【每日晨读】凶相毕露的肺结节,原来是她?




新一天,新一月。若是美好,叫做精彩;若是糟糕,叫做经历。人生没有折返的通道,只有努力才会改变,只要努力就会改变。
每日晨读
2019.09.17晨读

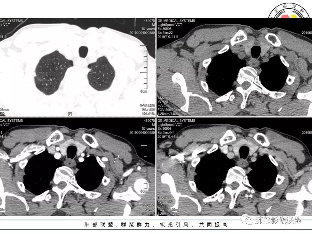
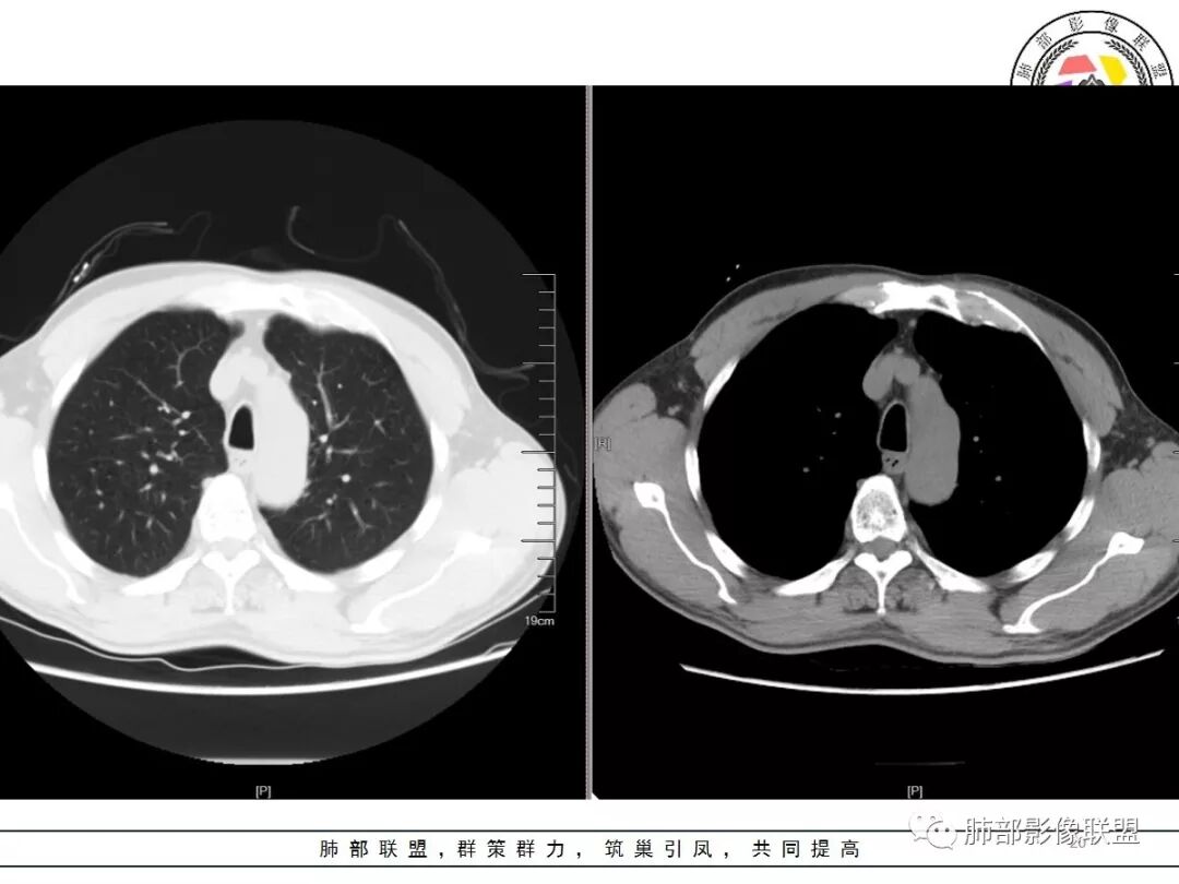
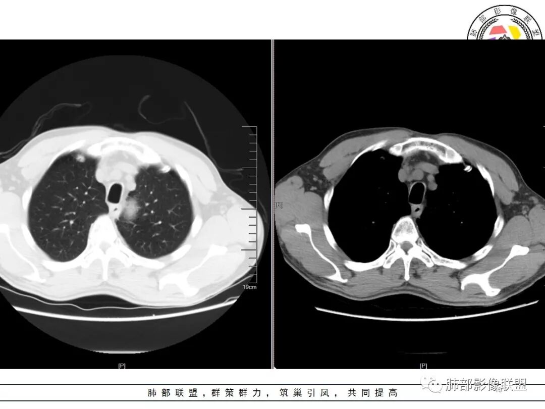
