【每日晨读】如此肺曲霉病,你秒杀了吗?




精彩病例分享



































精彩病例分析
飞鹰行动:
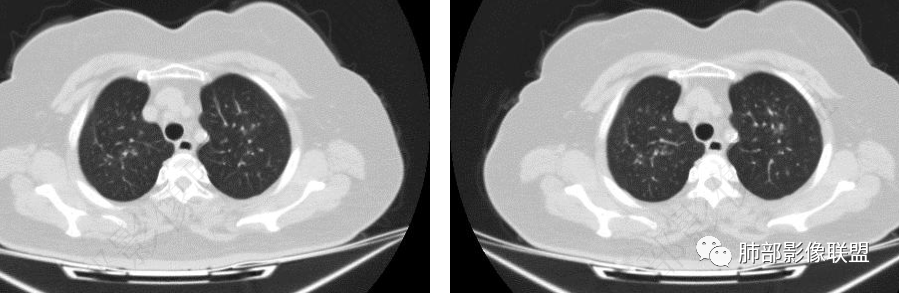
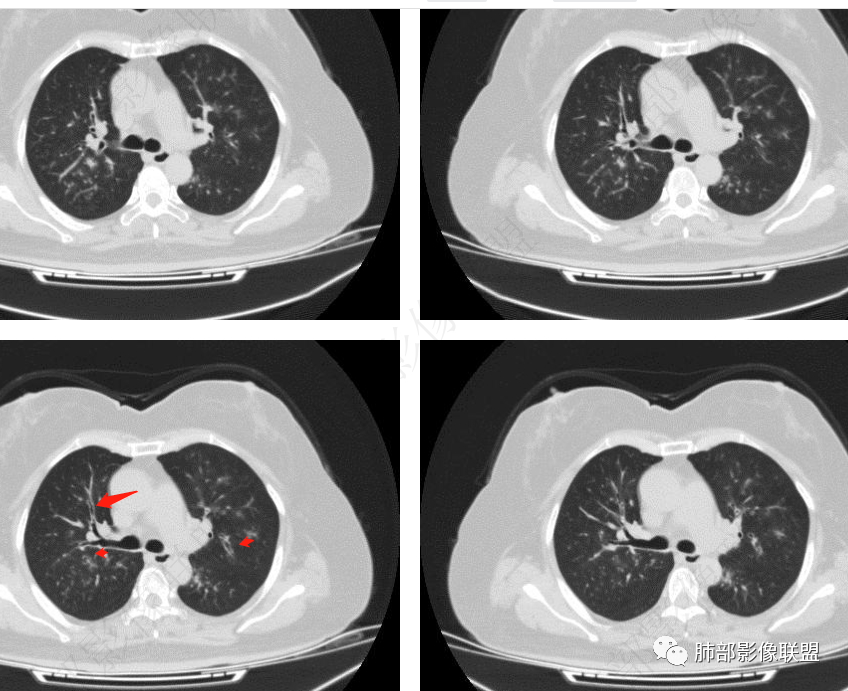
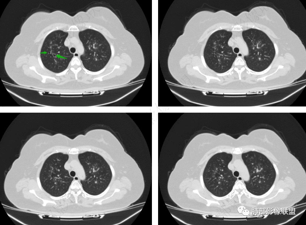
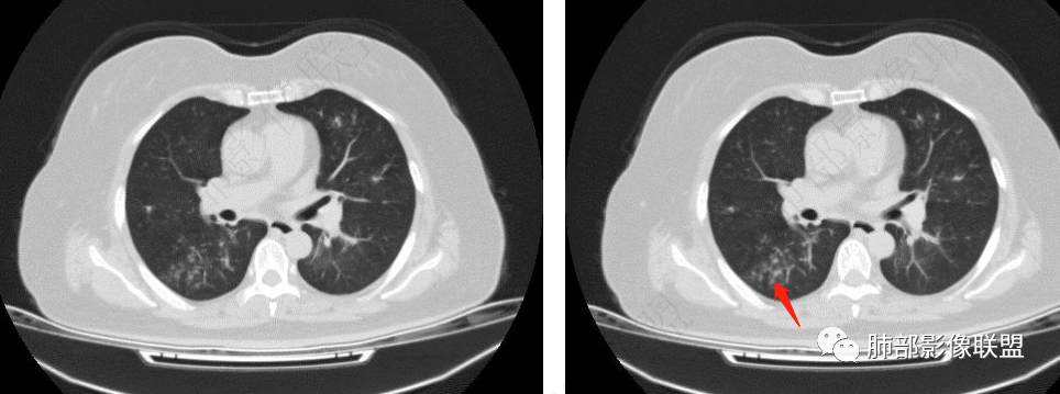
支气管壁增厚、毛糙,考虑气道侵袭性曲霉。
了:
中老年女性,白细胞升高两年,实验室检查白细胞有所升高,双肺多发腺泡结节,边缘模糊,似乎支气管旁的血管增粗,但是斜裂没有增粗,所以不考虑肺水肿,病情变化快,2天后肺和肾衰竭,呼吸肌治疗,考虑血液病相关肺改变,ards早期病变。
go and see:
病史+支气管壁增厚+支气管肺炎影像病理基础的苏联红色革命+气喘=气道侵袭性曲霉
李:
弥漫性支气管壁增厚,结合气管镜及痰鸣音,考虑气道曲霉
丽:
慢性病程,双肺支气管管壁增厚,周围可见多发点片状高密度影,边缘模糊不清,考虑气道侵袭性曲霉菌病
宇宙:
两肺支气管管壁增厚,沿支气管斑点状及斑片状高密度影,边缘模糊,考虑气道侵袭性曲霉菌,鉴别金葡萄、铜绿
lmg:
居住地长年潮湿,老年女性,两肺支气管管壁增厚明显,考虑气道侵袭性曲霉菌,鉴别结核。
金豆:
沿支气管血管束走形,气道壁增厚,边缘模糊,考虑考虑气道侵袭性曲霉,鉴别淋巴瘤。
韦学:
中老年女性,气道分布的病变,有树芽树雾征,有支气管粘液栓,还有支气管壁增厚,考虑感染性病变,ABBA可能性大,鉴别支原体及军团,支原体以小孩多见,症状轻影像重,发病年龄及影像都不符合,患者住一楼,开麻将馆有聚集性,场地潮湿,不能排除军团肺炎!综合考虑ABBA,不排除军团
?????天涯?????:
支气管壁增厚,周围边缘不清小片状密度增高影,曲霉?
张延军:
双肺沿支气管束见多发斑片状高密度影,界不清,支气管壁增厚,糖尿病史+环境因素,考虑IPA
薏米:
双肺散在结节,片状密度增高影,支气管壁增厚,考虑感染,真菌可能,鉴别病毒、结核
放射线:
双肺支气管血管束增粗,边缘模糊呈晕状,沿中轴间质走行分布多发斑片状影,边缘模糊,糖尿病人,血象高,G实验高,气道侵袭为主,考虑曲霉菌感染,鉴别金葡
衡妈:


衡妈:
今日病例跟着老师们学习,考虑气道侵袭性曲霉菌感染。
若晗:
中老年女性,肺部多发间质性病变,结合临床及实验室改变,考虑白血病相关性改变,鉴别曲霉
小飞:
老年女性,糖尿病,高血压,心功能不全,双肺支气管壁增厚,沿支气管血管束分布结节状、片絮状模糊影,麻将馆、潮湿环境工作,考虑感染性病变,曲霉菌?
南边:
问一个问题:病灶是支气管来源?还是中轴间质?依据是啥?定了这个方向就好办
wj:
支气管,弥漫增厚,及炎症,是像曲霉,不过白细胞三万有一点奇怪,也许需要后面随访ct看看
穿越七海的风:
只能定到感染,进展如此迅速,2天上机,3天肾替代,不知道是啥
嘻嘻??:
支气管来源,支气管壁增厚,树芽
月亮圆了!:
糖尿病,血糖控制不好,气促,炎症反应明显(白细胞,crp明显升高,Gm(+)。气道分布的结节磨玻璃密度影,树芽,气管壁增厚。曲霉的可能最大
Coke with ice:
确实。这个人好奇怪,白细胞这么高,淋巴比例高,但T细胞亚群低。这个人有没有血液系统的问题呢?这个支气管镜也很有意思,符不符合曲霉呢…比较轻的曲霉菌感染,可以很表浅,有黏膜充血等,没有看到他描述假膜之类的。中性粒,白细胞,降钙素,C反应蛋白都是升高的。支持存在感染,细菌在前吧?斗胆猜一下,除实验室外,腺泡结节为主,累及支气管壁,支气管肺炎的表现,病程较长,未见明确肉芽肿形成,真菌的可能性偏低,猜化脓菌在前,建议进一步排查合并血液系统疾病。
知足&长乐:
不是单纯肺部的病,考虑血液系统疾病的肺改变。或二元 血液+肺感染
旁观者:
影像,支气管血管束分布,支气管壁增厚,有树芽,考虑气道可能性大,血管,淋巴途径能排除?支气管镜,粘膜充血肿胀,痰多,血象高,C反应蛋白升高,快速进展呼吸衰竭,不除外感染气道侵袭性曲霉病。快速出现肾功能衰竭,非感染,血管炎是否带排。金葡菌,需要复查影像。
琦遇:
白血病+糖尿病+所住环境生活习惯=IPA
白血病+糖尿病+所住环境生活习惯+影像上弥漫性支气管壁增厚加上树芽征=IPA
影像上是否有肺出血呀?感觉肺动脉周围有渗出,气道曲霉然后血管侵犯入血?
谢加平:
两肺叶支气管壁增厚,边缘模糊,见多发树芽及腺泡结节,边界不清,非对称性分布,CRP和WBC显著增高,抗炎无效,急性过敏性肺泡炎,与曲霉菌鉴别。
洪桥爱:
老年女性,发现白细胞升高两年,此次入院多次查外周血白细胞>30*10^9/L,淋巴降低,CRP显著升高,但病程中无发热,以细菌性炎不好解释;CT提示有脾大,结合外周血象,首先考虑存在血液系统疾病(白血病)基础,且未系统诊治;肺部CT提示双肺中轴间质增粗,伴随支气管管壁增厚?多发树丫及腺泡结节,部分呈点晕征,可见肺动脉分枝增粗,一元论考虑白血病肺部浸润;二院论考虑白血病并发气道侵袭曲霉。以患者病程进展看,更倾向于白血病肺部浸润。





