【每日晨读】 肺部多发结节之路,原来如此!



病例资料







































精彩讨论
秦化君:
双肺多发结节影,部分伴晕,右肺上叶肿块影,边缘澎隆,内见钙化点,支气管进入近端截断,相邻胸膜牵拉微积液。纵隔及锁骨上可见淋巴结肿大,部分融合。考虑恶性病变,淋巴瘤。右上腺癌伴转移。转移。
飞鹰行动:
老年人,腹痛入院,双肺多发结节,右肺上叶结节显著,支气管进入后中断,内部可见沙粒大小钙化,增强右肺上叶病灶强化较明显,纵膈及右侧锁骨上区见增大淋巴结,考虑恶性病变,腺癌(低分化)伴转移,其次大细胞癌伴转移。
一切∮随缘:
考虑恶性转移瘤?右肺肺癌伴转移。
小兜:
考虑恶性,右肺上叶肺癌伴双肺多发转移,纵隔右侧锁骨上淋巴结转移,腺癌或神经内分泌肿瘤
宇宙:
右肺上叶不规则肿块,边界清晰膨隆,其内点状钙化,支气管进入阻塞,胸膜牵拉,不均匀强化,两肺内多发大小不等不规则结节,边界清,右锁骨下、纵膈淋巴结肿大,胸椎骨质破坏,考虑右肺上叶腺癌并转移,鉴别转移瘤、淋巴瘤
衡妈:
老年女性,反复肚疼入院。右肺上叶软组织肿块(内见点状钙化)+两肺多发实性结节+纵隔淋巴结肿大+右锁骨下窝淋巴结肿大,增强后右上肺肿块不均匀强化,较大淋巴结强化弱有坏死。考虑右上肺恶性肿瘤,腺癌?神经内分泌肿瘤?伴两肺转移,纵隔及右锁骨下淋巴结肿大。胃窦壁增厚,考虑水肿。鉴别淋巴瘤。
看图说话:
右肺上叶、肺尖不规则肿块,密度均匀,边缘膨隆,胸膜牵拉,栽赃,不均匀强化,两肺多发大小不等不规则结节,边界清,右锁骨下、纵膈淋巴结肿大,胸椎骨质破坏,考虑恶性,腺癌并转移,鉴别淋巴瘤。
胸一丁翔:
右上肺肿块伴两肺多发实性结节,纵隔多发淋巴肿,右锁骨下淋巴肿,纵隔淋巴结、右上肺病灶内可见钙化结节。诊断:消化道肿瘤肺转移?类癌?
若晗:
两肺伴多发结节病灶伴纵隔及锁骨下淋巴结肿大,恶性是肯定的!结合临床,考虑淋巴瘤>肺腺癌转移
了:
老年男性,右肺上叶肿块影,呈融合状,边缘平直,内可见点状钙化,考虑炎性肉芽肿,余肺随机分布结节性,一区淋巴结肿大,腹痛,考虑消化道肿瘤转移?
