【每日晨读】三年逐渐增大的混合磨玻璃结节,真相是什么?



01
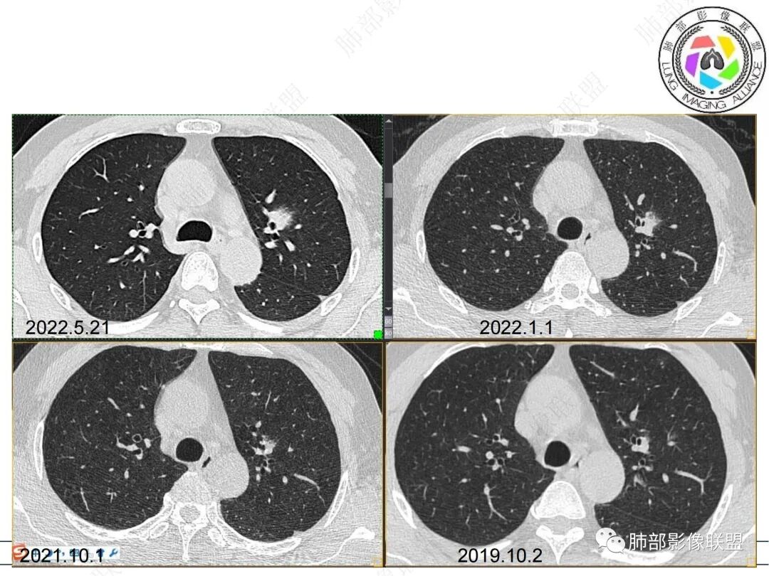
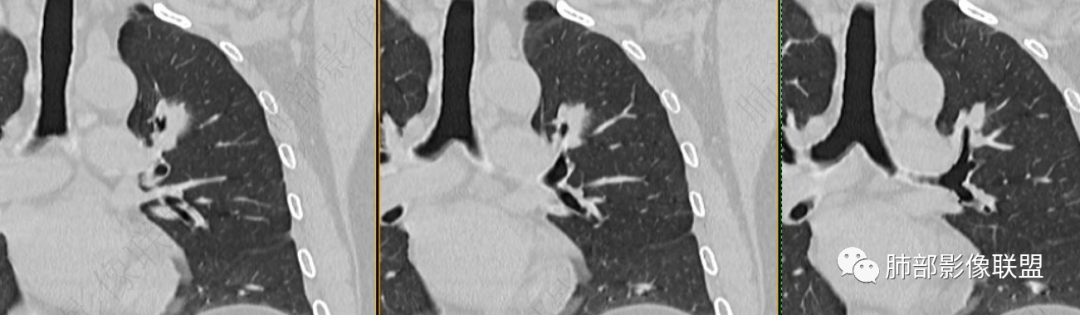
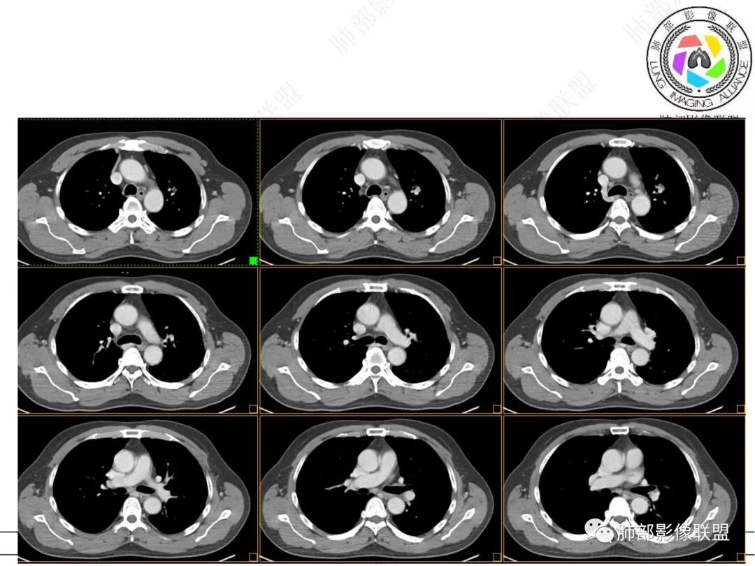
病例资料














