【每日晨读】看我“七十二变”—肺转移瘤



四季流转,春华秋实
一日又一日的收获,一岁有一岁的韵味
余生,愿我们都能活得年轻,活得漂亮
2019.10.10晨读
病例资料


















































群内讨论
甄德强:
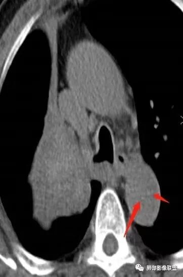
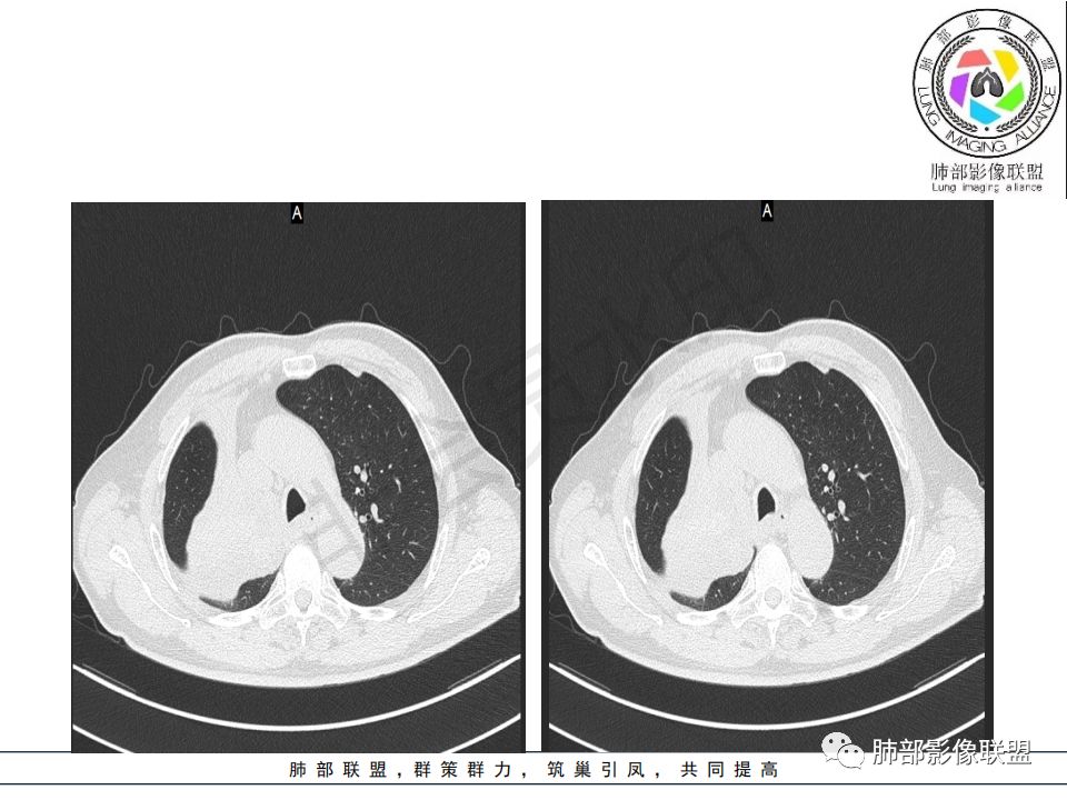
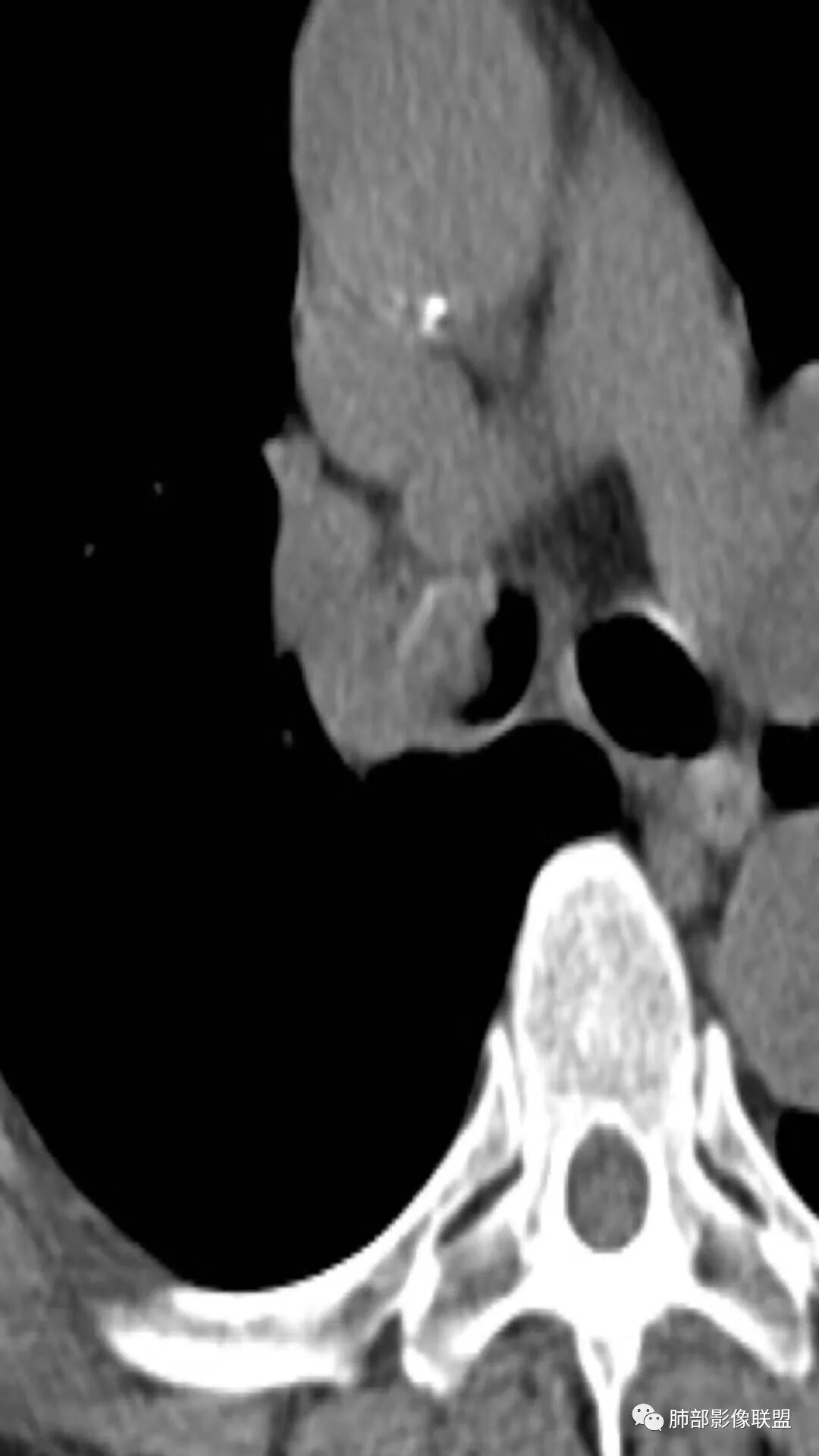
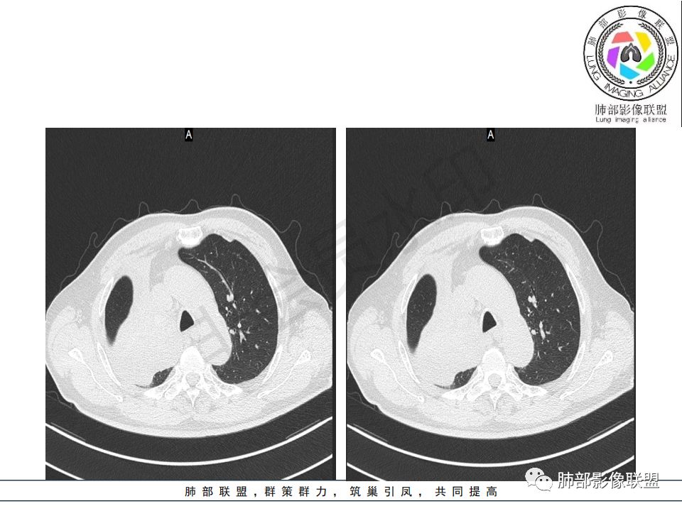
老年男性,右肺上叶尖段支气管截断,右肺尖段肺不张,病灶内见细沙粒样钙化,附近见多发结节影,一元论,考虑鳞癌并肺内转移。
小微:
右肺主支气管有软组织肿块,向腔内外生长,右肺上叶肺不张,边缘光滑,增强扫描不均匀强化。考虑恶性肿瘤,鳞癌可能。
德芙~云味:
晨读,右肺主支气管有阻塞,腔内.腔外都见软组织影,右肺上叶不张,肿块内部密度不均匀,是不是有坏死影,老年男性,考虑恶性~鳞癌
