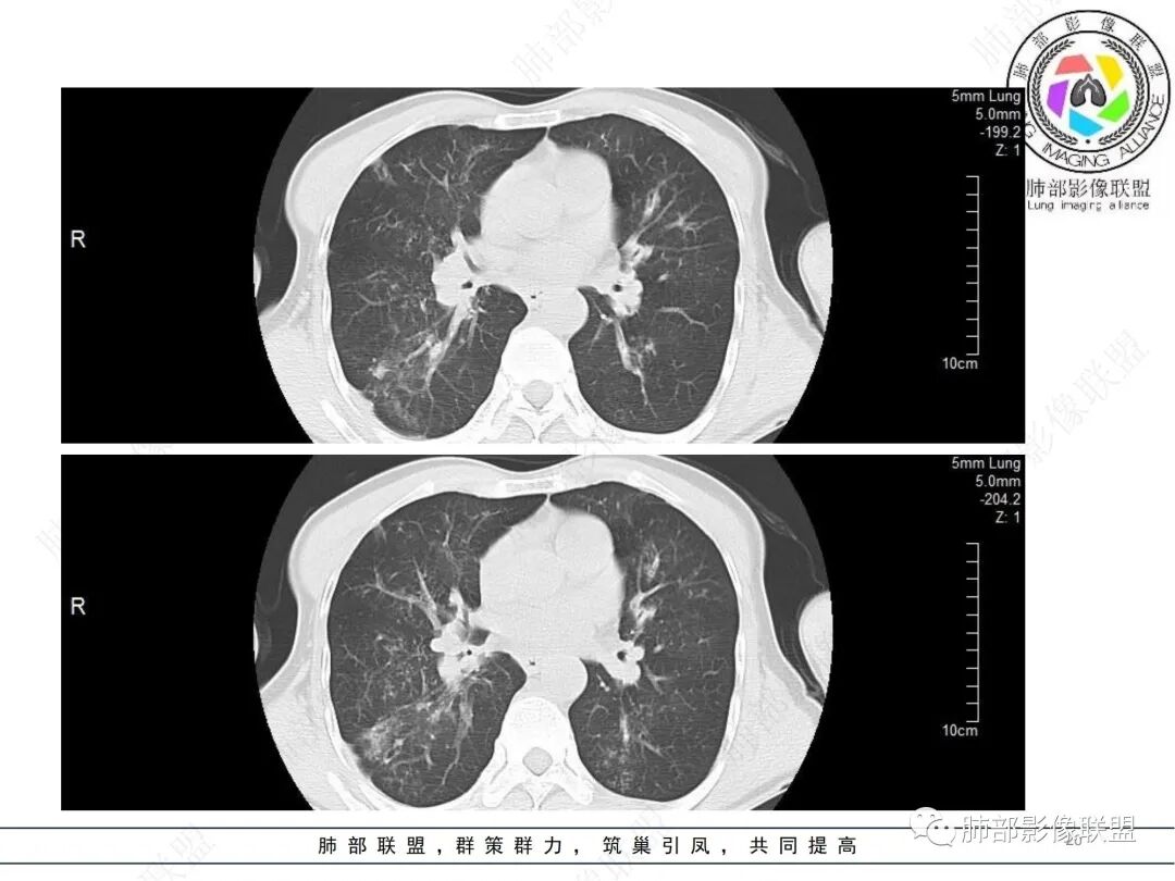
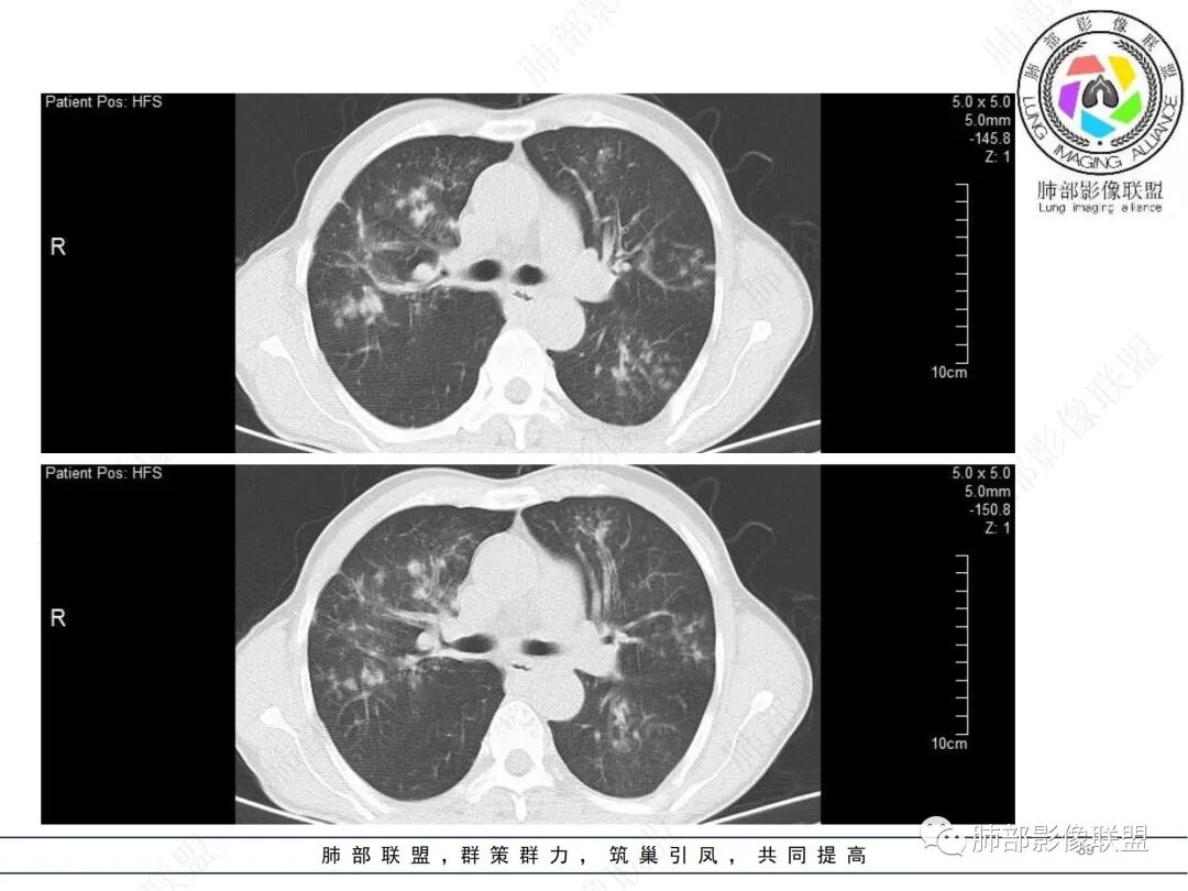
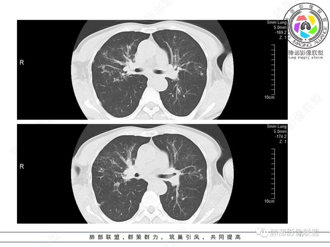
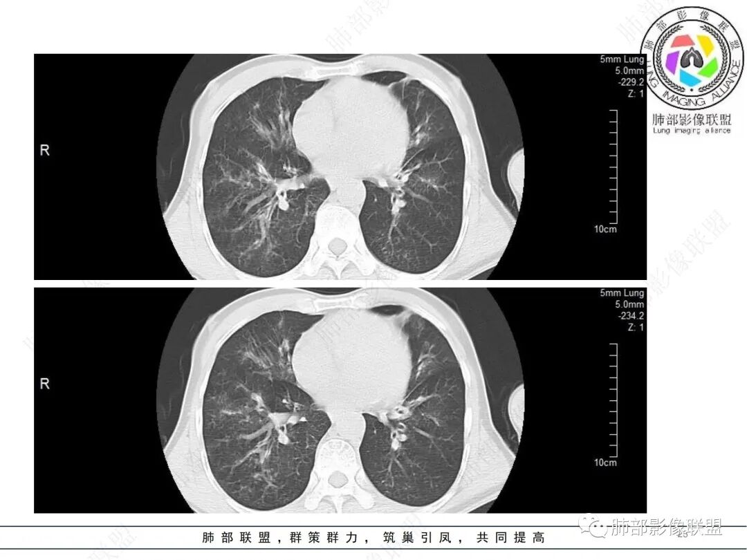
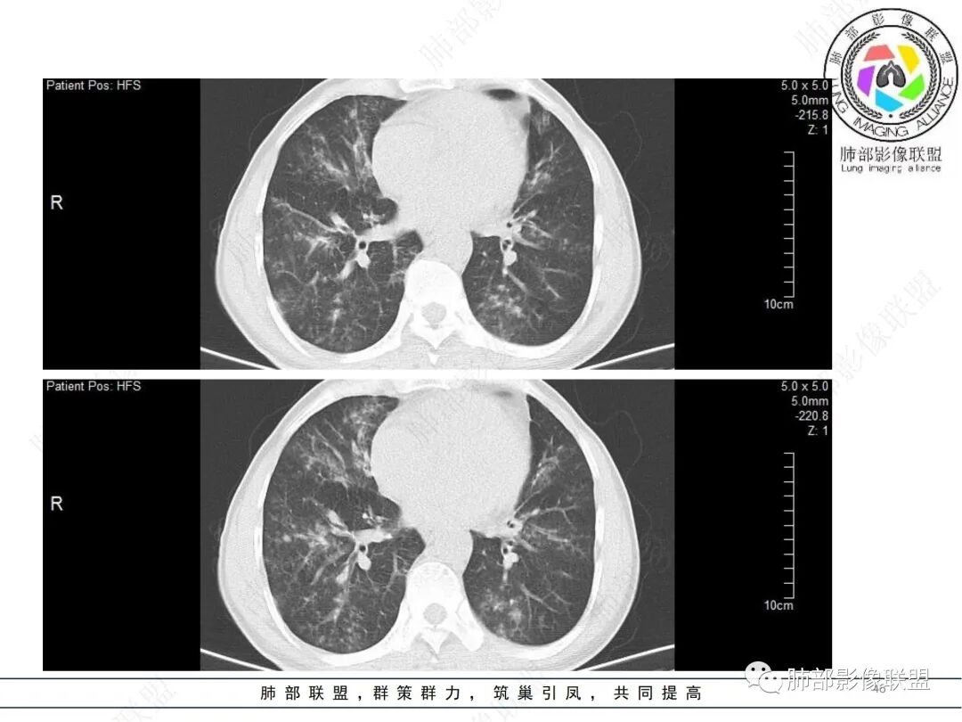
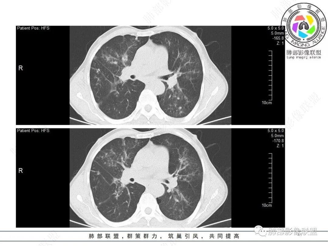
58岁男性,咳嗽胸闷3天,咳较多褐粘液痰,无发热。有2型糖尿病病史。白细胞与中性粒细胞升高。CRP升高。鳞状上皮细胞癌抗原轻度升高。结核T细胞免疫斑点实性阳性。肺炎支原体、衣原体IgG轻度升高。支气管镜显示支气管炎性改变、右肺下叶背段管腔狭窄。2.影像特点:
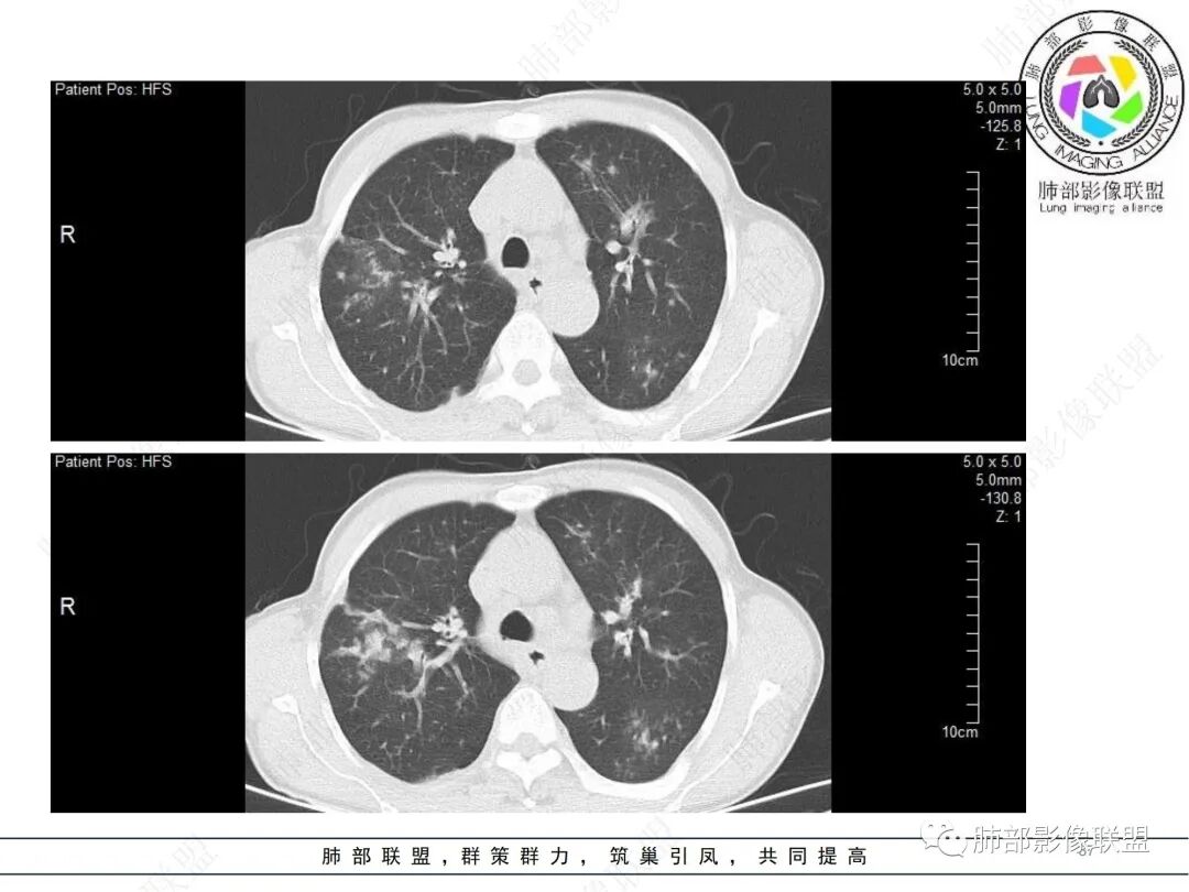
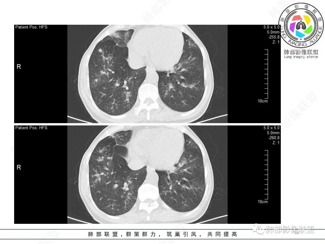
