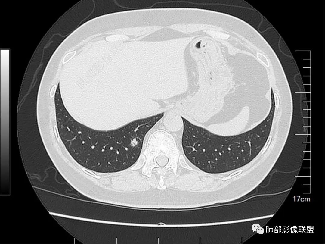
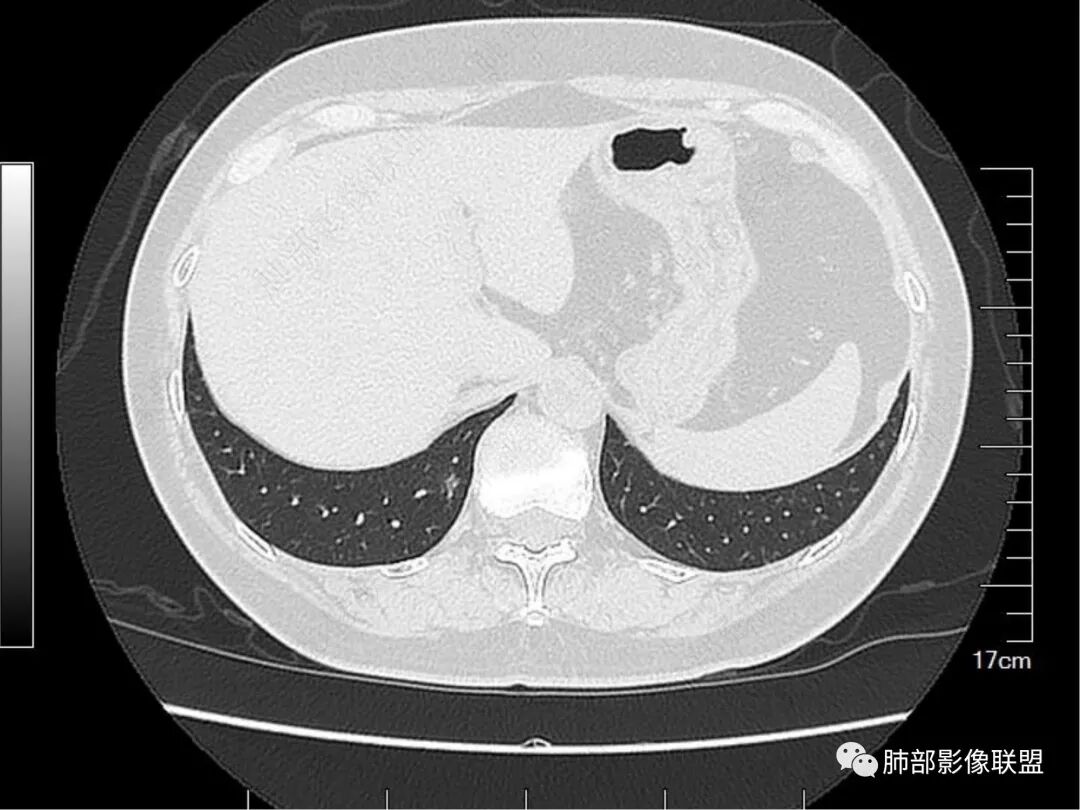
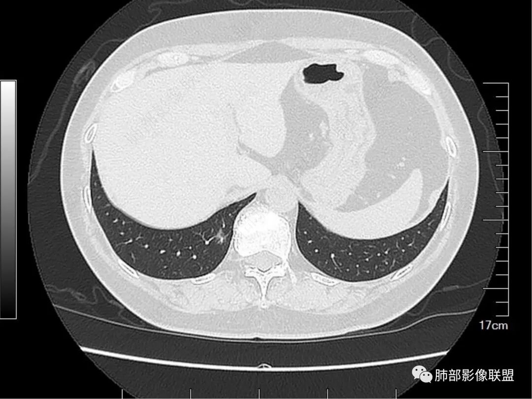
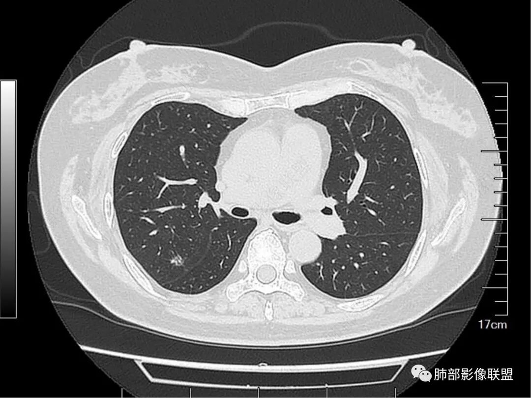
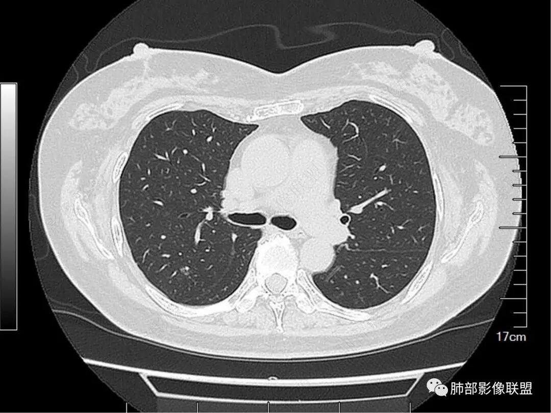
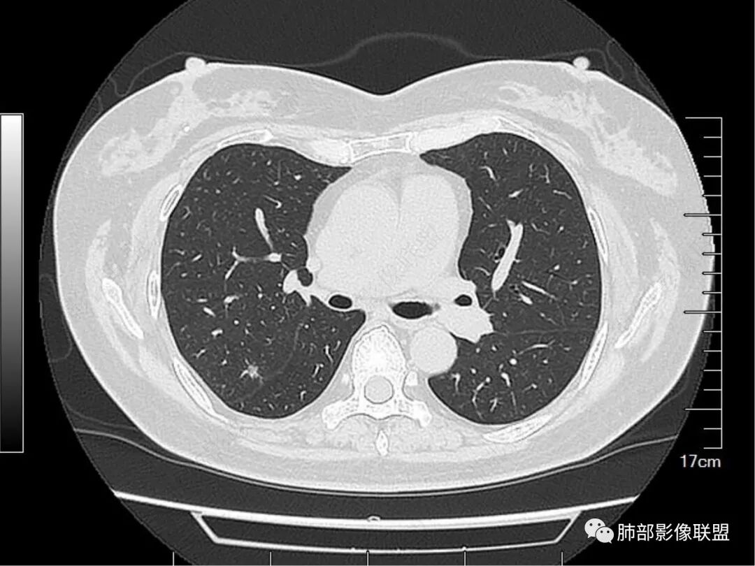
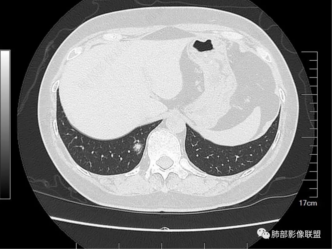
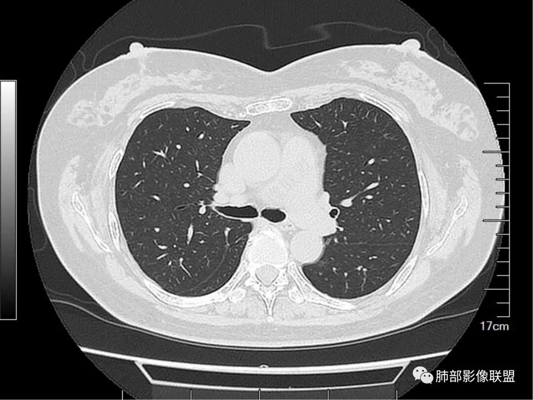
病例资料
![]()
![]()
![]()
![]()
![]()
![]()
![]()
![]()
![]()
![]()
![]()
![]()
![]()
![]()
![]()
![]()
![]()
![]()
![]()
![]()
![]()
![]()
![]()
![]()
![]()
![]()
![]()
![]()
![]()
![]()
![]()
![]()
![]()
![]()
![]()
![]()
![]()
微信群发言
飞鹰行动:
