【每日晨读】临床遇到很纠结:单纯感染OR继发感染


    
 
      肺部影像联盟是最全面的肺部影像与病理结合的学习平台,这里可以每天学习到大师们的经典分析思路,也是你工作、学习最好助手和基地,联盟将会从每周三轮值病例中精选病例提前供大家实战训练,每周三晚上八点肺部影像群里准时讨论及资深老师分析点评,希望关注的老师们都有所收获,也欢迎您提供病例一起学习分享,感谢大家一直以来的关注与支持,不对之处恳请批评指正!
 01
临床资料



 02
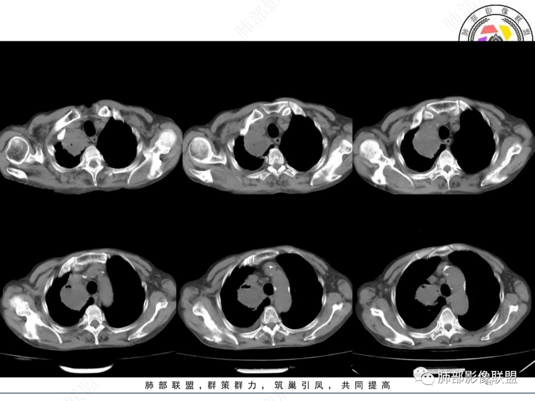
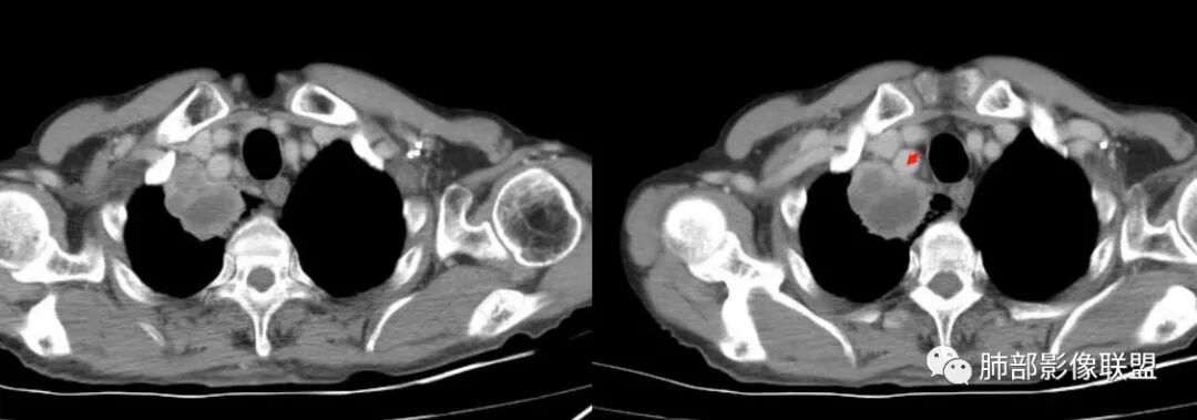
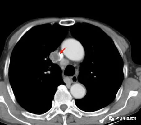
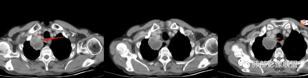
影像资料




















