【每日晨读】粘液腺癌与隐球菌的鉴别诊断



01
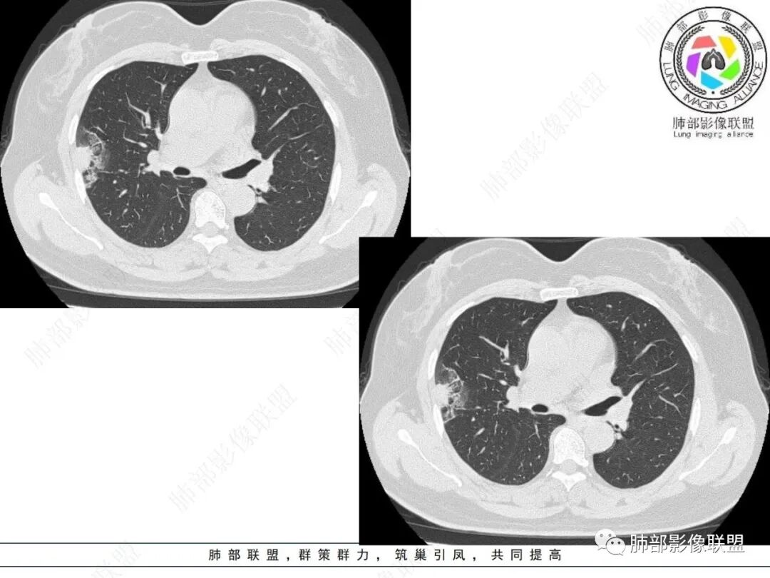
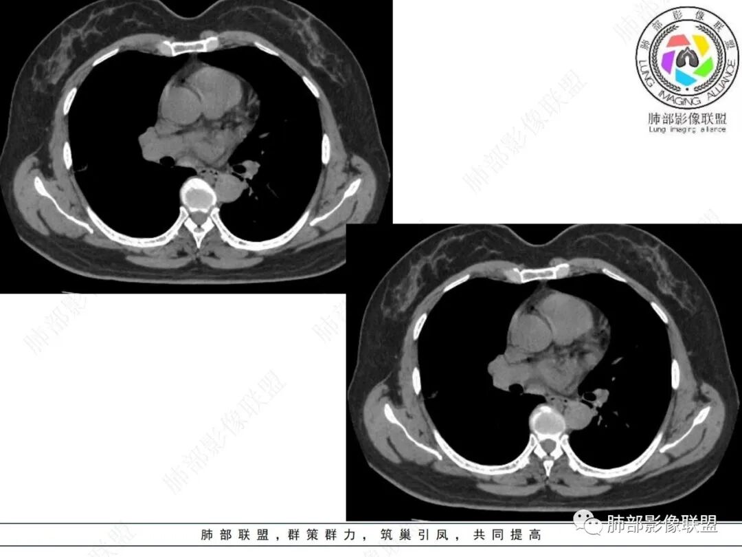
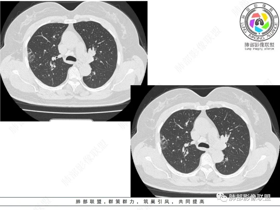
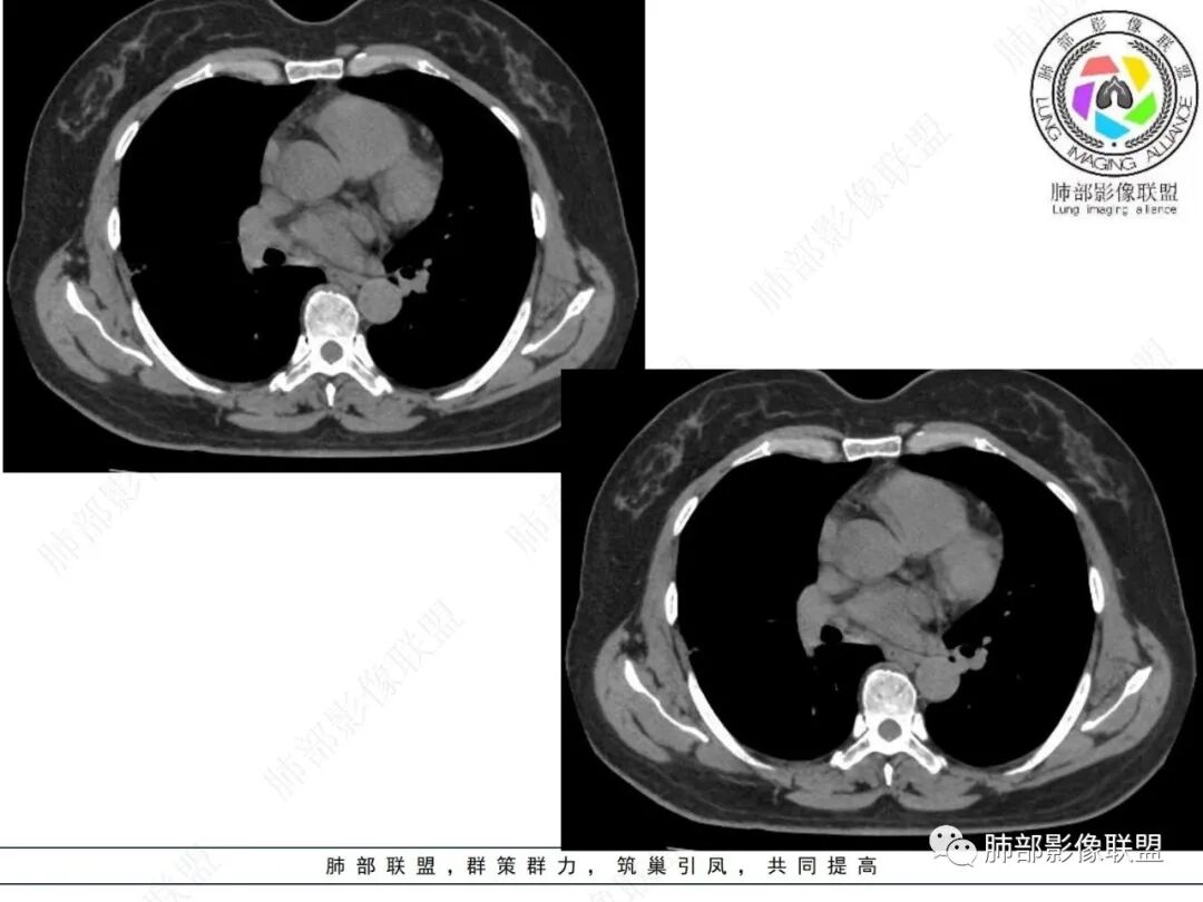
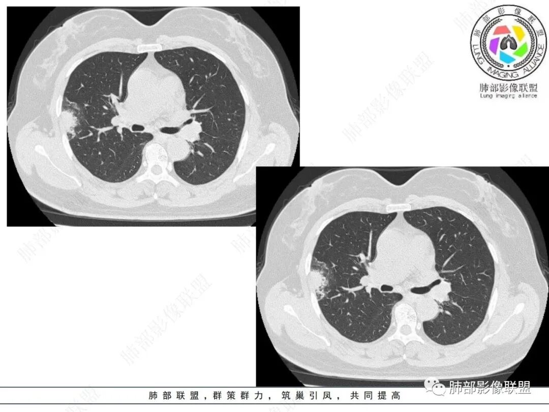
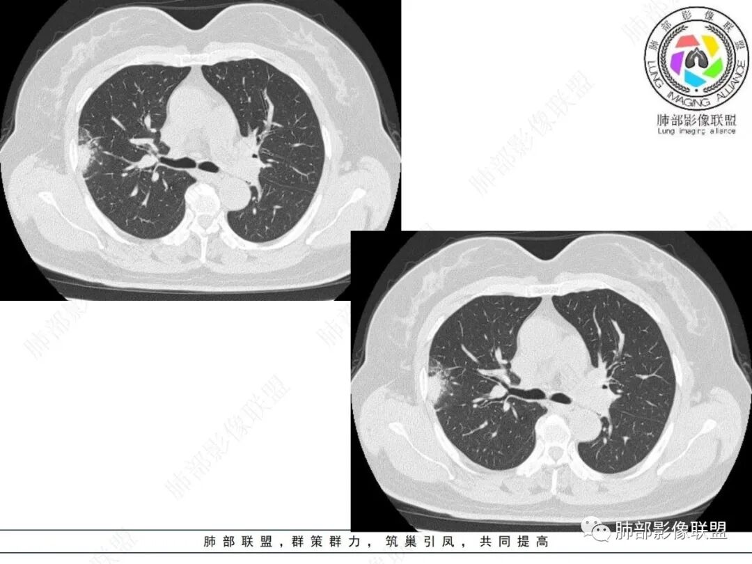