放射线:
右肺上叶前段肿块,有分叶毛刺,近端支气管堵塞,密度不均,与胸壁之间可见少量积液,增强内见多发斑片状低密度区,另双肺见多发结节,右侧锁骨上、纵隔及肺门淋巴结增大,锥体骨质破坏,考虑腺癌并淋巴结及肺内、骨转移可能。
穿越七海的风:
右肺上叶肿块伴双肺多发小结节,支气管截断,不均匀强化,肿块内点状钙化,纵隔及右锁骨上多发肿大淋巴结,考虑恶性肿瘤多发转移
谢加平:
老年女性,肺部和全腹部CT平扫及增强,胰腺尾部前侧见凸起结节,盆腔左侧见结节影,双肺多发随机分布结节,大小不一,右肺上叶呈团状,右锁骨上窝和纵隔内多发转移淋巴结肿大,强化特点(延迟强化)与胰腺尾部占位病变相似,支持胰腺尾部恶性肿瘤,并双肺叶,右锁骨上窝及纵隔淋巴结多发转移,盆腔左侧种植转移?右锁骨上窝肿大的淋巴结B超定位穿刺活检明确诊断。
丽:
老年男性,右肺上叶团块影,边缘分叶,内密度不均匀,可见点状钙化,胸膜牵拉,支气管截断,增强后不均匀强化,双肺多发结节,右侧锁骨下肿大淋巴结,考虑右肺上叶腺癌伴肺内转移,纵隔淋巴结及右侧锁骨下淋巴结转移
晓锁:
老年女性,右肺上叶肿块,形态膨隆,分叶、毛刺征,边界清楚,支气管进入阻塞,胸膜凹陷;两肺内多发大小不等结节,右锁骨下、纵膈淋巴结肿大,胸椎骨质破坏,考虑右肺上叶腺癌并转移,鉴别胃肠道转移瘤、淋巴瘤。
流心明智:
女,75,反复上腹痛半年,加重10天。胸部CT:右肺上叶肿块,边界清楚,边缘膨隆、分叶、毛刺征,周围少许界清磨玻璃,支气管进入堵塞,胸膜牵拉凹陷,强化不均匀;两肺多发大小不等实性结节,随机分布;右锁骨下、纵膈多发淋巴结肿大;胸椎骨质破坏;肝脏低密度影。考虑右上叶腺癌并转移?消化系统转移瘤?鉴别淋巴瘤
病例结果


病例总结
1.临床特点:老年女性,反复上腹部疼痛半年,加重10余天,入院半年前开始出现反复上腹部闷痛,较轻微,偶有嗳气、憋气感,与进食无关,未治疗,10余天上述症状再发,部位性质同前,感全身酸痛,以腹痛待查入院。实验室检查未见明显异常。
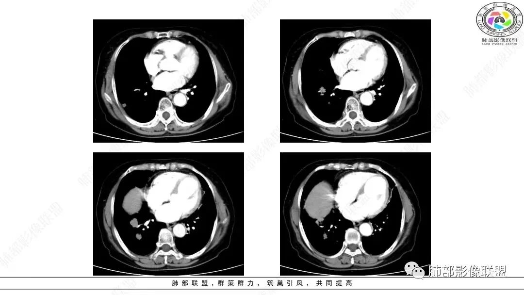
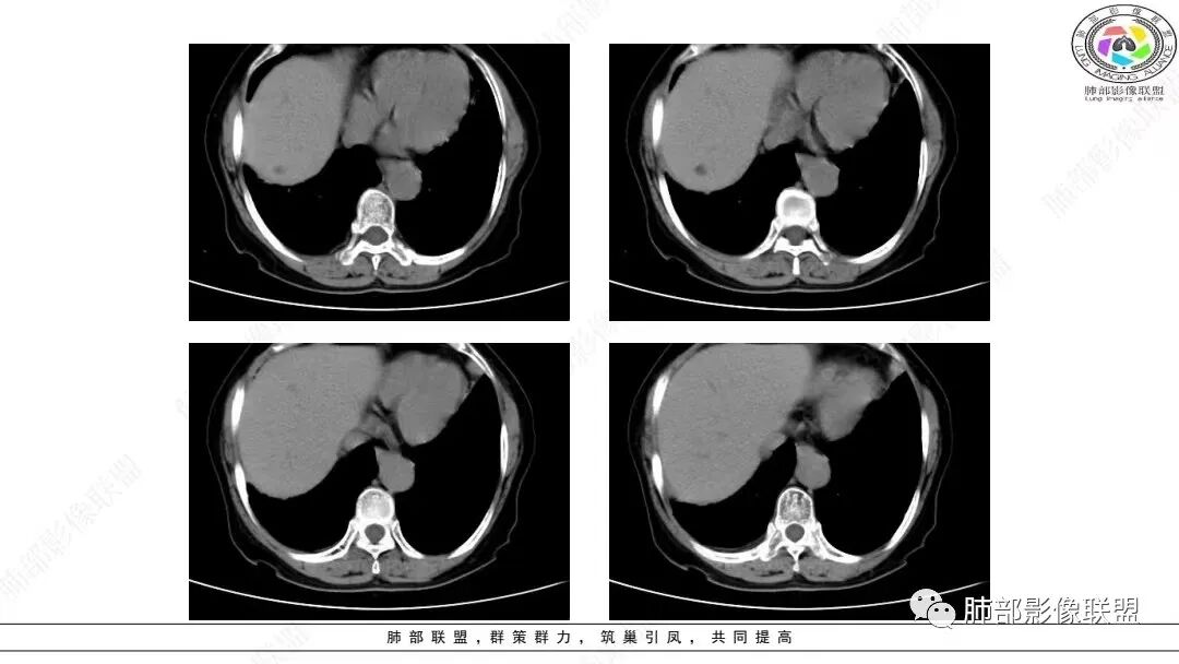
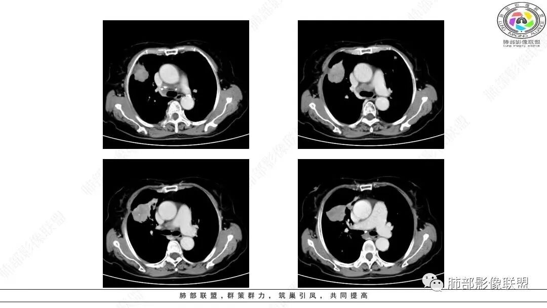
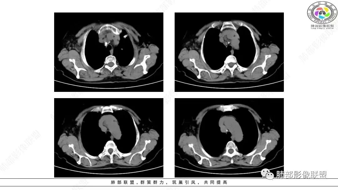
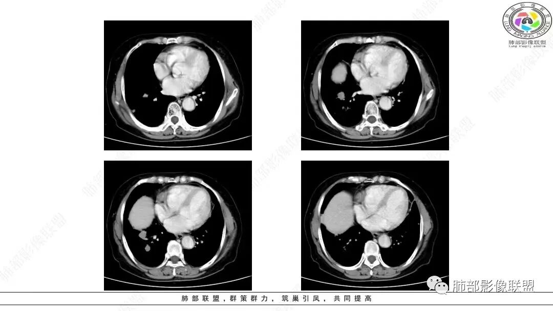
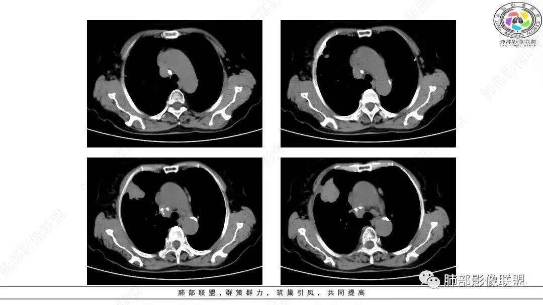