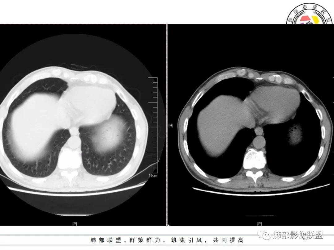
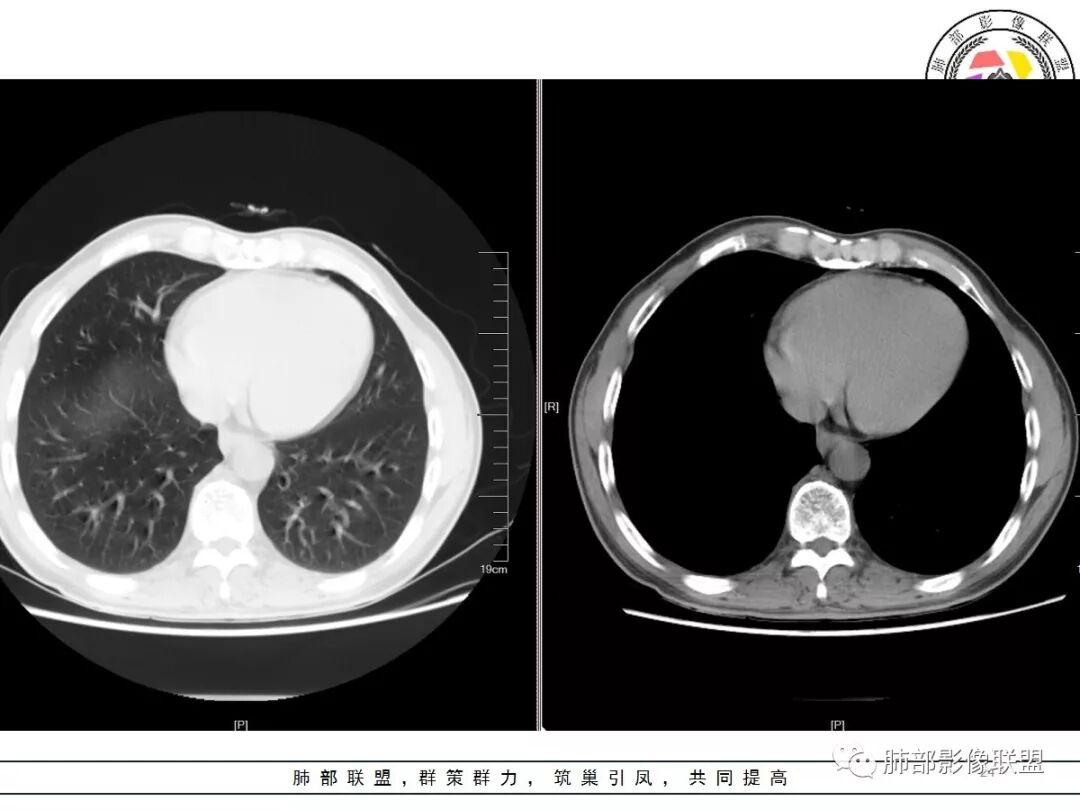
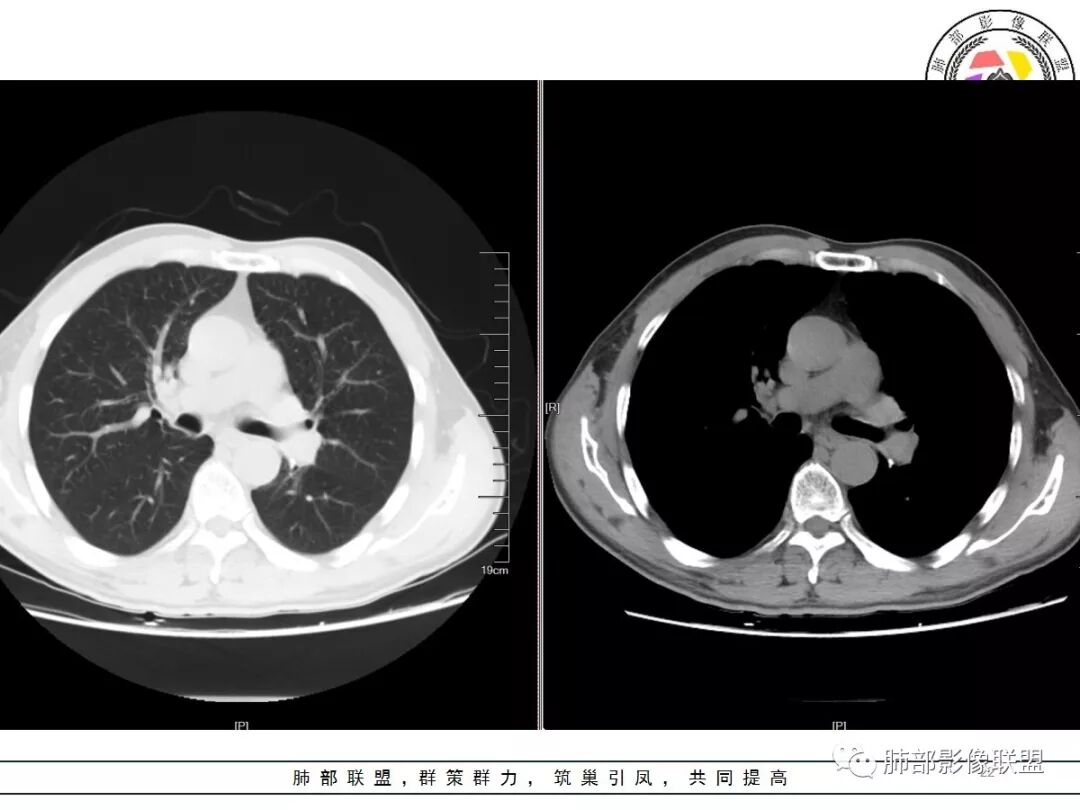
男,57岁,因“体检发现右上肺占位”入院。凝血常规、血常规、肾功能等均未见明显异常。




