 03
微信群讨论实录
洪桥爱 :
肺脓肿,厌氧菌?大肠埃希菌?
摘星空竹子:
右肺上叶尖段团块影,中央见大片状状坏死伴液气平面,周围见斑片状高密度影,实验室检查血象明显升高,抗炎治疗后,病灶有所吸收缩小,灶周斑片状消失,考虑肺脓肿,鉴别鳞癌伴感染。
不吝慷慨  :
病人男性,发热咳嗽咳痰,血象非常高,病灶有液气平面,治疗两周后消失,首先要考虑感染性病变,肺脓肿。病人不吸烟,也鉴别鳞癌合并细菌性感染。
doctor :
考虑肺脓肿,鉴别鳞癌。
日月@中心 :
考虑感染性病变,脓肿?结核?鉴别鳞癌
看图说话 :
右肺上叶尖段团块,密度不均,中央见坏死区,坏死边缘清晰,气管堵塞,周围见斑片状高密度影,血象明显升高,治疗病灶有所吸收缩小,考虑肺脓肿,鉴别鳞癌。
金豆 :
右肺尖团块,边缘模糊,支气管截断,环形强化,内部大片坏死,抗炎后复查出现液平,考虑恶,鳞癌伴肺脓肿,鉴别结核。
敬畏  :
考虑肺脓肿
秦化君 :
体温39度,白细胞显著升高。右肺上叶团块,边缘毛糙,其内近心侧大面积液化坏死,病灶相近内侧肺内见淡片影,增强渐进式轻度强化,坏死边缘较清晰。纵隔2组及4组淋巴结环形强化,边界清晰无融合,与肺病灶同源。一月后复查病灶出现破溃形成气液平,周围渗出,胸腔积液。先考虑感染性病变,结核,脓肿。恶性病变待排。
张小林 :
脓肿?鉴别诊断鳞癌,鳞癌合并感染。
周宇元-九江学院附属医院影像科 :
右肺上叶占位,气液平面,坏死内外壁光滑,上叶后段还有一小病灶,纵隔肺门淋巴结肿大坏死,环形强化,血象高,考虑肺脓肿,鉴别肿瘤,肺梗死。
藏客 :
右肺尖占位病变,边缘膨隆,内坏死,内壁厚薄不均,纵隔分界不清,血管壁似受侵及,纵隔淋巴结肿大,考虑恶性鳞癌可能。
宇宙  :
右肺尖不规则肿块伴炎症,分叶、棘突,支气管截断,坏死明显,纵膈淋巴结肿大伴坏死,一月复查肿块出现液平,周围渗出,治疗2周复查液平及周围炎症吸收,肿块未见明显吸收,考虑肿瘤伴感染,鉴别肺脓肿
rouzao  :
首先考虑鳞癌,鉴别肺脓肿
361度  :
右肺尖肿块,支气管截断,内部坏死,纵膈淋巴结肿大伴坏死,上腔静脉内似有低密度影,治疗后复查空洞形成,主病灶无明显变化。考虑恶性。
若晗  :
右上肺病灶,中间有坏死,结合实验室检查…首先考虑感染,鉴别鳞癌
放射线  :
右肺上叶肿块,边缘毛刺,其内见液化坏死,增强轻度强化,坏死边缘较清晰。纵隔淋巴结环形强化,一月后复查形成气液平,周围渗出,胸腔积液,治疗后空洞闭合,体温39度,白细胞显著升高。先考虑感染性病变,结核,脓肿。鉴别鳞癌
空格  :
临床感染证据明确, 淋巴结薄壁强化也多见于炎性, 病灶气液平坏死,似乎也多见于炎性。 但是,病灶坏死边缘不锐利, 坏死空洞有壁结节, 主要是一月复查,病灶虽然出现气液平, 病灶轮廓却在增大,原来直边消失,鳞癌伴感染可能更大。
许慧良 :
考虑炎性病变,肺脓肿可能,鉴别鳞癌
my伟哥  :
考虑恶性,麟癌,鉴别炎性假瘤
放射小白 :
右肺尖团块状占位,可见支气管截断,增强呈轻度环形强化,纵隔可见肿大淋巴结,亦呈环形强化,1个月后,病变内部可见气液平,边缘可见斑片状影,治疗后,周围病变吸收,占位性病变少变小,右侧少量胸腔积液,常规考虑肺脓肿,鉴别鳞癌伴发脓肿。
位移 :
肺脓肿,待排除合并肺癌,治疗后复查
张世晓 :
考虑奴卡,放线
龚小萌  :
右肺上叶肿块,其内见液化坏死,增强实性部分明显强化,坏死边缘较清晰,纵隔淋巴结环形强化,与肺内病灶相似;一月后复查形成气液平,周围渗出,胸腔积液;考虑感染性病变,结核、脓肿,不除外鳞癌合并感染
良孑  :
男性,发热咳嗽咳痰,炎性标志物显著升高,急性病程,右上叶结块,边界不清,可见支气管截断征,结块内坏死边界清,内可见分格,坏死壁厚薄不均,均匀强化,似可见壁结节,治疗后见液平及悬浮气泡,纵隔内淋巴结肿大,综合分析,首先要考虑鳞癌并感染,其次肺脓肿或放线菌。
binby :
明显消瘦体质,炎性症状,白细胞明显增高,肺气肿背景,右肺上叶宽基底三角圆形病灶,沿肺段分布,部分截面有分叶,支气管局部阻塞,重建周围血管粘附爬行感觉,病灶坏死明显,内壁欠规则,治疗过程中增大及内容物气液变化,周围炎性渗出吸收,肺门纵隔淋巴结增大坏死,胸椎局部有侵蚀还是融合层面容积效应?食道部分层面有充气轻度扩张,提示可能有吞咽误吸?炎症应该肯定是有的,综合考虑鳞癌基础合并感染,放线菌或金葡可能,病变
binby  :
这个椎体前缘不确定是侵蚀还是容积效应

