【每日晨读】 长期吸烟男性的肺部肿块伴坏死















































精彩讨论:
采莲:
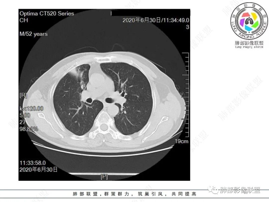
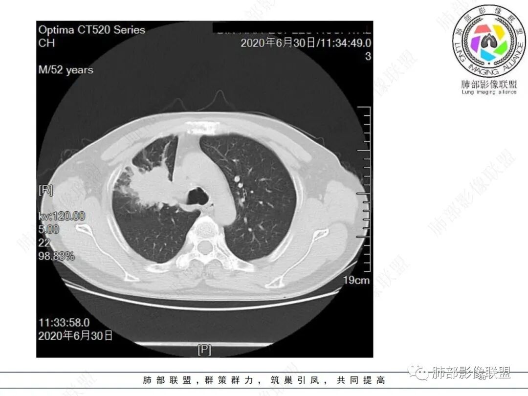
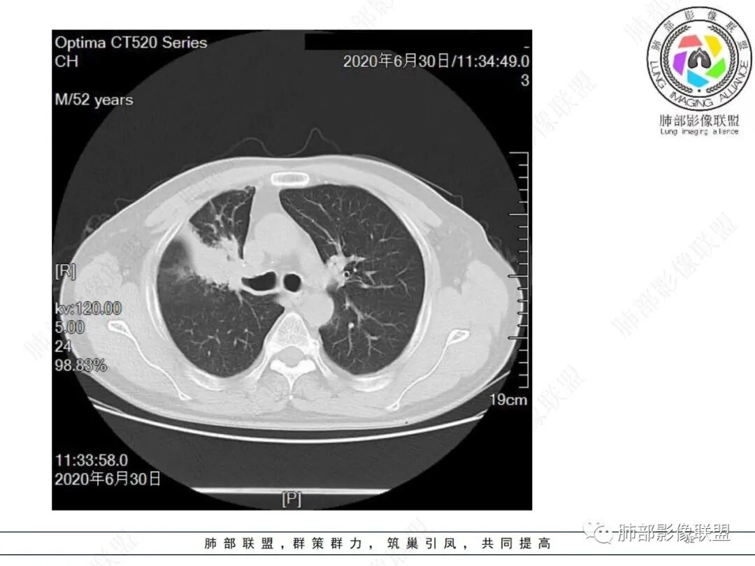
中年男性,有长期吸烟史,右肺上叶不规则肿块,边缘膨隆有分叶,支气管截断,不均匀强化,内有多灶性坏死,癌胚抗原升高,考虑肺癌可能性大,鳞癌可能。鉴别腺癌。
放射小白:
中年男性,吸烟病史,右肺前叶块状占位性病变伴前段支气管截断,病变周围可见结节及斑片状影,增强肿块不均匀性强化,纵隔淋巴结肿大,结合实验室检查,首先考虑肺小细癌,鉴别鳞癌、大细胞。
玫:
右肺上叶不规则形软组织密度肿块影,边缘见分叶,毛刺,病灶呈宽基底与胸膜相连,病灶内见坏死,增强扫描呈不均匀性强化,右肺上叶支气管截断,纵隔内见肿大淋巴结,肿瘤标志物增高,考虑鳞癌可能,鉴别小细胞癌,腺癌。
飞鹰行动:
老年人,右肺上叶肺不张伴阻塞性炎症,右肺上叶支气管闭塞,增强病灶强化不均匀,可见边缘不清晰的坏死,纵膈淋巴结增大,考虑中央型肺癌,鳞癌可能性大。
宇宙:
右肺上叶不规则肿块,分叶、毛刺,上叶支气管截断,断端圆钝,不均匀强化,其内空泡及坏死,坏死边界不清,考虑腺癌或腺鳞癌,鉴别鳞癌
红日初升:
右肺上叶团块影,边缘膨隆,支气管近端截断,肿块内密度不均匀,见片状坏死,边界不清,纵隔肿大淋巴结,CEA明显增高,考虑恶性,鳞癌?腺鳞癌?
HP:
中年男性,长期吸烟,CT示右肺上叶肿块影,有分叶,毛刺,胸膜牵拉,支气管截断,边缘斑片影,病变内有坏死,强化,淋巴结肿大,首先考虑鳞癌可能性大,鉴别腺鳞癌
放射线:
右肺上叶占位,支气管阻塞截断,病变周围可见结节及斑片状影,密度不均,坏死边缘不清,纵隔淋巴结肿大,中年男子,吸烟史,考虑鳞癌、腺鳞癌,鉴别结核
南边:
支持恶性,就是判断病理类型的问题
行云流水:
沼泽样坏死,支气管截断,周围阻塞性炎症,并淋巴道水肿,考虑腺鳞癌,鳞癌
张延军:
右上叶支气管截断呈斜坡状,不均匀强化,低密度区实质区边界不清,老年男性,长期吸烟史,考虑恶性,鳞癌首选
小微:
长期抽烟的老头,右肺上叶不规则肿块,边缘膨隆有分叶,支气管截断,不均匀强化,内有片状坏死,考虑肺癌,常规思路鳞癌可能。鉴别腺癌。
月亮圆了!:
中年男性,长期吸烟,右肺上叶不规则肿块,边缘膨隆有分叶,支气管截断,不均匀强化,内有多灶性坏死,癌胚抗原升高,考虑肺癌
Yishion:
恶性肿瘤是比较肯定,主要是病理类型的问题,支气管截断好像并不是常规的那种截断,感觉是外压后的一种表现,腺鳞混合癌?
月亮圆了!:
中年男性,长期吸烟,右肺上叶不规则肿块,边缘膨隆有分叶,支气管截断,不均匀强化,内有多灶性坏死,癌胚抗原升高,考虑肺癌
尹发友老师精彩分析:
尘缘:
除了年龄,吸烟,湖泊样坏死符合鳞癌,其他都不符合,支气管截断,不在肿块中央,远处也没有明显阻塞样改变,更像爬行后截断,肿瘤标志物CEA高得厉害,其他鳞癌标志物并不高。这种坏死,低分化腺癌一样常见,强化远端也有强化,不符合鳞癌,所以我考虑低分化腺癌(伴或不伴有神经内分泌分化)或者肉瘤样癌。
借用傅老师标的图
边缘都是强化的肿瘤组织,鳞癌是不会这样的,符合腺癌

