【每日晨读】 支气管占位还是被包绕?





、肺部影像联盟

肺部影像联盟是最全面的肺部影像与病理结合的学习平台,这里可以每天学习到大师们的经典分析思路,也是你工作、学习最好助手和基地,联盟将会从每周三轮值病例中精选病例提前供大家实战训练,每周三晚上八点肺部影像群里准时讨论及资深老师分析点评,希望关注的老师们都有所收获,也欢迎您提供病例一起学习分享,感谢大家一直以来的关注与支持,不对之处恳请批评指正!
病例资料|壹



病例讨论|贰


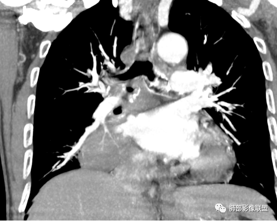
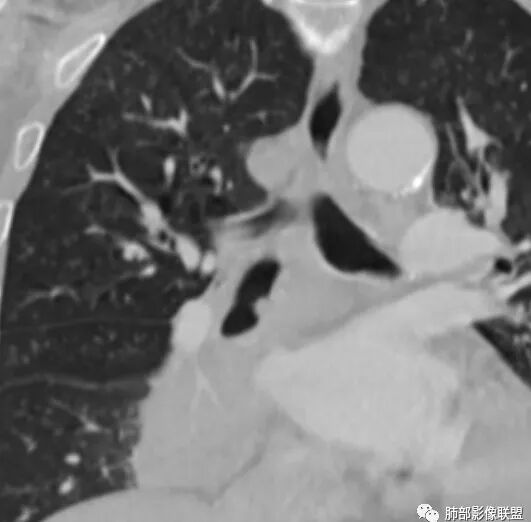
水晶石头:患者中老年男性,咳嗽、咳痰2周。查血常规血象升高。胸部CT:右肺下叶肺门区高密度结块影,部分稍膨隆,部分平直,边界清楚,边缘光滑,增强强化明显。综合考虑良性炎性病变。
空格:鳞癌pk慢性炎性肉芽肿(结核) :
支持鳞癌证据:1.支气管壁增厚 ;2.实变内含小粘液栓;3.实变部分有些膨隆 
支持结核证据:1.病史较短,结核抗体阳性,炎性指标高;2.肺野内有小树芽征;3.流入强化,实变内似见环形强化;4.多支气管累及(病变太广泛不利于鳞癌诊断?待验证);5.实变部分略呈三角形? 
综合:慢性炎性肉芽肿(结核)> 鳞癌
赵:右肺下叶内基底段段肿物,b7支气管截断,肿物支气管蔓延生长,增强轻度均匀强化,远端可见坏死考虑鳞癌,右肺门区及纵隔淋巴结肿大转移可能。小细胞肺癌疑点就在右肺门区及纵隔淋巴是不是转移。本例右肺内基底段这么大肿物,如果是小的话,肺门纵隔淋巴结转移是不是小了点。
放射线:右肺下叶内基底段软组织肿块,边界清楚,相对比较圆钝,沿支气管长轴生长,内未见明显的坏死,远端未见阻塞性改变,老年男性,考虑小细胞肺癌>鳞癌。
张延军:右肺门区软组织肿块,内基底段支气管壁增厚,管腔局部狭窄,增强后见环形强化影,中叶肺组织内见树芽及斑片状高密度影,界不清,肿块边缘平直,且累及到7区,支气管似受压改变,考虑炎性肉芽肿可能性,恶性待排。
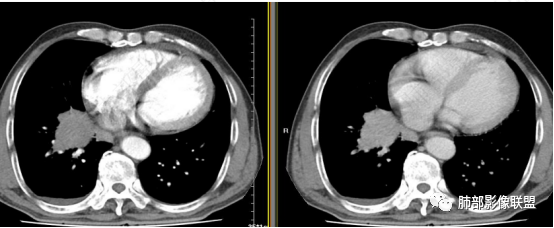
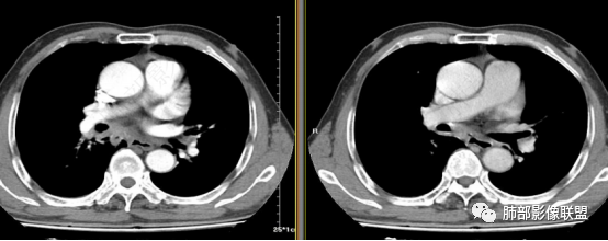
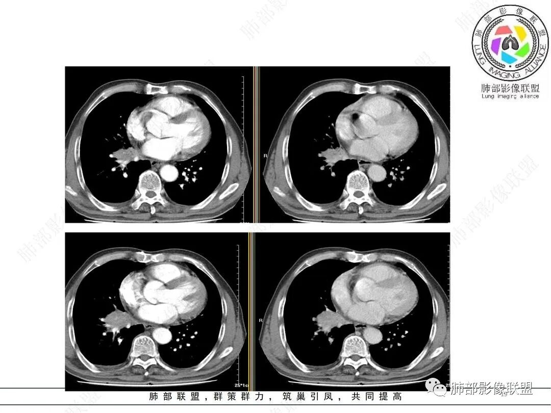
宇宙:右下肺门肿块,边界清,浅分叶,内侧缘尾巴样凸起,血管间隙生长,延迟强化,其内少许坏死,纵膈淋巴结肿大,右侧少量胸水,考虑小细胞癌、淋巴上皮瘤样癌。
衡妈:
右肺下叶实性病灶,边缘膨隆、分叶、密度相对均匀,增强后渐进性强化,肺门纵隔淋巴结肿大,且主支气管壁增厚。染指标都明显升高,嗜酸性减少至零,考虑感染性病变,需要进一步检查。鉴别淋巴上皮癌。
支气管壁不规则增厚,向腔内凸起感。

