【每日晨读】又见ABPA!






01
病例资料











































02
激烈讨论
谢加平+中山市三乡镇医院+CT
右肺上叶尖段及中叶内侧段斑块影,边界清,形态不规则,密度不均匀,见钙化斑,右肺上叶尖段病灶呈“芋艿籽”融合,右肺中叶见多发小树芽影,右肺下叶支气管见指套征,纵隔无淋巴结肿大,既往肺TB史,右肺上叶及中叶TB肉芽肿,右肺下叶支气管内膜TB,建议结核T- sport试验和Xpert检查。
张丽宽城中医院放射科
双肺多发病变,部分实变,树芽征,支气管管壁增厚、扩张,有结核病史,考虑结核并ABPA
赖晓宇广东省结核病控制中心
比较符合ABPA
胡翼江--张家港市一院影像科
ABPA,鉴别结核
马小锁_荆门市康复医院放射
中老年女性,慢性呼吸道症状;TB病史。两肺斑片状状稍高密度影及高密度影,支气管血管束分布,考虑继发性 TB,鉴别肿瘤、ABPA
白光宇山阴县医院放射科
右肺上叶不规则肿块,边缘模糊,周围卫星灶,沿支气管爬行,近端指套样改变,可见高密度影,右肺中叶相近病变,考虑ABPA,鉴别结核
义工-李春双唐山中心医院呼吸科
右肺上叶尖段中叶软组织影,内见高密度影,考虑炎症,内有痰栓
马春平(张家港市一院胸外科)
考虑结核可能大
张磊榆林星元医院呼吸科
右肺上叶尖端肿块影,边缘卫星灶,实变内可见钙化影,右肺中叶斑片状影,综合考虑结核可能性大
曹永军山东省利津县中心医院放射科
双肺多发斑片影,右肺肿块,内见钙化,边缘膨隆,周围可见小结节,右肺上叶支气管壁增厚,开口通畅,考虑炎性病变,ABPA,结核。
王秀仙东宁市二院影像
右肺上叶及中叶不规则肿块,边缘模糊,沿支气管爬行,近端指套样改变,并见高密度影,考虑结核?鉴别ABPA
田洪盛-山东中医放射
右肺上叶、中叶肿块,性质一致,指套征,高密度不像钙化更像锰铁化,考虑ABPA
赵国千丹阳市中医院放射科
女性51岁,咳嗽咳痰半年,左肺原诊结核手术病史;现右肺尖见不规则团块影,内部可见略高密度影,右肺中央亦见相仿病灶,上述病灶周围可见小片影,常规考虑结核,鉴别NTM。
董伶俐-永康中医院放射科
结核伴痰栓
张弓锦州附属一院影像义工
结核可能
屈运良北京东苑中医院放射科
右上肺肿块,呈佛手样,内可见斑片状密度增高影,左上肺野可见扩张支气管,(右上肺肿块没给CT值),综和考虑支持ABPA
王飞呼和浩特市第一医院呼吸科
女,51,咳嗽、咳痰半年。左下叶手术史,术后抗TB治疗史。胸部CT:右肺上叶尖段团片影,边界较清,部分层面周围清楚GGO;形态不规则,近端呈指套样改变;密度不均,内见斑点状高密度灶;胸膜牵拉。右肺中叶内侧段斑片实变影,邻近多发小树芽影?左侧胸廓塌陷,左上叶多发小结节影,支气管扩张样改变,左上叶支气管腔可见钙化影。考虑TB,鉴别ABPA、腺Ca等。
王林河北中石油中心医院
右肺上叶实变影。沿支气管走行,边缘呈指套样,左肺可见扩张支气管,左肺术后病理结果结核?右肺考虑结核?ABPA?
南边肺部影像联盟
支气管树爬行征,内部钙化灶,考虑TB,不除外 ABPA
张世晓登封市人民医院影像科
考虑ABPA,鉴别结核
庞萍成都市二福利院影像
ABPA可能
毛勤香柳州人医放射
有钙化有树芽,临床抗结核治疗一年,具体变化没提 首先考虑abpa 
钟学兰-苏泗洪第一人医放射
考虑结核
敏雅安市人民医院ICU
右肺上叶不规则肿块,分叶,边缘相对清晰,周围卫星灶,近端指套样改变,内可见高密度影,右肺中叶相似病变,考虑ABPA的可能
03
结果

















