【每日晨读】令人心酸的肺实性结节,你一定遇见过!




肺部影像联盟
肺部影像联盟于2016年4月宣告成立,同年6月8号创建了公众号,在众多专家学者的见证下,肺部影像联盟有了属于自己的平台,这是集影像、临床、病理、感染、解剖及心血管等多学科学习的公益平台。迄今为止公众号关注量9万余,肺部千聊关注5万余,目前已从原来的五大群发展至十几个肺部影像系列专业微信群,平台由最初单学科谈论逐渐向MDT模式转变。我们坚持工作日每天群内晨读,每周一、每周三进行病例大讨论,并定期在千聊、肺部影像联盟公众号直播授课,更多精彩敬请关注肺部影像联盟公众号。
为满足更多人入群学习的需求,肺部影像联盟开放新群,对肺部影像感兴趣,有意进群学习的老师可加微信txlhhdd520拉入群,肺部影像联盟欢迎热爱学习的你!
病例资料










精彩发言

张延军:
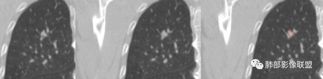
右肺上叶尖段实性结节 炎性肉芽肿?增殖灶?
金豆:
腺癌
王江涛:
实性结节,形态不规则,与周围血管关系密切,腺癌不排除
宇宙:
右肺上叶血管间不规则实性结节,边界清,分叶,小叶间隔阻挡,考虑腺癌,鉴别炎性肉芽肿

老年男性,右肺上叶尖端小结节影,棘状突起,不排除恶性肿瘤。
小兜:
实性不规则结节,与周边血管关系紧密,分叶,周边似见磨玻璃,首先考虑腺癌可能
一切∮随缘:
考虑炎性肉芽肿
二妹柠檬🍋🍋🍋:
考虑腺癌
穿越七海的风:
右肺上叶形态不规则结节,紧贴血管,病灶散,收缩力不大,炎性
南边:
这么小的结节,难啊
衡妈:
太难平时遇到首诊这样的病人脑袋疼
毛勤香:
右肺上叶微小结节,感觉有指状凸起,肺气肿背景,长期吸烟史,需警惕小细胞癌,短期(1~3个月)复查
放射线:
结节太小了,第一遍看竟然没有发现病灶,常规这么小的结节要复查对比一下。老年男性患者,右肺上叶实性结节影,边缘较清。既然拿出来读片,考虑恶性,鳞癌?不排除炎性肉芽肿。
南边:
临床吸烟40年。急性感染病史。

胸片提示右下肺感染
影像上似有马赛克灌注,提示小气道炎症可能
这个结节可能与症状无关


只是无意中发现



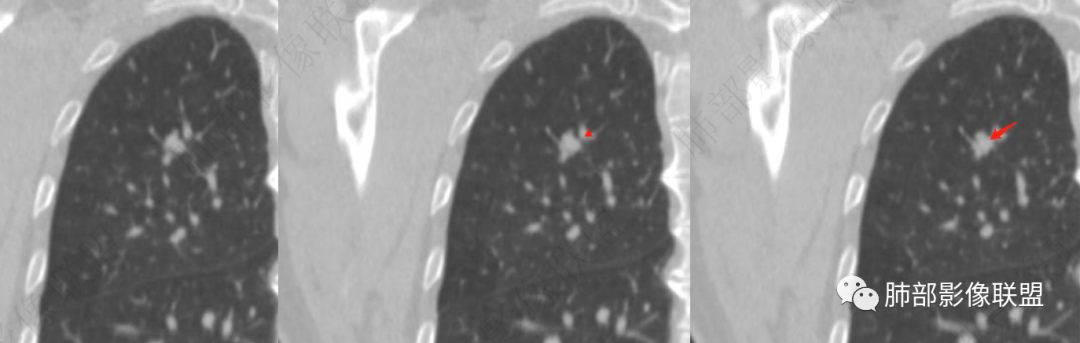
矢状位是这个吗

应该沿病灶长轴建
目前观察到的是:
密度均匀
边缘清楚、光滑,长轴方向较平直
缺点是没看清近端的支气管
蓝天白云:
沿血管走形稍增粗结节,鳞癌?腺癌?这么小,随访复查
知足长乐:
有小细胞肺癌的可能
꧁༺༽༾ཊ天涯ཏ༿༼༻꧂:
老年男,长期吸烟史,排除不了先考虑恶性
南边:
需要了解近段支气管关系
如若无关——良性
如果近端堵塞,类似于指套征,就不能排除恶性
月亮圆了!:
实性不规则结节,分叶,周围磨玻璃,腺癌可能
良孑:
小小 ,烟民,考虑鳞癌
病理结果



