【每日晨读】最典型的支气管鳞癌



每日晨读


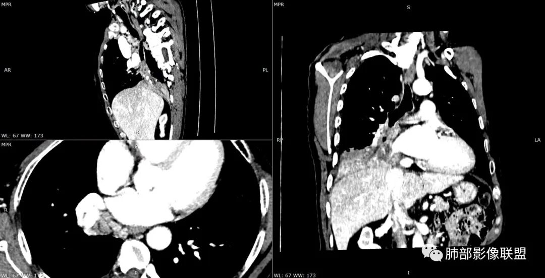
病例简介











































精彩发言


张思雨: 右肺下叶肺门处可见实性病变,包绕近端支气管,支气管堵塞,远端可见阻塞性肺不张,及多发指套征,增强扫描可见近端血管穿行,右侧胸水,纵膈多区淋巴结肿大,部分可见钙化灶,考虑:小细胞肺癌,腺癌,鳞癌,鉴别结核,淀粉样变。
秦化君:右肺自中间段支气管以下支气管狭窄,部分阻塞后扩张,周围软组织密度影围绕,密度不均,增强可见液化坏死,右下肺不张,右侧胸腔少量积液。结核先考虑。恶性肿瘤待排。
张欢:右肺下叶气管狭窄,可见阻塞性肺不张,密度不均,边界不清,有少量积液,考虑肺癌,鉴别结核。
魏俊明:单侧胸水,多发肿大淋巴结,强化均匀,右肺下叶支气管壁增厚,强化比较轻,恶性病变可能,首先考虑粘液表皮样癌。鉴别支气管内膜结核。
高巧灵:右肺自中间段支气管以下支气管狭窄,周围见软组织影,密度较高,并见钙化,右下肺不张,右侧胸腔少量积液。纵隔多发稍大淋巴结,密度较高,强化均匀,倾向淀粉样变性,结核其次,粘表待排。
丽:老年男性,咳嗽,化验白细胞不高,右肺门增大,下叶支气管管腔变窄,见多发粘液栓形成,远端阻塞性肺不张,伴右侧胸腔少许积液,考虑鳞癌,鉴别结核。
白光宇:右下肺门不规则软组织影,包绕支气管,近端支气管狭窄阻塞,远端肺组织阻塞性不张,伴支气管粘液栓,血管显示尚可,纵膈淋巴结肿大,考虑粘液表皮样癌,鉴别结核。
刘权威: 纵隔淋巴结肿大,右肺下叶支气管狭窄,腔内似乎有丘壮突起,支气管铸型,远端阻塞性改变,右侧胸水,恶没问题,小与鳞的鉴别,不支持小的理由:小阻塞性改变发生比较晚,突破支气管周围淋巴结被摸,融合,然后侵入支气管腔内,堵塞靠肺门根部,没有冰冻改变。综合考虑鳞癌伴阻塞性改变。
姜文强:老年男性,慢性病史,右下基底段支气管堵塞,血管造影征提示狭窄,中断,考虑恶性,小细胞病史不太支持,诊断鳞癌?
吕军浩:鳞癌pk结核 老年男性 咳嗽两月,略畏寒,炎性指标稍高,瘤标都正常无咳血。临床无明确指向意义,或偏炎性。支持结核影像特点:1 右侧多支气管弥漫增厚。鳞癌相对局限  2 实变内见粘液支气管栓 3 支气管内壁平扫有环形钙化趋势   4 纵膈淋巴结小而多,部分钙化,中度强化。   5 患者肺野相对比较干净。     支持鳞癌的征象:1 中间段支气管管壁增厚,伴远端实变粘液栓  2 胸腔积液 3 纵膈淋巴结  综合 结核 可能大。
王秀仙: 右肺下叶大片状实变,沿着支气管血管束呈指套状生长,近肺门侧见针孔样支气管,增强可见血管造影征,纵隔多发淋巴结肿大,老年男性,咳嗽咳痰,考虑小细胞肺癌,鉴别鳞癌。
袁勇: 右肺下叶支气管狭窄,管壁不规则,管腔内似可见强化的成分,结合纵隔肿大的淋巴结,考虑恶性占位。
傅昌瑜:老年男性,纵隔淋巴结肿大,支气管狭窄堵塞,考虑恶性。无冰冻肺门及冰冻纵隔,鳞癌可能性大。
杨宏刚: 老年男性,咳嗽咳痰,CRP升高。右肺支气管血管束呈指套状改变,支气管呈鼠尾状狭窄,相应肺叶大片实变,增强见血管造影征,走行尚可,纵隔多发淋巴结肿大。小细胞冰冻纵隔不明显,考虑恶性,鳞癌,并阻塞性肺炎肺不张。鉴别结核。
万琦: 有陈旧性肺结核基础 考虑腺样囊性癌>粘液性表皮样癌>鳞癌>SCLC>TB>ABPA>腺癌
许慧良:老年男性,左肺下叶支气管缩小狭窄伴有远端阻塞性肺炎,纵膈淋巴结肿大,考虑恶性,鳞癌首选。
谢加平:老年男性,慢性刺激性干咳,右肺下叶支气管壁近侧段环形增厚强化,支气管腔及右肺下叶基底段主干粘液栓,右肺下叶体积缩小,纵隔及右肺门旁淋巴结肿大及强化,支气管内膜TB,其次异物及肿瘤鉴别,支气管镜检查!
徐新庭: 右肺下叶肺门软组织影,包绕支气管并壁增厚,不均匀有强化,右下肺实变,增强后中等强化,血管走行自然;右肺门及纵隔多发增大淋巴结。右侧少量胸腔积液。考虑恶性肿瘤,鳞癌?粘皮?鉴别感染性病变,结核?
屈运良: 老年男性,慢刺激性咳嗽,纵隔内见肿大淋巴结,右肺门肿块及肿大淋巴结融合呈块状,下叶支气管狭窄呈针孔样,肿块沿支气管血管束走行,明显强化,肿块内见走行正常的血管影,纵隔及右肺门淋巴结有融合及环状强化,老年高危病人,首选恶性,尽管淋巴结有环状强化,但肿块整体强化不支持TB,综合考虑支持小细胞癌。
宋明亮:老年男性患者,咳嗽咳痰胸疼。右肺下叶实变,肺门肿块,纵隔淋巴结增大。考虑中心型肺癌,鳞癌可能。
贺成普: 老年男性 右肺下叶近肺门支气管环壁软组织密度影,管腔狭窄,管壁破坏不明显,管腔粘液成分明显,增强扫描轻中度强化,右肺下叶肺不张明显。单侧胸腔积液。恶性肿瘤,考虑腺样囊性癌>小细胞(远侧完全肺不张不太支持)>鳞癌(鳞癌支气管壁破坏应该很明显)。结核不太支持。
鲁兆宏:右下叶支气管腔内病变及气管内粘液栓,气管环相对完整,血管走形自然,远端血管增粗。纵膈内多发淋巴结,病灶与淋巴结明显一致强化,未见明显坏死。未见明显树芽征等播散灶。考虑粘液表皮样癌或腺样囊性癌等涎腺类肿瘤。
刘悌: 右肺下叶支气管开口处见软组织密度影,相应的支气管壁较均匀增厚,支气管腔内见粘液栓,远端肺组织不张实变,增强后增厚支气管壁明显强化,考虑恶性肿瘤可能,感染性病变待排。




