【每日晨读】抽丝剥茧秒腺癌




精彩病例分享






























【每日晨读】酷似良性结节的腺癌,您get重点了吗?
精彩讨论分析

秦化君:老年女性,一月病史。双肺广泛不均匀分布磨玻璃影,边缘部分模糊,左下肺实变,密度不均。考虑:1.感染性病变PCP。2.非感染血管炎。
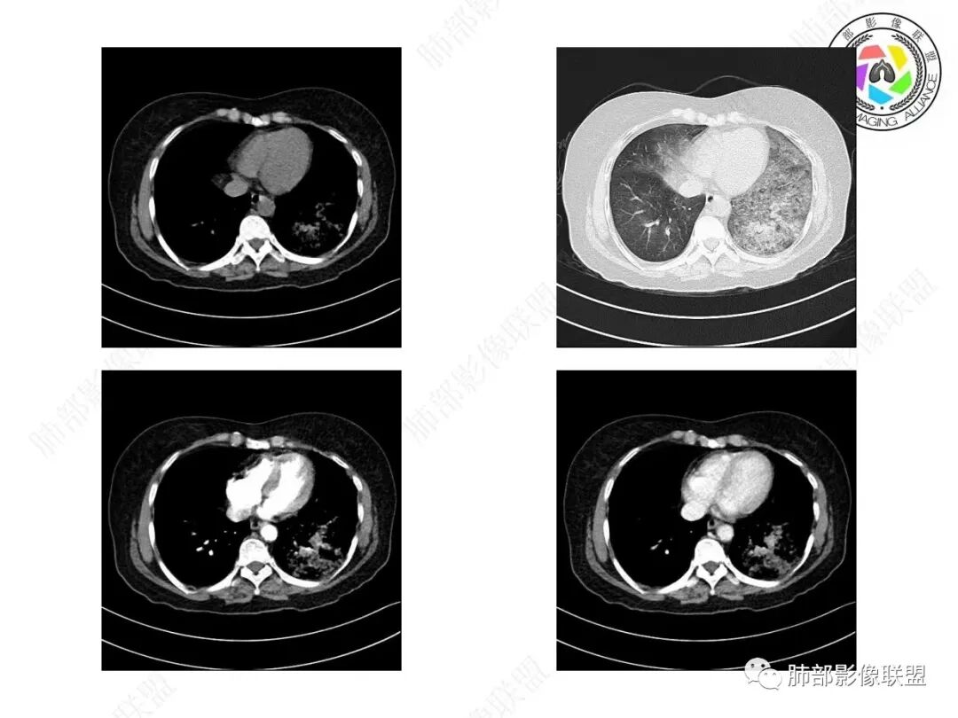
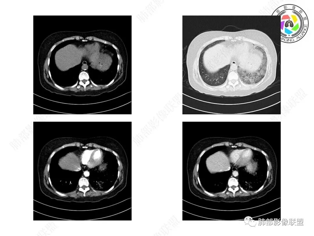
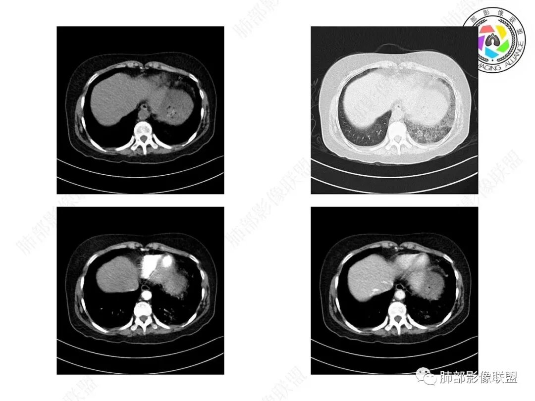
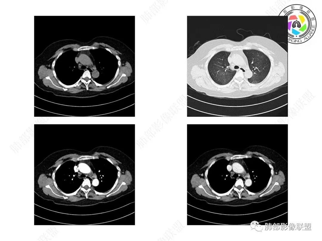
小兜:女,57岁,间断咳嗽1月,咳白色粘痰。CT示左肺下叶实变影,周围可见大片磨玻璃密度影,右肺亦见少量斑片状磨玻璃密度影。考虑恶性可能,左肺下叶粘液腺癌伴播散。
宇宙:两肺多发磨玻璃影,边缘模糊,左肺为著,左肺下叶伴实变,增强实变不均匀强化,其内支气管有阻塞、扩张,考虑粘液腺癌。
王江涛:考虑左肺下叶粘液腺癌,双肺播散。
飞鹰行动:病史较长,左肺下叶实变及周围磨玻璃影,增强可见血管造影征,考虑左肺下叶粘液腺癌。
金豆:两肺多发,左肺下叶实变+磨玻璃,有结节感,结核可能,鉴别粘液腺癌。
放射线:左肺下叶实变及双肺磨玻璃影,左下肺病灶周围磨玻璃影,有重力作用,呈叠瓦片状,增强可见血管造影征,考虑左肺下叶粘液腺癌伴双肺播散。
放射小白:中年女性,间断咳嗽一月余,咳痰4天;影像表现:右肺中下叶、左肺下叶见磨玻璃密度影,左肺下叶局部可见实性密度影,实性成分内部可见变窄、截断支气管通气征,增强实性成分内部可见血管造影征,但是血管扭曲,结合以上分析两肺符合肺黏液腺癌,不排除肺腺癌。
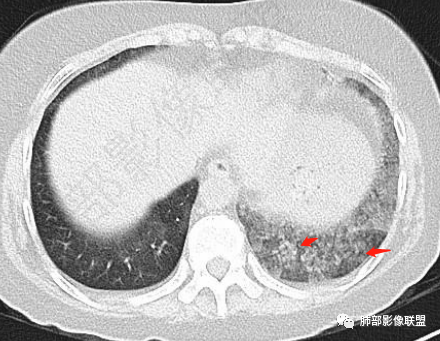
良孑:左下肺实变,边界似清非清,邻近肺野见腺泡样播散灶,强化见血管造影征,中年女性,咳白痰,病程一月,考虑粘液腺癌并肺内播散,鉴别吸入。
谢加平:中年女性,慢性干咳史,少量白色粘液痰,左肺下混合密度影,实性密度比胸壁软组织低,周围见大片磨玻璃密度,边缘模糊,叠瓦征分布,实边区内血管束边缘模糊(需重建血管束确认分支有无消失),余肺叶散在分布磨玻璃病灶(气道种植),抗炎治疗无效,左肺下叶符合肺炎型粘液腺Ca并双肺叶气道飘散转移!