 影像与临床


1、老年男性,4天前受凉后咳嗽、咳痰伴胸痛。
2、既往高血压史、吸烟史。
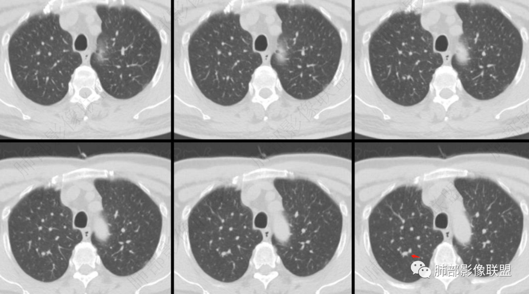
3、右肺上叶不规则实性密度为主结节影,可见浅分叶,边界隐约可辨,界面欠清晰。病灶密度欠均匀,边缘似可见磨玻璃影,未见钙化及卫星灶。
4、矢状位示病灶沿肺动脉长轴走形,边缘较平直;
5、未提供肺门及纵隔影像。肺门及纵隔淋巴结情况未知。
6、综合分析,右肺上叶单发实性小结节,浅分叶,边界隐约可辨,未能明确与支气管关系。病灶边界不够清晰游离(与邻近肺组织多有瓜葛),加之缺乏周边征象,硬化性肺细胞瘤等良性肿瘤可能性较小。
    需要鉴别的是炎性病灶(如炎性肉芽肿)与恶性肿瘤。病灶较小,恶性征象不多(小支气管阻塞、深分叶及毛刺、清楚的磨玻璃晕,张力高等等),仓促定性,未免仓促,可以定期复查是否有变化,穿刺活检也可视为积极措施,唯病灶较小,幽深不测,难度较大。
7.注意:1)血管旁实性密度小结节有时易被“瞒天过海”2)不宜轻视任何一个肺部结节。
肺内单发实性结节分析思路


1、定义
    肺内单发结节:肺内单发结节,也称孤立性结节,是指肺实质内单发的类圆形、直径在30 mm以内的结节影,不伴有肺不张、肺门及纵膈淋巴结的肿大;
2、影像分析:
    肺部许多疾病在影像上均表现为各种形态的单发结节,充分认识结节的影像特征,对于鉴别疾病的良恶性十分重要。对于肺内结节的影像学分析应从以下几个方面分析:结节的形态(整体、局部)、边缘、密度、内部结构、支气管、血管及周围病灶、强化方式以及与胸膜的关系等;
3、鉴别诊断疾病谱
①周围型肺癌:病变形态不规则,深分叶,毛刺征,胸膜凹陷征,空泡征、血管集束征。
②结核瘤:多位于上叶尖后段或下叶背段,形态规则,多数边缘光整,少有毛刺,内部密度偏高不均,多卫星病灶,可见树芽征等。
③炎性假瘤:多位于肺周边,边缘欠规则,边界不清,可见片状、条索状卫星病灶,相邻胸膜反应明显,“尖角征”、“直边征”,患者常有急性或慢性肺部感染病史;
④硬化性血管瘤:中年女性多见,圆形或类圆形,边缘光整,浅分叶,境界清楚、密度均匀,明显强化、贴边血管征。
⑤错构瘤:典型病例会出现爆米花样钙化或脂肪密度影;结节直径一般在3cm以下,边界清楚,边缘光滑。
⑥转移瘤:肺内单发(常多发)类圆形高密度影,密度均匀,边缘光滑,边界清楚,如有原发病史首先要考虑。
⑦纤维瘤:单发类圆形高密度影,密度均匀,边缘光滑,边界清楚,贴近胸膜缘,无分叶或有浅分叶。表现无特异性,确诊依赖穿刺活检和手术病理;
⑧韦格氏肉芽肿:肺内单发(可多发)结节影,边界清,常坏死形成空洞,洞壁较薄,治疗后结节可缩小或消失,易复发,随访复查对鉴别诊断有一定帮助;
4、文献拓展
     研究认为30mm直径以下的结节,其良恶性与结节大小无显著相关;此外,也有学者比较18F-FDG PET/CT和增强CT两种检查方法对肺内单发结节的诊断效能,研究表明,18F-FDG PET/CT显像诊断灵敏度、准确性与阴性预测值优于增强CT,对于不同大小结节而言,结节长径在1~2cm之间时,PET/CT诊断优势最明显。
小结


     肺结节是临床常见病, 由于没有大多特异性的临床症状,患者常在健康体检时偶然发现。对于单发肺实性结节的影像学分析,除了观察病灶本身的影像学特征外,更应仔细分析病变与邻近支气管的关系,结合其他影像信息,最终得出参考性意见。
    此外,动态观察病灶大小变化有助于鉴别肺结节的良恶性。
-END-
编辑:康语桐
初审:邓文睿
终核:徐  晓


到顶部