02
微信群讨论

放射小白:
男性,肺结节3年,发现逐渐增大,影像表现,左肺舌段结节,边缘可见磨玻璃密度影,内部走形下舌段支气管变窄,增强呈持续强化,首先考虑肺腺癌,鉴别炎性肉芽肿,真菌/隐球菌。
紫气东来:
考虑腺癌鉴别肉芽肿
飞鹰行动:
中老年男性,发现结节,影像表现,左肺上叶结节,实性部分有膨胀性生长,边缘可见磨玻璃影,似清晰似不清晰,病灶与支气管关系密切,部分支气管似狭窄及僵硬,增强病灶强化明显,考虑腺癌(粘液性腺癌)鉴别炎性肉芽肿。
金豆:
类癌,鉴别腺癌。
王江涛:
实性结节边缘伴晕,晕边界模糊,缺乏膨胀和收缩力,但复查增大,高强化。考虑1、炎性肉芽肿,隐球。2、肿瘤,淋巴上皮瘤样癌,腺癌。
秦化君:
左肺上叶尖段支气管旁结节伴磨玻璃影,磨玻璃影边缘模糊,支气管走形正常,病变无明显分叶及毛刺,收缩不明显,增强呈延迟高强化。先考虑炎性肉芽肿。肿瘤待排。
丽:
中老年男性,左肺上叶结节,边缘模糊,与临近支气管联系紧密,无明显阻塞,增强后明显强化,周围可见血管影,考虑良性,炎性肉芽肿病变,鉴别腺癌
小兜:
考虑恶性,腺癌可能
薏米:
考虑腺癌,鉴别肉芽肿性炎症
宇宙:
左肺上叶支气管旁结节伴磨玻璃影,磨玻璃边缘略模糊,沿支气管走行,明显不均匀延迟强化,3年逐渐增大,考虑腺癌,鉴别淋巴增殖病变,炎性肉芽肿
采莲:
中年男性,查体发现,左肺上叶靠近支气管旁实性结节,周围有磨玻璃影,边界清,密度高,明显强化,三年缓慢进展,考虑腺癌,鉴别类癌或炎性肉芽肿。
伟:
首先考虑恶性占位,腺癌。
学君:
考虑恶性,腺癌可能
弹指之间:
中年男性,体检发现左上肺结节,影像:左上肺欠规则结节+磨玻璃(边界欠清),沿支气管爬行生长,支气管无受累,增强后明显渐进性强化,3年随访增大,考虑低度恶性肿瘤,如淋巴增殖性病变,如淋巴瘤样肉芽肿可能。
月亮圆了!:
肺结节3年,逐渐增大,左上肺结节,边缘可见磨玻璃密度影,支气管变窄,增强呈持续强化,首先考虑肺腺癌,鉴别炎性肉芽肿
良孑:
左上叶结节,结节周围GGO边界模糊,短软毛刺,远端见支气管复出,纵隔窗边界平直,显著强化,良性征象较多,病程三年,综合考虑支持炎性肉芽肿,鉴别腺癌
放射线:
左肺上叶尖后段结节,围绕支气管生长,周围磨玻璃影,边缘似清不清的感觉,三年病变明显增大,增强呈延迟高强化。考虑腺癌,高强化的腺癌不少见,鉴别炎性肉芽肿
二妹柠檬??????:
晨读考虑炎性肉芽肿,鉴别腺癌
修*:
腺癌?
lily:
中年男性,体检发现左肺上叶结节,三年逐渐长大,CT见左肺上叶部分实性结节,膨胀性生长,边缘边界清晰磨玻璃影,部分支气管狭窄,增强病灶强化明显。考虑恶性,腺癌可能。
若晗:
支持腺癌
?????天涯?????:
中老年男,三年结节渐增大,边缘不太清磨玻璃密度影,明显强化,分叶、毛刺、棘突,总的恶性考虑先,腺癌鉴别肉芽肿性炎。
许慧良:
考虑浸润性腺癌
衡妈:
中老年男性,左肺上叶中轴区实性结节及周围磨玻璃影,磨玻璃边界似清非清,关键点2019.10-2021.10-2022.05结节持续增大,增强后明显强化。考虑恶性结节可能大,腺癌(黏液腺癌)?鉴别炎性结节。