指点迷津











南边老师分析:病灶起源于中间段支气管内侧壁,腔内占位,恶性没问题,远端都是阻塞性炎症,标红色的圆圈是肿瘤原发位置。




解开谜团






                   病例小结
影像与临床:
1.老年男性患者,咳嗽、咳痰、胸痛2月余入院。既往病史不详。缺乏吸烟及粉尘接触史等。实验室检查C反应蛋白及降钙素原等升高。
2.CT影像右侧中间段及右肺下叶支气管阻塞、结节影突入,局部轻度强化,未见钙化。
3.右肺下叶呈实性高密度影,体积缩小,密度较均匀,强化明显(对比胸壁肌群),肺血管走行自如,偶见含气支气管。
4.右侧胸腔少量积液
5.右肺门增大,有肺门及纵隔见多处增大淋巴结。
综合分析:
这应当是一相当典型病例。
1.支气管腔内强化结节影,管腔阻塞,阻塞性肺炎(肺炎、肺不张),符合引流途径的肺门纵隔淋巴结肿大。符合恶性新生物判断,腔内结节影均匀强化,一般也不符合异物或结核等肉芽肿性炎。
影像诊断的任务至此基本完成。
2.支气管密切相关新生物有肺鳞癌、小细胞癌、类癌、涎腺类肿瘤等……
最常见的显然是鳞癌,这点相当重要,管腔内结节,阻塞彻底,阻塞性肺炎,又是老年男性患者等等。
注意,阻塞性肺炎的实变区或膨胀不全的肺组织可以强化较显著,肺血管保持自然完好,有时可以衬托出肺门方向的肿块边缘。
3.小细胞癌转移更早,淋巴结肿大更夸张,易出现纵隔冻结等。


每日小知识




 树芽征
(Tree-in-Bud,TIB)
1.基本概念
     形态:圆形或V/Y形结节影;
     分布:沿支气管血管束、肺间质;
     大小:2-3mm ~10-15mm;
     边缘:多清晰、质硬;
     背景:空气潴留、GGO或网线影;
2.发病机制
     气道壁增厚
     气道腔粘液栓或肉芽组织
     支气管血管周围间质增厚
     不同级别的间质增厚
     淋巴管梗阻或扩张
3.类型及来源
     微树芽(呼吸细支气管播散)
     小树芽(细支气管或淋巴管)
     中树芽(小气道或肺间质等)
     大树芽(亚段以上气道)
     巨大树芽(树枝或树杈)
 4.常见病变
     气管播散性肺结核
     支气管及细支气管炎症
     囊性纤维化、支扩合并感染
     ABPA、真菌感染等
     结节病、淋巴管扩张症、肿瘤等
 5.临床意义
    显示不同的解剖生理
    反应不同的病理机制
    提示不同的疾病谱群      
6.图文并茂










 【延伸阅读】
双肺广泛地树芽征-弥漫性泛细支气管炎
编辑:小灰灰
审核:张慧  徐  晓






到顶部