老年女性,右肺多发结节,形态不规则,有一定的收缩,内可见支气管影,周围可见边缘模糊的磨玻璃及长毛刺,考虑炎性病变,隐球菌感染可能。
了:
老年人,右肺上叶后段小结节影,边缘清楚,血管进入,内可见支气管穿行扩张,周围晕征,边界清楚,胸膜牵拉,考虑腺癌。
王江涛:
考虑多中心腺癌
曹志勇:
这个不敢拍死腺癌,也有可能是慢性炎,尤其是上叶病灶,找不到磨玻璃成分。
晨:
老年女性,右肺多发结节,形态不规则,有一定的收缩,内可见支气管影,周围可见边缘模糊的磨玻璃及长毛刺,考虑炎性病变。
小丽:
右上肺膜玻璃影,边界清楚,临近胸膜牵拉,考虑腺癌,右下肺病灶考虑炎症。
金豆:
MALT,鉴别多原发腺癌。
风往北吹:
右肺上叶后段结节,考虑良性病变,肺泡腺瘤或者细支气管腺瘤可能,右肺下叶病变拍死炎性结节并局部纤维增生
张延军:
右肺上叶后段及下叶后基底段混合磨玻璃结节,界不清,内似见扩张支气管,一年间有增大,考虑腺癌可能性,建议抗炎半月后复查
风往北吹:
右肺上叶病变比较怪,不太像腺癌表现,下叶病变可以拍死炎性并纤维增生了
琦遇:
右肺上叶后段病灶考虑腺癌,右肺下叶后基底段病灶考虑粘液性腺癌,上叶病灶GGO清晰,收缩力强 下叶的病灶GGO模糊不清、收缩力弱
韦学:
右肺上丶下叶病灶考虑同性质,混合磨玻璃结节,很多地方不太支持恶性(腺癌),比如扩张支气管可以在结节周边,以下叶的结节明显,磨玻璃边界欠清!综合考虑良性结节,支气管畸形结节可能!
