【每日晨读】 胸膜下孤立肿块的诊断思路与鉴别要点



病例资料























病例讨论
放射小白:
中青年男性,右肺下叶见团块状影,临近胸膜牵拉,增强轻度强化,内部可见血管影,首先考虑淋巴上皮瘤样癌,鉴别淋巴瘤,其次肺肿瘤性病变IMT。
张延军:
右肺上叶前基底段实性结节,边缘膨隆,近端气管似截断,周围似见片状磨玻璃影,轻度强化,中年男性,考虑粘液性腺癌可能
小兜:
42岁,头疼半月,加重一天。CT示右肺下叶实性结节,分叶,胸膜牵拉,局部周围似见磨玻璃密度影,近端支气管截断,轻度不均匀强化,内部似见血管穿行,考虑为恶性,腺癌可能
红星:
男性42岁以头痛半月为主要症状。右肺结节影,有分叶及胸膜凹陷,病灶有一定的膨胀感,但是也具有尖角、平直。纵隔有肿大淋巴结。结合临床症状,还是考虑引起头痛最常见的感染性病变,尤其是隐球性感染可能性大,其实是要鉴别,就是腺癌,这个病灶近端的支气管是有狭窄的,纵隔淋巴结增大。要不这个头痛,就是一个腺癌脑转移的病例了。
了:
中年男性,右肺下叶肿块影,深分叶,血管集支束,局部膨隆,局部胸膜增厚凹陷,不均匀强化,似乎支气管截断,考虑肿瘤可能。
飞鹰行动:
右肺下叶团块影,密度均匀,部分边缘平直,收缩力弱,增强病灶内见血管影及不均匀强化。中年人,头疼,炎性病变与肿瘤鉴别,隐球菌?IMT?
宇宙:
右肺下叶不规则结节,宽基底与叶裂相连,分叶、棘突,近端支气管截断,不均匀近进强化,血管穿行,右肺门及纵膈淋巴结略增大,考虑腺癌、淋巴上皮瘤样癌鉴别隐球菌
甄德强:
右肺下叶不均匀强化,深分叶,考虑小细胞肺癌伴脑转移。
玫:
男,42岁,头疼半月,贫血,右肺下叶结节,边缘见分叶及胸膜牵拉,增强扫描不均匀性强化,考虑腺癌可能,除外颅内转移。
衡妈:
中年男性 头痛 右肺下叶实性结节,边缘多分叶、胸膜牵拉,增强后不均匀强化,可见血管影,右肺门及纵隔7、8组淋巴结肿大。考虑恶性肿瘤可能大,腺癌可能,鉴别淋巴瘤、淋巴上皮癌。头痛,有脑转移?
小飞:
中年男性,右肺下叶叶间胸膜下不规则结节影,边缘较膨隆,分叶、胸膜牵拉,远端肺野可见磨玻璃影,支气管有截断,增强不均匀强化,可见血管穿行,考虑恶性,腺癌?
放射线:
右肺下叶结节影,有分叶及毛刺,胸膜牵拉凹陷,边缘膨隆,纵隔淋巴结肿大,男性42岁,头痛半月,结合临床症状,考虑腺癌并脑转移,鉴别引起肺脑同病的隐球性感染。
穿越七海的风:
右肺下叶结节,膨隆生长,分叶及毛刺,不均匀强化,肺门及纵隔肿大淋巴结,支持恶性,腺癌,其他病理类型
良:



考虑小细胞并纵隔肺门淋巴结转移(小尾巴征)
甄德强:
这个尾巴应该是特点
流心明智:
男,42,右肺下叶胸膜下团块状影,边界较清,分叶,边缘锯齿样,支气管截断?临近增厚、牵拉。不均匀强化,内部可见血管影,飘浮?右肺门及纵隔可见肿大淋巴结。考虑肿瘤性病变,LELC?腺?鉴别TB、PC。
尘缘:
42岁男性,头痛半月加重一天,右肺下叶实性结节,宽基底与胸膜相连,良恶性征像都有,增强中度不均匀强化,有血管自然穿行,无明显增粗扭曲,长轴与支气管走行一致。右肺门淋巴结稍肿大。
临床思路:
一、肺脑同源:
1、肺腺癌伴脑转移,支持点:肺内实性结节,边缘有膨隆,毛刺分叶,右肺门淋巴结稍大,增强中度不均匀强化,内部不规则坏死。头痛半月,不支持点:肺内结节与胸膜宽基底相连,叶间胸膜凹陷程度轻,血管穿行太自然,
2、小细胞癌伴脑转移,支持点:中年男性,结节的尖角及与血管相连的小尾巴,肺门淋巴结肿大,头痛,存疑的地方,娘大崽小。
3、隐球,支持点:宽基底与胸膜相连,桃尖,尖角征,血管穿行自然,头痛半月加重1天可以。不支持点:没有结节堆积感,长轴不完全与胸膜平行,周围无晕,没有卫星灶。单纯的结节引起肺脑同源感染的可能非常小。
4、结核,强化有坏死,肺门淋巴结肿大,脑部症状要考虑,但肺内无卫星灶,无树芽征,肺门淋巴结无环形强化,不支持,基本排除。
5、淋巴瘤,支持点:肺内结节血管穿行自然,局部有血管漂浮,长轴与支气管走行基本一致,肺门淋巴结肿大,头痛要考虑到。
6、IMT,肺脑同源的IMT罕见,但也有。
二、肺脑不同源,脑部为缺血或其他原因引发头痛,肺部结节为随机发现。
那么,肺内结节除了以上几种可能外。还要考虑:
1、淋巴上皮样瘤,这种形态和改变都是比较符合的,只是发病率不高,得排后面。
2、大细胞或其他恶性肿瘤。
对临床来说,先进行MRI平扫加增强,明确颅内是否存在肺脑同源病变。如存在,看是否能定性,如不存在或不能定性,那就对肺内结节穿刺明确。
至于读片嘛:蒙的成份比较大,先考虑:小细胞或淋巴瘤,鉴别淋巴上皮瘤样癌吧,其他排后面了。
丽:
右肺下叶叶间胸膜下软组织肿块,边缘膨隆分叶,临近胸膜增厚,增强后不均匀强化,内可见血管影,考虑恶性,腺癌
渣渣:
右下肺实性病变,分叶,强化不均,纵隔淋巴结转移,考虑恶性
南边:
恶性要考虑
尘缘:
恶性,还是比较肯定的,只是病理类型有点四不像。结节改变加肺门淋巴结强化特点都指向恶性。
良孑:
右下肺结节,可见分叶及细短毛刺,分叶呈锯齿状,结节边缘见边界清楚的GG0,周围有局限性肺气肿,不均匀强化,有支气管截断,结节内血走行自然,定性恶性,首选腺癌或结节型粘液腺a,结节收缩力不是很大,其次要考虑腺鳞癌
谢加平:
右肺下叶前基底段叶间胸膜下肿块,支气管边缘阻断,血管进入,轻度不均匀强化,胸膜牵拉,肿块胸膜侧见指状凸起(小细胞Ca常见),支持恶性特点,小细胞ca可能性大,结合肺肿瘤抗原和胃泌素释放肽前体检查,与腺ca鉴别,头痛史,建议补充颅脑CT检查排除转移瘤。
月亮圆了!:
右肺下叶肿块影,分叶,跨叶间裂,局部膨隆,胸膜牵拉。不均匀强化,血管绕行。头痛。考虑恶性。
瑞欣:
42岁头疼,右肺下叶肿块影,边缘光整,有胸膜牵拉,叶间胸膜没有改变,强化血管走行自然,不均匀强化,考虑腺癌
病例结果