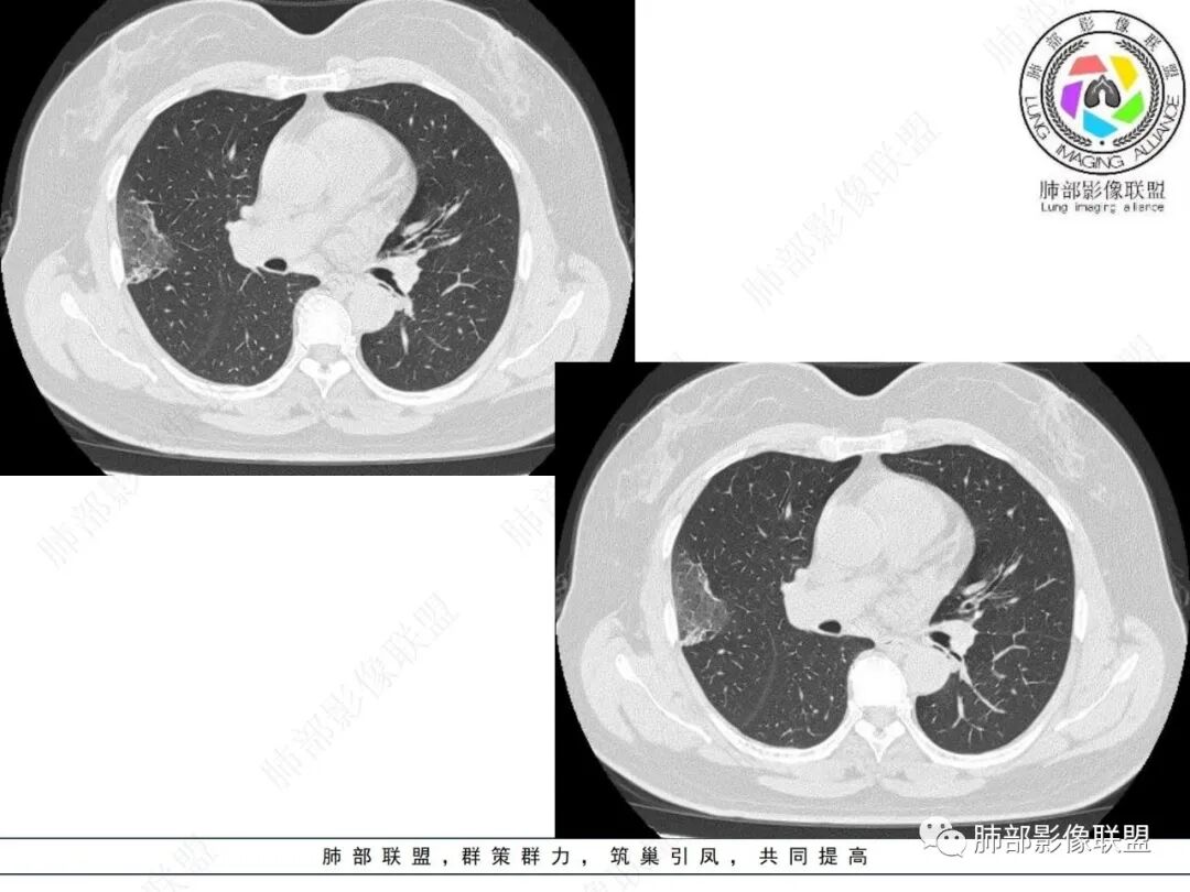
病例资料











































02
微信群讨论

摘星空竹子:
右肺上叶后段胸膜下混合性磨玻璃结节,周边磨玻璃影边界清楚,可见血管进入病灶内,老年女性患者,体检发现,考虑浸润性腺癌,鉴别隐球菌。
宇宙:
右肺上叶胸膜下混合磨玻璃结节,宽基底与胸膜相连,胸膜栽赃,磨玻璃边界似清非清,其内血管增粗扭曲,不均匀渐进强化,考虑粘液腺癌,常规先抗炎后复查
