【每日晨读】一眼锁定金葡君



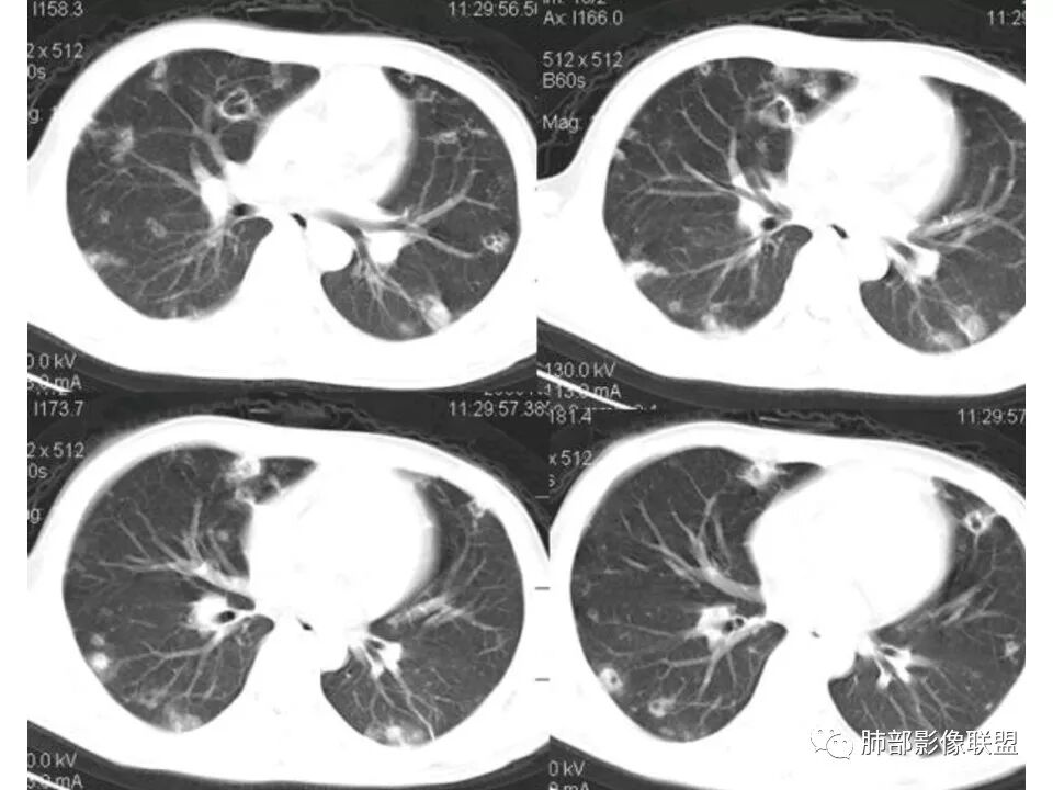
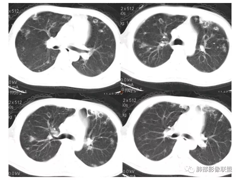
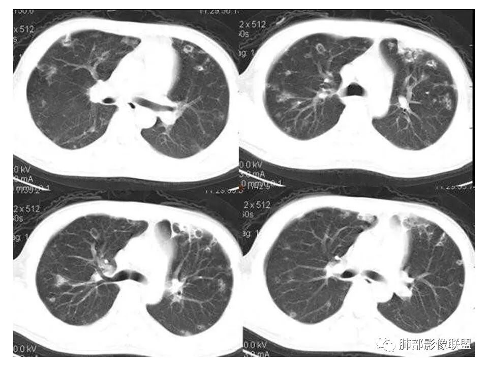
病例资料








