病例资料
微信群讨论
放射小白:
老年女性右肺上叶前段实性结节,边缘可见长短不一毛刺,临近胸膜受牵拉,中心疑似低密度影,空泡征?增强呈渐进性强化,首先考虑肺腺癌,鉴别良性肿瘤,错构瘤、PSP。
摘星空竹子:
右肺上叶前段结节,边界清楚,可见浅分叶、毛刺、血管集束征及胸膜凹陷征,密度欠均匀,增强扫描渐进性明显强化,老年女性患者,体检发现,考虑腺癌,鉴别结核、慢性炎症。
俏麦爸:
右肺上叶结节,可见毛刺和血管集束征,老年女性患者,既往患病不详,首先考虑肺恶性肿瘤,腺癌可能性大,结合呕吐征象,建议完善外周检查,例如头颅磁共振排外脑转移。
放射线:
右肺上叶前段结节,有分叶毛刺,胸膜牵拉不明显,毛刺细长比较软,密度不均中央有低密度坏死,呈明显环形延迟强化,考虑炎性肉芽肿,鉴别腺癌
蓝天白云:
右上肺结节边缘见毛刺,胸膜侧分叶,轻度强化,考虑恶性可能,腺癌,淋巴瘤样上皮癌,肉芽肿
我只是邓较瘦:
右肺上叶结节看着就挺恶的,血管集束、冠状位看到一条血管弯曲,可疑空泡,周围似乎有磨玻璃?(需要薄层明确),这些征象支持腺癌。但是病灶比较明显的延迟强化、环形强化,毛刺比较长且收缩力不是太明显,炎性肉芽肿还是要考虑。
洪桥爱:
老年女性,正常肺背景,右肺上叶结节,边缘膨隆,浅分叶,长短毛刺,淋巴回流受阻,小空泡,显著强化,考虑肺腺癌,鉴别结核。
谢加平:
右肺上叶前段孤立性实性结节,不均匀明显延迟强化,形态不规则,位于胸膜侧见小锯齿状凸起,胸膜牵拉及兔耳侧,结节内上侧见磨破璃影,边清(需薄层确认),另见血进入结节,邻近血管集束征,结节外侧见指状凸起影(恶性多见),定恶性,腺Ca;鉴别炎性肉芽肿,结合肺肿瘤指标抗原检查,经皮肺穿刺活检!
良孑:
右上叶结节,可见边缘清楚的GGO,可见分叶,胸膜牵拉线及长短不一的毛刺影,不均匀强化,坏死边界不清 ,72岁,高危病人,考虑浸润性腺癌
衡妈:
支持恶性结节,腺癌可能。右肺上叶尖段实性结节,边缘分叶、毛刺,与胸膜面数条牵拉线伴磨玻璃感(淋巴回流障碍),内隐约见支气管进入是否堵塞需要薄层重建。增强后静脉期中等强化。
风儿:
右肺上叶实性结节,有分叶、长短不一毛刺,长毛刺较软,兔耳征但邻近胸膜无明显收缩,渐进性强化,中心密度低。考虑炎性肉芽肿,鉴别腺癌。
弹指之间:
老年女性,虽有支持恶性的征象,但首先考虑炎性肉芽肿结节(结核?),原因:1.毛刺较长、较软,2.周围GGO不确切,3.增强后轻度延迟强化,内部见边缘较清楚的低密度相对不强化强化区。
南边老师分析
南边:
老年女性,体检发现肺部结节,直径2cm左右,实性
定位在:前段?尖段?