2022.6.24CT显示两肺弥漫性段、亚段支气管壁增厚(两肺各叶都累及),增厚的支气管壁外可见沿着支气管分布的渗出、实变影。另外远端肺内亦可见多发树芽影、结节影,其边界欠清晰。右肺下叶基底段局部胸膜下亦可见小斑片影,边界不清。2022.6.27CT显示两肺增厚的支气管壁外的渗出实变影明显增多、范围更广。远端肺内病灶亦增多、范围增大。部分位于胸膜下的病灶可见侧向融合趋势。3.病例分析:
中老年男性,咳嗽咳痰胸闷3天就诊,急性过程。有糖尿病基础。实验室检查炎症指标明显升高。结合影像学气道密切相关,首先考虑感染性病变。
就临床而言,患者起病急,实验室炎性指标升高明显,结合宿主因素等,会将细菌感染纳入鉴别诊断范围。
影像学病灶双肺分布,支气管广泛增厚,较少见于普通社区肺炎,而更多见于气道侵袭性曲霉病。病原学检查证实烟曲霉感染的存在。
本案之未解之处在于三天内的进展太快,实验室炎性指标太高,合并细菌感染的可能性仍有待排除。
4.气道侵袭性曲霉菌病:
常见于糖尿病、器官移植、肿瘤放化疗、血液疾病、免疫抑制剂使用、COPD、长期广谱抗生素使用等等。多有呼吸道症状明显,全身中毒症状相对不明显,如可出现喘息等。
5.鉴别诊断:
1)血道侵袭性曲霉菌病:
主要见于粒缺,严重免疫力低下病人。血液科、肿瘤科、ICU多见。影像征象有:结节+“晕征”,空气新月征,胸膜下楔形影(肺梗死)。无支气管壁增厚、无支气管扩张及树芽征。血道来源曲霉菌病的反晕征偏小,外围为主,病灶局限于一个段。而气道来源曲霉菌病的反晕征大,中内带为主,往往跨越多个段。