04
病例回顾
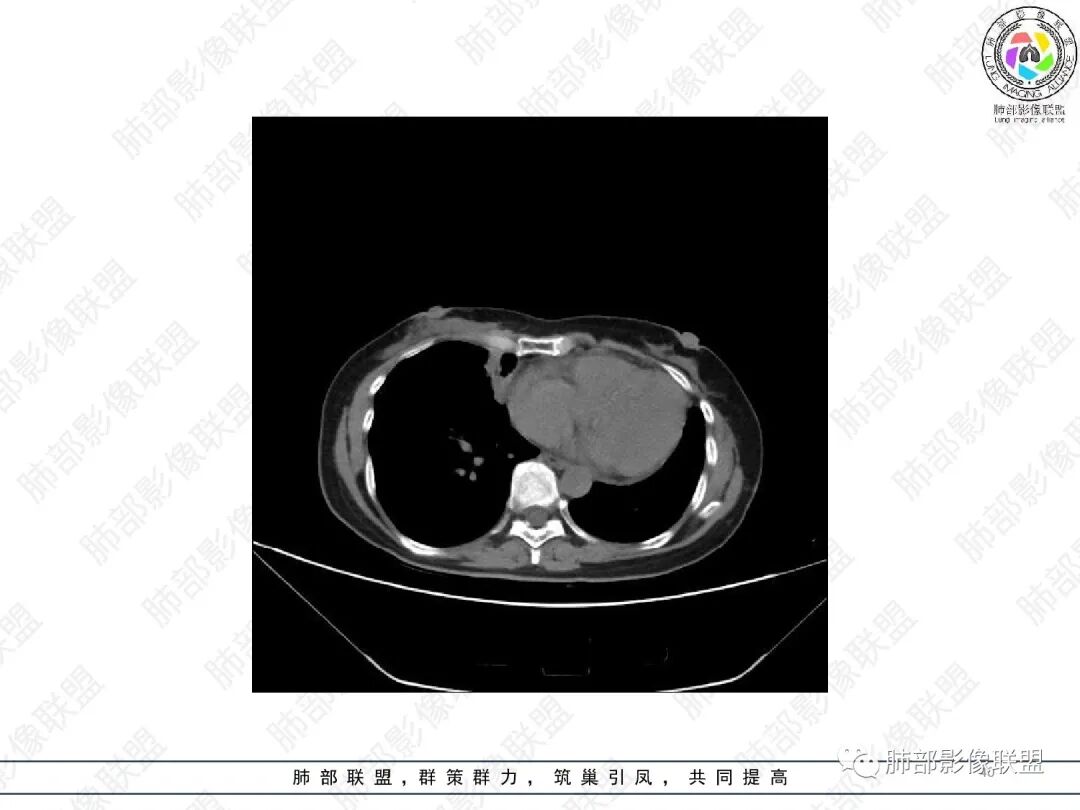
1.中年女性,主因“咳嗽、咳痰半年余”入院,既往史:8年前因左肺病在外院变行左肺叶切除术,诉术后抗结核治疗1年,具体病理等不详。实验室IGE显著增高。
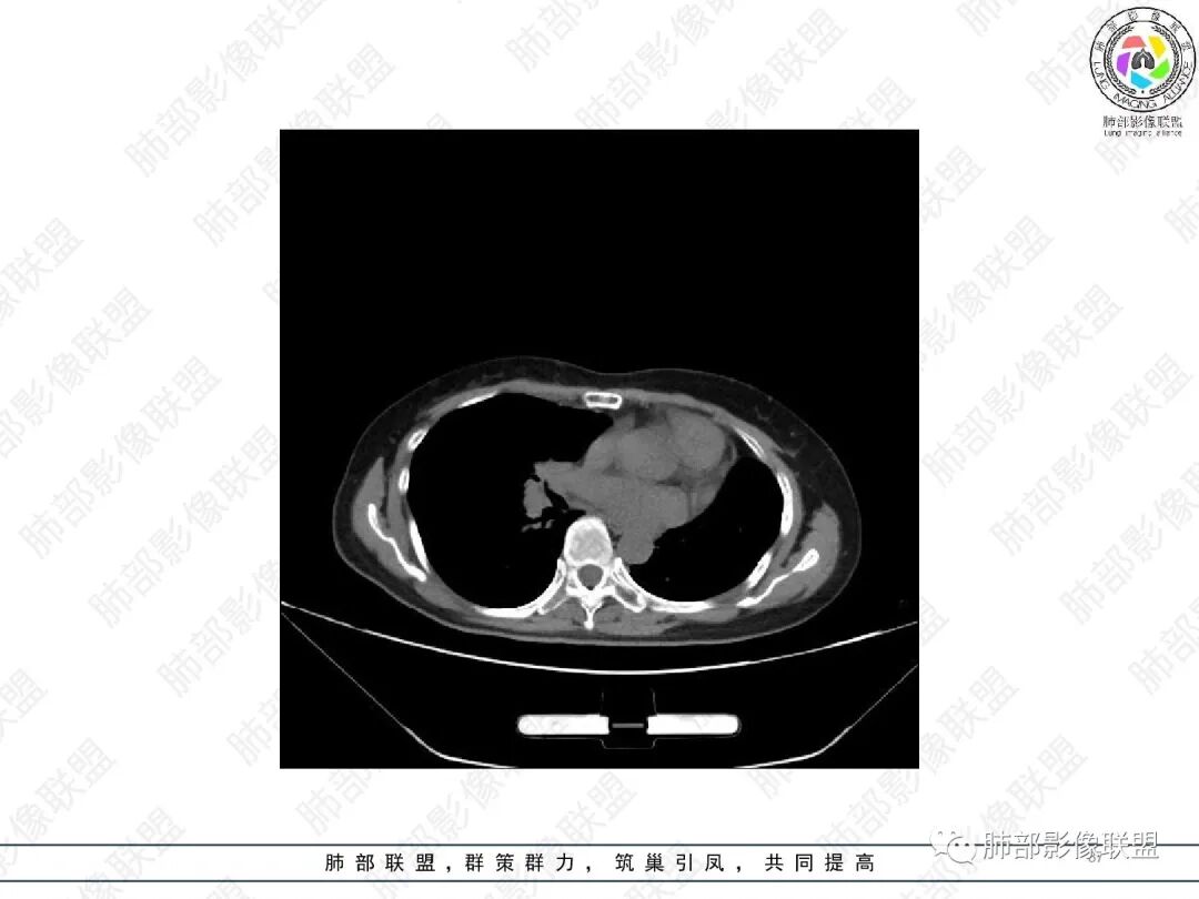
2.胸部CT:右肺上叶及中叶不规则块状影,沿支气管走行方向指套样影,支气阻塞湖嵌塞,腔内可见高密度影。灶周可见磨玻璃,外围见结节影及树芽征。左肺体积缩小,见不规则条索影、胸膜增厚,纵隔牵拉左移。
3.综合分析:结合患者病史及胸部CT主要鉴别ABPA(右肺上叶不规则块影,指套样顺延支气管方向,抗结核治疗1年,肺部病灶仍明显)及继发性肺结核TB(右肺上叶不规则肿块,其可见高密影,边缘模糊,周围卫星灶、树芽征,沿支气管爬行)。
     完善气管镜及病理、检验结果(IgE显著增高)等支持ABPA诊断。且给予激素及伊曲康唑治疗后复查胸部CT提示病灶较前吸收,所以诊断明确。
05
知识拓展
   变应性支气管肺曲霉病 (allergie bronchopulmonary as-pergillosis,ABPA)是烟曲霉致敏引起的一种变应性肺部疾病,表现为慢性哮喘和反复出现的肺部阴影,可伴有支气管扩张。该病相对少见,临床上常被误诊为支气管哮喘(以下简称哮喘)、支气管扩张等;而早期诊断、及时给予全身糖皮质激素(以下简称激素)治疗,可控制病情,防止不可逆性肺部损害的发生。
