【每日晨读】你了解“糊墙”与“栽赃”吗?


肺部影像联盟于2016年4月宣告成立,同年6月8号创建了公众号,在众多专家学者的见证下,肺部影像联盟有了属于自己的平台,这是集影像、临床、病理、感染、解剖及心血管等多学科学习的公益平台。迄今为止公众号关注量9万余,肺部千聊关注5万余,目前已从原来的五大群发展至十几个肺部影像系列专业微信群,平台由最初单学科谈论逐渐向MDT模式转变。我们坚持工作日每天群内晨读,每周一、每周三进行病例大讨论,并定期在千聊、肺部影像联盟公众号直播授课,更多精彩敬请关注肺部影像联盟公众号。
为满足更多人入群学习的需求,肺部影像联盟开放新群,对肺部影像感兴趣,有意进群学习的老师可加微信txlhhdd520拉入群,肺部影像联盟欢迎热爱学习的你!
2

22
世界杯
World Cup
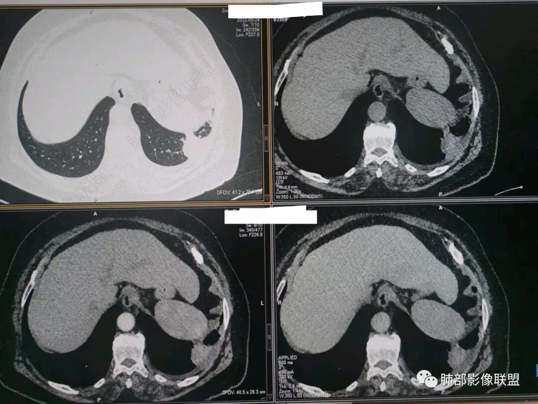
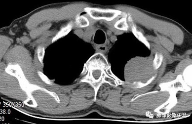
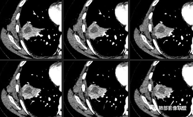
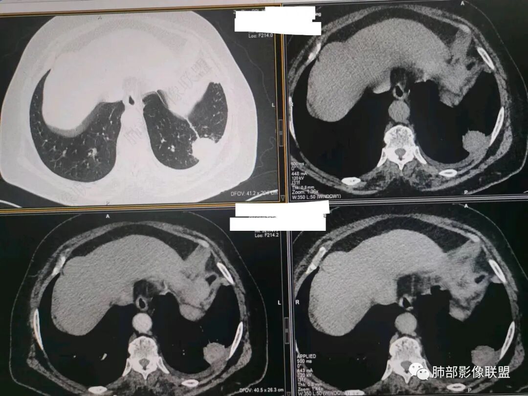
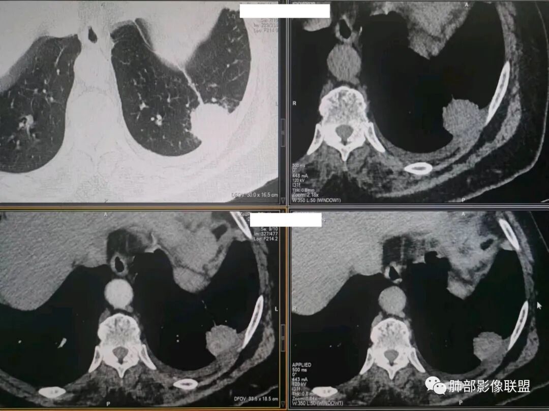
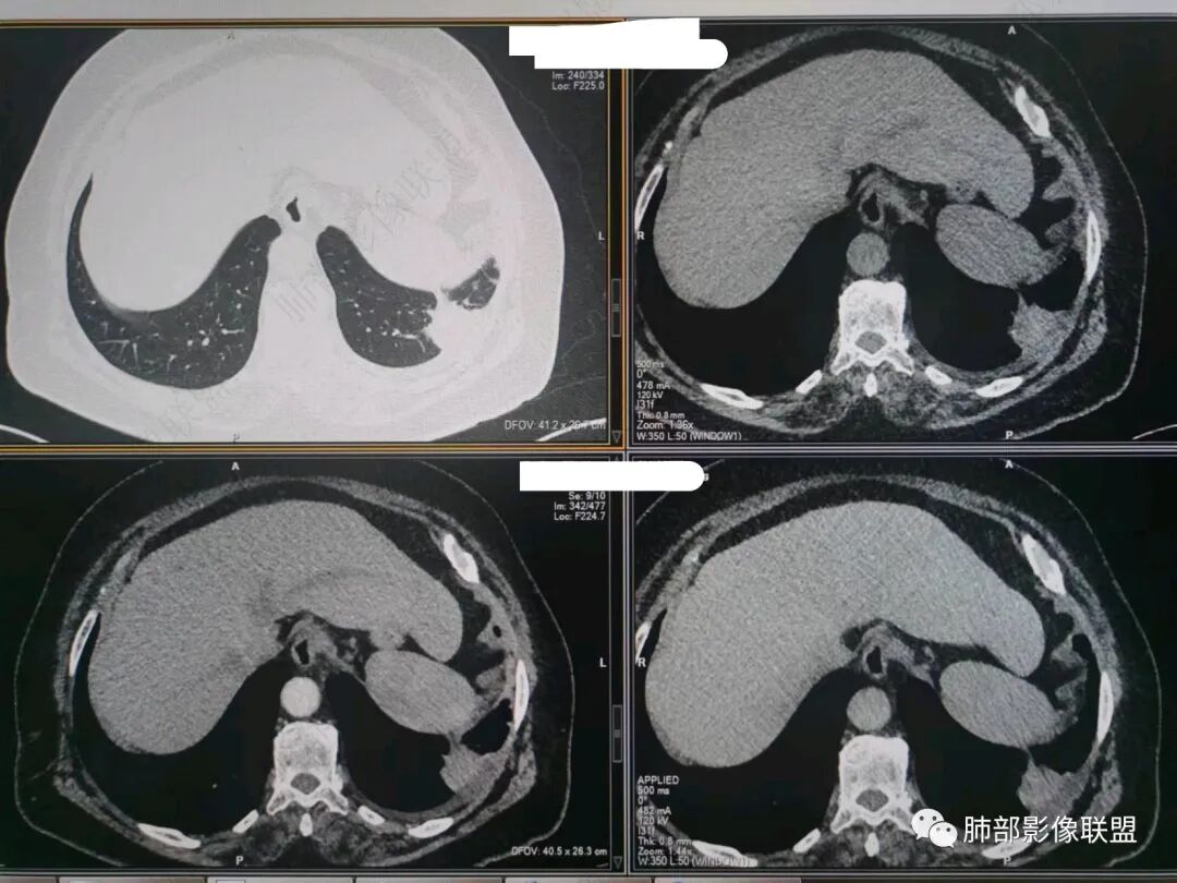
01  病例资料






