2.影像学特点:右肺上叶前段胸膜下不规则较大团块影,边界清楚欠光整,浅分叶,肺血管支气管出入,边缘膨隆胸膜凹陷具有一定张力,未见典型粗短毛刺,部分围以边界清楚的磨玻璃影,灶周小叶间隔增厚。块影密度不均,渐进性强化,可见砂砾样钙化,未见明显液化坏死或空洞。增强后病灶显示渐进性强化。MIP显示病灶内肺动脉穿行、并部分肺动脉受侵变细。纵隔及右锁骨上(胸廓入口)见肿大淋巴结。两肺可见多发大小不一的结节影,边界清楚,随机分布。
  胸椎体溶骨性吸收破坏,突破骨皮质。腹部扫描未见肿块影。
3.总结:老年女性。无明显呼吸系统临床症状。实验室检查未见明显异常。右肺上叶前段团块➕右侧颈部、纵隔淋巴结肿大➕两肺多发结节。符合恶性病变。
   病灶较大较光整,支气管出入,缀以边界清楚磨玻璃影,有一定张力,不均匀强化,疑及肺腺癌或者大细胞肺癌都在情理之中。双肺多发病灶,符合转移瘤特征。     注意胸椎体溶骨性吸收破坏,突破骨皮质,经验上这样的改变更支持转移而不支持淋巴类肿瘤。
   病理结果给出淋巴上皮瘤样癌不算意外,但宜排除鼻咽来源导致两肺转移。本例核实病历后该患者并无鼻咽不相关病变。右肺上叶病灶更符合原发。
资料拓展
   肺淋巴上皮瘤样癌(1ymphoepithelioma-like carcinoma,LELC)是原发于肺部的罕见恶性肿瘤,组织形态学上与未分化的鼻咽癌相似,预后好于其他类型肺癌[1]。2015版WHO肺癌组织学分类中,将LELC归于非小细胞肺癌中的其他未分类癌组。我国南方地区LELC多发,且与EB病毒感染密切相关[2]。肺LELC罕见,探讨其影像学表现的研究[3巧]较少,且样本量均有限。
   肺LELC治疗方式及预后均与常见的肺鳞癌和肺腺癌有所不同。肺LELC于1987年首获报道,其后中文文献仅报道了约300例左右,绝大部分患者来自华南地区、香港及台湾地区[2。3]。本组228例(228/244,93.44%)来自上述地区,与其显著的人种和地理分布特点基本一致,其余16例(16/244,6.56%)来自长江以南多个省份及山西省,提示该病可能具有更广泛的地区分布。
   
    肺LELC病理表现与鼻咽未分化癌(泡状核细胞癌亚型)相似,且与EB病毒感染密切相关。本组患者均经I临床相关检查排除鼻咽来源转移瘤,确诊为肺LELC。本组肺LELC病例男女比例为1.0:1.1,与既往研究相符;患者年龄跨度较大[416],本组患者年龄30~81岁,平均(53.3±10.8)岁。本病临床表现无特异性,患者主要以咳嗽、咳痰、胸痛就诊。
