【每日晨读】肺癌治疗后新发结节:转移还是隐球菌?



每日晨读
# 肺部影像联盟 #



天气晚来秋



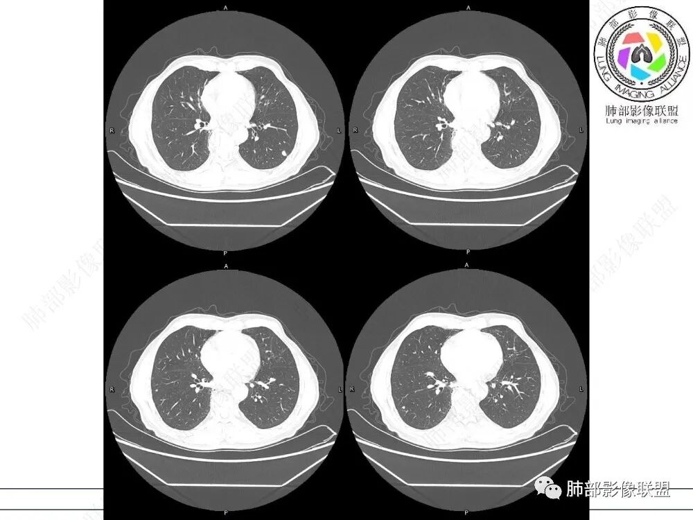
病例资料


















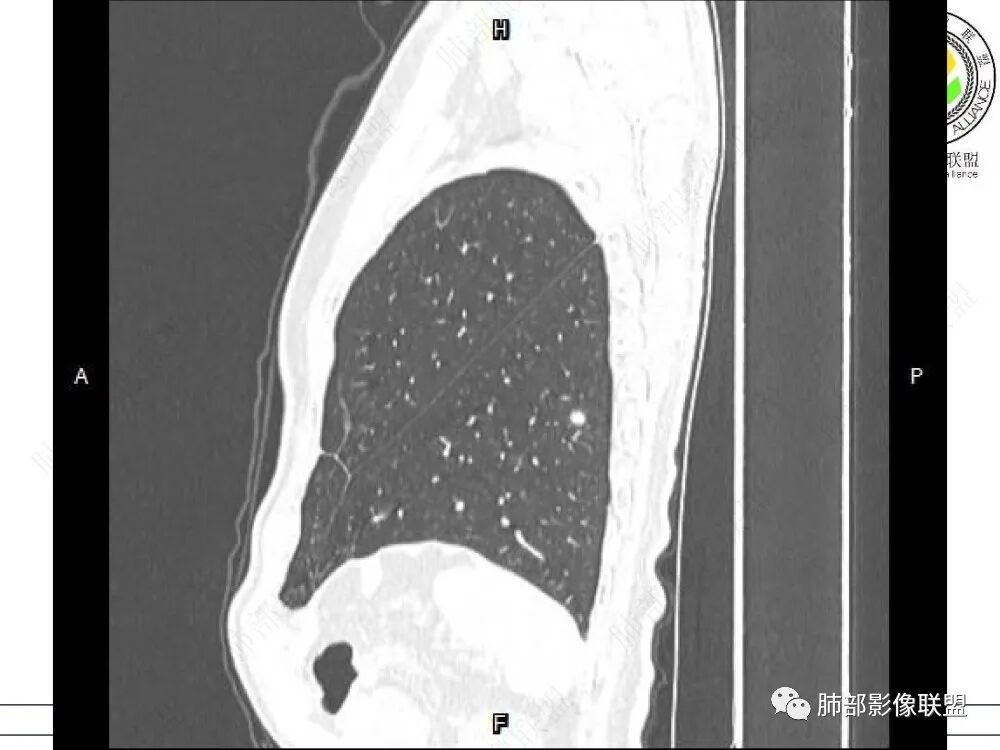
补充病例视频:

微信群讨论
张延军:
左肺上叶尖后段病灶消融术后改变:双肺下叶多发大小不等的实性结节,局部边缘平直,左肺下叶结节边缘不清,似见晕征,有原发病史且为新增,转移放前面,建议实验室检查除外隐球菌感染
谢加平:
病史时间:2018年8月12日确诊左肺上叶肺腺ca射频消融,2020年1月13日左肺下叶未见结节,2021年3月14日新发双肺下叶(视频图)见4枚实性小结节,边清,目测低强化,胸膜下的结节(3个)与胸膜粘连的特点,无收缩力,前后1年余倍增明显结节,多发,支持炎性肉芽肿结节,隐球菌荚膜抗原检查,其次与转移鉴别,非随机,位置仅双肺下叶,可能性小,建议左肺下叶后基底结节定位穿刺活检!
飞鹰行动:
现实工作中万万不能排除转移,但是这几个结节位于左肺下叶背段,周围可见小结节卫星灶,部分胸膜下结节可见胸膜凹陷征,常规考虑原发肿瘤或肉芽肿病变,一个肺区域如此多结节,肉芽肿病变靠前考虑。
凝睦:
左肺下叶胸膜下结节有分叶及胸膜凹陷,边缘似有磨玻璃密度,考虑腺癌。其余结节考虑良性。
若晗:
患者第二次行肺癌射频消融术未发现该病灶,一年后发现的是实性病灶,病灶周围强化明显,首先考虑炎性肉芽肿(TB及隐球),鉴别转移性腺癌
宇宙:
左肺下叶胸膜下实性结节,边界清晰,浅分叶,密度不均,见胸膜牵拉,中度强化,左肺上叶腺癌消融术后1年后发现,考虑腺癌,鉴别隐球菌
衡妈:





原左肺肺癌消融术后,两下肺新发现数枚实性小结节,胸膜下为主,形态略变扁,病灶周围少许线样牵拉线,增强后环形强化,考虑炎性肉芽肿,淋巴结?结核?隐球菌?鉴别转移。
放射线:
左肺上叶腺癌射频消融术后,患者第二次行肺癌射频消融术未发现该病灶,一个月后发现左肺下叶多发结节,病灶中心密度低,周围强化明显,首先考虑炎性肉芽肿(TB及隐球),鉴别转移性腺癌
gaoql:
新发结节,同一个肺叶多个结节,炎性结节要考虑,其次转移瘤。
良:

良:
转移瘤很少有这样的表现,这个也是临床介入的难题,经常会这样的,热消融后,原发病灶复发及其他有新发的结节,很多时候我们不假思索的认为是转移瘤。这个病例给了我们更多的思考,1、选择什么消融方式(热消融?冷消融?还是其他?)对于老年人和肺功能差的病人来微创介入消融更好?2、对于肺内多源性原发肿瘤而没有转移的,采取胸腔镜?还是微创介入消融?还是联合治疗?3、胸腔镜及微创介入消融后一年后复查出现本例类似的多发结节我们怎么样通过影像学来排查转移灶?
良孑:
左肺上叶腺癌射频消融术后,双肺下叶新发小结节,中央密较低,可见长毛刺,一年内新发的结节从常规思路上可排除恶性占位,因为腺a早期为隋性生长期,生长期长,很少有年内新发就考虑恶性的,小c胞增殖期短而快,一年内可有明显变化,故本例可排恶性,考虑炎性肉芽肿或隐球
蓝天白云:
左上肺腺癌复发,左下肺结节部分边缘平直,考虑pc
尘缘:
上肺结节两种可能:消融后纤维化改变或复发。下肺结节是短期新发多结节,要么转移,要么炎性肉芽肿(隐球),如果PPT时间轴没错,图也没有提供错,那就支持左上肺腺癌复发伴左下肺转移可能大。
看图说话:
左肺胸膜下多发实性结节,边界清晰,浅分叶,密度不均,见胸膜牵拉,中度强化,考虑隐球菌,鉴别腺癌

病理结果


病例小结
1、临床特点:中老年男性,间断左侧胸痛2年余,复发1月余,既往左肺上叶占位穿刺确认肺腺癌,未行手术治疗,给予两次射频消融术,术后定期复查,1月前患者出现左下胸部阵发性刺痛,无畏寒、发热、咳嗽等其他临床症状,门诊胸部CT提示:左肺下叶新发结节。
2、影像特点:左肺上叶尖后段病灶结合病史考虑消融术后改变,双肺下叶胸膜下可见多发大小不等的实性结节,周围似乎有晕,边缘平直为主,未见深分叶,部分可见邻近胸膜牵拉,张力不高,增强后呈轻中度强化。
3、总结:中老年男性,间断胸痛就诊,余无明显其他临床体征。既往肺癌病史,定期复查,一年左右双肺新发多发结节,常规需要鉴别炎性肉芽肿和肺癌转移。病灶以胸膜下为主,边界清楚,尽管转移是可以的,但混合磨玻璃时期腺癌相对惰性,短期内难以出现如此转移灶。况邻近胸膜牵拉,这在转移中也相对要少见。病灶多发,但没有新旧不等,没有树芽,病灶及时间线不支持继发性肺结核。病灶散在,胸膜下为主,周围可见少许晕征,部分病灶边缘比较平直,影像上较为符合隐球菌等肉芽肿性炎。

