【每日晨读】关于凝固性坏死感染的双胞胎病例—肺放线菌病!




01
病例资料
























02
微信群讨论

一切∮随缘:
腺癌?鳞癌?
飞鹰行动:
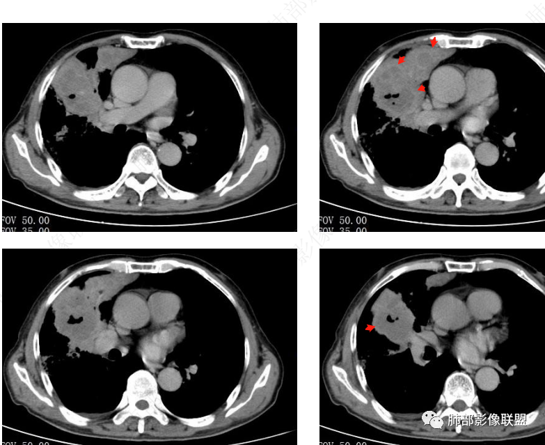
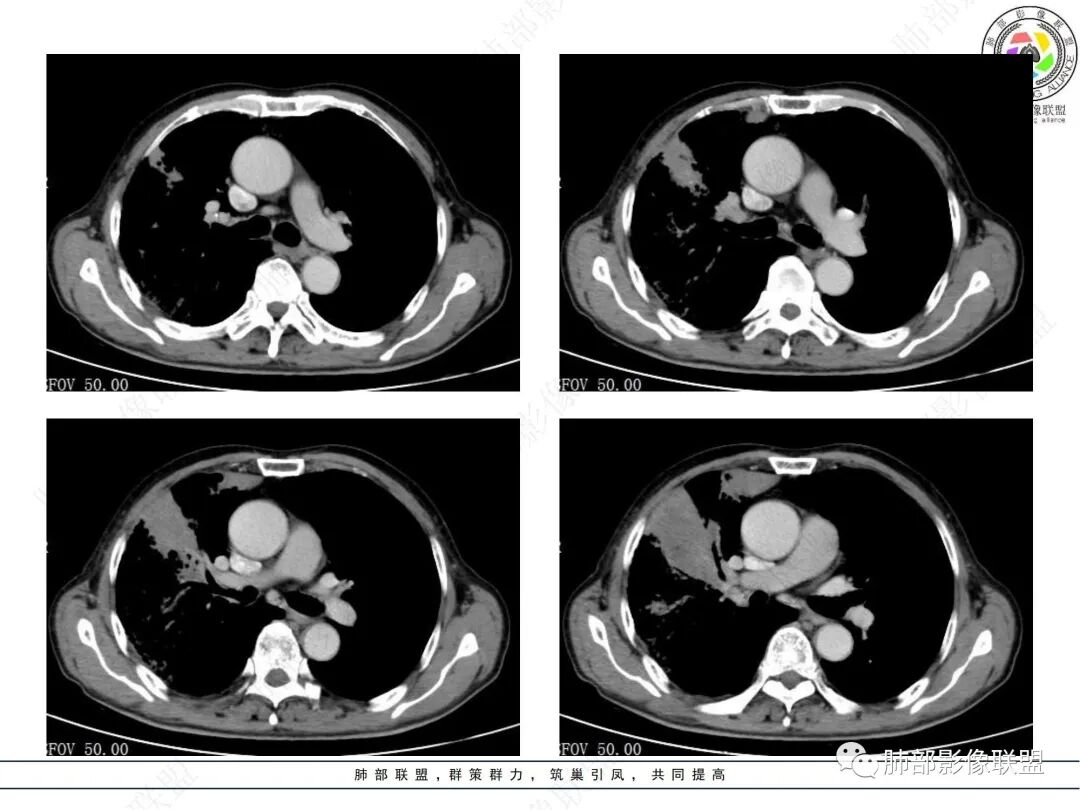
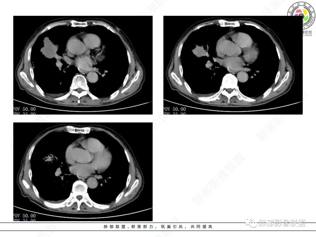
晨读病例,老年男性,乏力,纳差,近来发热,右肺上叶团片状阴影,内见空洞,空洞内壁不光滑,见短液平,增强病灶壁可见不均匀强化,似有边界不清晰的坏死,病灶周围可见片状模糊阴影,考虑恶性病变,鳞癌或腺癌伴感染。
王江涛:
老年男性,肺气肿背景,右肺较大分叶状肿块,密度不均,内坏死空洞形成,坏死区边界不规则,周围多发斑片蜂窝状、网格状高密度影,考虑鳞癌合并感染
宇宙:
右肺上叶及中叶不规则肿块伴周围模糊影,其内小叶间质结节样改变,肿块不均匀强化,坏死及空洞,坏死边界不清,血管显示尚可,考虑腺癌,鉴别淋巴瘤
傅昌瑜:
考虑恶性,有坏死,近端支气管未见截断,腺癌、粘液腺癌?鉴别鳞癌。
衡妈:



老年男性,有咳嗽发热。右肺中上叶团状软组织肿块,周围磨玻璃渗出改变,病灶内密度不均,可见低密度坏死及空洞影,空洞内壁凹凸不平,近肺门侧可见明显大面积坏死。近端支气管堵塞不明显。考虑恶性肿瘤伴感染,腺癌?鉴别鳞癌,感染性病变。
月亮圆了!:
右肺上叶团片状阴影,内见空洞,空洞内壁不光滑,偏心,,增强不均匀强化,内有边界不清晰的坏死,病灶周围可见片状模糊阴影,右下肺也有磨玻璃病灶,Crp高,腺癌
白衣影帝:
70岁男性,发烧病史,右肺巨大肿块,边缘分叶,内部空洞,洞内见附壁结节,局部支气管阻塞,肿块周围见大片阻塞性炎症;实验室检查,炎性指标增高;考虑恶性肿瘤伴阻塞性肺炎,鳞癌可能。
lily:
老年男性,乏力,纳差,发热。右肺上叶团片状阴影,密度不均,可见低密度坏死,坏死边界不清,可见空洞形成,见短液平;增强病灶呈不均匀强化,其内血管边缘模糊毛糙;病灶周围可见斑片状渗出病灶,支气管未见明确阻塞。综上考虑肺癌伴感染,鳞癌可能。
由零开始:
炎性指标升高,临床也有感染症状,大的支气管通畅,大面积实变,坏死,考虑感染,抗感染复查除外合并肿瘤。
如是:
老年男,肺气肿背景,少量胸水,恶性不能除外,病灶内似有空气悬浮,炎症指标高,放线菌也在考虑范围内,请结合病理
peek_knight:
偏心厚壁空洞,轻度强化,倾向恶性肿瘤,粘液腺癌或鳞癌可能,鉴别感染。
段建民:
老年男性,纳差和发热,炎症指标明显。右肺磨玻璃影伴有肿块,肿块呈膨胀性生长,内部没有气管影。首先考虑感染,并有肿瘤的表现。考虑鳞癌合并感染
放射线:
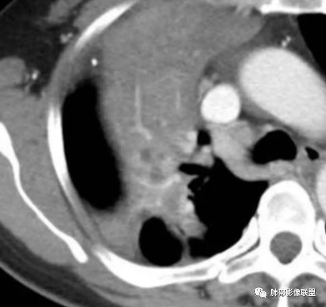
右肺上叶实变,密度不均,内可见小气液平,周磨玻璃影,斜裂稍内凹,右下肺可见斑片影,强化可见血管走行自如,右侧胸腔少量积液,考虑感染性病变,努卡?放线菌?
谢加平:
右肺上叶及中叶大范围实边,周围细网格,实边见支气管充气征,分布自然,实边坏死明显,坏死轮廓清楚,见小气泡及小气液平面,跨叶特点,坏死小气液面,炎性指标值高,方向肺坏死性肺炎,铜绿假单胞菌可能性大,治疗后肺部cT复查!
睡荷:
右肺上叶及中叶不规则肿块伴周围模糊影,其内小叶间质结节样改变,肿块不均匀强化,坏死及空洞,坏死边界不清,血管显示尚可,考虑重症肺炎,抗感染治疗后复查CT,做肺泡盥洗,NGS检查,查肿瘤系列,
王静 安阳地区医院CT:
右肺上叶肿块内部坏死不彻底,近肺门处有空洞,周围肺间质增厚,有磨玻璃。支持恶性肿瘤,腺癌可能
龚小萌:
老年男性,肺气肿背景,右肺上叶及中叶大范围实变影,边界不清,支气管通畅,其内见边缘膨隆软组织块影伴不规则坏死、空洞,增强扫描不均匀强化,洞壁显示不清,血管稍变细,实变影内另见多发囊样影,右肺下叶小片状影,病灶跨叶,炎性指标增高,感染应该有的,不除外合并恶性肿瘤(鳞癌?腺癌?)
位移:
首先考虑肺炎(放线菌 诺卡 铜绿),待排除合并恶性肿瘤,鳞癌/腺癌
周宇元-九江学院附属医院影像科:
老年男性,右肺多发片状影及网格状影,局部坏死,感染指标都高,先考虑感染,部分病灶团块影,建议治疗后复查除外肿瘤。
若小虞:
凝固性坏死,考虑肉芽肿性炎可能
go and see:
发热病人,淋巴细胞0.76偏低,白细胞及CRP明显升高,PCT轻度升高,胸部Ct:右肺多发结节肿块,边缘模糊,内见多发低密度影,内见凝固性坏死,首先考虑慢性化脓性肉芽肿炎,诺卡菌>放线菌>腺癌。
晨:
老年男性,有咳嗽发热。右肺中上叶团状软组织肿块,周围磨玻璃渗出改变,病灶内密度不均,可见低密度坏死及空洞影,空洞内壁凹凸不平,近肺门侧可见明显大面积坏死。考虑肺脓肿,鉴别鳞癌。
若晗:
男性,右肺病灶,可见有肿块,气管堵塞伴坏死,考虑鳞癌伴坏死
渣渣:
这一块是癌淋吧
良孑:
右上肺大片状实变,邻近肺野网格状间质改变,实变内见低密度坏死及悬浮气泡,实变内见多发环强化,血管影走行自然,急性病程,炎性标志物升高,首先考虑感染性病变,放线菌肺炎或TB可能性大,右上肺间质病变并大片实变,诊断思路要高度考虑有否併发恶性占位的可能,鉴别一下腺癌
毛勤香:
感染肯定是存在的,就是团片灶近端稍膨隆,冠状位有空洞形成的感觉,气管堵塞不明显,老年男性,肺气肿背景,需警惕合并鳞癌
流心明智:
男,70,反复乏力、纳差20天,发热1天。胸部CT:肺气肿背景,右肺上叶中叶大团片影,实变十磨玻璃渗出。增强实性斑片影内密度不均,可见多发低密度坏死及不规则空洞影,空洞内壁尚光滑,血管边缘模糊。支气管管壁增厚,管腔通畅。右下叶可见小片渗出影。考虑支气管肺炎进展?病原考虑能形成肉芽肿、坏死空洞的微生物,TB?奴卡?鉴别鳞癌。
那个人:
老年男性,乏力纳差,进食量明显下降,发热,后期少许黄脓痰,无咯血。无胸痛。未提口腔卫生情况,发热时间段不明确,肺气肿背景,气管内痰拴还是其他?觉得是外朝内进展病灶,右肺多叶段病灶,支气管通畅,支气管壁弥漫增厚,实变病灶内有坏死,坏死边界比较清晰,血管破坏不明显,周围散在磨玻璃,边界模糊,无树芽,实变内可疑小钙化,右侧胸水,肺门纵隔淋巴结无明显肿大。病史不太支持化脓菌感染,真菌里隐球强化不太支持,结核需要排除,厌氧菌感染带排,冠状位矢状位病灶觉得类圆形,临床肿瘤也是不能轻易排除的
晓锁:
发热,炎性指标高。右肺上叶实变影,凝固型坏死,裂隙状空洞,有钙化,有间质结节,考虑感染性病变,TB可能,鉴别肺炎性肺癌。
唐绍宏老师分析
唐绍宏 通化市中心医院 呼吸科:

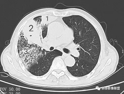
病灶1、2、3,怎么用鳞癌、腺癌解释?




这能用缺血性坏死解释吗?

肉芽肿性炎,支气管肺炎,坏死性炎,
上肺优势;3是血管侵袭
奴卡>放线菌
2呈现奴卡之角

这个病灶,鳞癌肯定可以排除了
腺癌、放线菌也不符合,奴卡解释可以
南边老师分析
南边:老年男性,20天病史

厌油,不知道肝胆是否有问题?
自服草药就不好说,疗效不佳,38.7度,这些提示感染

肿瘤标志物不高,主病灶在前段

了:
降钙素原 不高,这么大的一片感染,存疑
尘缘:
侵润性(粘液)腺癌。
南边:
前段大一些的支气管通畅


两个病灶独立,又有关联性,内侧病灶近端的支气管包绕在外侧病灶之中,但是走形自然

无堵塞迹象,支气管壁弥漫增厚

腔通畅
内部大片坏死区,其中还有不规则空洞

坏死腔内壁清,有强化环

窗宽宽了一些
了:
血管征也明显
南边:
肺动脉在实变区走形自然,坏死腔周围受压推移,走形自然,坏死区内破坏


肺气肿背景

周围GGO,不能考虑癌性淋巴管炎
南边:
考虑的方向:
1、中央型肺癌:腔内为主——堵塞,不符合,支气管还是通畅的;腔外为主,不符合,会在肺门区周围团块,而不是远端
2、外朝内蔓延的恶性肿瘤:肺炎型肺癌——坏死腔内壁光滑,内部是坏死中空洞,而非假大空,放待排。癌肉瘤?不是一个类圆形团块。
3、炎性病变:觉得蛮符合的
南边:
支气管壁弥漫增厚,周围GGO,粘液腺癌啊GGO是靠近病灶区密度高,外围低,这一例不是很符合
这类坏死区内空洞,提示坏死液比较粘稠
了:
那就是脓性的
南边:
不是液化坏死,液化坏死,这么大,有气体进来按理会形成液气平面
谢加平:
凝固性坏死
最后一束散射线:
晨读考虑感染。
南边:
结核,大病灶可以符合,就是周围大片GGO,而无树芽征,不踏实啊
了:
那就是感染可能性很大
胸一丁翔:

胸一丁翔:
上叶前段病变,中叶外侧段受侵。依据南大思路,感染病变更容易跨叶?是不是更支持感染
南边:
炎性多见,而且要警惕放线菌
良孑:
炎性标志物升高,有悬浮气泡,是耍首先考虑放线菌
03
病理结果