    目前部分研究提示肺LELC大多以单发周围型肿块为主,多发生肺下叶,多数病灶可见分叶及毛刺征。Ma等口1发现,41例肺LELC患者中30例(73.17%)表现为较大的中央型肿块,以右肺中叶和左肺下叶多见,边界清楚,呈分叶状,常引起阻塞性肺炎。本组肺LELC中央型占54.10%,多发生于右肺中叶、两肺下叶,最大径平均(5.42±2.64)ClTI,肿块型多见(79.92%),边界较清,边缘常见分叶,且以浅分叶为主,可伴毛刺,超过半数(54.10%)伴有阻塞性肺炎或肺不张改变。
    大多数学者认为肺LELC患者易发生纵隔和肺门淋巴结肿大。本组68.44%患者伴肺门和/或纵隔淋巴结肿大,65.57%发生淋巴结转移,且淋巴结最大短径为(2.04±0.90)crn,提示以CT淋巴结最大短径1 cm为标准大致区分肺LELC患者淋巴结是否转移具有较高敏感度。
    本组大部分病灶(64.75%)CT平扫密度均匀;增强后多数病灶以中度(71.75%)、渐进性强化(75.13%)为主,动脉期病灶内常见异常细小杂乱血管影(55.96%)。    笔者据此认为密度均匀且不易出现坏死、呈中度渐进性延时强化为肺LELC的特点,可能与病灶内部含有丰富的淋巴细胞浸润和大量纤维组织增生及胶质有关;病灶内部分细小杂乱血管影可追踪为支气管动脉,推测可能为新生肿瘤血管,提示肿瘤血供丰富,不易出现坏死;但新生肿瘤血管通常不成熟,血管通透性增高,致使对比剂外渗,使肿瘤表现为延迟强化。肺LELC生长较快时,由于血供不足,也可出现液化坏死及钙化等改变。肺LELC密度均匀、液化坏死较少及延迟强化,可作为其与肺鳞癌或腺癌的鉴别要点。
    多数学者认为血管支气管包埋征是肺LELC的特征性表现。本组41.97 0A(81/193)病灶内部动脉期见血管包埋征,而血管形态正常,无明显受侵、狭窄,与上述研究报道相符,可能提示肺LELC具有类似淋巴瘤相似的特点,即易浸润周围结构,引起间质增厚、肺泡壁破坏及肺泡腔充盈,但较少侵犯血管[1 3|。但本组108例(108/193,55.96%)表现为血管受侵、狭窄,75.82%支气管受累狭窄闭塞,可能提示肺LELC病灶内血管受侵狭窄及支气管破坏较淋巴瘤更多见[1 3|,较大肺LELC病灶更易出现血管、支气管受侵、破坏。
    本组97.13%病变累及胸膜,大部分病灶(75.41%)与纵隔关系密切,表现为靠近肺门或紧贴纵隔胸膜生长,多数病灶与纵隔胸膜之间有脂肪间隙存在。    111例(111/244,45.49%)显示“类胸膜尾征”改变,即肿瘤紧贴胸膜生长、增厚,但未突破胸膜向外生长,与正常胸膜的夹角呈钝角,在纵隔窗上呈现类似脑膜瘤的脑膜尾征样改变;推测其形成机制可能是肺LELC的生物学行为具有一定恶性,易侵犯胸膜,使胸膜增厚逐渐延伸,但其恶性度低于肺鳞癌、腺癌,较少直接导致胸膜不均匀增厚甚或突破胸膜向外生长。
