【每日晨读】这样的小细胞肺癌,你能想到吗?


肺部影像联盟于2016年4月宣告成立,同年6月8号创建了公众号,在众多专家学者的见证下,肺部影像联盟有了属于自己的平台,这是集影像、临床、病理、感染、解剖及心血管等多学科学习的公益平台。迄今为止公众号关注量9万余,肺部千聊关注5万余,目前已从原来的五大群发展至十几个肺部影像系列专业微信群,平台由最初单学科谈论逐渐向MDT模式转变。我们坚持工作日每天群内晨读,每周一、每周三进行病例大讨论,并定期在千聊、肺部影像联盟公众号直播授课,更多精彩敬请关注肺部影像联盟公众号。
为满足更多人入群学习的需求,肺部影像联盟开放新群,对肺部影像感兴趣,有意进群学习的老师可加微信txlhhdd520拉入群,肺部影像联盟欢迎热爱学习的你!

1、病例资料


































2、微信群讨论

洪爱桥:
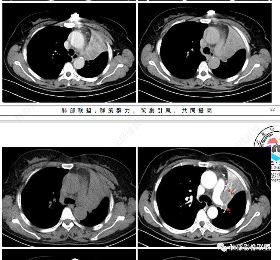
中年女性,咳嗽4月,正常背景肺,查肺瘤标SCC、CEA、角蛋白正常,CT提示左上肺容积缩小,左肺上叶不张,可见反S征,不张肺内见粘液栓,左上肺支气管占位,中度强化,考虑中央型肺癌:粘液表皮样癌?鳞癌?神经内分泌癌?
衡妈:
左肺上叶支气管腔内见息肉样凸起,相应肺段阻塞性不张,增强后腔内病灶有轻中度强化,考虑肿瘤性病变,粘液表皮癌,小细胞肺癌,鉴别鳞癌。

放射线:
左肺上叶支气管开口肿块,轻度强化,左肺上叶不张,左上肺容积缩小,中央型肺癌,女性,诊断鳞癌要谨慎,考虑粘液表皮样癌,腺样囊性癌。鉴别鳞癌。
邢瑞欣:
老年女性,病史4个月,左肺上叶支气管截断,可见轻度强化,上叶体积小,密度高,考虑肿瘤并阻塞性炎症,鳞癌,鉴别肉芽肿,结核。
白小兔:
患者,女性,59岁
因咳嗽4个月入院!无诉咯血!
CT提示:1.左肺上叶开口肿物伴阻塞性肺不张!
2-上叶气管内可见外凸起的肿物!
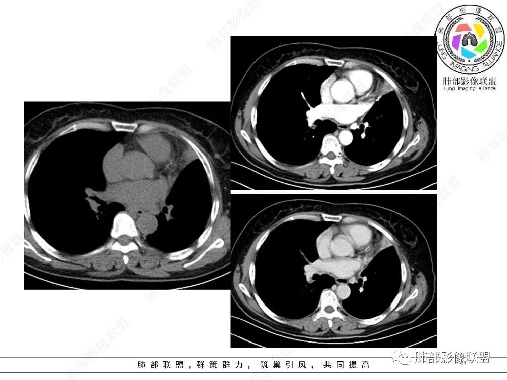
3-增强片子见肿物不均有坏死!伴血管狭窄!特别伴有尖后段血管(A1+2c)支完全破坏!
4-气管壁有破坏征象!
考虑:肺鳞癌!