南边:
就是没看到复查片总不踏实。这个结节的特点有些怪,连续的层面显示内部、边缘就是一张网格,走形非常自然,这些图,你看到的GGN边缘就不踏实,这是GGN边缘?还是就是增厚的间质
弹指之间:
老年女性,体检发现、一年“稍增大”,右上肺结节(扩张小支气管或空泡+收缩力明显),考虑腺癌(腺泡为主),右下肺结节(边缘模糊GGO+扩张小支气管),考虑肉芽肿性炎(隐?),一元论:MALT不考虑(右上肺病灶收缩力太明显)
谢加平:
右肺上叶后段及下叶后基底段亚实性结节,边界清楚,不规则,支气管血管破坏,结节见小空泡感,老年女性,复查拟有所增大,支持恶性,IAC。
良孑:
右肺多发磨玻璃结节,上叶结节可见分叶及空泡,结节内血管穿行,血管影粗细不均,结节内支气管扭曲,定性恶性,下叶者结节较散,边界不清,综合分析支持多原发微浸润性腺癌,实际工作中右上结节为主病灶,诊断恶性依据充足,右下病灶建议抗炎后复查更稳妥
END
病 例 结 果
![]()
END
且听曹冠杰老师的分析
1. 病史简单,老年女性,体检发现肺结节,1年后复查病灶可疑稍增大。
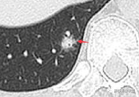
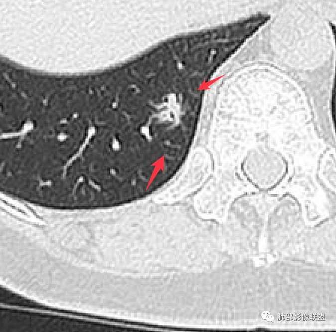
2. 首先定位。这个病变位于胸膜下、肺内病变没问题。请仔细看箭头所示的条索影,我感觉像小叶间隔。
![]()
伪影太重了。仔细看,这里是两个支气管分支。而且倾向于小支气管或细支气管水平
![]()
继续看。病变的偏远端依然有支气管通行。
![]()
病变的定位,是次级肺小叶内,包绕小叶中心结构,并且有一部分病变是局限于一个腺泡结构的,也就是Reid'S小叶;
我们先分析支气管。刚才的截图是明确可以看到支气管显示的。那么它是扩张吗?
再来。注意看病灶下缘的这个支气管,这里几乎没有病灶了。与周围临近的支气管相比。
![]()
所以,这些支气管显影,大概率不是牵拉支扩,而是肺泡填充以后的支气管显影。当然,可能存在轻微的支气管扩张。但是,已经不是病变的主要因素。后面还有证据支持。
看完支气管我们继续看这个次级肺小叶的背景。
![]()
这里几乎是病灶的最上缘。明显是有丝丝拉拉的不干净的背景,与周围正常组织比较,很明确。
较中央的区域。明确的细网格,多发的。
![]()
这个细网格可以是什么引起呢?