董金荣:右肺下叶内基底段占位,内基底段支气管截断,前外后基底段血管束受压移位。膨胀性生长,可见分叶,尖角,肿瘤坏死不明显,边缘区看见灶性坏死,逐渐强化。主动脉弓旁及有肺门区及气管隆凸下淋巴结增大。慢性炎性肉芽肿?神经内分泌?鳞癌?
刘悌:右肺下叶近肺门处见类圆形肿块影,其内密度均匀,增强后中度强化,邻近支气管壁浸润性生长,邻近血管包绕,未见狭窄及中断,考虑恶性,淋巴瘤,鉴别腺癌。
弹指之间:老年男性,咳嗽咳痰两周,血象及CRP明显升高,肿瘤标志物正常,右下肺门旁肿块,内见少许低密度(坏死),增强后见轻度延迟强化,支气管壁增厚(范围较广),右侧中间段支气管内见小突起,右侧胸腔少量积液;考虑:1.神经内分泌肿瘤可能(腺、鳞不支持),2.淀粉样变。
良孑:左下肺门肿块,沿支气管血管束走行,分叶,中度均匀性强化,肿块内血管受累,边界不整,定性恶性,破坏力强,男性患者,首先考虑鳞癌,其次小细胞癌或类a,无干酪坏死及环状强化,TB可排除。
lmg:右肺下肺门处肿块,腔内可见软组织影,支气管见针孔样闭塞,强化后不均匀强化,见有血管漂浮,纵膈内示多个淋巴结肿大,考虑恶性,小细胞癌可能;鉴别鳞癌,TB。
HP:老年男性,咳嗽咳痰两周,无发热、咯血、盗汗等症状。胸部CT示:右肺下叶不规则肿块,稍膨隆,有分叶,界清,均匀强化,右中间支气管管腔见增生物、管壁稍增厚伴钙化,远侧有些“小花小草”,肺门及纵隔淋巴结肿大,血管受压推移,右侧少量胸腔积液,考虑肺恶性肿瘤。
何赟:右肺下肺门处肿块,浅分叶,跨叶生长,支气管变窄,血管推移,强化后不均匀强化,见有血管漂浮,纵膈内示多个淋巴结肿大,考虑恶性,鳞癌可能性大 鉴别小细胞癌。有冠/矢状面图片更好看些。
轮回:右肺下叶内基底段近肺门,密度均匀,感觉肿块张力较高,血管有些推移,结合生化检查。考虑炎性肉芽肿?肺癌待排除。
谢加平:右肺下叶内基底段大肿块,边界清,分叶状内基底段支气管开口阻断,均匀轻度强化,破坏力弱,外侧指状凸起,右肺门下方中轴间质增厚,支持恶性,小细胞肺Ca,结合胃泌素释放肽前体检查。
冰冰:老年男性,右肺下叶实性肿物,少量胸水,隆突下淋巴结轻度肿大,支气管受压变窄,增强后边界尚清,急性病程,血象高,痰中革兰阴性菌阳性,瘤标正常,首先考虑炎性肉芽肿,其次小细胞肺癌。
大昊:右下肺门占位,部分支气管闭塞,大血管包绕及推移,中度强化,远侧肺组织少量闭塞性炎症及轻度淋巴管炎,右侧微量胸水,右上叶条状影。考虑小细胞癌,右上叶原发灶。

寻找征象|叁

南边:理一下征象
1
第1个问题:是否是近端支气管堵塞?腔内肿瘤导致远端阻塞性改变?还是外围病灶围绕支气管,引起堵塞?
2
第2个问题:病灶是否就是内基底段?
3
第3个问题:支气管堵塞?还是堵塞后还有通畅支气管?



邓文睿:只看出来是堵住了,内基底段慢慢就闭塞了。
赵:不好分辨,b7段支气管确实阻塞。包绕就是小,不包可能非小细胞肺癌。
安吉木子何方李:包绕。
南边:

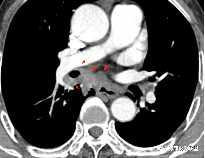
这是支气管,注意看视频支气管连续性的变化。如果上面的支气管完全堵塞,下面的支气管如何解释?