张世晓:
考虑腺癌
食客:
支持腺癌
蓝天白云:
结节逐渐增大并支气管闭塞,边缘磨玻璃,明显强化,考虑腺癌,类癌
洪桥爱:
发展这么慢,强化厉害,都接近血管了,与支气管无明确关系,考虑肺透明细胞糖瘤。
尘缘:
@钟学兰-苏泗洪第一人医放射?@日照结防所冯连彩―义工?只看到你们两个鉴别类癌了。
蓝天白云:
@达州红十字医院 尹发友?尹院长,开始的时候支气管变窄的,后面就闭塞了,可否说明是冰山呢
邢瑞欣:
老年男性,结节逐渐增大,密度增高,边界清,强化明显,考虑腺癌鉴别炎性肉芽肿
尘缘:
@钟学兰-苏泗洪第一人医放射?除了周围有GGO不是太支持类癌外,其他挺支持的,
穿越七海的风:
左肺上叶尖后段支气管旁结节,逐渐增大,边界清晰,强化明显,未见侵犯支气管血管,考虑低度恶性类癌?
王金宝:
结节随访三年增大,考虑腺癌
尘缘:
典型类癌,鉴别腺癌。
医然为伱つ:
强化明显,类癌腺癌都可以,跟尹院类癌放前面
?????天涯?????:
再看向支气管腔内,?类癌
知足&长乐:
考虑 腺癌
尘缘:
影像表现,结节主体在腔外,局部逐渐累及支气管至堵塞,而且三年逐渐增大,肺门及纵隔未见明显肿大淋巴结,腺癌一般不是这种变化
蓝天白云:
看有磨玻璃影,把腺癌放前面了
谢加平:
左肺上叶前段实性结节,沿支气管血管束生长,整体形态近三角形,边缘模糊,累及前段气管主支管壁增厚,管腔通畅,前后复查不足两年病灶倍增明显,肿瘤指标阴性,支持炎性肉芽肿,2019年10月2日首诊图,主体结节外周似有小卫星灶分布,需薄层确认,支气管镜肺泡灌洗检查。
了:
磨玻璃边界清楚,腺癌需要首先考虑
Coke with ice:
结节型黏液腺?
doctor:
肺部影像联盟晨读病例考虑腺癌,鉴别肉芽肿。
摘星空竹子:
肺部影像联盟晨读病例
考虑腺癌,鉴别肉芽肿性炎。
张小林:
首考腺癌,鉴别诊断肉芽肿类病变。
peek_knight:
左上肺结节,渐进增大,边缘部分模糊,考虑腺癌可能,鉴别肉芽肿性病变,隐?
张钰(无锡九院呼吸科):
腺癌
段建民:
结节松散,内部支气管,考虑炎症结节
位移:
肺结节逐渐增大,左肺上叶尖段支气管旁结节伴晕征,磨玻璃影边缘模糊,支气管形态可,病变收缩力不强,增强呈延迟明显强化。首先考虑炎性肉芽肿,鉴别腺癌。
杏林使者:
支持浸润型腺癌。
361度:
中年男性,无明显不适,左肺上叶前段支气管周围结节,复查逐渐增大,部分膨隆,边缘磨玻璃影内血管影增粗,复查亚段支气管阻塞,不均匀强化,考虑腺癌。
枷黎:
支持炎性肉芽肿,鉴别腺癌
缘:
左肺上叶结节灶,形态不规则,周围磨玻璃影,复查明显增大,增强扫描呈中-高度强化。综合考虑恶性,腺癌可能大!鉴别炎性肉芽肿。
Kirin 9000:
考虑腺癌
若小虞:
浸润型腺癌
尘缘:
恶性:典型类癌,鉴别腺癌。
黄精燕:
考虑腺癌
     南边老师分析
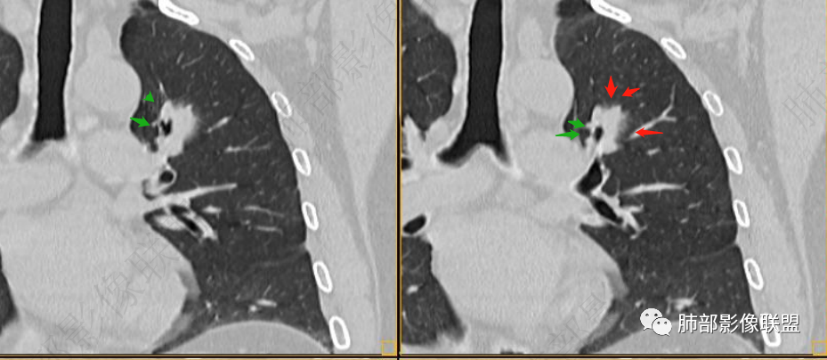
南边:
不是腔内的
这个病例很多顾虑,很多地方我没看清楚
我标示一下,说一下个人的想法
1、病史上看:

