【每日晨读】3岁患儿发现含脂肪肿物,您一定会诊断!



每日晨读
肺部影像联盟

PICTURE
对别人要求松一点,就不会总失望。对自己要求严一点,就不会总沮丧。
Relax your demands on others, and youwon't always be disappointed.Be strictwith yourself, and you won't always be depressed.
Part.01
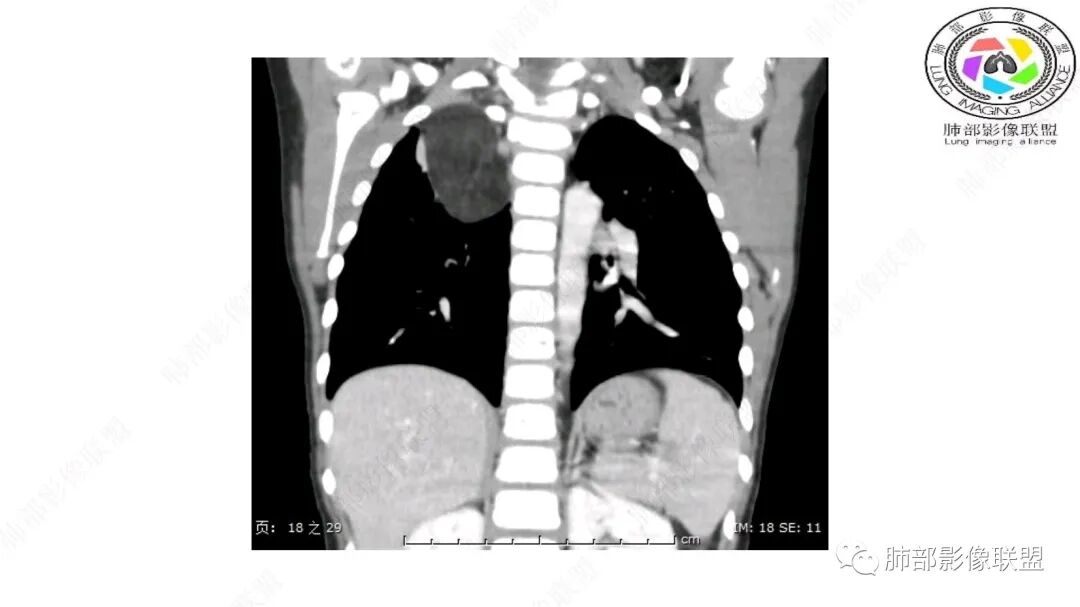