    临床表现:ABPA多于哮喘诊断多年后发病,但也可见于新发哮喘。与其他过敏性疾病常见于儿童不同,ABPA发病率在成年人最高。由于临床对该病认识不足,常被漏诊,往往发展至晚期出现不可逆性结构改变才得以确诊。ABPA的临床表现多种多样,缺乏特异性,主要表现为咳嗽、咳痰、喘息,还可见低热、消瘦、乏力、胸痛等。咳棕褐色黏冻样痰栓为特征性表现。存在支气管扩张时,可有不同程度的咯血。少数患者可以没有明显症状。急性加重时出现咳嗽、喘息、咯血、咳大量黄黏痰等。缓解期上述症状可消失或明显减轻。体检时肺部可闻及湿啰音或哮鸣音。晚期患者可出现杵状指(趾)和发绀。由于黏液嵌塞可引起肺不张甚至肺萎缩,体格检查可发现呼吸音减弱或闻及管状呼吸音。肺部浸润累及肺外周时,可发生胸膜炎,吸气时可伴胸壁活动受限和胸膜摩擦音。
    胸部影像学的特异性改变:随着胸部高分辨率CT(HRCT)的普及,ABPA常见肺部影像表现包括黏液嵌塞、支气管扩张、小叶中心性结节、树芽征和马赛克征等。根据是否有中心性支气管扩张,ABPA可分为变态反应性支气管肺曲霉病-血清IgE增高型(ABPA-S)和变态反应性支气管肺曲霉病-中心性支气管扩张型(ABPA-CB)。气道黏液嵌塞在ABPA很常见,胸部HRCT上表现为指套征或牙膏征。气道黏液栓通常为低密度影,但20%也可为高密度黏液影(high-attenuation mucus,HAM),定义为气道内黏液栓密度高于脊柱旁肌肉的 HRCT值,这也成为ABPA特征性的影像表现之一,外周细支气管黏液阻塞可见“树芽征”。中央性支气管扩张曾一直是ABPA诊断标准之一,但其用于诊断ABPA的敏感度仅为37%。此外,33%~43%的中央性支气管扩张也可延伸至外周,26%~39%的ABPA只有周围性支气管扩张。因此,目前认为中央性支气管扩张应视为ABPA的并发症,而非其诊断标准。