02 微信群讨论



World Cup

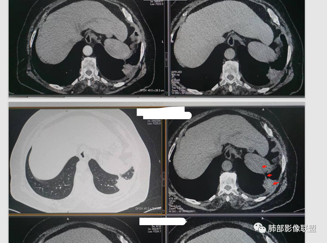
秦化君:左肺下叶外基底段胸膜下软组织密度结节性,边缘毛糙与血管相连,密度不均,增强后病灶内边界不清低密度区,胸膜栽桩,少量胸腔积液。考虑恶性病变,腺癌可能。真菌待排。
谢加平:老年女性,慢性咳嗽,咳白痰史,左肺下叶后基底段胸膜下肿块,类圆形,边界清膨隆,密度不均匀,低强化及小灶性坏死,坏死轮廊不清,胸膜下栽赃明显,左侧胸腔少量积液,向胸壁肌侵犯,另肿块近心侧见支指套征,粘液低密度,支持恶性,粘液腺Ca,经皮肺穿刺活检明确诊断。
361度:老年女性,发热,胸部CT示左下肺胸膜下结节影,血管集束,毛棘,密度不均,胸膜栽赃,少量胸腔积液,不均匀强化,坏死边界不清,肿标轻微升高,考虑恶性,鳞癌合并感染。
红星:老年女性患者。胸膜下结节病变,明显的膨胀,并局部侵犯胸膜,增强明显的强化。病灶周围带有局灶的渗出性改变以及条索上的影。考虑腺癌的可能性大,鉴别结核肉芽肿性病变。