蓝天白云:
考虑占位继发感染,鳞癌继发感染,厌氧菌感染
杨庆池  :
右上肺癌伴阻塞性炎症,纵隔淋巴结转移,鳞癌?右侧胸腔积液。
飞杨  :
右肺上叶肿块,边缘欠规则,内见坏死,纵隔淋巴结肿大伴坏死,坏死边界不光整,增强兄环形轻度强化,结合病史考虑结核,肺脓肿,鉴别鳞癌。
King  :
考虑肿瘤伴感染,大泌?肉?
王江涛 :
首诊,右肺上叶尖段肿块伴坏死,纵隔淋巴结肿大并坏死,坏死边界不光整,后续肿块坏死增加并积气,灶周新发感染,考虑鳞癌合并感染,鉴别肺脓肿
丽 :
右肺上叶高密度影,边缘模糊,内密度不均匀,部分支气管截断,增强后不均匀强化,内可见片状坏死无强化,纵隔多发肿大淋巴结不均匀强化,短期复查脓肿形成,并远端阻塞性炎症,抗炎治疗后脓肿及炎症有吸收,考虑恶性,鳞癌伴纵隔淋巴结多发转移
金豆 :
右肺尖团块,边缘模糊,支气管截断,环形强化,内部大片坏死,抗炎后复查出现液平,考虑恶,鳞癌伴肺脓肿,鉴别结核。
玫 :
右肺上叶软组织密度肿块影,边界清晰,病灶内见坏死,增强扫描病灶呈不均匀性强化,右肺上叶支气管变窄,纵隔内见肿大淋巴结,考虑恶性病变鳞癌伴纵隔淋巴结转移可能,鉴别肺脓肿。
衡妈🇨🇳  :




右肺上叶纵隔软组织密度影,边界相对清晰,病灶内见低密度坏死区及分隔,增强后肺尖处实性成分中等强化,并见明显透彻坏死区且坏死边界清晰,纵隔一肿大淋巴结中心坏死,增强后环形强化。还是优先考虑肿瘤性病变,白细胞中性很高,继发感染可能,鳞癌?鉴别肺结核,慢性肺脓肿。
衡妈🇨🇳  :
右下肺还有结节,不知道有没有意义?

刘丹 :
右肺上叶肿块伴坏死,纵隔淋巴结增大并坏死,右肺上叶支气管狭窄。第一次复查肿块内气液平形成,周边阻塞性炎症,右侧胸腔积液,第二次复查炎症吸收减少。考虑肿瘤并感染?鉴别肺脓肿。
秦化君 :
体温39度,白细胞显著升高。右肺上叶团块,边缘毛糙,其内近心侧大面积液化坏死,病灶相近内侧肺内见淡片影,增强渐进式轻度强化,坏死边缘较清晰。纵隔2组及4组淋巴结环形强化,边界清晰无融合,与肺病灶同源。一月后复查病灶出现破溃形成气液平,周围渗出,胸腔积液。先考虑感染性病变,结核,脓肿。恶性病变待排。
学君 :
考恶恶性合并感染
宇宙 :
右肺尖不规则肿块伴炎症,分叶、棘突,支气管截断,坏死明显,纵膈淋巴结肿大伴坏死,一月复查肿块出现液平,周围渗出,治疗2周复查液平及周围炎症吸收,肿块未见明显吸收,考虑肿瘤伴感染,鉴别肺脓肿
了 :
右肺上叶肿块影,边缘模糊影,内可见低密度坏死,边界清楚,经过一周后出现气液平面,考虑坏死排出,轻度强化,变化快,考虑感染性病变。
哞  :
淋巴结也有坏死,是不是肿瘤合并肺感染
꧁༺༽༾ཊ天涯ཏ༿༼༻꧂  :
单纯感染鉴别肿瘤并感染
张延军 :
恶性(肿块+肿大淋巴,鳞癌?)继发感染
小兜  :
考虑肿瘤伴感染,纵隔淋巴结转移
弹指之间 :
支持恶,鳞伴感染
安智轩  :
张主任太厉害了