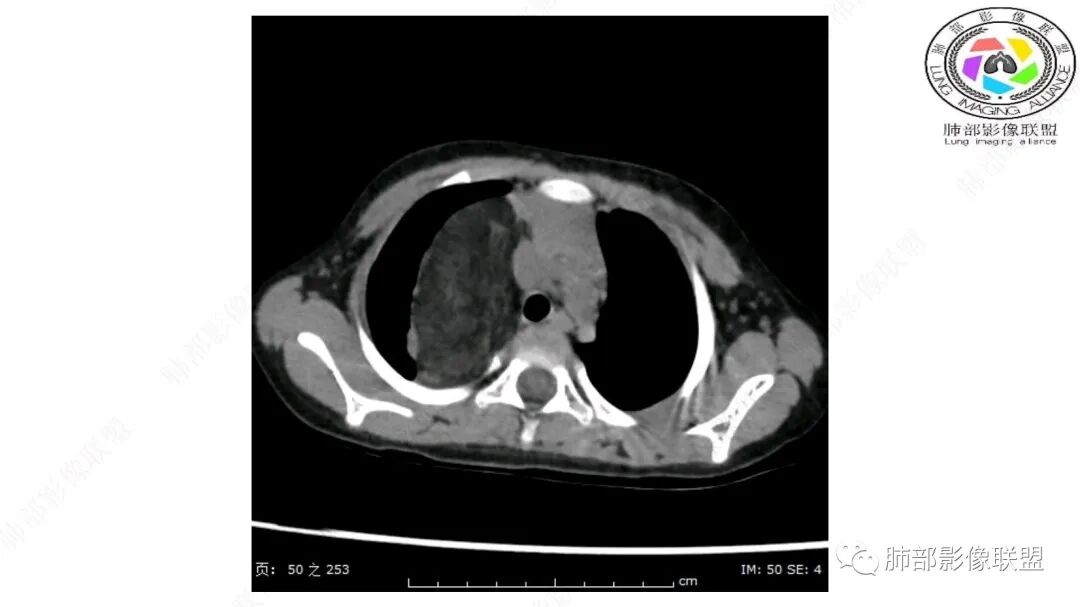
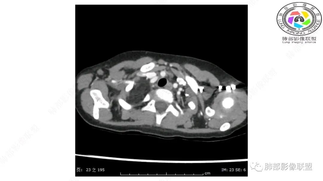
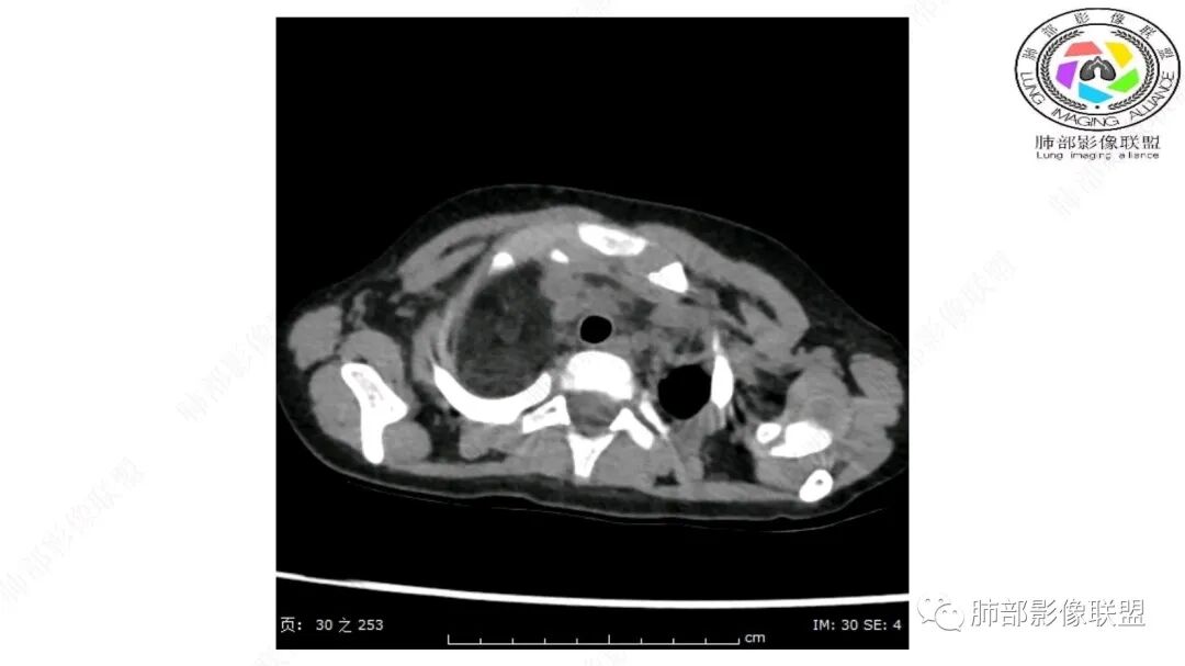
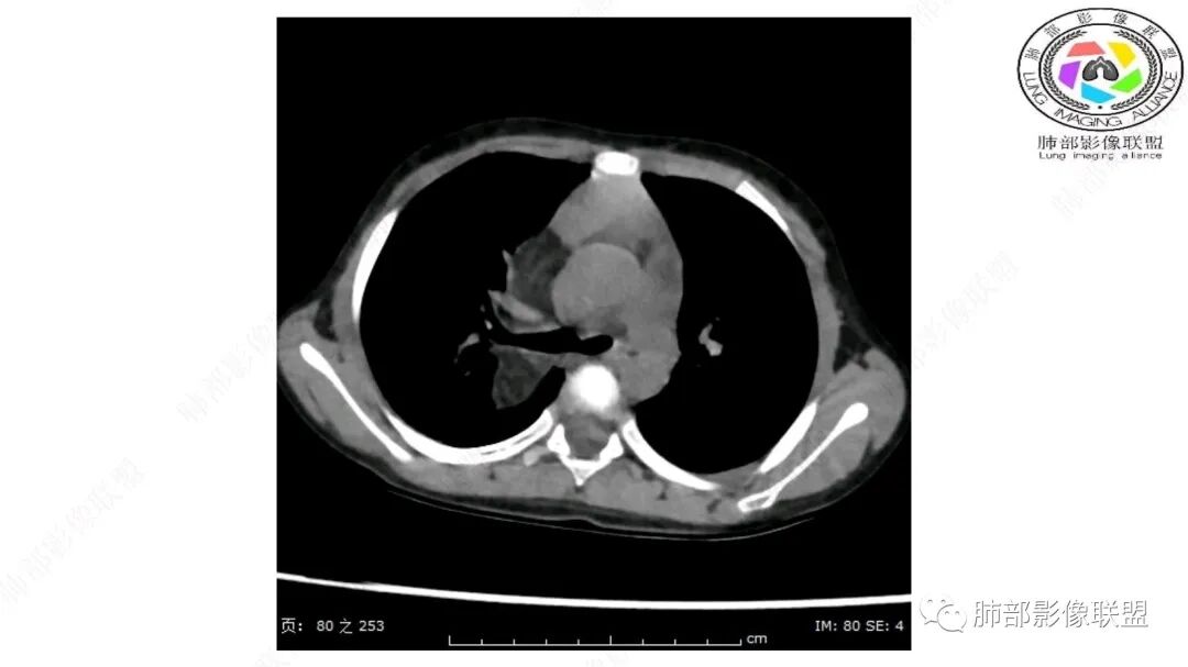
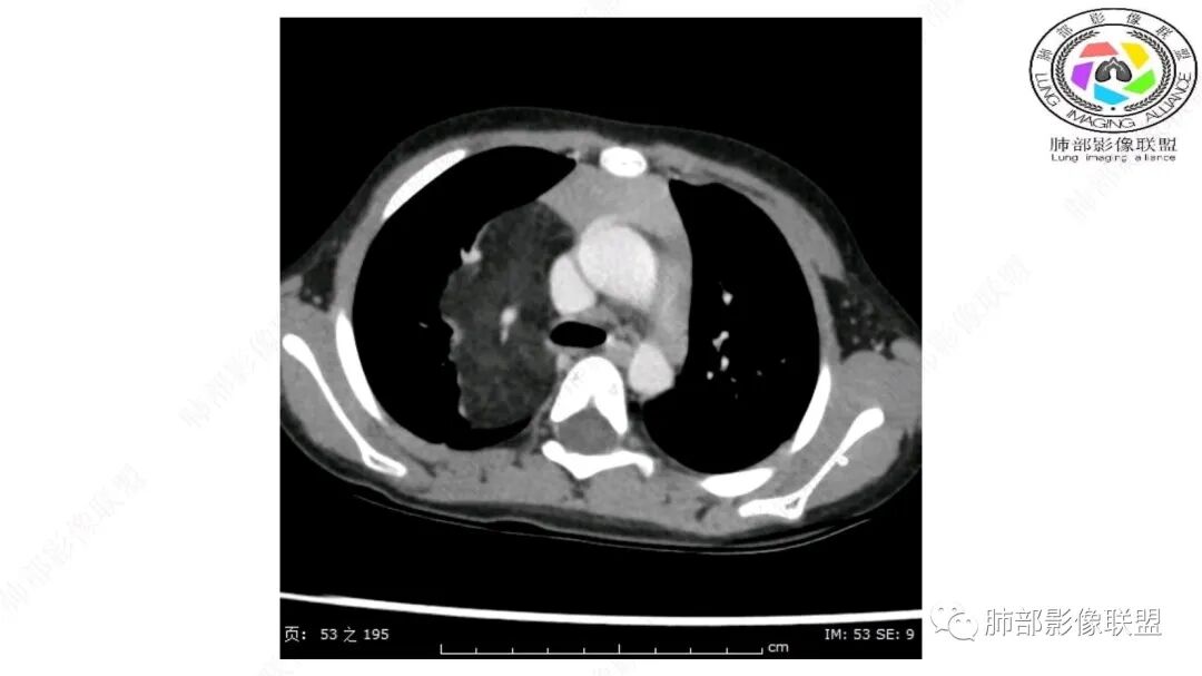
