【每日晨读】炎症还是癌症由你来辨!




精彩病例分享














精彩讨论发言

秦化君:
右肺上叶前段结节影,边缘清晰,浅分叶,部分相邻支气管扩张,周围粗条索,胸膜牵拉。先考虑炎性肉芽肿,建议增强,腺癌待排。
看图说话:
右肺结节,边缘膨隆收缩,浅分叶,内部坏死边界清晰,支气管扩张,周围粗索条。考虑炎性肉芽肿,鉴别腺癌。
丽:
右肺上叶不规则实性结节,边缘模糊多发索条,临近支气管扩张,局部胸膜牵拉,考虑炎性肉芽肿
玫:
男,52岁,吸烟史,右肺上叶结节影,边界清晰,边缘浅分叶及胸膜牵拉,病灶内少许坏死,相应层面支气管轻度扩张,肿瘤标志物增高,考虑腺癌,鉴别炎性病变。
小兜:
体检发现,右肺上叶不规则结节,边界尚清,支气管近端截断,周边索条影,胸膜牵拉,考虑恶性可能
旁观者:
中年,吸烟,无咳嗽,发热,盗汗等不适。肺结构无明显改变,右肺上叶占位性病变,周围无树芽,无清晰磨玻璃。病灶分叶毛刺,胸膜牵拉,支气管堵塞,近端支气管壁厚还是血管增粗?纵隔淋巴结不大,考虑癌可能性大
宇宙:
右肺上叶不规则结节,边缘毛糙,局部平直,局部膨隆,叶裂牵拉,周围长索条,部分支气管近端阻塞,部分扩张、管壁增厚,考虑结核,腺癌不除外
了:
中年男性,吸烟,无临床症状,胸部CT右肺上叶前段不规则实变影,支气管截断,支气管扩张,胸膜凹陷征,远端树芽征,考虑与气道关系密切,综合考虑肿瘤。
?????天涯?????:
52岁男,吸烟史,体检发现,实性结节,边缘有分叶、毛刺、棘突、血管集束、胸膜牵拉、支气管截断,考虑恶性,鳞或腺癌?鉴别肉芽肿性炎。
李丰章:
右肺上叶不规则实性结节,边缘模糊多发索条,临近支气管扩张并增厚,考虑结核性肉芽肿可能性大,腺癌待排。
良孑:
右肺上叶结节,见毛刺,分叶,胸膜凹陷及支气管截断,血管聚扰。纵隔窗结节内可见低密度坏死,考虑腺癌或腺鳞癌
蓝天白云:
结节边缘平直,支气管灶内截断,跨裂,边缘毛燥,考虑肉芽肿性炎,结核,鉴别腺癌
流心明智:
男,52,吸烟史。右肺上叶前段实性结节影,边缘毛糙,平直、膨隆都有,附近卫星灶,相邻支气管壁增厚、管腔有扩张,胸膜、叶裂牵拉。考虑炎性肉芽肿,TB?PC?鉴别Ca。
放射线:
右肺上叶结节,有分叶毛刺,部分边缘平直,周围可见多发小斑片状影,胸膜牵拉凹陷,近侧支气管壁增厚,考虑结核,鉴别腺癌
穿越七海的风:
右肺上叶结节,边缘膨隆,胸膜牵拉,支气管扩张后截断,考虑恶性
张延军:
右肺上叶前段结节有些散,周围不清且散在树芽及斑片状高密度影,界不清,炎性肉芽肿,结核?建议强化除外腺癌
衡妈:
中老年男性,右肺上叶实性结节,边缘大部分膨隆,部分边有平直感,周围索条状影牵拉,周围少许树芽,邻近侧胸膜牵拉凹陷,近端支气管管壁增厚。考虑慢性炎性肉芽肿,结核?建议增强扫描,鉴别腺癌。



