【每日晨读】当肺实变遇到多发囊腔--淋巴瘤



病例资料














































微信群讨论
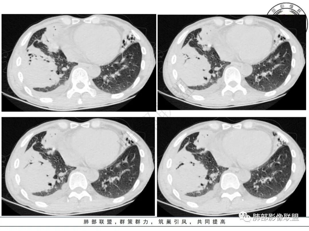
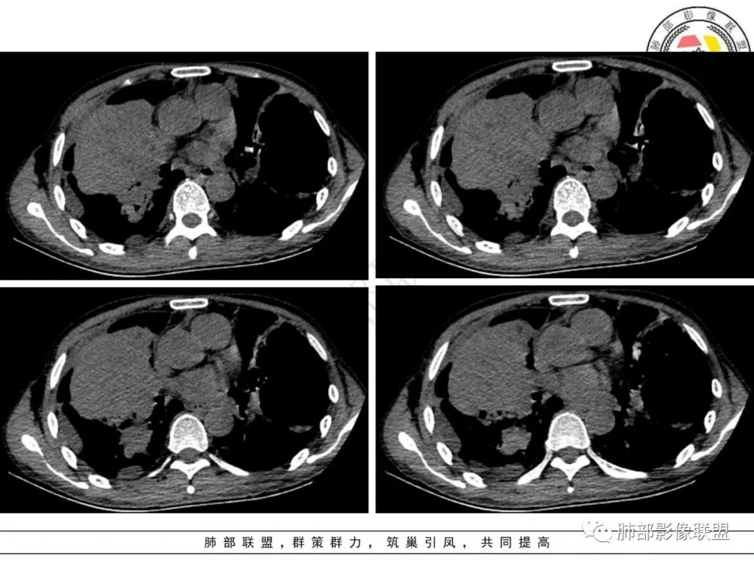
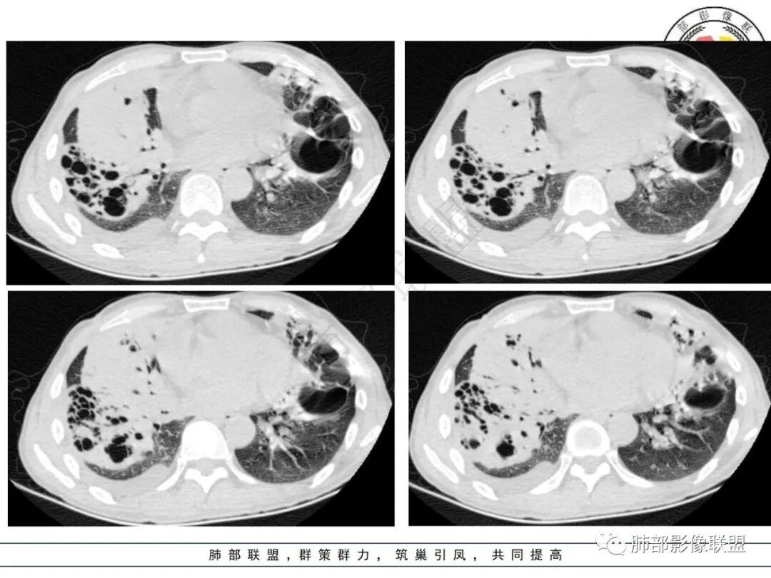
衡妈:有没有可能吸入了啥引起的感染,比如汽油。两肺门周围较大实变及囊腔型病灶,右侧实变可见扩张的支气管,夹杂磨玻璃影;左侧囊壁略厚,囊腔不规则,内多分隔,近端支气管感觉有堵塞。其余两肺散在小空洞性病灶。纵隔可见明显肿大淋巴结。先考虑感染性病变,鉴别肿瘤性病变,淋巴瘤。
张延军:右肺大片实变,边缘膨隆,上叶前段支气管阻塞,实变区内支气管扩张,左肺大的厚壁囊腔,近端见支气管进入(感觉支气管活瓣作用),右侧胸腔积液,中年男性,气促一月。恶性放前面,淋巴瘤?腺癌?(左右侧),鉴别,根据实验室检查和临床症状除外诺卡菌感染。
丽:双肺多发结节及片状实变密度影,实变内可见支气管穿行,走形僵直,部分见多发囊腔,内可见分隔,壁厚薄不均,支气管管壁略增厚,右侧胸腔积液,考虑恶性,淋巴瘤,鉴别囊腔型腺癌。
小兜:男,53岁,气促入院。CT示双肺多发实变影,右肺为著,左肺可见较大分隔囊腔,壁不均匀增厚,右肺可见多发支气管扩张伴周围实变影,右肺较大实变可见支气管截断,内可见支气管充气征,纵隔多发肿大淋巴结,综上所述考虑恶性,淋巴瘤可能。
宇宙:右肺肿块,边缘膨隆,其内支气管扩张、扭曲,少许坏死,上叶前段支气管阻塞,左肺囊腔,壁薄厚不均,其内见分隔,两肺另见多发结节,纵膈淋巴结肿大,右侧胸水,考虑腺癌,鉴别淋巴瘤。
放射线:双肺可见多发斑片状密度增高影,部分可见空泡影,右肺大片实变病灶内见支气管扩张影及斑片状低密度坏死区,边界不清,部分支气管开口阻塞,与胸壁之间少量积液,左肺上叶囊腔型病变,内部可见分隔,该患者亚急性病程,白细胞不高,无发热,考虑二元论右肺腺癌?淋巴瘤?左肺囊性腺瘤样畸形,鉴别结核,马尼。
那个人:中年男性,气促,贫血明显,C反应蛋白升高。无发热。至少从病史来看,感染可能性很低,除非隐藏了宿主因素或者特殊用药史。双肺多发斑片实变肿块影,右肺肿块影,前段支气管堵塞?其他支气管还可以,通畅扩张,坏死不明显,左肺大囊腔。整体恶性可能性大。