![]()
2)机化性肺炎:
多为亚急性起病,病情较轻。偶有急性起病者临床表现同ARDS。影像学CT表现:
90%表现气腔实变影或不规则线状、条索状影。
50%实变影为外周分布和胸膜下或位于支气管血管束周围。
气腔实变影可表现为大叶性实变影,在实变区内可见支气管充气征;实变区可出现轻度的柱状支气管扩张。
60%以上有磨玻璃样影,随机分布,通常伴有气腔实变影
50%表现为小多发结节状影(<10 mm),沿支气管血管束分布
15%表现为多发大结节状影
3)MALT:
肺MALT淋巴瘤具有以下几个特点:
①实变的出现率100%,多表现为两肺 (89%)或单肺多发,密度均匀,与邻近胸壁肌肉的密度大致相等,少见钙化(15%)。边缘磨玻璃影或晕征具有特异性,其病理学基础是肿瘤细胞对小叶间隔、肺泡壁的淋巴瘤样浸润。
②其余肺叶磨玻璃影或结节常见(67%), 多沿支气管血管束分布。
③扩张的充气支气管为其较特征性的表现,出现率约为89%,支气管管壁无破坏,支气管常扩张并达病灶的边缘,这类支气管扩张在肿瘤治疗后有时可消失。
④血管造影征是另一特点,强化的肺血管形态及走行正常,无扭曲或增粗