 04
南边老师精彩解析
南边 :
一元?二元?
感染一定有
啥合并感染?
还是单纯感染?
啥——癌?结核?
高老师复查的没把淋巴结发上来
应该发一下
高海峰 :
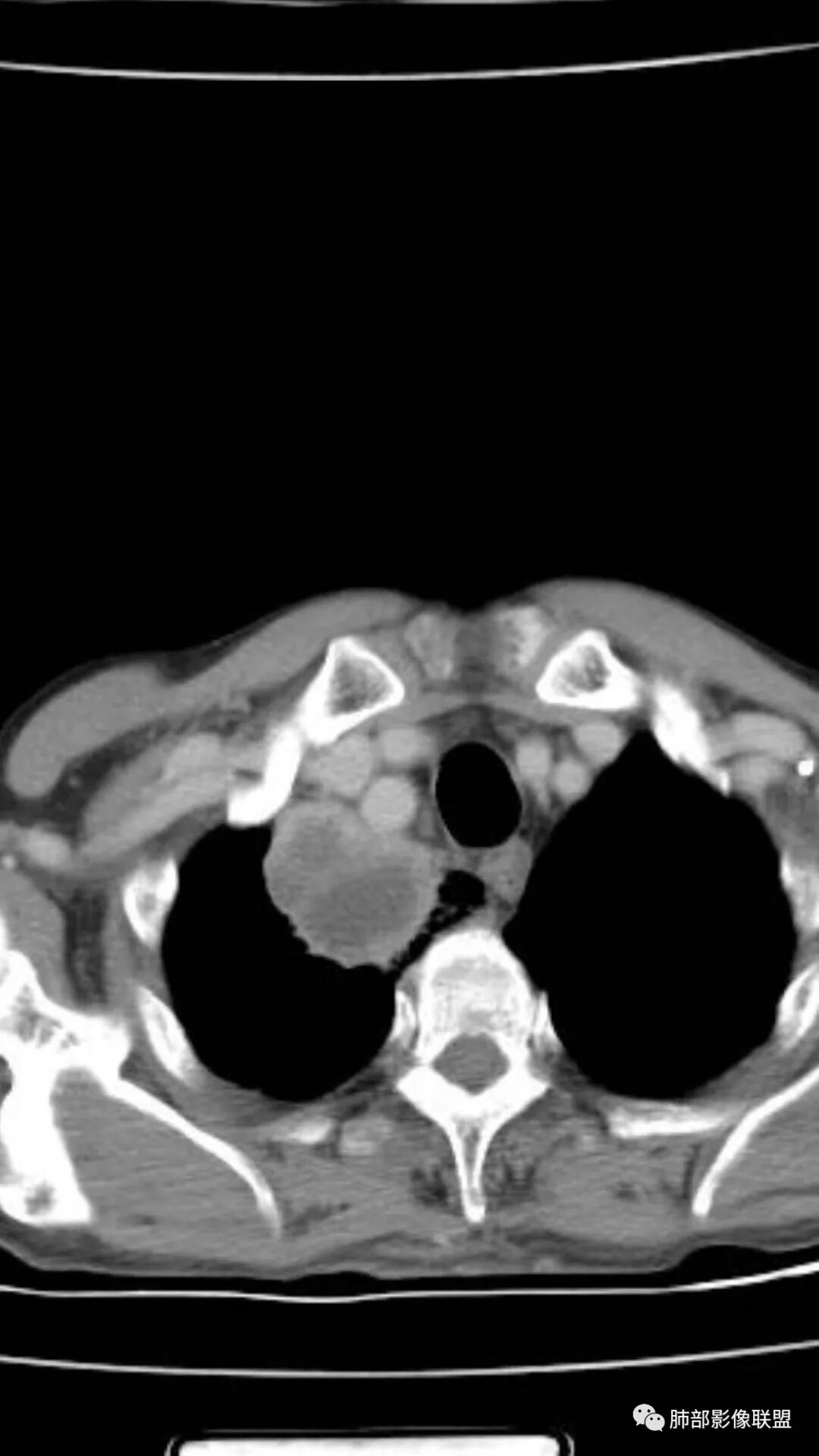
这个淋巴结前后没有多大变化。
南边  :
不管对错,还是捋一捋吧
常规思路吧
老年人,有高血压、脑梗死、肾结石病史