王开金江津中心医院呼吸科:
老年男性,干咳,cy211升高,右肺新生物,腔内外均受累,密度不均,伴阻塞性不张,考虑麟癌。
我心飞翔:
老年男性,胃癌病史,cyfra21-1高,右肺上叶不张,支气管腔内可见软组织阻塞,病灶内增强扫描有强化,考虑鳞癌。
紫气东来:
胃癌病史,右上叶肺不张并软组织阻塞,向右气管生长,强化,考虑转移,鉴别鳞癌。
杨泽锋:
晨读病例,老年男性,右肺主支气管内软组织影伴右肺上叶不张,考虑鳞癌可能大,有胃癌病史需与转移瘤鉴别
幸福一半多多:
右肺主支气管内外软组织影,支气管变窄截断,右肺上叶成软组织密度,其内见细沙样钙化,周围看见小结节,右肺门看见一淋巴结稍大,增强不均匀强化,胃癌病史,考虑:转移,或原发肺恶性鳞癌。
小飞:
老年男性,右肺主支气管有一软组织肿块影,至右肺上叶支气管截断,右肺上叶不张。考虑鳞癌,鉴别胃癌转移!
岁月:
病史:男.77岁,咳嗽1月;干咳,少许白痰,无发热,2013胃癌术后,角蛋白24.65(0-3.07),SCC和proGRP不高;
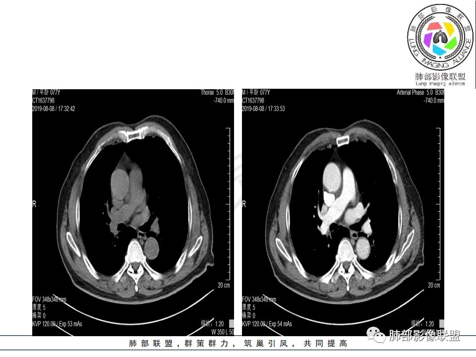