    本组50.82%(124/244)病灶周围见磨玻璃密度影改变,33.20%在磨玻璃密度影中伴有小叶间隔的间质增厚,表现为小叶间隔网格状增粗,但不伴有串珠状排列的小结节;其形成机制可能是肿瘤周围实质及间质均伴有大量淋巴细胞浸润以及小叶间隔的淋巴管扩张,而肺腺癌或鳞癌的癌性淋巴管炎多表现为小叶间隔结节状增厚,可呈串珠状改变。上述征象可作为肺LELC与肺鳞、腺癌的鉴别点。
    综上所述,右肺中叶、两肺下叶纵隔胸膜旁肿块,边界清、浅分叶、淋巴结肿大,伴有类胸膜尾征、增强动脉期血管包埋征、周围肺区磨玻璃密度影及网格增粗影是肺LELC相对特征的CT表现,但最终诊断仍须依赖组织病理学和免疫组织化学染色结果。
参考文献:中国医学影像技术2019年第35卷第5期Chin J Med Imaging Technol,2019,Vol 35,No 5
鉴别诊断
1.鳞癌:与吸烟密切相关,多有肺气肿背景。其CT表现:大分叶(大土豆)、边缘偏平滑。可沿支气管壁生长使壁增厚、可呈烧瓶状形态、可呈支气管铸型(于亚段及肺段级别较明显),需要注意的是,长在肺动脉主干旁的早期鳞癌常不显眼。鳞癌发展初期,常见轻度阻塞性炎症(小花小草)。鳞癌多见大片坏死、可见分隔及壁结节,肺门侧坏死轻。鳞癌内部血管大部分被破坏,钙化少见。由于鳞癌收缩力较弱,缺乏血管支气管纠集征。鳞癌的形态容易受肺气肿背景影响、导致病灶不规则。支气管肿瘤的病理影像学--王兆宇老师
2.腺癌:浸润性腺癌:多见于老年女性。其磨玻璃影的边界清晰,且磨玻璃影内部缺乏结节感。另外CT特点可有如下:空泡征及“假大空”,"月牙"征与“L”形缺口,胸膜牵拉凹陷,支气管充气征与支气管牵张扭曲,分叶征,毛刺征,膨胀边缘与胸膜处锐角,血管穿行征等。《普通型肺腺癌CT特征的病理解释》王兆宇老师
3.肉瘤样癌黄勇老师对肉瘤样癌的总结:1.肺肉瘤样癌是罕见的非小细胞癌,是多形性癌、梭形细胞癌、巨细胞癌、癌肉瘤和肺母细胞瘤的总称。2.中老年男性多见,与吸烟关系较密切。3.周围型胸膜下多见,体积一般较大。4.常见大片坏死,部分病灶坏死边缘清晰,可见空洞。5.边缘常较光整,毛刺及胸膜凹陷征少见。6.预后差,即使病变为早期。放化疗的左右目前尚存争议。
图文编辑:朱伟超  雷  凤
图文审核:徐  晓





END
到顶部