⑤病灶多为中度强化,部分轻度强化。
⑥肺门及纵隔淋巴结肿大少见。
⑦胸腔积液少见且多为良性,与淋巴管或静脉阻塞有关。
⑧邻近胸膜多无增厚,部分胸膜下见清晰脂肪或少许积液可能具有一定特征性。
4)GPA(肉芽肿病多血管炎):
常为双肺多发结节影、块影或实变影、磨玻璃影等,具多形性。病灶边界可清楚可模糊,数目不会太多(较少超过十个),偶尔会有单发病灶。
两厘米以上病灶易出现空洞,洞壁偏厚,单腔或多腔,腔内可有不规则实性成份结节(孤岛)、血管穿行及液平等。
可有血管束增粗、空气支气管征及支气管壁增厚。气管狭窄多位于声门下,这个女性多见。
抗菌药使用无效,病灶短至一两周内即可发生变化,可以此起彼伏,空腔病灶可以变薄。部分结节未经治疗可以在几个月内消失,不著痕迹。
临床鼻及鼻窦炎症、溃疡,尤其是鼻中隔穿孔,鼻骨破坏,病理肉芽肿性炎等有较强提示意义。普通鼻窦炎及慢性中耳乳突炎临床非常常见,须仔细询问病史排除既往早已存在的炎性改变。
部分患者因咯血被临床医师所重视。
ANCA及肾功能检查非常重要,ANCA具有90%相关性。
5)结节病:
好发女性。典型的影像学表现:双侧肺门对称性淋巴结肿大,边界清楚,密度均匀,一般无融合。可以有纵隔淋巴结肿大。病变累及支气管时,肿大的淋巴结有时可以压迫支气管引起狭窄或肺不张,四期结节病出现蜂窝肺导致的牵拉性支气管扩张。激素治疗后明显好转。
6)气道来源金黄色葡萄球菌肺炎:
与气道侵袭性曲霉菌病相比,金葡菌肺炎起病起点更高(解释为多在叶支气管就发生病变),范围相对局限、往往部分叶不受累及。支气管壁更薄,张力更高,但是范围较局限,腔内间隔少、气液平面多。支气管壁周围实变发生更快、更明显,胸膜下为主,外围大、内带小,支气管可以在远端堵塞。进展迅速,短期内出现肺气囊较有特征性。可以形成空洞,空洞内壁光滑、张力高,内多见气液平面。往往伴有胸水、脓胸、气胸。
参考课件:《侵袭性肺曲霉菌病影像分型及表现》潘军平老师
相关链接:
机化性肺炎(Organizing Pneumonia, OP)
两例女性肺黏膜相关淋巴组织淋巴瘤及相关文献复习
【每日晨读】ANCA相关性血管炎病例学习思路
编辑:谢壁樯 雷 凤
审核:徐 晓
![]()
![]()
![]()
微信群发言
那个人:
曲霉菌可能,多叶多段感染,支气管壁增厚,树芽,喘,痰多,血象高,短期复查病灶明显增加
飞鹰行动:
双肺支气管壁增厚,多发树芽及腺泡状阴影,实验室炎性指标增高,复查病灶变化明显,考虑感染性病变,曲霉?支原体?