晓锁:
中老年女性,慢性病程,查肺瘤标SCC、CEA、角蛋白正常。CT:肺背景正常,左上肺支气管占位,冰山征,中度强化,病灶从外向内,考虑神经内分泌癌,鉴别:粘液表皮样癌,鳞癌等。
良孑:
左上叶不张,左上叶支气管狹窄截断阻塞,不张肺组织明显强化,内可见条状粘液拴,近端见低强化肿块及狹窄闭塞的上叶支气管,定性恶性,支持鳞癌,鉴别粘液表皮样癌。
毛勤香:
女性,左肺上叶支气管闭塞,左肺门区占位并左肺上叶不张,肿块轻度强化,女性,首选粘表,类癌强化不符合,鳞癌女性相对少见,带鉴别。
流心明智:
女,59,咳嗽4月。胸部CT:左上叶体积缩小,左肺上叶不张,叶裂平直回缩,左上叶支气管腔内见低密度软组织影,向腔内突入,远端粘液栓。增强血管走行清楚,腔内肿物中度强化。考虑左上叶腔内肿瘤伴左上叶不张,粘表?鳞?鉴别TB肉芽肿。
若尘:
左上叶支气管阻塞、腔内结节,肺不张,粘液栓,不张肺组织近侧强化弱,血管推移边缘模糊,中年女性,考虑恶性,首先粘表,鉴别腺样囊性癌,鳞癌。
刘强:
左肺上叶支气管近端管腔内结节,轻度强化,恶性肿瘤,首先考虑鳞癌,粘液表皮样癌待排。
冰柠雨露:
左肺上叶阻塞性肺不张,均匀强化,肺门区见软组织肿块,增强呈明显强化,快进快出,左上叶支气管截断,血管完整,肿瘤破坏力弱。左肺上叶中心型占位病变伴左肺上叶阻塞性肺炎、肺不张。恶性,粘液表皮样癌?类癌?鳞癌?
3、南边老师分析

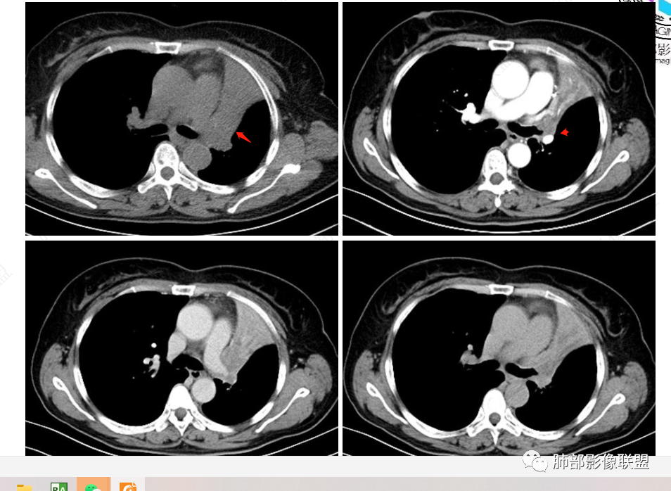
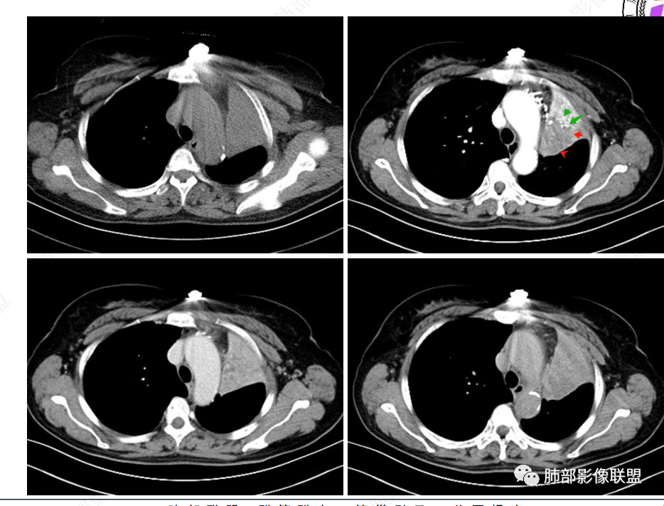
老年女性,病史4月。
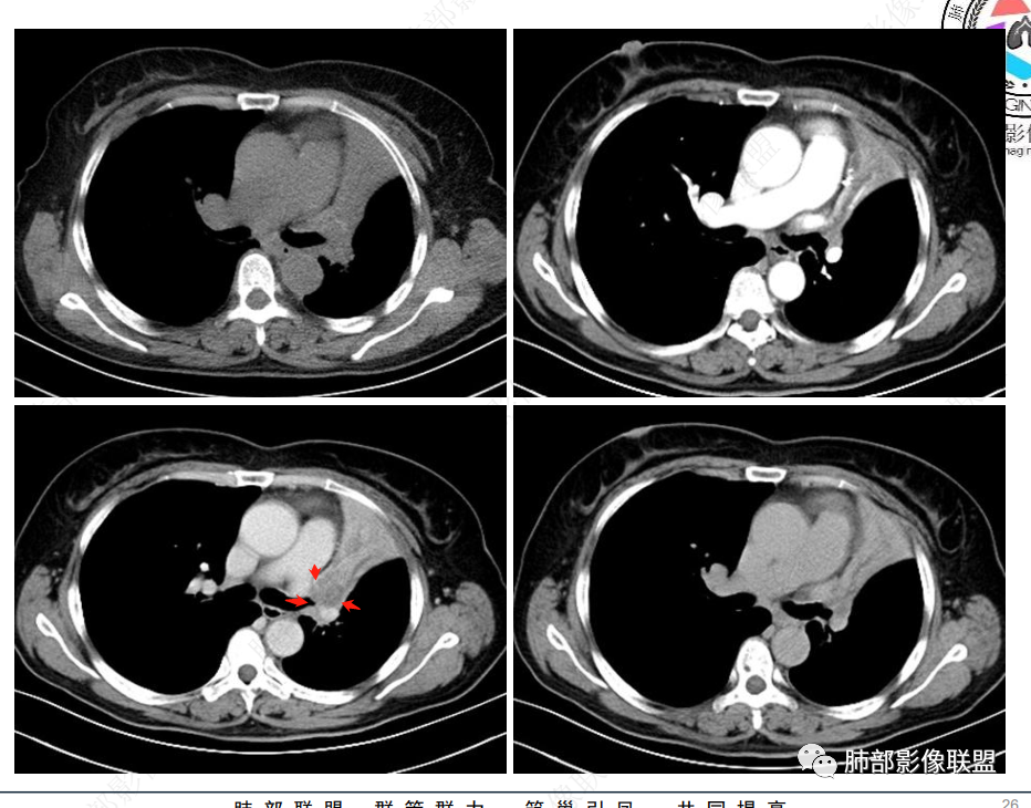
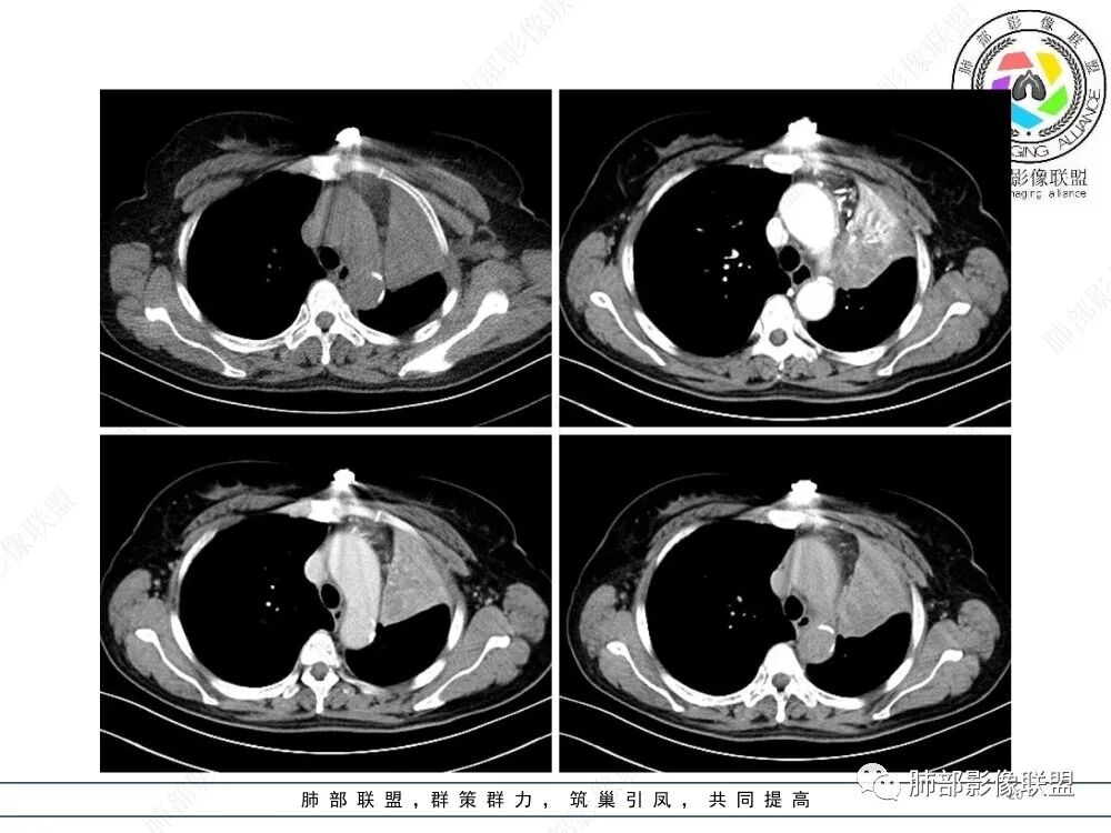
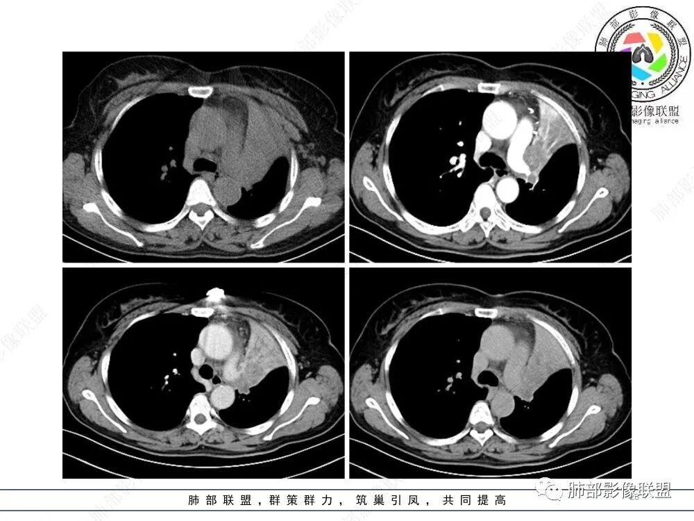
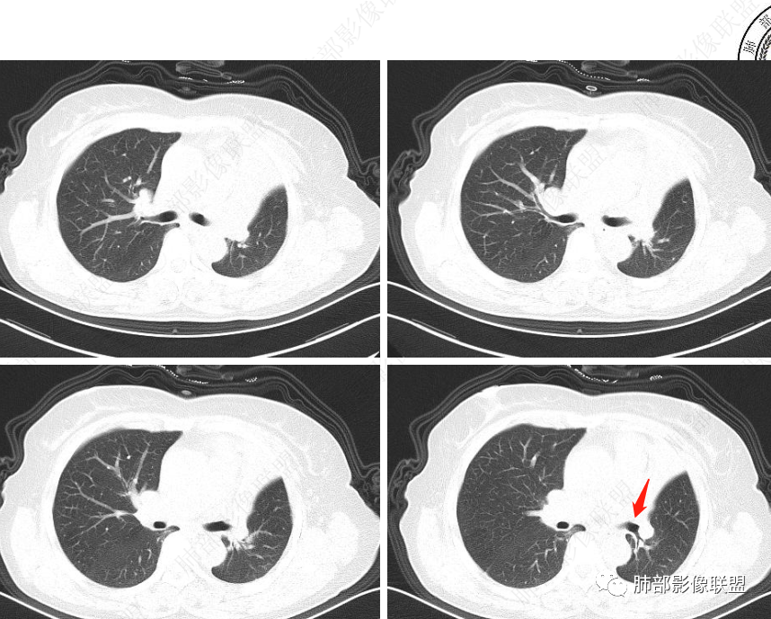
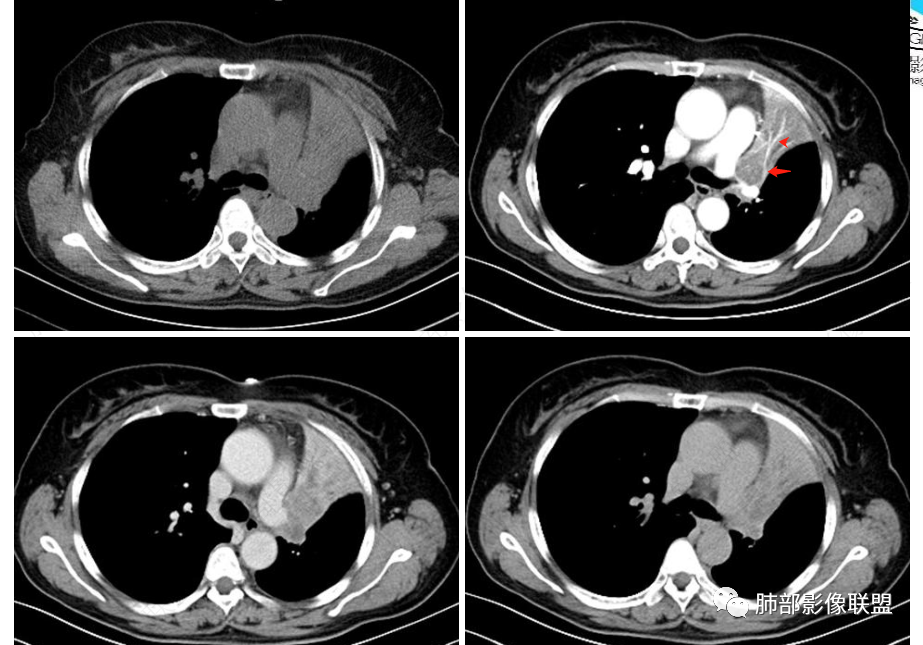
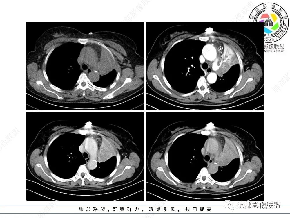
左上叶支气管堵塞,远端肺不张、实变。
病灶腔内位主,局部膨隆凸向上叶支气管,两侧壁不清,病灶明显突出于壁外。
外形近端膨隆,远端收缩。