    治疗:ABPA的治疗目标包括控制症状,预防急性加重,防止或减轻肺功能受损。治疗药物在抑制机体曲霉变态反应的同时,清除气道内曲霉定植,防止支气管及肺组织出现不可逆损伤。
1.避免变应原接触ABPA患者应尽量避免接触曲霉等变应原,脱离过敏环境对于控制患者症状、减少急性发作非常重要。
2.糖皮质激素 口服激素是治疗ABPA的基础治疗,不仅抑制过度免疫反应,同时可减轻曲霉引起的炎症损伤。早期应用口服激素治疗,可防止或减轻支气管扩张及肺纤维化造成的慢性肺损伤。绝大多数ABPA患者对口服激素治疗反应良好,短时间内症状缓解、肺部阴影吸收。口服激素的剂量及疗程取决于临床分期。有研究提示,中等剂量激素与高剂量激素在治疗效果上相当,同时不良反应更少。建议对于I期和Ⅲ期患者,泼尼松的起始剂量为0.5mg/kg每日1次,2周;继以0.25mg/kg,每日1次,4~6周。然后根据病情试行减量,一般每2周减5~10mg,建议采用隔日给药方法。治疗时间依据疾病严重程度不同而有所差异,总疗程通常在6个月以上。对于Ⅳ期患者,可能需要长期口服小剂量激素维持治疗。吸入性糖皮质激素(ICS)不作为ABPA的首选治疗方案,单独使用ICS并无临床获益。但对于全身激素减量至≤10mg/d(泼尼松当量)的患者,联合使用ICS可能有助于哮喘症状的控制,同时可减少全身激素用量。
3.抗真菌药物 抗真菌药物可能通过减少真菌定植、减轻炎症反应而发挥治疗作用。对于激素依赖患者、激素治疗后复发患者,建议使用。研究发现伊曲康唑(itracon- azole)可减轻症状,减少口服激素用量,同时降低血清总IgE水平、减少痰嗜酸性粒细胞数目。成年患者通常的用量为200mg,口服,每日2次,4~6个月;如需继续用药,亦可考虑减至200mg,每日1次,4~6个月。伊曲康唑有口服胶囊和口服液两种剂型。服用胶囊制剂需要胃酸以利吸收,可与食物或酸性饮料一起服用,应避免同时服用质子泵抑制剂和抗酸药;而口服液则需空腹时服用。由于口服伊曲康唑生物利用度个体差异大,有条件者建议进行血药浓度监测。伊曲康唑在肝脏代谢,肝功能不全者慎用。总体而言,伊曲康唑副作用少见,包括皮疹、腹泻、恶心、肝毒性等。建议用药期间监测肝功能。近年研究发现其他唑类如伏立康唑(voriconazole)也具有同样的疗效,临床改善可见于68.5%~78%的患者,不良反应少见,包括肝功能损害、肢端水肿、皮疹、恶心、呕吐。视觉异常相对多见,停药后可很快恢复。对于伊曲康唑治疗无改善的患者,换用伏立康唑仍可见疗效。伏立康唑的用法用量:200mg,口服,1次/12h(体重≥40kg),或100mg,口服,1次/12h(体重≤40kg)。疗程同伊曲康唑。
4.其他药物 重组人源化IgE单克隆抗体-奥马珠单抗(omalizumab)治疗可改善症状,减少急性发作和住院次数,改善肺功能,减少口服激素剂量。但报道资料多为个例经验和小样本研究,目前暂不推荐常规使用。
(节选自呼吸病学第三版 人民卫生出版社)
南边课堂-关于ABPA与指套征








指套征相关知识复习
一、指套征形成的病因:
1、肿瘤∶支气管相关肿瘤性病变,典型者如鳞癌、神经内分泌肿瘤、涎腺肿瘤等等。
2、非肿瘤性∶结核、真菌、支气管结石、异物、支气管断裂和支气管闭锁等。

二、指套征疾病谱:支气管闭锁、支气管肿瘤(鳞癌、小细胞肺癌、类癌、粘液表皮样癌)、支气管结石及异物、ABPA、结核、支气管扩张病感染等。
参考资料:肺部影像联盟南边课堂--指套征的影像特点及鉴别诊断
往期精彩:【每日晨读】指套征疾病谱,一网打尽!
编辑:侯亚儒 雷  凤
审核:徐  晓    清  茶


到顶部