【每日晨读】“冰山”下的来客—气管神经鞘瘤



PEACEFUL  TIME
  沉静岁月,淡忘流年
病例资料
◆ ◆ ◆























人生总是那么恰好,每个生命里的遇见,都是为了给你一些,也带走一些。有些能挽留的,自然是你的;而那些命中注定的无缘,或许也只是差那么一点点。
◆ ◆ ◆
精彩讨论

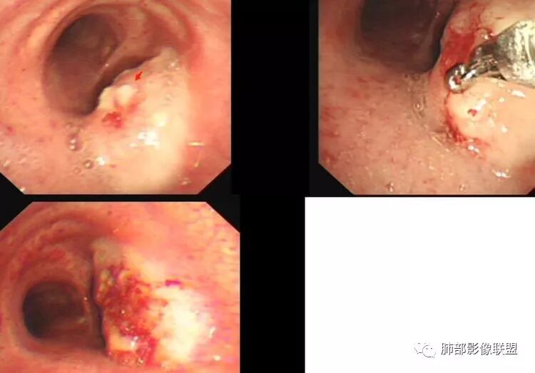
THINKER:隆突上气管右侧壁肿物,镜下表面不光滑,有苔,C下似有冰山征,考虑类癌
俞丽:气管腔右侧壁增厚呈丘状隆起并结节状向腔内突出,密度均匀,边缘光整,首先考虑乳头状瘤,腺样囊腺癌、鳞癌待排
常志强:老年男性,气管右侧壁肿物,宽基底,边界清晰,考虑恶性肿瘤,鳞癌可能,有增强就更好了
王开金江津中心医院呼吸科:40岁以上男性,纵隔新生物,边界光滑,但侵入气管,气管镜下见坏死,出血,血供丰富,考虑恶性,鳞?
穿越气海的风:气管内肿物,气管镜见肿物表面凹凸不平,考虑气管鳞癌
王江涛:气管占位,乳头状瘤、平滑肌瘤、纤维瘤、肌上皮瘤、血管球瘤、错构瘤、类癌、腺样囊性癌、鳞癌、粘液表皮癌,需要增强评价血供,然后直接活检,本例患者,沿管壁宽基低分布,密度尚均,气管镜下已突破黏膜,考虑恶性肿瘤病变
张帅:中年男性,体检发现,病变位于气管下1/3,以管腔内生长为主,向管壁、管腔外浸润。气管镜:气管下1/3可见新生物,表面呈结节状,可见少量白色坏死物。粘膜充血水肿不明显。病理怀疑病灶内有纤维组织,细胞成梭形(具体不会)。此区域以鳞癌及腺样囊性癌多见,结合病理基本可排除此诊断
雪狐7305:中年男性,体检发现,气管下段肿瘤,向腔内生长,向管壁、管腔外浸润。气管镜见气管下段新生物,表面少量坏死物。常规会考虑鳞癌,病理未见典型神经内分泌性肿瘤细胞和腺癌细胞,病理不熟悉啊,怀疑病灶内有纤维组织,似乎有鳞状上皮细胞,不典型增生?鳞癌?
大雄:气管最常见的恶性是腺样囊性癌(上2/3长轴为纵向)和鳞癌(下 1/3长轴为横向),最常见的良性为鳞状细胞乳头状瘤;其次是类癌和粘表,这些占了气管肿瘤的90%;剩下不常见的就是平滑肌瘤,纤维瘤,错构瘤,血管球瘤......
傅昌瑜:55岁男性,右侧气管下段偏前侧后壁见软组织密度结节(无增强,但目测其密度与肌肉差不多,且镜下见为肿物),考虑为气管肿瘤;定性:结节基底部大于其最大横径(宽基底),结节与气管内壁的夹角呈钝角,无蒂,结节周围气管壁增厚僵硬,向纵隔侵犯,故考虑为恶性。气管内恶性肿瘤常见有鳞状细胞癌(最常见)、腺样囊性癌、粘液表皮样癌、类癌。年轻女性类癌相对多见,腺样囊性癌、粘液表皮样癌位置可能与腺体分布有关,多位于气管后方或侧后方。具体到这个病人考虑:气管鳞状细胞癌
一米阳光:中年男性,气管右侧壁肿块,侵犯气管软骨,向外生长,气管变形。气管镜下凹凸不平,有出血。考虑恶性占位,鳞癌。鉴别类癌,粘表。建议增强
Coke with ice:体检发现,软组织密度,边缘规整,病灶主体沿气管外缘走行,大部位于管腔外,局部向腔内突入,邻近气管软骨未见明显破坏,考虑良性病变
生来征服-浪子:患者中年,无任何临床症状,气管右侧壁软组织密度影,宽基底位于气管壁,向腔内腔外生长,形态规则,首先考虑良性或者低度恶性肿瘤。无任何阻塞性表现,不考虑鳞癌
飞鹰行动:可惜晨读病例没有增强,中老年人,气管右侧软组织肿块,宽基底,向内外生长,气管外脂肪间隙清晰,肿块恶性程度不高,类癌?其次分化较好的鳞癌。鉴别浆细胞性肉芽肿,后者位于气管腔内多见,部分内有钙化
丽:中年男性,体检发现,气管腔软组织密度,冠状位重建呈宽基地相连,向腔内外生长,边界清晰,支气管镜下见表面欠光滑,没有增强,倾向恶性
马宁强:病理图似乎支持良性
浪迹天涯:体检发现,是不是提示没有症状,病灶占气管那么多,是不是说明病灶长的慢,整个病灶边缘比较光滑,与邻近气管分界清楚,考虑良性病变或者是低度恶性
毛勤香:气管右侧壁占位,向腔内外生长,宽基底,纵膈脂肪间隙清晰,中老年男性,体检发现,气管镜下表面污秽,倾向低度恶性,但病理图不像鳞癌,感觉像良性多,不会看,有点纠结,等病理吧
宇宙星空:支持良性,考虑平滑肌瘤,病灶膨隆,凸向管腔,密度均匀,边界清楚
管洪林:老年男性,气管内肿物,跨支气管内外生长,边缘光滑,临近脂肪间隙尚清晰,首先考虑良性占位,鉴别低度恶性,类癌?



