【每日晨读】少见而又典型的肺内多发囊性病变--BHD综合征



霜降
农历九月廿八



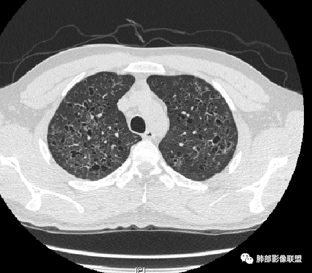
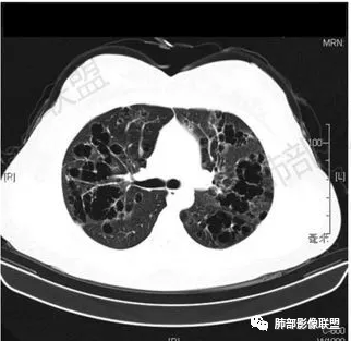
病例资料


























精彩发言
洪桥爱:
中年女性,否认肿瘤病史,双肺多发气囊,中下肺相对多发,考虑LIP,鉴别BHD综合征。
秦化君: 晨读 双肺不均匀散在多发囊状影,大小不等,部分囊形态欠规整,壁薄均匀,部分囊胸膜下平行。双肺少许斑片状磨玻璃影,边缘模糊。考虑BHD综合征。鉴别PCP,LIP。
红日初升: 中年女性,双肺多发气囊,背景干净,大小不一,下肺韧带旁较大,考虑BHD,鉴别LIP、LAM
玫: 晨读:女,49岁,双肺散在多发囊性病灶影,薄壁,部分层面病灶形态欠规整,右肺下叶少许磨玻璃影,边缘模糊,考虑LIP,鉴别BHD。
宇宙: 中年女性,两肺多发大小不等薄壁囊状影,两肺纵膈胸膜下分布明显,考虑BHD,鉴别LAM
放射线 (王秀仙): 双肺多发囊状影,大小不等,部分囊壁呈磨玻璃样,另双肺见斑片状磨玻璃影,边缘模糊。女性,考虑LIP,鉴别BHD
段建民: 双肺多发囊状影,多成圆形或三角形,囊壁薄且均匀,正常肺野内透过度尚可。双肺多发囊状影的鉴别,中心肺气肿,间隔旁肺气肿,PJP,支气管扩张,囊肿,支气管肺发育异常;LAM LIP PLCH BHD;囊腔腺癌,转移瘤,血播金葡菌……
本病例首先考虑BHD。
小飞: 晨读,中年女性,病史保密,两肺散在薄壁囊腔,肺底较多,部分较大,双肺少许磨玻璃密度影,考虑LIP
良孑: 两肺多发含气囊腔,大小不等,囊周见血管伴行,首选BHD,建议查双肾情况,鉴别Lam

南边老师分析
这个病例目前影像特点,多囊,囊主要位于下肺,胸膜下及小叶核心为主

伴随少许索条,而且这些病灶与囊不一定有相关性


囊的分布,PLCH基本可以排除
囊壁薄且均匀,光滑,形态规则,基本除外恶性
单纯囊,无斑片及其他实性病灶,感染不支持,可能的是:LAM、BHD、LIP
从囊的分布、大小,BHD可能性可能大一些,但是LIP、LAM都可以这样表现,具体诊断应该是这三种之一,影像缩小到这里我觉得就差不多了,结合临床考虑就行,不支持靠影像强下结论。

病例结果

Birt Hogg Dube综合征(BHD)
     BHD综合征是一种罕见的常染色体显性遗传卵泡刺激素基因异常性疾病,首先于1977年由Birt、Hogg和Dubé三位医师报道, 典型临床表现为皮肤纤维毛囊瘤、肺囊肿、自发性气胸和肾肿瘤(通常为双侧), 甚至还可出现直肠息肉、直肠癌、卵巢囊肿、视网膜斑痕等改变。首诊的原因多为面部、颈部和上身躯干部位出现小的白色或正常肤色的丘疹, 这些皮肤的病损可随着时间而进展, 少数因肾肿瘤首诊。如果家族中有人经病理证实患纤维毛囊瘤 (临床上多在10岁以后出现) , 同时伴有BHD基因种系变异, 那么这个家族都有可能患BHD病。如果患者没有皮肤纤维毛囊瘤但携带BHD基因者往往有BHD基因的变异, 或是仅有BHD单倍体的遗传。
发病机制     BHD综合征是由位于染色体17p11.2上的FLCN基因种系突变造成。这些突变是小片段插入/缺失、剪接位点突变和无义突变,它们导致大多数患者FLCN蛋白质过早截断或功能丧失。迄今为止,已在BHD家系中发现覆盖全部14个外显子的149种不同FLCN基因种系突变,相关信息收录在Leiden开放式变异数据库。
     BHD综合征的发病率尚不明确,全世界已经发现约200个家系,受累家系FLCN基因突变的总体外显率较高,然而,即使在同一家系中,皮肤、肺和肾脏表现差异也非常显著。虽然肾脏癌症的外显率相对较低,但BHD综合征患者肾脏肿瘤的发生率是一般人群的7倍。