南边:
捋一下吧


南边:
哪位老师帮我们分析一下这个临床?
白细胞啥意义?正常不应该4~10,这么高有啥提示?
急性化脓性感染?白血病?
糖尿病,环境潮湿

支气管镜就是炎性反应,黄痰






肺动脉增粗,支气管有改变

左侧腔内有粘液栓,右侧支气管局部有扩张

南边:
支持气道病变,弥漫,支气管壁增厚,糖尿病,支持霉菌
肺动脉高压:性质待查,血象哪位老师解释一下,看右上支气管,怀疑以前都有过
焦点:
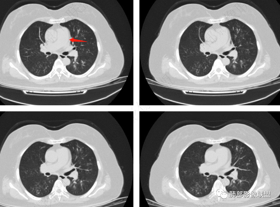
1.病灶沿支气管分布的特点相当明显,相应支气管壁广泛增厚。这种与支气管关系极为密切的片影和/或结节影,常高度提示气道相关感染,如支气管肺炎。
2.患者两肺多发病变,具有广泛性。如此广泛分布更多见于免疫低下的机会性感染。
3.支气管壁广泛增厚对气道侵袭性曲霉病具有一定的提示意义。注意患者没有支气管扩张,临床也未提供IGE等实验室资料。
4.老年女性患者,咳嗽少痰,伴喘息气短8天。注意患者没有发热,中毒症状不明显。既往糖尿病、高血压病史。
炎性指标升高,头孢等药物覆盖疗效不佳。
白细胞升高异乎寻常,注意病史已有两年之久,这至少提供两方面信息:
1)与本次肺部感染不能直接密切对应或相关联,能想象吗,这样的感染持续两年?
2)患者存在血液系统疾病的可能性,如白血病,这应当进一步查实。