局部肺动脉受压明显,受压处似乎有点边界不清。
远端走形自然,提示远端不张,强化最明显处应该是单纯不张肺组织。
近端病灶内强化偏低,提示有侵犯。
综上,腔内占位明确,周围侵犯明确,支持支气管腔内恶性肿瘤,并阻塞性不张。
4、病例结果


5、病例小结

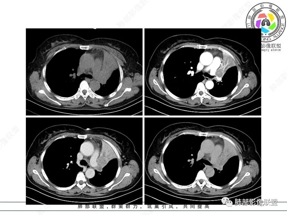
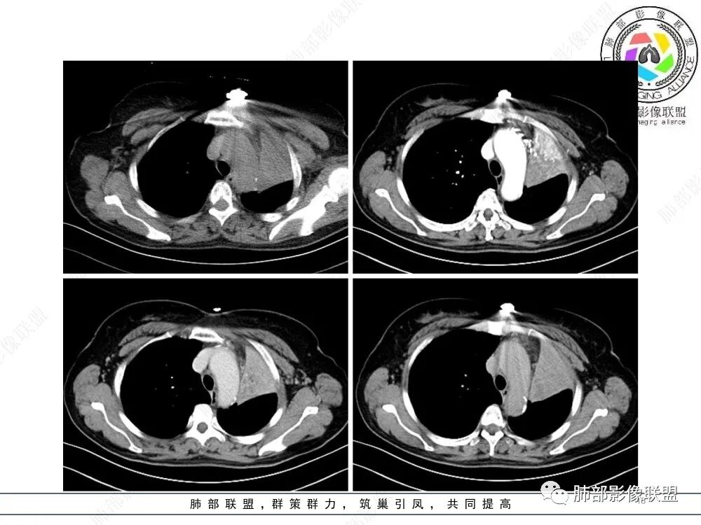
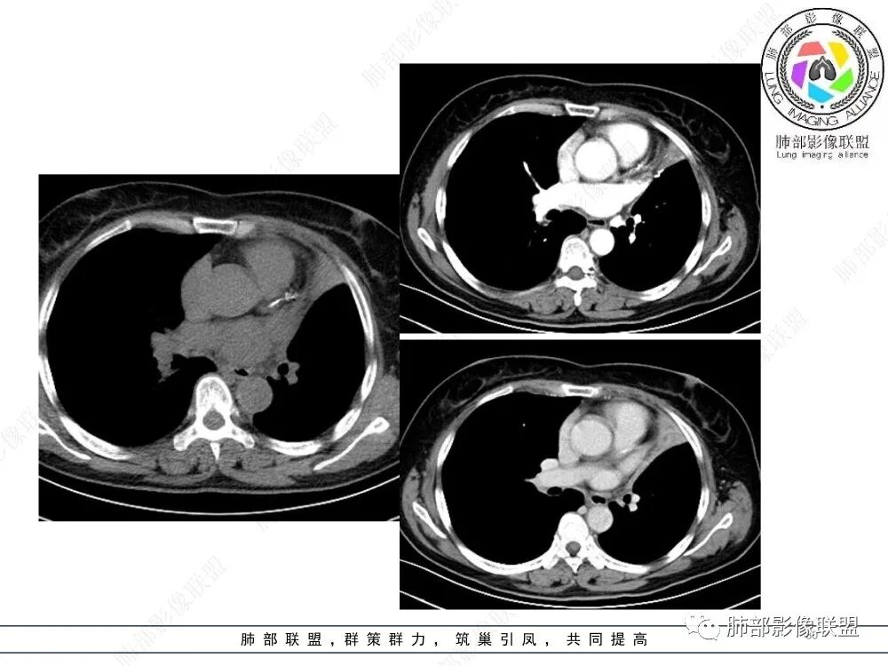
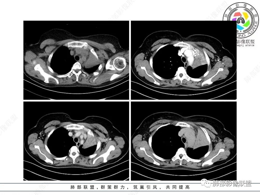
1、简要病史:老年女性,以受凉后咳嗽伴胸闷就诊,无咳痰、发热及其他不适,病程4月;既往体健。实验室检查中性粒细胞稍高,PCT稍高,CEA、细胞角蛋白19片段、鳞状细胞癌抗原正常。
2、影像表现:正常肺背景,左肺上叶支气管腔内占位,上叶支气管截断,远端肺组织不张,强化差异衬托出肺门区结节影或块状影。增强扫描腔内占位轻中度不均匀强化,可见坏死,远端粘液栓,局部肺动脉受压、侵犯,纵膈淋巴结无明显肿大,无胸腔积液。