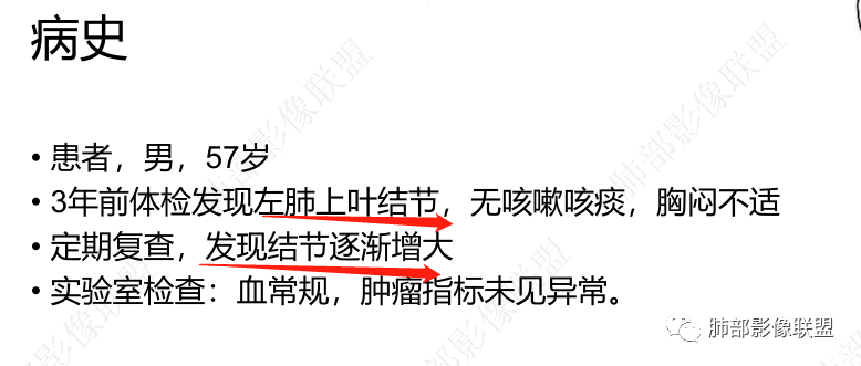
57岁,属于高危人士;病灶3年逐步增大,肿瘤按理是要考虑的

初始病灶应该是这里

病灶朝前、外侧进展

病灶包括两部分

1、实性2、周围GGO
可惜没给前片连续的图
目前看支气管通畅



实性部分强化明显,边缘平直

问题是腺癌,这样强化就不太踏实
不典型类癌我不熟悉
按理这区域类癌常见于中央型,这个明显未见中央型肺癌的特点
psp?
与支气管关系不密切,是否要考虑良性?
3年进展是否太快,收缩似乎强了一些
炎性?按理不好说,GGO一直存在
隐球菌之类的病灶倒是可以
这区域罕见
炎性肌母?
没看到一锤定音的特点
腺癌可以,但是也有不踏实的点

03
病理结果

04
病例回顾
1、临床:57岁男性,3年逐步增大。孤立病灶持续三年原地坐大,符合肿瘤性病变,恶性程度不高或者早期进展缓慢。良性肿瘤常多年静止或进展极其缓慢。炎性病灶“星火”可以燎原,临床表现也会逐步加重。尽管继发性肺结核可以相对惰性,但病灶强化不明显,多结节、多卫星、多新旧不等,相对清楚硬朗。
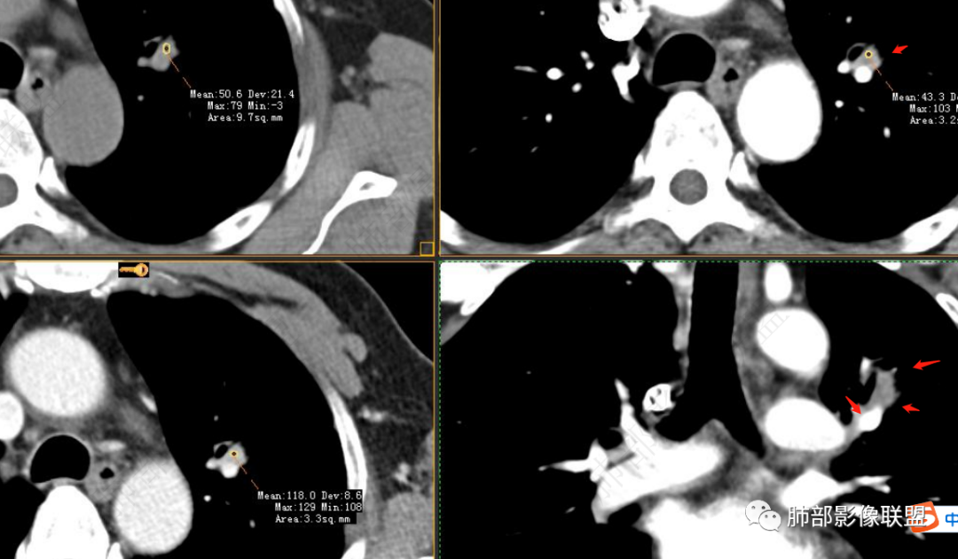
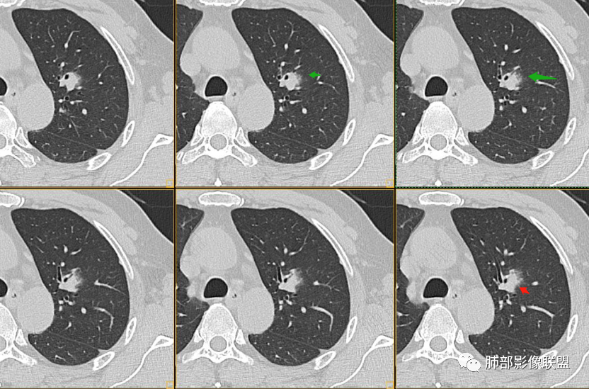
2、病灶以实性密度为主,前、外侧蔓延,GGO部分边界清楚,部分欠清