春秋:左肺下叶胸膜下结节,边缘平直,内见低密度区,胸膜下胸腔积液相隔,考虑炎性结节可能性大,伴小脓肿形成。
宇宙:左肺下叶胸膜下球形肿块,边界尚清,局部平直,局部膨隆,内侧缘长索条,胸膜栽赃,轻度不均匀强化,其内坏死边界欠清,左侧胸水,考虑腺癌,鉴别放线菌。
党医生:左下肺结节,整体呈不完全规则、局部呈球形结节,有较长、轻大的条索壮改变,球形病变区域与胸膜呈宽基底,密度不均匀、有液化低密度区,不均匀强化,总体分析考虑:结核可能大,其次炎性假瘤,肺癌可能小。
摘星空竹子:左肺下叶后基底段与外基底段交界处胸膜下椭圆形软组织肿块,边界尚清,密度欠均匀,患侧少量胸腔积液,增强扫描轻度或无强化,肿块中央可见斑片状低密度区,边界尚清,考虑OP伴脓肿或结核,鉴别腺癌。
李庆东:左肺下叶外基底段胸膜下球形软组织密度,边缘毛糙与血管相连,轻度强化,增强后病灶内边界不清低密度区,宽基底于胸膜,少量胸腔积液。考虑良性病变,炎性假瘤可能大。特殊感染待排,鉴别腺癌。
袁媛:左肺下叶胸膜下球形肿块,宽基底连于胸膜下,胸膜栽赃,边缘膨隆,有血管供应,增强有强化,考虑腺癌。
gaoql:倾向肿瘤,胸膜下脂肪间隙受累,有细角和nse升高,如果男性,要考虑鳞癌,但是个女性,还是先考虑腺癌的可能。感染指标升高,还需鉴别炎性肉芽肿性病变,能累及胸膜下间隙的,要鉴别脓肿或放线菌。
看图说话:胸膜下肿块,密度不均,边缘毛糙,增强后不均匀强化,胸膜栽赃,左侧胸腔积液,腺癌,鉴别肉芽肿。
songml:老年女性,反复咳嗽咳痰胸闷4年,加重伴发热一周。左肺下叶后基底段胸膜下肿块影,密度较均匀,边缘较清,侵及胸膜下脂肪间隙。考虑恶性病变,腺癌可能,鉴别真菌感染。
人生海海:左肺下叶不规则形软组织密度影,膨隆生长,边缘清楚,分叶,棘突征,支气管截断,血管纠集,病灶轻度强化、内多发坏死,左侧少量胸腔积液,考虑粘液腺癌,鉴别肺脓肿。
位移:老年女性,左肺下叶肺胸膜下团块影,边界清、毛糙,膨隆,内密度不均,不均匀强化,内见坏死,胸膜栽赃,胸腔少量积液,首先考虑恶性肿瘤,低分化腺癌,鉴别小细胞癌,炎性假瘤。
赖晓宇:膨隆,浅分叶,支气管截断,内部坏死边界不清,胸膜受累,胸腔积液,考虑恶性。
枷黎:左肺底类圆形结节,略分叶,毛刺不明显,周围似乎有淡淡的晕,增强扫描呈较均匀轻度强化。结合临床症状和实验室检查,首先考虑炎性肉芽肿类病变可能,肿瘤待排。
赵:增强病变与胸膜分界清晰,平扫密度左侧胸腔密度高能否是慢性炎症刺激引起,坏死边缘清晰,提示病变强化明显。临床实验室检查血象增高先考虑慢性炎症,腺癌待除外。