1.血管因素,增粗的血管可以;
2.淋巴道因素,比如淋巴瘤、反应性淋巴增生;
3.结缔组织的内容增多,比如免疫性疾病相关造成的黏多糖或者什么复合物增多,或者是什么纤维增多;
4.很重要的一点,就是肺泡塌陷。邻近这种“隔”的肺泡塌陷,加上原有“隔”的背景,形成了这种增粗的表现。
那么这个病变,倾向于哪个原因引起的呢?我们暂存。后面还有证据。
请大家仔细观察这个条索,与胸膜相连,局部结节感。这个大概率是小叶间小静脉的走行。
![]()
这里有个特点,是偏侧的,不是reid's小叶 的一圈“隔”都增厚,是局限性的。这种增厚,什么原因可以引起呢?比如:血管的问题,里面有肿瘤。比如淋巴道的问题,有癌淋,或者有间质纤维的不规则增生。
当然,淋巴道的感染也可以,比如结核。非感染性因素也可以,比如结节病。
请仔细观察病灶周围情况,比如临近血管、临近胸膜。有个特点,胸膜牵拉并不明显,邻近血管走行还算正常。
这里,可以佐证了。假如支气管扩张是收缩力引起的,而且支气管扩张如此明显,它周围的组织不会一丁点表现没有,离胸膜如此的近,竟然一点牵拉的意思都没有。
总结一下病变表现:病变区肺小叶背景不干净。整体位于单个次级肺小叶内,围绕小叶中心结构,部分局限于reid小叶的病变。支气管的显影,是肺泡填充为主要因素,收缩力可以有,但比较轻,或者无收缩力。小叶间小静脉存在增粗或者相应走行区存在局限性的淋巴道病变。
那么这个病变的疾病谱有什么呢,我们边说边鉴别。
1.细支气管畸形结节。细支气管畸形结节的本质是细支气管水平的错构,细支气管扩张明显、平滑肌增生轻,就是细支气管畸形,平滑肌增生明显,细支气管扩张偏轻,就是错构瘤。
根据我们的分析,再仔细看细支气管分支走行,还算是逐级变细的,而且分支正常。所以,不倾向于细支气管畸形结节。而且细支气管畸形结节的发病率偏低。
2.非黏液性的腺癌。假如是非黏液性的腺癌,病变已经不小了,那么密度偏高的区域就倾向于实性成分,而此时,支气管扩张是牵拉扩张,收缩力引起的,但邻近的胸膜及邻近的血管分支,明显的没有牵拉的意思。所以,用腺癌来解释,总体感觉有点矛盾。
3.黏液性腺癌。黏液性腺癌的特点是漂,发生邻近淋巴道侵袭的可能性低。小叶间小静脉的结节感,无法解释。黏液腺癌不作为首要诊断。
4.淋巴瘤。淋巴瘤的病变是位于淋巴管和淋巴组织,这个怀疑淋巴瘤的地方,就是可疑牵拉支扩、小叶间静脉走行区结节感。但是,这个结节感太局限了,仅仅局限于reid小叶的一侧隔,而且淋巴瘤解释不了次级肺小叶的不干净的背景。
5.结缔组织病相关的间质性改变。病灶比较局限,其他肺背景干净,我觉得不作为第一诊断。
6.慢性炎、非特异性感染。急性炎肯定不作为首先考虑的。慢性炎符合吗?