一帘烟雨,半窗幽思,轻扬的新雨,滴滴落在旧日的青瓦楼
◆ ◆ ◆

南边征象分析

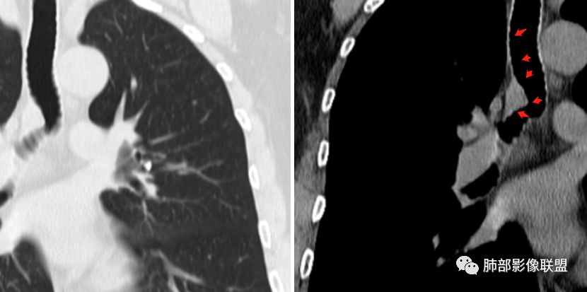
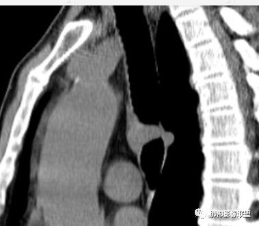
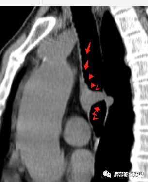
病灶跨气管壁内外,主体在外;边界清,密度均匀

明显看到气管壁软骨受压内移

局部是撑开的,就是说软骨不是破坏

表面隆起,有小斑点
无症状;倾向于良性,平滑肌瘤?神经源性肿瘤?不除外其他



岁月在花瓣上开满相思,你不来,我怎能落去。走在季节的转角,只想润一只素笔,将曾经路过的山高水长,在红尘醉心的柔软里,抛下一笺文字,漫过岁月的枝头,摇曳你许我的安详。