尘缘:
不符合鳞癌有四点:1,截断的支气管不在肿块中央,而是外朝内爬行(肿块外缘大于近端)2、支气管截断在前段,前段远端没有阻塞性改变。3、鳞癌是近端强化,远端为阻塞性的不强化粘液栓或明显强化的不张肺组织,这个是中间坏死,周围强化的肿瘤组织。4、肿瘤标志物CEA增高太明显,鳞癌标志物不高。
傅昌瑜:

病理结果:



化疗后
知识拓展:
肺癌的破坏力与坏死
一、破坏力形成的病理机制:
肺鳞癌直接压迫和浸润内部血管;鳞癌破坏支气管是因为起源和生长。破坏力强,容易导致缺血坏死。
肺腺癌浸润生长,压迫小肺血管,肺血管血流减少,内膜下水肿,最终闭塞。破坏力较弱。
小细胞癌压迫和浸润都有,侵袭力强,破坏力一般。 
二、坏死原因
肿瘤的破坏力:肿瘤生长巢团增大,血供不足;肿瘤组织增生压迫血管。
感染的破坏力:迅速的肺组织损害,使得血供代偿无法建立,如结核、放线菌、隐球菌、毛霉菌、脓肿等
免疫异常疾病:破坏了肺动脉,如GPA
肿瘤坏死的差异,不同类型肿瘤,坏死的差异很明显,表现在:
1. 坏死范围程度
2. 坏死边缘形态
3. 坏死集中度,散在小坏死
4. 坏死的彻底性
三、肿瘤坏死差异的原因分析
1、生长的速度:如良性肿瘤生长缓慢,没有坏死;高-中分化腺癌生长较慢很少坏死,低分化腺癌生长加速可出现坏死。
2、癌巢的大小:鳞癌的巢团大,容易出现巢团内坏死。
3、肿瘤细胞生存力与缺氧耐受性:如低度恶性肉瘤如恶性SFT,很大时才有隐约片状坏死;小细胞癌生存力强。
4、较大肺血管的压迫
四、肺癌坏死的影像表现
1. 鳞癌的坏死 
肺鳞癌的坏死,比较彻底;坏死区分布,呈湖泊样;坏死区边界清,有较多壁结节;周围型鳞癌的坏死,边界凹凸不平,因为坏死逐渐融合;鳞癌的强化,非坏死区与坏死区强化幅度差距大。
2..肺腺癌的坏死
没到低分化程度,基本不会出现坏死;腺癌的坏死常不彻底,坏死可以很大一块,肿瘤区坏死出现,较模糊,远不如鳞癌坏死显著;空洞偶尔可见,空洞边缘似乎有特点;低分化腺癌,常伴纵隔淋巴结肿大。
3. 小细胞癌的坏死
小细胞癌的坏死,“沼泽地样”,坏死常比较散小、较不彻底,坏死灶散乱模糊;整体强化弱;


病例提供:刘海玲
编辑:杨宏刚
审核:徐  晓
到顶部