支气管未见受明显侵犯,未见阻塞,壁增厚,狭窄或扩张。




软组织+重建;病灶实性部分不是类圆形,密度相对均匀柔和。
肺门区病灶与支气管关系不密切,强化显著、磨玻璃晕等等容易想到的是肺腺癌。而不首先考虑与支气管密切相关恶性肿瘤,如鳞癌、类癌、粘液表皮样癌等等。
  粘膜相关淋巴瘤(MALT)确实是符合的,但确实为我们遗忘!
其他需要见别的还有:
1、良性肿瘤——PSP,符合点实性部分强化明显,伴出血,周围长期GGO。不符合点:占位效应不够,对附近支气管无明显推移,整体形态非类圆形。生长太快。此外病灶的GGO,在前外,内侧没有,应该周围都有,不符合。
2、特殊炎症:隐球菌,支持点结节,逐步增大,周围晕,边缘稍收缩;不支持点:位置偏内侧,支气管与其无关;病灶存续时间太过漫长,未形成群落。
3、结核:强化,周围晕,而非树芽征,不支持。
4、粘液腺癌:病灶强化太明显,未见支气管播散。
小结:
1、连续3年观察,病灶逐步增大,符合惰性恶性肿瘤。2、支气管壁增厚,腔内内壁无变化——病灶长轴沿支气管周围蔓延;朝外走,内侧没有,提示病灶间质为主,与支气管无关。
3、GGO长期存在,朝外蔓延,支持恶性特点。

支持淋巴瘤的关键点:1、间质为主;2、与支气管无关;3、边缘GGO的长期存在支持恶性

因为与支气管无关不支持腺癌,还是要警惕淋巴瘤。
   
    感谢南边老师提供支持和帮助!
关于黏膜相关淋巴组织(MALT)淋巴瘤
  黏膜相关淋巴组织(Mucosa associated lymphoid tissue, MALT)淋巴瘤是来源于黏膜相关淋巴 组织边缘带的低度恶性非霍奇金B细胞淋巴瘤。肺MALT淋巴瘤较为罕见,约占淋巴瘤的0.14%~1%[21,易被误诊为肺炎或肺癌。
     
    MALT淋巴瘤这一概念最早由Isaacson和 Wright等于1983年提出,其可发生全身具有黏膜的器官或组织,最常见于胃肠道,其次为肺(15%)组织,病因不明,目前多认为与慢性感染、吸烟或自身免疫性疾病有关。肺MALT淋巴瘤是较为罕见的低度恶性肿瘤,多见于50-70岁,男女发病率无明显差异,或男性略多于女性。
   