吴婧:
尖段
南边:
类圆形,浅分叶,各类病变都可以,价值不大
似有毛刷状毛刺征,边界清楚GGO?需要薄层明确,不然要考虑恶性,就怕容积效应
强化:炎性多见,但是恶性也可以
空泡,没薄层,不知道是否明确;如果明确,恶性多见;周围似乎比较干净,近端支气管与其关系未见明显显示
结果
病例小结
1.病例特点:
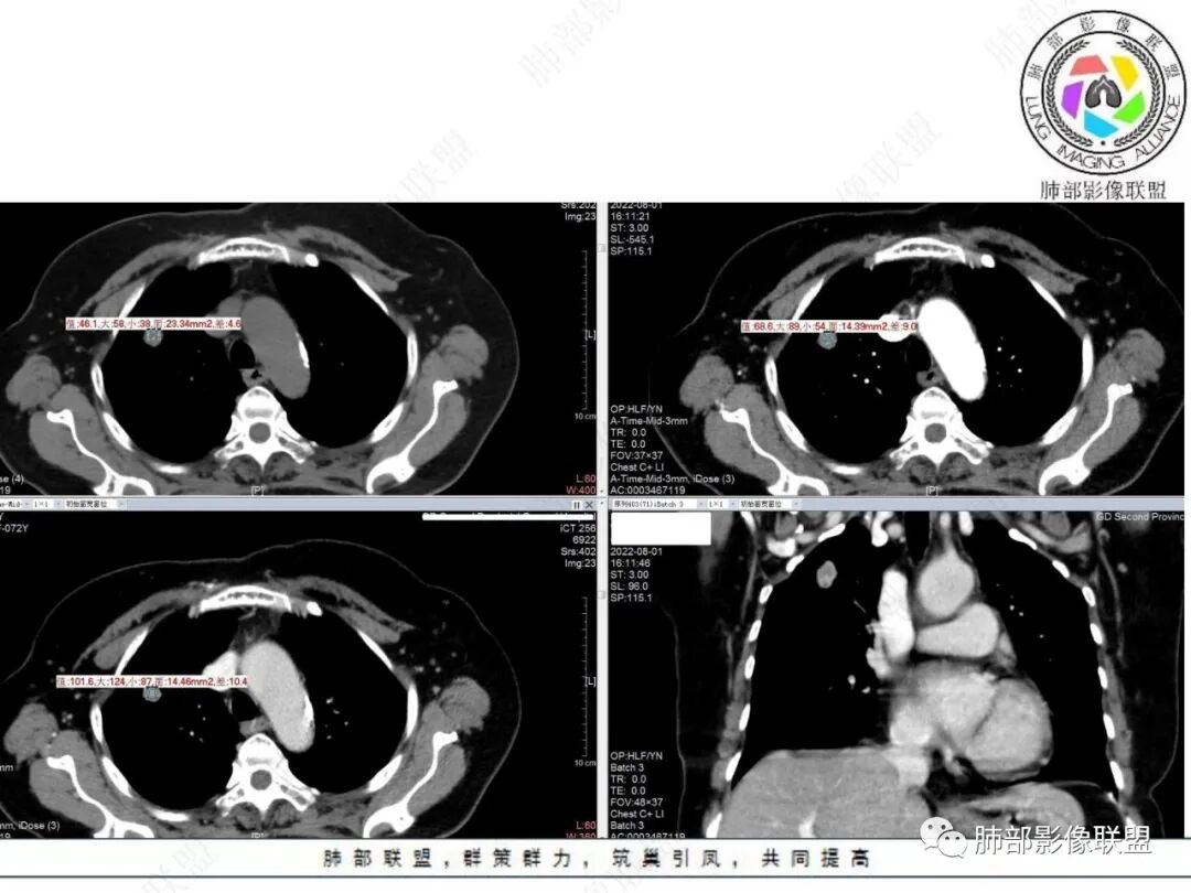
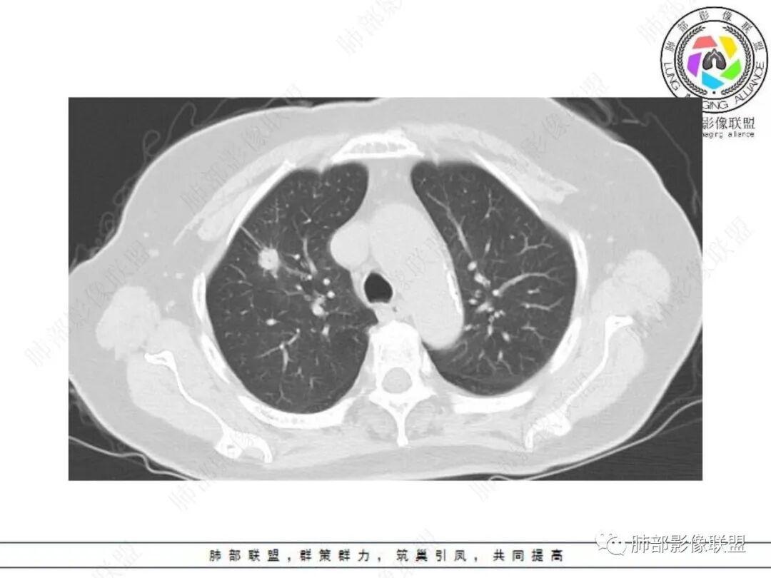
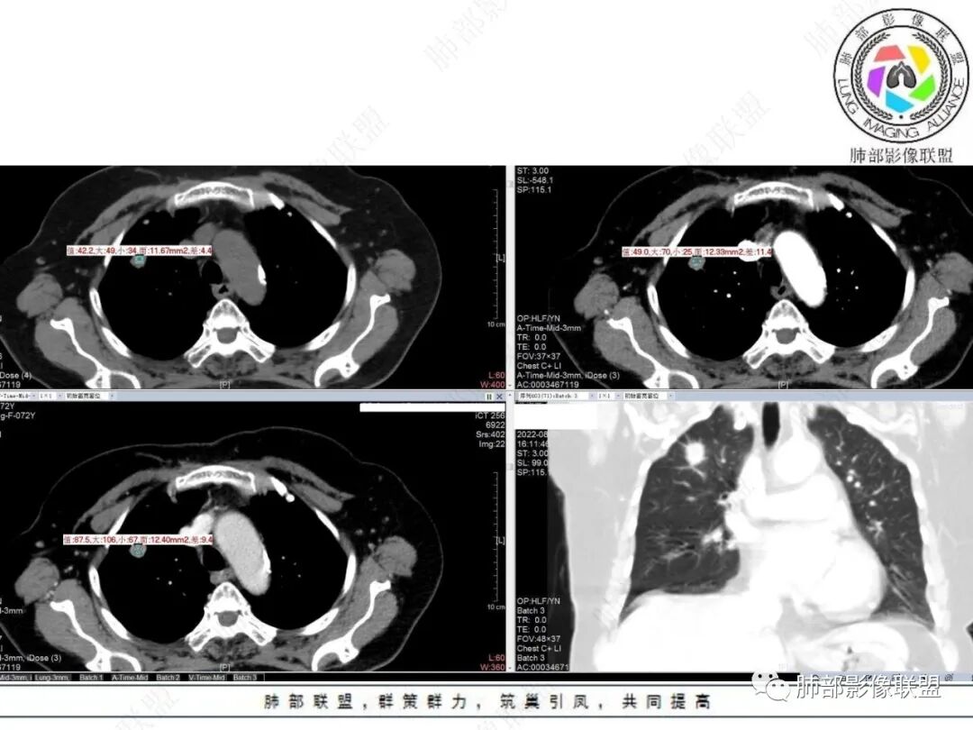
老年女性,体检发现,无呼吸道症状。右肺上叶尖段孤立性实性结节,下份见空泡,余密度较均匀。病灶形态不规则,边缘多膨隆,可见浅分叶及细毛刺,血管集束,未能显示相关支气管情况。病灶胸膜侧见小锯齿状凸起、胸膜牵拉及兔耳征,结节前缘见磨玻璃影,磨玻璃影边界较清楚(需薄层确认),结节外侧见指状凸起影。未见卫星病灶,纵隔窗未见明显钙化。增强扫描:较明显渐进性强化。
2.病例分析:
老年女性,右肺上叶孤立实性结节,边缘欠光整,强化明显,未见卫星灶,已经让人高度警惕恶性肿瘤,尤其是腺癌!