病例结果



相关知识

关于肺曲霉病
概念:肺曲霉病是一种真菌引起的肺部感染。
1.曲霉菌为常见定植菌,广泛存在于自然环境。也属条件致病菌,多见于器官移植、肿瘤放化疗、粒细胞减少、COPD、糖尿病、长期使用广谱抗生素、糖皮质激素三周以上、免疫抑制剂使用等。非易感人群有从事花生食品加工、谷物加工、油漆工等。
2.分烟曲霉、黄曲霉、黑曲霉、土曲霉、棒状曲霉等。研究认为致病者多为烟曲霉,体型小更易于进入下呼吸道及肺泡等(而黄曲霉、黑曲霉则可引发鼻窦炎等)
病理基础:真菌侵入肺组织后可引起一系列炎症反映,基本病理变化是凝固性坏死、细胞侵润和脓肿形成。慢性感染为肺纤维化或肉芽肿形成。
临床特点:肺曲霉菌病的临床表现无特征性,可有发热、咳嗽、呼吸困难、咯血及胸痛等。对可疑患者,尤其是原因不明的肺部病变和发热性疾病,要想到真菌感染的可能。须详细询问病史,患者是否属易感人群,其他尚需包括接触史、旅行史、职业史等。
临床分型:
1.侵袭性肺曲霉病(IPA。含血管侵袭性肺曲霉菌病)
2.慢性坏死性肺曲霉病(CNPA半侵袭性。类似肺脓疡改变)
3.气道侵袭性曲霉病(PNTA包括大气道小气道等)
4.变应性气道曲霉病(ABPA变态反应)
5.曲菌球(即腐生型或寄生型)
6.混合型(MTPA存在以上两种情形者)
  
              肺曲霉病的CT表现
一,气道侵袭性曲霉病(PNTA)
1.器官支气管管套样壁增厚和/或支气管扩张,注意壁增厚较均匀,和/或伴有播散性小片影及结节影,注意这些小片影或结节影边界有时较普通炎性病灶清楚。
2.可以阻塞支气管造成肺不张而酷似中央型肺癌。偶而可呈大范围毛玻璃样影。
3.易形成空洞,常无液平面。注意哪些一两周内出现的多发空洞病灶,形成空洞也往往靠边。
二.血管侵袭性肺曲霉病
1.多见于血液恶性肿瘤及造血干细胞移植患者。两肺多发,多见磨玻璃晕,有时病灶基底贴近胸壁形成楔形影。
2.很少支气管壁增厚,也无支气管扩张,少见树芽征。
三.慢性坏死性肺曲霉病(CNPA)
类似慢性肺脓疡或其他炎性块影,或蹑步肺恶性肿瘤之后,单发病灶鉴别诊断颇为不易。须密切结合易感人群及病史,注意前后检查图片对比。
四.变应性支气管肺曲霉病(ABPA)
1.三四级以上支气管显著扩张,柱状扩张为主,常伴痰液嵌塞,远端支气管相对正常,强烈提示ABPA诊断!ABPA的支扩有时来得快去得快。
影像上表现为V形、Y形、葡萄状或指套状阴影,边缘清楚。
2.管腔扩张及管壁增厚(炎性反映),轨道征或环形影常比较显著;
3.病变远端的肺组织可有肺不张表现,或因侧支通气而出现过度充气征象。
另可有渗出性肺泡炎改变:肺实质内单发或多发斑片状密度增高影,上叶多见,可为一过性、游走性或持续较长时间。
五.寄生型肺曲菌病
曲菌球为寄生性,在空洞性病灶内呈游离状态,呈球形,密度多均匀,偶可高密度,境界清晰,位置可随检查体位而变动。霉菌球与洞(腔)壁之间常留有新月形空隙,形成空气新月征。此为寄生型肺曲菌病的特征性表现。
注意,曲菌球不会强化。

往期推荐
细听南大深入浅出生动阐述—肺曲霉菌病
【每日晨读】拨云见日---曲霉“君”竟如此装扮
【每日晨读】 肺孤立结节与曲霉菌感染
编辑:杨新娟
审核:徐  晓


到顶部