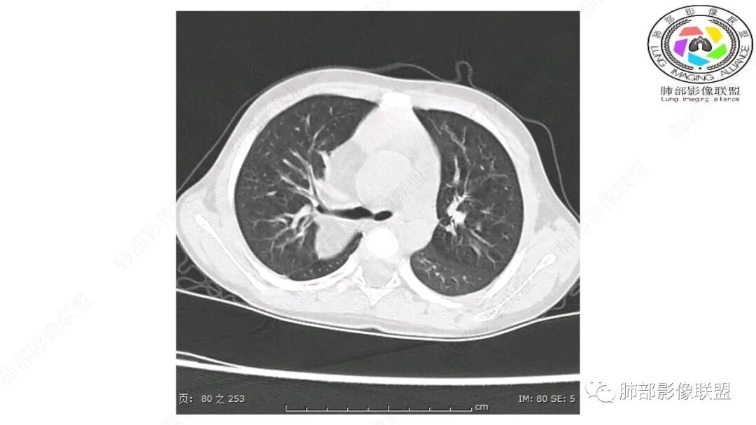
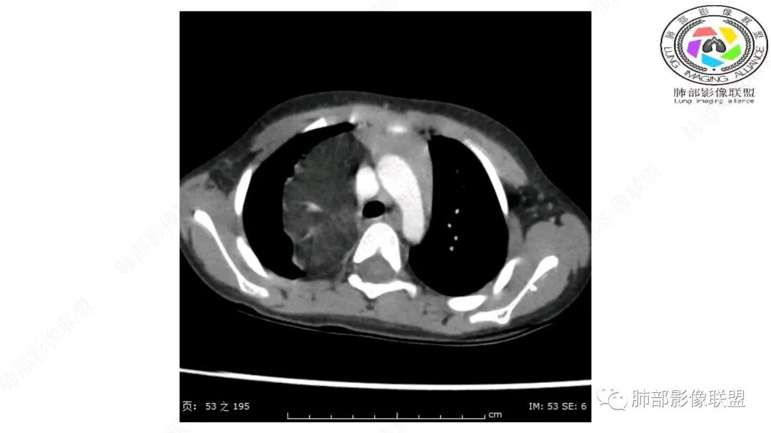
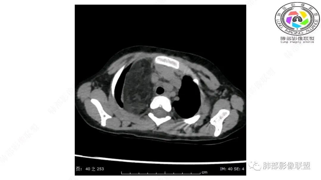
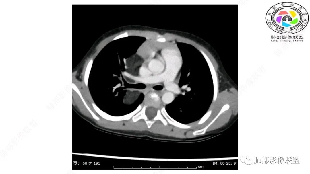
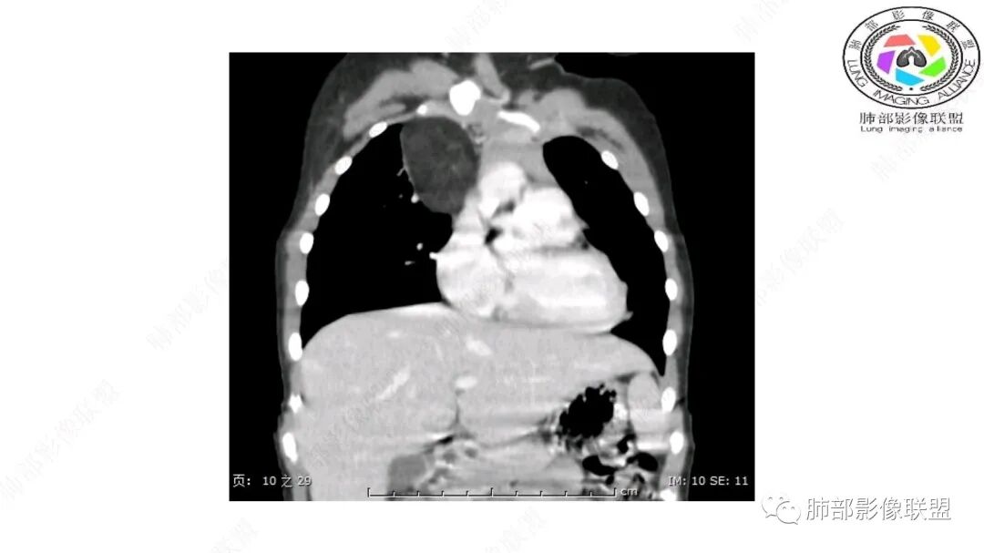
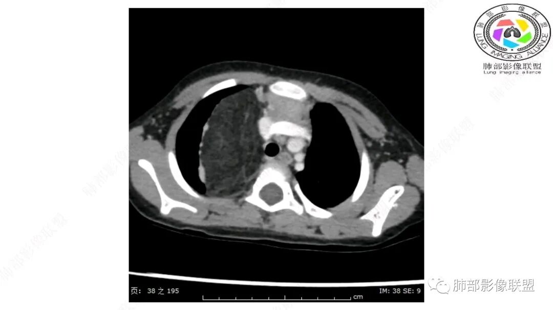