经典病例回顾

01
病例资料















02
微信群讨论
摘星空竹子:
肺部影像联盟晨读病例
考虑OP伴脓肿或放线菌,鉴别腺癌。
宇宙:
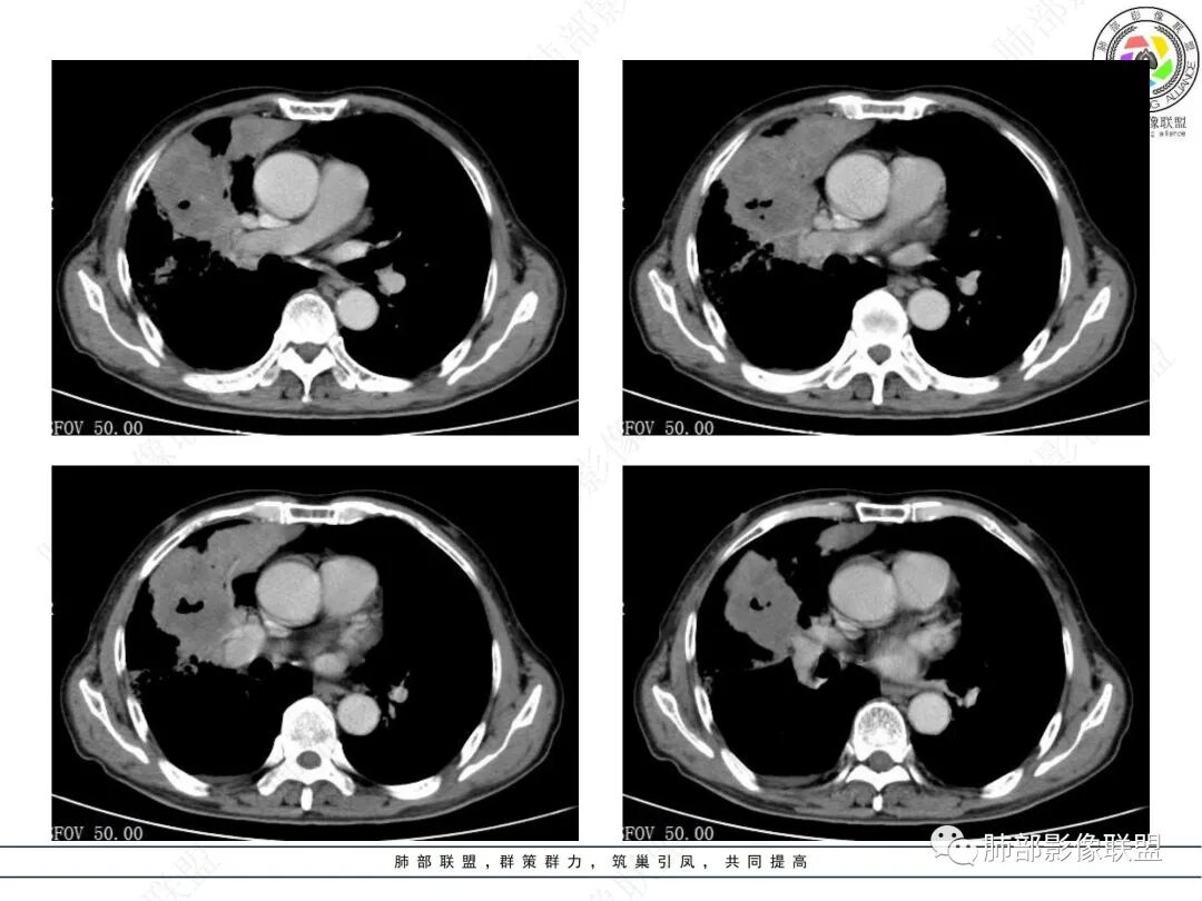
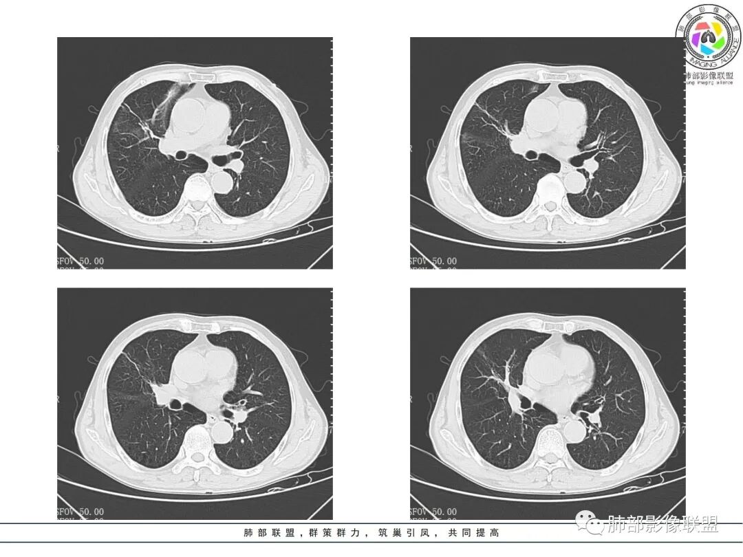
右肺上叶实变,宽基底与胸膜相连,邻近胸膜积液,上叶支气管阻塞,不均匀强化,血管显示可,局部坏死环形强化,可见气泡,考虑慢性炎症伴脓肿,放线菌?鉴别腺癌
周宇元-九江学院附属医院影像科:
晨读悬浮气泡,跨叶,病程长,放线菌?
doctor:
肺部影像联盟晨读病例考虑放线菌病,鉴别腺癌。
王静 安阳地区医院CT:
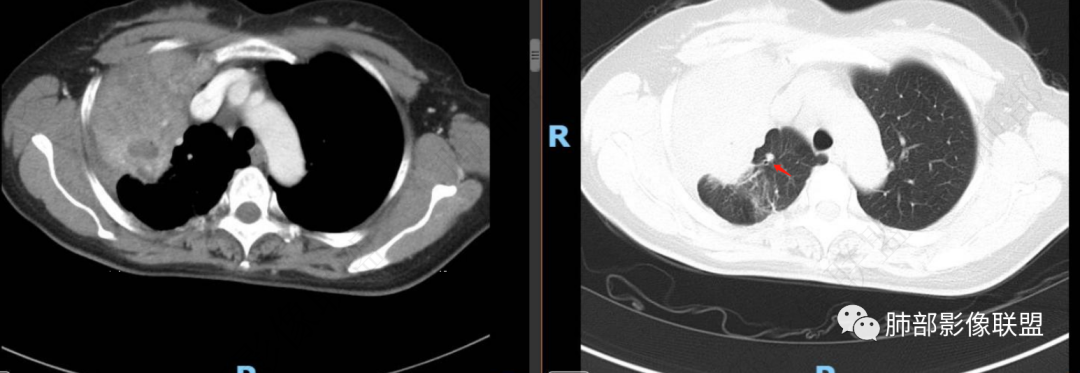
右肺上叶尖段大片状实变,近肺门侧支气管闭塞,并可见病灶内部有片状液化坏死区,有空泡气体,病灶紧贴胸膜,胸膜反应性增厚,伴有少见积液,增强扫描内部不均匀强化,血管走形正常。影像符合慢性化脓性感染。
rouzao:
右肺上叶大片实变影,内密度不均匀,可见坏死环形强化,支气管被粘液栓阻塞,首先考虑感染性病变,奴卡?放线菌感染?
Kirin 9000:
右肺上叶大片实变,密度不均,中度不均匀强化,有坏死、支气管粘液栓,病灶边缘清楚,无胸膜下栽赃,考虑炎性,临床病程长,无发热,血项也不支持普通炎症,考虑特殊感染,TB?曲霉?放线菌?
白小兔:
远端阻塞性肺炎征象!注意下右肺上叶气管的堵塞情况!我考虑右肺上叶气管肿物伴阻塞性肺炎可能!气管镜检查进一步明确!
放射线:
右肺上叶大片实变,密度不均,近端环形强化并见空泡,病灶与胸膜广基相连,之间并可见积液,考虑放线菌,鉴别腺癌
peek_knight:
晨读:右肺上叶实变,密度欠均匀,不均匀强化,内血管走形可,近端环形强化并见空泡,考虑放线菌可能,鉴别腺癌
蓝气球杨:
右肺上叶实变,宽基底与胸膜相连,不均匀强化,血管显示可,局部坏死环形强化,可见气泡,考虑慢性炎症伴脓肿,放线菌?鉴别腺癌
361度:
右上叶前段可疑肿物,明显强化,支气管阻塞,远端不张,粘液栓,考虑恶性,类癌。鉴别慢性感染。
尘缘:
近端支气管堵塞,强化不均匀,还是支持恶性(类癌,腺癌,涎腺类癌),远端合并感染和不张。
晓锁:
首先看肺实变不张的范围,病灶由外向内,病灶未见强化,内多发小气泡,边缘环形强化,考虑慢性感染性病变,放线菌?曲霉菌球?
南边:



谢加平:
右主支气管周围多发淋巴结肿大融合(提示右主支气管有外受压变窄),右肺上叶尖前不张,内见支气管粘液栓和坏死及环形强化特点,邻近胸膜增厚及右肺上叶后段支气管扭曲及狭窄后扩张,周边索条纤维化,综合TB表现,超声支气管镜检查。
南边:

南边:
腔内有占位吧



图不太清,好像支气管粘液栓在肺门区突然截断
姜文强:
联盟晨读:支气管远端通畅,近段似乎是压迫,空泡,跨叶,支持放线菌
姜文强:

若小虞:
凝固性坏死,肉芽肿性炎症,放线菌可能
红星:
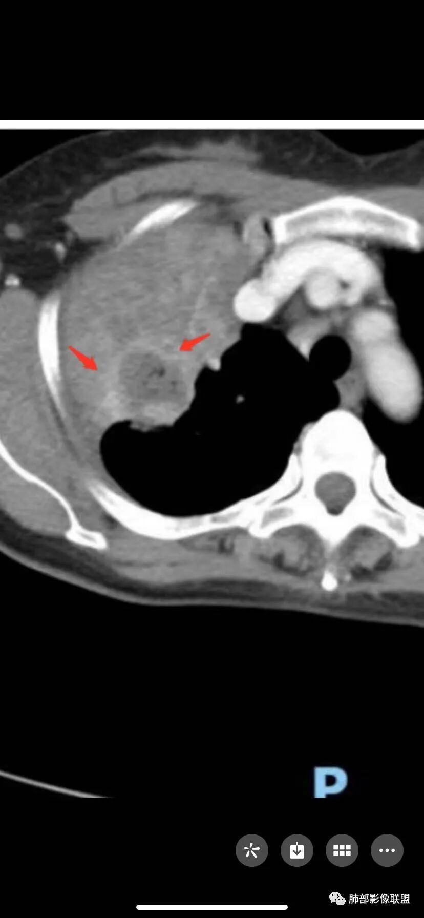
老年女性患者胸痛咳嗽半年多时间。右肺上叶大片状实性病灶,近端支气管受压变窄。病灶内部密度不均,伴有不均匀强化,有局灶坏死,以及有支气管造影征,胸膜面显示不行,伴有少量的积液,病灶有局部的膨胀,纵隔淋巴结增大。
病灶的主要特点支气管变窄,病灶内及淋巴结有血管的漂浮。淋巴瘤及腺癌的可能性大。鉴别诊断:奴卡或TB?
若小虞:
结核也挺有可能的
红星:
就是觉得,没有空洞破溃出来的,支气管播散的量太少了
刘和林:
支持感染,放线菌,看看口腔卫生情况怎样,是否拔牙?鉴别结核
飞鹰行动:
晨读病例,病灶有膨胀性生长及收缩性,相邻胸膜可见栽赃征,增强血管造影征及局部环形强化,考虑淋巴瘤?OP?
红星:
老年女性患者胸痛咳嗽半年多时间。右肺上叶大片状实性病灶,近端支气管受压变窄。病灶内部密度不均,伴有不均匀强化,有局灶坏死,以及有支气管造影征,胸膜面显示不清,伴有少量的积液,病灶有局部的膨胀,纵隔淋巴结增大。
病灶的主要特点支气管变窄,病灶内及淋巴结有血管的漂浮。淋巴瘤及腺癌的可能性大。鉴别诊断:奴卡或TB?
衡妈:

学习韦老师,老年女性。右肺上叶大片实变?斑片状磨玻璃影,近端支气管受压变窄,实变内密度不均,周围胸膜牵拉收缩,侵犯至壁层胸膜外。增强后实变内可见血管漂浮,局部不强化坏死,右肺门及纵隔可见淋巴结增大。上肺体积有缩小,局部有肺气肿。考虑恶性肿瘤,淋巴瘤可能,鉴别腺癌。如果是感染性病变,应该是慢性的,鉴别结核?
刘丹:
晨读,中年女性,咳嗽半年,右肺上叶斑片影,可见坏死及环形强化,血管影走形自然,胸膜增厚积液,纵隔淋巴结增大,右肺上叶支气管阻塞,考虑慢性炎症伴局部脓肿形成,鉴别腺癌?淋巴瘤?
张延军:
中年女性,咳嗽,咳痰半年,CRP升高,右肺上叶大片实变,密度不均匀,边缘部见类圆形低密度影,内夹杂气体影,增强后呈环形强化,病变内血管走形征象,边缘略毛糙,考虑①炎性伴脓肿形成②上叶支气管截断,恶性不除外,鳞癌?
良孑:
右肺门结节,显著强化,内可见坏死及悬浮气泡,远端阻塞性肺不张,心脏纵隔右移,结节及不张内血管影走行自然,并可见粘液拴,隆突下淋巴结肿大,慢性病程,病变跨叶,首选感染性病变放线菌感染,其次鉴别腺癌
衡妈:
估计我又错了,要好好学习放线菌
lmg:
晨读:右肺上叶大片状实变影,血管走形自然,可见类圆形低密度区,其内可见气泡影,纵膈内可见肿大淋巴结显示。考虑慢性炎症并脓肿形成,放线菌可能。鉴别淋巴瘤、腺癌。
了:
中年女性,反复咳嗽半年,慢性病史,实验室检查无特殊,胸部CT右肺胸膜及纵隔胸膜及夜间胸膜肥厚并肿块影,局部胸膜隆起,不均匀强化,可见低密度坏死或出血,可见血管征,总体考虑恶性,胸膜间皮瘤?
南边:
这是肺内的,不符合胸膜的
南边:

南边:


南边:
这类病例的分析不在外围,可惜图不够
杜开锋老师,在吗?我想看看肺门区的图,观察支气管堵塞情况.

病史半年,比较久

这是尖段的支气管吗

堵塞的是前段?后段?还是整个上叶支气管?这些应该是伴随的支气管,腔内粘液栓?

南边:
有脓腔,内壁光滑、强化环——支持感染


远端是不张合并感染

我需要了解:近端支气管腔内、壁情况
是肿瘤堵塞?还是炎性病变所致?
关键点在肺门,我需要看清楚肺门的表现,远端的是继发的
宇宙星空:

南边:
一两个断面容易假象
Coke with ice:
这个病例还是挺有难度的
宇宙星空:
支气管堵塞处结节状强化明显
Coke with ice:
我猜个炎性病变在前,猜结核。
云帆沧海:
晨读:右肺上叶肿块,胸膜下脂肪间隙消失,增强见不均匀强化及坏死灶,可见血管漂浮征,考虑恶性
谢加平:
右主支气管周围多发淋巴结肿大融合(提示右主支气管有外受压变窄),右肺上叶尖前不张,内见支气管粘液栓和坏死及环形强化特点,邻近胸膜增厚及右肺上叶后段支气管扭曲及狭窄后扩张,周边索条纤维化,综合TB表现,超声支气管镜检查。
谢加平:

谢加平:
右肺上叶后段支气管狭窄后扩张,周边纤维化,TB特点之一。
南边:
腔内有占位吧?图不太清,好像支气管粘液栓在肺门区突然截断
南边:








看图说话:
右肺大片状高密度灶,密度不均,近端支气管堵塞,强化结节,远端气管粘液栓,考虑恶性,粘液表皮样癌?
采莲:
中年女性,反复咳嗽半年,右肺上叶肿块,支气管有截断,右肺门有肿大及钙化,右侧包裹性积液。CRP轻度升高,考虑恶性肿瘤,肺癌可能,鉴别慢性炎症。
毛勤香:
有脓肿有气泡形成,感染是存在的,就是支气管堵塞,堵塞附近血管似乎增多,是否合并占位需要更多细节来看,或者纤支镜检查
Coke with ice:
这个坏死可能是和结核的鉴别点
南边:
我觉得还是要看肺门区支气管
谢加平:
同感,坏死区出现气泡,
南边:
这类病例的分析应该是先通过肺门支气管判断是否炎性,再去考虑病原菌
那个人:
是能有支气管镜保驾更稳妥
唐绍宏 通化市中心医院 呼吸科:



唐绍宏 通化市中心医院 呼吸科:
肺放线菌病
黄高晓:
@唐绍宏 通化市中心医院 呼吸科?唐老师有疑问:女患者,不像吸烟,血糖也正常,不过影像的确很象放线菌。
唐绍宏 通化市中心医院 呼吸科:
牙根龋齿是根本,糖尿病吸烟喝酒只是诱因,牙根部的牙菌斑及进一步发展为牙根部的龋齿是关键。
03
病理结果