采莲:
中年女性,查体发现,右肺上叶大片磨玻璃实变影,磨玻璃边缘模糊,内可见扩张支气管,有细网格,纵隔窗实变影密度均匀,长轴与胸膜平行,局部胸膜增厚不明显,病灶明显强化,考虑粘液腺,鉴别机化性肺炎。
白小兔:
考虑粘液腺癌!依据:混合性磨玻璃影,边界清楚,小叶间隔阻挡征,重力分布征,支气管充气征,轻微收缩力!
鉴别隐球菌!有哪位大神帮解释下这两个病的鉴别要点??
谢加平:
右肺上叶后段胸膜下亚实性病灶,形状楔形,实性成份延迟强化,周围清楚GG0,内见规则小叶间隔增厚GGO影跨邻近下叶背段特点,病灶胸膜下糊墙特点,支持炎性病灶,常规继续抗炎,一个月再复查!
我只是邓较瘦:
右肺上叶胸膜下混合磨玻璃,有支气管截断,磨玻璃边界较清,叶间胸膜有牵拉,病灶内部见小叶间隔、小叶内间质增厚,增强实性部分渐进性强化。粘液腺癌与炎性肉芽肿鉴别,读片考虑前者,工作中常规治疗后复查。
放射小白:
首先考虑肉芽肿性病变,倾向真菌感染,隐球菌可能,鉴别肺腺癌、PSP、肺梗死。
飞鹰行动:
中老年女性,体检发现,右肺上叶胸膜下混合性结节,范围较广泛,边缘部分磨玻璃不清晰,无明显收缩性表现,增强病灶实性部分明显强化,考虑炎性病变,隐球?真菌?