浸润性腺癌支持点还有空泡及磨玻璃晕,但非薄层图像,磨玻璃影表现可靠性降低。
病灶张力不高,磨玻璃晕等需要鉴别隐球菌感染或其他炎性肉芽肿,虽然位置并不靠近胸膜。肺腺癌与隐球菌感染的鉴别,在影像学上也许是个永恒的话题。
没有卫星灶,没有树芽征,没有新旧不等,强化明显等不支持继发性肺结核。结节影边界欠光整,缺乏游离感,没有脂肪密度或钙化,强化特点等都未能显示出硬化性肺细胞瘤或者错构瘤的影像学特点。
3.知识点回顾
浸润性腺癌:多见于老年女性。结节深分叶,收缩力强,磨玻璃影边界清晰,且磨玻璃影内部缺乏结节感。另外CT特点可有如下:空泡征及“假大空”,"月牙"征与“L”形缺口,胸膜牵拉凹陷,支气管充气征与支气管牵张扭曲,分叶征,毛刺征,膨胀边缘与胸膜处锐角,血管穿行征等。—摘自《普通型肺腺癌CT特征的病理解释》王兆宇老师
往期精彩
【每日晨读】炎症还是癌症由你来辨!
【肺部影像病理系列】月牙铲,磨玻璃,核桃征,再现重温不同心得
【袁静萍专题讲座】肺腺癌的病理诊断及鉴别诊断要点思考
END
编辑:杨 丽 雷 凤
审核:徐 晓 清 茶