晨读补充:这个患者有颅脑转移,没有给到图。
病例小结
1、中年患者,头痛半月就诊,无其他实验室检查提供。
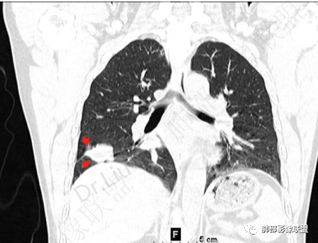
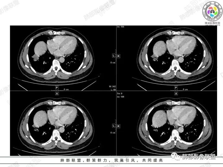
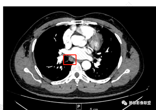
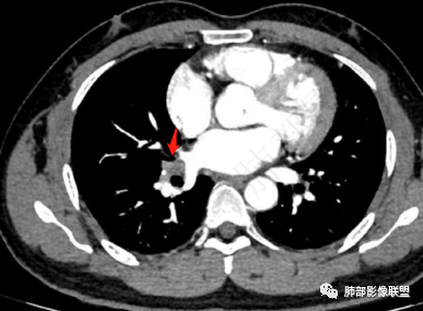
2、胸部CT右肺下叶胸膜下肿块性病变,边缘可见分叶毛刺、边缘膨隆,似有指状凸起,邻近胸膜稍牵拉凹陷,叶间裂以为不明显,提示收缩力较弱。近端支气管进入后截断,病灶内密度尚均匀,增强后可见轻度强化,未见空洞或钙化,并可见血管影进入。右侧肺门及纵隔内可见肿大淋巴结影。无胸腔积液。
3、综合患者临床症状及影像表现,需要考虑肿瘤性病变和非肿瘤性病变,肿瘤性病变需要考虑普通浸润性腺癌或结节型粘液腺癌、淋巴瘤、淋巴上皮瘤样癌、小细胞肺癌等,非肿瘤性病变主要考虑肺脑同病中的隐球菌。①普通浸润性腺癌,以肺外周多年、混合磨玻璃或实性结节/肿块,多见分叶、毛刺、胸膜凹陷、血管集束等征象,本例收缩力较弱、且强化偏轻,不够典型。②粘液腺癌,腺癌的特殊类型。多位于胸膜下(90%位于胸膜下,70%位于下叶胸膜下),边缘清或不清的GGO:提示粘液外渗,少数为纯GGO,缺乏中心纤维化区:毛刺、胸膜凹陷征少,很少胸膜侵犯,淋巴结转移少见,增强后无强化或低强化,本例病灶位于胸膜下,强化轻,收缩力弱,结节期粘液腺癌确实可以符合。③小细胞肺癌,吸烟男性多见,典型征象包括娘小崽大、腊肠样凸起、冰冻纵膈等,本例胸膜下病变大、但肺门淋巴结肿大程度较轻,不符合常见小细胞癌生物学行为,但有可疑指状凸起,小细胞肺癌不能完全除外。④淋巴上皮瘤样癌,少见的恶性肿瘤,患病年龄较轻,肿瘤多位于胸膜下,边缘多光滑,病灶周围可见磨玻璃,毛刺及分叶、胸膜凹陷少见,近端支气管可截断,增强多为中度-明显强化,本例除了强化程度偏轻外,影像表现基本可符合。⑤淋巴瘤,原发肺内淋巴瘤较少见,病灶多位于支气管血管束周围或胸膜下,密度多较均匀,边缘可膨隆也可平直收缩,可见支气管充气征、血管造影征等,强化多为轻中度,本例肺内结节血管穿行自然,局部有血管漂浮,长轴与支气管走行基本一致,肺门淋巴结肿大,不能排除。⑥隐球菌,影像表现可分为孤立结节型、大片实变型、多发结节或实变型、弥漫型。病变多位于胸膜下,边缘平直为主、可伴晕征,可见支气管穿行、部分可见支气管截断,密度多较均匀,部分可伴空洞,增强多为轻中度强化、延迟强化。本例病变位于胸膜下,收缩力弱,强化程度轻,但没有呼吸道症状,病变近端支气管截断,肺门淋巴结大,这些征象都难以用隐球菌解释,基本排除。
总之,本例考虑到恶性肿瘤性病变多不困难,但诊断到粘液性癌并不容易。
知识拓展
结节型粘液腺癌的影像诊断:
1.位于胸膜下(90%位于胸膜下,70%位于下叶胸膜下)
2.边缘清或不清的GGO:提示粘液外渗,少数为纯GGO
3.缺乏中心纤维化区:毛刺、胸膜凹陷征少,很少胸膜侵犯率
4.淋巴结转移少见
5.增强后无强化或低强化
6.典型征象:圆圈征、草帽征、树上蘑菇征、GGO样卫星灶












参考资料:【黄勇专题讲座】肺粘液腺癌的影像诊断
编辑 :任正纲
初审:邓文睿
终审:徐  晓
 



到顶部