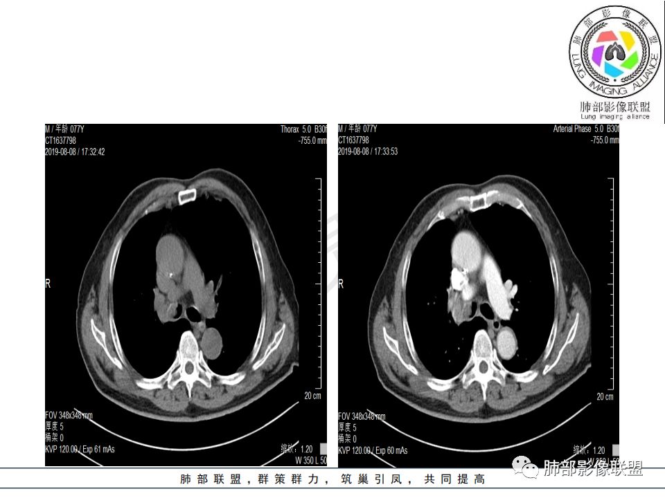
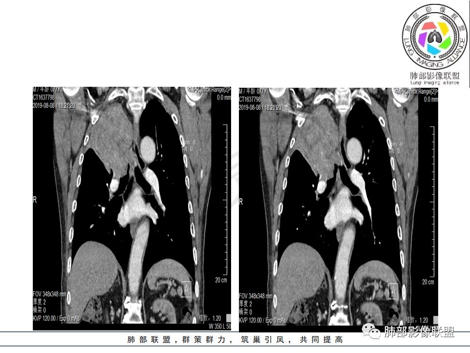
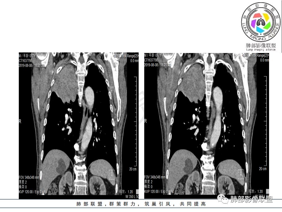
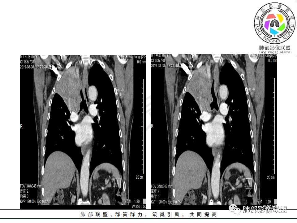
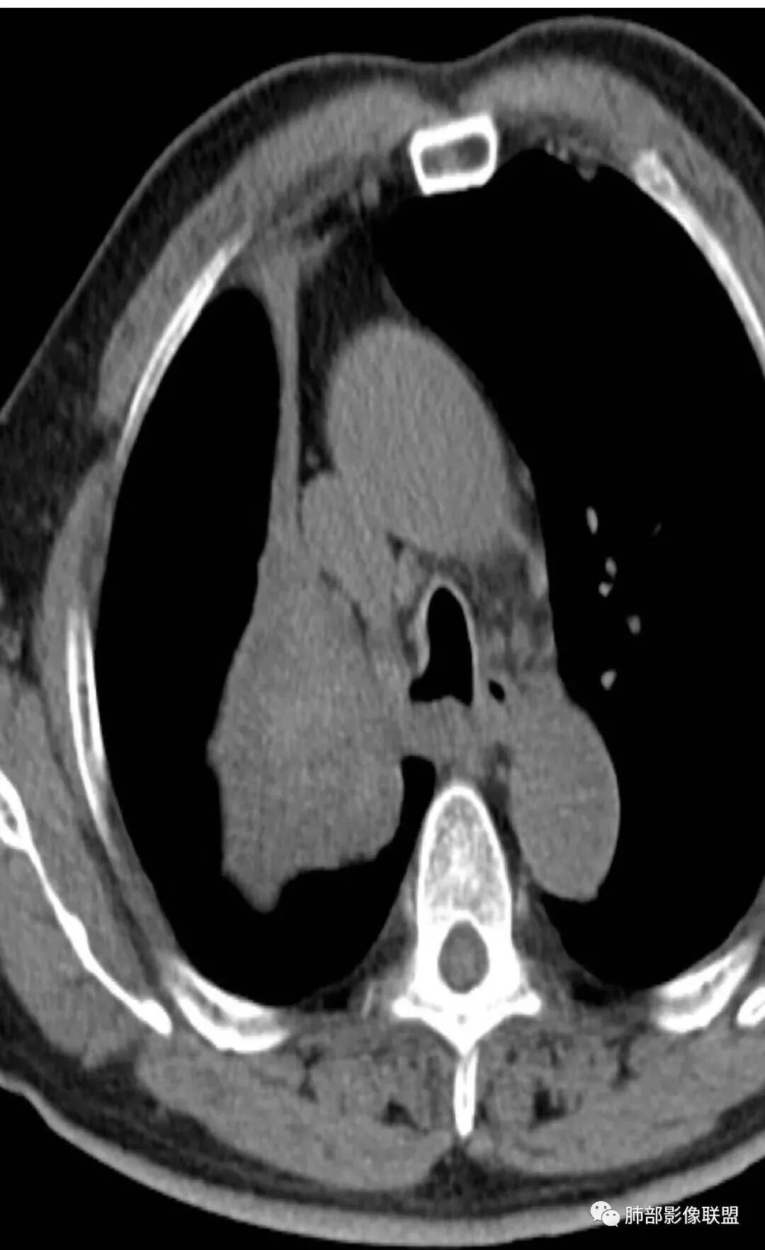
影像:影像右侧大支气管阻塞,临床没有症状或很轻微,要想到胃腺癌转移;胸壁代偿好,透亮度稍低不明显,慢性过程;34.8-52.5HU,主病灶支气管前壁另有1结节,都做成增强两期了,动脉期较平扫有强化;
诊断:多发,转移,无淋巴结及胸腔积液;
鉴别:原发鳞癌。
张帅:
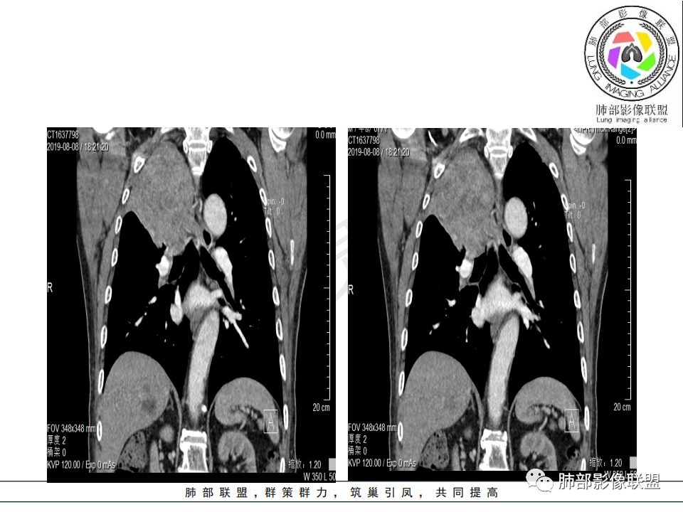
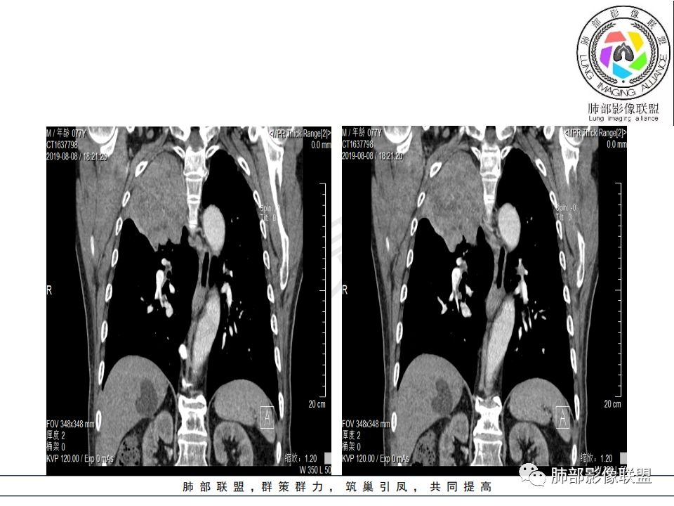
晨读:患者老年男性,以咳嗽一月就诊,少量白痰,胸CT:纵隔右移,右肺体积缩小,气管下段管壁可见结节样改变,气管软骨变形,气管下段及右主支气管可见新生物向管壁浸润,并向管腔外生长,右上肺肺不张,但不张边缘可见病灶呈膨胀性生长,可见分叶,增强后强化明显。考虑:肺部恶性病变(鳞癌?)
