【每日晨读】后纵隔旁灯泡征--少见但典型的血管瘤!




沉淀 精心


肺部影像联盟
肺部影像联盟于2016年4月宣告成立,同年6月8号创建了公众号,在众多专家学者的见证下,肺部影像联盟有了属于自己的平台,这是集影像、临床、病理、感染、解剖及心血管等多学科学习的公益平台。迄今为止公众号关注量9万余,肺部千聊关注5万余,目前已从原来的五大群发展至十几个肺部影像系列专业微信群,平台由最初单学科谈论逐渐向MDT模式转变。我们坚持工作日每天群内晨读,每周一、每周三进行病例大讨论,并定期在千聊、肺部影像联盟公众号直播授课,更多精彩敬请关注肺部影像联盟公众号。
为满足更多人入群学习的需求,肺部影像联盟开放新群,对肺部影像感兴趣,有意进群学习的老师可加微信txlhhdd520拉入群,肺部影像联盟欢迎热爱学习的你!
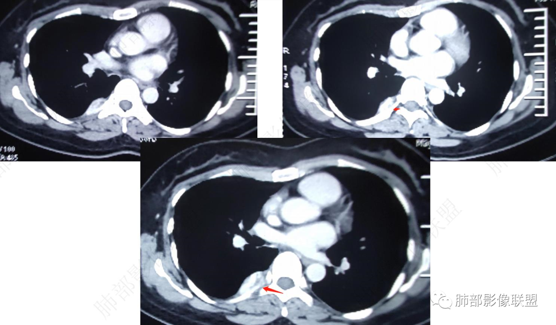
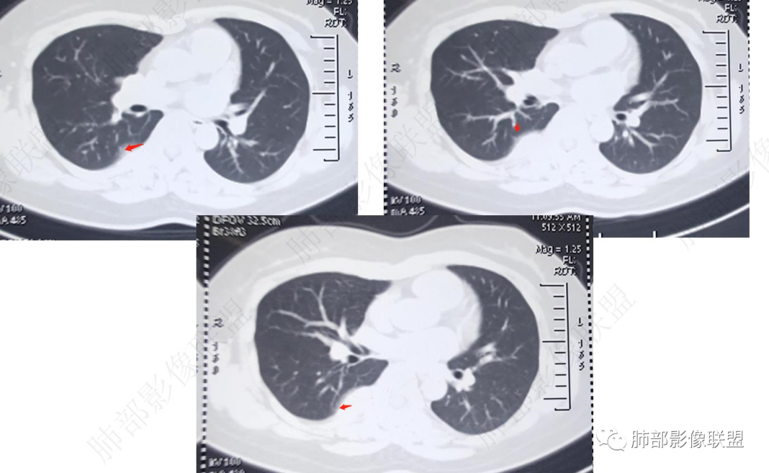
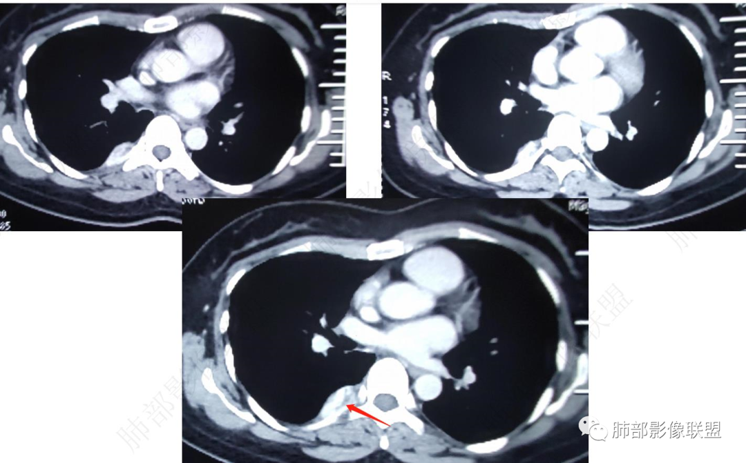
病例资料