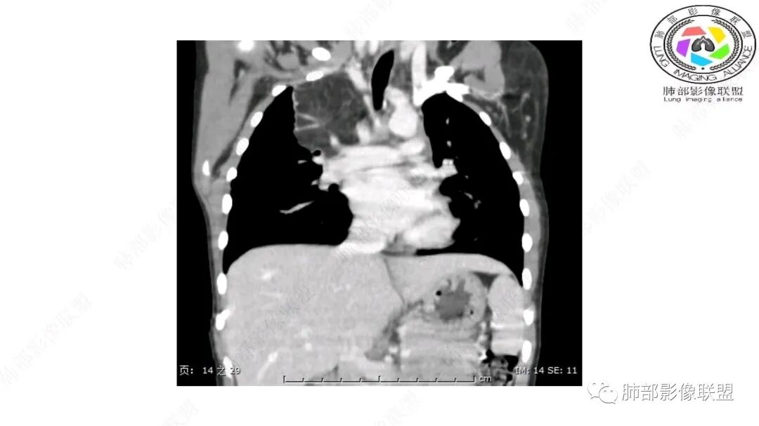
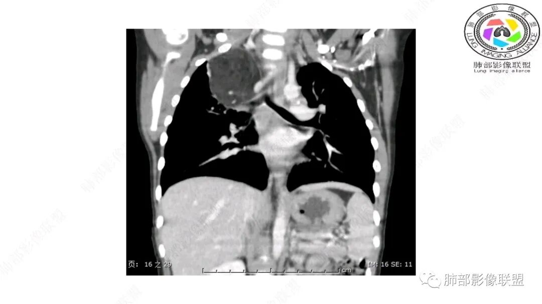
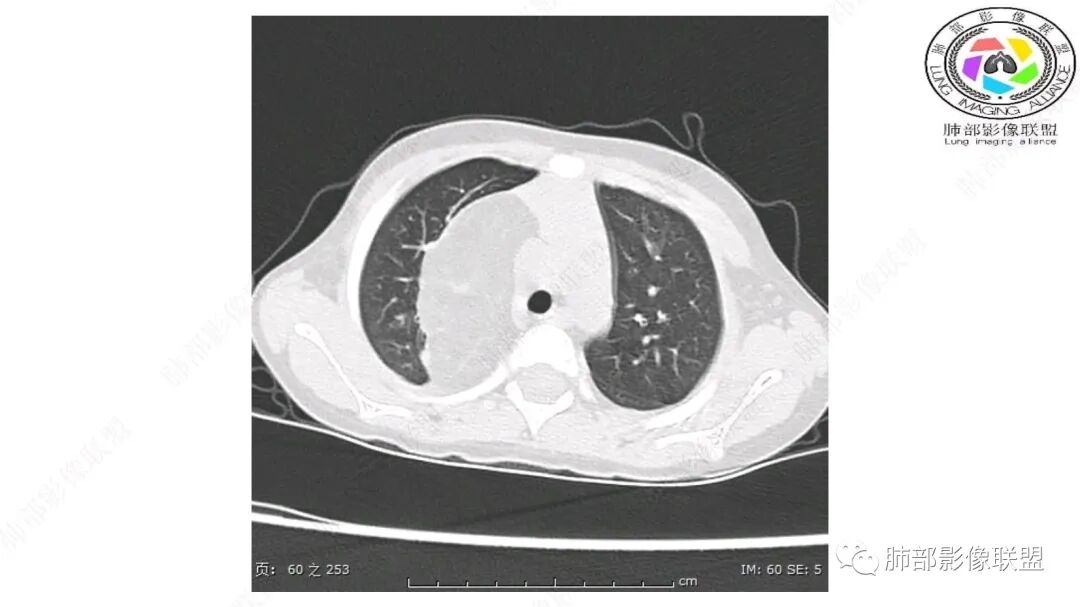
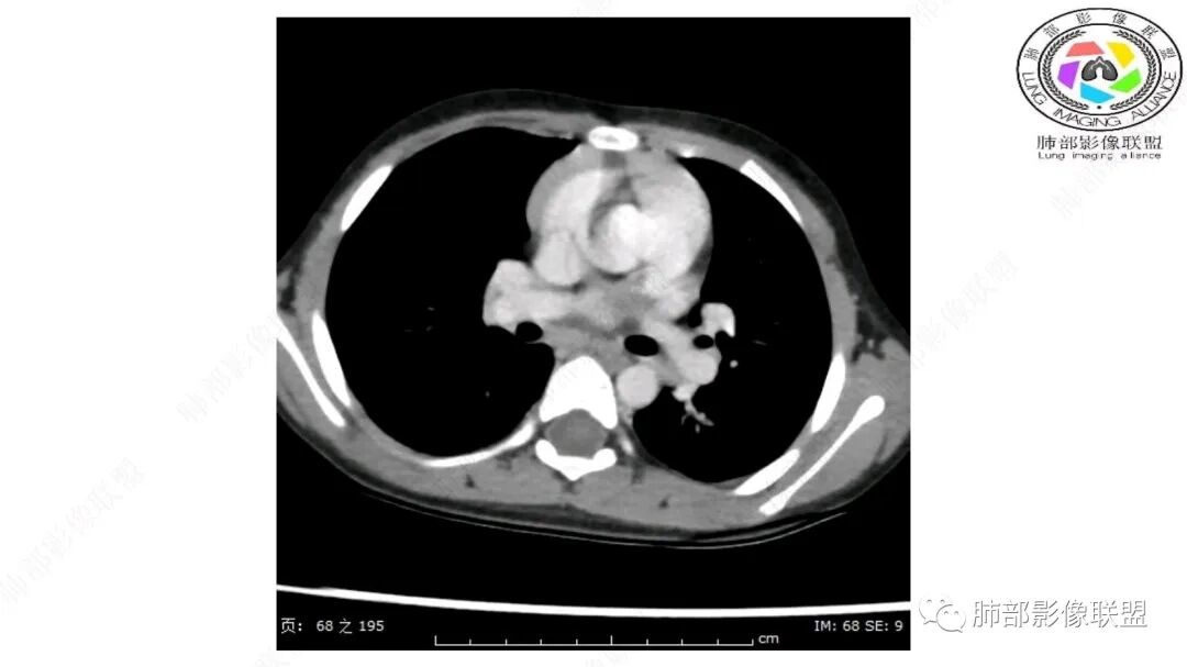
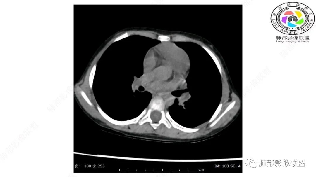
病例资料












































