【每日晨读】鳞癌?神经内分泌肿瘤?傻傻分不清



病例资料


   

   

   

   

   

   

   

   

   

   

   

精彩讨论

没意见:
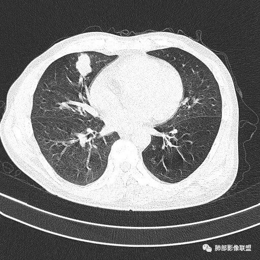
老年男性因尿路结石?感染查及右肺內支胸膜下结节,辅检NSE、角蛋白异常,结节近端支气管疑似截断,长轴沿支气管生长,表面光滑圆盾,分叶浅,周围无晕,葫芦征指状凸起,轻强化,考虑神经内分泌肿瘤、小细胞癌,鉴别类癌,强化不支持;错构,未见脂肪钙化,不支持
凝睦:
右肺中叶类圆形影,边界清,密度低,无强化,考虑肺囊肿。
小微:
右肺中叶类圆形肿块影,浅分叶,边界清,密度低,无强化,考虑肺囊肿。但是宽基底贴于叶间裂,要鉴别胸膜的肿瘤。
笨丫头:
右肺肿块,浅分叶,边界清,有轻度强化,NSE明显升高,考虑小细胞肺癌。
俞丽:
右肺中叶类圆形肿块影,浅分叶,边界清,密度低,张力中等,无明显强化,考虑肺囊肿可能性大
果哣.:
右肺一高密度影结节影,边缘光滑,密度均匀,无强化,无毛刺,考虑良性病变(肿瘤标记高有点纠结)鉴别小细胞
薏米:
右肺上叶结节影,边界清,有分叶,无毛刺,无强化,结合患者尿常规结果,肿瘤标志物高,不除外孤立性转移瘤,鉴别类癌
Lotus:
晨读考虑神经内分泌肿瘤,不典型类癌可能性大;鉴别支气管囊肿
玫:
右肺中叶类圆形结节影,边界清晰,内密度均匀,病灶边缘轻度强化,结合肿瘤标志物增高,考虑类癌可能。
张帅:
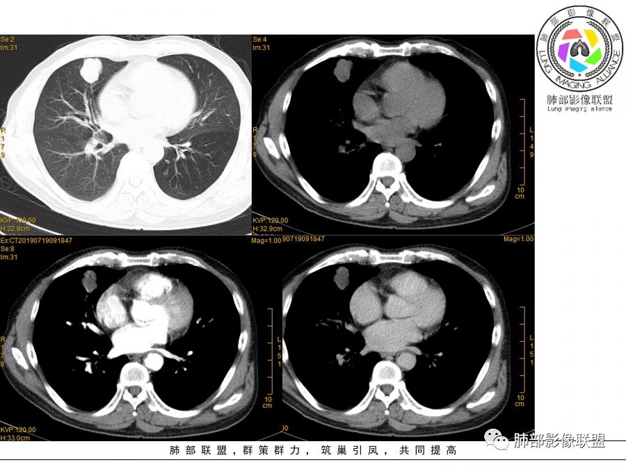
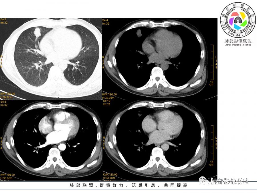
患者中年男性,因因腰腹不适及排尿困难就诊。血肿瘤标记物增高胸CT:右肺中叶内侧段实性病变,远端支气管阻塞,病灶边缘光滑,可见分叶  毛刺 胸膜牵拉,病灶CT低,增强强化不明显,内可见血管造影。恶性肿瘤坏死?,腺?,囊肿病变?
波波:
右肺肿块,浅分叶,边界清,有轻度强化,内见血管,常规考虑良性病变,但结合NSE明显升高,首先考虑小细胞肺癌可能性大。
一切∮随缘:
右肺类圆形肿块,边缘清楚光滑,边缘膨隆,近端似有支气管截断,结节边缘尖状物,考虑小细胞癌,鉴别PSP
三生石上:
右肺肿块,边界清,有轻度强化,常规考虑良性病变,首先考虑结核
王江涛:
老年男性,泌尿系感染就诊,肺内低密度轻度强化病灶,轮廓欠光整,NSE增高,考虑神经内分泌肿瘤可能性大
飞鹰行动:
病灶形态规则,边界清晰,光滑,增强乏血供强化,考虑神经内分泌肿瘤,内部密度均匀,偏向典型类癌。
亚东:
右肺中叶类圆形肿块影,浅分叶,边界清,囊性密度,无明显强化,内部似乎有支血管,带尾巴NSE高。强化不明显,排除类癌,考虑小细胞,鉴别结核。
看图说话:
右肺类圆形肿块,边缘光滑膨隆,有胸膜牵拉,似有支气管截断,略强化,考虑小细胞癌,鉴别神经内分泌。
雪狐7305:
右中叶结节,浅分叶,边界光滑,有轻度强化,NSE升高,首先考虑神经内分泌癌可能,小细胞癌?
wonderful (唐大川 徐州新沂):
NSE确实比较高了,病灶边缘清晰,内部可见血管,点测ct值无强化,但肉眼可见肿瘤外周还是存在强化,考虑神经内分泌癌
水晶石头:
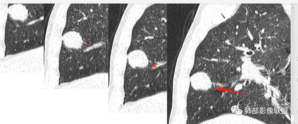
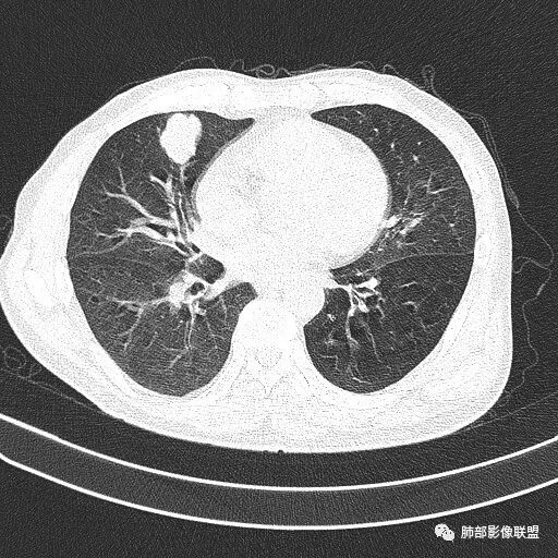
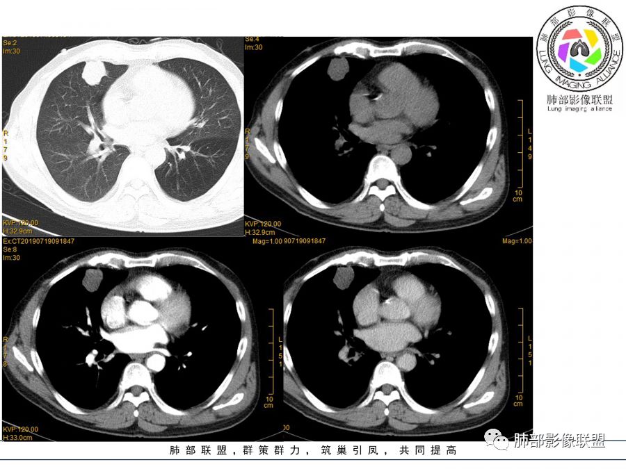
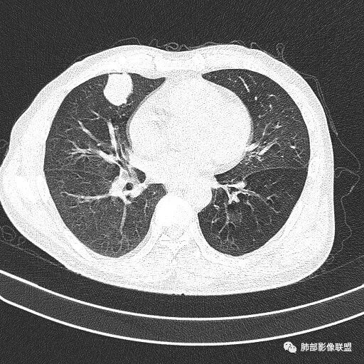
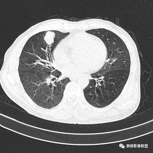
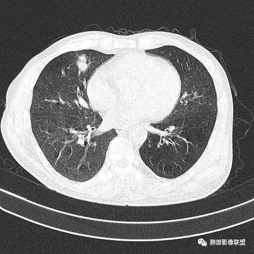
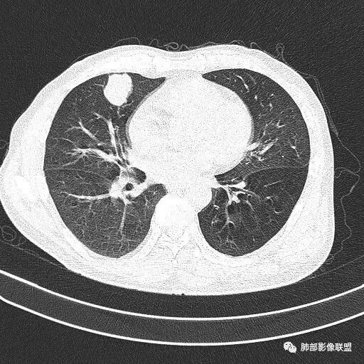
晨读病例  患者老年男性,因腰腹部疼痛3周,排尿困难1周入院。查尿常规及C反应蛋白提示泌尿系感染。肿瘤标志物NSE、细胞角蛋白19片断稍升高。胸部CT:右肺中叶内侧段类圆形肿块影,浅分叶,部分层面见深分叶,胸膜牵拉及支气管截断征象,边界清,密度低,无强化,且垮叶裂。综合考虑恶性病变,类癌及小细胞可能性大,鉴别囊肿等良性病变肺囊肿。
风往北吹:
一米阳光:
右肺中叶肿物,边缘光滑,呈浅分叶,周围见磨玻璃影,末端支气管截断,增强无明显强化,定性恶性,不典型类癌
南边分析