衡妈:

中老年女性,体检发现。右肺上叶胸膜下病灶,呈中间实周围磨玻璃,磨玻璃范围较大,边界相对清晰,边缘可见小叶间隔阻挡,形成直边,中间实性部分密度均匀,与胸膜面宽基底相连,脏层胸膜面轻度牵拉,增强后渐进性中高强化。首诊建议患者抗炎十天一个月复查,如未变化考虑肿瘤性病变,粘液腺癌可能。
弹指之间:
57岁女性体检发现,右上肺胸膜下结节+磨玻璃,宽基底附于胸膜,磨玻璃区内支气管扩张,小叶间隔增厚,磨玻璃影有坠积感、外缘边界清楚;增强后实性部分呈渐进性强化,强化欠均匀,纵隔淋巴结肿大(密度较高),考虑恶性,腺癌(粘液腺)可能;隐球菌及淋巴瘤可能性小。
小兜:
女性,57岁,体检发现,右肺胸膜下混合磨玻璃密度影,实性成分宽基底与胸膜相连,实性成分明显渐进性强化,考虑恶性,腺癌可能,鉴别隐球菌
放射线:
右肺上叶后段胸膜下实变,周围磨玻璃影,边缘清晰,中心实性部分增强扫描持续渐进强化,胸膜糊墙,考虑炎性肉芽肿,鉴别粘液腺癌。
邢瑞欣:
老年女性体检发展,右肺上叶胸膜下实性结节影,边缘可见磨玻璃影,边界清,可见强化,相比最大层面胸膜下脂肪间隙清楚,考虑炎性肉芽肿病变,鉴别粘液腺癌
流心明智:
女,57,体检发现肺部病灶。胸部CT:右肺上叶胸膜下斑片影,实性结节+周围磨玻璃;实性结节边缘膨隆、毛糙,细支气管在边缘截断,宽基底接触胸膜,血管增粗进入,强化不均匀;周围磨玻璃范围较大,部分边界清晰、部分不清,边缘可见小叶内间隔增厚、直边。考虑粘液腺癌?鉴别PC、TB。
王江涛:
体检发现混杂磨玻璃结节,散,收缩力和膨胀力不强,虽然部分磨玻璃边界清楚,实性部分强化明显,腺癌不敢直接拍定,抗感染复查、查隐球,依变化情况再决定手术
03
结果


04
病例小结

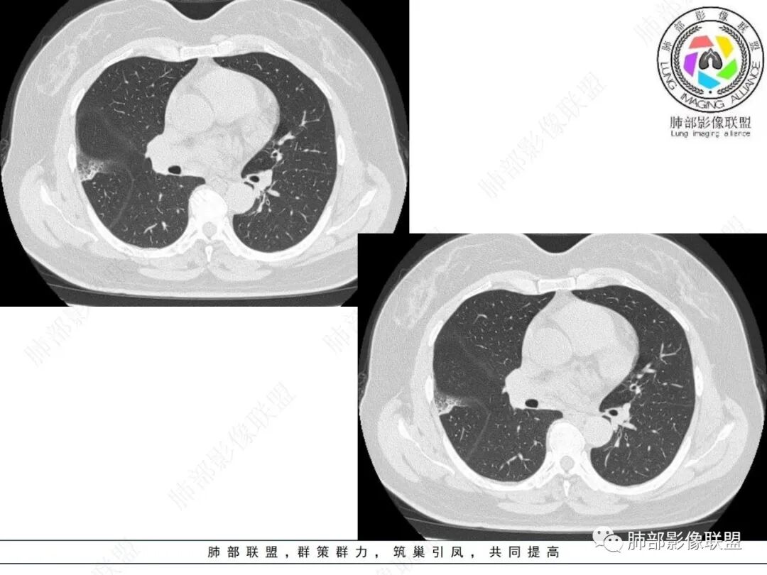
1.临床特点:57岁女性,体检发现阴影。
2.影像特点:
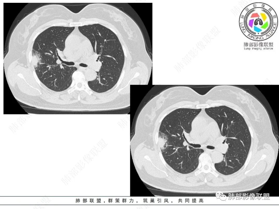
    右肺上叶胸膜下混合磨玻璃团片影。
    周围磨玻璃部分间杂条索状高密度区,密度欠均匀(可疑重力分布趋势),其磨玻璃影边界大多较清楚或可分辨,部分“L型”边缘,提示小叶间隔阻挡可能。血管穿行自如,可疑远端支气管进入。
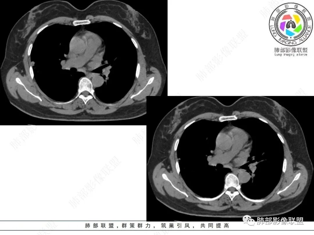