精彩发言


凯、KAI: 
后纵隔不规则软组织密度影,强化方式和主动脉一直,考虑良性病变,血管畸形?
秦化君: 
右上胸膜外脊柱旁可见梭形软组织密度影,边缘清晰,增强后呈血管样同步强化,MRI呈长T1、长T2信号影,信号均匀,似有尾征。考虑血管源性肿瘤,淋巴管瘤。
衡妈: 
后纵隔胸椎右侧旁椭圆形软组织密度,密度均匀,未见囊变钙化等,临近椎间孔未见明显扩大,临近骨质未见异常,增强后显著渐进性强化,强化与主动脉一致。考虑血管瘤,鉴别副神经节瘤,神经鞘瘤。
玫: 
后纵隔脊柱旁软组织密度影,边界清晰,密度均匀,增强扫描病灶与血管强化相仿,考虑血管瘤可能,鉴别神经源性肿瘤。
gaoql: 
右后胸膜外明显强化结节,T2高亮信号,考虑血管瘤,监别神经鞘瘤,askin瘤
小兜: 
右后纵隔旁梭形占位,明显强化,与血管强化相似,压脂T2明显高信号,考虑血管源性肿瘤,血管瘤?
学君: 
右侧脊柱旁沟明显强化结节,T2高亮信号,考虑血管瘤,鉴别神经鞘瘤。
金豆 (刘权威): 
肺外,明显强化,T2高信号,富血供,血管瘤,鉴别副节瘤。
飞鹰行动: 
后纵膈右侧胸膜外明显强化结节,T2明显高信号,考虑血管类肿瘤,血管瘤。鉴别神经鞘瘤。
放射线 (王秀仙): 
右后脊柱旁可见梭形软组织密度影,边缘清晰,与胸壁关系密切,增强后呈血管样同步强化,MRI呈长T1、长T2信号影,信号均匀,高亮T2有点灯泡征的感觉,考虑血管瘤,鉴别神经鞘瘤
丽: 
青年女性,后纵隔脊柱旁条形占位,边界清晰,T2高信号,增强后明显强化,考虑血管瘤
毛勤香: 
肺外,似乎胸膜尾征,动脉期和静脉期均明显均匀强化,T2高信号,排除sft,没有坏死,首先考虑血管瘤,年轻女性,鉴别髓外造血
知足长乐: 
脊柱旁病变,定位肺外,梭形,明显强化;核磁  T1等、T2高、压脂高亮信号,边缘清楚。考虑血管源瘤。
蓝天白云 (钟学兰江苏泗洪第一人医院): 
胸壁来源,胸膜位于病灶内侧缘,t2高亮信号,考虑符合血管及血窦,增强明显强化,与血管相仿,快进快出强化模式,说明血管通畅,考虑血管瘤,副节
谢加平: 
右侧后胸壁下,肺外,位于脊椎旁肿块,边界光滑清楚,见高信号包膜影,T1等低不均匀信号,T2高信号及明显均匀强化,见带蒂与椎间孔相连,常见神经来源良性肿瘤,神经鞘瘤,与髓外造血鉴别。
binby: 
海绵状血管瘤,明显强化,低信号间隔,点状低信号无强化血栓?机化?灯泡征;病灶软,又塑形爬行包绕
蓝天白云 (钟学兰江苏泗洪第一人医院): 
胸壁来源,胸膜位于病灶内侧缘,t2高亮信号,考虑符合血管及血窦,增强明显强化,与血管相仿,快进快出强化模式,说明血管通畅,考虑血管瘤,副节

南大分析



1、定位,肺侧见脂肪包绕


胸膜连续,位于病灶肺侧,纵隔侧边界不清,无明显边界
包膜,定位胸膜外,两侧延伸,内有间隔

T2脂肪抑制序列高亮信号,T1等




血管样延迟强化
定位:胸膜外
定性:海绵首选,待排副节瘤



病理结果


 


文献复习


     纵隔血管源性肿瘤按结构分为:海绵状血管瘤、毛细血管瘤、蔓状血管瘤。毛细血管瘤与海绵状血管瘤的区别除了血管腔的大小外,镜下形态及大体标本也有很大不同。
     纵隔毛细血管瘤( capillary hemangioma of mediastinum, CHM) 是由弥漫增生的小血管构成的肿块,其内壁衬以血管内皮,血管内充血或有钙化的血栓( 静脉石) 存在,无平滑肌层,肉眼肿瘤切面可见弥漫小血管腔,质实,不同于海绵状血管瘤的蜂窝状改变,海绵状血管瘤是有多个薄壁扩展的血管组成。毛细血管瘤多发生于皮下,肌肉、内脏、骨等部位也可发生。纵隔毛细血管瘤可发生于任何年龄,多发生在40岁之前,尤以10岁以下高发,无明显性别差异,好发于前纵隔;可呈浸润性生长,故形态可不规则,其中可有静脉石,外围有包膜,部分患者可出现纵隔结构的压迫症状,多数患者没有临床症状。
     CT表现: 大多数病灶呈境界清楚的肿块影,呈蔓状生长,质地软,仅少部分与周围结构分界不清,平扫时肿块密度均匀或不均匀,肿块内可见小点状钙化、静脉石或血栓形成,偶尔可见脂肪密度影,增强后强化方式多样,呈典型的多灶性或弥漫性不均匀性强化,也可呈中心型或外周型强化,肿块内也可见强化的血管腔,在动脉期即能显示与纵隔大血管一样的强化。     
     MRI表现:病灶多呈长T1长T2信号影,T2WI脂肪抑制序列呈高信号具有特征性,有时可显示流空血管影,弥散多不受限,增强后强化方式多样,与CT强化类似。
参考文献:
【1】纵隔血管瘤11例影像学表现分析《中外医学研究》第 20 卷  第 29 期(总第 541 期)2022 年 10月 
【2】纵隔血管瘤的 CT 表现及病理对照分析 临床放射学杂志 2021 年第40 卷第7 期


病例小结


     中青年女性,胸痛就诊,CT检查发现右后纵隔占位,病灶位于后胸壁纵隔移行区,略呈卵圆形或梭形蔓延,质地软,等/稍长T1、显著长T2信号,T2W脂肪抑制序列“亮灯”样高信号,这种磁共振信号特征对血管瘤具有强烈提示意义!(实在是太亮了,严格意义上的肿瘤罕见)
    病灶显著强化,强化与纵隔大血管相仿且同期,一般会提示是血管源性病变,如血管瘤,如果边缘结节样强化逐渐填充渐进,则提示可能为海绵状血管瘤。
The End
编辑:蔡笑燕  邓文睿
审核:徐  晓



到顶部