  肺MALT淋巴瘤影像表现为实变、结节及磨玻璃影,其中实变是其特点,胸膜下或支气管血管束节段性分布具有特征性,跨叶征较常见,这可能与肿瘤细胞进入血循环后往往又回到上皮黏膜部位,它们从一处黏膜到另一处黏膜,但不会到外周淋巴组织等有关。国外多名学者的影像-病理研究报道认为其病理学基础是由于肿瘤细胞沿支气管血管束周围 间质及胸膜浸润生长,形成小叶间隔增厚、支气管血 管束增粗等间质性改变,进一步浸润肺泡壁、充填肺泡腔。
  肺MALT淋巴瘤具有以下几 个特点:
①实变的出现率100%,多表现为两肺 (89%)或单肺多发,密度均匀,与邻近胸壁肌肉的密度大致相等,少见钙化(15%),这与病灶内血管保持完整,血供丰富,且肿瘤生长缓慢,对缺氧耐受好,不易坏死有关。边缘磨玻璃影或晕征具有特异性,其病理学基础是肿瘤细胞对小叶间隔、肺泡壁的淋巴瘤样浸润;
②其余肺叶磨玻璃影或结节常见(67%), 多沿支气管血管束分布;
③扩张的充气支气管为其较特征性的表现,出现率约为89%,支气管管壁无破坏,支气管常扩张并达病灶的边缘,这与炎症性肺癌明显不同,其病理学基础是肿瘤起源于肺间质,肿瘤细胞沿着脏器解剖结构生长,周围增生的结缔组织牵拉导致支气管扩张,因而这类支气管扩张在肿瘤治疗后有时可消失;
④血管造影征是另一特 点,强化的肺血管形态及走行正常,无扭曲或增粗,其病理学基础为肿瘤细胞沿间质增生浸润,不破坏血管或支气管,病灶内肺支架结构完整,本研究发现率为75%;
⑤病灶多为中度强化,部分轻度强化;
⑥肺门及纵隔淋巴结肿大少见;
⑦胸腔积液少见且多为良性,与淋巴管或静脉阻塞有关,本组出现率约 26%;
⑧邻近胸膜多无增厚,部分胸膜下见清晰脂肪或少许积液可能具有一定特征性,既往国内外研究尚未报道此征象,本文认为其病理学基础可能为肿瘤细胞生长缓慢,多为间质淋巴瘤样浸润而不破坏脏器解剖结构,肺泡塌陷及周围纤维组织增生,可能致病灶牵拉邻近胸膜有关,这不同于文献⑫报道的机化性肺炎致邻近胸膜多条状水肿、增厚,此征象有助于二者的鉴别。
  肺MALT淋巴瘤需要与大叶性肺炎、肺结核、肺癌及继发性淋巴瘤等鉴别。
1.大叶性肺炎多有高热症状,CT多表现为单个肺叶实变影,很少跨叶分布,充气支气管管径及形态正常。
2.肺结核多有低热、盗汗症状,多发生于两肺上叶尖段及下叶背 段,多可见长毛刺、钙化或空洞,周围常见卫星灶,结核菌素试验阳性。
3.肺炎型肺癌临床症状常较轻,部分因含量黏液而密度偏低,充气支气管可呈扭曲不规则狭窄、中断。肺癌CT表现为肺部肿块,可有分叶、毛刺征、空泡征、血管集束征及胸膜凹陷征,肿块可有支气管中断、闭塞,可伴有肺门及纵隔淋巴结肿大。
4.继发性淋巴瘤有肺外淋巴瘤的表现,除肺内病变外,常有肺门及纵隔淋巴结肿大。
  总之,肺MALT淋巴瘤的CT.PET/CT表现有一定特征性,结合其抗炎效果不佳及缓慢进展的病史,应考虑到肺MALT并及时行经皮肺穿刺或胸腔镜活检,依靠病理学来确诊。
文献来源
《肺黏膜相关淋巴组织淋巴瘤的CT.PET/CT表现及预后随访》
雷强,李新春,万齐,邹乔,余煜栋,包盈莹,王宇泽,梁结宜
[1] Li H, Wang T, Wei X, et al. Marginal zone B-cell lymphoma of the pulmonary mucosa—associated lymphoid tissue: A case report [J]. Oncol Lett, 2015, 10(3): 1731.
[2] Borie R, Wislez M, Thabut G, et al. Clinical characteristics and
prognostic factors of pulmonary MALT lymphoma[J]. Eur Respiratory J, 2009, 34(6): 1408-1416.,
[3] 张卫东,关玉宝,李传行,等.肺黏膜相关淋巴组织淋巴瘤的CT诊 断[J].中华放射学杂志,2010,44(12):1294-1296.
相关链接
两例女性肺黏膜相关淋巴组织淋巴瘤及相关文献复习
编辑:王  鑫  雷  凤
审核:徐  晓



到顶部