大家考虑这个是支气管腔内占位?引起远端阻塞?还是外围为主病灶侵犯支气管?
安吉木子何方李:外围为主病灶侵犯支气管。
南边:个人倾向于外周为主病灶,腔内改变是继发的。原因:病灶围绕支气管,腔内远端无明显阻塞性不张。
赵:右肺门及纵隔淋巴,是转移还是既往陈旧性增大淋巴结。
wj:淋巴结这么大,还是不能排除小细胞这些恶性的转移,建议支气管镜。结核淋巴结一般坏死环形强化,至少不典型。
南边:转移不好说。看血管走形态自然,我觉得结核等特殊感染也要纳入鉴别。
邓文睿:如果是写报告,第一诊断该怎么考虑合适。
尘缘:反正我觉得第一个该排查的,是结核。
南边:
边缘偏平直,内部血管走形自然,一般提示包绕为主。
支气管的堵塞也是让我觉得奇怪,当然这种最终支气管镜很直接。



wj:南边老师意思是先堵塞后通畅吗?他的堵塞切面是比较像良性确实。
邓文睿:南边老师觉得优先考虑炎性对吗?
南边:我是看到血管的改变,病灶的边缘,支气管还有中叶的树芽,倾向于炎性。




病例结果及回顾|肆



1.结果


临床考虑肺结核,抗结核后3个月复查病灶明显缩小


2.回顾性讨论

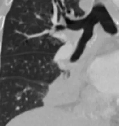
琦遇:好病例!支气管爬行;右肺中叶有树芽征;右侧分支支气管壁弥漫性增厚了。右肺下叶内基底段支气管通而不畅。
邓文睿:这个中间还有一次复查,是部分吸收,我没放图,后面是全部吸收了。
两肺下叶背段都有病灶,可能大家忽略了。第二次复查的时候明显缩小,但是支气管还是没通,没敢除外肿瘤。第三次才全部吸收。这里放的是最后一次复查,已经完全吸收,中途还有一次复查部分吸收没放上来。
尘缘:患者炎性指标高,有支气管爬行征,支气管壁增厚,未完全堵塞,有点仙人掌的味道,而且纵隔脂肪间隙虽然模糊,但无明显肿瘤样强化。所以肯定先排查结核。所以用任何一种肿瘤都不好全部解释的,最先要排查的就是结核。
赵:有没有可能结核合并鳞癌。临床工作依然不敢除外恶性,结核基础上合并肿瘤不少见啊。
结核表现一切皆有可能啊。
衡妈:我也考虑炎性,但是不敢说结核。不过主支气管那里回头看看需要想到结核。
夏威夷的风:这个病例太难了。不典型、没有坏死、没有环形强化、还有血管穿行。
南边:日常工作中,要考虑到炎性,但是不建议直接排除恶性,支气管镜检查。
逍遥自在:坏死不明显,有炎性指标,还是不能排除结核,学习了。


3.小结

(1)病灶形态和分布:双肺散在点片影,可见树芽征。右肺下叶内基底段实性密度团块状影,底部坐落膈面、浅分叶,略呈圆锥形沿血管支气管束探及肺门,可疑“支气管爬行征”。奇食窝区分出子灶。病灶轻中度强化不均,斑片状低密度无强化区,疑坏死,未见钙化。右肺门及淋巴结肿大。
(2)支气管和血管:右肺支气管分支管壁弥漫性增厚,中间段支气管散在结节样凸起,右肺下叶内基底段支气管闭塞,但远端可疑复出。余病灶围绕支气管腔内远端无明显阻塞性不张。内部血管走形自然,提示包绕为主。 
(3)临床资料:老年男性,有呼吸道症状,血象增高,肿瘤指标正常。
  综上:病灶形态与肺段契合,血管穿行自如,更符合炎性病变,支气管腔内改变等,结核有待排除。存在支气管腔内改变,尤须支气管镜探查。
  支气管闭塞及坏死应想到肺鳞癌,但旁若无人的穿行血管让人疑惑,同样也较少见于破坏性较强的肺结核。病灶周边形态及强化特点等似乎不大支持腺癌。小细胞癌则似乎与肺门纵隔淋巴结肿大程度不相称。
  就病理而言,对存在结核不持异议,但短期内吸收太彻底,病灶主体应更多为普通炎性浸润。




讨论分析中涉及的征象





见往期推荐
●  【肺部影像征象精粹系列】支气管树爬行征详解
●  【肺部影像病理系列】支气管针孔征!
●  【肺部影像病理系列】支气管改变及"小花小草"等疾病谱延伸
      讨论病例分享
●    血管漂浮征,炎症?肿瘤?傻傻分不清楚
●  【每日晨读】 回眸细看---"墨西哥仙人掌"

END
编辑:刘青青
审核:张  慧  徐  晓
 


 



到顶部