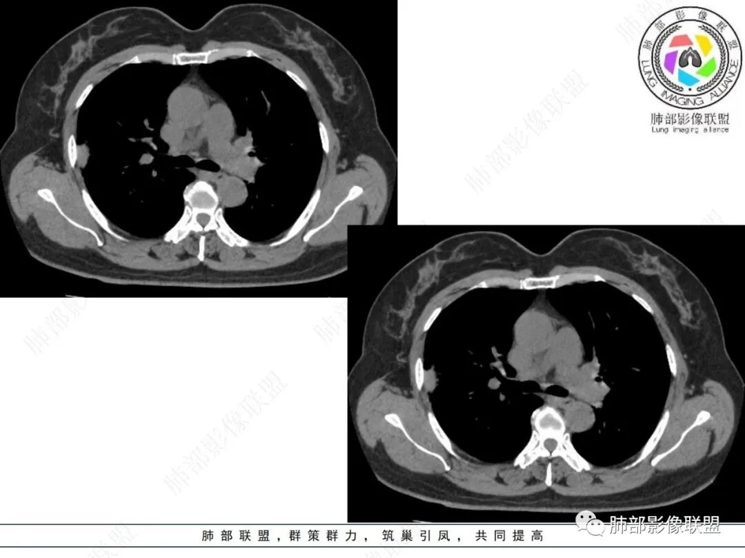
    实性部分较密实,不规则,隐约见棘突或刺状突起,未见钙化、空洞或液化区,实性边缘可见斑状略低密度间隙(借用王兆宇老师课件,称其呈“松软”的形态)。动脉期实性部分较明显不均匀强化,如果有完整增强图,还可以观察内部血管情况。
    纵隔窗相对肺窗病灶相对小,仅部分实性影呈现。病灶张力不高,相邻胸膜增厚(糊墙),未见明显胸膜牵拉凹陷。
    未见卫星病灶,远处未见磨玻璃结节影。
    双肺门及纵隔未见明显增大淋巴结。心包及胸腔未见积液。
3.病例分析:
   右肺上叶胸膜下混合磨玻璃结节,磨玻璃部分与实性部分密度都不均匀,病灶有重力分布效应,小叶间隔阻挡,收缩力羸弱。中老年女性,如此大范围病灶,缺乏临床表现,会让人警惕非感染性病变,尤其是恶性病灶可能!
   病灶磨玻璃部分边界较清楚,有重力分布趋势,可能会想到黏液腺癌,或者分泌粘液的腺癌的可能性。不支持地方也有,如实性部分密度偏高,病灶强化程度偏高等。
   其他需要鉴别的原有病灶伴出血,炎性病灶等等,感染性病变需要排除的尚有隐球菌,临床表现逍遥,病灶未出胸膜下,周围磨玻璃等等……
   经验性抗炎治疗,病灶活检是较好的鉴别方式。单就影像而言,复查病灶进行性进展,沿支气管出现播散灶也是粘液腺癌诊断的有力证据。
拓展资料
黏液腺癌结节期CT特点及病理解释:
1.周围型,是因为末梢细支气管至肺泡上皮的起源。
2.外围常有磨玻璃,边界似清非清,边界模糊是因为黏液外渗。边界清是因为早期黏液分泌比较慢,水分被吸收,黏液的粘力大,当然小叶间隔阻挡也会使得边界清。
3.漂散趋势和重力分布,是因为黏液外渗,往外漂流。
4.小叶间隔阻挡多见,是因为黏液外渗。
5.收缩力弱,是因为黏液多纤维少。
6.张力性空洞,是因为缺氧坏死及肺泡间隔断裂,随黏液咳出。
7.破坏力弱,是因为肿瘤跳跃生长,较少浸润间质血管。
8.内部低密度间隙多见,是因为肿瘤实质不很密集及肺泡残留。
9.增强幅度不高,是因为黏液多。
编辑:杨  丽  雷  凤
审核:徐  晓
相关精彩内容
【王兆宇专题讲座】粘液腺癌与鳞癌(二期第3讲)
【每周一例】135期讨论实录  一例不“飘”粘液腺癌
 肺结节CT及病理诊断进阶班第8课《黏液腺癌结节期病理影像分析》王兆宇老师



到顶部