Part.02

精彩发言
摘星空竹子:
考虑纵隔脂肪瘤(黑虎纹),鉴别巨大胸腺增生(灰虎纹)。
宇宙:
右上纵隔混杂密度肿块,边缘光整,与纵隔分界清,其内多发脂肪密度,增强无明显强化,其内血管穿行,考虑纵隔脂肪母细胞瘤,鉴别畸胎瘤,脂肪肉瘤。
doctor:
肺部影像联盟晨读病例刚才注意患者年龄三岁,修改诊断考虑纵隔脂肪母细胞瘤,也被称为胎儿脂肪肿瘤、胎儿细胞脂肪瘤、胚胎性脂肪瘤、先天性脂肪瘤样肿瘤等。
放射线:
右纵隔团状,密度不均,脂肪密度为主,内可见腺体样组织,类似乳腺,病灶边缘有分叶,与胸腺关系密切,增强后血管穿行。考虑胸腺脂肪瘤(不典型垂乳征),鉴别畸胎瘤。
离殇??:
3岁儿童,右纵隔占位,内部间多发脂质成分及斑片状稍高密度影,考虑纤维成分,增强似有强化。病灶内血管未见明显侵犯,可考虑脂肪母细胞瘤,冬眠瘤等。
mary:
三岁小儿,右侧纵隔巨大脂肪密度肿块,肺动脉穿行其中,密度欠均匀,未见明确实性成分,纵隔脂肪母细胞瘤,冬眠瘤鉴别纵隔脂肪增多症(多弥漫对称)。
放射小白:
首先考虑纵隔脂肪母细胞瘤,鉴别畸胎瘤、脂肪肉瘤。
小兜:
患儿3岁 咳嗽检查发现纵隔占位。右肺上叶受压表现,占位以脂肪组织密度为主,似见分隔,首先考虑为脂肪母细胞瘤,鉴别脂肪瘤,畸胎瘤。
丽:
幼儿,右上纵隔团块状脂肪密度影,边缘清晰,内可见血管及支气管穿行,考虑脂肪瘤,鉴别畸胎瘤。
飞鹰行动:
幼儿,右上纵膈团块,脂肪密度,内见分隔,增强病灶内见血管穿行,结合患者年龄,考虑脂肪母细胞瘤,鉴别脂肪瘤。
衡妈:
纵隔畸胎瘤,右前上纵隔团状脂肪密度?粘液样密度为主病变,病灶软边缘有分叶,内可见分隔,增强后血管穿行。3岁。考虑纵隔脂肪母细胞瘤,鉴别畸胎瘤。
金豆:
定位肺外纵隔内,脂肪密度,内可见纤维分割,3岁,脂肪母,鉴别畸胎瘤。
宇宙:
右上纵膈混杂密度肿块,边缘光整,与纵膈分界清,其内多发脂肪密度,增强无明显强化,其内血管穿行,考虑纵膈脂肪母细胞瘤,鉴别畸胎瘤,脂肪肉瘤。
胸一丁翔:
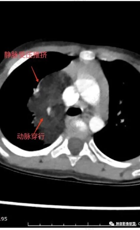
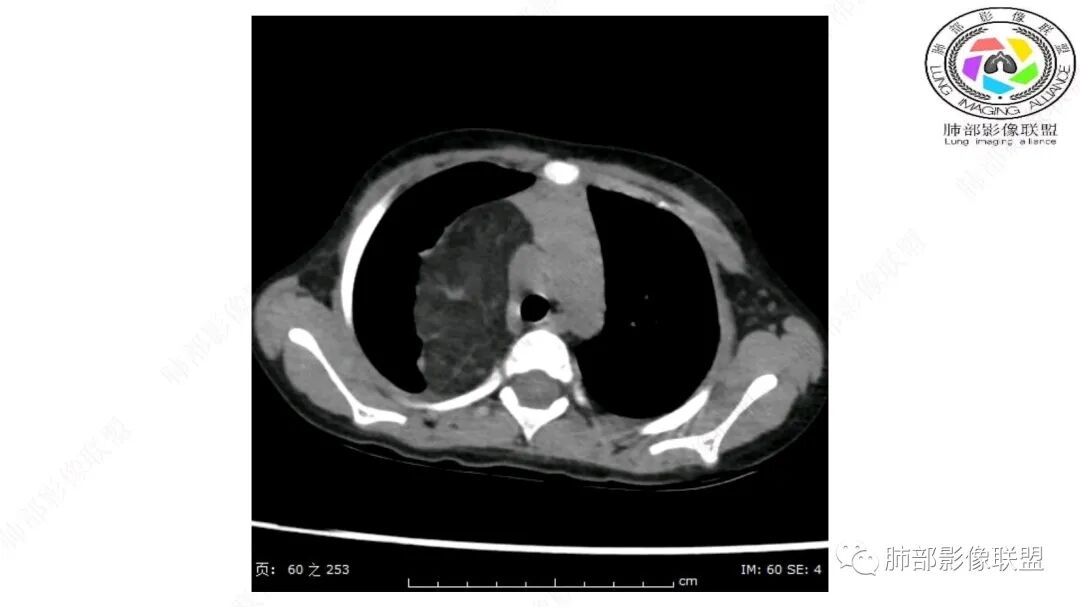
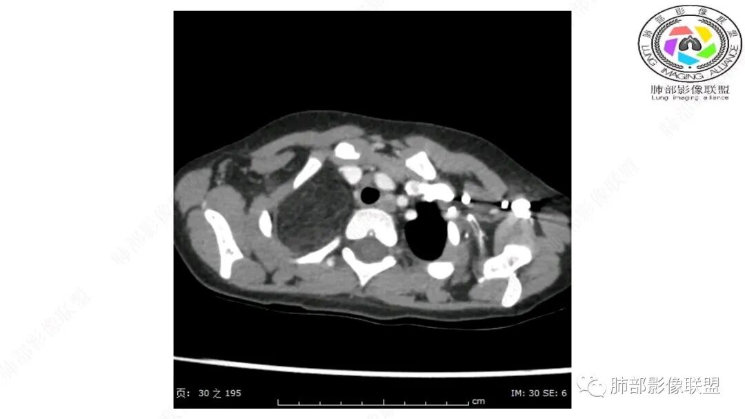
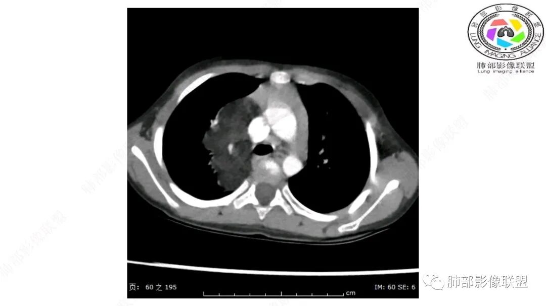
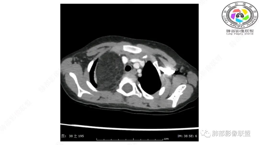
定位:肺内?尖段气管未见明显显示,腔静脉受压向右推移?病灶内可见前段动脉穿行,脂肪密度为主。