◆ ◆ ◆
结果及分析

结果:气管下端隆突右侧壁神经鞘瘤

气管壁:C性软骨构成的前壁和侧壁
              平滑肌和结缔组织构成膜性后壁
气管分层:由内向外分别是粘膜层、粘膜下层、(软骨和肌肉)、外膜层
软骨之间和后面的膜层都有平滑肌

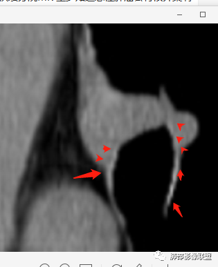
南边分析:针对本例,病灶跨气管壁内外生长,常规跨内外的有:恶性肿瘤为主,其次就是神经源性、平滑肌瘤;常规的思维:跨内外就要看结构的变化气管的优势在于软骨相对密度高,而且成C型
我们如何分析这个病例?冠状位:软骨密度稍高;病灶区软骨部分区域不连续,外围连续,提示病灶推移为主,不是破坏为主;如果破坏,应该这些软骨显示不清,移位不明显


病灶从软骨见推移开,跨内外,因此定在良性。恶性是侵犯,破坏为主,如果破坏,应该这些软骨显示不清,移位不明显,不是推移为主这例病变定在良性,我们就要考虑:1、软骨之间的平滑肌来源;2、神经源性
这就是大概思路
wonderful:平滑肌来源通过解剖图可以理解 神经源咋理解?
南边:神经无处不在,跨内外是神经的特点
杨泽锋:@南边 既然是推移我觉得不能用跨内外来形容
南边:推移是推移,也有跨
郭医生:@南边 南大,软骨是完整的它怎么跨到外面的?从c型缺口处?
南边:

南边:高密度软骨在这两点上停了

尘缘:这个地方可以看出是推移?

南边:

南边:挤过去了,说明是从软骨间过去的
管洪林:突破软骨?
杨泽锋:明白了,推移是本质、跨是现象,要向南大学习透过现象看本质的能力
Shelia:气管软骨不是气管最外层的结构嘛,如果软骨向腔内突出,说明病灶应该是气管软骨外面的嘛?
南边:

尘缘:@Shelia,部分是向前推,部分是向后推的。这个地方应该还有向后推的;肿物是从向前推与向后推这个间隙跨软骨的。

南边:需要用连续的窄窗观察。



病例小结      气管神经鞘瘤属于罕见的气管良性肿瘤,一般气管良性肿瘤或腔内或腔外生长的结节样改变,恶性肿瘤呈腔内外生长,但本例肿块向腔外生长,呈“冰山样改变”,即肿瘤的腔内部分较小而腔外部分较大,无周围组织侵犯。因此肿瘤腔内外生成不能作为鉴别气管良恶性肿块的绝对依据。        因此冠(矢)状位多平面观察、软骨是否破坏、气管壁有无增厚等细节观察,对于鉴别气管肿块良恶性有重要的参考性。 
说在后面的话:
1.气管隆凸上右前壁不规则结节影,部分突入腔内,南边老师观察有推挤软骨环“破土而出”的形态特征。注意没有沿气管粘膜表面生长蔓延的生物学行为。
2.影像学病灶占据腔内外,但病灶边缘十分清楚。这点倾向良性。
3.男性气管内肿瘤以发生于粘膜上皮的鳞癌最为常见,本例没有软骨破坏,病灶没有沿气管粘膜表面生长蔓延不支持。
其次为腺样囊性癌。其他还有粘液表皮样癌、类癌等。
注意老年女性腺样囊性癌、粘液表皮样癌多见,鳞癌非常少见。
4.良性肿瘤少见,如乳头状瘤、平滑肌瘤,以及罕见的纤维瘤、血管球瘤、错构瘤、软骨肿瘤等等。
5.可惜本例没有增强扫描。神经鞘瘤实为罕见

编辑:李建丽
审核:冯连彩  徐   晓



  
到顶部