崇军:
又是一个支气管腔内占位,按常规,右肺上叶支气管占位,突入腔内,上叶不张,恶性没问题,鳞癌可能,但这么大,坏死少,是个疑点
一切∮随缘:
晨读病例:
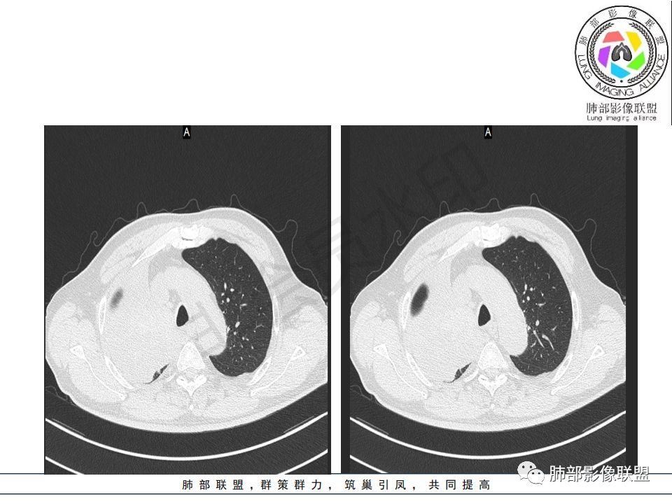
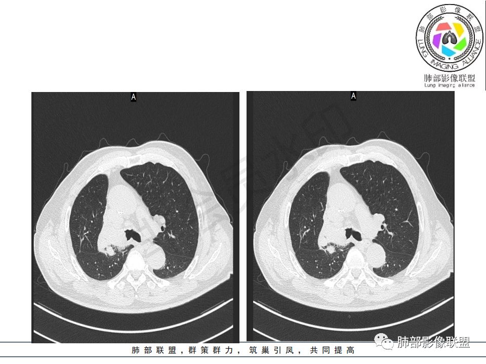
     右肺上叶肿块,边缘光滑,略膨隆,近段支气管堵塞,平扫密度均匀,增强后不均匀强化,其内可见不规则血管和坏死,纵隔淋巴结肿大,老年男性,无感染性病史,综合考虑恶性肿瘤(鳞癌,腺癌),鉴别:OP(一般下叶多见)
Yiren  Sishui(厶水伊人):
如果鳞癌这么大,破坏力应该很大吧,肋骨会不会受累?当然这例气管壁受累,截断,远端阻塞性肺不张,还是符合中央型肺癌,特别是鳞癌的
一米阳光:
晨读病例:
老年男性,右肺气管内软组织影,支气管变窄截断,右肺上叶阻塞性肺不张,内见细点状钙化,周围看见小结节,增强不均匀强化,考虑:原发肺恶性鳞癌。胃癌病史,转移不出外。鉴别神经内分泌癌,类癌。
流心明智:
晨读病例:老年男性,症状轻,右侧胸廓略塌陷,右肺主支气管内外软组织影,支气管变窄截断,右肺上叶不张,其内见细砂样钙化,周围看见小结节,右肺门看见一淋巴结稍大,增强不均匀强化,胃癌病史,常规考虑:转移,或原发肺恶性鳞癌。鉴别支气管TB?
尘缘:
从强化情况和冠状位看主要还是从外向内的一个肿块,有不张,但不张范围不大,近端支气管堵塞,考虑腺癌或类癌(原发或转移都可能),鉴别鳞癌。
南边:
支持恶性
李志国:
恶性应该没问题,有胃ca病史是不是还是要首先考虑转移
Coke with ice:

Coke with ice:
这一部分软骨还存在。
总感觉鳞癌的话坏死少一些,类癌的强化低了一些。

Coke with ice:
这里面是少许的泥沙样钙化吗?密度有些高
宇宙星空:
降主动脉内也有啊

Coke with ice:
降主动脉的是噪声。病变内我总看着有小斑片的略高密度
长沟流月去无声:
转移啥样都可以有
尘缘:
病理主要是通过CK7,CK8(支持肺原发),CK20消化道腺癌特异标志物来鉴别
@曹坤,河北保定清苑区人民医院ct室 肿块大,阻塞和不张范围小,强化这么大肿块没有明显坏死,鳞癌这样相对少见了