CT值:

平扫  18                          动脉期  28                      静脉期 41
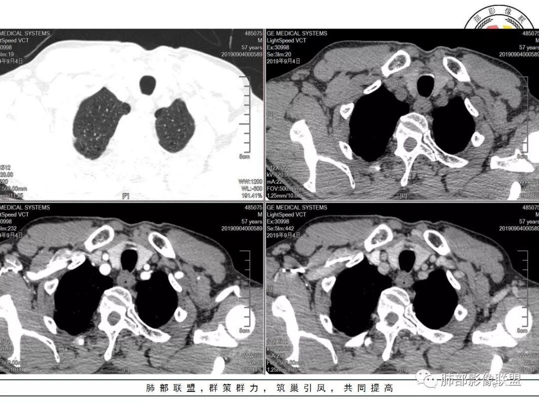
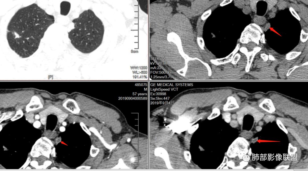
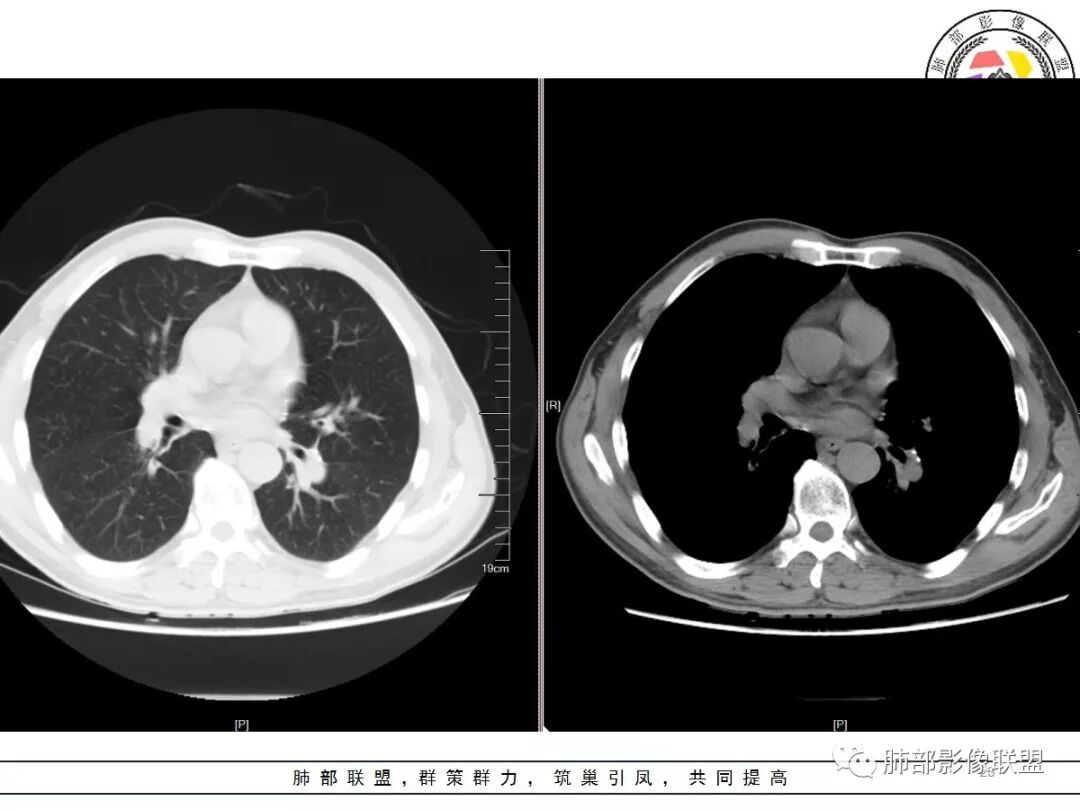
重建



