【每日晨读】支气管壁明显增厚为哪般,重温气道侵袭性肺曲霉菌病!



































精彩分析
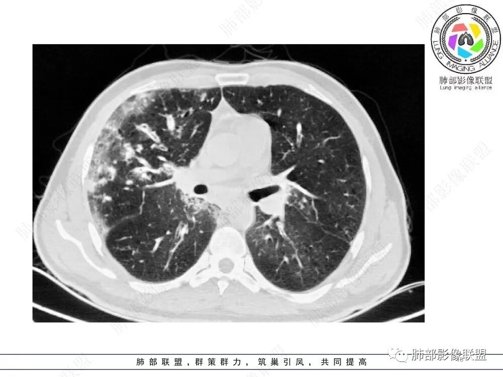
周宇元-九江学院附属医院影像科:
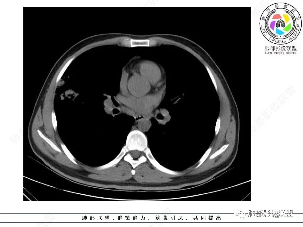
肺部影像联盟晨读病例肺气肿,多发气管壁增厚,片状影,符合气道分布,考虑气道侵袭性曲霉菌病。
江西医专第一附属医院刘莲凤:
支气管壁增厚,局部扩张,伴多发结节,痰栓!首先考虑曲霉!鉴别结核。
段建民天津一中心呼吸科:
中年男性,慢性咳嗽,有吸烟史,胸部CT基础尚可,双肺多发的沿支气管播散的树芽影以及支气管管壁的增厚和对应区域内的斑片影实变影,符合气道播散的表现。经过对症抗感染治疗1月之后,胸部CT影像进展。右侧播散到左侧。实变和漱牙以及气管壁增厚均较前明显进展。
考虑感染性疾病,气道播散。并没有明显的感染中毒症状,考虑病原菌毒力并不强,排除支原体和常规阴性菌等。短期进展迅速,不符合结核病。无明显感染中毒,不符合诺卡菌。有糖尿病,气道播散,气道侵袭曲霉菌可能大,但是病史中没有喘息,如果后续症状出现喘息不好转,更能提示是曲霉。鉴别生长速度比较快的ntm。
屈运良,北京清河医院放射科:
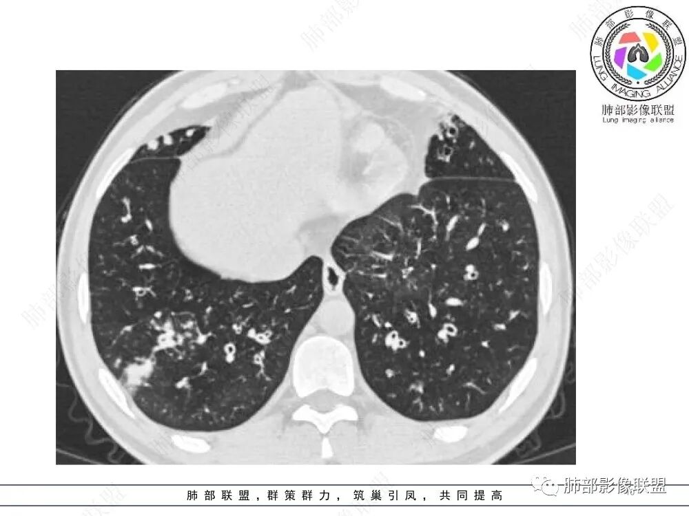
两肺多发弥漫性腺泡结节,支气管壁增厚,抗炎治疗后病变范围较前进展,沿支气管血管束分布,两肺见多发树芽及增厚扩张支气管,以右中叶及左上叶舌段为著,年轻患者,慢性病史,扩张支气管周围肺野未见肉芽肿性病变,抗炎治疗无效可排除诺卡及铜绿感染,综合分析首选NTM,其次气道侵袭性曲霉。
张轲大连中医院放射科:
晨读:支气管壁增厚,官腔狭窄,双肺弥漫结节、斑片影考虑支气管来源病变,曲霉菌可能,鉴别结核。
王秀仙吴川君安医院影像科:
两肺支气管壁增厚,散在斑片状及树芽状影,抗炎治疗后病变范围进展,沿支气管血管束分布,两肺多发结节、树芽、实变及囊腔影,年轻患者,慢性病史,肺气肿背景,考虑气道侵袭性曲霉,鉴别NTM+铜绿。
吴昊-淮南新康医院:
两肺广泛支气管轻度扩张及管壁增厚,厚薄稍不均,累及叶段支气管,周围见散在斑片状密度增高性,部分实变,边缘模糊,下叶为著。考虑炎症,首先气道侵袭性曲霉,ntm待排。
尹发友 达州红十字医院:
晨读:最关键的有三点:1、临床表现及病史:35岁,男性,慢性刺激性咳嗽2月,吸烟史17年,没有糖尿病和其他免疫缺陷病史。这儿应该隐瞒了关键的吸入环节,存在大量曲霉孢子的工作环境没给。2、第一次影像改变:广泛的支扩,支气管壁增厚,多发的树芽,部分区域已经伴有支气管周围的渗出,少量实变。3、20多天后复查的影像,原有支扩,支气管壁增厚基础上的大量渗出,实变,伴结节,胸膜下累及。
上述表现最符合的就是气道侵袭性曲霉菌病(IPA),刺激性咳嗽2月支持最初的气道改变:广泛的支扩,支气管壁增厚(支气管粘膜充血,水肿,以及伪膜形成)树芽征,而后期大量支气管周围渗出,实变,伴结节,胸膜下累及,也符合IPA的进展表现,病史中未提及是否有胸闷,气喘等(估计后期有,没提供而已)。
鉴别:1、NTM,有17年吸烟史,广泛支扩,要考虑,但是后期明显进展的影像改变,不是太符合,而且NTM引起如此明显的支气管壁增厚,也少见。最关键的是,这个支扩,原来是否有?原来没有,就基本排除。2、结核。影像上没有钙化或明显的纤维增殖灶,可能性也相对较小,临床症状也不符合支气管内膜结核表现。3、奴卡,没有明显免疫缺陷基础,影像改变及进展表现也不符合。
所以坚持就是一个比较典型的IPA。
南边:

35岁男性,慢性咳嗽2月余,吸烟17年。弥漫支气管壁增厚,腔部分增宽,部分狭窄,远端粘液栓,树芽征,边界模糊,抗炎无效。
6/13复查,外围出现斑片状实变影,周围GGO,从发病过程:支气管壁增厚,延续到小气道炎症,然后周围实变,首先气道来源病变,因为支气管壁的增厚,腔狭窄、扩张,其次病变广泛,几乎累及所有叶段,常规思路:气道侵袭性曲霉菌病;不除外努卡。与NTM鉴别,NTM其实支气管扩张为中型的多为中外带支气管扩张,中近端支气管改变不明显,这个中内带明显,而且早期是中内带为主。
尘缘:
IPA是吸入曲霉孢子引起支气管粘膜的充血,水肿,溃疡,伪膜形成,所以从大气道开始累及,再到小气道,而NTM,是在原有远端支扩基础上定植的NTM发病。NTM是原有支扩基础上,定植引起的肉芽肿改变为主,而IPA最先引起气道粘膜改变导致气道扩张,以及渗出为主(所以实变周围也经常有晕征),同时也会伴有结节肉芽肿,空洞等多种影像改变存在。
病例结果









病例小结
1.男性,35y,慢性刺激性咳嗽2月,吸烟史17年,没有糖尿病和其他免疫缺陷病史。
2.胸部CT:两肺广泛的支扩,支气管壁增厚,多发的树芽影,部分伴有支气管周围的渗出,少量实变。不足一月复查,原有支扩、支气管壁增厚基础上伴有大量渗出,实变,结节,胸膜下累及。
3.综合分析:首先病灶沿支气管分布,呈树芽征及实变影,相应支气管壁广泛增厚,其次病变范围比较广泛,几乎累及所有叶段,这种表现常高度提示气道播散,经过对症抗感染治疗20多天后,胸部CT影像明显进展。符合IPA的进展表现。  
小窍门
唐绍宏:
气道侵袭性曲霉,气管壁增厚的程度是其他疾病不能达到的。