慢性炎的病理特征,可以有含气量较小的“肺泡塌陷”区,可以有邻近的沿着间质走形的不规则的纤维间质增生,可以解释小叶间小静脉走行区的结节感,而且是单侧的,局限性的结节感。
那么用慢性炎来解释这个结节感的时候,很明显,不是血管因素造成的。还剩下两种可能,一个是淋巴道的增生,一个是其他结缔组织成分的增多,比如纤维。
用慢性炎可以解释其他改变吗?当然可以,比如,“肺泡塌陷”区密度低,就可以是磨玻璃表现。
肺泡塌陷或肺泡填充与邻近的隔合并,就是这个细网格。
慢性炎也可以解释病变区次级肺小叶背景的不干净。
诊断综合一下:
1.慢性炎性改变、局部肺泡腔含气量少,合并周围淋巴道的反应增生或不规则的间质纤维增生。
2.肿瘤的不典型表现。放在第二位。
实际工作:一年稍增大,邻近胸膜无任何改变,可以考虑继续随访,因为病变有所增大,建议缩短随访期限,降低随访风险。
编辑:谢壁樯
审核:徐 晓
![]()
![]()
微信群发言
飞鹰行动:
老年女性,右肺多发结节,形态不规则,有一定的收缩,内可见支气管影,周围可见边缘模糊的磨玻璃及长毛刺,考虑炎性病变,隐球菌感染可能。
了:
老年人,右肺上叶后段小结节影,边缘清楚,血管进入,内可见支气管穿行扩张,周围晕征,边界清楚,胸膜牵拉,考虑腺癌。
王江涛:
考虑多中心腺癌
曹志勇:
这个不敢拍死腺癌,也有可能是慢性炎,尤其是上叶病灶,找不到磨玻璃成分。
晨:
老年女性,右肺多发结节,形态不规则,有一定的收缩,内可见支气管影,周围可见边缘模糊的磨玻璃及长毛刺,考虑炎性病变。
小丽:
右上肺膜玻璃影,边界清楚,临近胸膜牵拉,考虑腺癌,右下肺病灶考虑炎症。
金豆:
MALT,鉴别多原发腺癌。
风往北吹:
右肺上叶后段结节,考虑良性病变,肺泡腺瘤或者细支气管腺瘤可能,右肺下叶病变拍死炎性结节并局部纤维增生
张延军:
右肺上叶后段及下叶后基底段混合磨玻璃结节,界不清,内似见扩张支气管,一年间有增大,考虑腺癌可能性,建议抗炎半月后复查
风往北吹:
右肺上叶病变比较怪,不太像腺癌表现,下叶病变可以拍死炎性并纤维增生了
琦遇:
右肺上叶后段病灶考虑腺癌,右肺下叶后基底段病灶考虑粘液性腺癌,上叶病灶GGO清晰,收缩力强 下叶的病灶GGO模糊不清、收缩力弱
韦学:
右肺上丶下叶病灶考虑同性质,混合磨玻璃结节,很多地方不太支持恶性(腺癌),比如扩张支气管可以在结节周边,以下叶的结节明显,磨玻璃边界欠清!综合考虑良性结节,支气管畸形结节可能!
南边:
就是没看到复查片总不踏实。这个结节的特点有些怪,连续的层面显示内部、边缘就是一张网格,走形非常自然,这些图,你看到的GGN边缘就不踏实,这是GGN边缘?还是就是增厚的间质
弹指之间:
老年女性,体检发现、一年“稍增大”,右上肺结节(扩张小支气管或空泡+收缩力明显),考虑腺癌(腺泡为主),右下肺结节(边缘模糊GGO+扩张小支气管),考虑肉芽肿性炎(隐?),一元论:MALT不考虑(右上肺病灶收缩力太明显)
谢加平:
右肺上叶后段及下叶后基底段亚实性结节,边界清楚,不规则,支气管血管破坏,结节见小空泡感,老年女性,复查拟有所增大,支持恶性,IAC。
良孑:
右肺多发磨玻璃结节,上叶结节可见分叶及空泡,结节内血管穿行,血管影粗细不均,结节内支气管扭曲,定性恶性,下叶者结节较散,边界不清,综合分析支持多原发微浸润性腺癌,实际工作中右上结节为主病灶,诊断恶性依据充足,右下病灶建议抗炎后复查更稳妥
END
病 例 结 果
END
且听曹冠杰老师的分析
1. 病史简单,老年女性,体检发现肺结节,1年后复查病灶可疑稍增大。
2. 首先定位。这个病变位于胸膜下、肺内病变没问题。请仔细看箭头所示的条索影,我感觉像小叶间隔。
伪影太重了。仔细看,这里是两个支气管分支。而且倾向于小支气管或细支气管水平
继续看。病变的偏远端依然有支气管通行。
病变的定位,是次级肺小叶内,包绕小叶中心结构,并且有一部分病变是局限于一个腺泡结构的,也就是Reid'S小叶;
我们先分析支气管。刚才的截图是明确可以看到支气管显示的。那么它是扩张吗?
再来。注意看病灶下缘的这个支气管,这里几乎没有病灶了。与周围临近的支气管相比。
所以,这些支气管显影,大概率不是牵拉支扩,而是肺泡填充以后的支气管显影。当然,可能存在轻微的支气管扩张。但是,已经不是病变的主要因素。后面还有证据支持。
看完支气管我们继续看这个次级肺小叶的背景。
这里几乎是病灶的最上缘。明显是有丝丝拉拉的不干净的背景,与周围正常组织比较,很明确。
较中央的区域。明确的细网格,多发的。
这个细网格可以是什么引起呢?