讨论

甄德强:
双肺尖斑片状影及结节影,边缘平直为主,边缘可见胸膜牵拉,考虑结核,鉴别诊断腺癌,本病特点,多灶性,多态性,胸膜牵拉线纤细。
曹志勇:
右上肺病灶,边缘平直,有卫星灶,强化不明显,考虑结核可能大
马春平(张家港市一院):
结核。右上肺结节密度均匀轻度强化,结节边缘清晰有小分叶,周围细长软毛刺,有卫星灶。左上肺近纵隔类似片状结节。
杨泽锋:
考虑肺结核
理由:两肺尖都有小结节影(多发)
右肺尖结节边缘可见卫星灶,结节边缘平直凹陷、长毛刺,外观上有炎性结节的特点
增强扫描右肺尖结节强化不明确,但左肺尖后段结节出现了典型的环形强化
李:
结节有分叶,膨隆,考虑腺癌
小微:
右肺结节影,边缘平直,有长索条与胸膜相连,左肺尖有条片状密度增高影,边缘清晰。左肺门斑点状钙化。考虑结核,老年人右肺上叶警惕瘢痕癌,建议复查。
看图说话:
右肺上叶结节灶,边缘膨隆,有毛刺,胸膜牵拉,轻度强化,左肺上叶结节灶环形强化,左肺考虑结核,右肺结节灶,不排除疤痕癌。
Zhuweichao:
两肺上叶结节影,右肺结节边缘清晰,平直,有胸模牵拉,有卫星灶,强化不明显,左肺结节周边强化,两肺门淋巴结肿大,整体考虑结核。
王秀仙:
右肺上叶结节,边缘部分膨隆,毛刺,内部有强化增粗血管影,边缘有空泡,胸膜有牵拉,考虑腺癌。鉴别结核。
晨:
考虑炎性病变
理由:两肺上叶小结节影(多发)
右肺尖结节边缘可见分叶,结节边缘有毛刺,但左肺尖后段结节出现了典型的环形强化,考虑炎性病变,右上肺结节鉴别腺癌。还有患者食管上段壁明显增厚。
采莲:
中年男性,查体发现,右肺肺上叶结节影,边缘平直收缩,周围有软毛刺,有胸膜牵拉,左肺上叶靠近纵隔不规则结节影,边缘平直内收,内有坏死。考虑良性病变可能性大,肺结核。鉴别肺癌合并结核。
王江涛:
中老年男性,体检发现双肺尖结节,边缘长索条,邻近胸膜粘连,病灶收缩力不太强,右肺尖病变周围少许卫星灶,增强后环形强化表现,首先考虑结核,治疗后复查
傅昌瑜:
两上肺(右尖左尖后)都有小结节影,右肺尖结节边缘可见卫星灶,结节边缘平直凹陷、长毛刺,部分膨隆,增强扫描右肺尖结节强化不明确;左肺尖后段结节边缘平直凹陷,增强见环形强化。考虑结核可能性大,右上肺注意鉴别腺癌。
毛勤香:
右上肺结节影,有平直收缩有膨隆,有长短毛刺,胸膜牵拉,增强扫描强化不明显或轻度强化,左上肺少许条索斑片状影,强化无特殊,纵隔肺门淋巴结钙化,肺气肿,肺大泡背景,老年男性,首先一元化都考虑结核,右肺上叶结节周围血管稍增粗,需要警惕合并肺癌。
岁月:
男,57岁;图像质量好,1.25*10层=12.5mm,两个病灶,形态奇特,毛刺长,强化静脉期最高,增强稍微中心密度低一些,肺尖部位;
诊断:结核(多灶,2;多态,中心低、边界稍高);部分,肺尖;毛刺,长,非真正毛刺。
鉴别:腺癌,无钙化;多原发,实性有些难移想象:形态奇特,可以用不规则解释。二恶?一恶一良?二良?
土娃:
老年男性,体检发现右上尖段及左上尖后段不规则结节影,右上尖段结节边缘长毛刺、似见卫星灶、局部胸膜牵拉,增强无明显强化。左上结节环形强化,考虑结核。老年男性,肺气肿背景,注意排除右上肺腺癌。
张小兵:

张立:
右肺上叶尖段结节,边缘平直收缩,周围有细长毛刺,有卫星灶,符合结核,但有静脉期轻度强化,结核应该没有强化,肺癌?
彭君:
双肺尖结节 左肺边缘收缩 环形强化 右肺病灶上部边缘平直及长毛刺 下部分边缘膨隆及分叶 细短毛刺 好像有局灶强化 不除外结核基础上的瘢痕癌可能
淘时光:
倾向二元,左肺上叶病灶环形强化支持结核,右肺上叶结节平直、部分稍膨隆,胸膜牵拉征,部分毛刺粗短、支气管似乎边缘截断,临近小叶间隔增厚,延迟强化,密度似乎不均匀,内见小点状坏死,腺癌放前面,炎性放待排。
冬瓜:
结核应该有,右上肺结节肺癌可能,二元吧
Yiren  Sishui(厶水伊人):
病灶多发,结核是首先考虑的,右上肺病变警惕腺癌
丽:
双上肺结节,长毛刺,右上肺结节可见平直征,一元论,支持结核
宇宙星空:
左肺的边缘强化明显

心灵鸡汤:
左上叶结节,环形强化,考虑肉芽肿病变,结核可能,右上叶结节,中度强化,有长毛刺,胸膜牵拉,有刀切征,考虑肉芽肿病变,腺癌待排,建议抗炎后复查或穿刺活检。


南边分析
南边:
老年男性,体检发现,右肺上叶尖段类圆形结节
小叶中心型肺气肿背景,一般提示吸烟

周围有类似小结节

小斑片


南边:
根据周围常规:我们要考虑结核的可能
我们再看右肺上叶这个较大病灶主体
类圆形,浅分叶


胸膜凹陷

血管纠集

局部凸起


强化幅度超过20HU
边缘平直


南边:
有炎性的特点,但是确实存在恶性征象
我觉得恶性最起码不能排除,要考虑,最起码要建议临床干预
一般我的观点:多发炎性征象,如果合并有恶性征象,就不能排除恶性
初学者:
感觉有一些分叶和彭隆,也觉得需要干预


结果
肺结核

杨泽锋:
看来有中等程度强化并不是排除结核的依据
南边:
肉芽肿期就可以
有结核的一些特点,但是确实有些边缘有恶性的征象,我认为这一类属于边缘性的,需要进一步干预。
心灵鸡汤:
结核也能中度强化啊,以前以为<15hu就是结核
尘缘:
结核也分坏死还是肉芽肿改变,平时说的强化曲线低平,那就是针对干酪样坏死来说了。
马春平(张家港市一院):
我们胸外科对类似这么小的、离胸膜面又这么远实性结节,出现很细长的软毛刺和胸膜牵拉都视为炎症吸引过程中的纤维、血管条索。因为只有炎症后期是从外周吸收到中心,而肿瘤是从中心向外延伸侵润,理论上小结节在局部范围内不该有象炎症各个期不同的大反应的。而且临近二个层面的形态,恶性实性小结节一般不会变化如此明显。


病例小结:
1.应该是双肺上叶多发结节,散在大小不等,密度不均,左上纵隔旁病灶环形强化,似乎都符合结核灶。
2.焦点在乎右肺上叶那个有点另类、有点儿一本正经的结节,密度均匀,未见支气管进入,部分圆隆浅分叶,长毛刺或棘状突起,胸膜有点牵拉,像个特立独行的新生物吗?
3.最不支持腺癌的一条是强化程度太轻。此外分叶不典型,还有那条牵张于肺表面的长长的细线影,不大像是在牵拽。
4.小结节新生物不大容易观察到液化坏死,如观察到液化坏死更容易想到的也是结核。
因此,完全排除肺鳞癌还有相当难度的。
来源:新沂市人民医院呼吸内科     唐大川
编辑:小  强
审核:冯连彩  徐  晓


到顶部