毛勤香:实验室检查基本阴性,两肺多发空洞,部分有分隔,右肺团片团块,右肺上叶支气管闭塞,上叶病灶上部层面感觉又不够实,淋巴结有增大,右侧胸腔少量积液,无畏寒发热,无咳嗽咳痰,整体感觉偏恶性,老年男性,右肺鳞癌并转移?鉴别腺癌和真菌感染。
南边:恶性应该没问题。炎症不支持,马尼有时候会这样占位效应,但是囊腔确实不符合。
HP:患者中年男性,气促一月余。临床上无发热、咳嗽、咳痰及咯血等症状,低氧低二氧化碳,血常规示贫血明显但影像上没看到很明显贫血征象,不知病史有无糖尿病及免疫系统疾病。双肺多发结节影+斑片影+实变+空洞(囊腔影)+支气管管壁增厚+少量胸腔积液+纵隔淋巴结稍大,单纯影像考虑:1.奴卡菌感染、真菌感染或CCAM合并感染,但临床症状及病史不大支持。2.粘液腺癌:右肺肿块不除外,但病史一月、无明显咳痰且“假大空”征象不足。3.淋巴瘤:支气管充气征不很足、囊腔影不支持,并且也没有发热症状。4.结核不考虑。综合,如果一元的话,肺腺癌可能?
傅昌瑜:感觉对于呼吸内科医生有点难以完全描述影像特点。如果是细菌感染病灶,右肺这么多病变,没有咳嗽咳痰发热,白细胞计数不高,肝功能好(提示没有低蛋白血症),不怎么支持细菌感染病变。没有明显气道播散病灶,形态较单一,不支持结核。右上肺病灶边缘膨隆,右上叶尖段、前段支气管近端堵塞,纵隔淋巴结肿大明显。右上肺病灶存在恶性肿瘤可能。右下肺支扩并感染?左肺囊性腺瘤样畸形?
良孑:中年男性,亚急性起病,双肺多发多形病变,可见树芽征,左病灶呈多囊改变,囊内分格呈车辐征,右肺巨大胖块,支气管截断闭塞,纵隔内可见肿大淋巴结,支持多元论,考虑奴卡,TB(左肺车辐征支持TB)右肺巨大肿块考虑恶性占位腺癌可能。
结果

病例小结
1.病例特点:中年男性,气促,中长病程。贫血明显,无发热。实验室轻度异常(C反应蛋白升高)。双肺多发结节、片状影,边界可分辨,多见支气管穿行,走形僵直。左肺上叶较大囊腔,腔内分隔明显,壁薄不均,可见结节样增厚,相邻肺组织膨胀不全。右肺上叶块影巨大,多支气管穿行,前段支气管闭塞,后段支气管扩张。余支气管管壁前段增厚。右上纵隔多发肿大淋巴结。右侧胸腔积液。
2.小结:临床病史及实验室检查与影像表现不相称,肺部块影及囊腔型病灶,应警惕新生物。右肺块影伴支气管闭塞,更多符合支气管肺癌等恶性肿瘤。
  左肺囊腔性病灶,分隔,壁结节样增厚,也更符合恶性肿瘤,腺癌等为先。淋巴瘤可以,但并非常见。影像有时不宜越俎代庖,尤其是征象不够典型的,须结合病理检查。囊腔影较大时,邻肺膨胀不全应仔细甄别。


编辑:杨  丽
审核:张  慧  徐  晓
到顶部