临床诊断BHD综合征需要满足一个主要或两个次要标准。主要标准包括:1、皮肤上至少发现5个纤维滤泡瘤,至少1个组织学证实;2、致病的FLCN种系突变阳性。次要标准:1、多发肺囊肿,双侧基底部,有或无自发性气胸;2、肾癌,起病早(<50岁)或多灶性或双侧;3、 BHD综合征一级亲属。BHD主要影像表现特征:1、两肺内肺囊肿:80%以上的BHD患者会出现肺内囊肿,且倾向于基底部近胸膜下分布,特别是纵隔侧肺膜下,囊肿形状不规则、囊肿可大可小,肺内囊肿多毗邻肺下动脉或静脉近端,胸部CT上囊肿分布和特点对诊断有提示意义。2、继发自发性气胸:BHD患者发生气胸风险是正常人的5倍,BHD患者的气胸发生率约为1/4,气胸复发率则高达59%。3、肾肿瘤:(常为双侧性、倾向于嫌色细胞组织学亚型)4、皮肤表现:(为面、颈部纤维性毛囊瘤、毛盘瘤)



双肺弥漫性囊腔的鉴别诊断
1.小叶中心性肺气肿:上肺为主,无壁,中央见小血管影,位于小叶核心周围,部分血管可推移到边缘,周围肺组织正常

2.肺朗格汉斯细胞组织细胞增生症(PLCH):
PLCH通常发生在青年人,男性多见,与吸烟密切相关,患者可无症状或有呼吸困难;肺组织病理是朗格汉斯细胞增生及浸润为特征,形成双肺多发细支气管旁间质结节囊腔。
CT表现:早期阶段以结节为主,小结节分布于小叶内、支气管血管束旁及小叶间隔,囊腔形态不规则,呈分支状、两叶或三叶,大小不一,囊壁厚薄不均,主要以中上肺受累为主,双侧肋膈角往往不受累,终末期过度充气及广泛囊腔形成网状纤维化或终末肺气肿,也可导致自发性气胸。

3.淋巴细胞性间质性肺炎(LIP):
是一种罕见、良性的淋巴组织增生性疾病,组织学上是细支气管周围及肺间质内弥漫性淋巴细胞浸润为特征,特发性LIP罕见,常继发于结缔组织病(如干燥综合征、RA、SLE),免疫抑制状态(如HIV)有关。
CT表现:双肺散在多发薄壁囊腔和小叶中心结节,囊腔沿血管支气管束周围间质分布,周围有磨玻璃密度影(反应出弥漫性间质炎症),小叶间隔和支气管血管束增厚。

4.囊性转移瘤
空洞或囊腔型肺转移瘤相对少见,约占肺转移瘤4%,其中70%为鳞癌转移;常见的空洞型肺转移瘤的原发恶性肿瘤多见于头颈部的鳞状上皮癌、胃肠道的腺癌和女性的生殖系统肿瘤以及其他部位的肉瘤等,组织学以鳞癌和腺癌最多见。空洞型肺转移瘤常双肺随机分布。
空洞型肺转移瘤成因尚不完全明确, 可能与鳞癌中心角化物排空、腺癌黏液样退变后黏液排空、肿瘤血供不足引起坏死、肿瘤继发脓肿、化疗等机制有关,其中部分薄壁囊腔样结可能是肿瘤细胞沿着原有的肺大泡或其它囊性结构生长或者肿瘤向小支气管侵犯引起活瓣性阻塞而形成,但无一种机制能解释全部现象。

肺部囊性病变在放射科的日常工作中非常常见,但是它的诊断却充满挑战。一套合理的诊断步骤非常重要,作为诊断的第一步,囊肿应与空洞、大泡、气肿、肺气肿、蜂窝和囊性支气管扩张相区分。第二步,囊肿可以分为单发/局限性囊肿和多发/弥漫性囊肿。单发/局限性囊肿包括偶发囊肿和先天性囊性疾病。多发性/弥漫性囊肿可根据有无其它相关的影像表现进一步分类。多发/弥漫性囊肿无其它相关表现包括淋巴管平滑肌瘤病和Birt-Hogg-Dubé综合征。多发/弥漫性囊肿可能伴有毛玻璃影或小结节。多发/弥漫性囊肿伴结节,包括朗格汉斯细胞组织细胞增生、囊性转移和淀粉样变性。多发/弥漫性囊肿伴磨玻璃样阴影,包括肺孢子菌肺炎、脱屑性间质性肺炎和淋巴细胞性间质性肺炎。这种循序渐进的放射诊断方法有助于对各种囊性肺病的正确诊断。




编辑:蔡笑燕
初审:邓文睿
终核:清   茶 


到顶部