3、综合分析:老年女性,支气管腔内占位明确,病灶向周围侵犯,诊断恶性肿瘤并肺不张问题不大。需要考虑到的疾病谱有鳞癌、腺样囊性癌、粘液表皮样癌、类癌、小细胞肺癌等。
①鳞癌多见于中老年吸烟男性,有肺气肿背景,由于肿瘤容易向腔内生长,因此易较早阻塞支气管致肺不张,肿瘤易形成中心坏死或空洞,坏死范围较大时影像上呈“湖泊样”改变。
②腺样囊性癌、粘液表皮样癌属于涎腺肿瘤,多见于40-60岁人群,男女发病率无显著差异,与吸烟无关,发病部位前者以气管及主支气管多见,后者以叶段支气管多见,多表现为支气管腔内占位,强化程度较轻,二者影像表现相似,常常较难鉴别。
③类癌属于低度恶性神经内分泌肿瘤,发病年龄13-70岁,成年人中以中央型类癌多见,影像表现为支气管腔内的圆形或卵圆形结节,边缘光整,也可浅分叶,可完全位于支气管腔内,也可以病变管腔内的病变只占病变的一小部分,大部分位于管腔外,称为“冰山征”,少数病例可沿支气管腔内长轴生长,呈指套样改变,可伴有小部分位于腔外,类似部分鳞癌的表现,但类癌血供较鳞癌丰富,多数呈显著较均匀强化,不典型类癌可呈不均匀强化,肿块较大时可阻塞支气管导致肺不张。