第7组淋巴结横长条样增大,多见于两个疾病:气道侵袭性曲霉及军团菌肺炎。                  
知识拓展
      肺曲霉菌病是一种真菌引起的肺部感染。在真菌性肺炎中居第二位,仅次于白色念珠菌肺炎。曲霉菌为常见定植菌,也属于条件致病菌,多见于器官移植、肿瘤放化疗、粒细胞减少、COPD、糖尿病、长期使用广谱抗生素、糖皮质激素三周以上、免疫抑制剂使用等。曲霉菌分为烟曲霉、黄曲霉、黑曲霉、土曲霉等,主要由烟曲霉引起,体型小,更易于进入下呼吸道及肺泡等。
欧洲标准肺曲霉病分型
1.急性侵袭性肺曲霉病IPA: 气道和血管侵袭肺曲霉病
2.慢性肺曲霉病:包括5型
   2.1.曲菌球
   2.2.慢性空洞型肺曲霉病
   2.3慢性纤维化性肺曲霉病
   2.4.曲菌结节
   2.5.半侵袭性肺曲霉病(亚急性)
3.过敏性支气管肺曲霉病(ABPA)
今天主要讨论的是气道侵袭性肺曲霉菌病,由于大量孢子吸入导致的真菌性气管、支气管炎及支气管肺炎,基本病理变化是凝固性坏死、细胞浸润和脓肿形成。
气道侵袭性曲霉病的影像分型
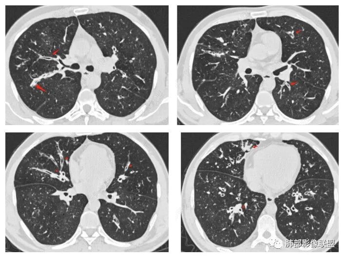
I型、气管与主支气管型:主要侵犯气管、主支气管,也可以累及远端;(约3.6%)。
II型、中央支气管型:主要累及叶、段、亚段等中内带支气管,以支气管腔扩张为主。lla型(约34.9%)以支气管壁增厚,周围实变为主;IIb 型(约33.6%),早期二者表现基本一致(约8%)。
III型、外周支气管肺炎型(外周型):主要是累及中外带细支气管及肺实质为主(20%)。
I 型影像特点总结:
1、气管、主支气管、叶段支气管支气管壁弥漫增厚,壁厚度较均匀,内壁不光滑,以一侧为主
2、病灶沿气管外壁侵犯纵隔,引起纵隔脂肪间隙增宽,密度增高,部分可见少量积气
3、段以下支气管堵塞,远端合并阻塞性不张、树芽征、斑片状实变影;
4、支气管腔内粘液栓。
lla型影像特点总结
1、支气管壁增厚、内壁清楚,腔增大为主
2、病的进展以周、月为进展周期
3、支气管病变以腔内变化为主,主要是扩张、腔内多发索条状影
4、周围实变相对较少,但是会随病灶的进展而逐步增厚
5、通过治疗,扩张的支气管可以逐步恢复好转,部分会恢复正常。
IIb型影像特点总结
1、病变发展以支气管周围实变为主,大支气管周围实变明显加重,边界清楚或稍模糊,支气管扩张不明显
2、周围可伴有树芽征和腺泡结节:可形成周围大片GGO
3、中内带为主大反晕征,环边界无结节感,后期形成空洞,空洞内可见多发线条状影,部分可见曲菌球
4、支气管周围实变内可形成小空洞,空洞张力低。
III型气道侵袭性曲霉病影像特点总结
1、支气管壁稍增厚,树芽征和腺泡结节
2、实变病灶为多结节融合,胸膜下分布为主,周围GGO、树芽征、腺泡结节
3、实变病灶内可见多发小点状坏死小空洞,多较聚集,腔内可见间隔或条状高密度影
4、树芽征、腺泡结节进展--互相融合成片、成团,周围GGO增大。
摘自【南边课堂】气道侵袭性肺曲霉菌病。
-END-
编辑:王小轩
终核:清 茶



肺部影像联盟
“肺部影像联盟感谢您一直的支持!”
到顶部