南边老师解析

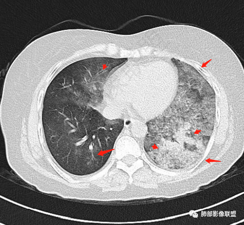
    患者,女性,57岁。咳嗽1月、咳痰4天,亚急性病史,抗炎效果不佳,体温不高,痰为白色黏痰,白细胞稍高,主病灶在左下叶,实变+GGO,其余肺也有GGO,伴随有结节。






密度偏低,有低强化区,感染?腺癌?感染有哪些可能?腺癌是否支持?
常规的感染不支持,抗炎效果不佳,一个月GGO这么弥漫,体温不高,特殊感染符合吗?
宇宙星空:不符合。
南边:pjp?pjp的分布更广泛,实变是修复的特点,边缘平直、凹陷很明显,不支持,结节也不支持。
除非二元,真菌?那种真菌这么大片GGO为主?曲霉菌?这样表现的,好像没见过。
支气管的:支气管改变不明显;
血道的:直接不符合;
结核?:结核肺内气道为主
大片GGO:免疫力低下,出血。好像都没提,也没看到气道结节,加上这个体温考虑感染确实不踏实,一个月这么弥漫GGO,无非合并出血,极速进展,似乎与病程不符合,按这种病程与影像表现,感染不支持。
安智轩:两肺磨玻璃结节不好解释。
南边:提示有肺泡性。
毛勤香:抗炎治疗效果不好,高度怀疑粘液腺癌。
安智轩:晨读病例不会很难,可能就是粘液腺癌吧?
郭遵明:支持粘液腺癌

病例结果


小结
    肺腺癌:肺癌最常见的病理类型之一,属于非小细胞肺癌,是腺上皮的恶性肿瘤,多位于肺周边,界限清楚。多数腺癌起源于较小支气管,为周围型肺癌。
    肺腺癌根据亚型的不同而在影像上表现不同,常见的影像表现为肺内实性结节、混合磨玻璃结节或纯磨玻璃结节。常见的影像伴随征象包括:短毛刺征、深分叶征、脐凹征、棘突征、空泡征、胸膜凹陷征、血管集束征、月牙铲等。
    本例病例老年女性,慢性病程,抗炎效果不佳。CT示左肺下叶实变影,周围可见大片磨玻璃密度影,密度不均。右肺亦见少量斑片状磨玻璃密度影。增强可见血管造影征,结合南大分析,排除真菌,结核等,答案就呼之欲出了。
普通型肺腺癌有哪些CT特点?
1.周围型:指从组织学上分析,起源于周围肺泡上皮及末梢细支气管上皮。
2.有附壁生长的成分(GGO)。
3.空泡征与假大空。
4.“月牙征”与“L”型缺口:多由于小叶间隔阻挡所致。
5.具有收缩力表现:胸膜牵拉凹陷、兔耳征、毛刺征、血管集束征等。
6.支气管充气征与支气管牵张扭曲。
7.分叶征。
8.膨胀边缘与胸膜处锐角。
9.周围模糊影:小叶间隔旁淋巴水肿所致。
10.血管穿行特点:对三管的破坏迟于其他癌。
11.腺癌播散特点:胸膜、淋巴道、血道。
12.肺泡塌陷特点:由于早期腺癌肿瘤组织退变所致。
相关知识链接
【每日晨读】酷似良性结节的腺癌,您get重点了吗?
【每日晨读】炎症还是癌症由你来辨!
不同时期腺癌的病理影像诊断篇(一)
编辑:杨新娟    
审核:张慧   清茶



到顶部