④小细胞肺癌属于高度恶性神经内分泌肿瘤,好发于吸烟男性,多数小细胞癌影像表现较典型,表现为肺门旁或外周边缘膨隆、边界清楚的软组织结节或肿块,由于肿瘤组织坏死不彻底,常表现为“沼泽样”坏死区,较早出现肺门和纵膈淋巴结转移,有“娘小崽大”的特点。纵隔淋巴结融合,可形成“冰冻纵膈”。小细胞癌侵袭力强,容易包埋血管形成“血管包埋征”,肿瘤沿支气管浸润时可见病灶呈鸭蹼和腊肠样凸起,相较于鳞癌而言,小细胞癌导致的阻塞性肺炎常常较轻,较少合并肺不张,少见合并胸水。
就本例而言,患者为女性,无肺气肿背景,未提及吸烟史,影像上强化程度偏轻,未见湖泊样坏死,尽管中央型肺癌中以鳞癌最多见,且造成完全阻塞及肺不张,但在女性患者诊断鳞癌仍需谨慎。支气管腔内结节,强化程度轻,涎腺肿瘤需要考虑,不典型类癌也不能除外。女性患者,未提及吸烟史,尽管未见纵膈淋巴结明显肿大,但支气管明显相关,小细胞肺癌亦应当重点排除。
参考文献:
中央型小细胞肺癌与肺鳞癌 CT 征象分析 李燕 董兰兰。
肺原发性类癌CT影像分析 方政雄 康正武。
部分资料参考自肺部影像联盟黄勇教授之“类癌系列讲座”。
编辑:邓文睿
审核:雷  凤  徐  晓



到顶部