南边:
实性还是GGO?      实性
边界清楚、光滑?     光滑清楚,浅分叶,无明显毛刺
与支气管关系如何?   能看清楚吗


 
南边:
如果这时候我建议补充下面的层面,最好薄层
看起来堵了

南边: 
按这个就是堵了
我们一般是找肺动脉,伴行支气管
堵了大方向不支持良性肿瘤
恶性?炎性?怎么鉴别?

目测这里还是有强化,其余地方强化幅度不是很明显
浅分叶
边缘膨隆
常规会考虑恶性
细胞类型我觉得还是让病理去定吧
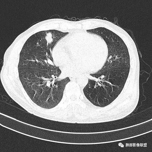
薇:各位老师,下面是该病例的横断位薄层













结果

中低分化鳞癌

病例点评
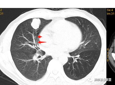
1.右肺中叶孤立不规则块影,浅分叶,未见液化或钙化,未见毛刺,未见脐凹,未见明显胸膜牵拉。
2.近肺门侧隐约见支气管截止。
3.外侧可见血管进入,病灶局部轻度强化。
上述均不符合光滑类圆形的支气管肺囊肿,也不符合典型的类癌,切不可先入为主。也不符合转移瘤。
4.肺门纵隔未见增大淋巴结。如此体量的肺块,没有增大淋巴结,不符合小细胞肺癌的生物学行为。
5.未见卫星灶,未见支气管增厚,结核也缺少支持点。
综上,应当鉴别的主要为肺鳞癌及结核灶
编辑:李运健
审核:徐  晓


 
到顶部