1.血管因素,增粗的血管可以;
2.淋巴道因素,比如淋巴瘤、反应性淋巴增生;
3.结缔组织的内容增多,比如免疫性疾病相关造成的黏多糖或者什么复合物增多,或者是什么纤维增多;
4.很重要的一点,就是肺泡塌陷。邻近这种“隔”的肺泡塌陷,加上原有“隔”的背景,形成了这种增粗的表现。
那么这个病变,倾向于哪个原因引起的呢?我们暂存。后面还有证据。
请大家仔细观察这个条索,与胸膜相连,局部结节感。这个大概率是小叶间小静脉的走行。
这里有个特点,是偏侧的,不是reid's小叶 的一圈“隔”都增厚,是局限性的。这种增厚,什么原因可以引起呢?比如:血管的问题,里面有肿瘤。比如淋巴道的问题,有癌淋,或者有间质纤维的不规则增生。
当然,淋巴道的感染也可以,比如结核。非感染性因素也可以,比如结节病。
请仔细观察病灶周围情况,比如临近血管、临近胸膜。有个特点,胸膜牵拉并不明显,邻近血管走行还算正常。
这里,可以佐证了。假如支气管扩张是收缩力引起的,而且支气管扩张如此明显,它周围的组织不会一丁点表现没有,离胸膜如此的近,竟然一点牵拉的意思都没有。
总结一下病变表现:病变区肺小叶背景不干净。整体位于单个次级肺小叶内,围绕小叶中心结构,部分局限于reid小叶的病变。支气管的显影,是肺泡填充为主要因素,收缩力可以有,但比较轻,或者无收缩力。小叶间小静脉存在增粗或者相应走行区存在局限性的淋巴道病变。
那么这个病变的疾病谱有什么呢,我们边说边鉴别。
1.细支气管畸形结节。细支气管畸形结节的本质是细支气管水平的错构,细支气管扩张明显、平滑肌增生轻,就是细支气管畸形,平滑肌增生明显,细支气管扩张偏轻,就是错构瘤。
根据我们的分析,再仔细看细支气管分支走行,还算是逐级变细的,而且分支正常。所以,不倾向于细支气管畸形结节。而且细支气管畸形结节的发病率偏低。
2.非黏液性的腺癌。假如是非黏液性的腺癌,病变已经不小了,那么密度偏高的区域就倾向于实性成分,而此时,支气管扩张是牵拉扩张,收缩力引起的,但邻近的胸膜及邻近的血管分支,明显的没有牵拉的意思。所以,用腺癌来解释,总体感觉有点矛盾。
3.黏液性腺癌。黏液性腺癌的特点是漂,发生邻近淋巴道侵袭的可能性低。小叶间小静脉的结节感,无法解释。黏液腺癌不作为首要诊断。
4.淋巴瘤。淋巴瘤的病变是位于淋巴管和淋巴组织,这个怀疑淋巴瘤的地方,就是可疑牵拉支扩、小叶间静脉走行区结节感。但是,这个结节感太局限了,仅仅局限于reid小叶的一侧隔,而且淋巴瘤解释不了次级肺小叶的不干净的背景。
5.结缔组织病相关的间质性改变。病灶比较局限,其他肺背景干净,我觉得不作为第一诊断。
6.慢性炎、非特异性感染。急性炎肯定不作为首先考虑的。慢性炎符合吗?
慢性炎的病理特征,可以有含气量较小的“肺泡塌陷”区,可以有邻近的沿着间质走形的不规则的纤维间质增生,可以解释小叶间小静脉走行区的结节感,而且是单侧的,局限性的结节感。
那么用慢性炎来解释这个结节感的时候,很明显,不是血管因素造成的。还剩下两种可能,一个是淋巴道的增生,一个是其他结缔组织成分的增多,比如纤维。
用慢性炎可以解释其他改变吗?当然可以,比如,“肺泡塌陷”区密度低,就可以是磨玻璃表现。
肺泡塌陷或肺泡填充与邻近的隔合并,就是这个细网格。
慢性炎也可以解释病变区次级肺小叶背景的不干净。
诊断综合一下:
1.慢性炎性改变、局部肺泡腔含气量少,合并周围淋巴道的反应增生或不规则的间质纤维增生。
2.肿瘤的不典型表现。放在第二位。
实际工作:一年稍增大,邻近胸膜无任何改变,可以考虑继续随访,因为病变有所增大,建议缩短随访期限,降低随访风险。
编辑:谢壁樯
审核:徐 晓