肿块起源于右上气管分叉处?强化动脉血管最后汇入右肺动脉上干。

右侧纵隔奇静脉水平起源?压迫上肺,包绕动脉?
蓝天白云:
小儿,右上纵隔占位,脂肪密度,血管未见破坏,考虑胸腺脂肪瘤,畸胎瘤。
谢加平:
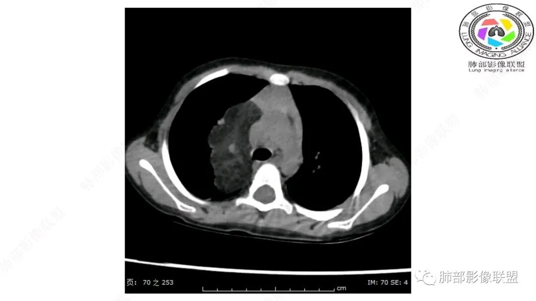
右肺门上方,位于纵隔胸膜旁见巨大肿块,脂肪为主混合密度,内见细小血管影,肿块最大长径与纵隔胸膜平行,包绕右肺上叶肺动脉,右肺上叶及纵隔结构推压,无侵蚀破坏,良性肿瘤,起源纵隔胸膜血管平滑脂脂肪瘤。
Coke with ice:

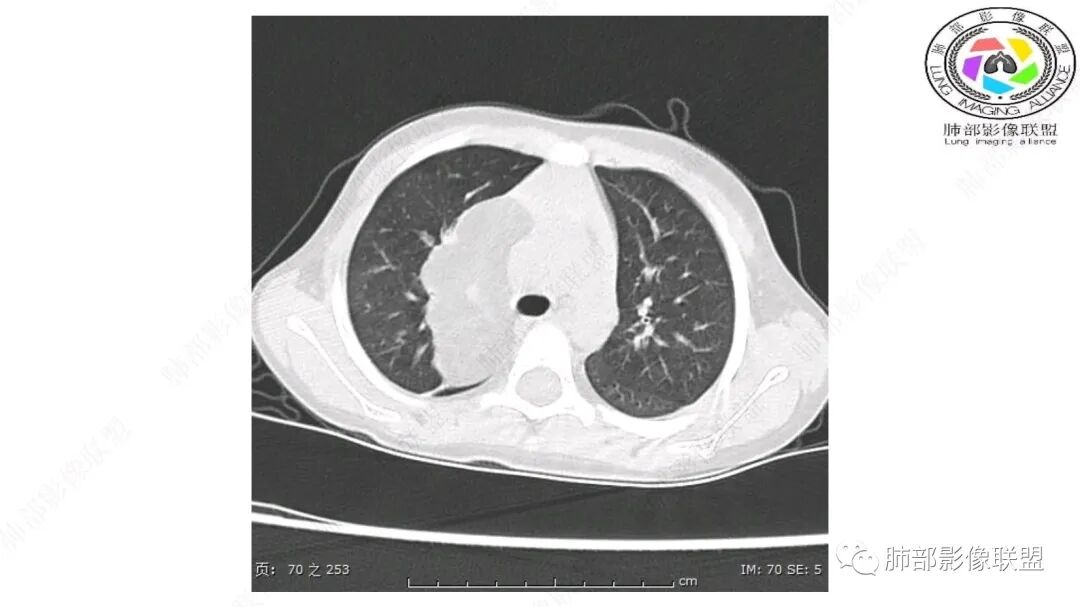
跨肺门,包绕肺血管分支,邻近肺组织受压肺不张。
可以看到造影剂进入的丛状结构

密度不均,非纯脂肪成分。斑片状密度略高区域有轻度填充式强化。
婴幼儿,病变较大,跨肺门,分叶,富含纤维或黏液、含成熟脂肪,破坏力弱或无,浸润性生长模式不明显,未见远处转移。
综合:富含成熟脂肪的、可以有丛状结构的,可以有纤维或黏液的良性或低度恶性肿瘤。常见疾病谱:脂肪瘤、神经纤维瘤样错构瘤、冬眠瘤、血管脂肪瘤、髓脂肪瘤、脂肪母细胞瘤、黏液样脂肪肉瘤。
鉴别要点:病变成分不单一,非包绕神经结构、间质血管不显著、婴幼儿,良性或低度恶性。
Part.03