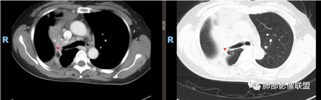
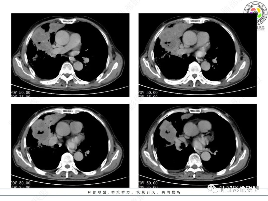
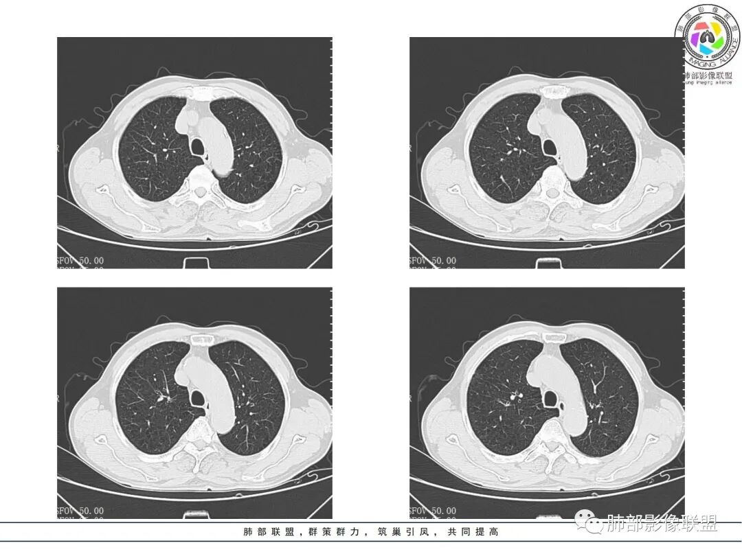
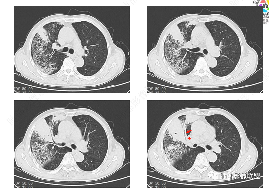
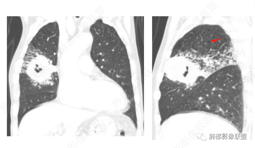
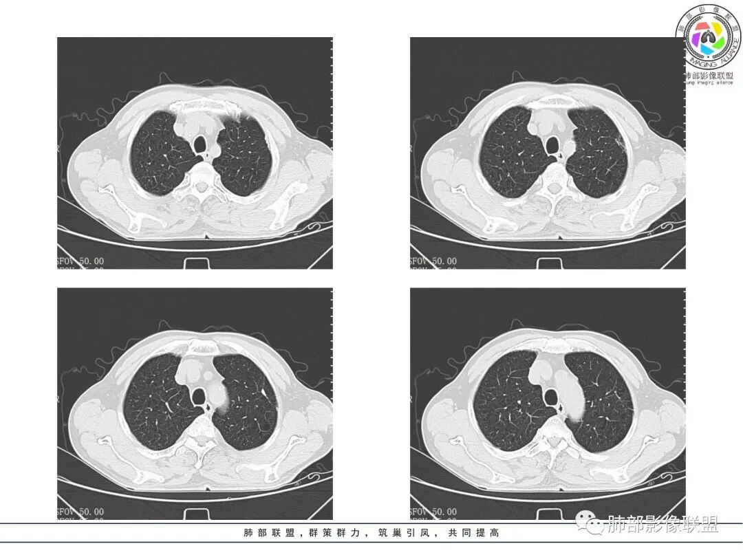
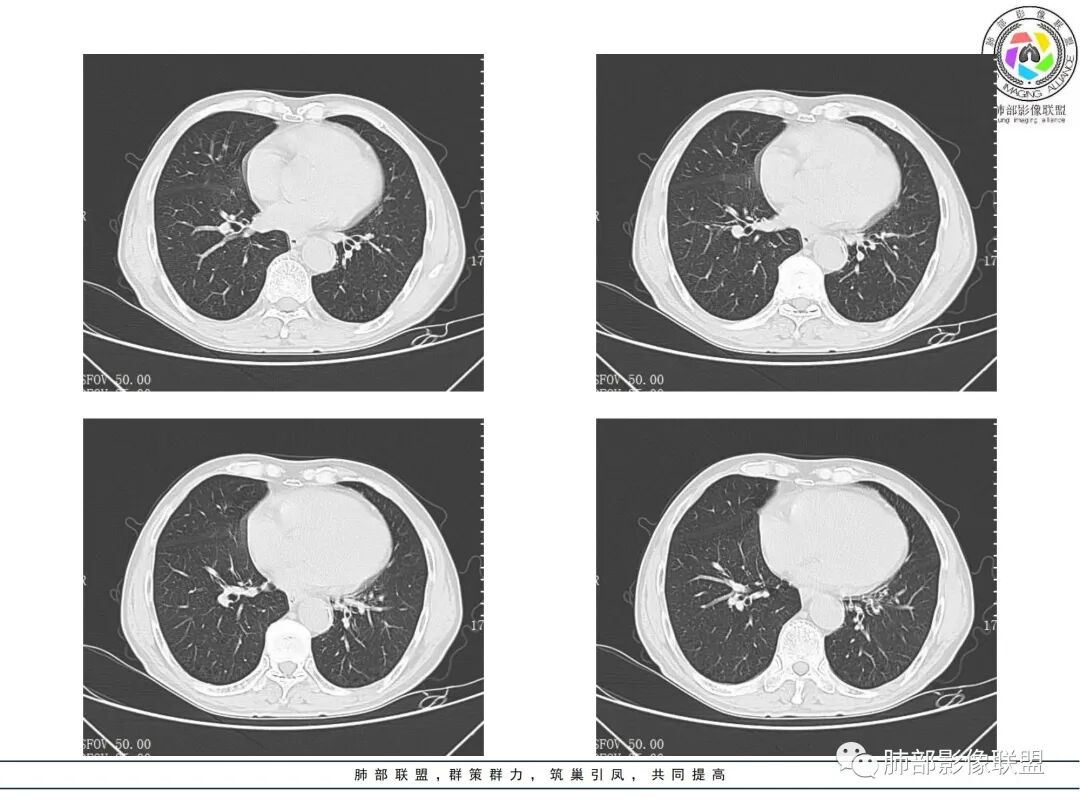
治疗前后对比CT:
放线菌病
一、放线菌病定义:
放线菌病是放线菌引起人兽共患的一种渐进性、化脓性、肉芽肿性的亚急性至慢性感染性疾病。以局部扩散, 化脓或肉芽肿性炎症、多发脓肿和窦道形成-“硫磺颗粒”为特征。放线菌病由Langenbeek在1845 年首先叙述, 我国1904年首次在宜昌发现牛放线菌病, 1911年首次报告人颜面部放线菌病。
二、病原学特点:
1、放线菌(Actinomycetes)是一类丝状分枝的单细胞原核微生物, 属细菌的一种特殊类型。放线菌属多为厌氧性或微需氧性,革兰染色阳性、抗酸染色阴性, 菌体呈长丝状, 纤细分枝, 直径0.2 ~ 10μm, 其貌似真菌, 实为原核微生物,因菌落呈放射状而得名。
2、放线菌是条件致病菌, 常寄生于人类或动物口腔龋齿、扁桃体隐窝,上呼吸道、胃肠道和泌尿生殖道(女性外生殖器)。人类放线菌病致病菌多为衣氏(以色列)放线菌,其他少见菌种有内氏放线菌、龋齿放线菌等。
三、流行病学:
1、放线菌病特点:散发、内源性疾病、无明显传染性;
2、可发生于各个年龄组,青壮年多见,10岁以下儿童少见,男:女约为3:1,农民及野外作业者较多见, 城市发病率为农村的1 /10。
3、主要侵犯口腔和面颈部(55%), 腹部(20%), 肺部(15%)。肺放线菌病发病率低,年发病率约为1/300000,但其在肺部致死疾病比例占到15%。
4、易感因素:如口腔卫生差、糖尿病、免疫抑制、营养不良、外科手术、口腔肿瘤或感染、头颈部恶性肿瘤的放疗中等。随着人们生活质量提高、卫生条件改善及治疗手段改进,放线菌感染率已显著降低。但近年来抗生素、激素、细胞毒性药物和免疫抑制剂大量应用,该病的发病率又有增加趋势。
四、发病机制:
1、一般并不致病,当机体全身或局部(如皮肤粘膜机械屏障受损)抵抗力下降,尤其是同时伴有其它需氧菌感染而利于厌氧性的放线菌生长时,可引起放线菌病;
2、肺放线菌病多伴发于因口咽部和胃肠分泌物吸入细小支气管引起的肺不张、肺炎。
3、无抗生素时代,腹腔感染经横膈播散至胸腔引起肺部放线菌感染是主要致病途径;随着抗生素普及应用,上述感染途径已大大降低。
4、极少数患者有明显免疫缺陷或/和感染的放线菌致病性较强时,可引起严重的血行播散