扩展知识
隐球菌影像诊断要点及口诀
隐球菌肺炎诊断要点:
1、宿主:生活及工作环境中有无鸽子及鸟禽接触史,有无免疫缺陷背景(艾滋、化疗、器官移植、激素及免疫抑制剂使用史)。
2、类型:常见有孤立肉芽肿型、肺炎实变型、混合型(多发结节/实变/空洞)、弥漫粟粒/间质型。免疫正常宿主多表现为孤立肉芽肿型,也可以表现为肺炎实变型或混合型。免疫缺陷宿主则容易肺内播散形成多发(结节、实变、空洞)或弥漫粟粒/间质型,可累及中枢系统并发隐球菌脑炎。
3、症状:免疫正常宿主发病率越来越高,临床表现各异,大部分患者感染隐球菌无明显呼吸道症状或症状轻微,少部分表现为急性下呼吸道感染症状,免疫缺陷患者则可能表现为重症肺炎伴呼吸衰竭。
4、实验室:血象一般正常,少数可出现白细胞升高;G及GM试验阴性;隐球菌荚膜多糖抗原试验阳性(特异性高,敏感性各异)常提示诊断。
5、分布:病灶分布多位于胸膜下,可紧贴胸膜,也可与胸膜邻近,病灶长轴与胸膜平行。(划重点,分布特点非常重要)
6、支气管和血管:支气管通畅或进入后堵塞,增强可见血管造影征或血管影消失。
7、强化:增强强化程度各异,从轻度到中度强化均可。明显/显著强化相对少见。
8、晕征:病变早期可出现磨玻璃晕征,为周围炎性渗出或肺间质受累。
9、坏死:可无坏死,也可凝固性坏死,出现空洞,空洞可规则光整呈类圆形,也可以为不规则厚壁,或出现“鬼脸征”。
10、“葫芦兄弟”:邻近胸膜多发结节,形态接近,排列呈长串状。
11、收缩力:可以较弱,也可以较明显伴有胸膜牵拉。
12、少见征象:少见胸水、树芽征、液化坏死、明显钙化、空气新月征、腺泡结节。

(孤立肉芽肿型,本例为弱强化、增强内部未见血管影)

(本例为中度强化,增强可见血管造影征)

(凝固性坏死、多发空洞形成“鬼脸征”)

(不规则厚壁空洞,内壁欠光整)

(规则类圆形空洞,内壁光整)

(胸膜下多发结节、“蘑菇兄弟”)

(肺炎实变型、支气管通畅)

(混合型,胸膜下多发实变、结节,病灶长轴与胸膜平行,支气管进入后堵塞)

(病灶边缘磨玻璃“晕征”)
(有时可见胸膜牵拉,提示收缩力较强)

免疫缺陷宿主,弥漫间质型
(注:以上病例均来自肺部影像联盟)
隐球菌病理

(左图:肺泡腔内充满大量巨噬细胞,内含小囊样间隙,伴间质受累;右图:见簇状卵圆形的隐球菌酵母--图片来自《肺部疾病放射影像与病理对照》)
隐球菌肺炎诊断口诀(南边总结):
在那遥远的边远山区,(胸膜下)
生活着一群蘑菇兄弟,(性质相同多结节)
表面虽脏,内心实诚,(有晕,一般无空洞)
扮扮鬼脸,偶尔调皮,(鬼脸征)
撞墙就跑,颇有灵性,(一般不引起胸膜增厚积液,病程长的慢性灶可偶有胸膜增厚)
气管通畅或进门才堵,只为空气。(不会堵门口)
周围蔓延,不乱播散,死心踏地!(不走淋巴、气管、血道播散)
收缩偏弱,但若日久拉稀,随地大便,也可骨瘦如柴(病程长,有晕,有卫星灶,虽然收缩力强,也要考虑到隐球鉴别)
污头垢面,家里干净,只因免疫不低,神采奕奕!(空洞干净,不适用于免疫力低下病人)


END
编辑:康语桐
初审:邓文睿
终审:徐  晓
 



到顶部