南边分析
这个病例很多地方都很困惑。

前方突入胸壁






有高密度影,有其他的血管来源。
这个病例目前的困惑:
第一个问题:定位:肺内?纵隔?
定位困惑点:
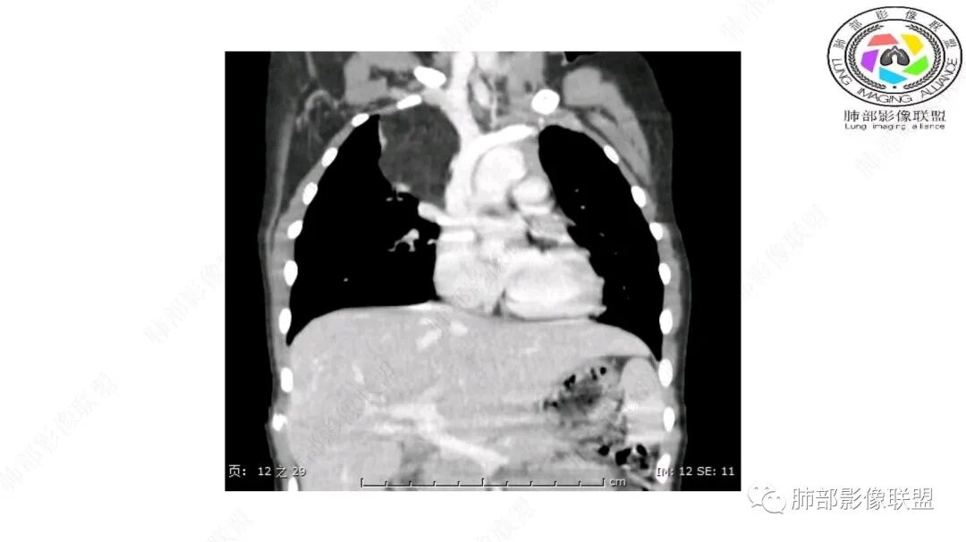
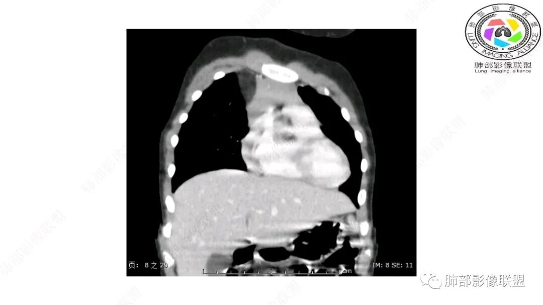
病灶属于交界区,主体位于肺内,占位效应明显,前方突入胸壁,胸腺受压变形,胸膜显示欠清楚;病灶包绕上叶肺动脉;似乎有体动脉供血。符合肺内的点:包绕上叶肺动脉分支;符合纵隔的点:前方似乎突入胸壁,与胸腺关系比较密切,但是与上腔静脉的关系提示病灶不支持纵隔来源,前纵隔的常规会将上腔静脉受压后移、外移,这是不符合的。
从这个角度符合肺内的,有一点不太踏实的是:似乎突入前胸壁。
第二个问题:定性:脂肪为主病灶明确:脂肪瘤?脂肪肉瘤?畸胎瘤?
内部血管明显,部分病灶密度增高,单纯脂肪瘤不支持。可惜的是:没有提供CT值:是否强化?如果强化,警惕恶性;胸腺肯定不符合,胸腺会将上腔静脉朝后推移。



Part.04
病理结果
手术记录:见右肺上叶肿物,肿物与右肺上叶关系密切。与纵隔无粘连,逐步分离肿物,见肿物大小约6cm*5cm,边界清楚,于右肺上叶粘连,边界清楚,肿物包绕右肺上叶血管及支气管。超声刀逐步游离肿物,完整切除肿物,右肺上叶肺组织无破溃,表面无出血。

Coke with ice:
遗留疑问:与纵隔无粘连,不考虑纵隔来源。与肺组织有粘连,影像显示肺组织受压。猜测:起自于肺门区的纵隔胸膜,或者肺门区的支气管鞘内脂肪组织。需要临床和病理的老师再指点指点。
Part.05
          回顾性小结
关于定位:
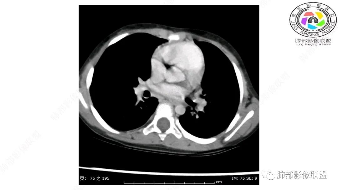
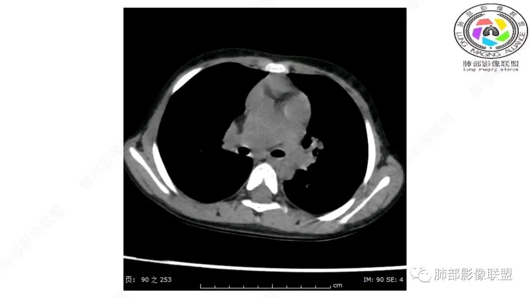
1.右上肺-纵隔交界区巨块影,主体位于右肺一侧,紧贴胸腺、头臂干、右锁骨下动脉、上腔静脉、奇静脉等,不能分离,但病灶整体边界清楚。注意上述相邻腔静脉等结构未见受压变形,纵隔亦未见明显向左推移,至少提示两点:
1)病灶相当柔软。
2)位于纵隔内或纵隔胸膜的可能性较小,因为受纵隔胸膜反作用力影响不明显。
2.肺动脉穿行也许是肺内来源最重要支持点!
关于定性:
CT扫描对脂肪类肿瘤常有独到价值。肿块孤立、边界清楚,未见周围浸润,较均匀脂肪样低密度,高度提示为良性!
发生于成人为脂肪瘤表现,婴幼儿自然会想到脂肪母细胞瘤。两者生物学行为并无本质区别。
鉴别诊断:
1.畸胎类肿瘤——囊壁相对厚且较为密实。一般会含有低密度脂质成分及致密骨骼影、牙齿影、钙化等。典型的皮样囊肿可以观察到脂液平面。部分畸胎瘤内可以观察到含有钙化影的实性成分结节(Rokitansky结节)。本例不符合。
2.脂肪肉瘤——密度不均匀且见强化明显的实性密度区,块影边界不清楚,周边浸润明显。
注意成人的深部脂肪类肿块影警惕脂肪肉瘤,尤其是位于肾周腹膜后的。