微信群讨论内容
Yiren Sishui:
血源性感染性病变,金葡?肺克?肺克?
哞 :
考虑血管炎,胸膜下分布多发空洞病灶,周围有晕,与血管关系密切
甄德强:
随机分布囊腔,血道分布,金葡菌
RockJ-ason:
随机分布囊腔,发热,首先考虑金葡,血管炎鉴别
张帅:
双肺多发结节样病变以胸膜下为主,部分结节中心可见坏死,结节周围可见晕征,肉芽肿性血管炎?
THINKER:
青年急性起病,有中毒症状,病灶分布于胸膜下,与血管关系密切,考虑血源性,脓毒肺栓塞,液平不明显,常规曲霉丶金葡。如果有皮肤破损,更支持金葡,如挤痘丶透析
食客:
血源性病灶,金葡?肺克?
紫气东来:
年龄小临床症状随机分布,胸膜下为主,坏死,考虑,金葡,肉芽血管炎
张小兵:
随机分布囊腔,与支气管关系不密切,无树芽,无腺泡结节,提示血道来源,急性发病,首先考虑金葡,曲霉待排
阳光:
青年男性,急性起病,临床表现为发热、痰中带血,胸部CT提示胸膜下多发病灶,可见囊腔,优先考虑血播,病原体考虑金葡肺克可能,来源考虑皮肤软组织或肠道等可能。血管炎待排。
冯彩莲 日照市结防所:
青年男性,急性起病,双肺野靠近外带多发结节影,小空洞影,边界模糊,空洞似有内容物,无明显液平,胸膜下分布,考虑感染性疾病,考虑血管侵袭性曲霉,金葡待排。不知有没有血液系统疾病化疗史。
白沙:
考虑血源性感染〈金葡、肺克等),血管炎待排。
王秀仙:
双肺多发结节,以胸膜下为主,部分结节中心可见空洞,结节周围模糊,考虑肉芽肿性血管炎。
ZZ&TJL:
血源性分布,空腔内有内容物,血播,首先注意真菌,曲霉?毛霉?
张秀兰:
随机分布边界不清结节与肺气囊,胸膜下为主,血管性非非气道分布,年轻人,临床感染症状明显,描述的像急性起病,首先考虑炎性,金葡菌感染
崔刚:
血行分布,急性感染,金葡菌
烁烁妈:
青年男性,急性起病,发热,随机分布囊腔,首先考虑金葡,需与血管炎鉴别
丽:
双肺内及胸膜下多发结节及空洞,部分病变周围有晕,结合年龄及临床症状,首先考虑炎性病变,金葡菌可能大
红日东升:
青年男性,发热3天,双肺多发结节、空洞,部分壁薄,直径较小,心影增大。首先考虑IE→SPE(金葡)?鉴别GPA
崇军:
随机分布,边界不清结节与小空洞,胸膜下为主,血管来源,年轻人,临床感染症状明显,描述的像急性起病,首先考虑炎性,金葡菌感染
张玉:
急性起病,进展快,血道播散,金葡?
飞鹰行动:
血行分布为主,有囊,结节,感染性病变,金黄色葡萄球菌感染
Shelia:
双肺多发结节,主要分布于胸膜下及血管支气管束末端,未见明显树芽,考虑血播,部门病灶融合,大部分病灶内有空洞,部分空洞内似有分隔,周围有晕,部分胸膜下病灶有楔型影,会不会有小梗死,年轻男性,急性起病,进展快,还有咯血,考虑血播感染,可疑脓毒肺拴塞,高度怀疑金葡?血管炎带排
滴水海:
年轻患者,起病急,血播多发空洞,局部成簇,考虑金葡菌。
宇宙星空:
多发范围广大小及形态不一的囊状病灶,结合病史也考虑金谱菌感染
张延军:
双肺随机分布结节伴空洞,近端与血管相连,空洞内部分纤维间隔,临床发热三天病史,考虑GPA?金浦?转移?
冬瓜:
考虑脓毒性肺栓塞,鉴别血管炎
Coke with ice:
胸膜下分布较多,结节内空洞,常规考虑的就是金葡和曲霉,结合病史,先考虑金葡
南边:青年男性,急性起病,多发结节或囊腔——胸膜下分布结节,与支气管关系不密切,支气管壁不增厚,首选血道来源,不是气道来源

南边:
血道来源的:
1、感染性:金葡菌?克雷白杆菌?曲霉菌?
2、血管炎性:血管炎?
3、肿瘤:血管肉瘤?转移瘤?
南边:
与曲霉菌如何鉴别?病史?壁?张力?腔内间隔?晕?
曲霉不是血道播散,是侵袭到了血管,直接侵袭周围肺小动脉,引起肺梗死;金葡菌是血播的。
结果
(血源性)金葡菌肺炎(血培养金黄色葡萄菌)
关于金黄色葡萄球菌小知识
金黄色葡萄球菌:革兰阳性菌,涂片表现为成对的短链状四联球菌或簇状。金葡菌肺炎:是由金黄色葡萄球菌引起的急性化脓性肺部感染,常发生于免疫功能受损的病人。主要分为原发性(吸入性)金葡菌肺炎和继发性(血源性)金葡菌肺炎。血源性金葡菌肺炎:常继发于金葡菌败血症及脓毒血症,由细菌栓子经血液循环至肺而引起。多表现为肺外周和基底部分布为主的多发点片状影或类圆形结节影。菌栓引起多发性肺小动脉栓塞,导致双肺多发性化脓性炎症,进而组织坏死形成多发性肺脓肿,并可累及胸膜产生脓胸或脓气胸。诊断要点:    1.金黄色葡萄球菌引起3%的社区获得性肺炎及15%的  医院获得性肺炎    2.金黄色葡萄球菌肺炎的主要危险因素是静脉输液和ICU患者。    3.常见的影像学表现:    1)单侧(60%)或双侧(40%)斑片状实变影(支气管肺炎)    2)空洞性结节(直径4~10mm)
    3)CT可见小叶中心结节、树芽征及楔形变(脓毒性栓塞)
    4)肺气囊形成
    5 ) 脓肿形成
    6 ) 胸腔积液
少见的影像学特征:弥漫性肺实变(表示支气管肺炎融合)  
部分内容摘自:1.张嵩主编 《肺部疾病临床与影像解析》
2. Nestor L Müller C.Isabela.Silva主编《胸部影像学》
                   影像经验谈
1.金黄色葡萄球菌肺炎是典型的肺部化脓性感染之一。临床中毒症状明显,常寒颤高热起病,脓性痰、血丝痰等。
换句话说,一般情况较好,慢性起病,症状轻微的一般不会是它。
2.常有临床线索,皮肤脓肿、伤口感染、蜂窝织炎、化脓性骨髓炎、严重病毒感染后等等。
3.病情变化快,影像进展迅速,尤其是血播患者。易形成脓肿。
4.影像典型血行播散的特点,脓毒栓子,结节影,片影等。
5.短期内(如一两天内)迅速出现的有张力的菲薄气囊影,或多发成串成簇分布的,尤具特征性!这也明显有别于肺炎克雷伯杆菌肺炎及曲霉病。
如病灶迁延,厚壁脓肿,则影像上与后者不易区分。
6.短期内出现脓胸也是其特点之一。
整理:王   萍
审核:冯连彩  徐   晓
病例提供:邬涌  黄石二院CT室
到顶部