生来征服~浪子:
@达州红十字医院 尹发友 尹老师,你解读这个病灶是外朝内,那支气管内肿块怎么解释?长进去的?
长沟流月去无声:
先转移到支气管壁上淋巴管
然后突破粘膜
本质上还是血行淋巴转移
尘缘:
@刘鋆(福州长乐区医院)影像科 转移啊,腔外都在生长,部分通过支气管壁进入腔内
@刘鋆(福州长乐区医院)影像科 先转移生长到外面,然后进入腔内生长,也是外朝内一种,与平时那种外朝内生长逐渐侵犯近端气管没有太多区别,只不过这个是转移而已。
病理结果:腺癌,考虑来源消化道

说在后面的话:
1.右肺上叶较大块影,密度不均,轻度强化并见低密度区,所属支气管截断并腔内突入,是符合肺鳞癌的影像学特征和生物学行为的。
2.胃癌常会首先胃旁淋巴结、腹主动脉淋巴结转移,肝脏血行转移,以及双肺多发转移,本例孤立右肺上叶病灶巨大,多有不符。
3.胃癌多血供,患者肺内病灶轻度强化。
4.内镜取材不足的可能性是存在的。
相关链接:听黄勇老师说---浆细胞瘤、淋巴瘤、转移瘤如何鉴别
病理影像学系列讲座第八讲—肺内淋巴结、SFT、淋巴上皮瘤样癌和转移性癌
编辑:谭欣欣
审核:冯连彩  徐   晓

到顶部