采莲:
中年男性,查体发现,右肺上叶前段结节,边缘不规整,周围有小结节影,近端支气管扩张,有胸膜牵拉,考虑炎性肉芽肿,鉴别腺癌。
风儿:
右肺上叶结节,边缘略模糊,长软毛刺,有胸膜牵拉,近侧支气管截断处圆钝,前段支气管壁局部增厚,结节周围散在小斑片,考虑结核
我只是邓较瘦:
右肺上叶前段结节,周围卫星灶、条索、胸膜牵拉,先考虑炎性肉芽肿,tb?有分叶,有支气管截断,坏死边界较清,周围型鳞癌、腺癌均不除外。
放射小白:
中年男性,吸烟病史,右肺中叶不规则结节,边缘见长毛刺,周围可见少许索条及小片影,支气管疑似截断,周围胸膜牵拉,常规还是考虑炎性肉芽肿性病变,鉴别肺癌,腺癌/鳞癌,结合增强CT检查。
许慧良:
右肺上叶不规则密度增高影,边界不清晰,整体收缩感,周边磨玻璃影不明显,周边有散在索条影,支气管似乎有截断,支气管进入病灶前有管壁不规则增厚,整体考虑炎性病变,鉴别腺癌、鳞癌
知足&长乐:
中年男性,吸烟病史,右肺中叶不规则结节,有收缩,有膨隆,边缘有长毛刺,也有短细毛刺,支气管似进入后中断。良恶性征象都有,考虑炎性肉芽肿(结核),鉴别腺癌。
谢加平:
右肺上叶前段胸膜下斑块实变,边界清楚,有平直征,周围长柔毛刺(纤维化明显)叶平叶间胸膜牵拉,周围见小树丫影,病灶与右肺门侧支气管有轻微扭曲征,支持慢性肉芽肿性炎。
尘缘:




所以支持炎性肉芽肿,结核可能大,鉴别隐球。

病理结果



南边分析复盘












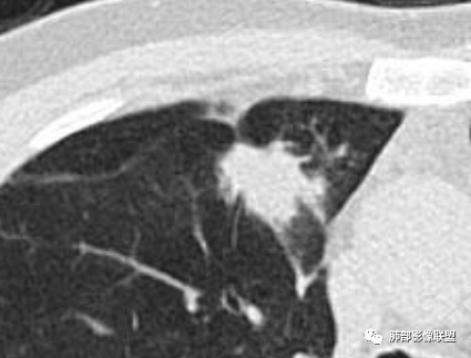
本例回顾


1.临床特点:52岁男性,体检发现肺结节。有吸烟史。非小细胞肺癌相关抗原与神经元烯醇化酶轻度升高。2.影像特点:右肺上叶前段可见不规则结节影,整体膨隆,可见浅分叶,周围局部可见边界清楚的磨玻璃影。可见血管集束征及脐凹征,临近叶间胸膜受牵拉凹陷,局部支气管到达病灶边缘后显示截断。3.病例小结:中老年吸烟男性,右肺上叶前段不规则结节,膨胀感较明显,收缩力强,支气管截断,加上边界清楚的磨玻璃影。符合浸润性腺癌表现。
4.相关知识:浸润性肺腺癌分为:附壁状、腺泡状、乳头状、微乳头状、实体型,较少见的生长模式包括浸润性黏液型、胶样、肠型和胎儿型。腺癌影像表现为磨玻璃影、部分实性结节、实性结节或实变。
普通型肺腺癌有哪些CT特点?
1.周围型:指从组织学上分析,起源于周围肺泡上皮及末梢细支气管上皮
2.有附壁生长的成分(GGO)。
3.空泡征与假大空。
4.“月牙征”与“L”型缺口:多由于小叶间隔阻挡所致。
5.具有收缩力表现:胸膜牵拉凹陷、兔耳征、毛刺征、纠集征等。
6.支气管充气征与支气管牵张扭曲。
7.分叶征。
8.膨胀边缘与胸膜处锐角。
9.周围模糊影:小叶间隔旁淋巴水肿所致。
10.血管穿行特点:对三管的破坏迟于其他癌。
11.腺癌播散特点:胸膜、淋巴道、血道。
12.肺泡塌陷特点:由于早期腺癌肿瘤组织退变所致。


相关链接
【每日晨读】腺癌?结核?魔神之争
【肺部影像系列】 这样的腺癌防不胜防
肺结节CT及病理诊断进阶班第6课《普通肺腺癌CT特征的病理解释》王兆宇老师

编辑:杨新娟    雷凤
审核:徐  晓



到顶部