宇宙:
两肺支气管管壁增厚伴树芽、腺泡结节及斑片磨玻璃,3天进展,考虑曲霉,鉴别铜绿
了:
糖尿病基础病,双肺多发磨玻璃影,树芽征,腺泡结节,结合白细胞总数及crp,第一考虑细菌感染,第二考虑结核。
衡妈:
中老年男性,糖尿病病史。咳嗽胸闷,白细胞CRP明显升高。两肺多叶沿支气管束小叶中心结节?树芽征,边缘模糊,并可见支气管壁增厚,三天进展明显,部分侧胸膜牵拉增厚。实验室检查T细胞阳性。考虑结核,鉴别气道侵袭性曲霉感染。
金豆:
两肺多发,气道壁增厚,树丫,腺泡结节,复查进展,纤维化少见,糖尿病,炎症,曲霉,鉴别结核,NTM。
刘丹:
双肺多发斑片影,支气管管壁增厚,三天后复查病灶增多,考虑感染,曲霉?
洪桥爱:
糖尿病基础,肺结核合并细菌性肺炎,肺克?鉴别铜绿、NTM
丽:
双肺多发结节影,支气管管壁增厚,部分见树芽征,考虑感染性病变,支原体?
月亮圆了!:
多发结节,斑片及树芽征,气管分布,支气管壁增厚,考虑感染性病变。考虑结核。支原体排除
若晗:
两肺多发斑状,点状,斑片样改变,气管分布,支气管壁增厚,支持感染性病变,NTM可能性大
王江涛:
多发小支气管壁增厚,支气管肺炎,快速进展,糖尿病基础,白细胞增高,金葡、支原体、气道侵袭曲霉
晓锁:
中老年男性,急性呼吸道病程,糖尿病病史。实验室:白细胞CRP明显升高,T细胞阳性。影像:两肺多发沿支气管分布小叶中心结节,密度较低,边缘模糊,支气管壁广泛增厚,快速进展,考虑结核,鉴别铜绿,气道侵袭性曲霉感染,支原体肺炎。
流心明智:
男,58,咳嗽、胸闷3天。糖尿病、哮喘病史。胸部CT:两肺多发树芽、结节影、GGO,小叶核心分布,密度低,边缘模糊,支气管壁多发增厚,病变快速进展,考虑:ABPA?支原体肺炎?鉴别TB/NTM、金葡、铜绿、DPB、HP等。
病 例 结 果
病例回顾分析
1.临床特点:
58岁男性,咳嗽胸闷3天,咳较多褐粘液痰,无发热。有2型糖尿病病史。白细胞与中性粒细胞升高。CRP升高。鳞状上皮细胞癌抗原轻度升高。结核T细胞免疫斑点实性阳性。肺炎支原体、衣原体IgG轻度升高。支气管镜显示支气管炎性改变、右肺下叶背段管腔狭窄。2.影像特点:
2022.6.24CT显示两肺弥漫性段、亚段支气管壁增厚(两肺各叶都累及),增厚的支气管壁外可见沿着支气管分布的渗出、实变影。另外远端肺内亦可见多发树芽影、结节影,其边界欠清晰。右肺下叶基底段局部胸膜下亦可见小斑片影,边界不清。2022.6.27CT显示两肺增厚的支气管壁外的渗出实变影明显增多、范围更广。远端肺内病灶亦增多、范围增大。部分位于胸膜下的病灶可见侧向融合趋势。3.病例分析:
中老年男性,咳嗽咳痰胸闷3天就诊,急性过程。有糖尿病基础。实验室检查炎症指标明显升高。结合影像学气道密切相关,首先考虑感染性病变。
就临床而言,患者起病急,实验室炎性指标升高明显,结合宿主因素等,会将细菌感染纳入鉴别诊断范围。
影像学病灶双肺分布,支气管广泛增厚,较少见于普通社区肺炎,而更多见于气道侵袭性曲霉病。病原学检查证实烟曲霉感染的存在。
本案之未解之处在于三天内的进展太快,实验室炎性指标太高,合并细菌感染的可能性仍有待排除。
4.气道侵袭性曲霉菌病:
常见于糖尿病、器官移植、肿瘤放化疗、血液疾病、免疫抑制剂使用、COPD、长期广谱抗生素使用等等。多有呼吸道症状明显,全身中毒症状相对不明显,如可出现喘息等。
5.鉴别诊断:
1)血道侵袭性曲霉菌病:
主要见于粒缺,严重免疫力低下病人。血液科、肿瘤科、ICU多见。影像征象有:结节+“晕征”,空气新月征,胸膜下楔形影(肺梗死)。无支气管壁增厚、无支气管扩张及树芽征。血道来源曲霉菌病的反晕征偏小,外围为主,病灶局限于一个段。而气道来源曲霉菌病的反晕征大,中内带为主,往往跨越多个段。
2)机化性肺炎:
多为亚急性起病,病情较轻。偶有急性起病者临床表现同ARDS。影像学CT表现:
90%表现气腔实变影或不规则线状、条索状影。
50%实变影为外周分布和胸膜下或位于支气管血管束周围。
气腔实变影可表现为大叶性实变影,在实变区内可见支气管充气征;实变区可出现轻度的柱状支气管扩张。
60%以上有磨玻璃样影,随机分布,通常伴有气腔实变影
50%表现为小多发结节状影(<10 mm),沿支气管血管束分布
15%表现为多发大结节状影
3)MALT:
肺MALT淋巴瘤具有以下几个特点:
①实变的出现率100%,多表现为两肺 (89%)或单肺多发,密度均匀,与邻近胸壁肌肉的密度大致相等,少见钙化(15%)。边缘磨玻璃影或晕征具有特异性,其病理学基础是肿瘤细胞对小叶间隔、肺泡壁的淋巴瘤样浸润。
②其余肺叶磨玻璃影或结节常见(67%), 多沿支气管血管束分布。
③扩张的充气支气管为其较特征性的表现,出现率约为89%,支气管管壁无破坏,支气管常扩张并达病灶的边缘,这类支气管扩张在肿瘤治疗后有时可消失。
④血管造影征是另一特点,强化的肺血管形态及走行正常,无扭曲或增粗
⑤病灶多为中度强化,部分轻度强化。
⑥肺门及纵隔淋巴结肿大少见。
⑦胸腔积液少见且多为良性,与淋巴管或静脉阻塞有关。
⑧邻近胸膜多无增厚,部分胸膜下见清晰脂肪或少许积液可能具有一定特征性。
4)GPA(肉芽肿病多血管炎):
常为双肺多发结节影、块影或实变影、磨玻璃影等,具多形性。病灶边界可清楚可模糊,数目不会太多(较少超过十个),偶尔会有单发病灶。
两厘米以上病灶易出现空洞,洞壁偏厚,单腔或多腔,腔内可有不规则实性成份结节(孤岛)、血管穿行及液平等。
可有血管束增粗、空气支气管征及支气管壁增厚。气管狭窄多位于声门下,这个女性多见。
抗菌药使用无效,病灶短至一两周内即可发生变化,可以此起彼伏,空腔病灶可以变薄。部分结节未经治疗可以在几个月内消失,不著痕迹。
临床鼻及鼻窦炎症、溃疡,尤其是鼻中隔穿孔,鼻骨破坏,病理肉芽肿性炎等有较强提示意义。普通鼻窦炎及慢性中耳乳突炎临床非常常见,须仔细询问病史排除既往早已存在的炎性改变。
部分患者因咯血被临床医师所重视。
ANCA及肾功能检查非常重要,ANCA具有90%相关性。
5)结节病:
好发女性。典型的影像学表现:双侧肺门对称性淋巴结肿大,边界清楚,密度均匀,一般无融合。可以有纵隔淋巴结肿大。病变累及支气管时,肿大的淋巴结有时可以压迫支气管引起狭窄或肺不张,四期结节病出现蜂窝肺导致的牵拉性支气管扩张。激素治疗后明显好转。
6)气道来源金黄色葡萄球菌肺炎:
与气道侵袭性曲霉菌病相比,金葡菌肺炎起病起点更高(解释为多在叶支气管就发生病变),范围相对局限、往往部分叶不受累及。支气管壁更薄,张力更高,但是范围较局限,腔内间隔少、气液平面多。支气管壁周围实变发生更快、更明显,胸膜下为主,外围大、内带小,支气管可以在远端堵塞。进展迅速,短期内出现肺气囊较有特征性。可以形成空洞,空洞内壁光滑、张力高,内多见气液平面。往往伴有胸水、脓胸、气胸。
参考课件:《侵袭性肺曲霉菌病影像分型及表现》潘军平老师
相关链接:
机化性肺炎(Organizing Pneumonia, OP)
两例女性肺黏膜相关淋巴组织淋巴瘤及相关文献复习
【每日晨读】ANCA相关性血管炎病例学习思路
编辑:谢壁樯 雷 凤
审核:徐 晓