知识拓展
1.概述:
1958年由Vellios等首先报道,仅见于婴儿和年幼儿童,又称为胎儿脂肪瘤、胎儿脂肪肿瘤、胎儿细胞脂肪瘤、胚胎性脂肪瘤、先天性脂肪瘤样肿瘤不同于绝大多数的“母细胞瘤”,脂肪母细胞瘤是一种少见的幼儿软组织良性肿瘤,由不成熟脂肪细胞的异常增生形成。多发生于3岁以下儿童,约占80-90%,且男性多于女性,主要表现为无痛性肿块,有文献报道脂肪母细胞瘤发生于四肢的比例可达70%,下肢较上肢多见。也可见于头颈部、躯干、纵隔、腹膜后、肠系膜、骶尾部、阴囊、宫颈及心脏等处。该疾病的病因及发病机制尚不明确,许多文献认为可能是某些基因的突变所致,但目前尚无有力证据证明。其治疗以手术切除为主,预后较好,暂无恶变及转移的报道,但可复发。总体来说,对于其生物学行为的认识很重要,因为脂肪母细胞瘤的生物学行为属良性,应避免不必要的过度治疗。
2.流行病学:
脂肪母细胞瘤主要发生在婴儿期和儿童早期,其中75–90%的病例发生在3岁之前。脂肪母细胞瘤在大龄儿童和青少年中较少见,在成年人中很少见。男性的发病率略高。
3.发病机制:
脂肪母细胞瘤通常表现简单,假二倍体或超二倍体核型,其特征是8q11-q13的结构改变(易位,倒位,插入或环状染色体),导致PLAG1(发育受调节的锌指转录因子基因)重排,具有特征性特征。最常见的数值变化是8号染色体的一个或多个额外副本,带有或不带有并发的8q11-q13重排。已报告PLAG1脂肪母细胞瘤中的融合基因伴侣包括HAS2(8q24.13),COL1A2(7q21.3),RAD51B(14q24.1),COL3A1(2q32.2),RAB2A(8q12.1-q12.2)和BOC(3q13。2)。PLAG1转录上调导致异位PLAG1表达是PLAG1启动子元件被伴侣基因之一的组成型活性启动子区域替换的结果。PLAG1重排可能是细胞遗传学的。由于紧密接近RAB2A和PLAG1,重排PLAG1可能难以通过FISH与此融合事件。未知的代表潜在肿瘤发生机制的8号染色体的多余拷贝是否是野生型的。脂肪母细胞瘤PLAG1融合伴侣不同于多形性腺瘤中报道的那些。然而,RAD51B - PLAG1已在子宫黏液样平滑肌肉瘤的亚型中被发现。
4.临床症状:
取决于瘤体所在部位,多为无痛性肿块,局部皮温正常,表面光滑,质地软硬不一,边界较为清楚;若肿瘤位于体表,可无明显症状;若肿瘤位于纵隔,可因气管的受压而出现咳嗽和呼吸困难等症状。值得注意的是,脂肪母细胞瘤容易对重要结构和器官浸润生长,导致功能障碍甚至死亡!
5.病理:
本病在组织病理学上分为局限型和弥漫型,前者位于皮下浅表部位,边界较清,临床表现形似脂肪瘤,常因发现局部肿块就诊;后者易浸润皮下组织和肌肉组织,呈侵袭性生长,位置较深,又称为脂肪母细胞瘤病。镜下可见瘤细胞核圆形或椭圆形,有部分胞质形成了脂肪空泡,也有部分分化成为成熟的脂肪细胞,该类型复发倾向大。脂肪母细胞瘤与纤维脂肪瘤、婴儿纤维性错构瘤的区别是后两者均为成熟的脂肪细胞,而无脂肪母细胞。病理显示局限型脂肪母细胞瘤内没有明显粗大的血管供血,因而血供稀少,而弥漫型脂肪母细胞瘤内可见较多的毛细血管及小静脉,有恶性生长的趋势,因而血供较丰富。
6.影像学表现:
脂肪母细胞瘤由成熟程度不同的脂肪组织、纤维间隔、黏液基质、小血管丛等间质成分组成,以脂肪组织与黏液样基质为主,其影像学表现取决于上述组织成分。典型的CT和MRI表现为:前后纵隔均可发生,常见于前纵隔;肿块大小不一,直径多在3cm~7cm,密度均匀,CT值呈水样或脂肪密度,脂肪组织密度或信号为主的肿块,其内密度或信号不均匀,可见粗细不一的分隔影,且有结节、片状影,后者可呈轻中度强化;结节状肿瘤包膜完整;弥漫性者包膜不明显,常呈浸润性生长;周围结构为受压和推移改变,可有少量胸腔积液,淋巴结无增大。
7.鉴别诊断:
主要与纵隔畸胎瘤和脂肪肉瘤鉴别。前者肿瘤成分复杂,有钙化成分;后者发病年龄在20岁~60岁。
8.预后和预测:
脂肪母细胞瘤良性,切除后预后良好。13–46%复发通常是由于切除不完全所致,可能在一次切除后的6年内发生复发,应支持长期随访,最好通过MRI或超声检查对浅表性肿瘤进行评估。已经报道:多次复发有局部浸润性行为,但是再次切除还是有效的。没有转移的风险。
9、病例赏析








参考文献:
1.李彦娇等, 儿童脂肪母细胞瘤的影像诊断及误诊原因. 中国医学影像学杂志, 2021. 29(2): P168-170,176页.
2.张忠德,奚政君,吴湘如等,脂肪母细胞瘤44例临床病理分析.临床与实验病理学杂志,2003.19(2):125-127.


编辑:龚子龙   雷 凤
审核:徐 晓     清 茶 





到顶部