【每日晨读】前纵隔明显强化肿瘤之胸腺瘤


二/十/四/节/气/之/冬/至


节气
春·天

每日晨读



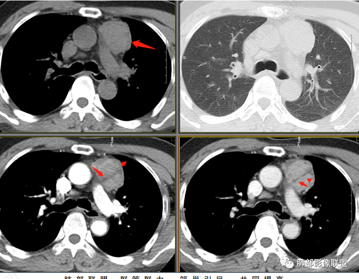
病例资料:














冬节至 飞雪时




微信群讨论:
一、赵国干:联盟晨读病例:中年男性,左前纵隔团块状占位,增强呈持续渐进性强化,常规首先考虑胸腺瘤,其次CD、血管瘤(静脉瘤)及副节瘤
二、南边:

病灶定位在前纵隔没问题,类圆形,边界清,有间隔,强化较明显;支持胸腺来源病变,胸腺瘤?类癌?考虑类癌的原因:临床症状、强化
三、谢加平:中老年男性,前纵隔偏左侧肿块,类圆形,无分叶,左侧内乳动脉供血增粗,实性内不均匀强化(具体CT值),有低强化分隔区,肿块内侧边缘毛糙,提示有侵犯特点。有乏力(肌无力)表现,位置来源胸腺瘤(AB?B3型?),与胸腺神经内分泌ca和转移鉴别,Nse抗原、角蛋白19片段和CEA,有不明原因腹痛,可结合腹部CT平扫及增强,排除腹腔内原发肿瘤病变
四、吕军浩:男,56,腹痛、乏力一月,虽然说胸腺瘤可有肌无力变现,纵隔是否责任病灶,难说。就看术后症状能不能改善。影像特点:1、 血管前间隙胸腺区占位,偏一侧,未过中线,在胸腺瘤是良性表现 ;2 、轮廓大致清晰,增强后似见病灶周围渗出样模糊,可能系占位效应,血管淋巴回流受阻引起 ;3 、多个小灶坏死(可以鉴别CD,前无神,所以神经源性肿瘤的AB区不用不用考虑),有低强化分隔;4、 与周围血管间隙还是非常清楚的;5 中度流入型强化 , 综合大概率拍死 AB型胸腺瘤
五、王建国:左前纵隔软组织密度肿块影,边界尚清,密度较均匀,增强扫描渐进性明显强化,其内可见斑片状及线条样低密度影,内乳动脉增粗,考虑胸腺瘤(AB型),鉴别神经内分泌肿瘤,典型类癌
六、白光宇:左前纵膈肿块,边缘光整,明显不均匀渐进强化,其内条片状低密度影,纵膈多发淋巴结,考虑胸腺瘤,胸腺类癌待排
七、冰柠雨露司桂英:前纵隔偏左软组织密度包块,密度较均匀,轮廓规整,与邻近血管结构分界尚清,纵隔未见异常增大淋巴结,增强后中等度强化,内可见低密度分隔,考虑胸腺瘤,AB型?
八、姜文强:晨读病例,中老年,慢性病史。前纵隔占位,纵隔侧和主动脉脂肪间隙清晰,內乳动脉向外推挤,胸膜掀起,轻度强化,内坏死,考虑胸腺瘤
九、宋明亮:男,56岁反复腹疼乏力一个月。前纵隔偏心占位性病变,边缘较清,无明显坏死囊变,似见纤维分隔。考虑胸腺瘤,AB型
十、钟学兰:中年男性,前纵隔偏侧占位,周围血管间隙可见,临床腹痛乏力,增强明显延迟强化,内见低密度纤维分隔,胸腺类癌与胸腺瘤AB型间鉴别
冬节至 飞雪时




病例结果:




知识拓展:
前纵隔疾病诊断思路:

2015版WHO分类将胸腺瘤分为:
A型:梭形/卵圆形细胞
非典型A型:A型伴有一定程度异型性
AB型:混合型不提倡使用
B1型:未成熟T淋巴细胞为主
B2型:介于1、31型之间
B3型:上皮细胞为主
C型:胸腺癌
    A型胸腺瘤相对少见,占胸腺肿瘤的11.5%。临床上很少伴发重症肌无力,病理上肿瘤组织界限清晰, 小叶间白色纤维分隔不明显,通常被认为是良性肿瘤, 简化分型中归为低危胸腺瘤。Fukumoto等报道低危胸腺瘤多生长缓慢,肿瘤倍增时间中位数为607d,远低于高危组及胸腺癌组的459d和205d。A型胸腺瘤5年及10年生存率达100%,手术切除后几乎无复发。CT扫描肿块边缘清晰,呈类圆形,贴近纵隔面可出现类似铸型生长;大多数肿块密度均匀,少数可发生囊变,实质内钙化罕见,但包膜钙化常见;肿块体积常较其他类型胸腺瘤小;CT增强肿块常呈轻至中度强化,也可无明显强化,若包膜钙化,肿块可无明显强化。
    AB型为最常见或次常见的类型,占胸腺肿瘤的28.5%,可伴副瘤综合征,但重症肌无力不常见。有报道称AB型胸腺瘤可并发多发性肌炎而引起肌痛和水肿。病理上通常包膜完整,切面呈结节状,结节间见纤维分隔。临床上一般认为是良性肿瘤,与A型同属低危胸腺瘤,5年和10年生存率约80% ~100%,复发转移极其罕见。CT示:肿块边缘强袭,与心包周围脂肪间隙清晰,低密度纤维分隔在此AB胸腺瘤中最常见,很少发生大范围囊变;若实质内出现钙化,提示存在AB型的可能;通常无胸膜种植结节及胸腔积液。增强扫描轻至中度。
     B1型胸腺瘤属少见类型,占胸腺肿瘤的17.5%,文献报道B1及以上分型的病例重症肌无力常见。44%的病例病理上通常包膜完整,可保留胸腺小叶结构,可见粗大纤维分隔,被认为是低危但具恶性潜能的肿瘤。有报道称肿块较大时 (一般 ≥10cm),约 有20%的病例可发生周围脂肪组织侵袭。手术切除率约91% ~94%,术后复发率<10%,10年生存率>90%。B1型胸腺瘤处于AB型和B2型过度类型,以往认为缺乏影像特征性。CT平扫肿块边缘分叶常见,病变内可见低密度的纤维分隔,但缺乏AB型胸腺瘤广泛而显著的分隔;若肿块体积大且伴有囊变(坏死)区则难以与B2、B3型胸腺瘤区分;B1型少见胸腔积液,少数有实质钙化;可侵犯纵隔脂肪,表现为肿块边缘与周围脂肪交界区的“晕征”;CT增强肿瘤实性成分常呈轻至中度强化。
     B2和AB型同为胸腺瘤的最常见类型, 与重症肌无力显著相关。病理上通常包膜不完整,可侵犯纵隔脂肪及邻近器官, 可见纤维分隔,但常不完整,可发生囊变、出血;属于高危、恶性程度中等的肿瘤。大约有5%~15%病例初诊时已经伴发广泛的周围组织侵犯。约有5%~9%病例术后复发,术后转移率达11%,10年生存率70%~90%。CT平扫呈分叶状,部分为多结节型;肿块内几乎无明显低密度分隔,但MRI有时可见到,偶见斑点状钙化灶,大部分病例可出现较大范围囊变及低密度坏死区;易出现纵隔胸膜蔓延及胸膜转移,并偶见肾孤立性转移的报道;可出现胸腔积液,CT增强病灶内实性成分呈轻至中度强化,部分因血供丰富呈明显强化。
      B3型胸腺瘤约占胸腺肿瘤的16%,最常见的症状为重症肌无力,约占50%。肿块通常无包膜,常侵犯纵隔脂肪及邻近器官,纤维分隔较少见,囊变、出血常见, 与B2型同属高危、中度恶性肿瘤。初诊时发生远处转移病例约占7%,Ⅰ期病例罕见,约15%~17%术后复发,术后转移率约20%,10年生存率50%~70%。CT平扫肿块内几乎无低密度分隔,易发现纵隔脂肪、胸膜侵犯及胸膜、心包多发种植转移,心包内侵犯只见于B3型胸腺瘤和癌,侵犯纵隔内大血管罕见,纵隔淋巴结转移少见,可出现心包种植转移,胸膜种植转移少见;CT增强呈不均匀强化,因肿瘤囊实性成分混杂,血供不均衡,可伴有肿瘤内血管强化。
    C型胸腺瘤即胸腺癌。文献报道30岁以下的胸腺癌极少见,最常见病理类型为鳞癌,其次为神经内分泌癌等,肿瘤高度恶性,约50%以上初诊时伴发远处转移,极少伴发重症肌无力(WHO<5%)。CT平扫常表现为前纵隔肿块、中心型生长,形态显著不规则几率高于B2、B3型,边缘模糊常见,易出现肿块内低密度区,且范围较大,同高危胸腺瘤一样, 易出现瘤体内微钙化或泥沙样钙化,纵隔内血管侵常见,可伴有胸膜转移、肺转移,可出现膈神经受累、膈肌升高。胸腔积液出现几率较胸腺瘤明显增高。
参考文献:
1.徐佳佳,闵朋,陈晓荣. CT在胸腺上皮肿瘤WHO新分类的诊断及鉴别诊断中的应用[J]. 实用放射学杂志2021,37(6):918-922.DOI:10.3969/j.issn.1002-1671.2021.06.011.



-END-



编辑:胡秋菊
审核:清 茶
到顶部