许慧良:老年女性患者,左肺下叶后基底段胸膜下结节影,边界清楚,密度不均匀,内部有低密度影,边缘有结节颗粒感,对胸膜有黏连牵拉感,考虑恶性,腺癌可能。
王静:左肺下叶病变,紧贴胸膜,楔形,尖端朝向肺门,临近胸膜未见明显增厚,胸腔少量积液,增强扫描病变内部不均匀强化,可见边界相对清晰液化坏死区。患者有发热病史,血象高。诊断,左肺下叶炎性肌纤维母细胞瘤可能,鉴别肉芽肿性病变。
梦妮6-1:老年女性,慢性咳嗽,咳白痰史,左肺下叶后基底段胸膜下肿块,类圆形,边界清膨隆,密度不均匀,中间有低强化及小灶性坏死,边界清,有胸水,病肺门侧有支管通过,胸膜界线清,考虑良性病可能。隐球菌?
WXD:左肺下叶胸膜下占位性病变,整体强化还是比较明显,中心坏死边界较清晰,还是先考虑炎性肉芽肿性病变,鉴别炎性肌纤维母细胞瘤。
良孑:左肺下叶胸膜下结节,可见晕征及软毛刺,边缘有锯齿状浅分叶,其内坏死边界不清,均匀性低强化,局部层面边缘可见平直及u型凹陷,胸膜糊墙并少量积液,慢性病史急性发作,炎性标志升高,首选炎性肉芽肿性病变,0P并脓肿,高龄,有锯齿状浅分叶腺癌也难以除外。
瑞欣:左肺下野胸膜下高密度灶,边界较清,宽基底与胸膜相贴,胸膜增厚,强化可见病灶内低密度区坏死区,胸膜没有栽赃,首选考虑炎性肉芽肿,鉴别腺癌。
笑微微:左肺下叶外后基底段见结节影,密度不均,边缘欠光整见浅分叶及棘样突起,病灶与相邻胸膜分界不清并见胸膜不均匀性增厚,增强呈不均匀强化,左侧见少量积液。考虑腺癌,鉴别结核。
放射线:左肺下叶后基底段胸膜下肿块,边缘膨隆,密度不均匀,内见低密度坏死,胸膜栽赃,左侧胸腔少量积液,考虑恶性,腺癌?鉴别放线菌,OP伴脓肿。
仲夏:老年女性,咳嗽咳痰近4年,左肺下叶胸膜下类圆形肿块,内侧绳索征,内部密度不均匀,可见坏死,周围小空泡,小叶间隔增厚,胸膜下积液,轻度强化,NSE、细胞角蛋白酶19片段高,考虑恶性肿瘤,腺癌?
许慧良:老年男性患者,左肺下叶后基底段胸膜下结节影,边界清楚,密度不均匀,内部有低密度影,边缘有结节颗粒感,对胸膜有黏连牵拉感,考虑恶性,腺癌可能。
AAA张春雨:左肺胸膜下大小不等的多发病灶,内有支气管半进入征,强化内部不均,患者有明显肺气肿背景,胸阔呈桶状,少量胸腔积液,综合考虑隐球菌感染的可能性最大,鉴别腺癌。





03 大咖解读“糊墙”与“栽赃”


我只是邓较瘦:转发马春平老师的话:其实栽赃和炎性增厚有时很难区别,很多病例我们手术剥离时也难区分。但有一点是可以确定的:只要是壁层胸膜完整(未手术过或创伤过),炎症是不会延续性的越过壁层胸膜的,除非是结核或者恶性肿瘤。
黄兴:坏死灶周围的环形强化,能算炎性病变的特征吗(炎性肉芽组织)?
恒河入海:病灶内的坏死区周围有环状强化,这个应该是炎症和肿瘤坏死不同的地方
尘缘:坏死灶周围的环形强化,主要分三种情况:1、肿瘤性病变,中间的坏死为缺血性的坏死为主,坏死区密度也不均匀(坏死可不完全所致),周围为残留的肿瘤组织,这种环形强化,一般壁不光整,有壁结节,而强化是因为密集的肿瘤细胞加肿瘤组织血供所致。2、结核,中间坏死为干酪坏死,坏死彻底,环形强化区为肉芽肿,壁光滑。3、炎性脓肿,中间为液化坏死,可有液平,周围环形的强化为炎性细胞或OP样成分,壁厚薄不均,但内壁一般也是光滑的。除了肿瘤,主要是结核,另外放线菌,毛霉菌也可出现栽桩情况。一些普通慢性炎症有时候在影像上也不好区分。
我只是邓较瘦:南边老师有空是否可以再解读一下这个“糊墙、栽赃”?
南边:今天的病例肺内部分基本都是炎性特点,问题就在于胸膜。