这次,半月,左胸痛不适,高热:39°C,白细胞、中性粒细胞高

右下叶背段有结节

南边 :
斑点
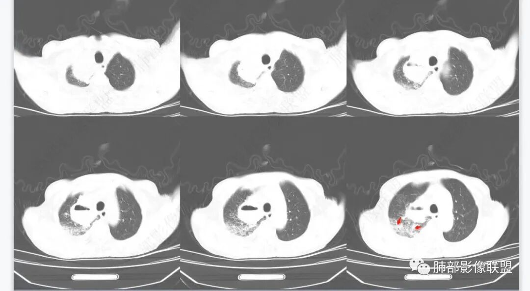
主病灶在右上叶尖段、前段纵隔旁,紧贴胸膜

楔形、边缘膨隆,附近见斑片状、网格状高密度影

支气管近端堵塞,可惜显示的不一定全面



支气管壁还是弥漫增厚

中央坏死明确

如果更薄层一些就好

整体内壁偏清楚,似乎有些地方欠清,不知道是否厚层所致

整体而言:远侧、内侧壁厚

坏死明显,这类膨隆就不支持生长速度不一致所致,而支持坏死朝周围的压力导致边缘的膨隆

这里倒是符合血管的压迫

与胸膜的关系?分界还算清楚


符合炎性的地方:整体形态,可惜重建的图太少
坏死内壁光滑、周围炎性改变
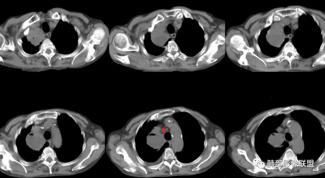
最让人忐忑的:淋巴结


炎性:结核多见,肿瘤:鳞癌多见
最让人放心不下的是这里

南边  :
上腔静脉外面按理没有淋巴结啊
其次:团块影的壁:厚薄不均匀
从上面的图看:炎性肯定有
癌?结核?不能排除
这里想看清楚一下

1月后,发热再次入院
这些新发的

合并有胸水

出现液气平面
治疗一周后复查
周围干净了,液平小了

壁似乎均匀了

南边  :
可惜没薄层
窗宽不够窄
看不太清
治疗两周,病灶内气体没了

就目测看内壁还是清楚的

我就在想这个感染如何继发的?
近端的支气管如何改变?
感染了:腔内就出现液气平面,附近大片高密度影
治疗后,腔内含气病灶少了
说明支气管通畅——狭窄——堵塞
我怀疑是不是堵塞口通了,腔内的坏死物播散到附近肺组织
抗炎后转后,支气管又收缩,堵了
也就是一元,二元的问题
是原有病变继发感染
还是单一感染的问题
 05
结果

高海峰 :
这个病例,第一次增强,发现里面结构扭曲,强化不是很显著,直接报了肺癌。
最后还是考虑鳞癌
 06
疾病总结
患者有高血压、脑梗死、肾结石病史,因左胸痛不适入院,伴高热,血常规示白细胞、中性粒细胞高。胸部CT示右肺上叶肿块影,边缘模糊影,内可见低密度坏死,边界清楚,一月后出现气液平面,周围渗出,治疗2周复查液平及周围炎症吸收,肿块未见明显吸收。
考虑肿瘤?右肺上叶高密度影,边缘模糊,侵及纵隔及胸廓入口,病灶密度不均匀,部分支气管截断,增强后不均匀强化,内可见较大范围坏死,纵隔多发肿大淋巴结不均匀强化。肺上沟瘤不能排除。
感染性病变?右肺上叶尖段团块影,中央见大片状状坏死伴液气平面,周围见斑片状高密度影,实验室检查血象明显升高,抗炎治疗后,病灶有所吸收缩小,灶周斑片状消失。
 07
鉴别诊断
1.肺结核:有时可能出现低热、盗汗及消瘦等结核中毒症状,PPD强阳性或阳性,痰检阳性。多以斑片影、结节影、树芽征面貌示人,常见于上叶尖后段及下叶背段,轮廓清晰,有时可见典型的“支气管爬行征”。此外,在实变阴影内常见低密度液化密度区,增强CT呈无强化或“环形强化”,液化坏死排出后形成虫蚀样空洞,有时可在同侧或对侧肺内见经支气管播散的结核病灶,呈斑片状边缘模糊阴影。
2.肺脓肿是有化脓菌引起的肺部化脓性炎症,病变短期变化、坏死及坏死物排出后形成空洞为其主要特征,可为病原菌经呼吸道感染或经通过血行感染。
CT表现:肺脓肿可呈结节状或团块状,有时呈不规则形,气道来源肺脓肿常单发,血行来源常多发,边缘模糊,部分病灶周围可见片状肺实变及磨玻璃影;病灶中央为液化坏死区,若脓肿与支气管相通,脓液排出可形成空洞,空洞内可形成液平;急性肺脓肿内壁多不规则;慢性肺脓肿洞壁较厚,一般不规则或形成多房空洞:CT增强扫描空洞壁可见强化,空洞壁为纤维肉芽组织,呈典型的环形强化;慢性肺脓肿周围可有较广泛的纤维索条影,可伴支气管扩张、肺气肿或胸膜增厚表现。
08
往期相关疾病链接
【每日晨读】“洞”悉一切——鳞癌vs脓肿
【南边小课堂】没有对比就没有伤害—肺脓肿PK肺鳞癌

病例来源:高海峰
分析:张春雨  南  边
编辑:董  圆
审核:徐  晓


到顶部