五、治疗:
肺放线菌病是种可致死性感染性疾病,早期治疗治愈率高达90% 。通过大量随机对照实验及临床观察证实青霉素为治疗放线菌感染的首选抗生素,但治疗方案应个体化,一般推荐剂量为:最初每天给予青霉素静脉注射1800-2400万单位,持续2-6周后继续给予青霉素或阿莫西林维持治疗6-12个月。青霉素过敏者可改用四环素替代治疗,孕妇可换用红霉素,氯霉素及克林霉素也可供选择。手术治疗目前尚有争议,在已有并发症如脓胸、窦道、肺脓肿等发生时单纯抗生素抗感染治疗效果不佳,需通过外科引流脓肿、脓胸同时切除窦道,术后立即给予抗生素作用于术区以防感染扩散。目前经皮穿刺引流术联合内科药物治疗是一种为多数临床医生赞同的治疗方式。近期有国外研究组应用短期疗法治愈此类扩散性胸部放线菌感染。Kinnear和Macfarlare报道了用抗生素治愈的19例胸部放线菌病患者平均时间为6周(最短时间为1周,最长为6个月),其中7例患者同时行手术治疗。Hsieh等用青霉素静脉注射2周再持续给予3个月静脉注射成功治愈16例患者,如有较大范围胸部或腹部感染灶者不能使用短期疗法(除非感染灶被切除)。术后必须使用足量抗生素,否则会引起严重并发症如支气管胸膜瘘或脓胸。目前尚无证据表明肺放线菌感染与机体免疫力低下直接相关,但据统计散发的各病例多见于HIV感染患者、急性白血病化疗期、肺或(和)肾移植术后及激素治疗期等免疫力低下或者缺陷患者 。
六、肺放线菌病:
临床起病隐匿缓慢,病程可持续几年,临床症状及体征无特异性,根据受累部位可表现为不同的症状及体征。常见症状包括咳嗽、咳痰、痰血、发热、胸痛等,这些表现类似于常见的呼吸道疾病如肺结核,肺癌,肺炎等; 累及胸膜可形成脓胸和胸壁瘘管并排出含硫磺色颗粒脓液; 累及纵隔,可致呼吸困难或吞咽困难,严重者可导致死亡。可出现肺部湿罗音、肺实变、胸膜摩擦音或胸腔积液等体征。
七、病理: 
早期病灶中放线菌的周围以中性粒细胞居多,形成多发脓肿,脓肿内可查到“硫磺颗粒”,周围有单核细胞和多核细胞,后期病灶中见上皮样细胞和巨噬细胞,类似结核性肉芽组织。放线菌病在组织学上的确诊有赖于在化脓灶内找到“硫磺颗粒”及革兰阳性的纤细分枝菌丝。“硫磺颗粒”由放线菌、巨噬细胞、类上皮细胞、多核巨细胞、嗜酸粒细胞和浆细胞及外层纤维蛋白包裹,呈黄色,核心部分是菌丝缠结而成,菌丝向四周放射状排列,形成菊花状,菌丝末端有胶质样物质,组成鞘包围,膨大呈棒状,折光性强。
八、影像特征:
1、慢性病程:慢性或亚急性化脓性肉芽肿性炎。
2、跨区域生长:放线菌不受解剖学屏障限制,可经胸膜进入胸腔或其他肺叶,可出现跨叶或累及胸膜、胸壁。
3、脓肿和坏死:局部扩散、多发脓肿、窦道形成,空气悬浮征。
参考资料:肺部影像联盟:《肺放线菌病1粒并文献复习》2021年7月16日
编辑:王鑫
审核:雷 凤  徐 晓



到顶部