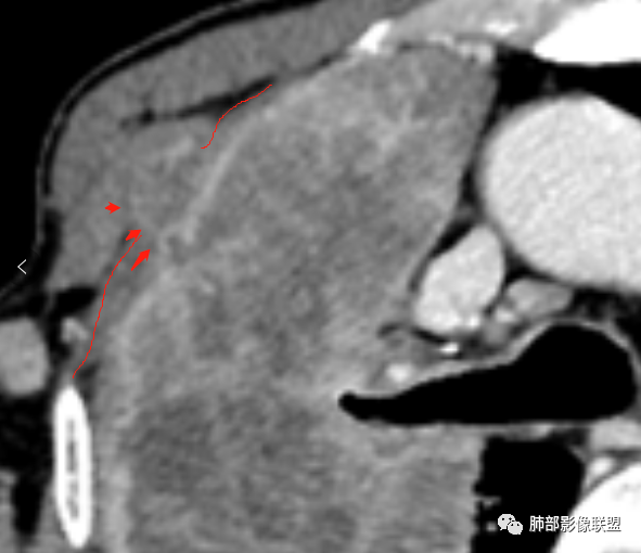
 糊墙:肺内病灶不侵犯壁层胸膜或以外,与壁层胸膜相对而言分界清楚。
 栽赃:病灶侵入壁层胸膜及胸膜外脂肪间隙、胸壁其他结构等,相对在病灶中央区域,与胸膜分界不清。
南边:看肺内病灶与胸膜分界清,增强后强化不一致,需要综合分析。


这是糊墙。
这就栽赃。都突到外面去了。



看看这个,骨头都侵袭了。

今天的病例有些伪影。

看起来就觉得放射状伪影。

我就不知道这些是胸水,伪影导致密度增高?还是胸膜增厚?

我只是邓较瘦:今天平扫的像栽赃, 增强感觉是增厚的胸膜。

南边:一般这类侵袭,是中央地带毛刷状延伸到胸膜内。

而且旁边这么宽的少,所以觉得很奇怪,不太符合,我是怀疑与照片有关。
你对比一下两侧的密度。肌肉密度不一样。

我只是邓较瘦:南大这个我感觉局部似乎是栽赃呢 箭头那里是啥? 
南边:栽赃是这样过去的,中间不会脂肪间隙清晰。

胸壁的组织,除非你怀疑胸壁转移结节。

转移淋巴结。

局部侵犯。有差异。


我只是邓较瘦:这个是侵犯出去不是淋巴结吧?
南边:不是,你看看强化与淋巴结不一致。
我只是邓较瘦:强化与肿瘤差不多。
南边:是。

World Cup

04 病理结果










05  知识拓展



World Cup

相关知识延伸:
1. 关于机化性肺炎伴脓肿的认识
    机化性肺炎伴脓肿并不是一种独立的疾病,而是大叶性肺炎的两个并发症共存的一种状态,在影像的特点是实变内出现空洞或空腔。由于病变发生机化,病灶和周围纤维组织增生,瘢痕收缩,边缘往往呈不规则、锯齿样或长短毛刺状,在影像表现上有别于单纯的大叶肺炎或脓肿,再加上本病的临床病程长,患者大多缺乏发热、白细胞增高等感染表现,部分病例还可出现血丝痰、抗感染效果不明显甚至反而增大的情况,使临床上易误诊为空洞型肺癌、肺结核等。
2. 机化性肺炎伴脓肿的病理及影像特征
    机化性肺炎伴脓肿以单发多见,多位于肺野外带、胸膜下,形态多样,大多数呈结节状或团块状;在病理上可见不同程度的间质纤维组织增生及泡沫细胞、淋巴细胞和中性粒细胞浸润,大部分肺泡腔内可见机化物或者纤维组织伸入。病变的纤维化及纤维组织增生,导致病灶形态多不规则,边缘毛糙,常出现条索或长短毛刺状,可累及胸膜导致胸膜粘连、牵拉;炎性细胞的浸润则导致病灶边缘模糊,出现感染病变常见的“晕征”。最突出病理学特征是病灶内出现单灶或多灶性小脓肿,相应的HRCT表现为多发内壁光滑的小圆形透亮区或多发小圆形低密度影;增强后可出现环形强化外,也可呈透亮区或小圆形低密度影未见典型的环形强化。分析其原因,可能与脓肿较小、壁较薄或缺乏壁有关,也可能因周边实变区明显强化而无法辨别有关。由于内壁光滑的空洞或空腔多为良性病变的特征,因此多发的小圆形透亮区或小圆形影的出现对机化性肺炎伴脓肿的提示诊断与对肺癌的鉴别诊断具有一定意义。另外实变内出现不规则空洞,均可见液气平面存在,可能是多发小脓肿堆积或融合后所形成。可见,机化性肺炎伴脓肿的CT表现是“肺组织实变+多灶小脓肿+慢性机化征象”的组合体,具有一定特征性。
3.机化性肺炎伴脓肿的鉴别诊断
    机化性肺炎伴脓肿在CT上表现为具有空洞、空腔的病变,需要与传统的空洞性病变如脓肿、结核、韦格氏肉芽肿及肺癌伴阻塞性炎症等鉴别。
机化性肺炎伴脓肿与单纯脓肿的不同之处在于边缘多不规则,有条索、长短毛刺等慢性机化的征象,空洞内液气平面也较少。韦格氏肉芽肿也较少出现条索、长短毛刺的征象。
肺结核和机化性肺炎均容易出现条索、长短毛刺,鉴别在于结核空洞以不规则形状居多,病灶容易出现钙化,壁或实变区强化没有机化性肺炎明显,周边容易出现卫星灶;而机化性肺炎伴脓肿以小圆形或类圆形小空洞居多,病灶极少出现钙化,周边可出现斑片模糊影或晕征,较少出现卫星灶。
机化性肺炎伴脓肿与肺癌或肺癌伴阻塞性炎症是鉴别诊断的重点及难点,均可出现血丝痰或抗感染病灶消散不明显,且两者好发人群均为中老年人,形态学上病灶均可以分叶、不规则、出现长短毛刺及周边斑点、斑片状影。相对于肺癌不规则空洞而言,机化性肺炎伴脓肿的空洞往往较小且多发,形态多规则,呈圆形或类圆形,内壁光滑,没有壁结节,而实变区强化明显、呈延时强化,胸膜条状炎症水肿及无淋巴结肿大等征象,均有助于鉴别。 
慢性肺炎是因肺内炎症消散不全而发生机化所引起的病变。表现为渗出物机化、肺泡间隔或间质纤维化,慢性炎性细胞浸润。肺炎的消散过程不一,可以完全、不完全或延迟吸收。OP属于慢性炎症。肺炎病理过程在4周以上未完全吸收者称慢性肺炎。其病理诊断标准为慢性炎性细胞即单核巨噬细胞浸润及成纤维细胞增生,伴有不同程度的纤维化及肉芽组织形成,可有肺组织正常结构的破坏。
总之,多发小圆形透亮区或多发小圆形无强化区是机化性肺炎伴脓肿CT的特征表现,当病变边缘不规则且出现空洞或空腔改变时,需想到机化性肺炎伴脓肿的可能,而空洞或空腔病变的鉴别诊断,也需加入机化性肺炎伴脓肿的考虑。
    编 辑:龚子龙  
    审 核:张慧   清茶
【每周一例】99期讨论实录 炎性肉芽肿?炎性假瘤?机化性肺炎?
【每周一例】102期 局灶性机化性肺炎
  南边课堂—机化性肺炎(OP)病例学习
  机化性肺炎的影像学解读和病理






World Cup

到顶部